Embed presentation
Downloaded 168 times






























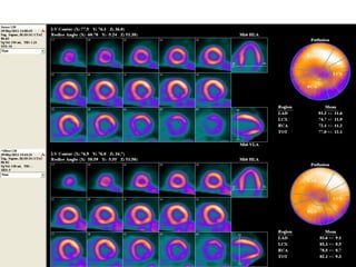
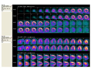
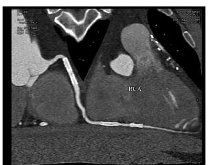
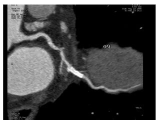
A 60-year-old male with multiple comorbid issues presented to the emergency room with chest pain. An ECG showed tall T waves and right bundle branch block. A CT/PET stress test revealed a small inferolateral infarct and significant peri-infarct ischemia. The patient was referred to cardiology to rule out acute coronary syndrome.




























