Embed presentation
Downloaded 110 times



























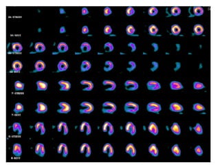
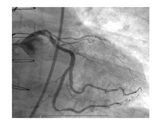
The document discusses several different cardiac conditions and test results including atrial fibrillation with complete heart block, second degree 2:1 heart block, complete heart block, atrial flutter with 2:1 block, amyloidosis indicated by an echocardiogram showing severe LVH, speckled appearance and low voltage limb leads on ECG, inferolateral reversible ischemia of moderate degree found on a graft study for a post-CABG patient which also showed an occluded superior OM and diseased OM2 and OM3 that were stented.

























