BRAIN TUMOURS
PART - 3
Presented By: Dr. Vrishit Saraswat
Guided BY: Dr. Dharam raj Meena Sir
AT/RT = atypical teratoid/rhabdoid tumor; DIG/DIA = desmoplastic infantile ganglioglioma or astrocytoma; DNET = dysembryoplastic neuroepithelial tumor; N/A = central
nervous system tumor not assigned a grade by the World Health Organization; PNET = primitive neuroectodermal tumor; PPTID = pineal parenchymal tumor of intermediate
differentiation; PTPR=papillary tumor of the pineal region.
Tumors of Neuroepithelial Tissue
ASTROCYTIC OTHER NEUROEPITHELIAL
Pilocytic astrocytoma I Astroblastoma N/A
Pilomyxoid astrocytoma II Chordoid glioma of third ventricle II
Subependymal giant cell astrocytoma I Angiocentric glioma (ANET) I
Pleomorphic xanthoastrocytoma II
Diffuse astrocytoma II NEURONAL, MIXED GLIONEURONAL
Anaplastic astrocytoma III Gangliocytoma I
Glioblastoma multiforme IV Ganglioglioma I
Gliosarcoma IV DIG/DIA I
Gliomatosis cerebri III DNET I
Central neurocytoma II
OLIGODENDROGLIAL Extraventricular neurocytoma II
Oligodendroglioma II Cerebellar liponeurocytoma II
Anaplastic oligodendroglioma III Paraganglioma (spinal cord) I
Oligoastrocytoma II-III Papillary glioneural tumor I
Rosette-forming glioneuronal tumor I
EPENDYMAL
Subependymoma I PINEAL REGION
Myxopapillary ependymoma I Pineocytoma I
Ependymoma II PPTID II-III
Anaplastic ependymoma III Pineoblastoma IV
PTPR II-III
CHOROID PLEXUS
Choroid plexus papilloma I EMBRYONAL
Atypical choroid plexus papilloma II Medulloblastoma IV
Choroid plexus carcinoma III PNET IV
AT/RT IV
Pineal Tumours
Pineal Region Anatomy
 Pineal region is located under the falx cerebri, near its confluence
with the tentorium cerebelli
 Diameter of normal pineal glands is usually ≤ 10 mm
• Sagittal T2WI is the ideal sequence for imaging the pineal gland and
adjacent structures.
• The contrast between CSF in the posterior third ventricle in front, the
velum interpositum above, and the quadrigeminal cistern posteriorly
allow maximum delineation of the gland
• Three grades of tumours are recognized:
• (1) pineocytoma, the most common of all pineal parenchymal
tumors
• (2) pineal parenchymal tumor of intermediate differentiation
• (3) pineoblastoma, the rarest but most malignant
parenchymal cell tumor
PINEOCYTOMA
• Slow growing pineal parenchymal tumor
of young adults
• Best diagnostic clue: circumscribed pineal
mass that “explodes” pineal calcification
peripherally
• Pathology
–Typically <3cm
–Demarcated round or lobular mass
–WHO grade I
• Clinical Issues
–Most common pineal parenchymal
tumor
–M/C in Adults (mean = 40 years)
–Grows very slowly, often stable for years
• Imaging: CT
– Mixed iso-/hypodense mass
– Peripheral (“exploded”) Ca++
• MR
– Iso-/hypointense on T1, hyperintense on T2
– Cysts common, may hemorrhage
– Variable enhancement (solid or peripheral)
• Differential diagnosis
– Benign pineal cyst (may be indistinguishable)
– Germinoma (“engulfs” Ca++, adolescent
males)
– PPTID (more “aggressive looking”)
Sagittal graphic shows a cystic pineal mass with a fluid-fluid level &
nodular tumor along the periphery of mass, typical of
pineocytoma.
NECT scan shows the typical findings of pineocytoma. The cystic appearing pineal mass
“explodes” calcifications toward the periphery of the lesion. T2WI in the same patient shows a
cyst surrounded by a thin rim of solid tissue
PINEAL PARENCHYMAL TUMOR OF
INTERMEDIATE DIFFERENTIATION
• Best diagnostic clue: aggressive-looking
pineal mass in adult
– PPTID: Intermediate in malignancy
between pineocytoma & pineoblastoma
– 20% of pineal parenchymal tumors
– WHO grade II or III
– Middle-aged adults
– Size- varies from small (<1cm) to 6cm
• Imaging
– NECT:
- Hyperdense mass centered in pineal
region+- hydrocephalus
- Engulfs pineal gland Ca++
T1WI: Mixed iso/hypodense lobulated mass
T2WI:
-Isointense with gray matter
-Small, intratumor, hyperintense, cystic
appearing foci common
T1WI C+: Strong heterogeneous enhancement
Differential Diagnosis
Pineocytoma > > pineoblastoma
Germinoma
Papillary tumor of the pineal region
T1WI in a 57-year-old woman with headaches, intermittent visual problems shows well-
delineated,slightly hypointense mass in the pineal gland. T2WI shows that the mass is
heterogeneously hyperintense with some areas of cystic degeneration .
Moderate heterogeneous enhancement is seen on T1 C+. MRS shows elevated Cho , decreased
NAA , lactate doublet . Pineal parenchymal tumor of intermediate differentiation, WHO grade
II, was diagnosed on imaging and confirmed at histopathology
PINEOBLASTOMA
• Highly malignant primitive embryonal tumor of pineal gland
• Best diagnostic clue: child with large, heterogeneous hyperdense
pineal mass with peripheral Ca++
• Morphology: irregular lobulated mass with poorly delineated
margin
• Size: large, most > 3cm
• Pathology
– Most primitive, malignant of all PPTs
– Embryonal PNET
– Diffusely infiltrates adjacent structures
– Upto 45% CSF dissemination common on MR or in CSF
– WHO grade IV
• Clinical Issues
– 15% of pineal region tumors
– 30-45% of PPTs
– Children> young adults (mean age=3 yrs)
– Prognosis generally poor
• Imaging: CT
– NECT:
– Mixed density, solid portion hyperdense with
peripheral Ca++
– 100% have obstructive hydrocephalud
– CECT: weak to avid but heterogeneous enhancement
• MR
– Large, bulky, aggressive-looking
– Necrosis, intratumoral hemorrhage , cysts common
– Heterogeneous enhancement
– Solid portion Restricts on DWI (densely cellular)
– Look for CSF spread (image entire neuraxis)
Sagittal graphic shows a large, heterogeneous pineal
mass with areas of haemorrhage & necrosis.
Left: axial NECT shows a poorly demarcated, infiltrative, mildly hyperdense
mass centered in pineal region with peripheral Ca++. There is invasion of
adjacent brain parenchyma & compressionof aqueduct of sylvius & resultant
hydrocephalus.Right: axial DWI MR shows restricted diffusion in solid mass &
better delineate the neoplasm & invasion of adjacent brain parenchyma.
PAPILLARY TUMOR OF THE
PINEAL REGION
• Best diagnostic clue: enhancing pineal mass in
adult
• Morphology: well circumscribed +- cystic region
• Size: variable 1-6cm
• Primarily tumor of adults, typically 30-50 yrs
• Etiology and Pathology
– Newly recognized (2007 WHO)
– Probably arises from subcommissural organ
– In wall of posterior third ventricle
– Ependymal differentiation
– WHO grade II or III
– Local recurrence, CSF dissemination
• Imaging
– MR: heterogeneously hyperintense with moderate
heterogeneous enhancement
Sagittal T1 C+ scan of a PTPR shows an enhancing pineal mass causing
obstructive hydrocephalus.
Imaging findings are nonspecific
Overview of Germ Cell Tumors
• GCTs are divided into two basic groups.
– Germinomas comprise the larger group
– Nongerminomatous GCTs, which include
• Teratomas
• Heterogeneous group of “other” nongerminomatous
malignant germ cell neoplasms
GERMINOMA (IGCT)
• IGCT are intracranial homologue of gonadal germinomas (ovarian
dysgerminoma, testicular seminoma)
• Pure geminoma: WHO grade II
• Best diagnostic clue:
• Hyperdense pineal mass that engulf pineal Ca++
• Suprasellar mass with diabetes insipidus
• Pathology
– Involve in/near midline structures (80-90%)
– Pineal region (50-65%) > suprasellar (25-35%) > basal
ganglia/thalami (5-10%)
– Multiple (20%, usually pineal + suprasellar)
– Germinoma cells + numerous lymphocytes
• Clinical Issues
– Most common intracranial GCT
– > 90% of patients under age 20
– Pineal germinoma, M:F = 10:1; suprasellar- m/c in women
– May cause diabetes insipidus before infundibular lesion seen
at imaging
GERMINOMA: IMAGING
• CT
– NECT: lobulated hyperdense mass
– Pineal: Hyperdense, “engulfs” pineal Ca++
– Suprasellar: “FAT” infundibulum
– CECT: strong uniform enhancement, +- CSF seeding
• MR
– T1 iso-/hypo, Fat stalk/pituitary glnd- absent post pituitary
bright spot
– T2 iso-/hyperintense
– GRE shows Ca++, hemorrhage “bloom”
– Often restricts on DWI
– Strong, homogeneous enhancement
– CSF spread common (look for other lesions)
– Image entire neuraxis before surgery!
• Differential Diagnosis
– Nongerminomatous GCT
– PPTs (pineocytoma, pineoblastoma, PPTID)
Left: Sagittal graphic shows synchronous germinoma in suprasellar &
pineal regions. CSF spread of tumor in the lateral, 3rd & 4th ventricles.
Right: Autopsy specimen shows a pineal germinoma
Post-ventriculostomy NECT scan shows hyperdense pineal mass “engulfing” pineal
gland calcifications. Sagittal T1WI in the same patient shows a well-defined pineal
mass compressing the tectal plate inferiorly , causing severe obstructive
hydrocephalus
T2WI in the same patient shows mixed signal intensity in the mass. Note severe
obstructive hydrocephalus with “halo” of fluid around both temporal horns. T2* shows
“blooming” hypointensities around and within the mass, probably a combination of
hemorrhage and calcification
Sagittal T1 C+ FS scan in the same patient shows that the mass
enhances intensely. Note tumor in the anterior recesses of the third
ventricle and along the floor of the fourth ventricle . Axial T1 C+ FS
shows the enhancing mass, sulcal cisternal enhancement suggesting
DWI shows diffusion restriction. ADC map shows moderate restriction consistent with a highly
cellular mass. Germinoma
INTRACRANIAL TERATOMAS
• Pathology
• Nongerminomatous germ cell tumors
• Arise from multipotential germ cells
• Tridermic (contain tissue derived from all 3 germ cell layers)
• 3 types
– Mature teratoma (most common; welldifferentiated)
– Immature teratoma (some incompletely differentiated
tissue)
– Teratoma with malignant transformation
• Best diagnostic clue:
• Midline mass containing Ca++, soft tissue, cysts, fat
• Huge holocranial mass in newborn & fetus
• Location:
• Midline- pineal gland, sellar/suprasellar, basal ganglia, thalami
• Size: variable, infantile teratoma often huge (“holocranial”)
Imaging
• Large holocranial/extracranial lesion in newborn?
• Most likely teratoma
• Distorts skull/brain, splits sutures
• Intracranial structures may be unrecognizable
• May extend through skull base into oral cavity
• Mixed density/signal intensity
• Fat, soft tissue, Ca++, cysts common
• Soft tissue enhancement common
• Pineal teratoma
– Mixed density, signal intensity
– Fat, Ca++, bone, cysts common
– Often causes obstructive hydrocephalus
Sagittal graphic shows a heterogeneous pineal teratoma
with a solid, calcific & fatty composition.
T1WI of mature pineal teratoma shows expected heterogeneous signal intensity. No frank
lipomatous component with short T1 is seen
Other Germ Cell Neoplasms
• Yolk Sac Tumor
– Yolk sac (endodermal sinus) tumors - just 2% of all
intracranial GCTs. Imaging features are nonspecific.
• Embryonal Carcinoma
– Imaging findings are nonspecific. A large mixed-
density/signal intensity, heterogeneously enhancing mass is
the common appearance
• Choriocarcinoma
– Primary intracranial choriocarcinoma (PICCC) is the rarest,
most malignant of all the intracranial GCTs
• Mixed Germ Cell Tumor
– Mixed GCTs are composed of any of the above histologic
subtypes, often together with germinomatous elements.
– Mixed GCTs are more common than any pure germ cell
lesion except for germinoma. Imaging findings are
nonspecific
APPROACH TO PINEAL REGION MASSES
• Three Key Questions to Consider
– Is the mass in the pineal gland itself?
– What is the patient's age, gender?
– Is there evidence of oncoproteins?
• Pineal Gland Mass
• Common
– Pineal cyst (nonneoplastic)
• Less common
– Pineocytoma
– Germinoma
• Rare but important
– PPTID
– Pineoblastoma
– Nongerminomatous malignant GCT
– Papillary tumor of the pineal region
– Astrocytoma
– Metastasis
Pineal Region Mass
• Common
– Pineal gland masses
• Less common (masses outside pineal gland)
– Other nonneoplastic cysts (arachnoid, dermoid, etc.)
– Neoplasm (astrocytoma, meningioma, metastasis)
– Lipoma
• Rare but important
– Vascular lesions (vein of Galen malformation, aneurysm,
dural arteriovenous fistula)
Embryonal and Neuroblastic
Tumors
Overview
• All embryonal tumors are designated as WHO grade IV
neoplasms.
• Most occur preferentially in infants and young children
• Generally characterized by aggressive clinical behavior.
• Most such tumors have an inherent tendency to
metastasize earlyand widely via CSF pathways.
• The WHO classification recognizes three categories of
embryonal tumors:
– (1) medulloblastoma
– (2) CNS primitive
– neuroectodermal tumors (PNETs)
– (3) atypical teratoid/rhabdoid tumor.
• A newly recognized subtype of CNS PNETs known as
embryonal tumor with abundant neuropil and true
rosettes (ETANTR).
Medulloblastoma
MEDULLOBLASTOMA CLASSIFICATION
• Histopathologic subtypes
– Medulloblastoma (“classic,” CMB)
– Desmoplastic/nodular medulloblastoma (DMB)
– Medulloblastoma with extensive nodularity
(MBEN)
– Large cell/Anaplastic medulloblastoma (LC/AMB)
• Molecular subtypes
• WNT (wingless) pathway medulloblastomas
- Classic (90%), best prognosis
• SHH (sonic hedgehog) pathway
medulloblastomas
– All 4 histologic subtypes represented
– Most of desmoplastic MBs are SHH
• Group 3 medulloblastomas
– Most are classic or LC/A (desmoplastic rare)
– Further stratification into sungroups based on
MYC amplification, chr 8
– Worst outcome
• Group 4 medulloblastomas
– All histologic types except desmoplastic
– Recurs with metastases
MEDULLOBLASTOMA
• Terminology
• Medulloblastoma (MB); PNET-MB
• Malignant, invasive, highly cellular embryonal tumor
• Best diagnostic clue: m/c- round, dense 4th ventricle mass
• Age: 75% < 10 yrs
• Pathology
– Midline (> 85%, fourth ventricle)
– “Small round blue cell tumor”
– Neuroblastic (Homer-Wright) rosettes
– WHO grade IV
Location
- Midline (4th ventricle)
Predominantly (but not exclusively) groups 3 & 4
- Cerebellar peduncle/CPA cistern: WNT m/c
- Cerebellar hemisphere: SHH
Axial graphic shows a spherical tumor centered in the 4th
ventricle, typical of classic medulloblastoma. CSF dissemination
(“sugar icing”) is common at initial diagnosis & shown in blue.
CLASSIC MEDULLOBLASTOMA:
IMAGING
• CT
• Solid mass in 4th ventricle
• 90% Hyperdense on NECT
• Small intratumoral cysts/necrosis (40-50%)
• Ca++ (upto 20%), hydrocephalus common-95%
• > 90% enhance, relatively homogenously
• MR
• Hypo- on T1, iso/hyperintense on T2
• Often restricts on DWI
• T1WI C+: >90% enhance, often heterogeneous (group 4
minimal/ no enhancement)
• Differential Diagnosis
• AT/RT
• PA
• Ependymoma
• Lhermitte-Duclos disease (adults)
CNS Primitive Neuroectodermal Tumors
(PNETs)
• SUPRATENTORIAL PNETs
• Embryonal tumor in an extracerebellar site vs. cerebellar
embryonal tumor (medulloblastoma a.k.a. PNET-MB)
• Best diagnostic clue: large, complex appearing hemispheric mass
with minimal peritumoral edema in infant/young child
• WHO grade IV
• Etiology
• Composed of undifferentiated neuroepithelial cells
• Broad capacity for divergent differentiation – astrocytic,
ependuymal, neuronal, muscular, melanotic elements
• Pathology
• Location: cerebral hemisphere(cortical/subcortical, thalamic),
suprasellar, pineal
• Morphology: sharply delineated to diffusely infiltrative
• Primitive “small round blue cell tumor”
• M/C in younger children, Infants, median age diagnosis:
30-35months
• Imaging
– Bulky supratentorial mass with relatively little edema
– Ca++(50-70%), necrosis(Cysts), hemorrhage common
– Markedly heterogeneously hyperdense on NECT
– Mixed density/signal intensity on all MR sequences
– Heterogeneous enhancement, DWI restriction
• Differential Diagnosis
– Astrocytoma (AA, GBM)
– Supratentorial ependymoma
– Atypical teratoid/rhabdoid tumor
– Choroid plexus CA
Autopsy (left) and antemortem FLAIR scan (right) in an 8-month-old infant with a supratentorial
PNET shows a large, aggressive-looking hemispheric mass with confluent areas of necrosis and
hemorrhage. There is relatively
little peritumoral edema.Axial T1WI in another infant shows a typical, very large, hypointense
solid, intraaxial mass with distictive lack of peritumoral edema right frontal mass with areas of
necrosis and hemorrhage
Left: axial T2WI MR in the same patient shows a large, mildly
hyperintense right frontal lobe mass. Central &medial tumoral
hyperintensity represents necrosis & heterogeneously hypointense foci
of hemorrhage . Right: axial DWI MR shows restriction diffusion within
this highly cellular mass. Supratentorial PNET.
T2WI shows that the mass is heterogeneously hyperintense. The lesion appears relatively well-
demarcated from the surrounding brain, and there is no peritumoral edema.T1 C+ shows a
heterogeneous pattern with rim enhancement around the nonenhancing cystic areas, linear
streaks and patchy foci of enhancement. Supratentorial PNET was proven at pathology
ATYPICAL TERATOID/RHABDOID TUMOR
• Lethal (usually childhood) cancer with SMARCB1/hSNF5 mutations
• Loss of tumor-suppressor gene INI1 protein expression hallmark of
CNS AT/RT
• Best diagnostic clue: -heterogeneous mass in infant/young child
• -moderately large, bulky tumor with mixed solid cystic componennts
• Pathology
Location
– Infratentorial (47%): Often off-midline (CPA, cerebellum)
– Supratentoeial (41%): hemispheric or suprasellar
– Poorly differentiated neuroepithelial elements + rhabdoid cells
– WHO grade IV
• Clinical Issues
– 1-2% of pediatric brain tumors
– Children < 3 years
– Rhabdoid tumor predisposition syndrome
– Malignant rhabdoid tumors
• Imaging
– Heterogeneous, hyperdense on NECT
– Commonly contains cysts &/or hemorrhage
– Heterogeneous on both T1, T2
– Enhances strongly but heterogeneously
– CSF spread in 15-20% at diagnosis
– May restricts on DWI bcz of cellularity
N/A = central nervous system tumor not assigned a grade by the World Health
Organization. Table adapted from Louis DN et al: World Health Organization Classification of
Tumours of the Central Nervous System. 4th ed. Lyon, France: IARC Press, 2007.
Meningeal Tumors
MENINGOTHELIAL NONMENINGOTHELIAL MESENCHYMAL
Meningioma I Lipoma I
Atypical meningioma II Liposarcoma N/A
Anaplastic/malignant meningioma III Chondroma I
Chondrosarcoma N/A
OTHER RELATED Osteoma N/A
Hemangioblastoma I Osteosarcoma N/A
Osteochondroma N/A
PRIMARY MELANOCYTIC Hemangioma I
Diffuse melanocytosis N/A Hemangiopericytoma II-III
Melanocytoma N/A
Malignant melanoma N/A
Meningeal melanomatosis N/A
Tumors of the Meninges
Meningothelial Tumors
• Meningiomas are one of the most common of all brain tumors,
accounting for one-quarter to one-third of all primary
intracranial neoplasms
• Three groups based on tumor grade and likelihood of
recurrence
– WHO grade I meningiomas - low risk of recurrence and aggressive
growth. These histologically and biologically benign. Most common type.
– Atypical meningioma (who grade ii)
– Anaplastic (“malignant”) meningioma - most aggressive form of
meningioma, corresponding to WHO grade III
MENINGIOMA: LOCATION
• General
• Supratentorial (90%), infratentorial (8-10%)
• Multiple (10%; NF2, meningiomatosis)
• Sites
• Most common (60-70%)
– Parasagittal (25%)
– Convexity (20%)
– Sphenoid ridge (15-20%)
• Less common (20-25%)
– Posterior fossa (8-10%)
– Olfactory groove (5-10%)
– Parasellar (5-10%)
Coronal graphic depicts classic meningioma with broad base
towards dura with reactive dural tail. CSF-vascular cleft b/w
invaginating tumor & brain. Typical “sunburst” of dural vessels
MENINGIOMA: CLINICAL ISSUES
• Epidemiology
• Most common intracranial primary neoplasm (20-
35%)
• Most are asymptomatic
• Found incidentally at imaging/autopsy (1-3%)
• Solitary (90%)
• Multiple in NF2, meningiomatosis
• Demographics
• F:M = 2:1
• Peak age = 40-60 years
• Rare in children unless NF2
• Natural History
• Grows slowly
• Rarely metastasizes
MENINGIOMA: IMAGING
• Best diagnostic clue:
• Dural based enhancing mass- cortical buckling,
trapped CSF/vessels in “cleft” between tumor &
brain
• General
• Round or flat (“en plaque”), dura-based
• Extraaxial mass with “cleft” between tumor, brain
• CT
• Sharply circumscribed smooth mass abutting dura
• Hyperdense (70-75%), isodense (25%)
• Calcified (20-25%)
• Cysts (peri- or intratumoral) (8-23%)
• > 90% enhance homogeneously, intensely
• MR
• Usually isointense with gray matter
• CSF-vascular “cleft” (80%)
• Vascular “flow voids” (80%)
• >95% enhance homorogeneously, intensly
• Dural “tail” (35-80%), nonspecific
• Angiography
• “Sunburst” vascularity
• Dural arteries to outside, pial to inside
• Prolonged, dense vascular “blush”
Axial T1 C+ MR shows the extra-axial
dural based mass enhance strobgly &
uniformly with dural tail sign
Large convexity meningioma. The tumor has flat base toward the dural surface,
“buckles” the cortex and GM-WM interface inward. Meningiomas are most commonly
iso- to slightly hypointense with cortex on T1WI. T2 signal intensity varies. Here the
tumor is iso-/slightly hyperintense relative to cortex. “Sunburst” of dural vessels is well
seen. Note CSF-vascular “cleft,” clearly seen here , as is the displaced GM-WM interface
Signal intensity on FLAIR also varies. Here the tumor varies from iso- to slightly hyperintense.
T2* GRE scans may show scattered “blooming” foci , but these are usually related to
calcification rather than hemorrhage. Gross hemorrhage in typical WHO grade I meningioma is
rare
T1 C+ FS scan shows that the tumor enhances intensely. Especially well seen is the even more
hyperintense “sunburst” of vessels that supplies the tumor, radiating outward from the
enostotic “spur” .
Coronal T1WI shows the “sunburst” of vessels especially well.
MENINGIOMA MIMICS (d/d)
• Common
• Dural metastasis
• Less Common
• Granuloma
• Rare but Important
• Idiopathic hypertrophic pachymeningitis
• Dural/venous sinus hemangioma
• Solitary fibrous tumor
• Extramedullary hematopoiesis
Graphic depicts malignant meningioma invading brain with no clear-cut CSF-
vascular “cleft.” The tumor also penetrates the dura, invades the calvaria, and has
a significant extracranial component . Note “mushroom” configuration , which
may be more characteristic of aggressive versus benign meningiomas. Sagittal
T1WI shows aggressive transcalvarial mass with both intra- and extracranial
THANK YOU
N/A = central nervous system tumor not assigned a grade by the World Health
Organization. Table adapted from Louis DN et al: World Health Organization Classification of
Tumours of the Central Nervous System. 4th ed. Lyon, France: IARC Press, 2007.
Meningeal Tumors
MENINGOTHELIAL NONMENINGOTHELIAL MESENCHYMAL
Meningioma I Lipoma I
Atypical meningioma II Liposarcoma N/A
Anaplastic/malignant meningioma III Chondroma I
Chondrosarcoma N/A
OTHER RELATED Osteoma N/A
Hemangioblastoma I Osteosarcoma N/A
Osteochondroma N/A
PRIMARY MELANOCYTIC Hemangioma I
Diffuse melanocytosis N/A Hemangiopericytoma II-III
Melanocytoma N/A
Malignant melanoma N/A
Meningeal melanomatosis N/A
MPNST = malignant peripheral nerve sheath tumor; N/A = central nervous system tumor
not assigned a grade by the World Health Organization. Table adapted from Louis DN et al: World
Health Organization Classification of Tumours of the Central Nervous System. 4th ed. Lyon,
France: IARC Press, 2007.
Other Tumors
CRANIAL & SPINAL NERVE TUMORS SELLAR REGION TUMORS
Schwannoma I Craniopharyngioma I
Neurofibroma I Adamantinomatous
MPNST II-IV Papillary
Granular cell tumor of neurohypophysis I
GERM CELL TUMORS Pituicytoma I
Germinoma II Spindle cell oncocytoma of adenohypophysis I
Embryonal carcinoma N/A
Yolk sac tumor N/A LYMPHOMA/HEMATOPOIETIC
Mixed germ cell tumor N/A Malignant lymphoma N/A
Teratoma N/A Plasmacytoma N/A
Mature teratoma Leukemia/granulocytic sarcoma N/A
Immature teratoma
Teratoma with malignant degeneration

Brain tumours part 3

  • 1.
    BRAIN TUMOURS PART -3 Presented By: Dr. Vrishit Saraswat Guided BY: Dr. Dharam raj Meena Sir
  • 2.
    AT/RT = atypicalteratoid/rhabdoid tumor; DIG/DIA = desmoplastic infantile ganglioglioma or astrocytoma; DNET = dysembryoplastic neuroepithelial tumor; N/A = central nervous system tumor not assigned a grade by the World Health Organization; PNET = primitive neuroectodermal tumor; PPTID = pineal parenchymal tumor of intermediate differentiation; PTPR=papillary tumor of the pineal region. Tumors of Neuroepithelial Tissue ASTROCYTIC OTHER NEUROEPITHELIAL Pilocytic astrocytoma I Astroblastoma N/A Pilomyxoid astrocytoma II Chordoid glioma of third ventricle II Subependymal giant cell astrocytoma I Angiocentric glioma (ANET) I Pleomorphic xanthoastrocytoma II Diffuse astrocytoma II NEURONAL, MIXED GLIONEURONAL Anaplastic astrocytoma III Gangliocytoma I Glioblastoma multiforme IV Ganglioglioma I Gliosarcoma IV DIG/DIA I Gliomatosis cerebri III DNET I Central neurocytoma II OLIGODENDROGLIAL Extraventricular neurocytoma II Oligodendroglioma II Cerebellar liponeurocytoma II Anaplastic oligodendroglioma III Paraganglioma (spinal cord) I Oligoastrocytoma II-III Papillary glioneural tumor I Rosette-forming glioneuronal tumor I EPENDYMAL Subependymoma I PINEAL REGION Myxopapillary ependymoma I Pineocytoma I Ependymoma II PPTID II-III Anaplastic ependymoma III Pineoblastoma IV PTPR II-III CHOROID PLEXUS Choroid plexus papilloma I EMBRYONAL Atypical choroid plexus papilloma II Medulloblastoma IV Choroid plexus carcinoma III PNET IV AT/RT IV
  • 3.
  • 4.
    Pineal Region Anatomy Pineal region is located under the falx cerebri, near its confluence with the tentorium cerebelli  Diameter of normal pineal glands is usually ≤ 10 mm • Sagittal T2WI is the ideal sequence for imaging the pineal gland and adjacent structures. • The contrast between CSF in the posterior third ventricle in front, the velum interpositum above, and the quadrigeminal cistern posteriorly allow maximum delineation of the gland
  • 7.
    • Three gradesof tumours are recognized: • (1) pineocytoma, the most common of all pineal parenchymal tumors • (2) pineal parenchymal tumor of intermediate differentiation • (3) pineoblastoma, the rarest but most malignant parenchymal cell tumor
  • 8.
    PINEOCYTOMA • Slow growingpineal parenchymal tumor of young adults • Best diagnostic clue: circumscribed pineal mass that “explodes” pineal calcification peripherally • Pathology –Typically <3cm –Demarcated round or lobular mass –WHO grade I • Clinical Issues –Most common pineal parenchymal tumor –M/C in Adults (mean = 40 years) –Grows very slowly, often stable for years
  • 9.
    • Imaging: CT –Mixed iso-/hypodense mass – Peripheral (“exploded”) Ca++ • MR – Iso-/hypointense on T1, hyperintense on T2 – Cysts common, may hemorrhage – Variable enhancement (solid or peripheral) • Differential diagnosis – Benign pineal cyst (may be indistinguishable) – Germinoma (“engulfs” Ca++, adolescent males) – PPTID (more “aggressive looking”)
  • 10.
    Sagittal graphic showsa cystic pineal mass with a fluid-fluid level & nodular tumor along the periphery of mass, typical of pineocytoma.
  • 11.
    NECT scan showsthe typical findings of pineocytoma. The cystic appearing pineal mass “explodes” calcifications toward the periphery of the lesion. T2WI in the same patient shows a cyst surrounded by a thin rim of solid tissue
  • 12.
    PINEAL PARENCHYMAL TUMOROF INTERMEDIATE DIFFERENTIATION • Best diagnostic clue: aggressive-looking pineal mass in adult – PPTID: Intermediate in malignancy between pineocytoma & pineoblastoma – 20% of pineal parenchymal tumors – WHO grade II or III – Middle-aged adults – Size- varies from small (<1cm) to 6cm • Imaging – NECT: - Hyperdense mass centered in pineal region+- hydrocephalus - Engulfs pineal gland Ca++
  • 13.
    T1WI: Mixed iso/hypodenselobulated mass T2WI: -Isointense with gray matter -Small, intratumor, hyperintense, cystic appearing foci common T1WI C+: Strong heterogeneous enhancement Differential Diagnosis Pineocytoma > > pineoblastoma Germinoma Papillary tumor of the pineal region
  • 14.
    T1WI in a57-year-old woman with headaches, intermittent visual problems shows well- delineated,slightly hypointense mass in the pineal gland. T2WI shows that the mass is heterogeneously hyperintense with some areas of cystic degeneration .
  • 15.
    Moderate heterogeneous enhancementis seen on T1 C+. MRS shows elevated Cho , decreased NAA , lactate doublet . Pineal parenchymal tumor of intermediate differentiation, WHO grade II, was diagnosed on imaging and confirmed at histopathology
  • 16.
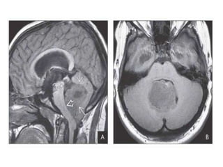
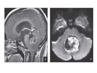
    PINEOBLASTOMA • Highly malignantprimitive embryonal tumor of pineal gland • Best diagnostic clue: child with large, heterogeneous hyperdense pineal mass with peripheral Ca++ • Morphology: irregular lobulated mass with poorly delineated margin • Size: large, most > 3cm • Pathology – Most primitive, malignant of all PPTs – Embryonal PNET – Diffusely infiltrates adjacent structures – Upto 45% CSF dissemination common on MR or in CSF – WHO grade IV • Clinical Issues – 15% of pineal region tumors – 30-45% of PPTs – Children> young adults (mean age=3 yrs) – Prognosis generally poor
  • 17.
    • Imaging: CT –NECT: – Mixed density, solid portion hyperdense with peripheral Ca++ – 100% have obstructive hydrocephalud – CECT: weak to avid but heterogeneous enhancement • MR – Large, bulky, aggressive-looking – Necrosis, intratumoral hemorrhage , cysts common – Heterogeneous enhancement – Solid portion Restricts on DWI (densely cellular) – Look for CSF spread (image entire neuraxis)
  • 18.
    Sagittal graphic showsa large, heterogeneous pineal mass with areas of haemorrhage & necrosis.
  • 19.
    Left: axial NECTshows a poorly demarcated, infiltrative, mildly hyperdense mass centered in pineal region with peripheral Ca++. There is invasion of adjacent brain parenchyma & compressionof aqueduct of sylvius & resultant hydrocephalus.Right: axial DWI MR shows restricted diffusion in solid mass & better delineate the neoplasm & invasion of adjacent brain parenchyma.
  • 20.
    PAPILLARY TUMOR OFTHE PINEAL REGION • Best diagnostic clue: enhancing pineal mass in adult • Morphology: well circumscribed +- cystic region • Size: variable 1-6cm • Primarily tumor of adults, typically 30-50 yrs • Etiology and Pathology – Newly recognized (2007 WHO) – Probably arises from subcommissural organ – In wall of posterior third ventricle – Ependymal differentiation – WHO grade II or III – Local recurrence, CSF dissemination • Imaging – MR: heterogeneously hyperintense with moderate heterogeneous enhancement
  • 21.
    Sagittal T1 C+scan of a PTPR shows an enhancing pineal mass causing obstructive hydrocephalus. Imaging findings are nonspecific
  • 22.
    Overview of GermCell Tumors • GCTs are divided into two basic groups. – Germinomas comprise the larger group – Nongerminomatous GCTs, which include • Teratomas • Heterogeneous group of “other” nongerminomatous malignant germ cell neoplasms
  • 23.
    GERMINOMA (IGCT) • IGCTare intracranial homologue of gonadal germinomas (ovarian dysgerminoma, testicular seminoma) • Pure geminoma: WHO grade II • Best diagnostic clue: • Hyperdense pineal mass that engulf pineal Ca++ • Suprasellar mass with diabetes insipidus • Pathology – Involve in/near midline structures (80-90%) – Pineal region (50-65%) > suprasellar (25-35%) > basal ganglia/thalami (5-10%) – Multiple (20%, usually pineal + suprasellar) – Germinoma cells + numerous lymphocytes • Clinical Issues – Most common intracranial GCT – > 90% of patients under age 20 – Pineal germinoma, M:F = 10:1; suprasellar- m/c in women – May cause diabetes insipidus before infundibular lesion seen at imaging
  • 24.
    GERMINOMA: IMAGING • CT –NECT: lobulated hyperdense mass – Pineal: Hyperdense, “engulfs” pineal Ca++ – Suprasellar: “FAT” infundibulum – CECT: strong uniform enhancement, +- CSF seeding • MR – T1 iso-/hypo, Fat stalk/pituitary glnd- absent post pituitary bright spot – T2 iso-/hyperintense – GRE shows Ca++, hemorrhage “bloom” – Often restricts on DWI – Strong, homogeneous enhancement – CSF spread common (look for other lesions) – Image entire neuraxis before surgery! • Differential Diagnosis – Nongerminomatous GCT – PPTs (pineocytoma, pineoblastoma, PPTID)
  • 25.
    Left: Sagittal graphicshows synchronous germinoma in suprasellar & pineal regions. CSF spread of tumor in the lateral, 3rd & 4th ventricles. Right: Autopsy specimen shows a pineal germinoma
  • 26.
    Post-ventriculostomy NECT scanshows hyperdense pineal mass “engulfing” pineal gland calcifications. Sagittal T1WI in the same patient shows a well-defined pineal mass compressing the tectal plate inferiorly , causing severe obstructive hydrocephalus
  • 27.
    T2WI in thesame patient shows mixed signal intensity in the mass. Note severe obstructive hydrocephalus with “halo” of fluid around both temporal horns. T2* shows “blooming” hypointensities around and within the mass, probably a combination of hemorrhage and calcification
  • 28.
    Sagittal T1 C+FS scan in the same patient shows that the mass enhances intensely. Note tumor in the anterior recesses of the third ventricle and along the floor of the fourth ventricle . Axial T1 C+ FS shows the enhancing mass, sulcal cisternal enhancement suggesting
  • 29.
    DWI shows diffusionrestriction. ADC map shows moderate restriction consistent with a highly cellular mass. Germinoma
  • 30.
    INTRACRANIAL TERATOMAS • Pathology •Nongerminomatous germ cell tumors • Arise from multipotential germ cells • Tridermic (contain tissue derived from all 3 germ cell layers) • 3 types – Mature teratoma (most common; welldifferentiated) – Immature teratoma (some incompletely differentiated tissue) – Teratoma with malignant transformation • Best diagnostic clue: • Midline mass containing Ca++, soft tissue, cysts, fat • Huge holocranial mass in newborn & fetus • Location: • Midline- pineal gland, sellar/suprasellar, basal ganglia, thalami • Size: variable, infantile teratoma often huge (“holocranial”)
  • 31.
    Imaging • Large holocranial/extracraniallesion in newborn? • Most likely teratoma • Distorts skull/brain, splits sutures • Intracranial structures may be unrecognizable • May extend through skull base into oral cavity • Mixed density/signal intensity • Fat, soft tissue, Ca++, cysts common • Soft tissue enhancement common • Pineal teratoma – Mixed density, signal intensity – Fat, Ca++, bone, cysts common – Often causes obstructive hydrocephalus
  • 32.
    Sagittal graphic showsa heterogeneous pineal teratoma with a solid, calcific & fatty composition.
  • 33.
    T1WI of maturepineal teratoma shows expected heterogeneous signal intensity. No frank lipomatous component with short T1 is seen
  • 34.
    Other Germ CellNeoplasms • Yolk Sac Tumor – Yolk sac (endodermal sinus) tumors - just 2% of all intracranial GCTs. Imaging features are nonspecific. • Embryonal Carcinoma – Imaging findings are nonspecific. A large mixed- density/signal intensity, heterogeneously enhancing mass is the common appearance • Choriocarcinoma – Primary intracranial choriocarcinoma (PICCC) is the rarest, most malignant of all the intracranial GCTs • Mixed Germ Cell Tumor – Mixed GCTs are composed of any of the above histologic subtypes, often together with germinomatous elements. – Mixed GCTs are more common than any pure germ cell lesion except for germinoma. Imaging findings are nonspecific
  • 35.
    APPROACH TO PINEALREGION MASSES • Three Key Questions to Consider – Is the mass in the pineal gland itself? – What is the patient's age, gender? – Is there evidence of oncoproteins? • Pineal Gland Mass • Common – Pineal cyst (nonneoplastic) • Less common – Pineocytoma – Germinoma • Rare but important – PPTID – Pineoblastoma – Nongerminomatous malignant GCT – Papillary tumor of the pineal region – Astrocytoma – Metastasis
  • 36.
    Pineal Region Mass •Common – Pineal gland masses • Less common (masses outside pineal gland) – Other nonneoplastic cysts (arachnoid, dermoid, etc.) – Neoplasm (astrocytoma, meningioma, metastasis) – Lipoma • Rare but important – Vascular lesions (vein of Galen malformation, aneurysm, dural arteriovenous fistula)
  • 37.
  • 38.
    Overview • All embryonaltumors are designated as WHO grade IV neoplasms. • Most occur preferentially in infants and young children • Generally characterized by aggressive clinical behavior. • Most such tumors have an inherent tendency to metastasize earlyand widely via CSF pathways. • The WHO classification recognizes three categories of embryonal tumors: – (1) medulloblastoma – (2) CNS primitive – neuroectodermal tumors (PNETs) – (3) atypical teratoid/rhabdoid tumor. • A newly recognized subtype of CNS PNETs known as embryonal tumor with abundant neuropil and true rosettes (ETANTR).
  • 39.
  • 40.
    MEDULLOBLASTOMA CLASSIFICATION • Histopathologicsubtypes – Medulloblastoma (“classic,” CMB) – Desmoplastic/nodular medulloblastoma (DMB) – Medulloblastoma with extensive nodularity (MBEN) – Large cell/Anaplastic medulloblastoma (LC/AMB) • Molecular subtypes • WNT (wingless) pathway medulloblastomas - Classic (90%), best prognosis • SHH (sonic hedgehog) pathway medulloblastomas – All 4 histologic subtypes represented – Most of desmoplastic MBs are SHH
  • 41.
    • Group 3medulloblastomas – Most are classic or LC/A (desmoplastic rare) – Further stratification into sungroups based on MYC amplification, chr 8 – Worst outcome • Group 4 medulloblastomas – All histologic types except desmoplastic – Recurs with metastases
  • 42.
    MEDULLOBLASTOMA • Terminology • Medulloblastoma(MB); PNET-MB • Malignant, invasive, highly cellular embryonal tumor • Best diagnostic clue: m/c- round, dense 4th ventricle mass • Age: 75% < 10 yrs • Pathology – Midline (> 85%, fourth ventricle) – “Small round blue cell tumor” – Neuroblastic (Homer-Wright) rosettes – WHO grade IV Location - Midline (4th ventricle) Predominantly (but not exclusively) groups 3 & 4 - Cerebellar peduncle/CPA cistern: WNT m/c - Cerebellar hemisphere: SHH
  • 43.
    Axial graphic showsa spherical tumor centered in the 4th ventricle, typical of classic medulloblastoma. CSF dissemination (“sugar icing”) is common at initial diagnosis & shown in blue.
  • 44.
    CLASSIC MEDULLOBLASTOMA: IMAGING • CT •Solid mass in 4th ventricle • 90% Hyperdense on NECT • Small intratumoral cysts/necrosis (40-50%) • Ca++ (upto 20%), hydrocephalus common-95% • > 90% enhance, relatively homogenously • MR • Hypo- on T1, iso/hyperintense on T2 • Often restricts on DWI • T1WI C+: >90% enhance, often heterogeneous (group 4 minimal/ no enhancement) • Differential Diagnosis • AT/RT • PA • Ependymoma • Lhermitte-Duclos disease (adults)
  • 50.
    CNS Primitive NeuroectodermalTumors (PNETs) • SUPRATENTORIAL PNETs • Embryonal tumor in an extracerebellar site vs. cerebellar embryonal tumor (medulloblastoma a.k.a. PNET-MB) • Best diagnostic clue: large, complex appearing hemispheric mass with minimal peritumoral edema in infant/young child • WHO grade IV • Etiology • Composed of undifferentiated neuroepithelial cells • Broad capacity for divergent differentiation – astrocytic, ependuymal, neuronal, muscular, melanotic elements • Pathology • Location: cerebral hemisphere(cortical/subcortical, thalamic), suprasellar, pineal • Morphology: sharply delineated to diffusely infiltrative
  • 51.
    • Primitive “smallround blue cell tumor” • M/C in younger children, Infants, median age diagnosis: 30-35months • Imaging – Bulky supratentorial mass with relatively little edema – Ca++(50-70%), necrosis(Cysts), hemorrhage common – Markedly heterogeneously hyperdense on NECT – Mixed density/signal intensity on all MR sequences – Heterogeneous enhancement, DWI restriction • Differential Diagnosis – Astrocytoma (AA, GBM) – Supratentorial ependymoma – Atypical teratoid/rhabdoid tumor – Choroid plexus CA
  • 52.
    Autopsy (left) andantemortem FLAIR scan (right) in an 8-month-old infant with a supratentorial PNET shows a large, aggressive-looking hemispheric mass with confluent areas of necrosis and hemorrhage. There is relatively little peritumoral edema.Axial T1WI in another infant shows a typical, very large, hypointense solid, intraaxial mass with distictive lack of peritumoral edema right frontal mass with areas of necrosis and hemorrhage
  • 53.
    Left: axial T2WIMR in the same patient shows a large, mildly hyperintense right frontal lobe mass. Central &medial tumoral hyperintensity represents necrosis & heterogeneously hypointense foci of hemorrhage . Right: axial DWI MR shows restriction diffusion within this highly cellular mass. Supratentorial PNET.
  • 54.
    T2WI shows thatthe mass is heterogeneously hyperintense. The lesion appears relatively well- demarcated from the surrounding brain, and there is no peritumoral edema.T1 C+ shows a heterogeneous pattern with rim enhancement around the nonenhancing cystic areas, linear streaks and patchy foci of enhancement. Supratentorial PNET was proven at pathology
  • 55.
    ATYPICAL TERATOID/RHABDOID TUMOR •Lethal (usually childhood) cancer with SMARCB1/hSNF5 mutations • Loss of tumor-suppressor gene INI1 protein expression hallmark of CNS AT/RT • Best diagnostic clue: -heterogeneous mass in infant/young child • -moderately large, bulky tumor with mixed solid cystic componennts • Pathology Location – Infratentorial (47%): Often off-midline (CPA, cerebellum) – Supratentoeial (41%): hemispheric or suprasellar – Poorly differentiated neuroepithelial elements + rhabdoid cells – WHO grade IV • Clinical Issues – 1-2% of pediatric brain tumors – Children < 3 years – Rhabdoid tumor predisposition syndrome – Malignant rhabdoid tumors
  • 56.
    • Imaging – Heterogeneous,hyperdense on NECT – Commonly contains cysts &/or hemorrhage – Heterogeneous on both T1, T2 – Enhances strongly but heterogeneously – CSF spread in 15-20% at diagnosis – May restricts on DWI bcz of cellularity
  • 57.
    N/A = centralnervous system tumor not assigned a grade by the World Health Organization. Table adapted from Louis DN et al: World Health Organization Classification of Tumours of the Central Nervous System. 4th ed. Lyon, France: IARC Press, 2007. Meningeal Tumors MENINGOTHELIAL NONMENINGOTHELIAL MESENCHYMAL Meningioma I Lipoma I Atypical meningioma II Liposarcoma N/A Anaplastic/malignant meningioma III Chondroma I Chondrosarcoma N/A OTHER RELATED Osteoma N/A Hemangioblastoma I Osteosarcoma N/A Osteochondroma N/A PRIMARY MELANOCYTIC Hemangioma I Diffuse melanocytosis N/A Hemangiopericytoma II-III Melanocytoma N/A Malignant melanoma N/A Meningeal melanomatosis N/A
  • 58.
    Tumors of theMeninges
  • 59.
    Meningothelial Tumors • Meningiomasare one of the most common of all brain tumors, accounting for one-quarter to one-third of all primary intracranial neoplasms • Three groups based on tumor grade and likelihood of recurrence – WHO grade I meningiomas - low risk of recurrence and aggressive growth. These histologically and biologically benign. Most common type. – Atypical meningioma (who grade ii) – Anaplastic (“malignant”) meningioma - most aggressive form of meningioma, corresponding to WHO grade III
  • 60.
    MENINGIOMA: LOCATION • General •Supratentorial (90%), infratentorial (8-10%) • Multiple (10%; NF2, meningiomatosis) • Sites • Most common (60-70%) – Parasagittal (25%) – Convexity (20%) – Sphenoid ridge (15-20%) • Less common (20-25%) – Posterior fossa (8-10%) – Olfactory groove (5-10%) – Parasellar (5-10%)
  • 61.
    Coronal graphic depictsclassic meningioma with broad base towards dura with reactive dural tail. CSF-vascular cleft b/w invaginating tumor & brain. Typical “sunburst” of dural vessels
  • 62.
    MENINGIOMA: CLINICAL ISSUES •Epidemiology • Most common intracranial primary neoplasm (20- 35%) • Most are asymptomatic • Found incidentally at imaging/autopsy (1-3%) • Solitary (90%) • Multiple in NF2, meningiomatosis • Demographics • F:M = 2:1 • Peak age = 40-60 years • Rare in children unless NF2 • Natural History • Grows slowly • Rarely metastasizes
  • 63.
    MENINGIOMA: IMAGING • Bestdiagnostic clue: • Dural based enhancing mass- cortical buckling, trapped CSF/vessels in “cleft” between tumor & brain • General • Round or flat (“en plaque”), dura-based • Extraaxial mass with “cleft” between tumor, brain • CT • Sharply circumscribed smooth mass abutting dura • Hyperdense (70-75%), isodense (25%) • Calcified (20-25%) • Cysts (peri- or intratumoral) (8-23%) • > 90% enhance homogeneously, intensely
  • 64.
    • MR • Usuallyisointense with gray matter • CSF-vascular “cleft” (80%) • Vascular “flow voids” (80%) • >95% enhance homorogeneously, intensly • Dural “tail” (35-80%), nonspecific • Angiography • “Sunburst” vascularity • Dural arteries to outside, pial to inside • Prolonged, dense vascular “blush”
  • 65.
    Axial T1 C+MR shows the extra-axial dural based mass enhance strobgly & uniformly with dural tail sign
  • 67.
    Large convexity meningioma.The tumor has flat base toward the dural surface, “buckles” the cortex and GM-WM interface inward. Meningiomas are most commonly iso- to slightly hypointense with cortex on T1WI. T2 signal intensity varies. Here the tumor is iso-/slightly hyperintense relative to cortex. “Sunburst” of dural vessels is well seen. Note CSF-vascular “cleft,” clearly seen here , as is the displaced GM-WM interface
  • 68.
    Signal intensity onFLAIR also varies. Here the tumor varies from iso- to slightly hyperintense. T2* GRE scans may show scattered “blooming” foci , but these are usually related to calcification rather than hemorrhage. Gross hemorrhage in typical WHO grade I meningioma is rare
  • 69.
    T1 C+ FSscan shows that the tumor enhances intensely. Especially well seen is the even more hyperintense “sunburst” of vessels that supplies the tumor, radiating outward from the enostotic “spur” . Coronal T1WI shows the “sunburst” of vessels especially well.
  • 70.
    MENINGIOMA MIMICS (d/d) •Common • Dural metastasis • Less Common • Granuloma • Rare but Important • Idiopathic hypertrophic pachymeningitis • Dural/venous sinus hemangioma • Solitary fibrous tumor • Extramedullary hematopoiesis
  • 71.
    Graphic depicts malignantmeningioma invading brain with no clear-cut CSF- vascular “cleft.” The tumor also penetrates the dura, invades the calvaria, and has a significant extracranial component . Note “mushroom” configuration , which may be more characteristic of aggressive versus benign meningiomas. Sagittal T1WI shows aggressive transcalvarial mass with both intra- and extracranial
  • 72.
  • 74.
    N/A = centralnervous system tumor not assigned a grade by the World Health Organization. Table adapted from Louis DN et al: World Health Organization Classification of Tumours of the Central Nervous System. 4th ed. Lyon, France: IARC Press, 2007. Meningeal Tumors MENINGOTHELIAL NONMENINGOTHELIAL MESENCHYMAL Meningioma I Lipoma I Atypical meningioma II Liposarcoma N/A Anaplastic/malignant meningioma III Chondroma I Chondrosarcoma N/A OTHER RELATED Osteoma N/A Hemangioblastoma I Osteosarcoma N/A Osteochondroma N/A PRIMARY MELANOCYTIC Hemangioma I Diffuse melanocytosis N/A Hemangiopericytoma II-III Melanocytoma N/A Malignant melanoma N/A Meningeal melanomatosis N/A
  • 75.
    MPNST = malignantperipheral nerve sheath tumor; N/A = central nervous system tumor not assigned a grade by the World Health Organization. Table adapted from Louis DN et al: World Health Organization Classification of Tumours of the Central Nervous System. 4th ed. Lyon, France: IARC Press, 2007. Other Tumors CRANIAL & SPINAL NERVE TUMORS SELLAR REGION TUMORS Schwannoma I Craniopharyngioma I Neurofibroma I Adamantinomatous MPNST II-IV Papillary Granular cell tumor of neurohypophysis I GERM CELL TUMORS Pituicytoma I Germinoma II Spindle cell oncocytoma of adenohypophysis I Embryonal carcinoma N/A Yolk sac tumor N/A LYMPHOMA/HEMATOPOIETIC Mixed germ cell tumor N/A Malignant lymphoma N/A Teratoma N/A Plasmacytoma N/A Mature teratoma Leukemia/granulocytic sarcoma N/A Immature teratoma Teratoma with malignant degeneration