BoneAlhasien ,Mutaz
MBBS
Introduction Layout
 Bone Anatomy &development .
 The cartilage histology .
 Bone Microanatomy and staining techniques.
 Bone Physiology & Pathophysiolgical processes .
 Markers of bone formation .
 Synovial joints anatomy and Pathology .
 Bone Tumors correlates .
FUNCTION OF BONE
COMPOSITION OF BONE
Bone
Inorganic 65% Organic 35%
(Primarily calcium phosphate
which is present in form of
Highly insoluble crystals of Collagen 88-89% Non collagen
11-12%
Hydroxy apatite)
Glycoprotein
Proteoglycan
Sialoproteins
Lipids
Collagen fibers provide bone with great tensile strength while Inorganic salts allow bone to withstand compression.
Classification of Bones on the Basis of Shape
Slide 5.4cCopyright © 2003 Pearson Education, Inc. publishing as Benjamin Cummings
Figure 5.1
6-7
Intramembranous Ossification
Growing taller throughout childhood!
SKELETAL CARTILAGE
• Chondrocytes:
• Lacunae:
.
• Extracellular matrix:
• Perichondrium:
Hundreds of Eyes Staring Back at YOU!
Bone Histology
Osteogenic cells:
Normal Bone Microanatomy
Undecalcified transiliac bone biopsies (right) are considered to be
representative of all skeletal bone and are suitable for examining,
measuring, and analyzing the microscopic features of cortical and
cancellous bone. Also, with the appropriate use of absorbable fluorochrome
agents, the dynamic changes that occur in bone can be assessed.
Cortical
bone
Cancellous
bone
Anatomic Features of a Normal Transiliac Bone Biopsy
7.5
mm
Cortex
Trabeculae
Hematopoietic
and fatty marrow
Normal Bone Microanatomy
Differential Tissue Stains
A number of differential stains can be used to examine undecalcified tissue.
Toluidine Blue stain (left) and Goldner Trichrome stain (right) will
be used throughout this presentation, except as otherwise indicated. Each
stain has characteristics that favor, or disfavor, its use. Either may be used
for histomorphometric analysis.
Unmineralized bone
Mineralized bone
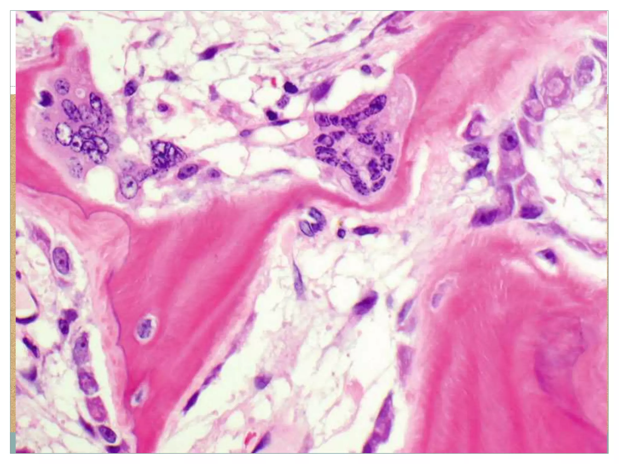
Bone Formation
Woven Bone
Under conditions of rapid
turnover, e.g., normal
growth, fracture healing, or
under some pathologic
conditions as illustrated,
osteoid is deposited in
disorganized fashion
and is called woven bone
in contrast to lamellar
bone.
Lamellar bone
Woven bone
Bone physiology
BONE REMODELING
 Bone continually renews itself
 Enables Ca homeostasis.
 Spongy bone replaced every 3-4 years
 Compact bone every 10 years
Bone Remodeling
Vitamin D
Nutrition
Physical activity
Age, hormones
PTH, PHRP
IL1, TNF,TGF-β
 5-10% bone / year.
Bone Remodeling
Bone Formation
Unmineralized osteoid
Osteoblasts secrete type I collagen, called osteoid, from their basal
surfaces onto the previously resorbed surface. Osteoid forms the organic
matrix of bone.
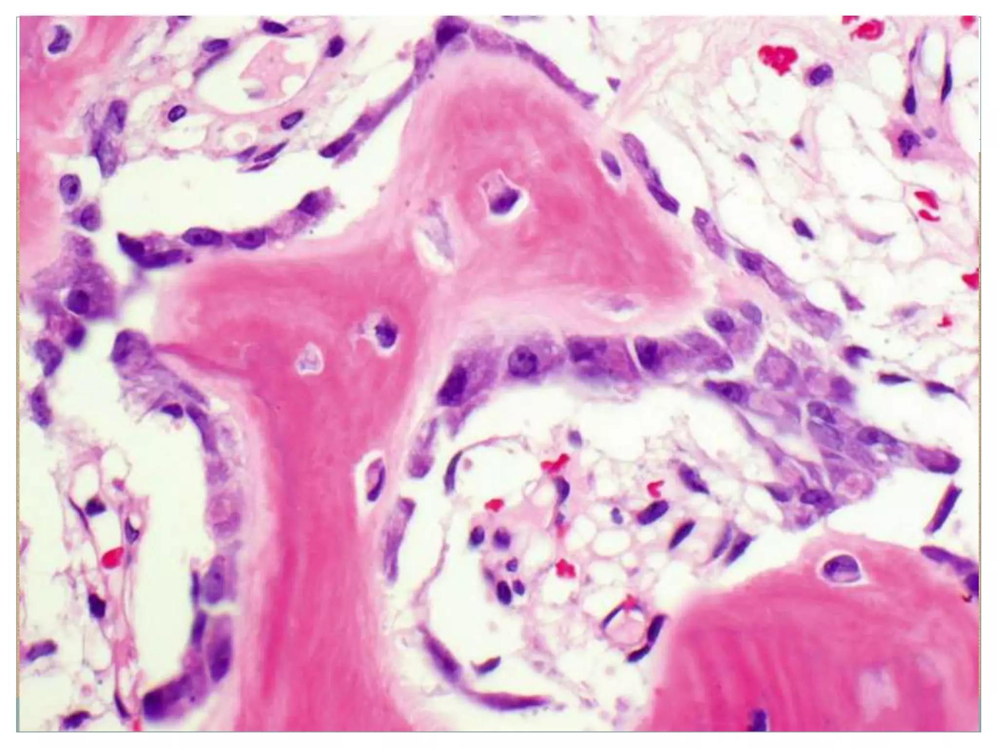
Mineralization of Osteoid
The Mineralization Front
Ten to fifteen days following secretion, osteoid undergoes maturational changes
that prepare it for the initial deposition of calcium phosphate crystals.
This occurs along an interface between mineralized and unmineralized bone,
called the mineralization front.
Biochemical Effects of Bone Remodeling
Markers of Bone Formation
Osteoblasts secrete collagenous and noncollagenous proteins into circulation, including the C and N-terminal
fragments of procollagen, alkaline phosphatase, and osteocalcin. Concentrations of these products in serum and
urine serve as “markers” of bone formation and turnover.
6-33
Bone Matrix
SYNOVIAL JOINTS
 1) fibroblasts
 Hyaluronin
 Lubricin
 2) macrophages
The SUB-intima is loose CT or fat
One Picture Is Worth Ten Thousand Words
– Frederick Barnard, 1927
 Thank you

Bone introduction 2

  • 1.
  • 2.
    Introduction Layout  BoneAnatomy &development .  The cartilage histology .  Bone Microanatomy and staining techniques.  Bone Physiology & Pathophysiolgical processes .  Markers of bone formation .  Synovial joints anatomy and Pathology .  Bone Tumors correlates .
  • 3.
  • 4.
    COMPOSITION OF BONE Bone Inorganic65% Organic 35% (Primarily calcium phosphate which is present in form of Highly insoluble crystals of Collagen 88-89% Non collagen 11-12% Hydroxy apatite) Glycoprotein Proteoglycan Sialoproteins Lipids Collagen fibers provide bone with great tensile strength while Inorganic salts allow bone to withstand compression.
  • 5.
    Classification of Boneson the Basis of Shape Slide 5.4cCopyright © 2003 Pearson Education, Inc. publishing as Benjamin Cummings Figure 5.1
  • 7.
  • 9.
  • 11.
    SKELETAL CARTILAGE • Chondrocytes: •Lacunae: . • Extracellular matrix: • Perichondrium:
  • 12.
    Hundreds of EyesStaring Back at YOU!
  • 13.
  • 14.
  • 18.
    Normal Bone Microanatomy Undecalcifiedtransiliac bone biopsies (right) are considered to be representative of all skeletal bone and are suitable for examining, measuring, and analyzing the microscopic features of cortical and cancellous bone. Also, with the appropriate use of absorbable fluorochrome agents, the dynamic changes that occur in bone can be assessed. Cortical bone Cancellous bone
  • 19.
    Anatomic Features ofa Normal Transiliac Bone Biopsy 7.5 mm Cortex Trabeculae Hematopoietic and fatty marrow
  • 20.
    Normal Bone Microanatomy DifferentialTissue Stains A number of differential stains can be used to examine undecalcified tissue. Toluidine Blue stain (left) and Goldner Trichrome stain (right) will be used throughout this presentation, except as otherwise indicated. Each stain has characteristics that favor, or disfavor, its use. Either may be used for histomorphometric analysis. Unmineralized bone Mineralized bone
  • 21.
    Bone Formation Woven Bone Underconditions of rapid turnover, e.g., normal growth, fracture healing, or under some pathologic conditions as illustrated, osteoid is deposited in disorganized fashion and is called woven bone in contrast to lamellar bone. Lamellar bone Woven bone
  • 22.
  • 23.
    BONE REMODELING  Bonecontinually renews itself  Enables Ca homeostasis.  Spongy bone replaced every 3-4 years  Compact bone every 10 years
  • 24.
    Bone Remodeling Vitamin D Nutrition Physicalactivity Age, hormones PTH, PHRP IL1, TNF,TGF-β  5-10% bone / year.
  • 25.
    Bone Remodeling Bone Formation Unmineralizedosteoid Osteoblasts secrete type I collagen, called osteoid, from their basal surfaces onto the previously resorbed surface. Osteoid forms the organic matrix of bone.
  • 26.
    Mineralization of Osteoid TheMineralization Front Ten to fifteen days following secretion, osteoid undergoes maturational changes that prepare it for the initial deposition of calcium phosphate crystals. This occurs along an interface between mineralized and unmineralized bone, called the mineralization front.
  • 27.
    Biochemical Effects ofBone Remodeling Markers of Bone Formation Osteoblasts secrete collagenous and noncollagenous proteins into circulation, including the C and N-terminal fragments of procollagen, alkaline phosphatase, and osteocalcin. Concentrations of these products in serum and urine serve as “markers” of bone formation and turnover.
  • 33.
  • 34.
  • 36.
     1) fibroblasts Hyaluronin  Lubricin  2) macrophages The SUB-intima is loose CT or fat
  • 39.
    One Picture IsWorth Ten Thousand Words – Frederick Barnard, 1927
  • 40.