Investigations and
Management
Investigations options…..
 ECG
 Chest x-ray
 Echocardiography
 Cardiac catheterization
ECG
ECG findings……..
 Right axis deviation
 rSr’ or rSR’ in V1
 Predominant s- waves in left
precordial leads(V5- V6)
 Features of arrythmia
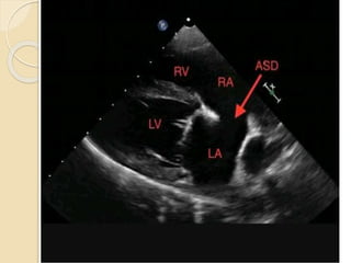
Echocardiography
Echo. Findings…….
 Transthoracic 2D- IAS can be imaged
from apical and subcostal four
chamber view
 Subcostal view is best
 Echo drop out in mid portion for ASD
secundum
 Color doppler imaging shows directly
flow from LA to RA
Cardiac catheterization
Findings…….
 Now not diagnostic, used for device
closure
 In ASD catheter passes through from
RA to LA
 Small ASD- RA pressure tracing is
normal, oxygen step up more than 10
%
 Large ASD- when RA and LA pressure
tracing same and mean pressure
tracing less than 3 mmHg
Continued…..
 When oxygen saturation 15% or more
in RA than SVC or IVC, ASD is
diagnosed
 In absence of ASD , RA oxygen
saturation increase in-
 VSD with TR
 Rupture sinus valsalva aneurysm
Chest X-Ray
Findings…..
 Normal in small ASD
 Large ASD- cardiomegaly with RA and
RV enlargement
 Lung vascularity increase
 Pulmonary conus full
 In pulmonary hypertension, lungs field
become oligaemic (outer third, pruned
tree like appearance)
MANAGEMENT
Medical management
 If asymtomatic – no treatment
 If complication developes-
 O2-inhalation
 diuretics
 spironolactone
 ACE inhibitor
 digoxin
Interventional procedure
DEVICE CLOSURE
Small and moderate size defect
Closed percutanously through right
heart
Uses different devices
Most recently- Amplatzer device
 anbiotic cover given before procedure
Aspirin and clopidogrel given for 6
month after procedure
Continued…..
Must fulfill following criteria-
 ASD less than 40mm diameter,
 clear AV valve and pul.veins and
 rim of atrial septum (<5mm)
Continued….
Contraindications…
Ostium primum ASD
Sinus venosus ASD
Anomalous pulmonary venous
drainage
Severe pulmonary HTN
SURGICAL CLOSURE
 between age 5 to 10 yrs
To avoid complcation- RV-failure,
arrythmia, pul. HTN
Qp:Qs ratio >2:1
Older pt surgical procedure is still
worthwhile
Surgery by partial sternal split with
minimal skin incision by pericardial or
Teflon patch
TAKE HOME MESSAGE……
 Small ASD asymptomatic upto adulthood
 Large ASD symptomatic in adulthood
 Ostium secundum most common variety
 Examination- ESM and wide and fixed
splitting 2nd heart sound
 2-D echo- echo dropout of interatrial
septum with T sign and left to rt color flow
on color doppler
 Percutanous device closure or surgical
patch closure is definitive treatment

Asd investigations and management

  • 1.
  • 2.
    Investigations options…..  ECG Chest x-ray  Echocardiography  Cardiac catheterization
  • 3.
  • 4.
    ECG findings……..  Rightaxis deviation  rSr’ or rSR’ in V1  Predominant s- waves in left precordial leads(V5- V6)  Features of arrythmia
  • 5.
  • 8.
    Echo. Findings…….  Transthoracic2D- IAS can be imaged from apical and subcostal four chamber view  Subcostal view is best  Echo drop out in mid portion for ASD secundum  Color doppler imaging shows directly flow from LA to RA
  • 9.
  • 10.
    Findings…….  Now notdiagnostic, used for device closure  In ASD catheter passes through from RA to LA  Small ASD- RA pressure tracing is normal, oxygen step up more than 10 %  Large ASD- when RA and LA pressure tracing same and mean pressure tracing less than 3 mmHg
  • 11.
    Continued…..  When oxygensaturation 15% or more in RA than SVC or IVC, ASD is diagnosed  In absence of ASD , RA oxygen saturation increase in-  VSD with TR  Rupture sinus valsalva aneurysm
  • 12.
  • 13.
    Findings…..  Normal insmall ASD  Large ASD- cardiomegaly with RA and RV enlargement  Lung vascularity increase  Pulmonary conus full  In pulmonary hypertension, lungs field become oligaemic (outer third, pruned tree like appearance)
  • 14.
  • 15.
    Medical management  Ifasymtomatic – no treatment  If complication developes-  O2-inhalation  diuretics  spironolactone  ACE inhibitor  digoxin
  • 16.
    Interventional procedure DEVICE CLOSURE Smalland moderate size defect Closed percutanously through right heart Uses different devices Most recently- Amplatzer device  anbiotic cover given before procedure Aspirin and clopidogrel given for 6 month after procedure
  • 17.
    Continued….. Must fulfill followingcriteria-  ASD less than 40mm diameter,  clear AV valve and pul.veins and  rim of atrial septum (<5mm)
  • 18.
    Continued…. Contraindications… Ostium primum ASD Sinusvenosus ASD Anomalous pulmonary venous drainage Severe pulmonary HTN
  • 20.
    SURGICAL CLOSURE  betweenage 5 to 10 yrs To avoid complcation- RV-failure, arrythmia, pul. HTN Qp:Qs ratio >2:1 Older pt surgical procedure is still worthwhile Surgery by partial sternal split with minimal skin incision by pericardial or Teflon patch
  • 22.
    TAKE HOME MESSAGE…… Small ASD asymptomatic upto adulthood  Large ASD symptomatic in adulthood  Ostium secundum most common variety  Examination- ESM and wide and fixed splitting 2nd heart sound  2-D echo- echo dropout of interatrial septum with T sign and left to rt color flow on color doppler  Percutanous device closure or surgical patch closure is definitive treatment