Appropriate imaging for
back pain
Dr David Lisle
Brisbane Private Imaging
Royal Brisbane Hospital
University of Queensland
Appropriate imaging for back pain
•  Imaging modalities
•  Clinical presentations
•  Guidelines
Appropriate imaging for back pain
•  Imaging modalities
– Radiographs (X-rays)
– Scintigraphy (bone scan)
– CT
– MRI
•  Clinical presentations
•  Guidelines
Radiographs
What you see
•  Bony anatomy and
alignment
•  Disc height
Radiographs
What you see
•  Bony anatomy and
alignment
•  Disc height
Disadvantages
•  Radiation
•  Nonspecific
–  OA changes in most
adults
•  Insensitive
–  No direct visualisation
of neural and other
nonbony structures
Bone scan
What you see
•  Bone pathology
–  Osteoblastic activity
Bone scan
What you see
•  Bone pathology
–  Osteoblastic activity
Disadvantages
•  Radiation
•  Very nonspecific
•  Relatively poor
anatomical resolution
–  (Improved with
SPECT; SPECT/CT)
–  No direct visualisation
of neural and other
nonbony structures
CT
What you see
•  Bony anatomy and
alignment
•  Cross sectional view
of spinal canal and
foramina
•  Disc, thecal sac,
nerve roots
CT
What you see
•  Bony anatomy and
alignment
•  Cross sectional view
of spinal canal and
foramina
•  Disc, thecal sac,
nerve roots
Disadvantages
•  Radiation
•  Nonspecific
–  Most adults have
‘findings’
•  Poor visualisation of
individual neural
structures and disc
anatomy
Radiation doses
Imaging test Effective
dose (mSv)
CXRs Background
exposure
Flying hours
CXR 0.02 1 3 days 4
Lumbar X-ray 1.5 75 6/12 300
Lumbar CT 2-10 100-500 8/12 - 3 years 400 - 1800
Bone scan 6 300 2 years 1200
MRI
What you see
•  Bony anatomy and
alignment
•  Bone pathology
•  Multiplanar view of
spinal canal and
foramina
•  Disc: hydration and
structure
•  Neural structures:
cord, nerve roots
MRI
What you see
•  Bony anatomy and
alignment
•  Bone pathology
•  Multiplanar view of
spinal canal and
foramina
•  Disc: hydration and
structure
•  Neural structures:
cord, nerve roots
Disadvantages
•  Availability, cost
•  Pacemakers,
claustrophobia
•  Nonspecific (too
sensitive)
–  Most adults have
‘findings’
Appropriate imaging for back pain
•  Imaging modalities
•  Clinical presentations: classification into 3
broad categories
1.  Nonspecific low back pain
2.  Back pain associated with radiculopathy
3.  Back pain associated with a specific
cause requiring prompt evaluation
•  Guidelines
Back pain categories
1.  Nonspecific (mechanical) low back pain
–  Acute: < 12 weeks
–  Chronic: > 12 weeks
–  Ligament/ muscle strain/ tear
–  Intervertebral disc degeneration
–  Osteoarthritis
–  Facet joints
–  SI joints
–  Spondylolysis/ spondylolisthesis
Back pain categories
2.  Back pain associated with radiculopathy
a)  Unilateral acute nerve root compression
(sciatica)
–  Leg pain >> back pain
–  Disc herniation
b)  Unilateral chronic nerve root compression
–  Disc herniation or spinal stenosis
c)  Bilateral chronic nerve root compression
–  Spinal stenosis
–  DD vascular claudication
d)  Bilateral acute nerve root compression =
‘cauda equina syndrome’
Cauda equina syndrome
•  Bilateral acute nerve root compression
– Massive disc protrusion/ sequestration
•  Sudden onset bilateral leg pain
•  Saddle anaesthesia
•  Rapidly progressive or severe neurological
deficits
– Motor deficits at >1 level
– Faecal incontinence
– Urinary retention
Back pain categories
3.  Back pain associated with a specific
cause requiring prompt evaluation
−  Cauda equina syndrome
−  Cancer
−  Vertebral infection
−  Vertebral compression fracture
−  Ankylosing spondylitis
Back pain categories
3.  Back pain associated with a specific
cause requiring prompt evaluation
−  Cauda equina syndrome
−  Clinical scenario
−  Cancer
−  Vertebral infection
−  Vertebral compression fracture
−  Ankylosing spondylitis
Back pain categories
3.  Back pain associated with a specific
cause requiring prompt evaluation
−  Cancer
−  Hx of Ca + new onset LBP
−  Unexplained weight loss +/-
persistent symptoms +/- age > 50
−  Vertebral infection
−  Vertebral compression fracture
−  Ankylosing spondylitis
Back pain categories
3.  Back pain associated with a specific
cause requiring prompt evaluation
−  Vertebral infection
−  Fever
−  iv drug use
−  Recent infection
−  Vertebral compression fracture
−  Ankylosing spondylitis
Back pain categories
3.  Back pain associated with a specific
cause requiring prompt evaluation
−  Vertebral compression fracture
−  Hx of osteoporosis
−  Steroid use
−  Old age +/- minor trauma
−  Ankylosing spondylitis
Back pain categories
3.  Back pain associated with a specific
cause requiring prompt evaluation
−  Ankylosing spondylitis (seronegative
SpA)
−  Nonmechanical, inflammatory type of
back pain: morning stiffness; improved
with exercise
−  Alternating buttock pain
−  Waking at night
−  Younger age
Appropriate imaging for back pain
•  Imaging modalities
•  Clinical presentations
•  Guidelines
– Multiple: different countries and
associations
– Common theme:
• Triage into 3 broad categories as
described
LOW BACK PAIN GUIDELINES
Diagnostic triage
1. Non-specific LBP
2. Radiculopathy
3. Specific LBP
•  ‘Red flags’
‘Red Flags’
•  Cauda equina syndrome
•  Known 10 tumour
•  Weight loss
•  Severe symptoms, not
settling
•  Fever
•  Recent infection or Sx
•  Osteoporosis
•  Steroid use
•  Non-mechanical pain
•  Child*
Back pain in children and adolescents
Presentation Associated Sx DD Ix
Night pain Fever, malaise Tumour, infection X-ray
MRI
Acute pain Radiculopathy
+ve SLR
Disc herniation
Spondylosis
X-ray
MRI
Chronic pain Rigid kyphosis
Morning stiffness
“Scheuermann’s”
Inflammatory arthropathy
X-ray
Pain with extension
Sport: eg rowing
Hamstring tightness Spondylolysis
‘Stress reaction’
X-ray
MRI
Pain + recent onset
scoliosis
Fever, malaise,
+ve SLR
Idiopathic scoliosis
Tumour, infection, syrinx,
disc herniation
X-ray
MRI
Am Fam Phys 2007;76:1669-76
LOW BACK PAIN GUIDELINES
•  American College of Physicians & American
Pain Society Recommendations
1. Focused Hx and examination to place patients
into 1 of 3 categories
2. No imaging for nonspecific LBP
3. Imaging for LBP + severe or progressive
neurological deficits OR risk factors for specific
cause
4. Imaging for LBP and radiculopathy if candidates
for surgery or epidural injection
Ann Intern Med 2007;147:478-491
Diagnostic work-up
Possible cause Imaging Additional studies
Nonspecific LBP None None
Radiculopathy MRI (CT)
Cauda equina MRI
Cancer MRI for known 10; X-ray
for other eg wt loss
ESR
Vertebral infection MRI ESR, CRP
Vertebral compression # X-ray
Ankylosing spondylitis X-ray, incl pelvis (MRI) HLA-B27; ESR, CRP
Ann Intern Med 2007;147:478-491
www.imagingpathways.health.wa.gov.au
National Institute for Clinical Excellence
(NICE) UK
ACR Appropriateness Criteria
Ineffectiveness of imaging for
nonspecific LBP
•  Favourable natural Hx
– Most improve by 4 weeks; unaffected by imaging
•  Nonspecificity: loose association between findings
and symptoms
– ‘Abnormalities’ or normal aging?
•  Potential harms:
– Radiation
– ‘Labelling’
– Incidental findings
Ann Intern Med 2011;154:181-190
•  85 year old female
•  Severe acute on chronic mechanical
back pain
– Can’t sleep
– Limited walking to only a few steps
•  Spontaneous onset
•  No known trauma
Radiograph (X-ray)
24/3/2012
24/3/2012 16/12/2011
MRI: pre-vertebroplasty
STIR
2
3
2
3
T1 STIR
•  68M
•  Sudden onset bilateral leg pain and
weakness
•  Urinary retention
MRI
•  Dx: Cauda equina syndrome
•  Cause: massive sequestration
•  Other causes:
– Tumour
•  Primary of lower cord, nerve, dura, vertebral
body
•  Secondary
– Trauma
Cauda equina syndrome
30M 60F 70M
T2
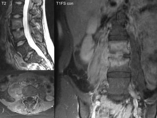
•  62 year old male
•  Severe low back pain of rapid onset
•  Febrile and unwell
•  4 weeks ago underwent abdominal
surgery for perforated diverticulitis
MRI
T2 T1 T1FS con
T2 T1FS con
Thank you

Appropriate imaging for back pain

  • 1.
    Appropriate imaging for backpain Dr David Lisle Brisbane Private Imaging Royal Brisbane Hospital University of Queensland
  • 2.
    Appropriate imaging forback pain •  Imaging modalities •  Clinical presentations •  Guidelines
  • 3.
    Appropriate imaging forback pain •  Imaging modalities – Radiographs (X-rays) – Scintigraphy (bone scan) – CT – MRI •  Clinical presentations •  Guidelines
  • 4.
    Radiographs What you see • Bony anatomy and alignment •  Disc height
  • 5.
    Radiographs What you see • Bony anatomy and alignment •  Disc height Disadvantages •  Radiation •  Nonspecific –  OA changes in most adults •  Insensitive –  No direct visualisation of neural and other nonbony structures
  • 6.
    Bone scan What yousee •  Bone pathology –  Osteoblastic activity
  • 7.
    Bone scan What yousee •  Bone pathology –  Osteoblastic activity Disadvantages •  Radiation •  Very nonspecific •  Relatively poor anatomical resolution –  (Improved with SPECT; SPECT/CT) –  No direct visualisation of neural and other nonbony structures
  • 8.
    CT What you see • Bony anatomy and alignment •  Cross sectional view of spinal canal and foramina •  Disc, thecal sac, nerve roots
  • 9.
    CT What you see • Bony anatomy and alignment •  Cross sectional view of spinal canal and foramina •  Disc, thecal sac, nerve roots Disadvantages •  Radiation •  Nonspecific –  Most adults have ‘findings’ •  Poor visualisation of individual neural structures and disc anatomy
  • 10.
    Radiation doses Imaging testEffective dose (mSv) CXRs Background exposure Flying hours CXR 0.02 1 3 days 4 Lumbar X-ray 1.5 75 6/12 300 Lumbar CT 2-10 100-500 8/12 - 3 years 400 - 1800 Bone scan 6 300 2 years 1200
  • 11.
    MRI What you see • Bony anatomy and alignment •  Bone pathology •  Multiplanar view of spinal canal and foramina •  Disc: hydration and structure •  Neural structures: cord, nerve roots
  • 12.
    MRI What you see • Bony anatomy and alignment •  Bone pathology •  Multiplanar view of spinal canal and foramina •  Disc: hydration and structure •  Neural structures: cord, nerve roots Disadvantages •  Availability, cost •  Pacemakers, claustrophobia •  Nonspecific (too sensitive) –  Most adults have ‘findings’
  • 13.
    Appropriate imaging forback pain •  Imaging modalities •  Clinical presentations: classification into 3 broad categories 1.  Nonspecific low back pain 2.  Back pain associated with radiculopathy 3.  Back pain associated with a specific cause requiring prompt evaluation •  Guidelines
  • 14.
    Back pain categories 1. Nonspecific (mechanical) low back pain –  Acute: < 12 weeks –  Chronic: > 12 weeks –  Ligament/ muscle strain/ tear –  Intervertebral disc degeneration –  Osteoarthritis –  Facet joints –  SI joints –  Spondylolysis/ spondylolisthesis
  • 15.
    Back pain categories 2. Back pain associated with radiculopathy a)  Unilateral acute nerve root compression (sciatica) –  Leg pain >> back pain –  Disc herniation b)  Unilateral chronic nerve root compression –  Disc herniation or spinal stenosis c)  Bilateral chronic nerve root compression –  Spinal stenosis –  DD vascular claudication d)  Bilateral acute nerve root compression = ‘cauda equina syndrome’
  • 16.
    Cauda equina syndrome • Bilateral acute nerve root compression – Massive disc protrusion/ sequestration •  Sudden onset bilateral leg pain •  Saddle anaesthesia •  Rapidly progressive or severe neurological deficits – Motor deficits at >1 level – Faecal incontinence – Urinary retention
  • 17.
    Back pain categories 3. Back pain associated with a specific cause requiring prompt evaluation −  Cauda equina syndrome −  Cancer −  Vertebral infection −  Vertebral compression fracture −  Ankylosing spondylitis
  • 18.
    Back pain categories 3. Back pain associated with a specific cause requiring prompt evaluation −  Cauda equina syndrome −  Clinical scenario −  Cancer −  Vertebral infection −  Vertebral compression fracture −  Ankylosing spondylitis
  • 19.
    Back pain categories 3. Back pain associated with a specific cause requiring prompt evaluation −  Cancer −  Hx of Ca + new onset LBP −  Unexplained weight loss +/- persistent symptoms +/- age > 50 −  Vertebral infection −  Vertebral compression fracture −  Ankylosing spondylitis
  • 20.
    Back pain categories 3. Back pain associated with a specific cause requiring prompt evaluation −  Vertebral infection −  Fever −  iv drug use −  Recent infection −  Vertebral compression fracture −  Ankylosing spondylitis
  • 21.
    Back pain categories 3. Back pain associated with a specific cause requiring prompt evaluation −  Vertebral compression fracture −  Hx of osteoporosis −  Steroid use −  Old age +/- minor trauma −  Ankylosing spondylitis
  • 22.
    Back pain categories 3. Back pain associated with a specific cause requiring prompt evaluation −  Ankylosing spondylitis (seronegative SpA) −  Nonmechanical, inflammatory type of back pain: morning stiffness; improved with exercise −  Alternating buttock pain −  Waking at night −  Younger age
  • 23.
    Appropriate imaging forback pain •  Imaging modalities •  Clinical presentations •  Guidelines – Multiple: different countries and associations – Common theme: • Triage into 3 broad categories as described
  • 24.
    LOW BACK PAINGUIDELINES Diagnostic triage 1. Non-specific LBP 2. Radiculopathy 3. Specific LBP •  ‘Red flags’ ‘Red Flags’ •  Cauda equina syndrome •  Known 10 tumour •  Weight loss •  Severe symptoms, not settling •  Fever •  Recent infection or Sx •  Osteoporosis •  Steroid use •  Non-mechanical pain •  Child*
  • 25.
    Back pain inchildren and adolescents Presentation Associated Sx DD Ix Night pain Fever, malaise Tumour, infection X-ray MRI Acute pain Radiculopathy +ve SLR Disc herniation Spondylosis X-ray MRI Chronic pain Rigid kyphosis Morning stiffness “Scheuermann’s” Inflammatory arthropathy X-ray Pain with extension Sport: eg rowing Hamstring tightness Spondylolysis ‘Stress reaction’ X-ray MRI Pain + recent onset scoliosis Fever, malaise, +ve SLR Idiopathic scoliosis Tumour, infection, syrinx, disc herniation X-ray MRI Am Fam Phys 2007;76:1669-76
  • 26.
    LOW BACK PAINGUIDELINES •  American College of Physicians & American Pain Society Recommendations 1. Focused Hx and examination to place patients into 1 of 3 categories 2. No imaging for nonspecific LBP 3. Imaging for LBP + severe or progressive neurological deficits OR risk factors for specific cause 4. Imaging for LBP and radiculopathy if candidates for surgery or epidural injection Ann Intern Med 2007;147:478-491
  • 27.
    Diagnostic work-up Possible causeImaging Additional studies Nonspecific LBP None None Radiculopathy MRI (CT) Cauda equina MRI Cancer MRI for known 10; X-ray for other eg wt loss ESR Vertebral infection MRI ESR, CRP Vertebral compression # X-ray Ankylosing spondylitis X-ray, incl pelvis (MRI) HLA-B27; ESR, CRP Ann Intern Med 2007;147:478-491
  • 28.
    www.imagingpathways.health.wa.gov.au National Institute forClinical Excellence (NICE) UK ACR Appropriateness Criteria
  • 29.
    Ineffectiveness of imagingfor nonspecific LBP •  Favourable natural Hx – Most improve by 4 weeks; unaffected by imaging •  Nonspecificity: loose association between findings and symptoms – ‘Abnormalities’ or normal aging? •  Potential harms: – Radiation – ‘Labelling’ – Incidental findings Ann Intern Med 2011;154:181-190
  • 31.
    •  85 yearold female •  Severe acute on chronic mechanical back pain – Can’t sleep – Limited walking to only a few steps •  Spontaneous onset •  No known trauma Radiograph (X-ray)
  • 33.
  • 34.
  • 35.
  • 36.
  • 38.
    •  68M •  Suddenonset bilateral leg pain and weakness •  Urinary retention MRI
  • 41.
    •  Dx: Caudaequina syndrome •  Cause: massive sequestration •  Other causes: – Tumour •  Primary of lower cord, nerve, dura, vertebral body •  Secondary – Trauma
  • 42.
  • 44.
    •  62 yearold male •  Severe low back pain of rapid onset •  Febrile and unwell •  4 weeks ago underwent abdominal surgery for perforated diverticulitis MRI
  • 45.
  • 46.
  • 47.