Low Back Pain


   Dr Liau Kai Ming
   Dept. of Orthopaedic
Incidence

   Very common among working group

   90% in pt >45years old

   80% resolves with conservative treatment (in
    <3 months)

   Only 5-10% may require operation
Implication

   Work & productivity loss
Anatomical consideration

   Commonly at lumbosacral junction (L4/L5,
    L5/S1)

   Why?
   Most mobile region of the spine

   Therefore prone to degeneration (wear &
    tear)
Causes of pain


   Degenerative (most common)
   Instability(fracture, spondylolisthesis)
   Organic (Tumour,infection)
   Nerve compression/irritation(PID, root
    compression)
   Rule out psychogenic cause (insurance
    claim, problem with employer etc)
Referred pain

     1. Abdominal cavity
        gastritis/peptic ulcer
        pancreatitis
        cholecystitis
     2. Urinary system
        renal calculi
        UTI
     3. Pelvic cavity
        ovarian cyst
        dysmenorrhea
     4. Aorta
        Aortic aneurysm
Nature of pain

   MECHANICAL VS NON-MECHANICAL

   REFERRED VS RADICULAR

   CLAUDICATION – VASCULAR VS SPINAL
MECHANICAL PAIN

  1. Muscle strain

  2. Ligament sprain

  3. Facet joint arthritis

  4. Disc-Discogenic

  5. Instability - Spondylolysis/spondylolisthesis
NON-MECHANICAL PAIN

   Infection – PYOGENIC VS TB

   Tumour – PRIMARY VS SECONDARY

       Primary - BENIGN VS MALIGNANT
Common causes of low back pain
Pathology     Age       Pain nature   Assoc pain     Assoc sx
DEGENERA      >40y      mechanical    Distance       Active pt
TIVE                                  claudication
Spondylosis
Spondylolisth <20y      mechanical    extension      Hyperextensi
esis          >40y                                   on activity
Trauma        Any age   mechanical    -              Trauma
Infection     Any age   non-          Rest pain      Fever
                        mechanical
Mets          >50y      Non-          Rest pain      Primary +
                        mechanical                   LOW
                                                     LOA
Osteoporosis >60y       mechanical    -              Trivial trauma
RED FLAGS
   Constitutional symptoms
       LOW, LOA, fever

       AGE(>50)

       IMMUNOCOMPROMISED,

       TB CONTACT

       KNOWN CANCER

       NEUROLOGICAL DEFICIT (CAUDA EQUINA SYN)
Physical findings
       General examination
           Age
           Ill looking

       Local examination – DO NOT MISS A
        GIBBUS
   Deformity
       Scoliosis/kyphosis
       Step deformity
       Local tenderness/paraspinal spasm

   Limited ROM
   Full neurological examination

       ANAL TONE / PERIANAL SENSATION

       DERMATOME & MYOTOME
Investigations
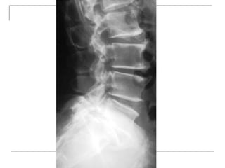
Plain radiograph
            AP
             -loss of lumbar lordosis
             -reduced disc space
             -osteophytes
             -deformity
             -fracture (increase interpedicular distance)
             -osteoporosis
             -pedicle disruption
   Lateral
    -fracture/wedging
    -kyphosis
    -spondylolisthesis



   Oblique
    -spondylolysis (SCOTTIE DOG)
Plain x-rays
Blood investigations

   FBC
       Anemia, TWC
   ESR
   Liver function test
       ALP
   Renal function test
       Calcium level
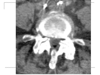
CT Scan

       better visualization of bone pathology (eg.
        cortical destruction)
         fracture
         tumor
MRI

   -better soft tissue visualization
   -disc
   -ligaments (ALL,PLL)
   -nerves (spinal cord, roots)
   -bone marrow
   -pus collection
MRI
CT myelogram

   role replaced by MRI
   for delineation of neural structures where MRI
    is not available/contraindicated
CT Myelogram
Bone scan

   Suspicious of multiple bone mets
       Eg. with history of untreated/treated CA
       Negative in Multiple myeloma
Treatment

   Mainly conservative
    -Bed rest/pelvic traction
    -physiotherapy
    -back exercise
    -modification of daily activities
    -SWD/ultrasound
    -NSAIDs/COX-2 inhibitor
    -local injection (epidural steroids, facet joint)
Pelvic traction
Surgery
Indications for surgery

 -PAIN - failed conservative treatment (>6 months)
 -Evidence of neurological deficit (motor)
 -Cauda equina syndrome
 -Spinal instability (excessive spinal motion)
 -Unacceptable deformity (eg degenerative scoliosis)
Surgery

 1. DECOMPRESSION of spinal nerves (BURST
     FRACTURE, Spinal stenosis, PID)

 2. Fusion & Stabilization (Instrumentation)

 3. Correction of deformity
DECOMPRESSION Surgery
FUSION Surgery
THANK YOU

Low Back Pain

  • 1.
    Low Back Pain Dr Liau Kai Ming Dept. of Orthopaedic
  • 2.
    Incidence  Very common among working group  90% in pt >45years old  80% resolves with conservative treatment (in <3 months)  Only 5-10% may require operation
  • 3.
    Implication  Work & productivity loss
  • 4.
    Anatomical consideration  Commonly at lumbosacral junction (L4/L5, L5/S1)  Why?
  • 5.
    Most mobile region of the spine  Therefore prone to degeneration (wear & tear)
  • 6.
    Causes of pain  Degenerative (most common)  Instability(fracture, spondylolisthesis)  Organic (Tumour,infection)  Nerve compression/irritation(PID, root compression)  Rule out psychogenic cause (insurance claim, problem with employer etc)
  • 7.
    Referred pain 1. Abdominal cavity gastritis/peptic ulcer pancreatitis cholecystitis 2. Urinary system renal calculi UTI 3. Pelvic cavity ovarian cyst dysmenorrhea 4. Aorta Aortic aneurysm
  • 8.
    Nature of pain  MECHANICAL VS NON-MECHANICAL  REFERRED VS RADICULAR  CLAUDICATION – VASCULAR VS SPINAL
  • 9.
    MECHANICAL PAIN 1. Muscle strain 2. Ligament sprain 3. Facet joint arthritis 4. Disc-Discogenic 5. Instability - Spondylolysis/spondylolisthesis
  • 10.
    NON-MECHANICAL PAIN  Infection – PYOGENIC VS TB  Tumour – PRIMARY VS SECONDARY  Primary - BENIGN VS MALIGNANT
  • 11.
    Common causes oflow back pain Pathology Age Pain nature Assoc pain Assoc sx DEGENERA >40y mechanical Distance Active pt TIVE claudication Spondylosis Spondylolisth <20y mechanical extension Hyperextensi esis >40y on activity Trauma Any age mechanical - Trauma Infection Any age non- Rest pain Fever mechanical Mets >50y Non- Rest pain Primary + mechanical LOW LOA Osteoporosis >60y mechanical - Trivial trauma
  • 12.
    RED FLAGS  Constitutional symptoms  LOW, LOA, fever  AGE(>50)  IMMUNOCOMPROMISED,  TB CONTACT  KNOWN CANCER  NEUROLOGICAL DEFICIT (CAUDA EQUINA SYN)
  • 13.
    Physical findings  General examination  Age  Ill looking  Local examination – DO NOT MISS A GIBBUS
  • 14.
    Deformity  Scoliosis/kyphosis  Step deformity  Local tenderness/paraspinal spasm  Limited ROM
  • 15.
    Full neurological examination  ANAL TONE / PERIANAL SENSATION  DERMATOME & MYOTOME
  • 16.
  • 17.
    Plain radiograph  AP -loss of lumbar lordosis -reduced disc space -osteophytes -deformity -fracture (increase interpedicular distance) -osteoporosis -pedicle disruption
  • 25.
    Lateral -fracture/wedging -kyphosis -spondylolisthesis  Oblique -spondylolysis (SCOTTIE DOG)
  • 28.
  • 30.
    Blood investigations  FBC  Anemia, TWC  ESR  Liver function test  ALP  Renal function test  Calcium level
  • 31.
    CT Scan  better visualization of bone pathology (eg. cortical destruction)  fracture  tumor
  • 35.
    MRI  -better soft tissue visualization  -disc  -ligaments (ALL,PLL)  -nerves (spinal cord, roots)  -bone marrow  -pus collection
  • 36.
  • 38.
    CT myelogram  role replaced by MRI  for delineation of neural structures where MRI is not available/contraindicated
  • 39.
  • 40.
    Bone scan  Suspicious of multiple bone mets  Eg. with history of untreated/treated CA  Negative in Multiple myeloma
  • 41.
    Treatment  Mainly conservative -Bed rest/pelvic traction -physiotherapy -back exercise -modification of daily activities -SWD/ultrasound -NSAIDs/COX-2 inhibitor -local injection (epidural steroids, facet joint)
  • 42.
  • 43.
  • 44.
    Indications for surgery -PAIN - failed conservative treatment (>6 months) -Evidence of neurological deficit (motor) -Cauda equina syndrome -Spinal instability (excessive spinal motion) -Unacceptable deformity (eg degenerative scoliosis)
  • 45.
    Surgery 1. DECOMPRESSIONof spinal nerves (BURST FRACTURE, Spinal stenosis, PID) 2. Fusion & Stabilization (Instrumentation) 3. Correction of deformity
  • 46.
  • 47.
  • 48.