PGI Mae Caridad R. Martinquilla
Anatomy and Physiology
• 8th
week of embryologic
development
• The relationship of the
base of the appendix to
the cecum remains
constant, whereas the tip
can be found in a
retrocecal, pelvic,
subcecal, preileal, or right
pericolic position
Anatomy and Physiology
• The three taeniae coli
converge at the junction of
the cecum with the
appendix
• Length: <1 cm to >30cm
• most appendices are 6 to 9
cm long
• Mc Burney’s point- 1/3 of
the distance from the
anterior superior iliac spine
to the umbilicus.
Anatomy and Physiology
• Appendicular artery
-branch from the lower
division of the ileocolic
artery
• The main artery approches
the tip of the appendix, this
one may be thrombosed in
appendicitis gangrene
and infarction
• Postcecal or ileocolic vein -
and then into the superior
mesenteric vein
Anatomy and Physiology
• Its connected by a short mesoappendix to the
lower part of the ileal mesentery
• Small lumen opens into the caecum,
sometimes this orifice is guarded by a
semilunar mucosal fold forming a valve
• The lumen may be widely patent in early
childhood; partially or wholly obliterated in
the later decades of life
Anatomy and Physiology
• The appendix was erroneously viewed as a
vestigial organ with no known function
• Now well recognized that the appendix is an
immunologic organ that actively participates
in the secretion of immunoglobulins,
particularly immunoglobulin A
• Lymphoid tissue first appears in the appendix
approximately 2 weeks after birth
Anatomy and Physiology
• Sympathetic and parasympathetic nerves
from the superior mesenteric plexus
Acute Appendicitis
• 2nd
- 4th
decades of life
• mean age of 31.3 years
• median age of 22 years
• Slight male: female predominance (1.2 to
1.3:1)
• Rate of misdiagnosis of appendicitis has
remained constant (15.3%)
– higher among women than among men
Acute Appendicitis
• Obstruction of the lumen- dominant etiologic
factor
• Fecaliths-most common cause of appendiceal
obstruction
• Less common causes:
– Hypertrophy of lymphoid tissue
– Inspissated barium from previous x-ray
studies
– Tumors
– Vegetable and fruit seeds
– Intestinal parasites
Pathophysiology
• Distention of the appendix stimulates the
nerve endings of visceral afferent stretch
fibers vague, dull, diffuse pain in the
midabdomen or lower epigastrium
• Distention increases from continued mucosal
secretion and from rapid multiplication of the
resident bacteria of the appendix
Pathophysiology
• Distention of this magnitude  reflex nausea
and vomiting
• Capillaries and venules are occluded, but
arteriolar inflow continues engorgement
and vascular congestion
• inflammatory process soon involves the
serosa of the appendix parietal peritoneum
in the regioncharacteristic shift in pain to
the right lower quadrant
Bacterial population
• The bacterial population of the normal
appendix is similar to that of the normal colon
• The principal organisms seen in the normal
appendix, in acute appendicitis, and in
perforated appendicitis are Escherichia coli
and Bacteroides fragilis
• Appendicitis is a polymicrobial infection
Antibiotic Coverage
• flora is known broad-spectrum antibiotics
are indicated
• Antibiotic prophylaxis is effective in the
prevention of postoperative wound infection
and intra-abdominal abscess.
– nonperforated appendicitis: coverage is limited to
24 to 48 hours
– perforated appendicitis: 7 to 10 days of therapy is
recommended
Symptoms
• Abdominal pain is the prime symptom
• pain is initially diffusely centered in the lower
epigastrium or umbilical area
• After a period varying from 1 to 12 hours, but
usually within 4 to 6 hours, the pain localizes to
the right lower quadrant
• Retrocecal appendix - flank or back pain
• Pelvic appendix- suprapubic pain
• Petroileal appendix- testicular pain
Symptoms
• Anorexia nearly always accompanies
appendicitis
• Vomiting occurs in nearly 75% of patients
• History of obstipation
• Diarrhea occurs in some patients
• >95% of patients  anorexia is the first
symptom, followed by abdominal pain, which
is followed, in turn, by vomiting (if vomiting
occurs)
Signs
• The classic right lower quadrant physical signs are
present when the inflamed appendix lies in the
anterior position
• Direct tenderness often is maximal at or near the
McBurney point
• Rebound tenderness
• Referred or indirect rebound tenderness
• Rovsing’s sign -indicates the site of peritoneal
irritation
• Cutaneous hyperesthesia
Signs
• Muscular resistance to palpation of the
abdominal wall roughly parallels the severity
of the inflammatory process
• Early in the disease voluntary guarding
• As peritoneal irritation progresses
involuntary guarding/true reflex rigidity
– contraction of muscles directly beneath the
inflamed parietal peritoneum
Signs
• Signs of localized muscle irritation also may be
present
• Psoas sign
– lie on the left side as the examiner slowly extends the
patient's right thigh, thus stretching the iliopsoas
muscle
– result is positive if extension produces pain
• Obturator sign
– irritation in the pelvis
– passive internal rotation of the flexed right thigh with
the patient supine
Laboratory
• Mild leukocytosis, ranging from 10,000 to
18,000 cells/mm3
with moderate
polymorphonuclear predominance  acute,
uncomplicated appendicitis
• Urinalysis can be useful to rule out the urinary
tract as the source of infection
– Although several white or red blood cells can be
present from ureteral or bladder irritation as a
result of an inflamed appendix
Imaging
• Radiographic studies
– abnormal bowel gas pattern nonspecific finding
– presence of a fecalith  highly suggestive of the
diagnosis
• Barium enema examination and radioactively
labeled leukocyte scans
– If the appendix fills on barium enema, appendicitis
is excluded; if the appendix does not fill, no
determination can be made
Imaging
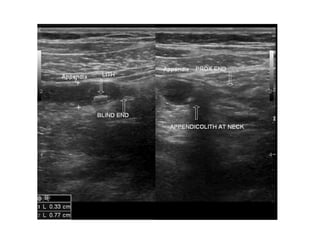
• Sonography
– inexpensive, can be performed rapidly, does not
require a contrast medium, and can be used even in
pregnant patients
– appendix is identified as a blind-ending, nonperistaltic
bowel loop originating from the cecum
– presence of an appendicolith establishes the
diagnosis
– Thickening of the appendiceal wall and the presence
of periappendiceal fluid is highly suggestive
– sensitivity of 55 to 96% and a specificity of 85 to 98%
Imaging
• High-resolution helical CT
– inflamed appendix appears dilated (>5 cm) and the
wall is thickened.
– evidence of inflammation, with "dirty fat," thickened
mesoappendix, and even an obvious phlegmon
– Fecaliths
– Arrowhead sign
– CT scanning is also an excellent technique for
identifying other inflammatory processes
masquerading as appendicitis
Appendicial Rupture
• Immediate appendectomy has long been the
recommended treatment for acute
appendicitis because of the presumed risk of
progression to rupture
• rate of perforated appendicitis  25.8%
• Children <5 years of age and patients >65
years of age have the highest rates of
perforation (45 and 51%, respectively)
Appendicial Rupture
• Appendiceal rupture occurs most frequently
distal to the point of luminal obstruction
• Fever with a temperature of >39°C (102°F) and a
white blood cell count of >18,000 cells/mm3
• In the majority of cases, rupture is contained and
patients display localized rebound tenderness
• Generalized peritonitis will be present if the
walling-off process is ineffective in containing the
rupture.
Appendicial Rupture
• Phlegmon- matted loops of bowel adherent to
the adjacent inflamed appendix, or a
periappendiceal abscess
• Phlegmons and small abscesses can be treated
conservatively with IV antibiotics
– well-localized abscesses can be managed with
percutaneous drainage
– complex abscesses should be considered for
surgical drainage
Differential Diagnosis
• The differential diagnosis of acute appendicitis depends
on 4 major factors: the anatomic location of the inflamed
appendix; the stage of the process (i.e., simple or
ruptured); the patient's age; and the patient's sex
1.Acute Mesenteric Adenitis
2.Gynecologic disorders
3.Acute gastrointeritis
4.Other intestinal disorders
Treatment
• Open appendectomy
• Laparoscopic
appendectomy
• Natural orifice
transluminal
endoscopic surgery
• Interval appendectomy
Treatment
Thank you!

Appendix

  • 1.
    PGI Mae CaridadR. Martinquilla
  • 2.
    Anatomy and Physiology •8th week of embryologic development • The relationship of the base of the appendix to the cecum remains constant, whereas the tip can be found in a retrocecal, pelvic, subcecal, preileal, or right pericolic position
  • 3.
    Anatomy and Physiology •The three taeniae coli converge at the junction of the cecum with the appendix • Length: <1 cm to >30cm • most appendices are 6 to 9 cm long • Mc Burney’s point- 1/3 of the distance from the anterior superior iliac spine to the umbilicus.
  • 4.
    Anatomy and Physiology •Appendicular artery -branch from the lower division of the ileocolic artery • The main artery approches the tip of the appendix, this one may be thrombosed in appendicitis gangrene and infarction • Postcecal or ileocolic vein - and then into the superior mesenteric vein
  • 6.
    Anatomy and Physiology •Its connected by a short mesoappendix to the lower part of the ileal mesentery • Small lumen opens into the caecum, sometimes this orifice is guarded by a semilunar mucosal fold forming a valve • The lumen may be widely patent in early childhood; partially or wholly obliterated in the later decades of life
  • 9.
    Anatomy and Physiology •The appendix was erroneously viewed as a vestigial organ with no known function • Now well recognized that the appendix is an immunologic organ that actively participates in the secretion of immunoglobulins, particularly immunoglobulin A • Lymphoid tissue first appears in the appendix approximately 2 weeks after birth
  • 10.
    Anatomy and Physiology •Sympathetic and parasympathetic nerves from the superior mesenteric plexus
  • 11.
    Acute Appendicitis • 2nd -4th decades of life • mean age of 31.3 years • median age of 22 years • Slight male: female predominance (1.2 to 1.3:1) • Rate of misdiagnosis of appendicitis has remained constant (15.3%) – higher among women than among men
  • 12.
    Acute Appendicitis • Obstructionof the lumen- dominant etiologic factor • Fecaliths-most common cause of appendiceal obstruction • Less common causes: – Hypertrophy of lymphoid tissue – Inspissated barium from previous x-ray studies – Tumors – Vegetable and fruit seeds – Intestinal parasites
  • 13.
    Pathophysiology • Distention ofthe appendix stimulates the nerve endings of visceral afferent stretch fibers vague, dull, diffuse pain in the midabdomen or lower epigastrium • Distention increases from continued mucosal secretion and from rapid multiplication of the resident bacteria of the appendix
  • 14.
    Pathophysiology • Distention ofthis magnitude  reflex nausea and vomiting • Capillaries and venules are occluded, but arteriolar inflow continues engorgement and vascular congestion • inflammatory process soon involves the serosa of the appendix parietal peritoneum in the regioncharacteristic shift in pain to the right lower quadrant
  • 15.
    Bacterial population • Thebacterial population of the normal appendix is similar to that of the normal colon • The principal organisms seen in the normal appendix, in acute appendicitis, and in perforated appendicitis are Escherichia coli and Bacteroides fragilis • Appendicitis is a polymicrobial infection
  • 17.
    Antibiotic Coverage • florais known broad-spectrum antibiotics are indicated • Antibiotic prophylaxis is effective in the prevention of postoperative wound infection and intra-abdominal abscess. – nonperforated appendicitis: coverage is limited to 24 to 48 hours – perforated appendicitis: 7 to 10 days of therapy is recommended
  • 18.
    Symptoms • Abdominal painis the prime symptom • pain is initially diffusely centered in the lower epigastrium or umbilical area • After a period varying from 1 to 12 hours, but usually within 4 to 6 hours, the pain localizes to the right lower quadrant • Retrocecal appendix - flank or back pain • Pelvic appendix- suprapubic pain • Petroileal appendix- testicular pain
  • 19.
    Symptoms • Anorexia nearlyalways accompanies appendicitis • Vomiting occurs in nearly 75% of patients • History of obstipation • Diarrhea occurs in some patients • >95% of patients  anorexia is the first symptom, followed by abdominal pain, which is followed, in turn, by vomiting (if vomiting occurs)
  • 20.
    Signs • The classicright lower quadrant physical signs are present when the inflamed appendix lies in the anterior position • Direct tenderness often is maximal at or near the McBurney point • Rebound tenderness • Referred or indirect rebound tenderness • Rovsing’s sign -indicates the site of peritoneal irritation • Cutaneous hyperesthesia
  • 21.
    Signs • Muscular resistanceto palpation of the abdominal wall roughly parallels the severity of the inflammatory process • Early in the disease voluntary guarding • As peritoneal irritation progresses involuntary guarding/true reflex rigidity – contraction of muscles directly beneath the inflamed parietal peritoneum
  • 22.
    Signs • Signs oflocalized muscle irritation also may be present • Psoas sign – lie on the left side as the examiner slowly extends the patient's right thigh, thus stretching the iliopsoas muscle – result is positive if extension produces pain • Obturator sign – irritation in the pelvis – passive internal rotation of the flexed right thigh with the patient supine
  • 24.
    Laboratory • Mild leukocytosis,ranging from 10,000 to 18,000 cells/mm3 with moderate polymorphonuclear predominance  acute, uncomplicated appendicitis • Urinalysis can be useful to rule out the urinary tract as the source of infection – Although several white or red blood cells can be present from ureteral or bladder irritation as a result of an inflamed appendix
  • 25.
    Imaging • Radiographic studies –abnormal bowel gas pattern nonspecific finding – presence of a fecalith  highly suggestive of the diagnosis • Barium enema examination and radioactively labeled leukocyte scans – If the appendix fills on barium enema, appendicitis is excluded; if the appendix does not fill, no determination can be made
  • 27.
    Imaging • Sonography – inexpensive,can be performed rapidly, does not require a contrast medium, and can be used even in pregnant patients – appendix is identified as a blind-ending, nonperistaltic bowel loop originating from the cecum – presence of an appendicolith establishes the diagnosis – Thickening of the appendiceal wall and the presence of periappendiceal fluid is highly suggestive – sensitivity of 55 to 96% and a specificity of 85 to 98%
  • 29.
    Imaging • High-resolution helicalCT – inflamed appendix appears dilated (>5 cm) and the wall is thickened. – evidence of inflammation, with "dirty fat," thickened mesoappendix, and even an obvious phlegmon – Fecaliths – Arrowhead sign – CT scanning is also an excellent technique for identifying other inflammatory processes masquerading as appendicitis
  • 33.
    Appendicial Rupture • Immediateappendectomy has long been the recommended treatment for acute appendicitis because of the presumed risk of progression to rupture • rate of perforated appendicitis  25.8% • Children <5 years of age and patients >65 years of age have the highest rates of perforation (45 and 51%, respectively)
  • 34.
    Appendicial Rupture • Appendicealrupture occurs most frequently distal to the point of luminal obstruction • Fever with a temperature of >39°C (102°F) and a white blood cell count of >18,000 cells/mm3 • In the majority of cases, rupture is contained and patients display localized rebound tenderness • Generalized peritonitis will be present if the walling-off process is ineffective in containing the rupture.
  • 35.
    Appendicial Rupture • Phlegmon-matted loops of bowel adherent to the adjacent inflamed appendix, or a periappendiceal abscess • Phlegmons and small abscesses can be treated conservatively with IV antibiotics – well-localized abscesses can be managed with percutaneous drainage – complex abscesses should be considered for surgical drainage
  • 36.
    Differential Diagnosis • Thedifferential diagnosis of acute appendicitis depends on 4 major factors: the anatomic location of the inflamed appendix; the stage of the process (i.e., simple or ruptured); the patient's age; and the patient's sex 1.Acute Mesenteric Adenitis 2.Gynecologic disorders 3.Acute gastrointeritis 4.Other intestinal disorders
  • 37.
    Treatment • Open appendectomy •Laparoscopic appendectomy • Natural orifice transluminal endoscopic surgery • Interval appendectomy
  • 38.
  • 39.

Editor's Notes

  • #3 First becomes visible in the 8 th week of embryologic development as a protuberance off the terminal portion of the cecum
  • #4 right side of the abdomen that is one-third of the distance from the anterior superior iliac spine to the umbilicus. This point roughly corresponds to the most common location of the base of the appendix where it is attached to the cecum .
  • #5 , runs behind the terminal ileum and enters the mesoappendix a short distance from the appendicular base. Here it gives off a recurrent branch, which anastomoses with a branch from the posterior caecal artery.
  • #6 From the body and apex of the appendix 8-15 vessels ascend in the mesoappendix and are ocasionally intrupted by one or more nodes &gt;&gt; unite to form 3 or 4 larger vessels &gt;&gt; inf and superior nodes of the ileocolic chain.
  • #10 . The amount of lymphoid tissue increases throughout puberty, remains steady for the next decade, and then begins a steady decrease with age. After the age of 60 years, virtually no lymphoid tissue remains within the appendix, and complete obliteration of the appendiceal lumen is common. 1–4
  • #15 Distention of this magnitude  causes reflex nausea and vomiting , and the diffuse visceral pain becomes more severe
  • #16 However, a wide variety of both facultative and anaerobic bacteria and mycobacteria may be present , with some series reporting the culture of up to 14 different organisms in patients with perforation. 18
  • #18 The routine culture of intraperitoneal samples in patients with either perforated or nonperforated appendicitis is questionable . By the time culture results are available, the patient often has recovered from the illness . IV antibiotics are usually given until the white blood cell count is normal and the patient is afebrile for 24 hours.
  • #19 , is moderately severe, and is steady, sometimes with intermittent cramping superimposed
  • #20 . Vomiting is caused by both neural stimulation and the presence of ileus. beginning before the onset of abdominal pain, and many feel that defecation would relieve their abdominal pain The sequence of symptom appearance has great significance for the differential diagnosis. . If vomiting precedes the onset of pain, the
  • #21 . This referred tenderness is felt maximally in the right lower quadrant, which indicates localized peritoneal irritation. 25 Rovsing sign—pain in the right lower quadrant when palpatory pressure is exerted in the left lower quadrant— Cutaneous hyperesthesia in the area supplied by the spinal nerves on the right at T10, T11, and T12 frequently accompanies acute appendicitis. Hyperesthesia is elicited either by needle prick or by gently picking up the skin between the forefinger and thumb.
  • #22 . Early in the disease, resistance, if present, consists mainly of voluntary guarding As peritoneal irritation progresses, muscle spasm increases and becomes largely involuntary, that is, true reflex rigidity due to contraction of muscles directly beneath the inflamed parietal peritoneum.
  • #23 Psoas sign indicates an irritative focus in proximity to that muscle. The test is performed by having the patient lie on the left side as the examiner slowly extends the patient&apos;s right thigh, thus stretching the iliopsoas muscle. The test result is positive if extension produces pain. positive obturator sign of hypogastric pain on stretching the obturator internus indicates irritation in the pelvis. The test is performed by passive internal rotation of the flexed right thigh with the patient supine.
  • #25 . White blood cell counts are variable, however. It is unusual for the white blood cell count to be &gt;18,000 cells/mm 3 in uncomplicated appendicitis. White blood cell counts above this level raise the possibility of a perforated appendix with or without an abscess.
  • #26 A chest radiograph is sometimes indicated to rule out referred pain from a right lower lobe pneumonic process.
  • #30 Arrowhead sign. This is caused by thickening of the cecum, which funnels contrast agent toward the orifice of the inflamed appendix.
  • #31 An axial CT image in the upper pelvis shows edema of the cecal wall which, along with barium in the cecum (C), contributes to the &quot;arrowhead sign&quot; of appendicitis. A dilated fluid filled appendix (large arrow) is seen with adjacent stranding of retroperitoneal fat (arrowheads). The appendix follows a retrocecal course (small arrows).
  • #32 The likelihood of appendicitis can be ascertained using the Alvarado scale (Table 30-2). 49 This scoring system was designed to improve the diagnosis of appendicitis and was devised by giving relative weight to specific clinical manifestation eight specific indicators identified. 9 or 10 are almost certain to have appendicitis; there is little advantage in further work-up, and they should go to the operating room 7 or 8 have a high likelihood of appendicitis 5 or 6 are compatible with, but not diagnostic of, appendicitis CT scanning is certainly appropriate for patients with Alvarado scores of 5 and 6, and a case can be built for imaging for those with scores of 7 and 8. On the other hand, it is difficult to justify the expense, radiation exposure, and possible complications of CT scanning in patients whose scores of 0 to 4 make it extremely unlikely (but not impossible) that they have appendicitis.
  • #34 There is no accurate way of determining when and if an appendix will rupture before resolution of the inflammatory process
  • #35 Appendiceal rupture occurs most frequently distal to the point of luminal obstruction along the antimesenteric border of the appendix. Rupture should be suspected in the presence of fever with a temperature of &gt;39°C (102°F) and a white blood cell count of &gt;18,000 cells/mm 3 . In the majority of cases, rupture is contained and patients display localized rebound tenderness. Generalized peritonitis will be present if the walling-off process is ineffective in containing the rupture.
  • #37 Acute mesenteric adenitis is the disease most often confused with acute appendicitis in children. Almost invariably, an upper respiratory tract infection is present or has recently subsided. The pain usually is diffuse, and tenderness is not as sharply localized as in appendicitis. Voluntary guarding is sometimes present, but true rigidity is rare. Generalized lymphadenopathy may be noted. Laboratory procedures are of little help in arriving at the correct diagnosis, although a relative lymphocytosis, when present, suggests mesenteric adenitis. Observation for several hours is in order if the diagnosis of mesenteric adenitis seems likely, because it is a self-limited disease. However, if the differentiation remains in doubt, immediate exploration is the safest course of action. Diseases of the female internal reproductive organs that may erroneously be diagnosed as appendicitis are, in approximate descending order of frequency, pelvic inflammatory disease, ruptured graafian follicle, twisted ovarian cyst or tumor, endometriosis, and ruptured ectopic pregnancy. Acute gastroenteritis is common but usually can be easily distinguished from acute appendicitis. Gastroenteritis is characterized by profuse diarrhea, nausea, and vomiting. Hyperperistaltic abdominal cramps precede the watery stools. The abdomen is relaxed between cramps, and there are no localizing signs. Laboratory values vary with the specific cause.
  • #38 Natural orifice transluminal endoscopic surgery (NOTES) is a new surgical procedure using flexible endoscopes in the abdominal cavity. In this procedure, access is gained by way of organs that are reached through a natural, already-existing external orifice. The hoped-for advantages associated with this method include the reduction of postoperative wound pain, shorter convalescence, avoidance of wound infection and abdominal-wall hernias, and the absence of scars. The first case of transvaginal removal of a normal appendix has recently been reported. 88 Much work remains to determine if NOTES provides any additional advantages over the laparoscopic approach to appendectomy. The accepted approach for the treatment of appendicitis associated with a palpable or radiographically documented mass (abscess or phlegmon) is conservative therapy with interval appendectomy 6 to 10 weeks later. This technique has been quite successful and produces much lower morbidity and mortality rates than immediate appendectomy. Unfortunately, this treatment is associated with greater expense and longer hospitalization time (8 to 13 days vs. 3 to 5 days). 91