Valvular Heart Disease   Dept. Cardiology, 2 nd  Hospital,  Sun Yat-sen Univ.  YANG Li
Rheumatic fever   Rheumatic fever (RF) is generally classified as a connective tissue or collagen-vascular disease It is an inflammatory reaction that causes damage to collagen fibrils and to the ground substance of connective tissue Involves multiple organs: primarily the heart, the joints, and the central nervous system Recurrent attacks of RF may cause fibrosis of heart valves, leading to chronic valvular heart disease
Epidemiology Peak incidence ages 5~15 years Rare before age 4 years and after age 40 years The incidence of RF and prevalence of rheumatic heart disease (RHD)   are markedly variable in different countries: In developed country, such as the united states, the incidence of RF  < 2/100,000 In many developing countries, the incidence of acute RF approaches or exceeds 100/100,000
Etiology and Pathogenesis Multiple factors contribute to the pathogenesis, including   -hemolytic streptococcal pharyngitis and immunological status of the human body Cross immune response between host and   streptococcal antigens Streptococcal pharyngitis ↓ Abnormal reaction-autoimmunity disease
Pathology Pathological characters: Exudative and proliferative inflammatory reactions  involving connective or collagen tissue Affects primarily the heart, joints, brain, cutaneous  and subcutaneous tissues Pathological process : Exudative stage Proliferative stage: Aschoff nodule (pathognomonic) Fibrosis and calcification (scar formation)
Recurrent attacks of RF (rheumatic carditis, valvulitis) -> scar formation and deformity of heart valves -> chronic RHD Valvular involvement: Mitral valve: 75%~80% Aortic valve: 30% Tricuspid & pulmonary valves:  <  5%
Clinical findings  1 、 Major manifestations ①  Carditis:  pericarditis, cardiomegaly, congestive heart  failure, and mitral or aortic regurgitation murmurs   ②  Migratory polyarthritis:  involves large joints lasts 1~5 weeks, subsides without residual deformity prompt response to salicylates or nonsteroidal agents ③  Erythema marginatum: rare  ④  Subcutaneous nodules: uncommon ⑤  Chorea: least common, most diagnostic
2 、 Minor manifestations ①  Clinical findings:  fever, polyarthralgias ②  Laboratory findings Elevated acute phase reactants: ESR (erythrocyte sedimentation rate)   CRP (C reactive protein)   ③  ECG change:  prolonged P-R interval ④  A history of RF  Supporting evidence  of an antecedent group A  streptococcal infection: ①  Positive throat culture or rapid streptococcal antigen test  ②  Elevated or rising titers of antistreptococcal antibodies (anti-streptolysin O and anti-DNase B)
Diagnosis Based on Jones criteria and confirmation of streptococcal infection Guidelines for the diagnosis of initial attacks of RF  ( Jones criteria , updated 1992) If supported by evidence of preceding group A streptococcal infection, the presence of two major manifestations or of one major and two minor manifestations establishes the diagnosis of acute RF
Treatment General Measures Strict bed rest Medical Measures 1. Control streptococcal infection Penicillin is of choice benzathine penicillin, 1.2 million units im once,  or procaine penicillin, 600,000 units im daily, 10 days If allergic to penicillin, erythromycin be given
2. Antirheumatic therapy (1) Salicylates Of choice in patients with little or no cardiac involvement; Particularly effective in reducing fever and relieving joint pain and swelling Aspirin 0.6~0.9 g / 4h in adults; lower doses in children (2) Corticosteroids Used  in patients who do not respond well to adequate doses of salicylates Prednisone 40~60 mg orally daily, tapering over 2 weeks
3. Treatment of symptoms and complications If heart failure is present, digitalis preparations should be used cautiously because cardiac toxicity may occur with conventional dosages Prevention Primary prevention Early treatment of streptococcal pharyngitis  Penicillin or erythromycin Secondary prevention To prevent recurrence of rheumatic activity Long-acting penicillin (benzathine penicillin)  1.2 million units im, every 4 weeks   Sulfonamides or erythromycin may be substituted
Mitral stenosis (MS) Etiology Most commonly rheumatic fever —— rheumatic heart disease ( RHD ) Symptoms commence mostly in 2nd~4th decade 2/3 of all patients are female   25% of all patients with RHD have pure MS 40% have combined MS and mitral regurgitation (MR)
Other rare causes Far less frequently, MS is congenital in etiology observed primarily in infants and young children Calcification of mitral annulus ( when subvalvular or  intravalvular extension is extensive ) observed in old patients Very rarely, MS is a complication of carcinoid disease or connective tissue disease  (systemic lupus erythematosus, SLE; rheumatoid arthritis)
Pathology   Fibrosis, thickening, rigid and calcification of the valve apparatus   Rheumatic fever results in four forms of fusion of the mitral valve apparatus leading to stenosis: Commissural, cuspal, chordal, and combined Characteristically, mitral valve cusps fuse at their edges, and fusion of the chordae results in thickening and shortening of these structures
Commissural adherent and fusion  ↓ restricted opening of mitral valve  ↓  “ fish mouth ” shape of mitral valve orifice Thickening, fusion and shortening of the chordae or papillary muscles  ↓ funnel-shaped  change of valve apparatus
Secondary changes : Chronic MS -> Dilatation of the left atrium Fibrosis of the atrial wall Development of mural thrombi  Hypertrophy and dilation of RV
Hemodynamic changes MS involves mainly LA and RV 1.  Effect of MS on left atrioventricular pressure gradient and left atrial pressure (LAP) MVA  transvalvular gradient  LAP Normal  4 ~ 6cm 2 Mild MS  > 1.5cm 2   5-10mmHg  ↑ Moderate  1.0 ~ 1.5cm 2   10-20mmHg  ↑↑ Severe  < 1.0cm 2   ≥20mmHg  25mmHg
2.  Effect of elevated LAP on pulmonary circulation The elevated LAP in turn raises pulmonary venous and capillary pressures (PVP, PCP), resulting in exertional dyspnea LAP↑  ->   PVP↑ ->  PCP↑ ->  Dyspnea Lung compliance↓ Pulmonary hypertension results from:  1. Passive backward transmission of the elevated LAP 2. Reactive   pulmonary arteriolar constriction, which presumably is triggered by left atrial and pulmonary venous hypertension 3. Organic obliterative changes in the pulmonary vascular bed, which may be considered to be a complication of longstanding and severe MS
3.  Effect of pulmonary hypertension on RV Pulmonary hypertension  ↓ RV hypertrophy & dilation  ( secondary TR, PR ) ↓ Right ventricular failure
Clinical manifestations Symptoms Onset in patients with moderately severe MS ( MVA  < 1.5 cm2 ) Dyspnea:   Principal symptom, appears at early stage  Precipitated by exertion, fever, AF or pregnancy   Exertional dyspnea, orthopnea,   paroxysmal  nocturnal dyspnea, acute pulmonary edema   Hemoptysis  Profuse hemorrhage: rupture of bronchial  submucosal varices Blood-stained sputum Pink, frothy sputum Cough   occurs frequently respiratory infection, compression of left bronchus Hoarseness   (Ortner’s syndrome), less common Compression of left recurrent laryngeal nerve
Physical examination  Cardiac signs of MS Changes of heart sounds:  Accentuated S1 Opening snap (OS)   sharp, follows A2 along left  sternal border or at apex   Both suggest MV leaflets flexible Marked calcification or thickening of the MV leaflets S1 becomes softer, and OS may disappear probably because of diminished motion of the leaflets
Diastolic murmur of MS   A low-pitched, diastolic rumbling murmur, localized at or near apex, with pre-systolic accentuation in patients with sinus rhythm Auscultation of the murmur is facilitated by placing the patient in the left lateral position and auscultate during expiration When the patient is in the left lateral recumbent position, a mid-diastolic or presystolic thrill may be palpable at apex
Cardiac signs secondary to pulmonary hypertension and RV dilation RV pulsation is present at the left parasternal region Accentuated or splitting of P2 may be heard in the second left intercostal space Other signs of pulmonary hypertension: Pulmonic ejection sound, owing to dilation of the PA Graham Steell murmur of PR: a decrescendo diastolic murmur along the left sternal border   When RV dilation is companied by TR, a pansystolic murmur may be audible in the 4th or 5th intercostal space in the left parasternal region
Other signs Mitral face: malar flush Signs of right heart failure: Systemic venous hypertension, hepatomegaly, edema,  and ascites are all signs of severe MS with elevated  pulmonary vascular resistance and right heart failure
Laboratory examination Electrocardiography (ECG) Left atrial enlargement Mitral valve P wave   P-wave duration in lead II  >  0.12 s Large terminal negative P force in lead V1 Right ventricular hypertrophy  Arrhythmia Premature atrial contraction -> atrial fibrillation
Radiological findings   “ Mitral valve heart ” Marked enlargement of LA Enlargement of RV Dilatation of PA Pulmonary congestion Interstitial edema  (manifested as Kerley B lines)
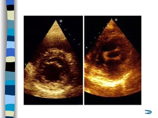
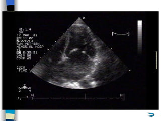
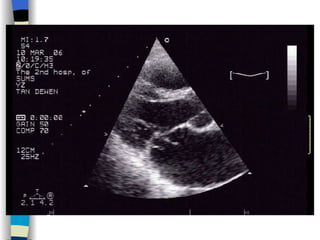
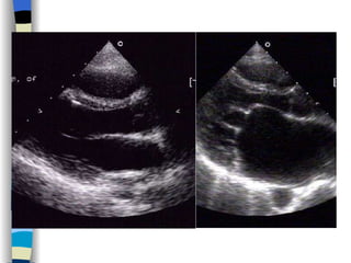
Echocardiography The most valuable technique for diagnosing MS, and determining its severity M-mode echo : Thickened, calcified leaflets open poorly, close slowly (EF slope ↓ ) The double peaks disappear Both leaflets move anteriorly during early diastole Two-dimensional echo: Fusion, thickening,  doming  of the valve leaflets, and poor leaflet separation in diastole;  mitral orifice area ↓
Doppler echo : Most accurate noninvasive technique for quantifying the severity of MS Spectrum Doppler: measure transvalvular gradient, MVA Color Doppler: display  high velocity color jet Provide other important information Cardiac chamber size (LA, RV) Left ventricular contractility Pulmonary arterial pressure Other coexisted valvular or congenital abnormalities  Mural thrombi
Cardiac catheterization Its value in assessment of patients with MS or suspected MS has been largely superseded by echocardiography If surgery is planned, coronary angiography is performed to ascertain whether or not bypass grafting is indicated in patients at risk of having coexisting coronary artery disease
Diagnosis and differential diagnosis Diagnosis  Diastolic rumbling murmur at apex ECG or X ray reveals LA dilatation Confirmed by echocardiography Differential diagnosis  Diastolic murmur at apex Increased flow across mitral valve Severe MR Massive left to right shunts ( VSD, PDA ) Hyperdynamic circulation ( hyperthyroid, anemia ) Austin-Flint murmur ( severe AR ) Left atrial myxoma   postural change of the murmur  other signs of myxoma Graham Steell murmur should be differentiated from aortic regurgitation
Complication Atrial fibrillation  Common ↓ cardiac output by about 20% LA↑, age↑-> Incidence↑  Acute pulmonary edema  Severe Dyspnea and cyanosis; unable to lie on back pink, frothy sputum; both lungs filled with rales Thromboembolism  Develop in 20% of patients  About 2/3 found in the cerebral vessels Recurrent and multiple Risk factors: AF, LA > 55mm, a history of recent  embolism or a low cardiac output
Right ventricular failure Late stage, main cause of death Dyspnea and hemoptysis↓—“protective effect” (RV CO↓-> pulmonary circulation↓->LAP↓; thickening of alveolus & pulmonary capillary walls) Infective endocarditis Occurs  less frequently  on rigid, thickened, calcified valves and is therefore more common in patients  with mild than with severe MS Respiratory infection   Common  Induce and aggregate heart failure
Management General treatment ①   Patients with RHD should receive penicillin  prophylaxis to prevent recurrence of RF and prophylaxis for IE Avoid and control anemia and infections  ②   Asymptomatic patients: avoid strenuous exertion ③   Patients with dyspnea should reduce physical activity, restrict sodium intake, and take oral diuretics
Treatment of complications Profuse hemoptysis Measures designed to reduce pulmonary venous pressure, including sedation, assumption of the upright posture, and aggressive diuresis, are used to treat hemoptysis Acute pulmonary edema Dilate venous system, reduce preload (nitrates) Avoid dilating small artery Digitalis glycosides do not benefit patients with MS and sinus rhythm, but are of great value in slowing the ventricular rate in patients with AF and in the treatment of right-sided HF
Treatment of Arrhythmias AF with rapid ventricular rate: ↓ Ventricular rate (70~80 bpm) : Digitalis glycosides ( iv cedilanid, oral digoxin ) β-blockers In patients with mild MS without marked LA dilation  who have been in AF less than 6~12 months, elective  cardioversion (electrical or pharmacological) should  be considered
Prophylactic anticoagulant treatment AF Previous embolic episodes LA thrombus revealed by echocardiography Long term anticoagulant treatment with warfarin is necessary in patients without contraindication Right ventricular failure Restriction of sodium intake Diuretics  Nitrates
Indications for relieving stenosis Symptomatic patients with moderate to severe MS (MVA < 1.5 cm2), or evidence of pulmonary hypertension with RV hypertrophy  Recurrent systemic emboli despite anticoagulation with moderate or severe stenosis  Percutaneous balloon mitral valvuloplasty ( PBMV ) Procedure of choice for pure MS with pliable and noncalcific valve
Surgical techniques Open mitral commissurotomy Indication: Patients without significant MR  valvular calcification, involvement of chordae and  papillary muscle, left atrial thrombus or restenosis Mitral valve replacement Indication:   Severe distortion and extensive calcification of the valve  and subvalvular apparatus;  Associated with significant MR or aortic valve disease
Mitral regurgitation (MR) Etiology Mitral valve apparatus and/or LV structural and functional abnormality RHD:  common(1/3); + MS and/ or aortic valve disease Mitral valve prolapse (MVP) myxomatous degeneration, floppy and redundancy Ischemic heart disease (or CAD) papillary muscle dysfunction Mitral annular calcification
Severe dilatation of LV  result in dilatation of the mitral annulus and  lateral movement of papillary muscle Infective endocarditis valve leaflets destruction, perforation, retraction;  valve closure interfered by vegetation Other causes:  Rupture of the chordae   congenital abnormalities  obstructive hypertrophic cardiomyopathy
Hemodynamic changes MR involves mainly LA and LV Chronic MR Compensation:  MR-> LV volume↑->LV, LA↑->  LVEDV↑-> SV↑-> CO↑, EF↑ Decompensation:  Left HF, LAP and LVEDP↑ -> pulmonary congestion,  pulmonary hypertension, right HF  (hepatomegaly, edema, and ascites) CO↓ Acute MR   MR ->LA, LV volume↑->LVEDP↑->LAP↑->  ↓  pulmonary congestion, pulmonary edema SV and CO↓
Clinical manifestations Symptoms Chronic MR Mild— no symptom Severe— left-sided heart failure Weakness, fatigue (CO↓) Dyspnea (pulmonary congestion) RHD:   symptoms occur late, once present, LV  dysfunction is usually irreversible MVP:   asymptomatic, or atypical chest pain,  palpitation, fatigue; in severe MR, left  HF occur at late stage  Acute  Mild—  mild exertional dyspnea Severe—  acute left HF, pulmonary edema,  or cardiac shock
Physical examination  Cardiac impulse at apex Hyperdynamic Displaced laterally, inferiorly ( Chronic ) Changes of heart sounds S1↓(RHD) or normal (MVP, CAD) S3 (severe MR): prominent Mid or late systolic click ( MVP ) ( Acute: P2↑ , S4 )
Systolic murmur RHD : Pansystolic, blowing, high-pitched murmur maximal at the apex Anterior valve lesion, radiate to the axilla and back  Posterior leaflet abnormality, radiate to the base MVP : mid- to late-systolic murmur Dysfunction of papillary muscles:  Variable (early, mid, late or holosystolic) Rupture of the chordae:  musical ( Acute MR:  not pansystolic murmur, but lower-pitched,  decrescendo, and softer than the murmur of chronic MR )
Laboratory examination ECG Chronic (severe) MR:  LA dilation, Atrial fibrillation LV enlargement and non-specific ST-T changes Acute MR:  sinus tachycardia Radiological findings Chronic (severe) MR:  Cardiomegaly with LA, LV↑; pulmonary congestion,  interstitial edema with Kerley B lines (left HF) C-shaped calcification of mitral annulus Acute MR:  Normal cardiac silhouette or mild LA dilation overt pulmonary congestion, edema
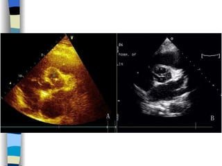
Echocardiography 1 、 Display anatomy of the mitral valve apparatus Useful in determining the etiology of MR ( 2D ) 2 、 Confirm the existence of MR Doppler   (color, spectrum): reveal high-velocity jet into LA during systole Sensitivity~100% Estimate the severity of MR < 4 cm2  Mild ( Color flow jet area )  4~8 cm2  Moderate  > 8 cm2  Severe 3 、 Measure cardiac chamber sizes, evaluate LV function, pulmonary artery pressure, provide data concerning other valvular lesions
Radionuclide angiography and MRI Evaluate LV function Estimate the severity of regurgitation The regurgitant fraction can be estimated from the ratio of LV to RV (LV/RV) stroke volume Cardiac catheterization Confirm the diagnosis of MR and estimate  its severity, evaluate cardiac function and pulmonary artery pressure Coronary angiography is performed to determine presence of CAD prior to surgery
Diagnosis Chronic MR Typical systolic murmur at apex associated with enlargement of LA and LV Acute MR Sudden onset of dyspnea Systolic murmur at apex Normal cardiac silhouette, but obvious  pulmonary congestion etiology existed Confirmed by Echocardiography
Differential diagnosis Tricuspid regurgitation (TR) SM heard best along the left sternal border  augmented during inspiration Ventricular septal defect (VSD) SM loudest at the left sternal border  accompanied by a parasternal thrill Systolic ejecting murmur at left sternal border:  aortic or pulmonic stenosis hypertrophic obstructive cardiomyopathy Echocardiography
Complication Atrial fibrillation seen frequently in severe cases Infective endocarditis more common than in MS Systemic embolism less common than in MS Heart failure occur early in acute MR but late in chronic MR
Management Chronic MR Medical treatment ①  Prevention: same as in MS  ②  Asymptomatic patients with normal cardiac function : follow-up regularly  ③  Management of AF : similar to that in MS (slow ventricular rate, anticoagulation) ④  Treatment of heart failure : restriction of sodium intake, angiotensin-converting enzyme inhibitors  ( ACEI), diuretics, digitalis glycosides
Surgical treatment Mitral valve replacement Indications ①  Severe MR and in functional Class Ⅲ or Ⅳ ②  Functional ClassⅡ associated with LV dilation  (LVESD > 45mm on echocardiography) ③  Severe MR, progressive deterioration of LVEF↓,  LVESD and LVEDD↑ Mitral valve repair   Indications MVP Chordal rupture Mitral annulus dilation
Acute MR Principle Reduce pulmonary venous pressure Increase cardiac output Correct etiology Medical treatment Intravenous nitroprusside Intravenous diuretics ACEI and other vasodilators Surgical treatment Mitral valve replacement Mitral valve repair
Aortic stenosis (AS) Etiology RHD Common, + AR and mitral valve disease  Degenerative calcific AS  Common in the elderly, accompanied by calcification of the mitral annulus   Congenital abnormalities  Calcific stenosis of congenitally bicuspid aortic valve Congenital aortic stenosis
Hemodynamic changes Normal aortic orifice area (AOA): 3.0~4.0 cm2 AOA ≤1.0cm2, LVSP↑, with significant transvalvular gradient  Compensation AS -> LV pressure load↑ Concentric LVH -> compliance↓ -> LVEDP↑ -> LAH Maintain systolic wall stress and CO  ↑LVEDV Decompensation LVEDV↑ -> wall stress↑, myocardial ischemia, fibrosis  ->  left HF
Clinical manifestations Symptoms Cardinal symptoms: dyspnea, angina and syncope 1. Dyspnea:  exertional dyspnea orthopnea paroxysmal nocturnal dyspnea acute pulmonary edema (varying degrees of pulmonary venous hypertension) 2. Angina pectoris:  occurs frequently in patients with critical AS,  >1/3 associated with coronary artery disease
Mechanisms of ischemia : ①  Myocardial oxygen consumption↑: LVH, LVSP↑, LVET↑ ②  Relative decrease in myocardial capillary density ③  Subendocardial coronary artery compression: LVDP↑  ④  Coronary perfusion pressure↓: AO pressure↓, LVDP↑ Imbalance between myocardial oxygen demand and supply 3. Syncope:  typically exertional Arterial pressure↓-> cerebral perfusion↓ Mechanisms: Increase blood flow to exercising muscle without compensatory increase in cardiac output Severe arrhythmias
Physical examination Systolic ejection murmur Blowing, harsh, crescendo-decrescendo Maximal at aortic area (R2 or L3, 4) Transmitted to the neck and apex  May be associated with systolic thrill The more severe the AS, the longer the duration of the murmur When the LV fails and the CO falls, the murmur becomes softer or disappear
Heart sound changes S1 normal or soft A2 weak or absent paradoxical splitting of S2 prominent S4 Aortic ejection sound congenital AS or pliable valve AS Other signs Left ventricular heave Systolic and pulse pressures↓ Delayed and diminished carotid pulses
Laboratory examination ECG Severe: LVH and secondary ST-T changes,  LA↑ , arrhythmias Radiological findings Normal size or slightly enlarged heart Calcification of the aortic valve Poststenotic dilatation of the ascending aorta Pulmonary congestion
Echocardiography Establish a diagnosis, and determine the severity of AS M-mode and 2D echo  Observe aortic valve opening, thickening and calcification Helpful in determining the etiology of AS Also invaluable in detecting associated mitral valve disease and in assessing LV performance, hypertrophy, and dilatation
Doppler  echo Allows calculation of the aortic valve gradient Estimate the severity of the stenosis <  30 mmHg  Mild AS MPG  30~50 mmHg  Moderate AS > 50 mmHg  Severe AS  Color Doppler flow imaging is helpful in the detection and determination of the severity of any accompanying aortic regurgitation
Cardiac catheterization Determine the severity of AS by measuring systolic LV and aortic pressure simultaneously, and calculating the valve area  An average pressure gradient of  > 50mmHg or peak pressure gradient of ≥ 70mmHg represent severe AS Coronary angiography is performed in most adults to assess for concomitant coronary disease
Diagnosis and differential diagnosis Diagnosis Typical systolic murmur of AS Associated with AR and/or mitral valve damage——RHD Pure AS:   Infants and young children——unicuspid malformation Childhood ~65 years——calcification of bicuspid AV > 65 years——degenerative calcification Confirmed by echocardiography
Differential diagnosis   Transmitted murmur ( MR, TR, VSD ) Other LVOT obstructive disease Congenital supravalvular AS  Congenital subvalvular AS Hypertrophic obstructive cardiomyopathy
Management Medical treatment Treatment of Arrhythmias: prevent AF with an antiarrhythmic agent when premature atrial contractions are frequent; when AF does occur, restore sinus rhythm Treatment of angina pectoris: nitrates Treatment of heart failure: diuretics must be used with caution; vasodilators should be avoided
Surgical treatment Valve replacement Indications: ①  Repeated occurrence of syncope, angina pectoris or  significant left heart failure ②  Asymptomatic patients with progressive LV dysfunction  and/or LV hypertrophy, and very high transvalvular  gradient ( > 80mmHg) ③  Severe AS ( AOA≤0.7 cm2 ) Commissural incision under direct vision In children and adolescents with noncalcific severe congenital AS
Percutaneous balloon valvuloplasty Indications Children and adolescents with congenital noncalcific AS Adults with severe calcific AS who are poor candidates for surgery or as an intermediate procedure prior to surgery: ① Patients with cardiogenic shock due to critical AS ② Patients with critical AS who require an urgent noncardiac operation ③ Pregnant women with critical AS ④ Patients with critical AS who refuse surgical treatment
Aortic regurgitation (AR) Etiology Primary disease of the aortic valves  and/ or aortic root 
Aortic valve disease ①   RHD :   most common, about 2/3 + AS and/or mitral valve disease ②   Infective endocarditis ③   Congenital deformity:  bicuspid valves ④   Myxomatous degeneration of the aortic valve Aortic root dilatation ①   Marfan syndrome ②   Aortic dissection   (involve annulus or leaflets)   ③   Syphilitic aortitis
Hemodynamic changes Chronic AR Compensation : AR->LV volume↑-> LV↑, LVEDV↑-> SV↑ (CO) Decompensation:  LV systolic dysfunction-> LV failure  (EF↓, LVESV↑) Acute AR AR ->LV volume↑-> LVDP↑-> LAP↑ ↓  ↓ CO↓  pulmonary congestion pulmonary edema
Clinical manifestations Symptoms Chronic AR Asymptomatic for many years Palpitation, precordial discomfort, head pounding  (related to SV↑) LV failure  (dyspnea, fatigue):   occur at late stage Angina pectoris or chest pain:  less common Acute AR mild—no symptom severe—Acute LV failure and hypotension (pulmonary edema)
Physical examination Chronic, severe AR ①  Peripheral arterial signs:  Owing to wide pulse pressure:  SBP↑, DBP↓ Water-hammer pulse  ( rapid rise and fall) “ Pistol shot sounds ”   (booming systolic & diastolic sounds  heard over femoral artery) Duroziez’s sign   (systolic, diastolic murmur over partially  compressed femoral artery) Quincke’s sign  (subungual capillary pulsations) de Musset’s sign  (head bobs with each heartbeat ) ②  Apical impulse:  diffuse and forceful, displaced laterally and inferiorly (hyperactive, enlarged LV) ③  Heart sound:  An S3 gallop is common with LV failure
④  Heart murmurs  Aortic diastolic murmur: High-pitched, blowing, decrescendo pattern When AR is due to primary valvular disease, the diastolic  murmur is best heard along the left sternal border in the  3rd and 4th intercostal spaces  However, when it is due mainly to dilatation of the ascending  aorta, the murmur is often more readily audible along the  right upper sternal border Austin-Flint murmur: apical mid or late diastolic low-pitched murmur: common in severe AR, owing to partial closure of MV by  the regurgitant jet
Ejection systolic murmur: common  harsh  at the base of the heart accompanied by a systolic thrill Acute AR S1 soft or absent , P2↑ , S3 and S4 AR murmur: lower pitched and shorter than  that of chronic AR Austin-Flint murmur: brief
Laboratory examination ECG   Acute:  sinus tachycardia; nonspecific ST-T changes   Chronic:  LV enlargement and hypertrophy, arrhythmias   Radiological findings Acute AR:  cardiac size normal or slightly enlarged signs of pulmonary congestion, pulmonary edema Chronic:  LV enlargement, associated with dilatation of  the ascending aorta Severe, aneurysmal dilatation of the aorta suggests  aortic root disease ( Marfan syndrome ) Pulmonary congestion ( LV heart failure )
Echocardiography   Confirm diagnosis, estimate severity, identify the cause 2-D echo:  Structural changes  of the valve leaflets and/or aortic root M mode echo:  Diastolic fluttering  of the anterior leaflet of the mitral valve is an important echocardiographic finding in AR Serial assessments of LV size and function Doppler echo:  Sensitive, accurate noninvasive technique for detecting AR LVOT diastolic  regurgitant  jet , estimate the severity of AR Cardiac catheterization Quantify the severity of AR Evaluate the coronary and aortic root anatomy
Diagnosis and differential diagnosis Diagnosis Characteristic diastolic murmur associated with peripheral arterial signs, make a diagnosis of AR Combined with other information, etiology is usually found Differential diagnosis Graham Steell murmur (pulmonary hypertension associated with dilatation) Austin-Flint murmur: differentiated from that of MS
Management Chronic AR Medical treatment ①  Asymptomatic patients with   severe AR and LV dilation: Vasodilators (ACEI, et al) reduce the severity of AR,  should be used to prolong the compensated period  -blocker: slow the rate of aortic dilation in Marfan’s  ②  Patients with HF:   Vasodilators (ACEI), diuretics and digitalis glycosides
Surgical treatment Valvular replacement Indications: ①  Symptomatic patients ②  Asymptomatic patients with LV dysfunction,  with persistent or progressive LVESV↑or  EF↓at rest Repair or replacement of the root Aortic root disease
Acute AR Medical treatment Principle: reduce pulmonary venous pressure, increase  cardiac output, and stabilize hemodynamics  Intravenous nitroprusside Diuretics  Positive inotropic agent Antibiotics ( active IE ) Surgical treatment Urgently required Valvular replacement or aortic valve repair
 
 
 
 
 
 
 
 
 
 
 
 
 
 
 
 
 
 
 
 
 
 
 

14 Valvular Heart Disease

  • 1.
    Valvular Heart Disease Dept. Cardiology, 2 nd Hospital, Sun Yat-sen Univ. YANG Li
  • 2.
    Rheumatic fever Rheumatic fever (RF) is generally classified as a connective tissue or collagen-vascular disease It is an inflammatory reaction that causes damage to collagen fibrils and to the ground substance of connective tissue Involves multiple organs: primarily the heart, the joints, and the central nervous system Recurrent attacks of RF may cause fibrosis of heart valves, leading to chronic valvular heart disease
  • 3.
    Epidemiology Peak incidenceages 5~15 years Rare before age 4 years and after age 40 years The incidence of RF and prevalence of rheumatic heart disease (RHD) are markedly variable in different countries: In developed country, such as the united states, the incidence of RF < 2/100,000 In many developing countries, the incidence of acute RF approaches or exceeds 100/100,000
  • 4.
    Etiology and PathogenesisMultiple factors contribute to the pathogenesis, including  -hemolytic streptococcal pharyngitis and immunological status of the human body Cross immune response between host and streptococcal antigens Streptococcal pharyngitis ↓ Abnormal reaction-autoimmunity disease
  • 5.
    Pathology Pathological characters:Exudative and proliferative inflammatory reactions involving connective or collagen tissue Affects primarily the heart, joints, brain, cutaneous and subcutaneous tissues Pathological process : Exudative stage Proliferative stage: Aschoff nodule (pathognomonic) Fibrosis and calcification (scar formation)
  • 6.
    Recurrent attacks ofRF (rheumatic carditis, valvulitis) -> scar formation and deformity of heart valves -> chronic RHD Valvular involvement: Mitral valve: 75%~80% Aortic valve: 30% Tricuspid & pulmonary valves: < 5%
  • 7.
    Clinical findings 1 、 Major manifestations ① Carditis: pericarditis, cardiomegaly, congestive heart failure, and mitral or aortic regurgitation murmurs ② Migratory polyarthritis: involves large joints lasts 1~5 weeks, subsides without residual deformity prompt response to salicylates or nonsteroidal agents ③ Erythema marginatum: rare ④ Subcutaneous nodules: uncommon ⑤ Chorea: least common, most diagnostic
  • 8.
    2 、 Minormanifestations ① Clinical findings: fever, polyarthralgias ② Laboratory findings Elevated acute phase reactants: ESR (erythrocyte sedimentation rate) CRP (C reactive protein) ③ ECG change: prolonged P-R interval ④ A history of RF Supporting evidence of an antecedent group A streptococcal infection: ① Positive throat culture or rapid streptococcal antigen test ② Elevated or rising titers of antistreptococcal antibodies (anti-streptolysin O and anti-DNase B)
  • 9.
    Diagnosis Based onJones criteria and confirmation of streptococcal infection Guidelines for the diagnosis of initial attacks of RF ( Jones criteria , updated 1992) If supported by evidence of preceding group A streptococcal infection, the presence of two major manifestations or of one major and two minor manifestations establishes the diagnosis of acute RF
  • 10.
    Treatment General MeasuresStrict bed rest Medical Measures 1. Control streptococcal infection Penicillin is of choice benzathine penicillin, 1.2 million units im once, or procaine penicillin, 600,000 units im daily, 10 days If allergic to penicillin, erythromycin be given
  • 11.
    2. Antirheumatic therapy(1) Salicylates Of choice in patients with little or no cardiac involvement; Particularly effective in reducing fever and relieving joint pain and swelling Aspirin 0.6~0.9 g / 4h in adults; lower doses in children (2) Corticosteroids Used in patients who do not respond well to adequate doses of salicylates Prednisone 40~60 mg orally daily, tapering over 2 weeks
  • 12.
    3. Treatment ofsymptoms and complications If heart failure is present, digitalis preparations should be used cautiously because cardiac toxicity may occur with conventional dosages Prevention Primary prevention Early treatment of streptococcal pharyngitis Penicillin or erythromycin Secondary prevention To prevent recurrence of rheumatic activity Long-acting penicillin (benzathine penicillin) 1.2 million units im, every 4 weeks Sulfonamides or erythromycin may be substituted
  • 13.
    Mitral stenosis (MS)Etiology Most commonly rheumatic fever —— rheumatic heart disease ( RHD ) Symptoms commence mostly in 2nd~4th decade 2/3 of all patients are female 25% of all patients with RHD have pure MS 40% have combined MS and mitral regurgitation (MR)
  • 14.
    Other rare causesFar less frequently, MS is congenital in etiology observed primarily in infants and young children Calcification of mitral annulus ( when subvalvular or intravalvular extension is extensive ) observed in old patients Very rarely, MS is a complication of carcinoid disease or connective tissue disease (systemic lupus erythematosus, SLE; rheumatoid arthritis)
  • 15.
    Pathology Fibrosis, thickening, rigid and calcification of the valve apparatus Rheumatic fever results in four forms of fusion of the mitral valve apparatus leading to stenosis: Commissural, cuspal, chordal, and combined Characteristically, mitral valve cusps fuse at their edges, and fusion of the chordae results in thickening and shortening of these structures
  • 16.
    Commissural adherent andfusion ↓ restricted opening of mitral valve ↓ “ fish mouth ” shape of mitral valve orifice Thickening, fusion and shortening of the chordae or papillary muscles ↓ funnel-shaped change of valve apparatus
  • 17.
    Secondary changes :Chronic MS -> Dilatation of the left atrium Fibrosis of the atrial wall Development of mural thrombi Hypertrophy and dilation of RV
  • 18.
    Hemodynamic changes MSinvolves mainly LA and RV 1. Effect of MS on left atrioventricular pressure gradient and left atrial pressure (LAP) MVA transvalvular gradient LAP Normal 4 ~ 6cm 2 Mild MS > 1.5cm 2 5-10mmHg ↑ Moderate 1.0 ~ 1.5cm 2 10-20mmHg ↑↑ Severe < 1.0cm 2 ≥20mmHg 25mmHg
  • 19.
    2. Effectof elevated LAP on pulmonary circulation The elevated LAP in turn raises pulmonary venous and capillary pressures (PVP, PCP), resulting in exertional dyspnea LAP↑ -> PVP↑ -> PCP↑ -> Dyspnea Lung compliance↓ Pulmonary hypertension results from: 1. Passive backward transmission of the elevated LAP 2. Reactive pulmonary arteriolar constriction, which presumably is triggered by left atrial and pulmonary venous hypertension 3. Organic obliterative changes in the pulmonary vascular bed, which may be considered to be a complication of longstanding and severe MS
  • 20.
    3. Effectof pulmonary hypertension on RV Pulmonary hypertension ↓ RV hypertrophy & dilation ( secondary TR, PR ) ↓ Right ventricular failure
  • 21.
    Clinical manifestations SymptomsOnset in patients with moderately severe MS ( MVA < 1.5 cm2 ) Dyspnea: Principal symptom, appears at early stage Precipitated by exertion, fever, AF or pregnancy Exertional dyspnea, orthopnea, paroxysmal nocturnal dyspnea, acute pulmonary edema Hemoptysis Profuse hemorrhage: rupture of bronchial submucosal varices Blood-stained sputum Pink, frothy sputum Cough occurs frequently respiratory infection, compression of left bronchus Hoarseness (Ortner’s syndrome), less common Compression of left recurrent laryngeal nerve
  • 22.
    Physical examination Cardiac signs of MS Changes of heart sounds: Accentuated S1 Opening snap (OS) sharp, follows A2 along left sternal border or at apex Both suggest MV leaflets flexible Marked calcification or thickening of the MV leaflets S1 becomes softer, and OS may disappear probably because of diminished motion of the leaflets
  • 23.
    Diastolic murmur ofMS A low-pitched, diastolic rumbling murmur, localized at or near apex, with pre-systolic accentuation in patients with sinus rhythm Auscultation of the murmur is facilitated by placing the patient in the left lateral position and auscultate during expiration When the patient is in the left lateral recumbent position, a mid-diastolic or presystolic thrill may be palpable at apex
  • 24.
    Cardiac signs secondaryto pulmonary hypertension and RV dilation RV pulsation is present at the left parasternal region Accentuated or splitting of P2 may be heard in the second left intercostal space Other signs of pulmonary hypertension: Pulmonic ejection sound, owing to dilation of the PA Graham Steell murmur of PR: a decrescendo diastolic murmur along the left sternal border When RV dilation is companied by TR, a pansystolic murmur may be audible in the 4th or 5th intercostal space in the left parasternal region
  • 25.
    Other signs Mitralface: malar flush Signs of right heart failure: Systemic venous hypertension, hepatomegaly, edema, and ascites are all signs of severe MS with elevated pulmonary vascular resistance and right heart failure
  • 26.
    Laboratory examination Electrocardiography(ECG) Left atrial enlargement Mitral valve P wave P-wave duration in lead II > 0.12 s Large terminal negative P force in lead V1 Right ventricular hypertrophy Arrhythmia Premature atrial contraction -> atrial fibrillation
  • 27.
    Radiological findings “ Mitral valve heart ” Marked enlargement of LA Enlargement of RV Dilatation of PA Pulmonary congestion Interstitial edema (manifested as Kerley B lines)
  • 28.
    Echocardiography The mostvaluable technique for diagnosing MS, and determining its severity M-mode echo : Thickened, calcified leaflets open poorly, close slowly (EF slope ↓ ) The double peaks disappear Both leaflets move anteriorly during early diastole Two-dimensional echo: Fusion, thickening, doming of the valve leaflets, and poor leaflet separation in diastole; mitral orifice area ↓
  • 29.
    Doppler echo :Most accurate noninvasive technique for quantifying the severity of MS Spectrum Doppler: measure transvalvular gradient, MVA Color Doppler: display high velocity color jet Provide other important information Cardiac chamber size (LA, RV) Left ventricular contractility Pulmonary arterial pressure Other coexisted valvular or congenital abnormalities Mural thrombi
  • 30.
    Cardiac catheterization Itsvalue in assessment of patients with MS or suspected MS has been largely superseded by echocardiography If surgery is planned, coronary angiography is performed to ascertain whether or not bypass grafting is indicated in patients at risk of having coexisting coronary artery disease
  • 31.
    Diagnosis and differentialdiagnosis Diagnosis Diastolic rumbling murmur at apex ECG or X ray reveals LA dilatation Confirmed by echocardiography Differential diagnosis Diastolic murmur at apex Increased flow across mitral valve Severe MR Massive left to right shunts ( VSD, PDA ) Hyperdynamic circulation ( hyperthyroid, anemia ) Austin-Flint murmur ( severe AR ) Left atrial myxoma postural change of the murmur other signs of myxoma Graham Steell murmur should be differentiated from aortic regurgitation
  • 32.
    Complication Atrial fibrillation Common ↓ cardiac output by about 20% LA↑, age↑-> Incidence↑ Acute pulmonary edema Severe Dyspnea and cyanosis; unable to lie on back pink, frothy sputum; both lungs filled with rales Thromboembolism Develop in 20% of patients About 2/3 found in the cerebral vessels Recurrent and multiple Risk factors: AF, LA > 55mm, a history of recent embolism or a low cardiac output
  • 33.
    Right ventricular failureLate stage, main cause of death Dyspnea and hemoptysis↓—“protective effect” (RV CO↓-> pulmonary circulation↓->LAP↓; thickening of alveolus & pulmonary capillary walls) Infective endocarditis Occurs less frequently on rigid, thickened, calcified valves and is therefore more common in patients with mild than with severe MS Respiratory infection Common Induce and aggregate heart failure
  • 34.
    Management General treatment① Patients with RHD should receive penicillin prophylaxis to prevent recurrence of RF and prophylaxis for IE Avoid and control anemia and infections ② Asymptomatic patients: avoid strenuous exertion ③ Patients with dyspnea should reduce physical activity, restrict sodium intake, and take oral diuretics
  • 35.
    Treatment of complicationsProfuse hemoptysis Measures designed to reduce pulmonary venous pressure, including sedation, assumption of the upright posture, and aggressive diuresis, are used to treat hemoptysis Acute pulmonary edema Dilate venous system, reduce preload (nitrates) Avoid dilating small artery Digitalis glycosides do not benefit patients with MS and sinus rhythm, but are of great value in slowing the ventricular rate in patients with AF and in the treatment of right-sided HF
  • 36.
    Treatment of ArrhythmiasAF with rapid ventricular rate: ↓ Ventricular rate (70~80 bpm) : Digitalis glycosides ( iv cedilanid, oral digoxin ) β-blockers In patients with mild MS without marked LA dilation who have been in AF less than 6~12 months, elective cardioversion (electrical or pharmacological) should be considered
  • 37.
    Prophylactic anticoagulant treatmentAF Previous embolic episodes LA thrombus revealed by echocardiography Long term anticoagulant treatment with warfarin is necessary in patients without contraindication Right ventricular failure Restriction of sodium intake Diuretics Nitrates
  • 38.
    Indications for relievingstenosis Symptomatic patients with moderate to severe MS (MVA < 1.5 cm2), or evidence of pulmonary hypertension with RV hypertrophy Recurrent systemic emboli despite anticoagulation with moderate or severe stenosis Percutaneous balloon mitral valvuloplasty ( PBMV ) Procedure of choice for pure MS with pliable and noncalcific valve
  • 39.
    Surgical techniques Openmitral commissurotomy Indication: Patients without significant MR valvular calcification, involvement of chordae and papillary muscle, left atrial thrombus or restenosis Mitral valve replacement Indication: Severe distortion and extensive calcification of the valve and subvalvular apparatus; Associated with significant MR or aortic valve disease
  • 40.
    Mitral regurgitation (MR)Etiology Mitral valve apparatus and/or LV structural and functional abnormality RHD: common(1/3); + MS and/ or aortic valve disease Mitral valve prolapse (MVP) myxomatous degeneration, floppy and redundancy Ischemic heart disease (or CAD) papillary muscle dysfunction Mitral annular calcification
  • 41.
    Severe dilatation ofLV result in dilatation of the mitral annulus and lateral movement of papillary muscle Infective endocarditis valve leaflets destruction, perforation, retraction; valve closure interfered by vegetation Other causes: Rupture of the chordae congenital abnormalities obstructive hypertrophic cardiomyopathy
  • 42.
    Hemodynamic changes MRinvolves mainly LA and LV Chronic MR Compensation: MR-> LV volume↑->LV, LA↑-> LVEDV↑-> SV↑-> CO↑, EF↑ Decompensation: Left HF, LAP and LVEDP↑ -> pulmonary congestion, pulmonary hypertension, right HF (hepatomegaly, edema, and ascites) CO↓ Acute MR MR ->LA, LV volume↑->LVEDP↑->LAP↑-> ↓ pulmonary congestion, pulmonary edema SV and CO↓
  • 43.
    Clinical manifestations SymptomsChronic MR Mild— no symptom Severe— left-sided heart failure Weakness, fatigue (CO↓) Dyspnea (pulmonary congestion) RHD: symptoms occur late, once present, LV dysfunction is usually irreversible MVP: asymptomatic, or atypical chest pain, palpitation, fatigue; in severe MR, left HF occur at late stage Acute Mild— mild exertional dyspnea Severe— acute left HF, pulmonary edema, or cardiac shock
  • 44.
    Physical examination Cardiac impulse at apex Hyperdynamic Displaced laterally, inferiorly ( Chronic ) Changes of heart sounds S1↓(RHD) or normal (MVP, CAD) S3 (severe MR): prominent Mid or late systolic click ( MVP ) ( Acute: P2↑ , S4 )
  • 45.
    Systolic murmur RHD: Pansystolic, blowing, high-pitched murmur maximal at the apex Anterior valve lesion, radiate to the axilla and back Posterior leaflet abnormality, radiate to the base MVP : mid- to late-systolic murmur Dysfunction of papillary muscles: Variable (early, mid, late or holosystolic) Rupture of the chordae: musical ( Acute MR: not pansystolic murmur, but lower-pitched, decrescendo, and softer than the murmur of chronic MR )
  • 46.
    Laboratory examination ECGChronic (severe) MR: LA dilation, Atrial fibrillation LV enlargement and non-specific ST-T changes Acute MR: sinus tachycardia Radiological findings Chronic (severe) MR: Cardiomegaly with LA, LV↑; pulmonary congestion, interstitial edema with Kerley B lines (left HF) C-shaped calcification of mitral annulus Acute MR: Normal cardiac silhouette or mild LA dilation overt pulmonary congestion, edema
  • 47.
    Echocardiography 1 、Display anatomy of the mitral valve apparatus Useful in determining the etiology of MR ( 2D ) 2 、 Confirm the existence of MR Doppler (color, spectrum): reveal high-velocity jet into LA during systole Sensitivity~100% Estimate the severity of MR < 4 cm2 Mild ( Color flow jet area ) 4~8 cm2 Moderate > 8 cm2 Severe 3 、 Measure cardiac chamber sizes, evaluate LV function, pulmonary artery pressure, provide data concerning other valvular lesions
  • 48.
    Radionuclide angiography andMRI Evaluate LV function Estimate the severity of regurgitation The regurgitant fraction can be estimated from the ratio of LV to RV (LV/RV) stroke volume Cardiac catheterization Confirm the diagnosis of MR and estimate its severity, evaluate cardiac function and pulmonary artery pressure Coronary angiography is performed to determine presence of CAD prior to surgery
  • 49.
    Diagnosis Chronic MRTypical systolic murmur at apex associated with enlargement of LA and LV Acute MR Sudden onset of dyspnea Systolic murmur at apex Normal cardiac silhouette, but obvious pulmonary congestion etiology existed Confirmed by Echocardiography
  • 50.
    Differential diagnosis Tricuspidregurgitation (TR) SM heard best along the left sternal border augmented during inspiration Ventricular septal defect (VSD) SM loudest at the left sternal border accompanied by a parasternal thrill Systolic ejecting murmur at left sternal border: aortic or pulmonic stenosis hypertrophic obstructive cardiomyopathy Echocardiography
  • 51.
    Complication Atrial fibrillationseen frequently in severe cases Infective endocarditis more common than in MS Systemic embolism less common than in MS Heart failure occur early in acute MR but late in chronic MR
  • 52.
    Management Chronic MRMedical treatment ① Prevention: same as in MS ② Asymptomatic patients with normal cardiac function : follow-up regularly ③ Management of AF : similar to that in MS (slow ventricular rate, anticoagulation) ④ Treatment of heart failure : restriction of sodium intake, angiotensin-converting enzyme inhibitors ( ACEI), diuretics, digitalis glycosides
  • 53.
    Surgical treatment Mitralvalve replacement Indications ① Severe MR and in functional Class Ⅲ or Ⅳ ② Functional ClassⅡ associated with LV dilation (LVESD > 45mm on echocardiography) ③ Severe MR, progressive deterioration of LVEF↓, LVESD and LVEDD↑ Mitral valve repair Indications MVP Chordal rupture Mitral annulus dilation
  • 54.
    Acute MR PrincipleReduce pulmonary venous pressure Increase cardiac output Correct etiology Medical treatment Intravenous nitroprusside Intravenous diuretics ACEI and other vasodilators Surgical treatment Mitral valve replacement Mitral valve repair
  • 55.
    Aortic stenosis (AS)Etiology RHD Common, + AR and mitral valve disease Degenerative calcific AS Common in the elderly, accompanied by calcification of the mitral annulus Congenital abnormalities Calcific stenosis of congenitally bicuspid aortic valve Congenital aortic stenosis
  • 56.
    Hemodynamic changes Normalaortic orifice area (AOA): 3.0~4.0 cm2 AOA ≤1.0cm2, LVSP↑, with significant transvalvular gradient Compensation AS -> LV pressure load↑ Concentric LVH -> compliance↓ -> LVEDP↑ -> LAH Maintain systolic wall stress and CO ↑LVEDV Decompensation LVEDV↑ -> wall stress↑, myocardial ischemia, fibrosis -> left HF
  • 57.
    Clinical manifestations SymptomsCardinal symptoms: dyspnea, angina and syncope 1. Dyspnea: exertional dyspnea orthopnea paroxysmal nocturnal dyspnea acute pulmonary edema (varying degrees of pulmonary venous hypertension) 2. Angina pectoris: occurs frequently in patients with critical AS, >1/3 associated with coronary artery disease
  • 58.
    Mechanisms of ischemia: ① Myocardial oxygen consumption↑: LVH, LVSP↑, LVET↑ ② Relative decrease in myocardial capillary density ③ Subendocardial coronary artery compression: LVDP↑ ④ Coronary perfusion pressure↓: AO pressure↓, LVDP↑ Imbalance between myocardial oxygen demand and supply 3. Syncope: typically exertional Arterial pressure↓-> cerebral perfusion↓ Mechanisms: Increase blood flow to exercising muscle without compensatory increase in cardiac output Severe arrhythmias
  • 59.
    Physical examination Systolicejection murmur Blowing, harsh, crescendo-decrescendo Maximal at aortic area (R2 or L3, 4) Transmitted to the neck and apex May be associated with systolic thrill The more severe the AS, the longer the duration of the murmur When the LV fails and the CO falls, the murmur becomes softer or disappear
  • 60.
    Heart sound changesS1 normal or soft A2 weak or absent paradoxical splitting of S2 prominent S4 Aortic ejection sound congenital AS or pliable valve AS Other signs Left ventricular heave Systolic and pulse pressures↓ Delayed and diminished carotid pulses
  • 61.
    Laboratory examination ECGSevere: LVH and secondary ST-T changes, LA↑ , arrhythmias Radiological findings Normal size or slightly enlarged heart Calcification of the aortic valve Poststenotic dilatation of the ascending aorta Pulmonary congestion
  • 62.
    Echocardiography Establish adiagnosis, and determine the severity of AS M-mode and 2D echo Observe aortic valve opening, thickening and calcification Helpful in determining the etiology of AS Also invaluable in detecting associated mitral valve disease and in assessing LV performance, hypertrophy, and dilatation
  • 63.
    Doppler echoAllows calculation of the aortic valve gradient Estimate the severity of the stenosis < 30 mmHg Mild AS MPG 30~50 mmHg Moderate AS > 50 mmHg Severe AS Color Doppler flow imaging is helpful in the detection and determination of the severity of any accompanying aortic regurgitation
  • 64.
    Cardiac catheterization Determinethe severity of AS by measuring systolic LV and aortic pressure simultaneously, and calculating the valve area An average pressure gradient of > 50mmHg or peak pressure gradient of ≥ 70mmHg represent severe AS Coronary angiography is performed in most adults to assess for concomitant coronary disease
  • 65.
    Diagnosis and differentialdiagnosis Diagnosis Typical systolic murmur of AS Associated with AR and/or mitral valve damage——RHD Pure AS: Infants and young children——unicuspid malformation Childhood ~65 years——calcification of bicuspid AV > 65 years——degenerative calcification Confirmed by echocardiography
  • 66.
    Differential diagnosis Transmitted murmur ( MR, TR, VSD ) Other LVOT obstructive disease Congenital supravalvular AS Congenital subvalvular AS Hypertrophic obstructive cardiomyopathy
  • 67.
    Management Medical treatmentTreatment of Arrhythmias: prevent AF with an antiarrhythmic agent when premature atrial contractions are frequent; when AF does occur, restore sinus rhythm Treatment of angina pectoris: nitrates Treatment of heart failure: diuretics must be used with caution; vasodilators should be avoided
  • 68.
    Surgical treatment Valvereplacement Indications: ① Repeated occurrence of syncope, angina pectoris or significant left heart failure ② Asymptomatic patients with progressive LV dysfunction and/or LV hypertrophy, and very high transvalvular gradient ( > 80mmHg) ③ Severe AS ( AOA≤0.7 cm2 ) Commissural incision under direct vision In children and adolescents with noncalcific severe congenital AS
  • 69.
    Percutaneous balloon valvuloplastyIndications Children and adolescents with congenital noncalcific AS Adults with severe calcific AS who are poor candidates for surgery or as an intermediate procedure prior to surgery: ① Patients with cardiogenic shock due to critical AS ② Patients with critical AS who require an urgent noncardiac operation ③ Pregnant women with critical AS ④ Patients with critical AS who refuse surgical treatment
  • 70.
    Aortic regurgitation (AR)Etiology Primary disease of the aortic valves and/ or aortic root 
  • 71.
    Aortic valve disease① RHD : most common, about 2/3 + AS and/or mitral valve disease ② Infective endocarditis ③ Congenital deformity: bicuspid valves ④ Myxomatous degeneration of the aortic valve Aortic root dilatation ① Marfan syndrome ② Aortic dissection (involve annulus or leaflets) ③ Syphilitic aortitis
  • 72.
    Hemodynamic changes ChronicAR Compensation : AR->LV volume↑-> LV↑, LVEDV↑-> SV↑ (CO) Decompensation: LV systolic dysfunction-> LV failure (EF↓, LVESV↑) Acute AR AR ->LV volume↑-> LVDP↑-> LAP↑ ↓ ↓ CO↓ pulmonary congestion pulmonary edema
  • 73.
    Clinical manifestations SymptomsChronic AR Asymptomatic for many years Palpitation, precordial discomfort, head pounding (related to SV↑) LV failure (dyspnea, fatigue): occur at late stage Angina pectoris or chest pain: less common Acute AR mild—no symptom severe—Acute LV failure and hypotension (pulmonary edema)
  • 74.
    Physical examination Chronic,severe AR ① Peripheral arterial signs: Owing to wide pulse pressure: SBP↑, DBP↓ Water-hammer pulse ( rapid rise and fall) “ Pistol shot sounds ” (booming systolic & diastolic sounds heard over femoral artery) Duroziez’s sign (systolic, diastolic murmur over partially compressed femoral artery) Quincke’s sign (subungual capillary pulsations) de Musset’s sign (head bobs with each heartbeat ) ② Apical impulse: diffuse and forceful, displaced laterally and inferiorly (hyperactive, enlarged LV) ③ Heart sound: An S3 gallop is common with LV failure
  • 75.
    ④ Heartmurmurs Aortic diastolic murmur: High-pitched, blowing, decrescendo pattern When AR is due to primary valvular disease, the diastolic murmur is best heard along the left sternal border in the 3rd and 4th intercostal spaces However, when it is due mainly to dilatation of the ascending aorta, the murmur is often more readily audible along the right upper sternal border Austin-Flint murmur: apical mid or late diastolic low-pitched murmur: common in severe AR, owing to partial closure of MV by the regurgitant jet
  • 76.
    Ejection systolic murmur:common harsh at the base of the heart accompanied by a systolic thrill Acute AR S1 soft or absent , P2↑ , S3 and S4 AR murmur: lower pitched and shorter than that of chronic AR Austin-Flint murmur: brief
  • 77.
    Laboratory examination ECG Acute: sinus tachycardia; nonspecific ST-T changes Chronic: LV enlargement and hypertrophy, arrhythmias Radiological findings Acute AR: cardiac size normal or slightly enlarged signs of pulmonary congestion, pulmonary edema Chronic: LV enlargement, associated with dilatation of the ascending aorta Severe, aneurysmal dilatation of the aorta suggests aortic root disease ( Marfan syndrome ) Pulmonary congestion ( LV heart failure )
  • 78.
    Echocardiography Confirm diagnosis, estimate severity, identify the cause 2-D echo: Structural changes of the valve leaflets and/or aortic root M mode echo: Diastolic fluttering of the anterior leaflet of the mitral valve is an important echocardiographic finding in AR Serial assessments of LV size and function Doppler echo: Sensitive, accurate noninvasive technique for detecting AR LVOT diastolic regurgitant jet , estimate the severity of AR Cardiac catheterization Quantify the severity of AR Evaluate the coronary and aortic root anatomy
  • 79.
    Diagnosis and differentialdiagnosis Diagnosis Characteristic diastolic murmur associated with peripheral arterial signs, make a diagnosis of AR Combined with other information, etiology is usually found Differential diagnosis Graham Steell murmur (pulmonary hypertension associated with dilatation) Austin-Flint murmur: differentiated from that of MS
  • 80.
    Management Chronic ARMedical treatment ① Asymptomatic patients with severe AR and LV dilation: Vasodilators (ACEI, et al) reduce the severity of AR, should be used to prolong the compensated period  -blocker: slow the rate of aortic dilation in Marfan’s ② Patients with HF: Vasodilators (ACEI), diuretics and digitalis glycosides
  • 81.
    Surgical treatment Valvularreplacement Indications: ① Symptomatic patients ② Asymptomatic patients with LV dysfunction, with persistent or progressive LVESV↑or EF↓at rest Repair or replacement of the root Aortic root disease
  • 82.
    Acute AR Medicaltreatment Principle: reduce pulmonary venous pressure, increase cardiac output, and stabilize hemodynamics Intravenous nitroprusside Diuretics Positive inotropic agent Antibiotics ( active IE ) Surgical treatment Urgently required Valvular replacement or aortic valve repair
  • 83.
  • 84.
  • 85.
  • 86.
  • 87.
  • 88.
  • 89.
  • 90.
  • 91.
  • 92.
  • 93.
  • 94.
  • 95.
  • 96.
  • 97.
  • 98.
  • 99.
  • 100.
  • 101.
  • 102.
  • 103.
  • 104.
  • 105.