Dr. Amal Fathy Kaddah
Professor of Prosthodontic,
Faculty of Dentistry,
Cairo University.
Errors may be made at any of individual
treatment procedure and are not apparent
until denture insertion.
The importance of early recognition can
mean the difference between failure and
success.
Introduction
 Clinical errors.
 Technical discrepancies and Inherent
deficiencies in the material itself.
 Laboratory Errors.
Causes of Denture Errors
 Errors in impressions
 Ill-fitting trial denture bases.
 Inaccurate jaw relation records.
 Errors during transfer of the records to articulator.
 Incorrect arrangement of teeth.
 Dimensional changes during curing.
 Laboratory and Processing faults.
Causes of clinical and laboratory Errors
Technical discrepancies could be due to:
1- Dimensional Changes in the wax due to variation in
temperature.
2- Expansion of the investing material during the processing
(plaster and dental stone).
3- Errors which may occur during packing of acrylic resin.
4- Changes in the acrylic resin material during processing
procedures (polymerization shrinkage).
5. The pressure of the flask press.
Procedures involved
 Casts and special tray fabrication
 Setting up of teeth
 Try-in
 Wax contouring
 Disarticulation
 Errors of Denture processing
• Flasking
• Wax elimination
• Packing and curing
• Finishing and polishing
Laboratory Faults and Errors
 Setting Anterior
Teeth
Esthetics & Phonetics
Symmetry
Perfect
Symmetry
Gross
Asymmetry
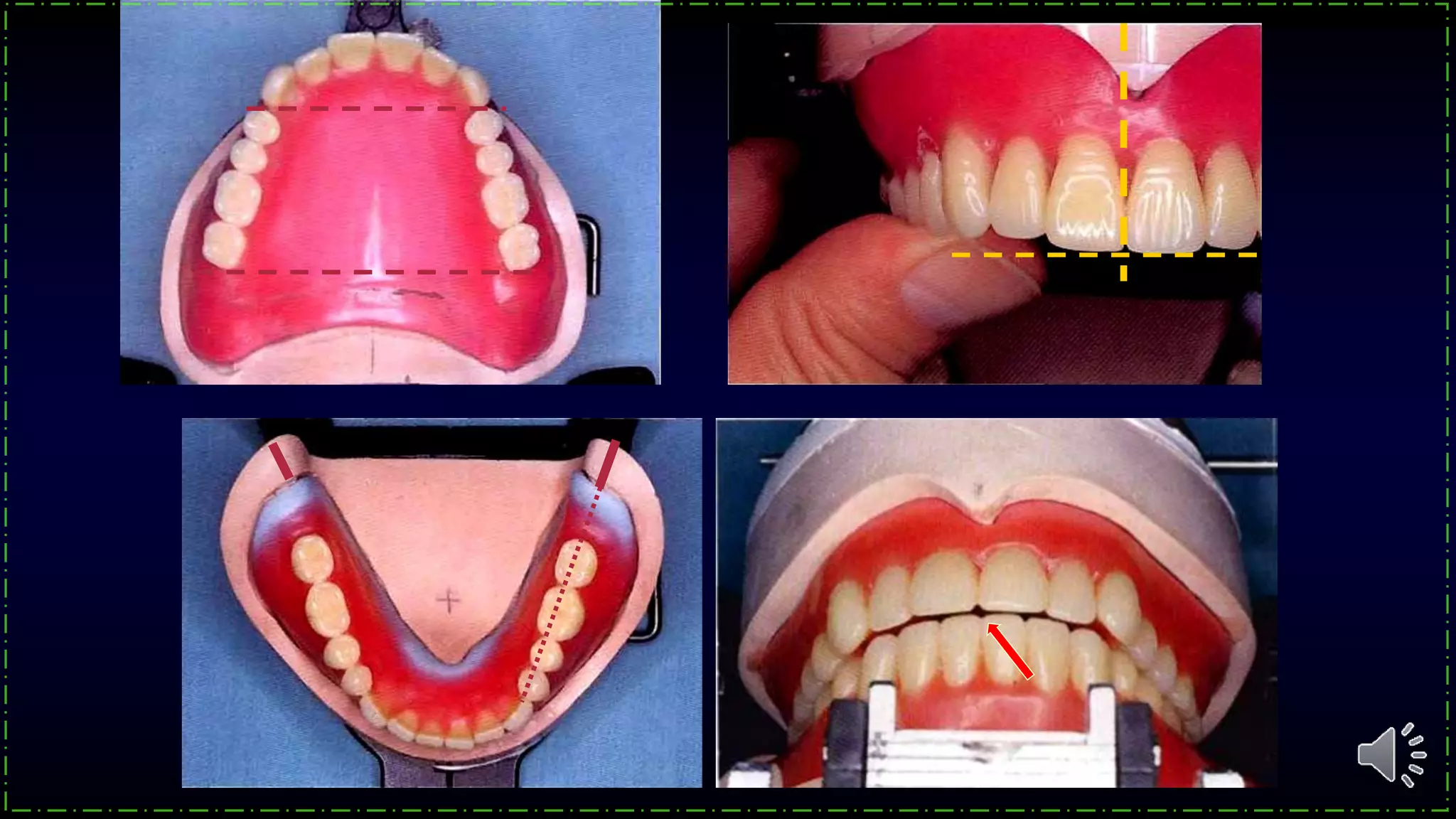
Any defect in anterior teeth arrangement affects
esthetic, phonetics and denture stability
Nasolabial angle ≈ 90°
If insufficient support, the vermilion
border will be reduced
Cervical necks tilt posteriorly from the central
incisor to the canine
Setting Maxillary Anteriors
Setting Mandibular Anteriors
 Incisal edges are placed at the same level
 Even with the occlusal plane
No Anterior
Contact in Centric
Correct
Insufficient
Excessive
Canine Offset
Correct
Insufficient
Improper offset
results in a
space or half
tooth
replacement
Most critical tooth
relationship
Intraoral Assessment of Anterior Teeth
Incisal edges of
maxillary incisors
should follow line of
lower lip when
smiling (‘smile line’).
Central & lateral incisors must begin to turn along
the curvature of the arch.
Circumference Follows Arch
Shape
Facial Support, OVD & Tooth Setup Can
Dramatically Affect Appearance
Phonetic Assessment
• Maxillary centrals should
lightly touch vermilion border
of lower lip for ‘F’, ‘V’ sounds.
• ‘S’ sounds - incisal edges
should approximate each
other.
Effect of incisor length and width
Effect of incisor length and width
Setting Posterior Teeth
Set for Function
• Set teeth as close to:
• Maximum intercuspation.
• Balance.
• All setups will need some adjustment.
Set mandibular premolars & 1st
molar :
• Level with occlusal plane.
• Centered over ridge.
Occlusal plane
Line indicating the crest of the ridge
Second molar elevated by ~ 15° from the
occlusal plane.
15 degrees
Max. lingual cusps contact
central fossae/marginal ridge.
~ 1mm space between buccal
cusps.
Maxillary lingual cusps firmly contact
bilaterally simultaneously
Verify centric
No max. buccal cusp contacts in:
• Centric
• Lateral excursions
Centric Position
Verify excursive contacts
Anterior teeth are in
contact during lateral
excursions.
Working Excursions
Note the balancing contacts
Balancing Excursions
 THE TRIAL DENTURE BASES
Importance of Wax Try-in
• Chance to change
setup
• An opportunity to
improve the final result
Don’t accept the try in
from the Lab. If any of
those errors exists
Waxing-up for try-in
Final wax-up
It is the contouring of the trial denture bases
to reproduce the original form of tissues.
 Waxing up
The form of the polished surfaces and the
proper location of the artificial teeth plays a
major role in:
Stability of the dentures.
Influences its retentive quality.
Influences the esthetics of the denture.
Support the cheeks, lips and tongue.
Upper denture
1.The wax at the periphery must extend to
the full depth of the vestibule.
2.Fully round, well extended and polished.
3. Improper waxing up in the palate may
also cause faulty phonation particularly
of the "S" sound.
The palate should have an even
thickness of 2.5 mm.
4. The labial waxing may be
thickened in order to restore lost
facial contour.
5. Festooning and cuspid eminence
should be provided.
Gingival crests should be trimmed
exactly to the finished line.
6. Stippling of the facial surface.
Lower Denture
1- The labial surface is concave.
2-The peripheries are fully rounded well
extended and polished.
3- In the premolar region the buccal surface is
flat and thin.
In the molar region the wax is thick.
4. The lingual surface must be concave.
Denture base contours
• Affect phonetics,
comfort and retention.
• Should not be convex
in shape.
Convex X Concave
The tongue brings the food onto the occlusal plane then
it holds the food between the upper and lower teeth
cooperating with the buccinator muscle so that the food
can be easily crushed.
Phonetic Tests
These sounds are made with
the tip of the tongue against
the palate in the rugae area
with small space or slit like
channel for the escape of air
between the tongue and hard
palate. The size and shape of
this small space or channel will
determine the quality of the
sound.
•Always check on the total
length of the upper and
lower teeth (including their
vertical overlap).
•The upper and lower incisors
should approach each other
end-to-end, but they should
not touch that indicate a
possible error in the amount
of horizontal overlap of the
anterior teeth.
Lisping
• Palatal contour too
constricted
•Remove wax to provide more
room
• Arch form too broad
50
If the channel formed
between the hard palate
and the tongue is too
narrow and deep
Whistling (Rare with
denture construction)
Lisping “Sh” sound
if the depth of the
channel is further
decreased or
obstructed
Lisping and whistling are opposite phenomena
If this channel is too
shallow (broad and
thin)
Lisping (th or etts)
Finalize TRIAL INSERTION STAGE
• Finalize Wax up
When you realize you've made a mistake,
take immediate steps to correct it.
 DENTURE PROCESSING
• Flasking
• Wax Elimination
• Packing and Curing
Processing faults and errors
1. Errors of sealing
2. Errors of disarticulation
3. Errors during flasking
4. Errors during wax elimination
5. Errors of mixing the resin
6. Errors of packing
7. Errors of curing
8. Errors of cooling
9. Errors of deflasking
10.Errors of finishing and polishing
1. Sealing of the waxed denture base to the
cast using base plate wax.
When festooning is completed Seal the periphery of the
denture flange to the inner edge of the land of the cast.
Before Flasking
Sealed and filled peripheries
. Wax contouring ( festooning ).
. Sealing.
Improper sealing lead to change the relation between
the trial denture and cast.
Errors of sealing
• Soak casts and mounts
in water.
After soaking the master casts and mountings
Plaster in water for a few minutes, gently
remove the casts from the mountings.
2. Disarticulation
• The mounting plaster is
carefully separated from the
cast.
• Split the junction between the
mounting plaster and the cast
with help of wax knife and
plaster mallet.
. After separation, the cast’s soaked in water.
2. Disarticulation
Before Flasking
Soak casts and mounts.
 Errors of disarticulation
Distortion of trial denture and the remounting
plates may result during disarticulation.
3. Flasking
1. Centralize the waxed denture in stone with the
occlusal surface parallel to the base.
2. Invest the trial dentures in the lower half of the flask
with dental stone.
3. Smoothen the dental stone.
Notice that there is no stone on the flask edge,
preventing seating of the middle part of flask.
4. Apply separating media to the dental stone.
Lubricated with
the Vaseline
• If the separating medium
is contaminated with
stone, the stone adhere to
the surface of the denture.
5. Pour dental stone till
the incisal and
occlusal surfaces.
6. EXPOSE THE TEETH.
7. Paint separating medium (to facilitate deflasking)
except occlusal surfaces of teeth.
9. The lid of the flask is pressed into place while the
investing stone is still soft.
8. Pour the third mix of stone to fill the flask and cover
with its cover lid.
The advantage of three pour technique is that it
facilitate easy removes of the denture after curing.
Completed flasking for mandibular
and maxillary complete denture
Holes allow the excess
material to come out.
10. Clean flasks, ready for wax removal.
The clamp is tightened to hold the flask in position
Leave the flask for 30-60 minutes to reach final
setting time of the stone.
 Failure to close flask completely.
 Too much pressure while closing the flask.
 Tooth movement during flasking or packing
 Failure to cool flask before deflasking.
 Distortion due to improper flasking.
 Errors during flasking
2. Stone adhere to the surface of the denture:
• The application of separating medium contaminated
with stone.
• Space between the teeth and resin base.
 Errors during flasking
1. Causes of Tooth movement:
• The use of plaster instead of stone. (Its low
capacity to resist the pressure)
• Incomplete closure of flask.
Incomplete closure of
flask causes tooth
movement.
4. WAX ELIMINATION
1. The flask is soaked in boiling water (100 C ) for
5 minutes to soften the wax.
It is done to remove the wax, so that a mould space is
created for acrylic to fill in.
2. Before placing the flask into the water bath, the
clamp should be loosened.
3. Dewaxing is done to just soften the wax and not
melt it.
4. The softened wax is flushed out using hot water
or wax solvent or soap solution.
5. Even the finest traces of waxes should be
removed.
It is painted with e. g. tinfoil
medium carefully and must
prevent the penetration of the
media to the teeth.
Separating medium is applied
to the mould space to
Lubricate the stone surface
only prior to packing the
acrylic resin.
-To prevent the passage of water from gypsum to resin.
-To minimize the passage of monomer to the plaster.
-To facilitate separation of the flasks.
Separating medium
Various types of separating media used are:
- Cellulose lacquers.
- Soft soaps.
- Sodium silicate.
- Starches.
- Evaporated milk.
- Tinfoil.
- Sodium alginate.
 The soap solution is said to react with
the gypsum forming a membrane
impervious to wax.
 Any traces.
 Errors during wax elimination
5. Mixing of powder and liquid
Heat cure acrylic is used
 Polymer / monomer is mixed according to manufacture
instruction.
 Usually 10cc of monomer , and 30cc of polymer will be
enough to pack an average- sized denture. (1:3 ) M / P.
 When the material reaches the dough stage, it is ready for
packing.
 Greater polymerization shrinkage.
• More time is needed to reach the packing
consistency.
• Porosity can occur in the denture.
a. If too much monomer is used will lead to:
 Errors of mixing the resin
 Not all the polymer beads will be wetted by monomer
and the cured acrylic will be granular.
 Dough will be difficult to manage and it may not form
a continuous mass during processing.
b. If too little monomer is used will lead to:
c. Improper mixing & contamination of the mixture with
dirty hand or instrument may lead to color streaks.
 Errors of mixing the resin
6. Packing
• Packing is introduction of denture base resin into the mould
cavity.
• The powder liquid mixture should be packed into the flask
at the dough stage.
• Divide acrylic in half and place in tooth portion of flasks. To
trial pack, cover with plastic sheet before closing flasks so
flasks can be re-opened to add acrylic, remove flash or
insert names.
• Use cellophane or polyethylene film as a separator for the
half of the flask which is lower half ( on the cast ).
• Place flasks together and press to remove excess acrylic.
• The flask is opened and the flash is trimmed away.
• Before final closure the separating film is removed.
• Final closure of the flask or metal to metal contact of the
flask halves then completed in the process .
• Transfer flasks to compress and tighten completely.
PACKING
Trial packing
keep flasks closed
during curing.
Flasking for Processing
• Insufficient separating medium.
• The introduction of too much material termed over
packing.
• The introduction of too little material called under
packing.
• Adding the resin material in layers during trail packing
• Packing the resin in sticky stage.
• Lack of pressure, lead to presence of fine pits.
Errors of packing
Insufficient separating medium will lead to:
a) Entering the water to the mould and may affect the
rate of polymerization, color and crazing.
b) Penetrating of the monomer into the mould
material causing plaster to adhere to the acrylic
resin and producing a rough (porosity ) surface
Errors of packing
 Too much material (over packing) leads to:
excessive thickness of the denture base
and movement the teeth.
 Too little material ( under packing) lead to
denture base porosity.
Errors of packing
• Adding the resin material in layers during
trial packing may lead to color streaks
• Packing the resin in sticky stage may lead
to porosity.
• Lack of pressure, leads to presence of fine
pits.
Errors of packing
7. Curing (polymerization)
• Bench curing: After final closure the
flasks are kept at room temperature for
30 to 60 min.
• Purpose of bench curing: permit an
equalization of pressures throughout the
mould space.
Curing cycle: It is polymerization
cycle. The curing cycle
selection depends on the
thickness of the resin.
• Long cycle: flasks are placed in water at
160OF (60-70OC) for nine hours.
• Short cycle: flasks are placed in water
at 160OF (70OC) for two hours, then
maintained at 212OF (100OC) for one hour.
Immediate curing after closure of the flask without
allowing the packed flask to bench set for at least
30 minutes before curing, lead to presence of fine
pits in the resin.
Rapid rise of temperature during the initial curing,
lead to gases porosity, crazing and fractured in the
acrylic denture base or teeth.
 Errors of Curing
Incorrect time and temperature of curing,
lead to incomplete curing.
Too much delay in the curing after
packing, cure of the denture lead to sandy
appearance in the resin material.
 Errors of Curing
8. Cooling
• The flask should be cooled slowly
(bench cooled).
• Cooling for 30 min.
• Then placing under tap water for
15 min.
Rapid cooling after curing, leads
to cracked, warpage or fractured
of the denture base or the teeth.
 Errors of cooling
• Deflasking is done using a deflasker and
pribar.
• The lid (cover) of the flask should be
removed.
• The flask is inverted and placed on the
deflasker and tightened with a thumbscrew.
9. Deflasking
• Pribars are inserted laterally to fit in to the slots
of the flask.
• Separate the base and the body by lever action.
• Three incisions are
made one in the anterior
mid-point and two at the
posterior corners.
• Use plaster knife to remove plaster around the
denture.
• The body will slide out of the investment.
• The 2nd and 3rd pour are separated with
plaster knife.
- During deflasking: be careful to preserve the cast, also
do not left or remove the denture from the casts
 Clean the denture and cast from plaster.
 Remove any stone or bubbles from the exposed acrylic
resin and from the occlusal surfaces of the teeth.
 Remove any particles of stone from the base of the cast
and index grooves.
 Using a stiff brush, soap and water clean the denture
and cast before starting the laboratory remount.
• Improper deflasking as used the
hammer for knocking the flask, may
lead to cracked or fractured of the
denture base or the teeth.
 Errors of deflasking
Dentures being re-mounted on the original articulator and
adjustments carried out to provide correct articulation
(Laboratory Remounting).
 Laboratory Remounting
The cast with the processed denture should be remounted
on the articulator using the V-shaped notches for laboratory
Remounting.
using the split-cast method
The processed denture on the master cast is
repositioned to its old position on the articulator by
means of remounting indices made in the master
cast before mounting.
 Laboratory Remounting
Remount and Adjust for Processing Errors`
1. Errors of sealing
Improper sealing lead to change the relation between
the cast and plaster.
10. Finishing & Polishing
1- Trimming
2- Sand papering
3- Pumice wash
Finishing and Polishing
Before trimming plaster at the necks of the teeth
is removed using a chisel.
Borders are trimmed using a laboratory size
carbide bur.
Frenum relief is given using a straight fissure bur.
The thickness of palatal surface is reduced using
a large egg-shaped bur.
Trimming:
The denture should be held against the light
and checked for translucency.
Guide for trimming:
Areas of opacity or darkness indicate excessive
thickness of the denture base. Uniform thickness
of 2 to 2.5mm must be maintained.
Sand paper finishing:
 Sand paper should be fixed on to a lathe
mounted sand paper mandrel.
Even the finest of all scratches should be removed
during this procedure.
Some technicians prefer the use of a wet sand
paper to improve the finish.
Polishing (Pumice wash)
• Pumice powder mixed with water is coated
over a rag wheel.
• The finished denture should be polished by
intermittently pressing against the rotating
rag wheel.
• A hand piece mounted rubber cup or a medium bristle
brush can be used to polish the inaccessible areas.
• After polishing, the denture should be thoroughly washed
in soap water.
• A tooth brush can be used to remove the remaining
plaster and pumice. After finishing, the denture are
stored in water and stored till the day of the insertion
appointment.
• After finishing, the denture are
stored in water and stored till the
day of the insertion appointment.
Errors during finishing and polishing
• Reduction should never be carried out on
the tissue surface.
• Care should be taken to avoid excessive
pressure on the denture to prevent Warpage
due to overheating during polishing.
Common laboratory Errors
a. Insufficient dough
b. Packed at sticky stage.
c. Rapid rise in temperature.
d. Lack of metal to metal contact.
1. Porosity
a. Contamination.
b. Rapid rise in temperature.
c. Rapid cooling.
2. Crazing
Small cracks which may vary in
size from microscopic dimension
to the visible size it indicates
beginning of fracture . cross
linking of resin reduces this fault
considerably .
a. Dry mix. (no enough monomer).
b. Evaporation of monomer.
c. Delayed curing.
3. Sandy
appearance
Stone not properly spatulated.
Air bubbles within the stone.
4. Denture base
with nodules
a. Improper flasking or deflasking.
b. Rapid curing or cooling.
c. Too much monomer.
5. Cracked or
fractured teeth
a. Plaster instead of stone in investing the trial denture.
b. Not enough time for plaster setting.
c. Late packing or over packing.
d. Incomplete closure of the flask.
e. Rapid pressure.
f. Teeth not retained.
6. Tooth
movement
7. Incomplete cure
of the denture
a. Incorrect time and temperature of curing.
b. Organic solvents in contact with the acrylic resin.
8. Bleaching of
acrylic resin
a. An undercure.
b. Incorporation of the tin foil substitute with the acrylic
resin on its surface.
c. Incorporation of wet cellophane into the resin.
d. Contamination with same organic solvents.
9. Stone adhere
to the surface
of the denture
a)Insufficient separating medium on the mold before
packing.
b)The application of separating medium contaminated
with stone.
c) Incomplete elimination of wax during washing out thus
rendering separating medium ineffective.
10 . Space
between the
teeth and resin
base:
a) Delayed curing leaving the flask without curing for a long time
.
b) The application of separating medium on the teeth.
References:
• Boucher, C. O., Hieckey, J. C. and Zarb, G. A.: Prosthodontic treatment for edentulous patients. 2nd ed., C. V. Mosby Co. St.Louis, 2000.
• Eissman, M.R.: Dental laboratory procedures, complete denture, C.V. Mosby company, St. Louis, Toronto, London, 2000.
• Hassaballa, M. A.: Clinical complete denture prosthodontics. 1st edition. Academic Publishing and Press, Riyadh, Saudi Arabia, 2004.
• Iwao Hayakawa: Principles and Practices of Complete Dentures creating the mental image of a denture, Tokyo Medical and Dental University, Tokyo, Japan. Quintessence
Publishing Co., Ltd. 1999.
• Iwao Hayakawa: research profile on BiomedExperts,The Journal of prosthetic dentistry 2007;98(2):141-9. 2007.
• Iwao Hayakawa: Principles and practices of complete dentures: creating the mental image of a denture, rapidshare.com, 27 Dec 2009.
• Kaddah, A. F.: OCCLUSION IN PROSTHODONTICS, Varieties, Aberrations & Management. Dar El-Etehad. First Co. First ed. Cairo Egypt. 98/7071, 1998.
• Tamer El-Gendy: Introduction to complete denture, Didactic and Laboratory Manual, Course Director: Tamer El-Gendy BDS, MS. Assistant Professor. COLLEGE OF
DENTISTRY, THE OHIO STATE UNIVERSITY.2000.
• Winkler, S.: Essentials of complete denture prosthodontics. 2nd ed., PSG Publishing. Co. Inc., 2005.
• Zarb, G. A., Bolender, C. L., Hickey, J.C. and Carlsson G. E.: Boucher’s Prosthodontic Treatment for Edentulous Patients, ed. 12th . St. Louis Mosby, 2000.
• Internet Sites:
• Full denture relining using Tokuso Rebase, By Dr. David J. Sultanov, DMD, Pittsburgh, PA. Information provided by J. Morita USA. The British Dental Journal is
published by Nature Publishing Group for the British Dental Association.© 2002 British Dental Association
• http://www.dentistry.bham.ac.uk/ecourse/pros/casetreat_w3.asp
• http://www.tpub.com/content/medical/14274/css/14274.
• The School of Dentistry, Birmingham UK
• Treatment options for edentulous spaces. Dr David C. Attrill d.c.attrill@bham.ac.uk
• Lectures and PowerPoint® presentation slides:
• Full denture relining using Tokuso Rebase By Dr. David J. Sultanov, DMD, Pittsburgh, PA. Information provided by J. Morita USA
• Lectures Posted by dental products .net. Originally published in the April 2001 Dental Products Report. Copyright 1999-2005 Advanstar Dental Communications.
• Lectures Produced in the United States of America. ISBN 0-7216-9770-4
• Related Links: About Tokuso® Rebase; Rationale for relining; Tips for success.
Thank You
and Good Luck

12- Denture processing and laboratory errors

  • 3.
    Dr. Amal FathyKaddah Professor of Prosthodontic, Faculty of Dentistry, Cairo University.
  • 5.
    Errors may bemade at any of individual treatment procedure and are not apparent until denture insertion. The importance of early recognition can mean the difference between failure and success. Introduction
  • 6.
     Clinical errors. Technical discrepancies and Inherent deficiencies in the material itself.  Laboratory Errors. Causes of Denture Errors
  • 7.
     Errors inimpressions  Ill-fitting trial denture bases.  Inaccurate jaw relation records.  Errors during transfer of the records to articulator.  Incorrect arrangement of teeth.  Dimensional changes during curing.  Laboratory and Processing faults. Causes of clinical and laboratory Errors
  • 8.
    Technical discrepancies couldbe due to: 1- Dimensional Changes in the wax due to variation in temperature. 2- Expansion of the investing material during the processing (plaster and dental stone). 3- Errors which may occur during packing of acrylic resin. 4- Changes in the acrylic resin material during processing procedures (polymerization shrinkage). 5. The pressure of the flask press.
  • 9.
    Procedures involved  Castsand special tray fabrication  Setting up of teeth  Try-in  Wax contouring  Disarticulation  Errors of Denture processing • Flasking • Wax elimination • Packing and curing • Finishing and polishing Laboratory Faults and Errors
  • 11.
  • 12.
  • 13.
    Any defect inanterior teeth arrangement affects esthetic, phonetics and denture stability Nasolabial angle ≈ 90° If insufficient support, the vermilion border will be reduced
  • 14.
    Cervical necks tiltposteriorly from the central incisor to the canine Setting Maxillary Anteriors
  • 15.
    Setting Mandibular Anteriors Incisal edges are placed at the same level  Even with the occlusal plane
  • 16.
    No Anterior Contact inCentric Correct Insufficient Excessive
  • 17.
    Canine Offset Correct Insufficient Improper offset resultsin a space or half tooth replacement Most critical tooth relationship
  • 18.
    Intraoral Assessment ofAnterior Teeth Incisal edges of maxillary incisors should follow line of lower lip when smiling (‘smile line’).
  • 19.
    Central & lateralincisors must begin to turn along the curvature of the arch. Circumference Follows Arch Shape
  • 20.
    Facial Support, OVD& Tooth Setup Can Dramatically Affect Appearance
  • 21.
    Phonetic Assessment • Maxillarycentrals should lightly touch vermilion border of lower lip for ‘F’, ‘V’ sounds. • ‘S’ sounds - incisal edges should approximate each other.
  • 22.
    Effect of incisorlength and width
  • 23.
    Effect of incisorlength and width
  • 24.
    Setting Posterior Teeth Setfor Function • Set teeth as close to: • Maximum intercuspation. • Balance. • All setups will need some adjustment.
  • 25.
    Set mandibular premolars& 1st molar : • Level with occlusal plane. • Centered over ridge. Occlusal plane Line indicating the crest of the ridge
  • 26.
    Second molar elevatedby ~ 15° from the occlusal plane. 15 degrees
  • 27.
    Max. lingual cuspscontact central fossae/marginal ridge. ~ 1mm space between buccal cusps.
  • 28.
    Maxillary lingual cuspsfirmly contact bilaterally simultaneously
  • 29.
    Verify centric No max.buccal cusp contacts in: • Centric • Lateral excursions Centric Position
  • 30.
    Verify excursive contacts Anteriorteeth are in contact during lateral excursions. Working Excursions
  • 31.
    Note the balancingcontacts Balancing Excursions
  • 32.
     THE TRIALDENTURE BASES
  • 33.
    Importance of WaxTry-in • Chance to change setup • An opportunity to improve the final result
  • 35.
    Don’t accept thetry in from the Lab. If any of those errors exists
  • 36.
  • 37.
    It is thecontouring of the trial denture bases to reproduce the original form of tissues.  Waxing up
  • 38.
    The form ofthe polished surfaces and the proper location of the artificial teeth plays a major role in: Stability of the dentures. Influences its retentive quality. Influences the esthetics of the denture. Support the cheeks, lips and tongue.
  • 39.
    Upper denture 1.The waxat the periphery must extend to the full depth of the vestibule. 2.Fully round, well extended and polished.
  • 40.
    3. Improper waxingup in the palate may also cause faulty phonation particularly of the "S" sound. The palate should have an even thickness of 2.5 mm.
  • 41.
    4. The labialwaxing may be thickened in order to restore lost facial contour. 5. Festooning and cuspid eminence should be provided. Gingival crests should be trimmed exactly to the finished line. 6. Stippling of the facial surface.
  • 42.
    Lower Denture 1- Thelabial surface is concave. 2-The peripheries are fully rounded well extended and polished.
  • 43.
    3- In thepremolar region the buccal surface is flat and thin. In the molar region the wax is thick. 4. The lingual surface must be concave.
  • 44.
    Denture base contours •Affect phonetics, comfort and retention. • Should not be convex in shape. Convex X Concave
  • 45.
    The tongue bringsthe food onto the occlusal plane then it holds the food between the upper and lower teeth cooperating with the buccinator muscle so that the food can be easily crushed.
  • 46.
  • 47.
    These sounds aremade with the tip of the tongue against the palate in the rugae area with small space or slit like channel for the escape of air between the tongue and hard palate. The size and shape of this small space or channel will determine the quality of the sound.
  • 48.
    •Always check onthe total length of the upper and lower teeth (including their vertical overlap). •The upper and lower incisors should approach each other end-to-end, but they should not touch that indicate a possible error in the amount of horizontal overlap of the anterior teeth.
  • 49.
    Lisping • Palatal contourtoo constricted •Remove wax to provide more room • Arch form too broad
  • 50.
    50 If the channelformed between the hard palate and the tongue is too narrow and deep Whistling (Rare with denture construction) Lisping “Sh” sound if the depth of the channel is further decreased or obstructed Lisping and whistling are opposite phenomena If this channel is too shallow (broad and thin) Lisping (th or etts)
  • 51.
  • 52.
  • 53.
    When you realizeyou've made a mistake, take immediate steps to correct it.
  • 54.
     DENTURE PROCESSING •Flasking • Wax Elimination • Packing and Curing
  • 55.
    Processing faults anderrors 1. Errors of sealing 2. Errors of disarticulation 3. Errors during flasking 4. Errors during wax elimination 5. Errors of mixing the resin 6. Errors of packing 7. Errors of curing 8. Errors of cooling 9. Errors of deflasking 10.Errors of finishing and polishing
  • 56.
    1. Sealing ofthe waxed denture base to the cast using base plate wax. When festooning is completed Seal the periphery of the denture flange to the inner edge of the land of the cast. Before Flasking
  • 57.
    Sealed and filledperipheries . Wax contouring ( festooning ). . Sealing. Improper sealing lead to change the relation between the trial denture and cast. Errors of sealing
  • 58.
    • Soak castsand mounts in water.
  • 59.
    After soaking themaster casts and mountings Plaster in water for a few minutes, gently remove the casts from the mountings. 2. Disarticulation
  • 60.
    • The mountingplaster is carefully separated from the cast. • Split the junction between the mounting plaster and the cast with help of wax knife and plaster mallet. . After separation, the cast’s soaked in water. 2. Disarticulation
  • 61.
  • 62.
     Errors ofdisarticulation Distortion of trial denture and the remounting plates may result during disarticulation.
  • 63.
    3. Flasking 1. Centralizethe waxed denture in stone with the occlusal surface parallel to the base. 2. Invest the trial dentures in the lower half of the flask with dental stone.
  • 64.
    3. Smoothen thedental stone. Notice that there is no stone on the flask edge, preventing seating of the middle part of flask.
  • 65.
    4. Apply separatingmedia to the dental stone.
  • 66.
    Lubricated with the Vaseline •If the separating medium is contaminated with stone, the stone adhere to the surface of the denture.
  • 67.
    5. Pour dentalstone till the incisal and occlusal surfaces. 6. EXPOSE THE TEETH.
  • 68.
    7. Paint separatingmedium (to facilitate deflasking) except occlusal surfaces of teeth.
  • 69.
    9. The lidof the flask is pressed into place while the investing stone is still soft. 8. Pour the third mix of stone to fill the flask and cover with its cover lid.
  • 70.
    The advantage ofthree pour technique is that it facilitate easy removes of the denture after curing. Completed flasking for mandibular and maxillary complete denture
  • 71.
    Holes allow theexcess material to come out. 10. Clean flasks, ready for wax removal.
  • 72.
    The clamp istightened to hold the flask in position Leave the flask for 30-60 minutes to reach final setting time of the stone.
  • 73.
     Failure toclose flask completely.  Too much pressure while closing the flask.  Tooth movement during flasking or packing  Failure to cool flask before deflasking.  Distortion due to improper flasking.  Errors during flasking
  • 74.
    2. Stone adhereto the surface of the denture: • The application of separating medium contaminated with stone. • Space between the teeth and resin base.  Errors during flasking 1. Causes of Tooth movement: • The use of plaster instead of stone. (Its low capacity to resist the pressure) • Incomplete closure of flask.
  • 75.
    Incomplete closure of flaskcauses tooth movement.
  • 76.
    4. WAX ELIMINATION 1.The flask is soaked in boiling water (100 C ) for 5 minutes to soften the wax. It is done to remove the wax, so that a mould space is created for acrylic to fill in.
  • 77.
    2. Before placingthe flask into the water bath, the clamp should be loosened. 3. Dewaxing is done to just soften the wax and not melt it. 4. The softened wax is flushed out using hot water or wax solvent or soap solution. 5. Even the finest traces of waxes should be removed.
  • 80.
    It is paintedwith e. g. tinfoil medium carefully and must prevent the penetration of the media to the teeth. Separating medium is applied to the mould space to Lubricate the stone surface only prior to packing the acrylic resin.
  • 81.
    -To prevent thepassage of water from gypsum to resin. -To minimize the passage of monomer to the plaster. -To facilitate separation of the flasks. Separating medium Various types of separating media used are: - Cellulose lacquers. - Soft soaps. - Sodium silicate. - Starches. - Evaporated milk. - Tinfoil. - Sodium alginate.
  • 82.
     The soapsolution is said to react with the gypsum forming a membrane impervious to wax.  Any traces.  Errors during wax elimination
  • 83.
    5. Mixing ofpowder and liquid Heat cure acrylic is used  Polymer / monomer is mixed according to manufacture instruction.  Usually 10cc of monomer , and 30cc of polymer will be enough to pack an average- sized denture. (1:3 ) M / P.  When the material reaches the dough stage, it is ready for packing.
  • 84.
     Greater polymerizationshrinkage. • More time is needed to reach the packing consistency. • Porosity can occur in the denture. a. If too much monomer is used will lead to:  Errors of mixing the resin
  • 85.
     Not allthe polymer beads will be wetted by monomer and the cured acrylic will be granular.  Dough will be difficult to manage and it may not form a continuous mass during processing. b. If too little monomer is used will lead to: c. Improper mixing & contamination of the mixture with dirty hand or instrument may lead to color streaks.  Errors of mixing the resin
  • 86.
    6. Packing • Packingis introduction of denture base resin into the mould cavity. • The powder liquid mixture should be packed into the flask at the dough stage. • Divide acrylic in half and place in tooth portion of flasks. To trial pack, cover with plastic sheet before closing flasks so flasks can be re-opened to add acrylic, remove flash or insert names.
  • 87.
    • Use cellophaneor polyethylene film as a separator for the half of the flask which is lower half ( on the cast ). • Place flasks together and press to remove excess acrylic. • The flask is opened and the flash is trimmed away. • Before final closure the separating film is removed. • Final closure of the flask or metal to metal contact of the flask halves then completed in the process . • Transfer flasks to compress and tighten completely.
  • 88.
  • 89.
    Trial packing keep flasksclosed during curing.
  • 90.
  • 91.
    • Insufficient separatingmedium. • The introduction of too much material termed over packing. • The introduction of too little material called under packing. • Adding the resin material in layers during trail packing • Packing the resin in sticky stage. • Lack of pressure, lead to presence of fine pits. Errors of packing
  • 92.
    Insufficient separating mediumwill lead to: a) Entering the water to the mould and may affect the rate of polymerization, color and crazing. b) Penetrating of the monomer into the mould material causing plaster to adhere to the acrylic resin and producing a rough (porosity ) surface Errors of packing
  • 93.
     Too muchmaterial (over packing) leads to: excessive thickness of the denture base and movement the teeth.  Too little material ( under packing) lead to denture base porosity. Errors of packing
  • 94.
    • Adding theresin material in layers during trial packing may lead to color streaks • Packing the resin in sticky stage may lead to porosity. • Lack of pressure, leads to presence of fine pits. Errors of packing
  • 96.
    7. Curing (polymerization) •Bench curing: After final closure the flasks are kept at room temperature for 30 to 60 min. • Purpose of bench curing: permit an equalization of pressures throughout the mould space.
  • 97.
    Curing cycle: Itis polymerization cycle. The curing cycle selection depends on the thickness of the resin.
  • 98.
    • Long cycle:flasks are placed in water at 160OF (60-70OC) for nine hours. • Short cycle: flasks are placed in water at 160OF (70OC) for two hours, then maintained at 212OF (100OC) for one hour.
  • 99.
    Immediate curing afterclosure of the flask without allowing the packed flask to bench set for at least 30 minutes before curing, lead to presence of fine pits in the resin. Rapid rise of temperature during the initial curing, lead to gases porosity, crazing and fractured in the acrylic denture base or teeth.  Errors of Curing
  • 100.
    Incorrect time andtemperature of curing, lead to incomplete curing. Too much delay in the curing after packing, cure of the denture lead to sandy appearance in the resin material.  Errors of Curing
  • 102.
    8. Cooling • Theflask should be cooled slowly (bench cooled). • Cooling for 30 min. • Then placing under tap water for 15 min.
  • 103.
    Rapid cooling aftercuring, leads to cracked, warpage or fractured of the denture base or the teeth.  Errors of cooling
  • 104.
    • Deflasking isdone using a deflasker and pribar. • The lid (cover) of the flask should be removed. • The flask is inverted and placed on the deflasker and tightened with a thumbscrew. 9. Deflasking
  • 105.
    • Pribars areinserted laterally to fit in to the slots of the flask. • Separate the base and the body by lever action.
  • 106.
    • Three incisionsare made one in the anterior mid-point and two at the posterior corners. • Use plaster knife to remove plaster around the denture. • The body will slide out of the investment. • The 2nd and 3rd pour are separated with plaster knife.
  • 108.
    - During deflasking:be careful to preserve the cast, also do not left or remove the denture from the casts  Clean the denture and cast from plaster.  Remove any stone or bubbles from the exposed acrylic resin and from the occlusal surfaces of the teeth.  Remove any particles of stone from the base of the cast and index grooves.  Using a stiff brush, soap and water clean the denture and cast before starting the laboratory remount.
  • 109.
    • Improper deflaskingas used the hammer for knocking the flask, may lead to cracked or fractured of the denture base or the teeth.  Errors of deflasking
  • 110.
    Dentures being re-mountedon the original articulator and adjustments carried out to provide correct articulation (Laboratory Remounting).
  • 111.
     Laboratory Remounting Thecast with the processed denture should be remounted on the articulator using the V-shaped notches for laboratory Remounting. using the split-cast method
  • 112.
    The processed dentureon the master cast is repositioned to its old position on the articulator by means of remounting indices made in the master cast before mounting.  Laboratory Remounting
  • 113.
    Remount and Adjustfor Processing Errors` 1. Errors of sealing Improper sealing lead to change the relation between the cast and plaster.
  • 114.
    10. Finishing &Polishing 1- Trimming 2- Sand papering 3- Pumice wash
  • 115.
  • 116.
    Before trimming plasterat the necks of the teeth is removed using a chisel. Borders are trimmed using a laboratory size carbide bur. Frenum relief is given using a straight fissure bur. The thickness of palatal surface is reduced using a large egg-shaped bur. Trimming:
  • 117.
    The denture shouldbe held against the light and checked for translucency. Guide for trimming: Areas of opacity or darkness indicate excessive thickness of the denture base. Uniform thickness of 2 to 2.5mm must be maintained.
  • 118.
    Sand paper finishing: Sand paper should be fixed on to a lathe mounted sand paper mandrel. Even the finest of all scratches should be removed during this procedure. Some technicians prefer the use of a wet sand paper to improve the finish.
  • 119.
    Polishing (Pumice wash) •Pumice powder mixed with water is coated over a rag wheel. • The finished denture should be polished by intermittently pressing against the rotating rag wheel.
  • 120.
    • A handpiece mounted rubber cup or a medium bristle brush can be used to polish the inaccessible areas. • After polishing, the denture should be thoroughly washed in soap water. • A tooth brush can be used to remove the remaining plaster and pumice. After finishing, the denture are stored in water and stored till the day of the insertion appointment.
  • 121.
    • After finishing,the denture are stored in water and stored till the day of the insertion appointment.
  • 122.
    Errors during finishingand polishing • Reduction should never be carried out on the tissue surface. • Care should be taken to avoid excessive pressure on the denture to prevent Warpage due to overheating during polishing.
  • 123.
    Common laboratory Errors a.Insufficient dough b. Packed at sticky stage. c. Rapid rise in temperature. d. Lack of metal to metal contact. 1. Porosity a. Contamination. b. Rapid rise in temperature. c. Rapid cooling. 2. Crazing Small cracks which may vary in size from microscopic dimension to the visible size it indicates beginning of fracture . cross linking of resin reduces this fault considerably . a. Dry mix. (no enough monomer). b. Evaporation of monomer. c. Delayed curing. 3. Sandy appearance
  • 124.
    Stone not properlyspatulated. Air bubbles within the stone. 4. Denture base with nodules a. Improper flasking or deflasking. b. Rapid curing or cooling. c. Too much monomer. 5. Cracked or fractured teeth a. Plaster instead of stone in investing the trial denture. b. Not enough time for plaster setting. c. Late packing or over packing. d. Incomplete closure of the flask. e. Rapid pressure. f. Teeth not retained. 6. Tooth movement
  • 125.
    7. Incomplete cure ofthe denture a. Incorrect time and temperature of curing. b. Organic solvents in contact with the acrylic resin. 8. Bleaching of acrylic resin a. An undercure. b. Incorporation of the tin foil substitute with the acrylic resin on its surface. c. Incorporation of wet cellophane into the resin. d. Contamination with same organic solvents.
  • 126.
    9. Stone adhere tothe surface of the denture a)Insufficient separating medium on the mold before packing. b)The application of separating medium contaminated with stone. c) Incomplete elimination of wax during washing out thus rendering separating medium ineffective. 10 . Space between the teeth and resin base: a) Delayed curing leaving the flask without curing for a long time . b) The application of separating medium on the teeth.
  • 128.
    References: • Boucher, C.O., Hieckey, J. C. and Zarb, G. A.: Prosthodontic treatment for edentulous patients. 2nd ed., C. V. Mosby Co. St.Louis, 2000. • Eissman, M.R.: Dental laboratory procedures, complete denture, C.V. Mosby company, St. Louis, Toronto, London, 2000. • Hassaballa, M. A.: Clinical complete denture prosthodontics. 1st edition. Academic Publishing and Press, Riyadh, Saudi Arabia, 2004. • Iwao Hayakawa: Principles and Practices of Complete Dentures creating the mental image of a denture, Tokyo Medical and Dental University, Tokyo, Japan. Quintessence Publishing Co., Ltd. 1999. • Iwao Hayakawa: research profile on BiomedExperts,The Journal of prosthetic dentistry 2007;98(2):141-9. 2007. • Iwao Hayakawa: Principles and practices of complete dentures: creating the mental image of a denture, rapidshare.com, 27 Dec 2009. • Kaddah, A. F.: OCCLUSION IN PROSTHODONTICS, Varieties, Aberrations & Management. Dar El-Etehad. First Co. First ed. Cairo Egypt. 98/7071, 1998. • Tamer El-Gendy: Introduction to complete denture, Didactic and Laboratory Manual, Course Director: Tamer El-Gendy BDS, MS. Assistant Professor. COLLEGE OF DENTISTRY, THE OHIO STATE UNIVERSITY.2000. • Winkler, S.: Essentials of complete denture prosthodontics. 2nd ed., PSG Publishing. Co. Inc., 2005. • Zarb, G. A., Bolender, C. L., Hickey, J.C. and Carlsson G. E.: Boucher’s Prosthodontic Treatment for Edentulous Patients, ed. 12th . St. Louis Mosby, 2000. • Internet Sites: • Full denture relining using Tokuso Rebase, By Dr. David J. Sultanov, DMD, Pittsburgh, PA. Information provided by J. Morita USA. The British Dental Journal is published by Nature Publishing Group for the British Dental Association.© 2002 British Dental Association • http://www.dentistry.bham.ac.uk/ecourse/pros/casetreat_w3.asp • http://www.tpub.com/content/medical/14274/css/14274. • The School of Dentistry, Birmingham UK • Treatment options for edentulous spaces. Dr David C. Attrill d.c.attrill@bham.ac.uk • Lectures and PowerPoint® presentation slides: • Full denture relining using Tokuso Rebase By Dr. David J. Sultanov, DMD, Pittsburgh, PA. Information provided by J. Morita USA • Lectures Posted by dental products .net. Originally published in the April 2001 Dental Products Report. Copyright 1999-2005 Advanstar Dental Communications. • Lectures Produced in the United States of America. ISBN 0-7216-9770-4 • Related Links: About Tokuso® Rebase; Rationale for relining; Tips for success.
  • 129.