CHEST X-RAY SYSTEMATIC
APPROACH
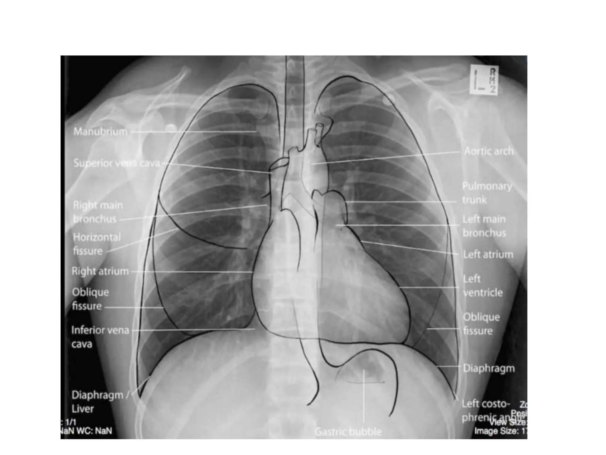
Systematic Approach
• A systematic approach for viewing chest X-rays ensures no
important structures are ignored
• Anatomical structures to check
1. Trachea and bronchi
2. Hilar structures
3. Mediastinum
4. Heart
5. Lung zones
6. Lung lobes and fissures
7. Pleura
8. Costophrenic angles
9. Diaphragm
10.Soft tissues
11.Bones
• Patent ID and date
• Check the patient's identity
• Note the image date and time
• Note the image projection : posterior-anterior (PA) or anterior-
posterior (AP) projection
• Patient was standing, sitting or supine?
• Was the mobile X-ray machine used?
• Image annotations
• Useful information is often annotated on the image
• Check the side marker is correct
• Image annotations
• This is a mobile chest X-ray taken
with the patient supine, at 11.25am in
the resuscitation room of the
Emergency Department
• The patient's name, ID number and
date of birth are annotated
• Note the side marker is correct
Image quality
• R - Rotation - Spinous processes at midpoint between
medial ends of the clavicles?
• I - Inspiration - 5 to 7 anterior ribs intersecting the
diaphragm in the mid-clavicular line?
• P - Penetration - Spine visible behind the heart?
• Presence of any artifact
GOOD QUALITY CHEST XRAY
•R - Rotation - Spinous processes at midpoint between medial ends of the clavicles?
•I - Inspiration - 5 to 7 anterior ribs intersecting the diaphragm in the mid-clavicular line?
•P - Penetration - Spine visible behind the heart?
Describing abnormalities
• 'Shadowing', 'opacification', 'increased density', 'increased
whiteness' are all acceptable terms
• 'Lesion descriptors' may lead you towards a diagnosis
• Be descriptive rather than jumping to a diagnosis
• Lesion descriptors
• Tissue involved - Lung, heart, aorta, bone etc
• Size - Large/Small/Varied
• Side - Right/Left - Unilateral/Bilateral
• Number - Single/Multiple
• Distribution - Focal/Widespread
• Position - Anterior/Posterior/Lung zone etc
• Shape - Round/Crescentic/etc
• Edge - Smooth/Irregular/Spiculated
• Pattern - Nodular/Reticular(net-like)
• Density - Air/Fat/Soft-tissue/Calcium/Metal
Shadows, opacities, densities
• Tissue involved - Lung
• Size - Small (<2 cm)
• Side - Bilateral
• Number - Multiple
• Distribution -
Widespread
• Position - Mainly middle
to lower zones
• Shape - Round
• Edge - Irregular
• Pattern - Nodular
• Density - Soft-tissue
Locating abnormalities
• The silhouette sign
• Normal adjacent anatomical structures of differing densities form a
crisp contour or 'silhouette‘
• Loss of a specific contour can help determine the position of a
disease process
• This phenomenon is known as the silhouette sign
• The silhouette sign is a misnomer - it should really be called the
'loss of silhouette' sign
• For example, the heart (a soft tissue density structure - near white)
lies adjacent to lung tissue (near air density - near black)
• A crisp contour or 'silhouette' is formed at the interface of these two
tissue densities
• Loss of clarity of the right heart contour (formed by the right atrium)
implies disease of the right middle lobe which lies next to the right
atrium
• Loss of distinction of the left heart contour indicates an abnormality
of the lingula (part of the left upper lobe which wraps over the left
ventricle)
• Silhouettes' and their adjacent tissues
• Left heart border (left ventricle) - Lingula
• Right heart border (right atrium) - Right middle lobe
• Left hemidiaphragm - Left lower lobe
• Right hemidiaphragm - Right lower lobe
• Aortic knuckle - Left upper lobe/middle mediastinum
• Descending aorta - Left lower lobe
• Right paratracheal stripe - Right upper lobe/anterior
mediastinum
• Paraspinal lines - Medial lung/Posterior mediastinum
Simulated silhouette signs
1.Left heart border - Lingula
disease
2.Hemidiaphragm - Lower
lobe lung disease
3.Paratracheal stripe -
Paratracheal disease
4.Chest wall - Lung, pleural
or rib disease
Simulated silhouette signs
5.Aortic knuckle - Anterior
mediastinal or left upper lobe
disease
6.Paraspinal line - Posterior
thorax disease
7.Right heart border - Middle
lobe disease
8.Density above horizontal
fissure - Anterior segment of
the right upper lobe (due to
formation of a silhouette rather
than loss of a silhouette)
Silhouette sign
Loss of right heart border - Right middle lobe disease
Review areas
• After a systematic look at the whole chest X-ray, it is
worth re-checking areas that may conceal important
pathology
• Apices - Pneumothorax?
• Bones/soft-tissues - Fractures/density?
• Cardiac shadow- Consolidation/mass?
• Diaphragm - Pneumoperitoneum?
• Edge of the image - Unexpected findings?
Review areas - Apices
• There is a small pneumothorax on the right
• A pneumothorax is often a very subtle finding, and may only be seen on a
second review of each lung apex
• You should also check the lung apices for tumours
Review areas - Bones
• Bone abnormalities can be very subtle on chest X-rays
• Here the first right rib is destroyed by a metastatic bone lesion(?)
• Compare this poorly defined area of increased soft tissue density with the
normal first left rib (highlighted)
Review areas - Cardiac shadow
• The area behind the heart is too dense (red ring) and the left
hemidiaphragm is not well-defined to the midline
• This is evidence of consolidation affecting the left lower lobe
• There is also a reactive effusion (arrow)
Review areas - Diaphragm
• Check every chest X-ray for pneumoperitoneum (arrowheads)
• Occasionally lung pathology is visible through the 'window' of the gastric
bubble (asterisks), which is normal in this case
Review areas - Edge of the image
• Well done if you noticed the small left pleural effusion (arrow)
• Did you spot the missing right humerus?
• This patient had a history of a previous malignant bone lesion of the right
humerus which had been resected (red area)
• Note the surgical clips (white)
The clinical question
• Interpret chest X-rays only in view of the clinical setting
• Treat the patient - not the X-ray!
• When requesting a chest X-ray always provide specific
clinical information
• No clinical
information provided
• Without clinical information
this patient may be
considered to have a
pneumonia in the left
upper zone, and started on
antibiotics
• Clinical information provided
• Recent increase in shortness of
breath
• No fever or productive cough
• Left shoulder and arm pain
• Heavy smoker
• Weight loss
• Findings
• Left apical shadowing
• Raised left hemidiaphragm
• Increased extra-thoracic soft
tissue density (asterisks) with
displacement of the scapula on
the left (arrowheads) - compare
with right
• Interpretation in view of clinical details
• Cancer - Smoker with weight loss and left apical
consolidation/mass and no clinical features of
infection
• Phrenic nerve palsy - Increased shortness of
breath and raised left hemidiaphragm
• Brachial plexopathy - Arm pain and axillary soft
tissue swelling

CHEST XRAYS SYSTEMATIC APPROACH,,,,,,,,,

  • 1.
  • 4.
    Systematic Approach • Asystematic approach for viewing chest X-rays ensures no important structures are ignored • Anatomical structures to check 1. Trachea and bronchi 2. Hilar structures 3. Mediastinum 4. Heart 5. Lung zones 6. Lung lobes and fissures 7. Pleura 8. Costophrenic angles 9. Diaphragm 10.Soft tissues 11.Bones
  • 5.
    • Patent IDand date • Check the patient's identity • Note the image date and time • Note the image projection : posterior-anterior (PA) or anterior- posterior (AP) projection • Patient was standing, sitting or supine? • Was the mobile X-ray machine used? • Image annotations • Useful information is often annotated on the image • Check the side marker is correct • Image annotations • This is a mobile chest X-ray taken with the patient supine, at 11.25am in the resuscitation room of the Emergency Department • The patient's name, ID number and date of birth are annotated • Note the side marker is correct
  • 6.
    Image quality • R- Rotation - Spinous processes at midpoint between medial ends of the clavicles? • I - Inspiration - 5 to 7 anterior ribs intersecting the diaphragm in the mid-clavicular line? • P - Penetration - Spine visible behind the heart? • Presence of any artifact
  • 7.
    GOOD QUALITY CHESTXRAY •R - Rotation - Spinous processes at midpoint between medial ends of the clavicles? •I - Inspiration - 5 to 7 anterior ribs intersecting the diaphragm in the mid-clavicular line? •P - Penetration - Spine visible behind the heart?
  • 8.
    Describing abnormalities • 'Shadowing','opacification', 'increased density', 'increased whiteness' are all acceptable terms • 'Lesion descriptors' may lead you towards a diagnosis • Be descriptive rather than jumping to a diagnosis • Lesion descriptors • Tissue involved - Lung, heart, aorta, bone etc • Size - Large/Small/Varied • Side - Right/Left - Unilateral/Bilateral • Number - Single/Multiple • Distribution - Focal/Widespread • Position - Anterior/Posterior/Lung zone etc • Shape - Round/Crescentic/etc • Edge - Smooth/Irregular/Spiculated • Pattern - Nodular/Reticular(net-like) • Density - Air/Fat/Soft-tissue/Calcium/Metal
  • 9.
    Shadows, opacities, densities •Tissue involved - Lung • Size - Small (<2 cm) • Side - Bilateral • Number - Multiple • Distribution - Widespread • Position - Mainly middle to lower zones • Shape - Round • Edge - Irregular • Pattern - Nodular • Density - Soft-tissue
  • 10.
    Locating abnormalities • Thesilhouette sign • Normal adjacent anatomical structures of differing densities form a crisp contour or 'silhouette‘ • Loss of a specific contour can help determine the position of a disease process • This phenomenon is known as the silhouette sign • The silhouette sign is a misnomer - it should really be called the 'loss of silhouette' sign • For example, the heart (a soft tissue density structure - near white) lies adjacent to lung tissue (near air density - near black) • A crisp contour or 'silhouette' is formed at the interface of these two tissue densities • Loss of clarity of the right heart contour (formed by the right atrium) implies disease of the right middle lobe which lies next to the right atrium • Loss of distinction of the left heart contour indicates an abnormality of the lingula (part of the left upper lobe which wraps over the left ventricle)
  • 11.
    • Silhouettes' andtheir adjacent tissues • Left heart border (left ventricle) - Lingula • Right heart border (right atrium) - Right middle lobe • Left hemidiaphragm - Left lower lobe • Right hemidiaphragm - Right lower lobe • Aortic knuckle - Left upper lobe/middle mediastinum • Descending aorta - Left lower lobe • Right paratracheal stripe - Right upper lobe/anterior mediastinum • Paraspinal lines - Medial lung/Posterior mediastinum
  • 12.
    Simulated silhouette signs 1.Leftheart border - Lingula disease 2.Hemidiaphragm - Lower lobe lung disease 3.Paratracheal stripe - Paratracheal disease 4.Chest wall - Lung, pleural or rib disease
  • 13.
    Simulated silhouette signs 5.Aorticknuckle - Anterior mediastinal or left upper lobe disease 6.Paraspinal line - Posterior thorax disease 7.Right heart border - Middle lobe disease 8.Density above horizontal fissure - Anterior segment of the right upper lobe (due to formation of a silhouette rather than loss of a silhouette)
  • 14.
    Silhouette sign Loss ofright heart border - Right middle lobe disease
  • 15.
    Review areas • Aftera systematic look at the whole chest X-ray, it is worth re-checking areas that may conceal important pathology • Apices - Pneumothorax? • Bones/soft-tissues - Fractures/density? • Cardiac shadow- Consolidation/mass? • Diaphragm - Pneumoperitoneum? • Edge of the image - Unexpected findings?
  • 16.
    Review areas -Apices • There is a small pneumothorax on the right • A pneumothorax is often a very subtle finding, and may only be seen on a second review of each lung apex • You should also check the lung apices for tumours
  • 17.
    Review areas -Bones • Bone abnormalities can be very subtle on chest X-rays • Here the first right rib is destroyed by a metastatic bone lesion(?) • Compare this poorly defined area of increased soft tissue density with the normal first left rib (highlighted)
  • 18.
    Review areas -Cardiac shadow • The area behind the heart is too dense (red ring) and the left hemidiaphragm is not well-defined to the midline • This is evidence of consolidation affecting the left lower lobe • There is also a reactive effusion (arrow)
  • 19.
    Review areas -Diaphragm • Check every chest X-ray for pneumoperitoneum (arrowheads) • Occasionally lung pathology is visible through the 'window' of the gastric bubble (asterisks), which is normal in this case
  • 20.
    Review areas -Edge of the image • Well done if you noticed the small left pleural effusion (arrow) • Did you spot the missing right humerus? • This patient had a history of a previous malignant bone lesion of the right humerus which had been resected (red area) • Note the surgical clips (white)
  • 21.
    The clinical question •Interpret chest X-rays only in view of the clinical setting • Treat the patient - not the X-ray! • When requesting a chest X-ray always provide specific clinical information
  • 22.
    • No clinical informationprovided • Without clinical information this patient may be considered to have a pneumonia in the left upper zone, and started on antibiotics
  • 23.
    • Clinical informationprovided • Recent increase in shortness of breath • No fever or productive cough • Left shoulder and arm pain • Heavy smoker • Weight loss • Findings • Left apical shadowing • Raised left hemidiaphragm • Increased extra-thoracic soft tissue density (asterisks) with displacement of the scapula on the left (arrowheads) - compare with right
  • 24.
    • Interpretation inview of clinical details • Cancer - Smoker with weight loss and left apical consolidation/mass and no clinical features of infection • Phrenic nerve palsy - Increased shortness of breath and raised left hemidiaphragm • Brachial plexopathy - Arm pain and axillary soft tissue swelling