XQUANG ĐƯỜNG TIÊU HÓA
VÕ TẤN ĐỨC
Bộ môn chẩn đoán hình ảnh
Đại học Y dược TPHCM
Email: duc.vt@umc.edu.vn
Các cấu trúc giải phẫu
bụng – chậu
• Mô mềm – thành bụng: trước, bên, sau,
đáy chậu
• Các tạng:
Trong phúc
mạc
Ngoài/dưới
phúc mạc
Tạng đặc Gan
Lách
Tử cung,
2 buồng trứng
Tụy
Thận
Thượng thận
Tạng rỗng Túi mật
dạ dày, tá tràng
Ruột non, ruột
già
Niệu quản
Bàng quang,
niệu đạo, ống
hậu môn, âm
đạo,
Giá trị các pp CĐHA
X quang Siêu âm CT Scan MRI
Thành
bụng
--- ++ +++ +++
Tạng đặc --- ++ ++ +++
Tạng rỗng ++ + +++ ++
Khoang
phúc mạc
tự do
++ (khí)
+ (dịch)
- (khí)
++ (dịch)
+++ +++
XQUANG ĐƯỜNG TIÊU
HÓA
BKSS
CẢN QUANG
X QUANG QUY ƯỚC
• Chụp bụng không sửa soạn - ASP:
- bình thường (không cấp cứu)
+ đứng thẳng
+ khảo sát: cấu trúc xương, nội tạng
sỏi, vôi hóa, bất thường nội tạng
- cấp cứu
+ đứng thẳng / nằm ngửa thẳng hay nghiêng
+ tìm hơi tự do, mực nước-hơi
khảo sát: phân bố hơi trong ruột, dịch bụng,
+ Chụp hệ niệu không sửa soạn = ASP +/- thụt tháo
X QUANG BỤNG
KHÔNG SỬA SOẠN
1. Tö theá chuïp buïng khoâng söûa soaïn
2. Chæ ñònh chuïp X quang buïng caáp
3. Caùc cô quan coù theå thaáy ñöôïc treân phim buïng khoâng söûa
soaïn
4. Caùc daáu hieäu baát thöôøng coù theå gaëp treân phim
5. Phaân bieät taéc ruoät cô naêng vaø cô hoïc
6. Nguyeân nhaân khoâng tìm thaáy lieàm hôi döôùi hoaønh vaø caùch
phaân bieät..
KYÕ THUAÄT VAØ TÖ THEÁ
Kieåu chuïp khaùc nhau tuøy laâm saøng :
 Phim buïng khoâng chuaån bò: xem möïc nöôùc hôi
baát thöôøng, hôi töï do...
 Phim ôû tö theá naèm ngöõa, naèm nghieâng, naèm
doác 45ñoä..
 Phim ngöïc ñöùng thaúng: tìm lieàm hôi töï do
döôùi cô hoaønh, beänh lí ñaùy phoåi..
CHÆ ÑÒNH X QUANG BUÏNG CAÁP
1. Thuûng taïng roãng
2. Taéc ruoät
3. Vieâm nhieãm phuùc maïc
4. Chaán thöông buïng….
X QUANG BUÏNG CAÁP
NHAÈM XAÙC ÑÒNH
1. Daõn caùc quai ruoät, möïc nöôùc hôi
2. Khí töï do trong oå buïng
3. Khí trong thaønh caùc taïng
4. Khí trong ñöôøng maät, tónh maïch cöûa
5. Beänh lí vieâm
6. Khaùc: Soûi phaân, voâi…
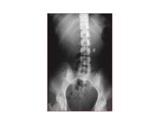
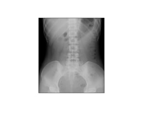
KUB BÌNH THÖÔØNG
 Thaáy ñöôïc caùc cô quan sau:
o Gan: thaáy ñöôïc bôø sau bôûi lôùp môõ sau phuùc maïc
o Laùch: coù theå thaáy ñöôïc
o Thaän: coù theå thaáy khoâng hoaøn toaøn
o Cô Psoas: bôø thöôøng thaáy roõ
o Daûi môõ caän phuùc maïc
 Nhöõng caáu truùc naøy khoâng phaûi luoân thaáy roõ
KHÍ BÌNH THÖÔØNG TRONG XQ
BUÏNG KHOÂNG SÖÛA SOAÏN
• Hôi trong daï daøy – taù traøng
• Ít hôi trong ruoät non
• Hôi trong ñaïi traøng goùc laùch, goùc gan, tröïc traøng
• Ít hôi laám chaám vuøng manh traøng
Phân bố hơi bình thường trong ổ bụng: túi
hơi DD, vài bóng hơi nhỏ trong RN, phân -
hơi trong ĐT.
HÔI NAÈM NGOAØI LOØNG OÁNG
TIEÂU HOÙA
• Traøn khí töï do trong oå buïng
• Hôi sau phuùc maïc (caû trong heä nieäu)
• Hôi trong tónh maïch cöûa, ñöôøng maät
• Hôi trong thaønh moät taïng: oáng tieâu hoaù, tuùi maät
• Hôi trong oå asbess (oå buïng hoaëc trong taïng)
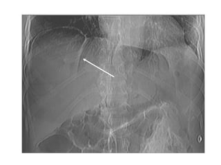
Hơi trong đường mật trong gan
Hơi trong thành và trong lòng túi mật
Tuï khí sau phuùc maïc
sau sinh thieát
BEÄNH LYÙ LAÂM SAØNG
THÖÔØNG GAËP
TAÉC RUOÄT
*Daáu hieäu: daõn, tröôùng hôi vaø dòch
1. Ruoät non > 3cm
2. Ruoät giaø > 6cm, manh traøng > 8cm
3. Möïc nöôùc – hôi ( xuaát hieän töø 12-24giôø)
4. Thaønh ruoät phuø neà ( >3mm)
5. OÅ buïng môø (dòch trong oå buïng)
 Phaân loaïi
1. Theo vò trí: ruoät non, ruoät giaø
2. Theo nguyeân nhaân: taéc ruoät cô naêng , taéc ruoät
cô hoïc.
- Taéc ruoät cô naêng : lieät ruoät
- Taéc ruoät cô hoïc : taéc ruoät do bít, do thaét
Phaân bieät möùc nöôùc hôi trong:
1. Taéc ruoät non:
- Naèm ôû trung taâm: hoá chaäu (P)  haï söôøn (T)
- Chieàu roäng > chieàu cao
- Caùc neáp maûnh, naèm gaàn nhau
- Nhieàu quai ruoät, kích thöôùc nhoû
2. Taéc ruoät giaø:
- Naèm ôû ngoaïi vi
- Chieàu cao > chieàu roäng
- Caùc neáp daøy, ít
- Vaøi quai ruoät voùi kích thöôùc lôùn
- Veà sau keøm theâm taéc ruoät non
Phaân bieät taéc ruoät cô naêng vaø cô hoïc
Cô Hoïc
-Coù bít taéc oáng tieâu hoaù
-Coøn nhu ñoäng ruoät
-Chæ daõn treân ñoaïn taéc
-Hai möïc nöôùc hôi cheânh
nhau treân cuøng quai ruoät
Cô Naêng
-Khoâng coù bít taéc oáng TH
-Khoâng coøn nhu ñoäng
-Giaõn toaøn boä hoaëc khu truù
-Hai möïc nöôùc hôi ngang nhau
treân cuøng quai ruoät
PHÂN BIỆT TẮC RUỘT NON HAY TẮC
ĐẠI TRÀNG
Tắc ruột non Tắc đại tràng
Vị trí
Niêm mạc
Quai ruột
Số lượng
Phân
Nằm ở trung tâm
Chạy ngang hết khẩu
kính. Kích thước nhỏ,
gần nhau
Chiều rộng > chiều cao
Nhiều
Không
Nằm ở ngoại biên
Chỉ chạy ngang một
phần. Kích thước lớn,
xa hơn
Chiều rộng< chiều cao
Ít
Có
THUÛNG TAÏNG ROÃNG
* Vò trí
o Thöôøng ôû phaàn cao oáng tieâu hoaù (vieâm loeùt, nhieãm truøng,
thuûng do ngoaïi vaät nuoát vaøo…)
o Caùc oáng tieâu hoaù tröôùc coät soáng (chaán thöông)
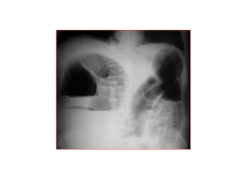
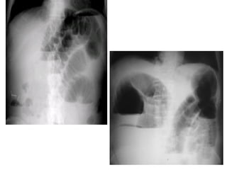
* Daáu hieäu kinh ñieån: lieàm hôi döôùi hoaønh: xuaát hieän 6-8
giôø sau thuûng vôùi löôïng hôi khoaûng 20-50ml
* Caùc tö theá khaùc: BN nghieâng (T) laáy heát bôø ngoaøi gan vaø
hoá chaäu (P), naèm ngöõa tia phoùng ngang…
oThủng vào khoang sau phúc mạc
o Thủng vào hậu cung mạc nối với lỗ Winslow bị bít
o Thủng phần cao ống tiêu hoá được phúc mạc bít
oLỗ thủng bị bít do giả mạc hoặc do niêm mạc phù nề
 Vài trường hợp đặc biệt của thủng tạng
rỗng
oThủng vào hệ mật
oThủng vào hậu cung mạc nối
oThnủng vào khoang sau phúc mạc
Thủng tạng rỗng không thấy liềm hơi
dưới hoành
Chẩn đoán phân biệt liềm hơi dưới hoành:
-Túi hơi dạ dày
-Mô phổi bình thường nằm giữa đáy phổi và cung sườn sát
trên với đáy phổi
-Hội chứng Chilaiditi
X QUANG TIÊU HÓA CẢN QUANG
• X quang có cản quang
+ đường tiêu hóa: thực quản, dạ dày, lưu
thông ruột non, đại tràng
- thông thường
- đối quang kép
• Cản quang đơn giản (đầy thuốc) và đối
quang kép (lớp mỏng)
• Kỹ thuật
– Các yếu tố của máy X quang: soi, chụp
– Các loại cản quang: tan trong nước, baryte,
nồng độ, chống chỉ định, tai biến,…
– Chuẩn bị bệnh nhân
– Các tư thế
Chất tương phản – Kỹ thuật
• 2 loại chính: barium sulfate và muối i-ốt (tan
trong nước)
• Sử dụng loại nào tùy chỉ định lâm sàng
• Nguy cơ:
– Barýt: chất trơ, có nguy cơ (tuy ít): khi lan tràn vào
khoang trung thất, khoang phúc mạc  kích thích
đáp ứng viêm (đb k/h dịch tiêu hóa nhiễm trùng). Nghi
ngờ thủng  dùng loại tan trong nước (iodine)
– Mẫn cảm: ch.phụ gia, latex của găng, ống bơm thụt
trực tràng, bóng…
– Thụt lượng lớn barýt (cũng như dịch khác): tăng
nguy cơ suy hô hấp, đb ở bn có nguy cơ hô hấp tiềm
tàng.
BARIUM SULFATE CTP TAN TRONG NƯỚC
Chụp cản quang một lớp
Chụp đối quang kép
Chất tương phản – Kỹ thuật
• Thụt barýt:
– Thận trọng: nghi có tắc cơ học ở ĐT (nguy cơ
barýt vón cục trên chỗ tắc)
– Bơm bóng và thụt barýt nên quan sát dưới
màn hình soi
– CCĐ: viêm trực tràng, tiền căn xạ trị vùng
chậu (đb do K TTL/nam, K CTC/nữ). Tắc cơ
học ở RN không CCĐ uống hay thụt barýt
– Lưu ý: mang thai, tuổi sinh đẻ
Chất tương phản – Kỹ thuật
Barýt có nhiều loại đậm độ khác nhau, tính bằng
đvị: cân nặng/ thể tích (tổng số gram barýt /
100ml dung dịch barýt) hay cân nặng/cân nặng
(tổng số gram barýt / 100 gr bột khô.
Chất tương phản – Kỹ thuật
• Thụt barýt:
– Thận trọng: nghi có tắc cơ học ở ĐT (nguy cơ
barýt vón cục trên chỗ tắc)
– Bơm bóng và thụt barýt nên quan sát dưới
màn hình soi
– CCĐ: viêm trực tràng, tiền căn xạ trị vùng
chậu (đb do K TTL/nam, K CTC/nữ). Tắc cơ
học ở RN không CCĐ uống hay thụt barýt
– Lưu ý: mang thai, tuổi sinh đẻ
Các loại chụp cản quang đường
tiêu hóa
• Nuốt
• Hầu – thanh quản
• Thực quản
• Dạ dày – tá tràng
• Ruột non
• Đại tràng
Triệu chứng – bệnh học
• Hình ảnh bình thường: các tiêu chuẩn
• Các loại bệnh lý:
– Rối loạn vận động: cơ năng, thực thể
– Niêm mạc
– Hình cộng vào (hình ổ)
– Hình trừ đi (hình khuyết): từ ngoài đè vào, tại
thành, lòng
– Hình cứng
– Hẹp / giãn
Triệu chứng – bệnh học
• Khối u: lành,
ác
• Loét: lành, ác
• Viêm
• Achalasia
• Túi thừa
• Dị dạng
Khối u từ niêm mạc
A
Khối u dưới niêm
và trong thành
B
Khối u đè ép từ ngoài
C
SƠ ĐỒ
Hình trừ (hình khuyết)
Tổn thương chèn từ ngoài vào
MASS
Tổn thương nhô vào lòng
A B TT từ niêm mạc
Polyp
A B
Tổn thương dưới niêm mạc hay
trong thành ruột
Sơ đồ
Hình cộng vào (hình ổ)
A
B
Single
contrast
Double
contrast
upright
C
En-face Profile
CARCINOMA
dạng polyp / dạng chồi sùi
CARCINOMA
dạng ổ loét – các nếp niêm mạc
CARCINOMA
dạng nhiễm cứng - linitis plastica
CARCINOMA
dạng nhiễm cứng - linitis plastica
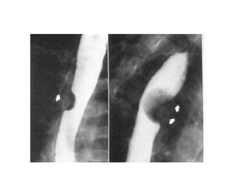
Thực quản
Co thắt tâm vị
Túi thừa thực
quản:
-Đẩy
-Kéo
THORACIC DIVERTICULUM
• Túi thừa kéo
EPIPHRENIC DIVERTICULUM
• Túi thừa đẩy
Giãn tĩnh mạch thực quản
• Ung thư thực quản
DẠ DÀY
Thoát vị trượt
LOÉT DẠ DÀY
Loét lành tính
Loét hành tá tràng lành tính
Loét hành tá tràng lành tính
K dạ dày – khuyết hình lõi táo
K dạ dày dạng polyp
K dạ dày – hình ống nước do nhiễm cứng thành
Linitis plastica
K dạ dày dạng loét
ĐẠI
TRÀNG
Hình ảnh X quang: túi thừa
đại tràng
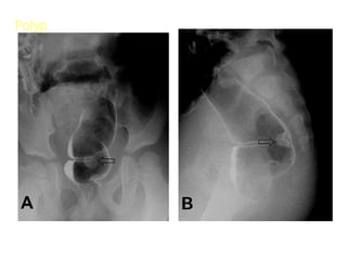
POLYP ĐẠI TRÀNG
Polyp: tổn thương khu trú nhô vào lòng ruột, gồm loại
u tân sinh và không tân sinh.
Phân loại theo hình thái
Dạng mảng không cuống mảng phẳng, đáy rộng
hơn chiều cao
Dạng bán cầu không cuống polyp hình bán
nguyệt có đáy rộng nhẹ so với chiều cao
Dạng cầu, có cuống polyp dạng tròn, nhỏ có
cuống
Carcinoma dạng
vòng nhẫn (mũi tên
xanh) với bờ dạng
bậc thềm (mũi tên
đen)
Carcinoma đại
tràng dạng polyp
Crohn ruột non – túi thừa ruột non
Xquang tieu hoa

Xquang tieu hoa

  • 1.
    XQUANG ĐƯỜNG TIÊUHÓA VÕ TẤN ĐỨC Bộ môn chẩn đoán hình ảnh Đại học Y dược TPHCM Email: duc.vt@umc.edu.vn
  • 2.
    Các cấu trúcgiải phẫu bụng – chậu • Mô mềm – thành bụng: trước, bên, sau, đáy chậu • Các tạng: Trong phúc mạc Ngoài/dưới phúc mạc Tạng đặc Gan Lách Tử cung, 2 buồng trứng Tụy Thận Thượng thận Tạng rỗng Túi mật dạ dày, tá tràng Ruột non, ruột già Niệu quản Bàng quang, niệu đạo, ống hậu môn, âm đạo,
  • 3.
    Giá trị cácpp CĐHA X quang Siêu âm CT Scan MRI Thành bụng --- ++ +++ +++ Tạng đặc --- ++ ++ +++ Tạng rỗng ++ + +++ ++ Khoang phúc mạc tự do ++ (khí) + (dịch) - (khí) ++ (dịch) +++ +++
  • 4.
  • 5.
    X QUANG QUYƯỚC • Chụp bụng không sửa soạn - ASP: - bình thường (không cấp cứu) + đứng thẳng + khảo sát: cấu trúc xương, nội tạng sỏi, vôi hóa, bất thường nội tạng - cấp cứu + đứng thẳng / nằm ngửa thẳng hay nghiêng + tìm hơi tự do, mực nước-hơi khảo sát: phân bố hơi trong ruột, dịch bụng, + Chụp hệ niệu không sửa soạn = ASP +/- thụt tháo
  • 6.
    X QUANG BỤNG KHÔNGSỬA SOẠN 1. Tö theá chuïp buïng khoâng söûa soaïn 2. Chæ ñònh chuïp X quang buïng caáp 3. Caùc cô quan coù theå thaáy ñöôïc treân phim buïng khoâng söûa soaïn 4. Caùc daáu hieäu baát thöôøng coù theå gaëp treân phim 5. Phaân bieät taéc ruoät cô naêng vaø cô hoïc 6. Nguyeân nhaân khoâng tìm thaáy lieàm hôi döôùi hoaønh vaø caùch phaân bieät..
  • 7.
    KYÕ THUAÄT VAØTÖ THEÁ Kieåu chuïp khaùc nhau tuøy laâm saøng :  Phim buïng khoâng chuaån bò: xem möïc nöôùc hôi baát thöôøng, hôi töï do...  Phim ôû tö theá naèm ngöõa, naèm nghieâng, naèm doác 45ñoä..  Phim ngöïc ñöùng thaúng: tìm lieàm hôi töï do döôùi cô hoaønh, beänh lí ñaùy phoåi..
  • 8.
    CHÆ ÑÒNH XQUANG BUÏNG CAÁP 1. Thuûng taïng roãng 2. Taéc ruoät 3. Vieâm nhieãm phuùc maïc 4. Chaán thöông buïng….
  • 9.
    X QUANG BUÏNGCAÁP NHAÈM XAÙC ÑÒNH 1. Daõn caùc quai ruoät, möïc nöôùc hôi 2. Khí töï do trong oå buïng 3. Khí trong thaønh caùc taïng 4. Khí trong ñöôøng maät, tónh maïch cöûa 5. Beänh lí vieâm 6. Khaùc: Soûi phaân, voâi…
  • 13.
    KUB BÌNH THÖÔØNG Thaáy ñöôïc caùc cô quan sau: o Gan: thaáy ñöôïc bôø sau bôûi lôùp môõ sau phuùc maïc o Laùch: coù theå thaáy ñöôïc o Thaän: coù theå thaáy khoâng hoaøn toaøn o Cô Psoas: bôø thöôøng thaáy roõ o Daûi môõ caän phuùc maïc  Nhöõng caáu truùc naøy khoâng phaûi luoân thaáy roõ
  • 15.
    KHÍ BÌNH THÖÔØNGTRONG XQ BUÏNG KHOÂNG SÖÛA SOAÏN • Hôi trong daï daøy – taù traøng • Ít hôi trong ruoät non • Hôi trong ñaïi traøng goùc laùch, goùc gan, tröïc traøng • Ít hôi laám chaám vuøng manh traøng
  • 16.
    Phân bố hơibình thường trong ổ bụng: túi hơi DD, vài bóng hơi nhỏ trong RN, phân - hơi trong ĐT.
  • 17.
    HÔI NAÈM NGOAØILOØNG OÁNG TIEÂU HOÙA • Traøn khí töï do trong oå buïng • Hôi sau phuùc maïc (caû trong heä nieäu) • Hôi trong tónh maïch cöûa, ñöôøng maät • Hôi trong thaønh moät taïng: oáng tieâu hoaù, tuùi maät • Hôi trong oå asbess (oå buïng hoaëc trong taïng)
  • 18.
    Hơi trong đườngmật trong gan
  • 19.
    Hơi trong thànhvà trong lòng túi mật
  • 20.
    Tuï khí sauphuùc maïc sau sinh thieát
  • 21.
    BEÄNH LYÙ LAÂMSAØNG THÖÔØNG GAËP
  • 22.
    TAÉC RUOÄT *Daáu hieäu:daõn, tröôùng hôi vaø dòch 1. Ruoät non > 3cm 2. Ruoät giaø > 6cm, manh traøng > 8cm 3. Möïc nöôùc – hôi ( xuaát hieän töø 12-24giôø) 4. Thaønh ruoät phuø neà ( >3mm) 5. OÅ buïng môø (dòch trong oå buïng)
  • 23.
     Phaân loaïi 1.Theo vò trí: ruoät non, ruoät giaø 2. Theo nguyeân nhaân: taéc ruoät cô naêng , taéc ruoät cô hoïc. - Taéc ruoät cô naêng : lieät ruoät - Taéc ruoät cô hoïc : taéc ruoät do bít, do thaét
  • 24.
    Phaân bieät möùcnöôùc hôi trong: 1. Taéc ruoät non: - Naèm ôû trung taâm: hoá chaäu (P)  haï söôøn (T) - Chieàu roäng > chieàu cao - Caùc neáp maûnh, naèm gaàn nhau - Nhieàu quai ruoät, kích thöôùc nhoû 2. Taéc ruoät giaø: - Naèm ôû ngoaïi vi - Chieàu cao > chieàu roäng - Caùc neáp daøy, ít - Vaøi quai ruoät voùi kích thöôùc lôùn - Veà sau keøm theâm taéc ruoät non
  • 27.
    Phaân bieät taécruoät cô naêng vaø cô hoïc Cô Hoïc -Coù bít taéc oáng tieâu hoaù -Coøn nhu ñoäng ruoät -Chæ daõn treân ñoaïn taéc -Hai möïc nöôùc hôi cheânh nhau treân cuøng quai ruoät Cô Naêng -Khoâng coù bít taéc oáng TH -Khoâng coøn nhu ñoäng -Giaõn toaøn boä hoaëc khu truù -Hai möïc nöôùc hôi ngang nhau treân cuøng quai ruoät
  • 28.
    PHÂN BIỆT TẮCRUỘT NON HAY TẮC ĐẠI TRÀNG Tắc ruột non Tắc đại tràng Vị trí Niêm mạc Quai ruột Số lượng Phân Nằm ở trung tâm Chạy ngang hết khẩu kính. Kích thước nhỏ, gần nhau Chiều rộng > chiều cao Nhiều Không Nằm ở ngoại biên Chỉ chạy ngang một phần. Kích thước lớn, xa hơn Chiều rộng< chiều cao Ít Có
  • 33.
    THUÛNG TAÏNG ROÃNG *Vò trí o Thöôøng ôû phaàn cao oáng tieâu hoaù (vieâm loeùt, nhieãm truøng, thuûng do ngoaïi vaät nuoát vaøo…) o Caùc oáng tieâu hoaù tröôùc coät soáng (chaán thöông) * Daáu hieäu kinh ñieån: lieàm hôi döôùi hoaønh: xuaát hieän 6-8 giôø sau thuûng vôùi löôïng hôi khoaûng 20-50ml * Caùc tö theá khaùc: BN nghieâng (T) laáy heát bôø ngoaøi gan vaø hoá chaäu (P), naèm ngöõa tia phoùng ngang…
  • 34.
    oThủng vào khoangsau phúc mạc o Thủng vào hậu cung mạc nối với lỗ Winslow bị bít o Thủng phần cao ống tiêu hoá được phúc mạc bít oLỗ thủng bị bít do giả mạc hoặc do niêm mạc phù nề  Vài trường hợp đặc biệt của thủng tạng rỗng oThủng vào hệ mật oThủng vào hậu cung mạc nối oThnủng vào khoang sau phúc mạc Thủng tạng rỗng không thấy liềm hơi dưới hoành
  • 39.
    Chẩn đoán phânbiệt liềm hơi dưới hoành: -Túi hơi dạ dày -Mô phổi bình thường nằm giữa đáy phổi và cung sườn sát trên với đáy phổi -Hội chứng Chilaiditi
  • 43.
    X QUANG TIÊUHÓA CẢN QUANG • X quang có cản quang + đường tiêu hóa: thực quản, dạ dày, lưu thông ruột non, đại tràng - thông thường - đối quang kép
  • 44.
    • Cản quangđơn giản (đầy thuốc) và đối quang kép (lớp mỏng) • Kỹ thuật – Các yếu tố của máy X quang: soi, chụp – Các loại cản quang: tan trong nước, baryte, nồng độ, chống chỉ định, tai biến,… – Chuẩn bị bệnh nhân – Các tư thế
  • 45.
    Chất tương phản– Kỹ thuật • 2 loại chính: barium sulfate và muối i-ốt (tan trong nước) • Sử dụng loại nào tùy chỉ định lâm sàng • Nguy cơ: – Barýt: chất trơ, có nguy cơ (tuy ít): khi lan tràn vào khoang trung thất, khoang phúc mạc  kích thích đáp ứng viêm (đb k/h dịch tiêu hóa nhiễm trùng). Nghi ngờ thủng  dùng loại tan trong nước (iodine) – Mẫn cảm: ch.phụ gia, latex của găng, ống bơm thụt trực tràng, bóng… – Thụt lượng lớn barýt (cũng như dịch khác): tăng nguy cơ suy hô hấp, đb ở bn có nguy cơ hô hấp tiềm tàng.
  • 46.
    BARIUM SULFATE CTPTAN TRONG NƯỚC
  • 47.
    Chụp cản quangmột lớp
  • 48.
  • 49.
    Chất tương phản– Kỹ thuật • Thụt barýt: – Thận trọng: nghi có tắc cơ học ở ĐT (nguy cơ barýt vón cục trên chỗ tắc) – Bơm bóng và thụt barýt nên quan sát dưới màn hình soi – CCĐ: viêm trực tràng, tiền căn xạ trị vùng chậu (đb do K TTL/nam, K CTC/nữ). Tắc cơ học ở RN không CCĐ uống hay thụt barýt – Lưu ý: mang thai, tuổi sinh đẻ
  • 50.
    Chất tương phản– Kỹ thuật Barýt có nhiều loại đậm độ khác nhau, tính bằng đvị: cân nặng/ thể tích (tổng số gram barýt / 100ml dung dịch barýt) hay cân nặng/cân nặng (tổng số gram barýt / 100 gr bột khô.
  • 51.
    Chất tương phản– Kỹ thuật • Thụt barýt: – Thận trọng: nghi có tắc cơ học ở ĐT (nguy cơ barýt vón cục trên chỗ tắc) – Bơm bóng và thụt barýt nên quan sát dưới màn hình soi – CCĐ: viêm trực tràng, tiền căn xạ trị vùng chậu (đb do K TTL/nam, K CTC/nữ). Tắc cơ học ở RN không CCĐ uống hay thụt barýt – Lưu ý: mang thai, tuổi sinh đẻ
  • 52.
    Các loại chụpcản quang đường tiêu hóa • Nuốt • Hầu – thanh quản • Thực quản • Dạ dày – tá tràng • Ruột non • Đại tràng
  • 53.
    Triệu chứng –bệnh học • Hình ảnh bình thường: các tiêu chuẩn • Các loại bệnh lý: – Rối loạn vận động: cơ năng, thực thể – Niêm mạc – Hình cộng vào (hình ổ) – Hình trừ đi (hình khuyết): từ ngoài đè vào, tại thành, lòng – Hình cứng – Hẹp / giãn
  • 54.
    Triệu chứng –bệnh học • Khối u: lành, ác • Loét: lành, ác • Viêm • Achalasia • Túi thừa • Dị dạng
  • 56.
    Khối u từniêm mạc A Khối u dưới niêm và trong thành B Khối u đè ép từ ngoài C SƠ ĐỒ Hình trừ (hình khuyết)
  • 57.
    Tổn thương chèntừ ngoài vào MASS
  • 58.
    Tổn thương nhôvào lòng A B TT từ niêm mạc
  • 59.
  • 60.
    Tổn thương dướiniêm mạc hay trong thành ruột Sơ đồ
  • 62.
    Hình cộng vào(hình ổ) A B Single contrast Double contrast upright C En-face Profile
  • 63.
    CARCINOMA dạng polyp /dạng chồi sùi
  • 64.
    CARCINOMA dạng ổ loét– các nếp niêm mạc
  • 65.
  • 66.
  • 67.
  • 68.
  • 69.
  • 70.
  • 71.
    Giãn tĩnh mạchthực quản
  • 72.
    • Ung thưthực quản
  • 73.
  • 74.
  • 75.
  • 76.
    Loét hành tátràng lành tính
  • 77.
    Loét hành tátràng lành tính
  • 78.
    K dạ dày– khuyết hình lõi táo
  • 79.
    K dạ dàydạng polyp
  • 80.
    K dạ dày– hình ống nước do nhiễm cứng thành Linitis plastica
  • 81.
    K dạ dàydạng loét
  • 82.
  • 83.
    Hình ảnh Xquang: túi thừa đại tràng
  • 84.
  • 85.
    Polyp: tổn thươngkhu trú nhô vào lòng ruột, gồm loại u tân sinh và không tân sinh. Phân loại theo hình thái Dạng mảng không cuống mảng phẳng, đáy rộng hơn chiều cao Dạng bán cầu không cuống polyp hình bán nguyệt có đáy rộng nhẹ so với chiều cao Dạng cầu, có cuống polyp dạng tròn, nhỏ có cuống
  • 87.
    Carcinoma dạng vòng nhẫn(mũi tên xanh) với bờ dạng bậc thềm (mũi tên đen)
  • 88.
  • 89.
    Crohn ruột non– túi thừa ruột non