CHƯƠNG TRÌNH
• Chẩn đoán X quang bụng cấp: đại cương
• Hội chứng tắc ruột
• Chấn thương bụng kín
• Các bệnh lý bụng cấp khác
• X quang ống tiêu hóa
– Thực quản
– Dạ dày – tá tràng
– Ruột non
– Đại tràng
• Hình ảnh học các tạng khác thuộc bộ máy tiêu hóa
BS Phí Ích Nghị, FVH
X QUANG BỤNG CẤP
đại cương
CÁC KỸ THUẬT
• HÌNH BỤNG KHÔNG SỬA SOẠN
• SIÊU ÂM
• X QUANG CẮT LỚP ĐIỆN TOÁN
• CHỤP QUANG MẠCH
• VÀ X QUANG CAN THIỆP
• CÁC KHẢO SÁT KHÁC
• HÌNH BỤNG KHÔNG SỬA SOẠN
• Kỹ thuật :
• Bao nhiêu phim ?
• Yếu tố kỹ thuật ?
• Tư thế nào quan trọng ?
• Cách phân tích
• 4 loại bất thường
• Chỉ định : hơi tự do
tắc ruột
sỏi niệu
CÁC KỸ THUẬT
Phân tích hệ thống:
- Khí tự do trong phúc mạc
- Khí trong ống tiêu hóa: hình thái
- Đánh giá thành ruột
- Tụ khí ngoài phúc mạc?
- Khí trong các cấu trúc ống khác
- Hình ảnh các cấu trúc mô mềm sinh lý
- Tụ dịch trong phúc mạc
- Các bóng mờ bệnh lý
- Các đóng vôi bệnh lý
- Khung xương, đáy phổi
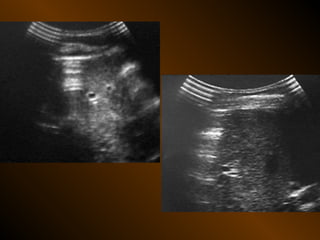
SIÊU ÂM : phụ thuộc người thực hiện
và tình trạng bệnh nhân
Kỹ thuật : chuẩn bị bệnh nhân ?
tần số đầu dò ?
Cách phân tích: dấu hiệu dương tính và âm tính
Chỉ định : linh động
SIÊU ÂM DOPPLER
CÁC KỸ THUẬT
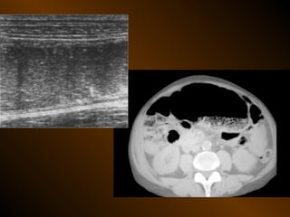
• X QUANG CẮT LỚP ĐIỆN TOÁN
• Kỹ thuật
• Chuẩn bị ?
• Cách thu thập : lát cắt, trường, ma trận
tiêm chất cản quang tĩnh mạch ?
tái tạo ?
• Ưu, khuyết điểm
• Chỉ định
• Phân tích kết quả : của sổ hiển thị
CÁC KỸ THUẬT
QUANG MẠCH
• Chỉ định giới hạn
X QUANG CAN THIỆP
Dẫn lưu áp xe bụng
Thủ thuật nghẽn mạch cầm máu
Dẫn lưu đường mật
Mở túi mật ra da
CÁC KHẢO SÁT KHÁC
Cản quang ống tiêu hóa: baryt, tan trong nước
Cộng hưởng từ
CÁC KỸ THUẬT
TRIỆU CHỨNG HỌC
KẾT QUẢ BÌNH THƯỜNG
CĂNG VÀ Ứ KHÍ BỆNH LÝ TRONG ỐNG TIÊU
HÓA: dạ dày, tá tràng, ruột non, đại tràng
DÀY THÀNH ỐNG TIÊU HÓA BỆNH LÝ
TỤ DỊCH TRONG PHÚC MẠC
TỤ DỊCH NGOÀI PHÚC MẠC
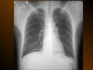
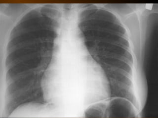
KHÍ TỰ DO TRONG KHOANG PHÚC MẠC
TỤ KHÍ NGOÀI PHÚC MẠC
TỤ KHÍ TRONG LÒNG? TRONG THÀNH TẠNG
RỖNG VÀ TRONG CÁC CẤU TRÚC DẠNG ỐNG
CĂNG GIÃN ỐNG TIÊU HÓA
• Căng giãn dạ dày
• Căng giãn tá tràng
• Căng giãn ruột non
• Căng giãn đại tràng
• Căng giãn ruột non lẫn đại tràng
• Căng giãn dạ dày
• Nguyên nhân
• Cơ học : loét, ung thư, xoắn, bezoar
hẹp miệng nối, lồng ruột
• Không cơ học : toan máu, ure máu cao
• cắt tk X
• heroin
CĂNG GIÃN ỐNG TIÊU HÓA
• Căng giãn dạ dày
• Căng giãn tá tràng
• Căng giãn ruột non
• Căng giãn đại tràng
• Căng giãn ruột non lẫn đại tràng
• Căng giãn tá tràng
• Nguyên nhân
• viêm nhiễm lân cận: viêm tụy cấp, viêm túi mật cấp
• viêm tá tràng
• bệnh xơ cứng bì
• luput ban đỏ
• X quang: kết hợp giãn dạ dày trong tắc cao
ở ruột non
• Căng giãn dạ dày
• Căng giãn tá tràng
• Căng giãn ruột non
• Căng giãn đại tràng
• Căng giãn ruột non lẫn đại tràng
CĂNG GIÃN ỐNG TIÊU HÓA
• Căng giãn dạ dày
• Căng giãn tá tràng
• Căng giãn ruột non
• Căng giãn đại tràng
• Căng giãn ruột non lẫn đại tràng
CĂNG GIÃN ỐNG TIÊU HÓA
PHÂN BIỆT
RUỘT NON – ĐẠI TRÀNG
• Các nếp Kerckring
• Nếp ngấn thanh mạc
• Khẩu kính
• Số lượng quai
• Phân bố các quai ruột
• Cao / rộng
• Chất cặn bã
• Căng giãn dạ dày
• Căng giãn tá tràng
• Căng giãn ruột non
• Căng giãn đại tràng
• Căng giãn ruột non lẫn đại tràng
CĂNG GIÃN ỐNG TIÊU HÓA
DÀY THÀNH ỐNG TIÊU HÓA BỆNH
LÝ
• VIÊM
Crohn
• TÂN SINH
Lymphoma
• THÂM NHIỄM
Nhiễm Amyloz
• MẠCH MÁU
Máu tụ thành ruột
• PHÙ
Giảm protein máu
Tắc tĩnh mạch
Giãn bạch mạch
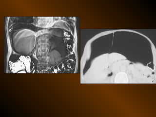
TỤ DỊCH TRONG PHÚC MẠC
• X QUANG QUY ƯỚC
– Trong tiểu khung
– Dọc hai bên hông
– Giữa bụng
• SIÊU ÂM
– Phản âm trống, chuyển dịch
– Lượng ít
– Bản chất dịch
• X QUANG CẮT LỚP ĐIỆN TOÁN
– Mật độ
– Vị trí
– Nguyên nhân
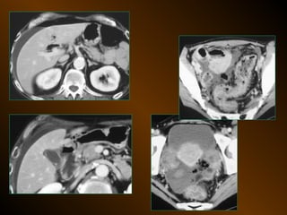
TỤ DỊCH KHU TRÚ
• X QUANG QUY ƯỚC
– Tụ dịch ? – khối u ?
• SIÊU ÂM
– Phản âm, chất chứa, vỏ bọc ?
• X QUANG CẮT LỚP ĐIỆN TOÁN
– Mật độ, bắt cản quang ?
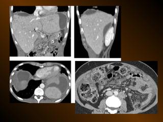
TỤ DỊCH NGOÀI PHÚC MẠC
• Khoang quanh thận
– thận, tuyến thượng thận, niệu quản
• Khoang cận thận trước
– tá tràng, tụy, đại tràng lên, đt xuống
– động mạch gan, lách
• Khoang cận thận sau
– Động mạch chủ bụng, bạch mạch
– Thân đốt sống
– Tá tràng, tụy, đường mật, đại tràng
– Ruột thừa sau manh tràng, đm gan, lách
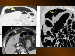
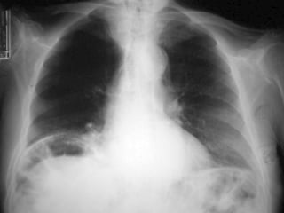
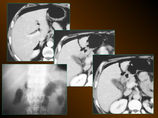
KHÍ TỰ DO
TRONG KHOANG PHÚC MẠC
NGUYÊN NHÂN
thủng tạng rỗng
nguồn gốc xuyên phúc mạc
nguồn gốc trong phúc mạc
10 – 15% thủng tạng rỗng → không thấy hơi tự do ổ bụng
TỤ KHÍ NGOÀI PHÚC MẠC
• Nguyên nhân :
– Thủng tạng rỗng
– Áp xe tạo khí
• X quang quy ước
• Siêu âm
• XQCLĐT
TRIỆU CHỨNG HỌC
KẾT QUẢ BÌNH THƯỜNG
CĂNG VÀ Ứ KHÍ BỆNH LÝ TRONG ỐNG TIÊU
HÓA: dạ dày, tá tràng, ruột non, đại tràng
DÀY THÀNH ỐNG TIÊU HÓA BỆNH LÝ
TỤ DỊCH TRONG PHÚC MẠC
TỤ DỊCH NGOÀI PHÚC MẠC
KHÍ TỰ DO TRONG KHOANG PHÚC MẠC
TỤ KHÍ NGOÀI PHÚC MẠC
TỤ KHÍ TRONG LÒNG, TRONG THÀNH TẠNG
RỖNG VÀ TRONG CÁC CẤU TRÚC DẠNG ỐNG
Xq bung cap dai cuong
Xq bung cap dai cuong
Xq bung cap dai cuong
Xq bung cap dai cuong
Xq bung cap dai cuong
Xq bung cap dai cuong
Xq bung cap dai cuong
Xq bung cap dai cuong
Xq bung cap dai cuong
Xq bung cap dai cuong
Xq bung cap dai cuong
Xq bung cap dai cuong
Xq bung cap dai cuong
Xq bung cap dai cuong
Xq bung cap dai cuong

Xq bung cap dai cuong

  • 1.
    CHƯƠNG TRÌNH • Chẩnđoán X quang bụng cấp: đại cương • Hội chứng tắc ruột • Chấn thương bụng kín • Các bệnh lý bụng cấp khác • X quang ống tiêu hóa – Thực quản – Dạ dày – tá tràng – Ruột non – Đại tràng • Hình ảnh học các tạng khác thuộc bộ máy tiêu hóa BS Phí Ích Nghị, FVH
  • 2.
    X QUANG BỤNGCẤP đại cương
  • 3.
    CÁC KỸ THUẬT •HÌNH BỤNG KHÔNG SỬA SOẠN • SIÊU ÂM • X QUANG CẮT LỚP ĐIỆN TOÁN • CHỤP QUANG MẠCH • VÀ X QUANG CAN THIỆP • CÁC KHẢO SÁT KHÁC
  • 4.
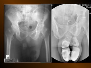
    • HÌNH BỤNGKHÔNG SỬA SOẠN • Kỹ thuật : • Bao nhiêu phim ? • Yếu tố kỹ thuật ? • Tư thế nào quan trọng ? • Cách phân tích • 4 loại bất thường • Chỉ định : hơi tự do tắc ruột sỏi niệu CÁC KỸ THUẬT
  • 5.
    Phân tích hệthống: - Khí tự do trong phúc mạc - Khí trong ống tiêu hóa: hình thái - Đánh giá thành ruột - Tụ khí ngoài phúc mạc? - Khí trong các cấu trúc ống khác - Hình ảnh các cấu trúc mô mềm sinh lý - Tụ dịch trong phúc mạc - Các bóng mờ bệnh lý - Các đóng vôi bệnh lý - Khung xương, đáy phổi
  • 8.
    SIÊU ÂM :phụ thuộc người thực hiện và tình trạng bệnh nhân Kỹ thuật : chuẩn bị bệnh nhân ? tần số đầu dò ? Cách phân tích: dấu hiệu dương tính và âm tính Chỉ định : linh động SIÊU ÂM DOPPLER CÁC KỸ THUẬT
  • 10.
    • X QUANGCẮT LỚP ĐIỆN TOÁN • Kỹ thuật • Chuẩn bị ? • Cách thu thập : lát cắt, trường, ma trận tiêm chất cản quang tĩnh mạch ? tái tạo ? • Ưu, khuyết điểm • Chỉ định • Phân tích kết quả : của sổ hiển thị CÁC KỸ THUẬT
  • 13.
    QUANG MẠCH • Chỉđịnh giới hạn X QUANG CAN THIỆP Dẫn lưu áp xe bụng Thủ thuật nghẽn mạch cầm máu Dẫn lưu đường mật Mở túi mật ra da CÁC KHẢO SÁT KHÁC Cản quang ống tiêu hóa: baryt, tan trong nước Cộng hưởng từ CÁC KỸ THUẬT
  • 19.
    TRIỆU CHỨNG HỌC KẾTQUẢ BÌNH THƯỜNG CĂNG VÀ Ứ KHÍ BỆNH LÝ TRONG ỐNG TIÊU HÓA: dạ dày, tá tràng, ruột non, đại tràng DÀY THÀNH ỐNG TIÊU HÓA BỆNH LÝ TỤ DỊCH TRONG PHÚC MẠC TỤ DỊCH NGOÀI PHÚC MẠC KHÍ TỰ DO TRONG KHOANG PHÚC MẠC TỤ KHÍ NGOÀI PHÚC MẠC TỤ KHÍ TRONG LÒNG? TRONG THÀNH TẠNG RỖNG VÀ TRONG CÁC CẤU TRÚC DẠNG ỐNG
  • 25.
    CĂNG GIÃN ỐNGTIÊU HÓA • Căng giãn dạ dày • Căng giãn tá tràng • Căng giãn ruột non • Căng giãn đại tràng • Căng giãn ruột non lẫn đại tràng
  • 30.
    • Căng giãndạ dày • Nguyên nhân • Cơ học : loét, ung thư, xoắn, bezoar hẹp miệng nối, lồng ruột • Không cơ học : toan máu, ure máu cao • cắt tk X • heroin
  • 31.
    CĂNG GIÃN ỐNGTIÊU HÓA • Căng giãn dạ dày • Căng giãn tá tràng • Căng giãn ruột non • Căng giãn đại tràng • Căng giãn ruột non lẫn đại tràng
  • 32.
    • Căng giãntá tràng • Nguyên nhân • viêm nhiễm lân cận: viêm tụy cấp, viêm túi mật cấp • viêm tá tràng • bệnh xơ cứng bì • luput ban đỏ • X quang: kết hợp giãn dạ dày trong tắc cao ở ruột non
  • 34.
    • Căng giãndạ dày • Căng giãn tá tràng • Căng giãn ruột non • Căng giãn đại tràng • Căng giãn ruột non lẫn đại tràng CĂNG GIÃN ỐNG TIÊU HÓA
  • 39.
    • Căng giãndạ dày • Căng giãn tá tràng • Căng giãn ruột non • Căng giãn đại tràng • Căng giãn ruột non lẫn đại tràng CĂNG GIÃN ỐNG TIÊU HÓA
  • 41.
    PHÂN BIỆT RUỘT NON– ĐẠI TRÀNG • Các nếp Kerckring • Nếp ngấn thanh mạc • Khẩu kính • Số lượng quai • Phân bố các quai ruột • Cao / rộng • Chất cặn bã
  • 44.
    • Căng giãndạ dày • Căng giãn tá tràng • Căng giãn ruột non • Căng giãn đại tràng • Căng giãn ruột non lẫn đại tràng CĂNG GIÃN ỐNG TIÊU HÓA
  • 47.
    DÀY THÀNH ỐNGTIÊU HÓA BỆNH LÝ • VIÊM Crohn • TÂN SINH Lymphoma • THÂM NHIỄM Nhiễm Amyloz • MẠCH MÁU Máu tụ thành ruột • PHÙ Giảm protein máu Tắc tĩnh mạch Giãn bạch mạch
  • 51.
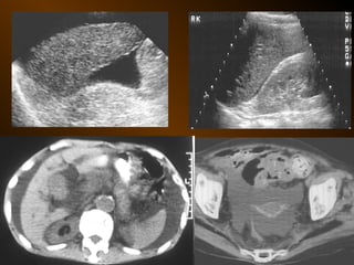
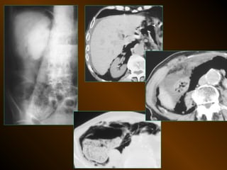
    TỤ DỊCH TRONGPHÚC MẠC • X QUANG QUY ƯỚC – Trong tiểu khung – Dọc hai bên hông – Giữa bụng • SIÊU ÂM – Phản âm trống, chuyển dịch – Lượng ít – Bản chất dịch • X QUANG CẮT LỚP ĐIỆN TOÁN – Mật độ – Vị trí – Nguyên nhân
  • 54.
    TỤ DỊCH KHUTRÚ • X QUANG QUY ƯỚC – Tụ dịch ? – khối u ? • SIÊU ÂM – Phản âm, chất chứa, vỏ bọc ? • X QUANG CẮT LỚP ĐIỆN TOÁN – Mật độ, bắt cản quang ?
  • 58.
    TỤ DỊCH NGOÀIPHÚC MẠC • Khoang quanh thận – thận, tuyến thượng thận, niệu quản • Khoang cận thận trước – tá tràng, tụy, đại tràng lên, đt xuống – động mạch gan, lách • Khoang cận thận sau – Động mạch chủ bụng, bạch mạch – Thân đốt sống – Tá tràng, tụy, đường mật, đại tràng – Ruột thừa sau manh tràng, đm gan, lách
  • 63.
    KHÍ TỰ DO TRONGKHOANG PHÚC MẠC NGUYÊN NHÂN thủng tạng rỗng nguồn gốc xuyên phúc mạc nguồn gốc trong phúc mạc 10 – 15% thủng tạng rỗng → không thấy hơi tự do ổ bụng
  • 83.
    TỤ KHÍ NGOÀIPHÚC MẠC • Nguyên nhân : – Thủng tạng rỗng – Áp xe tạo khí • X quang quy ước • Siêu âm • XQCLĐT
  • 87.
    TRIỆU CHỨNG HỌC KẾTQUẢ BÌNH THƯỜNG CĂNG VÀ Ứ KHÍ BỆNH LÝ TRONG ỐNG TIÊU HÓA: dạ dày, tá tràng, ruột non, đại tràng DÀY THÀNH ỐNG TIÊU HÓA BỆNH LÝ TỤ DỊCH TRONG PHÚC MẠC TỤ DỊCH NGOÀI PHÚC MẠC KHÍ TỰ DO TRONG KHOANG PHÚC MẠC TỤ KHÍ NGOÀI PHÚC MẠC TỤ KHÍ TRONG LÒNG, TRONG THÀNH TẠNG RỖNG VÀ TRONG CÁC CẤU TRÚC DẠNG ỐNG