Embed presentation
Downloaded 249 times





















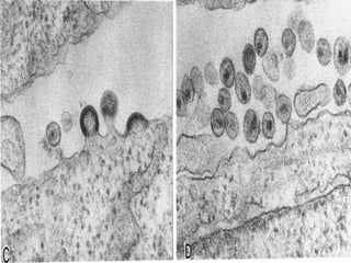
Viruses can only replicate inside living cells by going through a viral multiplication cycle. This cycle includes adsorption to the host cell, entry/penetration either through fusion with the plasma membrane or via endosomes, uncoating to release the viral genome, production of viral components in the nucleus or cytoplasm, assembly of new viral particles, and final release through cell lysis or budding through the plasma membrane. The specific steps may vary depending on if the virus has an envelope and what type of genome it contains.



















