M. N. Jalalian
Faculty of Medicine
Tehran University of Medical
Sciences
Definition
 Presence of calculi (stones) in the kidney or
collecting system
 Usually small (2-12 mm), solid, crystalline
concretions
 Calcium salts, uric acid, cystine, or struvite
 Stones < 0.5 cm without symptoms
 Larger calculi cause pain and obstruction
 Staghorn calculi (struvite, cystine, and uric
acid) can grow as large as renal pelvis
Epidemiology
 3rd common problem of urinary tract
 In the U.S., ~13% of men and 7% of women
during their lifetime
 Prevalence is increasing throughout the industrialized world.
 Sex
 Calcium and uric acid More common in men
○ Calcium stones
 Male-to-female ratio, 2-3:1
 Onset in the third to fourth decades of life
 Struvite stones are more common in women
○ Male-to-female ratio, 1:3
Risk Factors
 Family history: calcium and uric stones
 UTI with urease-producing bacteria
 Diet high in oxalate, purine, and calcium
 Poor fluid intake
 Gout
 Chronic bladder catheterization: struvite
stones
 Prior stone formation
 50% of people who form a single calcium stone form
another within the subsequent decade
Etiology
 Types of Stones
 Calcium stones
○ Calcium oxalate and calcium phosphate
stones
 Uric acid stones
 Struvite stones
 Cystine stones
 Other types
○ Xanthine, Indinavir, etc.
Etiology
Calcium stones
 75-85% of renal stones
 Major causes
 Hypercalciuria
○ Absorptive
 Type I: relatively unresponsive to dietary modifications (15%)
- Treatment: Cellulose phosphate, thiazide diuretics (limited)
 Type II: responds to moderate dietary calcium restriction.
 Type III: renal phosphate leak (5%)
- Hypophosphatemia  ↑ activation of vitamin D-3  ↑
intestinal absorption  ↑ urinary excretion
- Treatment: orthophosphate
 Hypercalciuria…
○ Resorptive hypercalciuria
(hyperparathyroidism)
 5-10%
 Resection of parathyroid adenoma
○ Renal leak hypercalciuria
 Defect in kidney
 Mild hypocalcemia and secondary
hyperparathyroidism
 Treatment: thiazide diuretics (long-term)
Etiology
Calcium stones
 Hyperuricosuria (20%)
 secondary to dietary excesses or uric
acid metabolic defects
 pH > 5.5
 Treatment
○ Limited purine in diet
○ Allopurinol
 Hyperoxaluria (20%)
 Small-bowel disease
○ Causing fat malabsorption
 Dramatic effect
 Treatment
○ Oxalate binders (Ca, Mg, other cations)
○ dietary oxalate restriction
 Hypocitraturia (20-40%)
 Can be primary or secondary
Etiology
Struvite stones
 5-10%
 Magnesium-ammonium-phosphate (MAP)
 Common in women with recurrent UTI
 urease-producing bacteria
○ Proteus, Pseudomonas, or Providencia species
 pH > 7.2 (Nl = 5.85)
Etiology
Uric acid stones
 5-10%
 Hyperuricosuria
 Gout
 Myeloproliferative syndromes
 Chemotherapy
 high purine intake
 pH < 5.5
 Treatment: alkali therapy,, allopurinol
Etiology
 Cystine stones
 1-3%
 Cystinuria
○ autosomal recessive disorder
○ defective proximal tubular and jejunal transport of
cystine, lysine, arginine, and ornithine
○ Clinical disease due to insolubility of cystine
 Drug-induced stone disease
 Indinavir
 tazanavir; triamterene; silicate
Clinical Presentation
 Pain
 Usually very severe
 Sudden onset
 Localized to the flank, with radiation to the groin
 Colicky
 Hematuria
 Infection
 Fever
 Nausea and vomiting
 Patient constantly moving
Differential Diagnosis
 Pyelonephritis
 Acute abdomen
 Gynecologic problems
 Diverticulitis
 Abdominal aortic aneurysm
 Aortic dissection
 Appendicitis
 Biliary colic
 Perforating duodenal ulcer
 Viral gastroenteritis
 Acute pancreatitis
 Urinary tract infection
Diagnostic Approach
 Clinical suspicion
 Rapid imaging
 Ultrasonography
 Noncontrast spiral CT scanning
 likelihood of passing spontaneously
 < 4 mm: 80%
 4-6 mm: 60%
 >6 mm: 20%
 U/A
Imaging
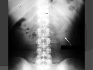
 Plain abdominal radiography
 KUB radiography
 size, shape, and location of urinary calculi
 Radiopaque
○ Calcium-containing stones,
○ Cystine
○ struvite stones are
 Radiolucent
○ pure uric acid
 Spiral CT without contrast
 Preferred tool when KUB is nondiagnostic
 Advantages
○ More sensitive
○ Identify other pathology
 Disadvantages
○ More costly than intravenous pyelography
 Ultrasonography
 Advantages
○ Detects uric acid or cystine stones (not in KUB)
○ Inexpensive
○ Readily available
 Disadvantages
○ Ureteral calculi, especially in the distal ureter,
and stones < 5 mm not easily observed
 Intravenous pyelography
 Formerly the standard (for size and location)
 Advantages
○ Both anatomic and functional
○ Stones vs calcification
 Disadvantages
○ Intensive and time consuming if severe
obstruction
○ Requires bowel preparation for optimal results
○ Allergic and nephrotoxic contrast material
Treatment Approach
 Goal : Remove existing stones and prevent
stone recurrence
 Treatment depends on:
 Location of the stone
 Nature of the stone
 Extent of obstruction
 Function of affected and unaffected kidney
 Presence or absence of urinary tract infection
 Progress of stone passage
 Risk of operation or anesthesia
 Stones already present
 Combined medical and surgical approach
 Oral α1-adrenergic blockers
○ Relax ureteral muscle
○ Reduce time to stone passage
○ Reduce need for surgical removal of small
stones
Indications for stone removal
 A stone, usually >5mm, that does not
pass spontaneously
 Severe obstruction
 Infection
 Intractable pain
 Serious bleeding
Management of renal colic
 Hydration
 Pain control
 Parenteral: morphine sulfate and/or
intravenous NSAID (e.g.,ketorolac)
 Oral: narcotic (codeine, oxycodone,
hydrocodone) plus acetaminophen together
with an NSAID, such as ibuprofen
 Antiemetic agents
(e.g.,metoclopramide orprochlorperazi
ne)
 Strain urine
 Antibiotics, if infection is suspected
 Agents to relax the ureters
 α1-blockers (e.g.,tamsulosin 0.4 mg PO daily
30 minutes after a meal)
○ Faster and fewer hospitalization
 Calcium-channel blockers
When to hospitalize
 Intractable pain requiring parenteral
medications
 Persistent vomiting
 Obstruction with infection
 Solitary kidney with obstruction
When to refer to urologist
 Obstruction
 Stone size > 6 mm
 Infection
 Failure to progress
 Solitary kidney
 Pregnancy
 Severe renal disease
Thank you for your
attention

Urinary stones

  • 1.
    M. N. Jalalian Facultyof Medicine Tehran University of Medical Sciences
  • 2.
    Definition  Presence ofcalculi (stones) in the kidney or collecting system  Usually small (2-12 mm), solid, crystalline concretions  Calcium salts, uric acid, cystine, or struvite  Stones < 0.5 cm without symptoms  Larger calculi cause pain and obstruction  Staghorn calculi (struvite, cystine, and uric acid) can grow as large as renal pelvis
  • 4.
    Epidemiology  3rd commonproblem of urinary tract  In the U.S., ~13% of men and 7% of women during their lifetime  Prevalence is increasing throughout the industrialized world.  Sex  Calcium and uric acid More common in men ○ Calcium stones  Male-to-female ratio, 2-3:1  Onset in the third to fourth decades of life  Struvite stones are more common in women ○ Male-to-female ratio, 1:3
  • 5.
    Risk Factors  Familyhistory: calcium and uric stones  UTI with urease-producing bacteria  Diet high in oxalate, purine, and calcium  Poor fluid intake  Gout  Chronic bladder catheterization: struvite stones  Prior stone formation  50% of people who form a single calcium stone form another within the subsequent decade
  • 6.
    Etiology  Types ofStones  Calcium stones ○ Calcium oxalate and calcium phosphate stones  Uric acid stones  Struvite stones  Cystine stones  Other types ○ Xanthine, Indinavir, etc.
  • 7.
    Etiology Calcium stones  75-85%of renal stones  Major causes  Hypercalciuria ○ Absorptive  Type I: relatively unresponsive to dietary modifications (15%) - Treatment: Cellulose phosphate, thiazide diuretics (limited)  Type II: responds to moderate dietary calcium restriction.  Type III: renal phosphate leak (5%) - Hypophosphatemia  ↑ activation of vitamin D-3  ↑ intestinal absorption  ↑ urinary excretion - Treatment: orthophosphate
  • 8.
     Hypercalciuria… ○ Resorptivehypercalciuria (hyperparathyroidism)  5-10%  Resection of parathyroid adenoma ○ Renal leak hypercalciuria  Defect in kidney  Mild hypocalcemia and secondary hyperparathyroidism  Treatment: thiazide diuretics (long-term)
  • 9.
    Etiology Calcium stones  Hyperuricosuria(20%)  secondary to dietary excesses or uric acid metabolic defects  pH > 5.5  Treatment ○ Limited purine in diet ○ Allopurinol
  • 10.
     Hyperoxaluria (20%) Small-bowel disease ○ Causing fat malabsorption  Dramatic effect  Treatment ○ Oxalate binders (Ca, Mg, other cations) ○ dietary oxalate restriction  Hypocitraturia (20-40%)  Can be primary or secondary
  • 11.
    Etiology Struvite stones  5-10% Magnesium-ammonium-phosphate (MAP)  Common in women with recurrent UTI  urease-producing bacteria ○ Proteus, Pseudomonas, or Providencia species  pH > 7.2 (Nl = 5.85)
  • 12.
    Etiology Uric acid stones 5-10%  Hyperuricosuria  Gout  Myeloproliferative syndromes  Chemotherapy  high purine intake  pH < 5.5  Treatment: alkali therapy,, allopurinol
  • 13.
    Etiology  Cystine stones 1-3%  Cystinuria ○ autosomal recessive disorder ○ defective proximal tubular and jejunal transport of cystine, lysine, arginine, and ornithine ○ Clinical disease due to insolubility of cystine  Drug-induced stone disease  Indinavir  tazanavir; triamterene; silicate
  • 14.
    Clinical Presentation  Pain Usually very severe  Sudden onset  Localized to the flank, with radiation to the groin  Colicky  Hematuria  Infection  Fever  Nausea and vomiting  Patient constantly moving
  • 15.
    Differential Diagnosis  Pyelonephritis Acute abdomen  Gynecologic problems  Diverticulitis  Abdominal aortic aneurysm  Aortic dissection  Appendicitis  Biliary colic  Perforating duodenal ulcer  Viral gastroenteritis  Acute pancreatitis  Urinary tract infection
  • 16.
    Diagnostic Approach  Clinicalsuspicion  Rapid imaging  Ultrasonography  Noncontrast spiral CT scanning  likelihood of passing spontaneously  < 4 mm: 80%  4-6 mm: 60%  >6 mm: 20%  U/A
  • 17.
    Imaging  Plain abdominalradiography  KUB radiography  size, shape, and location of urinary calculi  Radiopaque ○ Calcium-containing stones, ○ Cystine ○ struvite stones are  Radiolucent ○ pure uric acid
  • 19.
     Spiral CTwithout contrast  Preferred tool when KUB is nondiagnostic  Advantages ○ More sensitive ○ Identify other pathology  Disadvantages ○ More costly than intravenous pyelography
  • 20.
     Ultrasonography  Advantages ○Detects uric acid or cystine stones (not in KUB) ○ Inexpensive ○ Readily available  Disadvantages ○ Ureteral calculi, especially in the distal ureter, and stones < 5 mm not easily observed
  • 21.
     Intravenous pyelography Formerly the standard (for size and location)  Advantages ○ Both anatomic and functional ○ Stones vs calcification  Disadvantages ○ Intensive and time consuming if severe obstruction ○ Requires bowel preparation for optimal results ○ Allergic and nephrotoxic contrast material
  • 22.
    Treatment Approach  Goal: Remove existing stones and prevent stone recurrence  Treatment depends on:  Location of the stone  Nature of the stone  Extent of obstruction  Function of affected and unaffected kidney  Presence or absence of urinary tract infection  Progress of stone passage  Risk of operation or anesthesia
  • 23.
     Stones alreadypresent  Combined medical and surgical approach  Oral α1-adrenergic blockers ○ Relax ureteral muscle ○ Reduce time to stone passage ○ Reduce need for surgical removal of small stones
  • 24.
    Indications for stoneremoval  A stone, usually >5mm, that does not pass spontaneously  Severe obstruction  Infection  Intractable pain  Serious bleeding
  • 25.
    Management of renalcolic  Hydration  Pain control  Parenteral: morphine sulfate and/or intravenous NSAID (e.g.,ketorolac)  Oral: narcotic (codeine, oxycodone, hydrocodone) plus acetaminophen together with an NSAID, such as ibuprofen  Antiemetic agents (e.g.,metoclopramide orprochlorperazi ne)
  • 26.
     Strain urine Antibiotics, if infection is suspected  Agents to relax the ureters  α1-blockers (e.g.,tamsulosin 0.4 mg PO daily 30 minutes after a meal) ○ Faster and fewer hospitalization  Calcium-channel blockers
  • 27.
    When to hospitalize Intractable pain requiring parenteral medications  Persistent vomiting  Obstruction with infection  Solitary kidney with obstruction
  • 28.
    When to referto urologist  Obstruction  Stone size > 6 mm  Infection  Failure to progress  Solitary kidney  Pregnancy  Severe renal disease
  • 29.
    Thank you foryour attention