Nephrolithiasis
Urinary Stone Disease
Musa Abu Sabha
Outlines
 General Characteristics
 Common types of kidney stones
 Clinical Presentation
 Diagnosis
 Treatment
 Prevention
 Prognosis
General Characteristics
Epidemiology
• Common disorder with an annual incidence of 0.1% to 0.5%.
• The peak age at onset is 20 to 30 years
• Men > Women ( until 50s )
• Wide geographic variations exist, due to differences in diet and
water composition, as well as ambient and sunlight exposure. 5-9% in
Europe 20% in Saudi Arabia
General Characteristics
Sites of obstruction
1. Ureterovesicular junction-most common site of
impaction
2. Calyx of the kidney
3. Ureteropelvic junction
4. Intersection of the ureter and the iliac vessels
(near the pelvic brim)
General Characteristics : Risk Factors
1. High amount of stone substance in blood: Hypercalcemia
Hyperuricemia
2. Low urine volume
1. Increases concentration of urine substances
2. Low fluid intake-most common and preventable risk factor
3. Diuretics
3. In general, hydration lowers risk of stones
General Characteristics :Risk Factors
7. Conditions Increase risk of specific type of stone formation ( gout
[hyperuricemia], Crohn disease [hyperoxaluria], hyperparathyroidism
[hypercalciuria]
8. Dietary factors—low calcium and high oxalate intake, both of which
lead to hyperoxaluria (high calcium intake itself is rarely associated with
increased stones)
9. Positive family history has a risk 2.5 %.
General Characteristics
Types of Stones
1.Calcium
2.Struvite
3.Urate
4.Cystine
Stone type Pt. Factors Radiographic
appearance
Crystal morphology
Calcium (oxalate,
phosphate) (> 75% of
stones)
• Hyperparathyroidism
• High-sodium, high-oxalate diet;
malabsorption (oxalate)
• Renal tubular acidosis
(phosphate)
Small
Radiopaque
• Octahedron or
envelope (oxalate)
• Wedge or rosette
(phosphate
Magnesium ammonium
phosphate (struvite)
(15°/o of stones
Upper tract infection with urease-
producing organisms (eg, Proteus
Large
Radiopaque
Rectangular/prism
Uric acid (5°/o-8°/o of
stones)
• Gout
• Diabetes/metabolic syndrome
• Myeloproliferative disorders
Small
Radiolucent
• Yellow/brown
• Rhomboidal
Common types of kidney stones
Calcium stones (most common form)
1. Account for 80% to 85% of urinary stones; composed of
calcium oxalate or calcium phosphate (less often) or both
2. Bipyramid or biconcave ovals
3. Radiodense (i.e., visible on an abdominal radiograph)
4. Secondary to hypercalciuria and hyperoxaluria, which can
be due to a variety of causes.
5. Acidic urine pH promotes calcium oxalate stone formation
while a basic pH induces calcium phosphate stones
These crystals have the typical octahedral morphology of
calcium oxalate dihydrate crystals.
Magnesium ammonium phosphate
1. 2nd MC Type
2. Radiodense (visible on KUB ); rectangular prisms
3. Occur in patients with recurrent UTIs due to urease-
producing organisms (Proteus, Klebsiella, Serratia,
Enterobacter spp.)
4. They are facilitated by alkaline urine: urea-splitting
bacteria convert urea to ammonia, thus producing the
alkaline urine.
5. The resultant ammonia combines with magnesium and
phosphate to form struvite calculi, which may involve the
entire renal collecting system.
Struvite Crystals :coffin lid-appearance
Staghorn Calculi
Uric acid stone
1. Flat square plates
2. Radiolucent (cannot be seen on KUB require CT, ultrasound, or
IVP for detection.
3. Associated with:
hyperuricemia, secondary to gout or to
chemotherapeutic treatment of leukemias and lymphomas
with high cell destruction. The release of purines from dying
cells leads to hyperuricemia.
4. A persistently acidic urine pH (<5.5) promotes uric acid stone
formation. More common in hot areas
A clump of three clear, diamond-shaped (rhomboid)
crystals is visible
Cystine Stones
1. Rare type of stone
2. Seen in children with
cystinuria
3. Tubular defect  cannot
absorb cysteine.
4. Only clinical manifestation is
kidney stones
Radiolucent
Not visible on X-ray
Can see with CT scan
5. Hexagon-shaped crystals are
poorly visualized.
6. Rotten Egg Odor of urine
7. Child With recurrent stones
and positive family history
Clinical Presentation
• Sudden onset of colicky Flank pain associated with:
– Hematuria ( 90% of cases )
– Nausea and Vomiting
– Dysuria, frequency, and urgency
• More common in distal ureteral stones. These symptoms may
mimic UTI or actually be signs of a concurrent UTI. The presence
of FEVER and chills (usually absent in an uncomplicated
nephrolithiasis) may help to distinguish nephrolithiasis from an
upper UTI.
Clinical Presentation
• Patients are usually unable to sit still and move around frequently.
• Stone location could be expected based on radiation:
• UPJ : costovertebral angle.
• Mid ureter : RIF ( mimic Appendicitis & Ovarian torsion)
• Distal part : Female( labia majora ) Male ( testis)
Small Kidney stones may also be asymptomatic and detected incidentally
Diagnosis
• Initial diagnostic workup includes:
1. Imaging studies to locate the stone.
2. laboratory Tests to determine Kidney function and assess
for UTI.
Diagnosis: Labs
• Urinalysis:
– Hematuria plus pyuria indicates a stone with concomitant
infection.
– Examine the urinary sediment for crystals.
– Determine the urinary pH
• Urine culture—obtain if infection is suspected
• Serum chemistry—BUN, Cr and electrolytes
Diagnosis: Imaging
• Best initial Test : noncontrast spiral CT scan
– All stones are visible
– THE GOLD STANDERED
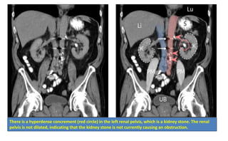
There is a hyperdense concrement (red circle) in the left renal pelvis, which is a kidney stone. The renal
pelvis is not dilated, indicating that the kidney stone is not currently causing an obstruction.
Diagnosis: Imaging
• Best initial in pregnancy : abdominal US
– Can detect hydronephrosis
– Can be used if the CT unavailable
False-negative results are common in early obstruction.
Transhepatic longitudinal ultrasound of the right kidney: There is a round, hyperechoic lesion (green area) at
the upper pole of the kidney in the renal parenchyma, which shows a dorsal acoustic shadow (white area)
and is most likely a kidney stone. The central areas of the kidney show, as far as can be seen in this image, no
dilation, which indicates no obstruction.
Diagnosis: Imaging
• Rarely used :
– KUB :
• Can not detect hydronephrosis
• Miss small and radiolucent stones
– IV Pyelogram
• Most useful test for defining degree and extent of urinary tract
obstruction
• This is usually not necessary for the diagnosis of renal calculi.
Upper ureteral calculus with right-sided urinary obstruction
Treatment
• Determine if it is a complicated case, including:
1. High-grade hydronephrosis
2. or Infected hydronephrosis
3. Urosepsis, AKI, intractable pain, or vomiting
Treatment
• Treatment depends on the size of the stone:
– < 5 mm: often pass spontaneously.
– < 10 mm:. likelihood of spontaneous passage increases with alpha-
blocker or CCB therapy
– > 10 mm: often require shock wave lithotripsy or ureterorenoscopy
– > 20 mm: percutaneous nephrolithotomy
Treatment : Medical Therapy
• General measures (for all types of stones):
1. Analgesia: IV morphine, parenteral NSAIDS (ketorolac)
2. Vigorous fluid hydration-beneficial in all forms of nephrolithiasis
3. Alpha-1 blockers (tamsulosin) may be used to facilitate stone passage
4. Antibiotics-f UTI is present
• Most patients are treated as Outpatient . Indications for hospital
admission include:
– • Pain not controlled with oral medications
– • Anuria (usually in patients with one kidney)
– • Renal colic plus UTI and/or fever
– • Large stone (> 1cm) that is unlikely to pass spontaneously
Treatment : Medical Therapy
• Specific measures (based on severity of pain):
1. Mild to moderate pain: high fluid intake, oral analgesia while waiting
for stone to pass spontaneously (give the patient a urine strainer)
2. Severe pain (especially with vomiting) Prescribe IV fluids and pain
control. Obtain a KUB and an IVP to find the site of obstruction.
3. If a stone does not pass spontaneously after 3 days, consider urology
consult.
Treatment : Surgical intervention
Indications
1. Stones > 10 mm
2. Complicated stones (e.g., concomitant high-grade
obstruction, urosepsis, impending AKI, intractable pain,
vomiting)
3. After failed medical therapy, relapse, recurrent infection, or
if preferred by the patient (i.e., patients who decline
conservative treatment)
4. Failure to pass stone spontaneously after 4–6 weeks
Extracorporeal shock wave lithotripsy
1. Noninvasive method enabling stone fragmentation using an acoustic
pulse.
2. Treatment option for renal and proximal ureteral stones > 10 mm
3. Lowest complication rate but often repeated SWL is necessary for
patients with residual stones
4. Stones should be clearly visible on x-ray and/or ultrasound
5. Contraindicated in cases of untreated UTI, during pregnancy, and in
patients with bleeding diathesis
– Not preferred in morbidly obese patients
Extracorporeal shock wave lithotripsy
Extracorporeal shock wave lithotripsy
Ureterorenoscopy
1. A transurethral endoscopic procedure used to visualize the urinary
tract up to the renal pelvis for retrieval or destruction of urinary stones
or sampling of biopsies.
2. Treatment option for ureteral stones >10 mm (especially mid or distal
ureteral stones) and very large renal stones ≥ 20 mm
3. For stones in the proximal ureter, flexible URS is usually preferred,
whereas for distal stones, rigid or semirigid URS is often superior
4. Greatest stone-free rate
Ureterorenoscopy
Ureterorenoscopy
Percutaneous nephrolithotomy
• Treatment option for renal stones > 20 mm
• Involves :
1. the puncture of the renal pelvis calyx under sonographic and
radiological guidance
2. introduction of the nephroscope and instruments
3. fragmentation of stones and retrieval of the fragments
Percutaneous nephrolithotomy
Percutaneous nephrolithotomy
Ureteral Stenting
or Percutaneous Nephrostomy
• Stenting can be performed following endoscopic stone removal and in
the case of ureteral injury, evidence of ureteral stricture, or large
residual stones.
• Nephrostomy can be used for decompression in the case of severely
obstructed or infected pyelon (in these patients, definite stone
treatment should be delayed until the infection has resolved).
Ureteral Stenting
or Percutaneous Nephrostomy
Ureteral Stenting
or Percutaneous Nephrostomy
Pyelolithotomy/ureterolithotomy
• Laparoscopic or open stone removal
• Only considered in rare cases where other interventional
methods have previously failed or are likely to do so (e.g.,
because of complex staghorn stones)
Pyelolithotomy/ureterolithotomy
Pyelolithotomy/ureterolithotomy
Prognosis
• 50% of patients may have a new episode of
nephrolithiasis within 10 years.
Prevention
• Hydration: sufficient fluid intake (≥ 2.5 L/day)
• The dietary recommendations for patients with renal calculi are:
1. Increased fluid intake
2. Decreased sodium intake
3. Normal dietary calcium intake
Pharmacologic measures
• Thiazide diuretics reduce urinary calcium and have been found to lower recurrence rates,
especially in patients with hypercalciuria.
• Allopurinol is elective in preventing recurrence in patients with high uric acid levels in the
urine
Quiz
A 50-year-old man arrives to the emergency department with severe acute
colicky flank pain and hematuria. The patient has a long- standing history of
gout. Which of the following is true regarding the type of kidney stone the
patient likely has?
• (A) Most are radiopaque.
• (B) They are often seen in patients with hyperparathyroidism.
• (C) Shock wave lithotripsy is not helpful.
• (D) Sodium bicarbonate administration is beneficial.
• (E) Suppressive antibiotics are helpful in prevention.
Quiz
Answer D.
The most likely diagnosis in a patient with a past medical history significant
for gout presenting with acute colicky pain and hematuria is nephrolithiasis
secondary to uric acid renal stones. Unlike other types of renal stones, this
type is radiolucent and will not show up on X-ray (A). Patients with gout are
at increased risk for developing uric acid stones. Sodium bicarbonate will
alkalinize the urine to achieve a urinary pH of 6–6.5, as this would provide
optimal conditions for dissolution of uric acid stones. Patients with
hyperparathyroidism are more prone to developing calcium oxalate renal
stones (B). Suppressive antibiotics should be considered in the case of
struvite stones secondary to recurrent urinary tract infections (E). Shock
wave lithotripsy may be added as an adjunct to urine alkalinization to
further improve the stone-free rate (C).
Quiz
A 78-year-old man arrives to the emergency department with colicky flank pain for the past 4
days that is now accompanied by nausea, vomiting, fever, and hematuria. Past medical history is
significant for congestive heart failure and prior myocardial infarc- tion. On physical examination,
the patient has a blood pressure of 100/60 mmHg, temperature of 38.0 °C, and a heart rate of
110/min. Urinalysis reveals 150 RBC/hpf and 20 WBC/hpf. Laboratory tests demonstrate a WBC
of 15 × 103/μL (normal 4.1–10.9 × 103/ μL) with 10% bands. Imaging demonstrates a 10-
millimeter stone lodged in the ureterovesical junction with dilation of the right renal calyx.
Broad-spectrum antibiotics are administered intravenously. What is the best next step in
management?
(A) Percutaneous nephrostomy tube
(B) Open nephrostomy
(C) Shock wave lithotripsy
(D) Placement of a ureteral stent
(E) Admit to ICU for close monitoring
Quiz
Answer A
Ureteral obstruction in association with sepsis requires emergent urinary
decompression. This is most expeditiously achieved via a percutaneous
nephrostomy tube. Shock wave lithotripsy is unlikely to relieve the obstruction
caused by a stone of this size (C). Open nephrostomy is rarely indicated (B). Close
monitoring in the ICU as the sole management plan would be inappropriate for a
patient with sepsis secondary to a blocked ureter (E). Hydration, analgesics, and
bed rest would be appropriate for an uncomplicated and small renal stone without
accompanying hydronephrosis. A ureteral stent is an option; however, it is a more
time-consuming procedure that will not be as expeditious in a septic patient
compared to a percutaneous nephrostomy (D).
Quiz
A 37-year-old obese woman arrives to the emergency department with left flank pain and
hematuria. She has never experienced these symptoms before. Her past medical history includes
Crohn’s which has been controlled with mesalamine. She is afebrile with a blood pressure of
130/84 mmHg and a pulse of 104/min. Physical examination reveals a laparotomy scar in her
right lower quadrant. She is given analgesics for pain control. What is the most likely etiology of
her acute symptoms?
(A) Gallstones
(B) Hypercalciuria
(C) Increased absorption of oxalate
(D) Urease-producing bacteria
(E) Mesalamine
Quiz
Answer C
Patients with Crohn’s that present with flank pain and hematuria should raise suspicion for
nephrolithiasis secondary to hyperoxaluria. Her laparotomy scar suggests that she had an ileocolic
resection, which would predispose her to fat malabsorption as the terminal ileum is the principal
site for fat absorption. In healthy patients, intraluminal calcium binds to oxalate to prevent its
reabsorption from the GI tract. In patients with increased amounts of fat in the GI lumen (e.g.,
Crohn’s status-post ileocolic resection), the calcium preferentially binds to fat leaving the unbound
oxalate available for reabsorption and, thus, increases the risk of developing calcium oxalate renal
stones. Hypercalciuria would have been the most likely etiology had she not had Crohn’s (B).
Urease-producing bacteria are associated with struvite stones and recurrent urinary tract
infections (D). Gallstones do not cause flank pain or hematuria, and mesalamine is not a known risk
factor for the development of renal stones (A, E).
Quiz
A 52-year-old male is brought to the hospital by his wife with complaints of intense pain that
started around his right flank and now radiates to his right groin. He said that his urine appears
pink. He appears to be in severe pain and is unable to remain still during examination. His
abdominal exam is unremarkable. Urinalysis reveals 100 RBC/hpf. IV fluids and analgesics are
administered. Which of the following is the most appropriate imaging?
(A) Helical CT scan of the abdomen and pelvis without contrast
(B) Helical CT scan of the abdomen and pelvis with contrast
(C) Upright abdominal X-ray
(D) Intravenous pyelogram (IVP)
(E) Renal ultrasound
Quiz
Answer A
The presentation is consistent with nephrolithiasis. Initial management should focus on IV fluid
hydration and analgesia. Recommended imaging includes a KUB (a supine X-ray of the abdomen)
and a non-contrast CT of the abdomen and pelvis. The use of contrast may interfere with
visualization of the stone (B). An upright abdominal X-ray is used to look for air-fluid levels in
association with a small bowel obstruction or free air under the diaphragm (C). Such a film cuts off
the pelvis and as such will miss many ureteral stones. IVP has largely been replaced by CT (D).
Renal ultrasound may be used in pregnant patients but may miss stones; it is also used to look for
hydronephrosis as an adjunct to KUB (if a CT scan is not obtained) (E).
Too many things to keep in mind
Thank You!
Prepared by : Musa Abu Sabha

Nephrolithiasis - urinary stones

  • 1.
  • 2.
    Outlines  General Characteristics Common types of kidney stones  Clinical Presentation  Diagnosis  Treatment  Prevention  Prognosis
  • 3.
    General Characteristics Epidemiology • Commondisorder with an annual incidence of 0.1% to 0.5%. • The peak age at onset is 20 to 30 years • Men > Women ( until 50s ) • Wide geographic variations exist, due to differences in diet and water composition, as well as ambient and sunlight exposure. 5-9% in Europe 20% in Saudi Arabia
  • 4.
    General Characteristics Sites ofobstruction 1. Ureterovesicular junction-most common site of impaction 2. Calyx of the kidney 3. Ureteropelvic junction 4. Intersection of the ureter and the iliac vessels (near the pelvic brim)
  • 5.
    General Characteristics :Risk Factors 1. High amount of stone substance in blood: Hypercalcemia Hyperuricemia 2. Low urine volume 1. Increases concentration of urine substances 2. Low fluid intake-most common and preventable risk factor 3. Diuretics 3. In general, hydration lowers risk of stones
  • 6.
    General Characteristics :RiskFactors 7. Conditions Increase risk of specific type of stone formation ( gout [hyperuricemia], Crohn disease [hyperoxaluria], hyperparathyroidism [hypercalciuria] 8. Dietary factors—low calcium and high oxalate intake, both of which lead to hyperoxaluria (high calcium intake itself is rarely associated with increased stones) 9. Positive family history has a risk 2.5 %.
  • 7.
    General Characteristics Types ofStones 1.Calcium 2.Struvite 3.Urate 4.Cystine
  • 8.
    Stone type Pt.Factors Radiographic appearance Crystal morphology Calcium (oxalate, phosphate) (> 75% of stones) • Hyperparathyroidism • High-sodium, high-oxalate diet; malabsorption (oxalate) • Renal tubular acidosis (phosphate) Small Radiopaque • Octahedron or envelope (oxalate) • Wedge or rosette (phosphate Magnesium ammonium phosphate (struvite) (15°/o of stones Upper tract infection with urease- producing organisms (eg, Proteus Large Radiopaque Rectangular/prism Uric acid (5°/o-8°/o of stones) • Gout • Diabetes/metabolic syndrome • Myeloproliferative disorders Small Radiolucent • Yellow/brown • Rhomboidal Common types of kidney stones
  • 9.
    Calcium stones (mostcommon form) 1. Account for 80% to 85% of urinary stones; composed of calcium oxalate or calcium phosphate (less often) or both 2. Bipyramid or biconcave ovals 3. Radiodense (i.e., visible on an abdominal radiograph) 4. Secondary to hypercalciuria and hyperoxaluria, which can be due to a variety of causes. 5. Acidic urine pH promotes calcium oxalate stone formation while a basic pH induces calcium phosphate stones
  • 10.
    These crystals havethe typical octahedral morphology of calcium oxalate dihydrate crystals.
  • 11.
    Magnesium ammonium phosphate 1.2nd MC Type 2. Radiodense (visible on KUB ); rectangular prisms 3. Occur in patients with recurrent UTIs due to urease- producing organisms (Proteus, Klebsiella, Serratia, Enterobacter spp.) 4. They are facilitated by alkaline urine: urea-splitting bacteria convert urea to ammonia, thus producing the alkaline urine. 5. The resultant ammonia combines with magnesium and phosphate to form struvite calculi, which may involve the entire renal collecting system.
  • 12.
  • 13.
  • 14.
    Uric acid stone 1.Flat square plates 2. Radiolucent (cannot be seen on KUB require CT, ultrasound, or IVP for detection. 3. Associated with: hyperuricemia, secondary to gout or to chemotherapeutic treatment of leukemias and lymphomas with high cell destruction. The release of purines from dying cells leads to hyperuricemia. 4. A persistently acidic urine pH (<5.5) promotes uric acid stone formation. More common in hot areas
  • 15.
    A clump ofthree clear, diamond-shaped (rhomboid) crystals is visible
  • 16.
    Cystine Stones 1. Raretype of stone 2. Seen in children with cystinuria 3. Tubular defect  cannot absorb cysteine. 4. Only clinical manifestation is kidney stones Radiolucent Not visible on X-ray Can see with CT scan 5. Hexagon-shaped crystals are poorly visualized. 6. Rotten Egg Odor of urine 7. Child With recurrent stones and positive family history
  • 17.
    Clinical Presentation • Suddenonset of colicky Flank pain associated with: – Hematuria ( 90% of cases ) – Nausea and Vomiting – Dysuria, frequency, and urgency • More common in distal ureteral stones. These symptoms may mimic UTI or actually be signs of a concurrent UTI. The presence of FEVER and chills (usually absent in an uncomplicated nephrolithiasis) may help to distinguish nephrolithiasis from an upper UTI.
  • 18.
    Clinical Presentation • Patientsare usually unable to sit still and move around frequently. • Stone location could be expected based on radiation: • UPJ : costovertebral angle. • Mid ureter : RIF ( mimic Appendicitis & Ovarian torsion) • Distal part : Female( labia majora ) Male ( testis) Small Kidney stones may also be asymptomatic and detected incidentally
  • 20.
    Diagnosis • Initial diagnosticworkup includes: 1. Imaging studies to locate the stone. 2. laboratory Tests to determine Kidney function and assess for UTI.
  • 21.
    Diagnosis: Labs • Urinalysis: –Hematuria plus pyuria indicates a stone with concomitant infection. – Examine the urinary sediment for crystals. – Determine the urinary pH • Urine culture—obtain if infection is suspected • Serum chemistry—BUN, Cr and electrolytes
  • 22.
    Diagnosis: Imaging • Bestinitial Test : noncontrast spiral CT scan – All stones are visible – THE GOLD STANDERED
  • 23.
    There is ahyperdense concrement (red circle) in the left renal pelvis, which is a kidney stone. The renal pelvis is not dilated, indicating that the kidney stone is not currently causing an obstruction.
  • 24.
    Diagnosis: Imaging • Bestinitial in pregnancy : abdominal US – Can detect hydronephrosis – Can be used if the CT unavailable False-negative results are common in early obstruction.
  • 25.
    Transhepatic longitudinal ultrasoundof the right kidney: There is a round, hyperechoic lesion (green area) at the upper pole of the kidney in the renal parenchyma, which shows a dorsal acoustic shadow (white area) and is most likely a kidney stone. The central areas of the kidney show, as far as can be seen in this image, no dilation, which indicates no obstruction.
  • 26.
    Diagnosis: Imaging • Rarelyused : – KUB : • Can not detect hydronephrosis • Miss small and radiolucent stones – IV Pyelogram • Most useful test for defining degree and extent of urinary tract obstruction • This is usually not necessary for the diagnosis of renal calculi.
  • 27.
    Upper ureteral calculuswith right-sided urinary obstruction
  • 28.
    Treatment • Determine ifit is a complicated case, including: 1. High-grade hydronephrosis 2. or Infected hydronephrosis 3. Urosepsis, AKI, intractable pain, or vomiting
  • 29.
    Treatment • Treatment dependson the size of the stone: – < 5 mm: often pass spontaneously. – < 10 mm:. likelihood of spontaneous passage increases with alpha- blocker or CCB therapy – > 10 mm: often require shock wave lithotripsy or ureterorenoscopy – > 20 mm: percutaneous nephrolithotomy
  • 30.
    Treatment : MedicalTherapy • General measures (for all types of stones): 1. Analgesia: IV morphine, parenteral NSAIDS (ketorolac) 2. Vigorous fluid hydration-beneficial in all forms of nephrolithiasis 3. Alpha-1 blockers (tamsulosin) may be used to facilitate stone passage 4. Antibiotics-f UTI is present • Most patients are treated as Outpatient . Indications for hospital admission include: – • Pain not controlled with oral medications – • Anuria (usually in patients with one kidney) – • Renal colic plus UTI and/or fever – • Large stone (> 1cm) that is unlikely to pass spontaneously
  • 31.
    Treatment : MedicalTherapy • Specific measures (based on severity of pain): 1. Mild to moderate pain: high fluid intake, oral analgesia while waiting for stone to pass spontaneously (give the patient a urine strainer) 2. Severe pain (especially with vomiting) Prescribe IV fluids and pain control. Obtain a KUB and an IVP to find the site of obstruction. 3. If a stone does not pass spontaneously after 3 days, consider urology consult.
  • 32.
    Treatment : Surgicalintervention Indications 1. Stones > 10 mm 2. Complicated stones (e.g., concomitant high-grade obstruction, urosepsis, impending AKI, intractable pain, vomiting) 3. After failed medical therapy, relapse, recurrent infection, or if preferred by the patient (i.e., patients who decline conservative treatment) 4. Failure to pass stone spontaneously after 4–6 weeks
  • 33.
    Extracorporeal shock wavelithotripsy 1. Noninvasive method enabling stone fragmentation using an acoustic pulse. 2. Treatment option for renal and proximal ureteral stones > 10 mm 3. Lowest complication rate but often repeated SWL is necessary for patients with residual stones 4. Stones should be clearly visible on x-ray and/or ultrasound 5. Contraindicated in cases of untreated UTI, during pregnancy, and in patients with bleeding diathesis – Not preferred in morbidly obese patients
  • 34.
  • 35.
  • 36.
    Ureterorenoscopy 1. A transurethralendoscopic procedure used to visualize the urinary tract up to the renal pelvis for retrieval or destruction of urinary stones or sampling of biopsies. 2. Treatment option for ureteral stones >10 mm (especially mid or distal ureteral stones) and very large renal stones ≥ 20 mm 3. For stones in the proximal ureter, flexible URS is usually preferred, whereas for distal stones, rigid or semirigid URS is often superior 4. Greatest stone-free rate
  • 37.
  • 38.
  • 39.
    Percutaneous nephrolithotomy • Treatmentoption for renal stones > 20 mm • Involves : 1. the puncture of the renal pelvis calyx under sonographic and radiological guidance 2. introduction of the nephroscope and instruments 3. fragmentation of stones and retrieval of the fragments
  • 40.
  • 41.
  • 42.
    Ureteral Stenting or PercutaneousNephrostomy • Stenting can be performed following endoscopic stone removal and in the case of ureteral injury, evidence of ureteral stricture, or large residual stones. • Nephrostomy can be used for decompression in the case of severely obstructed or infected pyelon (in these patients, definite stone treatment should be delayed until the infection has resolved).
  • 43.
  • 44.
  • 45.
    Pyelolithotomy/ureterolithotomy • Laparoscopic oropen stone removal • Only considered in rare cases where other interventional methods have previously failed or are likely to do so (e.g., because of complex staghorn stones)
  • 46.
  • 47.
  • 48.
    Prognosis • 50% ofpatients may have a new episode of nephrolithiasis within 10 years.
  • 49.
    Prevention • Hydration: sufficientfluid intake (≥ 2.5 L/day) • The dietary recommendations for patients with renal calculi are: 1. Increased fluid intake 2. Decreased sodium intake 3. Normal dietary calcium intake Pharmacologic measures • Thiazide diuretics reduce urinary calcium and have been found to lower recurrence rates, especially in patients with hypercalciuria. • Allopurinol is elective in preventing recurrence in patients with high uric acid levels in the urine
  • 50.
    Quiz A 50-year-old manarrives to the emergency department with severe acute colicky flank pain and hematuria. The patient has a long- standing history of gout. Which of the following is true regarding the type of kidney stone the patient likely has? • (A) Most are radiopaque. • (B) They are often seen in patients with hyperparathyroidism. • (C) Shock wave lithotripsy is not helpful. • (D) Sodium bicarbonate administration is beneficial. • (E) Suppressive antibiotics are helpful in prevention.
  • 51.
    Quiz Answer D. The mostlikely diagnosis in a patient with a past medical history significant for gout presenting with acute colicky pain and hematuria is nephrolithiasis secondary to uric acid renal stones. Unlike other types of renal stones, this type is radiolucent and will not show up on X-ray (A). Patients with gout are at increased risk for developing uric acid stones. Sodium bicarbonate will alkalinize the urine to achieve a urinary pH of 6–6.5, as this would provide optimal conditions for dissolution of uric acid stones. Patients with hyperparathyroidism are more prone to developing calcium oxalate renal stones (B). Suppressive antibiotics should be considered in the case of struvite stones secondary to recurrent urinary tract infections (E). Shock wave lithotripsy may be added as an adjunct to urine alkalinization to further improve the stone-free rate (C).
  • 52.
    Quiz A 78-year-old manarrives to the emergency department with colicky flank pain for the past 4 days that is now accompanied by nausea, vomiting, fever, and hematuria. Past medical history is significant for congestive heart failure and prior myocardial infarc- tion. On physical examination, the patient has a blood pressure of 100/60 mmHg, temperature of 38.0 °C, and a heart rate of 110/min. Urinalysis reveals 150 RBC/hpf and 20 WBC/hpf. Laboratory tests demonstrate a WBC of 15 × 103/μL (normal 4.1–10.9 × 103/ μL) with 10% bands. Imaging demonstrates a 10- millimeter stone lodged in the ureterovesical junction with dilation of the right renal calyx. Broad-spectrum antibiotics are administered intravenously. What is the best next step in management? (A) Percutaneous nephrostomy tube (B) Open nephrostomy (C) Shock wave lithotripsy (D) Placement of a ureteral stent (E) Admit to ICU for close monitoring
  • 53.
    Quiz Answer A Ureteral obstructionin association with sepsis requires emergent urinary decompression. This is most expeditiously achieved via a percutaneous nephrostomy tube. Shock wave lithotripsy is unlikely to relieve the obstruction caused by a stone of this size (C). Open nephrostomy is rarely indicated (B). Close monitoring in the ICU as the sole management plan would be inappropriate for a patient with sepsis secondary to a blocked ureter (E). Hydration, analgesics, and bed rest would be appropriate for an uncomplicated and small renal stone without accompanying hydronephrosis. A ureteral stent is an option; however, it is a more time-consuming procedure that will not be as expeditious in a septic patient compared to a percutaneous nephrostomy (D).
  • 54.
    Quiz A 37-year-old obesewoman arrives to the emergency department with left flank pain and hematuria. She has never experienced these symptoms before. Her past medical history includes Crohn’s which has been controlled with mesalamine. She is afebrile with a blood pressure of 130/84 mmHg and a pulse of 104/min. Physical examination reveals a laparotomy scar in her right lower quadrant. She is given analgesics for pain control. What is the most likely etiology of her acute symptoms? (A) Gallstones (B) Hypercalciuria (C) Increased absorption of oxalate (D) Urease-producing bacteria (E) Mesalamine
  • 55.
    Quiz Answer C Patients withCrohn’s that present with flank pain and hematuria should raise suspicion for nephrolithiasis secondary to hyperoxaluria. Her laparotomy scar suggests that she had an ileocolic resection, which would predispose her to fat malabsorption as the terminal ileum is the principal site for fat absorption. In healthy patients, intraluminal calcium binds to oxalate to prevent its reabsorption from the GI tract. In patients with increased amounts of fat in the GI lumen (e.g., Crohn’s status-post ileocolic resection), the calcium preferentially binds to fat leaving the unbound oxalate available for reabsorption and, thus, increases the risk of developing calcium oxalate renal stones. Hypercalciuria would have been the most likely etiology had she not had Crohn’s (B). Urease-producing bacteria are associated with struvite stones and recurrent urinary tract infections (D). Gallstones do not cause flank pain or hematuria, and mesalamine is not a known risk factor for the development of renal stones (A, E).
  • 56.
    Quiz A 52-year-old maleis brought to the hospital by his wife with complaints of intense pain that started around his right flank and now radiates to his right groin. He said that his urine appears pink. He appears to be in severe pain and is unable to remain still during examination. His abdominal exam is unremarkable. Urinalysis reveals 100 RBC/hpf. IV fluids and analgesics are administered. Which of the following is the most appropriate imaging? (A) Helical CT scan of the abdomen and pelvis without contrast (B) Helical CT scan of the abdomen and pelvis with contrast (C) Upright abdominal X-ray (D) Intravenous pyelogram (IVP) (E) Renal ultrasound
  • 57.
    Quiz Answer A The presentationis consistent with nephrolithiasis. Initial management should focus on IV fluid hydration and analgesia. Recommended imaging includes a KUB (a supine X-ray of the abdomen) and a non-contrast CT of the abdomen and pelvis. The use of contrast may interfere with visualization of the stone (B). An upright abdominal X-ray is used to look for air-fluid levels in association with a small bowel obstruction or free air under the diaphragm (C). Such a film cuts off the pelvis and as such will miss many ureteral stones. IVP has largely been replaced by CT (D). Renal ultrasound may be used in pregnant patients but may miss stones; it is also used to look for hydronephrosis as an adjunct to KUB (if a CT scan is not obtained) (E).
  • 58.
    Too many thingsto keep in mind
  • 59.
    Thank You! Prepared by: Musa Abu Sabha