CLASSIFICATION
• Primary
  Secondary (metastases)
• Primary tumors:
              Benign
              Malignant
Benign tumours
• Osteoma
• Osteoid ostioma
• Osteoblastoma
Malignent tumours
1.   Osteosarcoma (Osteogenic sarcoma)
2.   Chondrosarcoma
3.   Osteoclastoma (Giant cell tumor )
4.   Ewing sarcoma
Osteosarcoma
        (Osteogenic sarcoma)
• Most common primary malignant tumor of
  bone

• Clinically:
  – Males> females
  – Most occur in teenagers (age 10-25 years)
  – Localized pain and swelling
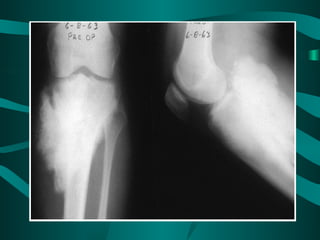
•    Classic X-ray findings:
    1. Codman's triangle (periosteal elevation)
    2. Sunburst pattern
    3. Bone destruction
• Pathology:
  – Often involves the metaphysic of long bones
  – Usually around the knee (distal femur and
    proximal tibia)
  – Large firm white tan mass with necrosis and
    hemorrhage
• Secondary osteosarcoma:
  – Occurs in old people
  – Associated with paget disease or chronic
    osteomyelitis
  – Highly aggressive
Chondrosarcoma
• Definition:
  – Malignant tumor of chondroblasts


• Etiology:
  – The tumor may arise as primary or secondary to
    preexisting enchondroma, exostosis or Paget
    disease
• Clinically:
  –   Male> females
  –   Age: 30-60 years
  –   Enlarged mass with pain and swelling
  –   Typically involves the pelvic bones, spine and
      shoulder girdle
Chondrosarcoma
Giant cell tumor
           (Osteoclastoma
• Uncommon malignant neoplasm containing
  mult-inucleated giant cells admixed with
  stromal cells

• It is a locally malignant bone tumor with a
  high rate of recurrence
• Clinically:
  – Females>males
  – Age: 20-50 years
  – Bulky mass with pain and fractures


• X-ray:
  – Expanding lytic lesion surrounded by a thin rim
    of bone
  – It may have a soap bubble appearance
Soap bubble appearance
• Pathology:
  – Often involves the epiphysis of long bones
  – Usually around the knee
  – Red or brown mass with cystic degeneration
Ewing sarcoma
• Malignant neoplasm of undifferentiated cells
  arising within the marrow cavity

• Clinical features:
   – Males>females
   – Most occur in teenagers (5-20)
   – Presented with pain, swelling and tenderness


• X-ray:
   – Concentric, onion skin layering of new periosteal bone
• Pathology:
  – Often affects the diaphysis of long bones
  – Most common sites are the femur, pelvis and
    tibia
  – White tan mass with necrosis and hemorrhage
Clinical Presentation
• PAIN
       The pain may be progressive for many months, and
 initially be confused with more common sources such as
 muscle soreness, overuse injury or "growing pains."

 Night pain is an important clue to the true diagnosis (25%)

 The primary reasons for delay in the diagnosis is failure to
 obtain radiographs at the initial visit.

 Pain that fails to resolve or is present at rest or wakes the
 patient from sleep should alert the clinician that further
 evaluation is needed.
• Swelling
       Palpable mass is noted in up to 1/3 of patients at
  the first visit.

• Limp
     In smaller children, a limp may be the only symptom

• Restriction of movement of the adjacent joint

• Pathological Fracture
       This can increase the rate of local recurrence of the
  tumor after surgery and decrease the patient’s     overall
  survival

•   Fever, malaise or other constitutional symptoms
diagnosis
Lab tests-
Full blood count, ESR, CRP.
        LDH (elevated level is associated with poor
        prognosis)
        ALP (elevated levels at diagnosis signify increased
        risk of pulmonary metastasis) .
        Platelet count
        Electrolyte levels
        Liver function tests
        Renal function tests
        Urinalysis
Imagining studies
Plain x-rays
               Obtain plain films of the suspected lesions in
               2 views. With joint above and joint below
• CT scanning
      CT scanning of the chest is more sensitive than is
      plain film radiography for assessing pulmonary
      metastases.
 MRI
      MRI of the primary lesion is the best method to
     assess the extent of intramedullary disease as well     as
     associated soft-tissue masses .
Bone Scan
      A bone scan should be obtained to look for skeletal
  metastases or multi focal disease.
• Thallium scan
      Monitor effects of chemotherapy
      Detect local recurrence of tumor

• Angiography
       Determine vascularity of the tumor
       Detect vascular displacement and
  determine relationship of vessels to the tumor
       Identify vascular anomalies
       Estimate effects of chemotherapy.

• Once all the initial imaging & lab exam has been done
  biopsy is performed to conform the diagnosis.
Radiology
•   Site
•   Size
•   Effect on bone
•   Response of Bone
•   Matrix
•   Cortex
•   Soft tissue
• Types of biopsy

     Fine needle aspiration
     Core needle biopsy
     Open incisional biopsy
staging
The staging system is typically depicted as follows
• Stage I: Low grade tumors
                   I-A intra compartmental
                   I-B extra compartmental
• Stage II: High grade tumors
                   II-A intra compartmental
                   II-B extra compartmental
• Stage III: Any tumors with evidence of
      metastasis
Treatment
    1. Radiological staging
    2. Biopsy to confirm diagnosis
    3. Preoperative chemotherapy,Radiotherapy
    4. Repeat radiological staging
           (access chemo response, finalize surgical tx plan)
    5. Surgical resection with wide margin
    6. Reconstruction using one of many
       techniques
    7. Post op chemo based on preop response
•
PHYSIOTHERAPY
         MANAGEMENT
Pain managemet
General Conditioning
Stump Management
Palliative care
Adaptive device management
Prognostic Factors
• Extant of the disease
   – Pts with pulmonary, non pulmonry (bone) or skip metastasis have
     poor prognosis


• Grade of the tumor
   – High grade tumor have poor prognosis


• Size of the primary lesion
   – Large size tumors have worse prognosis then small size tumors


• Skeletal location
   – proximal tumors do worse than distal tumors.


• Secondary osteosarcoma: Poor prognosis
THANK YOU

Amal bont tumours

  • 2.
    CLASSIFICATION • Primary Secondary (metastases) • Primary tumors: Benign Malignant
  • 3.
    Benign tumours • Osteoma •Osteoid ostioma • Osteoblastoma
  • 4.
    Malignent tumours 1. Osteosarcoma (Osteogenic sarcoma) 2. Chondrosarcoma 3. Osteoclastoma (Giant cell tumor ) 4. Ewing sarcoma
  • 5.
    Osteosarcoma (Osteogenic sarcoma) • Most common primary malignant tumor of bone • Clinically: – Males> females – Most occur in teenagers (age 10-25 years) – Localized pain and swelling
  • 6.
    Classic X-ray findings: 1. Codman's triangle (periosteal elevation) 2. Sunburst pattern 3. Bone destruction
  • 9.
    • Pathology: – Often involves the metaphysic of long bones – Usually around the knee (distal femur and proximal tibia) – Large firm white tan mass with necrosis and hemorrhage
  • 12.
    • Secondary osteosarcoma: – Occurs in old people – Associated with paget disease or chronic osteomyelitis – Highly aggressive
  • 13.
    Chondrosarcoma • Definition: – Malignant tumor of chondroblasts • Etiology: – The tumor may arise as primary or secondary to preexisting enchondroma, exostosis or Paget disease
  • 14.
    • Clinically: – Male> females – Age: 30-60 years – Enlarged mass with pain and swelling – Typically involves the pelvic bones, spine and shoulder girdle
  • 15.
  • 17.
    Giant cell tumor (Osteoclastoma • Uncommon malignant neoplasm containing mult-inucleated giant cells admixed with stromal cells • It is a locally malignant bone tumor with a high rate of recurrence
  • 18.
    • Clinically: – Females>males – Age: 20-50 years – Bulky mass with pain and fractures • X-ray: – Expanding lytic lesion surrounded by a thin rim of bone – It may have a soap bubble appearance
  • 19.
  • 20.
    • Pathology: – Often involves the epiphysis of long bones – Usually around the knee – Red or brown mass with cystic degeneration
  • 22.
    Ewing sarcoma • Malignantneoplasm of undifferentiated cells arising within the marrow cavity • Clinical features: – Males>females – Most occur in teenagers (5-20) – Presented with pain, swelling and tenderness • X-ray: – Concentric, onion skin layering of new periosteal bone
  • 24.
    • Pathology: – Often affects the diaphysis of long bones – Most common sites are the femur, pelvis and tibia – White tan mass with necrosis and hemorrhage
  • 26.
    Clinical Presentation • PAIN The pain may be progressive for many months, and initially be confused with more common sources such as muscle soreness, overuse injury or "growing pains." Night pain is an important clue to the true diagnosis (25%) The primary reasons for delay in the diagnosis is failure to obtain radiographs at the initial visit. Pain that fails to resolve or is present at rest or wakes the patient from sleep should alert the clinician that further evaluation is needed.
  • 27.
    • Swelling Palpable mass is noted in up to 1/3 of patients at the first visit. • Limp In smaller children, a limp may be the only symptom • Restriction of movement of the adjacent joint • Pathological Fracture This can increase the rate of local recurrence of the tumor after surgery and decrease the patient’s overall survival • Fever, malaise or other constitutional symptoms
  • 28.
    diagnosis Lab tests- Full bloodcount, ESR, CRP. LDH (elevated level is associated with poor prognosis) ALP (elevated levels at diagnosis signify increased risk of pulmonary metastasis) . Platelet count Electrolyte levels Liver function tests Renal function tests Urinalysis
  • 29.
    Imagining studies Plain x-rays Obtain plain films of the suspected lesions in 2 views. With joint above and joint below • CT scanning CT scanning of the chest is more sensitive than is plain film radiography for assessing pulmonary metastases. MRI MRI of the primary lesion is the best method to assess the extent of intramedullary disease as well as associated soft-tissue masses . Bone Scan A bone scan should be obtained to look for skeletal metastases or multi focal disease.
  • 30.
    • Thallium scan Monitor effects of chemotherapy Detect local recurrence of tumor • Angiography Determine vascularity of the tumor Detect vascular displacement and determine relationship of vessels to the tumor Identify vascular anomalies Estimate effects of chemotherapy. • Once all the initial imaging & lab exam has been done biopsy is performed to conform the diagnosis.
  • 31.
    Radiology • Site • Size • Effect on bone • Response of Bone • Matrix • Cortex • Soft tissue
  • 32.
    • Types ofbiopsy Fine needle aspiration Core needle biopsy Open incisional biopsy
  • 33.
    staging The staging systemis typically depicted as follows • Stage I: Low grade tumors I-A intra compartmental I-B extra compartmental • Stage II: High grade tumors II-A intra compartmental II-B extra compartmental • Stage III: Any tumors with evidence of metastasis
  • 34.
    Treatment 1. Radiological staging 2. Biopsy to confirm diagnosis 3. Preoperative chemotherapy,Radiotherapy 4. Repeat radiological staging (access chemo response, finalize surgical tx plan) 5. Surgical resection with wide margin 6. Reconstruction using one of many techniques 7. Post op chemo based on preop response •
  • 35.
    PHYSIOTHERAPY MANAGEMENT Pain managemet General Conditioning Stump Management Palliative care Adaptive device management
  • 36.
    Prognostic Factors • Extantof the disease – Pts with pulmonary, non pulmonry (bone) or skip metastasis have poor prognosis • Grade of the tumor – High grade tumor have poor prognosis • Size of the primary lesion – Large size tumors have worse prognosis then small size tumors • Skeletal location – proximal tumors do worse than distal tumors. • Secondary osteosarcoma: Poor prognosis
  • 37.