 Synovial joint
 Temporal part
 Mandibular part
 inferior aspect of squamous part of temporal bone
 Composed of
 Articular fossa and Articular eminence
 fibrous connective tissue located between the
condyle head and mandibular fossa
 Biconcave in shape
 10 mm anteroposterier
 20 mm mediolateral
 Superior
 Inferior
 Superior compartment
 3 times larger than the inferior compartment
 Anterior recess and posterior recess
 Inferior compartment
 Encloses the entire neck of the mandible
 Divided into anterior and posterior recesses.
 THICK ANTERIOR BAND
 Attached to superior head of lateral pterygoid muscle
 THIN CENTRAL BAND
 serve as articulating cushion between condyle and
articulating eminence
 THICKER POSTERIOR BAND
 Attached to retrodiskal tissue
 Bilaminar zone of vascularised and innervated loose
fibro elastic tissue
 Superior lamina inserts into posterior wall of mandibular fossa
 Inferior lamina attached to posterior surface of condyle
 Posterior attachment is covered with synovial membrane
 secretes synovial fluid
 lubricates the joint
 Evaluating Integrity Of Structures
 Determine The Extent Of Disease
 Monitor Disease Progression
 Monitor Effectiveness Of Treatment
 Exclude Other Causes For Symptoms
 Specific Clinical Problem
 Diagnostic Information Available
 Cost Of Examination
 Contraindications
 Availability Of Equipment
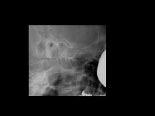
 Transcranial
 Transpharyngeal
 Transorbital
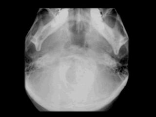
 Submentovertex
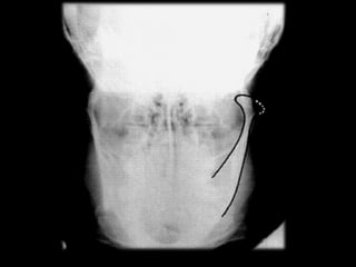
 Reverse Towne’s
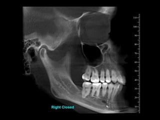
 Orthopantomography
 Conventional Tomography
 Computer Tomography
 Cone Beam C.T.
 Magnetic Resonance Imaging
 Nuclear Medicine
 S.P.E.C.T.
 P.E.T.
 Ultrasonography
 Arthrography
 Arthroscopy
 Schüllers Technique
 Sagittal view of Lateral part of the condyle
and temporal components
 X-ray directed parallel to long axis of condyle
 Film is positioned against facial skin on side of
interest parallel to sagittal plane
 X ray tube head is projected from opposite side
 Central beam is projected downwards 25⁰ and
centered on T.M.J.
 Central beam is projected through cranium above
petrous ridge of temporal bone on film side
through T.M.J. in line with long axis of condyle
 Horizontal angle not more than 10⁰
 Vertical angle not more than 25⁰
Open mouth Closed mouth
 Deviation in horizontal axis
 Anteroposterior distortion
 Deviation in vertical axis
 shortening or elongation of condyle
 Superimposition
 Parma projection
 Mcqueen projection
 Infracranial projection
 Sagittal view of medial pole of condyle
 Open mouth technique to avoid superimposition
of condyle on temporal components
 Cassette is positioned against the side of patient head
 parallel to sagittal plane
 Tube head is placed on side of skull
 opposite the T.M.J. to be imaged
 Central beam is directed cranially 5-10⁰ and posteriorly 10⁰
 X ray pass through the sigmoid notch below the base of skull
through oropharynx
 to the film and oblique to long axis of condyle
patient is holding the film against the left T.M.J., the mouth is open
and the X-ray beam is aimed across the pharynx.
The side of the face with various anatomical structures zygomatic arch, condyle, sigmoid
notch and coronoid process drawn in to clarify the centering point of the X-ray beam
positioning from the front showing the film parallel to the sagittal plane and the
X-ray beam aimed across the pharynx
positioning from above showing the X-ray beam aimed slightly posteriorly
across the pharynx
 Provide gross visualization of condylar process
 Helps in diagnosing condylar fractures and gross
alteration in form
 If the angulation of condylar axis are low
 condylar profile will be better seen in this view
 If no mouth opening, superior portion of condyle
will be superimposed by Articular eminence
 No information about glenoid fossa
 Radiation dose is high when target to film
distance is short
 Temporal component is not well imaged
 Transmaxillary
 Zimmer projection
 Provides anterior view of T.M.J.
 X ray is directed perpendicular to long axis of condyle
 It have minimum superimposition
 Patient is seated in upright position
 Head is tipped downward for 10⁰
 Tube head is positioned infront of the patient
 Cassette is placed behind the patient
 X ray passes through the ipsilateral orbit through T.M.J.
of interest existing from skull behind mastoid process
 Patient is asked to open mouth widely to allow
profile visualization of entire lateromedial range
of articulating surface of condyle and Articular
eminence
 Simpler technique
 Less superimposition
 Erosive condylar changes are seen
 Open mouth position will show major portion of
condyle
 Glenoid fossa is not clear
 Superimposition in compromised mouth opening
 Less accurate
 Reproducibility is difficult
 skull base and condyle
 Angulation of long axis of condylar head
 Provides a view of T.M.J. in lateral plane
 evaluating
▪ Displaced Condyles
▪ Rotation Of Horizontal Plane Associated With Trauma Or Facial
Asymmetry
Tracing of angles between the long axis of each condyle and the midsagittal plane.
For tomography views the patient is rotated according to the measured angles to
produce an undistorted radiographic view of each T.M.J.
 To investigate the Articular surface of the
condyles and disease within the joint
 Fractures of the condylar heads and necks
 Patient is positioned facing the film
 Head tipped downward
 Forehead and nose touching the cassette
 X ray tube is aimed upward at 30⁰ from behind
 Used for screening purposes
 Both condyles can be visualized
 Gross osseous changes can be identified
 Disadvantage of superimposition
Ankylosis treated with total joint prosthesis
Panoramic view shows prosthesis (arrow), consisting of artificial fossa (fixed with six
titanium screws in temporal bone), and artificial condylar process (fixed with seven titanium
screws to mandibular ramus
 Multiple thin image slices, permitting visualization
of anatomic structures
 Exposed in sagittal plane
 Condylar long axis position is determined with
respect to mid sagittal plane using S.M.V.
projection
Frontal tomographic section of the mandibular condyle.
 Both x ray beam and film moves in opposite direction
 Moving x ray beam focus on a fixed region and project
it on moving film at same area
 Structures located out of focus is blurred
 Structures located within the focus is clear
1.Conventional tomography 1 year previously showed normal position of condyle in
fossa and normal bone; note in particular the eminence (arrow).
2.Tomography now shows condyle displaced anteriorly (probably due to joint
effusion) and erosion in articular eminence (arrow)
 Before C.T.,S.M.V. is taken to assess orientation of
condylar long axis
 Because images are obtained after individual
adjustments based on condylar axis at different
position and different mandibular postures
Dorsal displacement of the right, and ventral displacement of the left condyle suggest a
rotatory movement around the right condyle. After using an axial film to check the
inclination of the condylar axis with regard to the median sagittal plane (black) and to
the frontal plane (white), axially adjusted and precisely positioned tomography can
provide excellent results, and in some cases may even depict the Articular disc.
 Linear tomography
 Multidirectional hypocycloidal tomography
 Multidirectional computer-controlled spiral
tomography
Spiral tomography of the same patient
Left: A normally structured and positioned condyle.
Right: The ventral position and the advanced arthrosis of the condyle are
clearly visible in this case with perforated disc.
Two 6- mm thick coronal tomographs of the same left condylar head.
 Imaging method that combines multiple X rays
taken at different angles to create cross-sectional
images of the body.
 Each image is considered a ‘‘slice’’ and can be
reformatted to create a 3-Dimensional image
Psoriatic Arthropathy.
Oblique coronal (A) and oblique sagittal (C) CT images show punched-out erosion in
lateral part of condyle (arrow).
Similar CT sections of contralateral joint show normal bone
Coronal CT shows enlarged condyle with irregular outline and mineralization (arrow).
 The shape of the condyle and the condition of the
Articular surface
 The condition of the glenoid fossa and eminence
 The position and shape of the disc
 The integrity of the disc and its soft tissue
attachments
 The nature of any condylar head disease
Axial CT scan in bone windows. White arrows indicate bilateral condyle fractures with
anteromedial dislocation
Coronal CT scan in bone windows. White arrows indicate bilateral condyle fractures
with medial displacement
 Uses a cone shaped x ray beam
 Beam performs a single rotation around the
head of patient at an constant angle, producing
volumetric data set, which is laser reconstructed
into 3-dimensional pictures
Cone beam CT bone anatomy of normal temporomandibular joint upper right axial)
lower left oblique sagittal
lower right oblique coronal
Coronoid hyperplasia.
3D CT images at closed (A) and opened mouth (B) show enlarged coronoid process
(arrow) which does not allow normal motion of mandible
 Can depict tiny bony structures with fine details
 Sharper than conventional
 Whole head can be obtained
 Can be represented in 3D format-using
Multiplanar Reconstruction
 Radiation Exposure
 Expense
 Accessibility
 Size Of The Equipment
 Most accurate radiographic imaging modality
 disk position and associated soft tissue structures
 images are presented in T1- and T2-weighted sequences
 T1-weighted for visualization of osseous and disk tissues
 T2-weighted demonstrate inflammation and effusions
 Allows construction of image in sagittal and coronal
planes
 Images are acquired in open and closed mandibular
position using surface coils to improve image
resolution
upper left oblique sagittal MRI, upper right oblique coronal MRI,
lower left oblique sagittal section, lower right oblique coronal section,
 Analyze The Position Of The Articular Disk In Sagittal And Coronal Planes
 Dynamic Assessment Of Condylar Translation
 Disk Movement During Opening And Closing
 Disk Morphology
 Joint Effusions
 Synovitis
 Osseous Erosions
 Degenerative Joint Disease
 Internal Derangement
 Thickening Of Tendon Attachments,
 Rupture Of
 Retrodiscal Tissues,
 Osteoarthritic Changes Such As Condylar Flattening Or Osteophyte Formation
MRI shows completely destroyed disc, replaced by fibrous or vascular pannus and cortical
punched-out erosion (arrow) with sclerosis (shown by CT) in condyle.
B Autopsy specimen shows no disc structure but pannus, and erosion in condyle (arrow) from
patient with known long-standing rheumatoid arthritis
T1-weighted axial MRI. White arrow indicates cystic lesion of the left condyle with fluid levels.
T2-weighted axial MRI. White arrow indicates cystic lesion of the left condyle with fluid
levels. MS, maxillary sinus
T1-weighted sagittal MRI of T.M.J.. Solid white arrow indicates articular disk anteriorly
displaced. Broken white arrow indicates a joint effusion. C, condyle; LP, lateral pterygoid;
M, mastoid air cells.
T2-weighted sagittal view of T.M.J.. Solid white arrow indicates articular disk anteriorly
displaced. Broken white arrow indicates a joint effusion. C, condyle; LP, lateral pterygoid;
M, mastoid air cells.
T2-weighted sagittal MRI. White arrow indicates a joint effusion. C, condyle
 Motion images during opening and closing
can be obtained by having the patient open in
a series of stepped distance and using rapid
image acquisition(fast scan technique)
ADVANTAGES
 Precise information of
lesions
 Detects minute changes
 Non invasive method
DISADVANTAGES
 Expensive
 Skilled professionals
 Contraindications
 Metal prosthesis
 pacemakers
 Scintigraphy aids to discover early changes in
T.M.J. as a direct result of biochemical
alterations at cellular and sub cellular levels
 used as a physiologic adjunct to the anatomic
detail provided by other imaging modalities
 Uses radionuclide labeled tracers injected I.V.
 Emits gamma radiation
 Most commonly used are Technetium Diphosphonate
 Low Radiation
 Short Half Life
 A gamma scintillation camera ,which can
fluorescence on interaction with gamma rays will
detect the emitted radiation
 Fluorescence is then amplified by photomultiplier
to produce image
 Radionuclide Imaging Or Nuclear Scintigraphy
 Acquires multiple images by rotating gamma
scintillation camera 360⁰ around patient
 Slices is then stacked to give 3-D representation
 Improved resolution and better anatomic localization
 Uses Positron Emitting Isotopes
 Positron interact with adjacent electrons to produce 2
gamma rays travelling in opposite directions
 Multiple detectors are placed with P.E.T. scanners
 So several gamma emissions can be detected at nearly
the same time with the process of Annihilation
Coincidence Detection
 Assessing skeletal growth
 Condylar hyperplasia
 Synovitis
 Quantification of arthritis in R.A.
 determine joint stability before dental rehabilitation
 Diagnosing fibro osseous lesions, metastatic diseases
 Inability to reveal morphology of osseous components
 Inability to Reveal disk displacements
 Non specificity
Coronal view of SPECT bone scan.
White arrow indicates increased uptake in the lesion in the left condyle.
Axial view of SPECT bone scan.
White arrow indicates increased uptake in the lesion in the left condyle.
 Radiographic study where contrast material has
been injected into lower joint compartment or
lower and upper compartments to visualize soft
tissues such as Articular disc and joint capsule
Double-contrast dual space arthrotomography, i.e., both joint compartments injected
separately; normal disc position in half open mouth view as indicated by anterior band
(arrowhead) anterior to condyle (C) and posterior band (arrow) posterior to condyle; joint
spaces also filled with air and thus appear radiolucent. Articular eminence indicated
Single-contrast dual space arthrotomography; upper space filled through perforation (not
seen) in area of disc/posterior attachment, open mouth view; disc anteriorly displaced
without reduction as indicated by its posterior band (arrow) in front of condyle (C). Articular
eminence indicated (E)
Single-contrast lower space arthrotomography; open mouth view shows contrast
material in front of condyle (C) demonstrating anteriorly displaced disc (arrow)
without reduction. Articular eminence indicated (E).
Same joint, closed mouth view; contrast material in extended anterior recess
showing lower surface of posterior band (arrow) of anteriorly displaced disc in front
of condyle (C). Articular eminence indicated (E)
 Position And Morphology Of Discs
 Perforation Of Articular Discs
 Joint Adhesion
 Soft Tissue Integrity
 Iodine Hypersensitivity
 Acute Infections
 Position of mandibular fossa and head is confirmed
by palpation on a point of 10mm from the tragus
on the line between midpoint of tragus and lateral
angle of eyes
 Tracing puncture point
 Infiltrating anaesthesia
 Puncture point reached by fluoroscopy
 Lower compartment can be reached from side of face by
directing needle forward back of condyle through
external auditory meatus
 Upper compartment from side of face under zygomatic
arch when mouth is opened
 Injection of medium
 Imaging under fluoroscopy using x ray video system
 Monitoring
 Confirmation of puncture site
 Confirmation of injection of contrast medium
into upper and lower Articular cavities
 Observation of morphology and position of
disc perforation
 Inspection of joint surfaces by performing
minimally invasive surgical procedures
percutaneously using an Arthroscope
 Allows direct visualization of joint
 Diagnosis of adhesions and Synovitis are the main
applications for arthroscopy.
Upper joint compartment; normal joint as indicated by smooth surfaces of
both disc and eminence
Upper joint compartment; fibrous adhesion between disc and eminence (arrow
Upper joint compartment; synovial proliferation (arrowhead) in disc perforation
area,hyperemia (small arrowhead), and part of disc (arrow
Same joint; synovial proliferation (arrowhead) in disc perforation area,
and part of disc (arrow)
 Ultrasonography uses sound waves of high
frequency to produce images of body.
 Serves for diagnosis and comparison of
therapeutic results in treating internal joint
defects
 Scanning transducer of 7.5-12 MHz is used
 Depicts narrow space of joint
 Position of disc
 Fluid and ligament adhesion
 Transducer is placed on skin above joint parallel to long
axis of mandible
 Disc seen as thin homogenous hypoechoic areas
 Condylar borders and Articular eminence shows a
hyperechogenic lines
 it is possible to directly observe the joint disc
movement, when the mouth is opening and closing
 Recently, high frequency large diameter transducer is
introduced
 Able to penetrate easily through small aperture between
glenoid fossa and condyle
 High focus depth and narrow wave beam
 When evaluating T.M.J. disk position for internal
derangement, ultrasonography has shown some benefit,
especially when high-resolution, dynamic, real-time
ultrasonography is used
g
linear transducer positioned against the patents face in a horizontal direction overlying
the zygomatic arch and t.m.j. & 25° to mid sagittal plane
 Reduced Cost
 Accessibility
 Fast Results
 Decreased Examination Time
 Lack Of Radiation Exposure.
 MRI continues to be the gold standard for
imaging soft tissues
 CT is the ideal imaging choice for evaluating
hard tissues
 use of the new cone-beam CT. For more specific
T.M.J. pathology,
 As advancements in this area continue,
our understanding of this complex joint
and its pathology will follow, which will
lead to more defined imaging indications
and ultimately, to improved treatment
TMJ IMAGING.pptx
TMJ IMAGING.pptx
TMJ IMAGING.pptx

TMJ IMAGING.pptx

  • 2.
     Synovial joint Temporal part  Mandibular part
  • 7.
     inferior aspectof squamous part of temporal bone  Composed of  Articular fossa and Articular eminence
  • 11.
     fibrous connectivetissue located between the condyle head and mandibular fossa  Biconcave in shape  10 mm anteroposterier  20 mm mediolateral
  • 13.
     Superior  Inferior Superior compartment  3 times larger than the inferior compartment  Anterior recess and posterior recess  Inferior compartment  Encloses the entire neck of the mandible  Divided into anterior and posterior recesses.
  • 15.
     THICK ANTERIORBAND  Attached to superior head of lateral pterygoid muscle  THIN CENTRAL BAND  serve as articulating cushion between condyle and articulating eminence  THICKER POSTERIOR BAND  Attached to retrodiskal tissue
  • 17.
     Bilaminar zoneof vascularised and innervated loose fibro elastic tissue  Superior lamina inserts into posterior wall of mandibular fossa  Inferior lamina attached to posterior surface of condyle  Posterior attachment is covered with synovial membrane  secretes synovial fluid  lubricates the joint
  • 20.
     Evaluating IntegrityOf Structures  Determine The Extent Of Disease  Monitor Disease Progression  Monitor Effectiveness Of Treatment  Exclude Other Causes For Symptoms
  • 21.
     Specific ClinicalProblem  Diagnostic Information Available  Cost Of Examination  Contraindications  Availability Of Equipment
  • 22.
     Transcranial  Transpharyngeal Transorbital  Submentovertex  Reverse Towne’s  Orthopantomography  Conventional Tomography
  • 23.
     Computer Tomography Cone Beam C.T.  Magnetic Resonance Imaging  Nuclear Medicine  S.P.E.C.T.  P.E.T.
  • 24.
  • 25.
     Schüllers Technique Sagittal view of Lateral part of the condyle and temporal components  X-ray directed parallel to long axis of condyle
  • 26.
     Film ispositioned against facial skin on side of interest parallel to sagittal plane  X ray tube head is projected from opposite side  Central beam is projected downwards 25⁰ and centered on T.M.J.
  • 28.
     Central beamis projected through cranium above petrous ridge of temporal bone on film side through T.M.J. in line with long axis of condyle  Horizontal angle not more than 10⁰  Vertical angle not more than 25⁰
  • 30.
  • 32.
     Deviation inhorizontal axis  Anteroposterior distortion  Deviation in vertical axis  shortening or elongation of condyle  Superimposition
  • 33.
     Parma projection Mcqueen projection  Infracranial projection  Sagittal view of medial pole of condyle  Open mouth technique to avoid superimposition of condyle on temporal components
  • 34.
     Cassette ispositioned against the side of patient head  parallel to sagittal plane  Tube head is placed on side of skull  opposite the T.M.J. to be imaged  Central beam is directed cranially 5-10⁰ and posteriorly 10⁰  X ray pass through the sigmoid notch below the base of skull through oropharynx  to the film and oblique to long axis of condyle
  • 35.
    patient is holdingthe film against the left T.M.J., the mouth is open and the X-ray beam is aimed across the pharynx.
  • 36.
    The side ofthe face with various anatomical structures zygomatic arch, condyle, sigmoid notch and coronoid process drawn in to clarify the centering point of the X-ray beam
  • 37.
    positioning from thefront showing the film parallel to the sagittal plane and the X-ray beam aimed across the pharynx
  • 38.
    positioning from aboveshowing the X-ray beam aimed slightly posteriorly across the pharynx
  • 40.
     Provide grossvisualization of condylar process  Helps in diagnosing condylar fractures and gross alteration in form  If the angulation of condylar axis are low  condylar profile will be better seen in this view
  • 41.
     If nomouth opening, superior portion of condyle will be superimposed by Articular eminence  No information about glenoid fossa  Radiation dose is high when target to film distance is short  Temporal component is not well imaged
  • 42.
     Transmaxillary  Zimmerprojection  Provides anterior view of T.M.J.  X ray is directed perpendicular to long axis of condyle  It have minimum superimposition
  • 43.
     Patient isseated in upright position  Head is tipped downward for 10⁰  Tube head is positioned infront of the patient  Cassette is placed behind the patient  X ray passes through the ipsilateral orbit through T.M.J. of interest existing from skull behind mastoid process
  • 44.
     Patient isasked to open mouth widely to allow profile visualization of entire lateromedial range of articulating surface of condyle and Articular eminence
  • 47.
     Simpler technique Less superimposition  Erosive condylar changes are seen  Open mouth position will show major portion of condyle
  • 48.
     Glenoid fossais not clear  Superimposition in compromised mouth opening  Less accurate  Reproducibility is difficult
  • 49.
     skull baseand condyle  Angulation of long axis of condylar head  Provides a view of T.M.J. in lateral plane  evaluating ▪ Displaced Condyles ▪ Rotation Of Horizontal Plane Associated With Trauma Or Facial Asymmetry
  • 51.
    Tracing of anglesbetween the long axis of each condyle and the midsagittal plane. For tomography views the patient is rotated according to the measured angles to produce an undistorted radiographic view of each T.M.J.
  • 52.
     To investigatethe Articular surface of the condyles and disease within the joint  Fractures of the condylar heads and necks
  • 53.
     Patient ispositioned facing the film  Head tipped downward  Forehead and nose touching the cassette  X ray tube is aimed upward at 30⁰ from behind
  • 57.
     Used forscreening purposes  Both condyles can be visualized  Gross osseous changes can be identified  Disadvantage of superimposition
  • 59.
    Ankylosis treated withtotal joint prosthesis Panoramic view shows prosthesis (arrow), consisting of artificial fossa (fixed with six titanium screws in temporal bone), and artificial condylar process (fixed with seven titanium screws to mandibular ramus
  • 62.
     Multiple thinimage slices, permitting visualization of anatomic structures  Exposed in sagittal plane  Condylar long axis position is determined with respect to mid sagittal plane using S.M.V. projection
  • 64.
    Frontal tomographic sectionof the mandibular condyle.
  • 65.
     Both xray beam and film moves in opposite direction  Moving x ray beam focus on a fixed region and project it on moving film at same area  Structures located out of focus is blurred  Structures located within the focus is clear
  • 66.
    1.Conventional tomography 1year previously showed normal position of condyle in fossa and normal bone; note in particular the eminence (arrow). 2.Tomography now shows condyle displaced anteriorly (probably due to joint effusion) and erosion in articular eminence (arrow)
  • 67.
     Before C.T.,S.M.V.is taken to assess orientation of condylar long axis  Because images are obtained after individual adjustments based on condylar axis at different position and different mandibular postures
  • 68.
    Dorsal displacement ofthe right, and ventral displacement of the left condyle suggest a rotatory movement around the right condyle. After using an axial film to check the inclination of the condylar axis with regard to the median sagittal plane (black) and to the frontal plane (white), axially adjusted and precisely positioned tomography can provide excellent results, and in some cases may even depict the Articular disc.
  • 69.
     Linear tomography Multidirectional hypocycloidal tomography  Multidirectional computer-controlled spiral tomography
  • 70.
    Spiral tomography ofthe same patient Left: A normally structured and positioned condyle. Right: The ventral position and the advanced arthrosis of the condyle are clearly visible in this case with perforated disc.
  • 71.
    Two 6- mmthick coronal tomographs of the same left condylar head.
  • 72.
     Imaging methodthat combines multiple X rays taken at different angles to create cross-sectional images of the body.  Each image is considered a ‘‘slice’’ and can be reformatted to create a 3-Dimensional image
  • 73.
    Psoriatic Arthropathy. Oblique coronal(A) and oblique sagittal (C) CT images show punched-out erosion in lateral part of condyle (arrow). Similar CT sections of contralateral joint show normal bone
  • 75.
    Coronal CT showsenlarged condyle with irregular outline and mineralization (arrow).
  • 77.
     The shapeof the condyle and the condition of the Articular surface  The condition of the glenoid fossa and eminence  The position and shape of the disc  The integrity of the disc and its soft tissue attachments  The nature of any condylar head disease
  • 78.
    Axial CT scanin bone windows. White arrows indicate bilateral condyle fractures with anteromedial dislocation
  • 79.
    Coronal CT scanin bone windows. White arrows indicate bilateral condyle fractures with medial displacement
  • 80.
     Uses acone shaped x ray beam  Beam performs a single rotation around the head of patient at an constant angle, producing volumetric data set, which is laser reconstructed into 3-dimensional pictures
  • 81.
    Cone beam CTbone anatomy of normal temporomandibular joint upper right axial)
  • 82.
  • 83.
  • 86.
    Coronoid hyperplasia. 3D CTimages at closed (A) and opened mouth (B) show enlarged coronoid process (arrow) which does not allow normal motion of mandible
  • 87.
     Can depicttiny bony structures with fine details  Sharper than conventional  Whole head can be obtained  Can be represented in 3D format-using Multiplanar Reconstruction
  • 88.
     Radiation Exposure Expense  Accessibility  Size Of The Equipment
  • 89.
     Most accurateradiographic imaging modality  disk position and associated soft tissue structures  images are presented in T1- and T2-weighted sequences  T1-weighted for visualization of osseous and disk tissues  T2-weighted demonstrate inflammation and effusions
  • 90.
     Allows constructionof image in sagittal and coronal planes  Images are acquired in open and closed mandibular position using surface coils to improve image resolution
  • 92.
    upper left obliquesagittal MRI, upper right oblique coronal MRI,
  • 93.
    lower left obliquesagittal section, lower right oblique coronal section,
  • 94.
     Analyze ThePosition Of The Articular Disk In Sagittal And Coronal Planes  Dynamic Assessment Of Condylar Translation  Disk Movement During Opening And Closing  Disk Morphology  Joint Effusions  Synovitis  Osseous Erosions  Degenerative Joint Disease  Internal Derangement  Thickening Of Tendon Attachments,  Rupture Of  Retrodiscal Tissues,  Osteoarthritic Changes Such As Condylar Flattening Or Osteophyte Formation
  • 95.
    MRI shows completelydestroyed disc, replaced by fibrous or vascular pannus and cortical punched-out erosion (arrow) with sclerosis (shown by CT) in condyle. B Autopsy specimen shows no disc structure but pannus, and erosion in condyle (arrow) from patient with known long-standing rheumatoid arthritis
  • 96.
    T1-weighted axial MRI.White arrow indicates cystic lesion of the left condyle with fluid levels.
  • 97.
    T2-weighted axial MRI.White arrow indicates cystic lesion of the left condyle with fluid levels. MS, maxillary sinus
  • 98.
    T1-weighted sagittal MRIof T.M.J.. Solid white arrow indicates articular disk anteriorly displaced. Broken white arrow indicates a joint effusion. C, condyle; LP, lateral pterygoid; M, mastoid air cells.
  • 99.
    T2-weighted sagittal viewof T.M.J.. Solid white arrow indicates articular disk anteriorly displaced. Broken white arrow indicates a joint effusion. C, condyle; LP, lateral pterygoid; M, mastoid air cells.
  • 100.
    T2-weighted sagittal MRI.White arrow indicates a joint effusion. C, condyle
  • 101.
     Motion imagesduring opening and closing can be obtained by having the patient open in a series of stepped distance and using rapid image acquisition(fast scan technique)
  • 102.
    ADVANTAGES  Precise informationof lesions  Detects minute changes  Non invasive method DISADVANTAGES  Expensive  Skilled professionals  Contraindications  Metal prosthesis  pacemakers
  • 103.
     Scintigraphy aidsto discover early changes in T.M.J. as a direct result of biochemical alterations at cellular and sub cellular levels  used as a physiologic adjunct to the anatomic detail provided by other imaging modalities
  • 104.
     Uses radionuclidelabeled tracers injected I.V.  Emits gamma radiation  Most commonly used are Technetium Diphosphonate  Low Radiation  Short Half Life
  • 105.
     A gammascintillation camera ,which can fluorescence on interaction with gamma rays will detect the emitted radiation  Fluorescence is then amplified by photomultiplier to produce image  Radionuclide Imaging Or Nuclear Scintigraphy
  • 106.
     Acquires multipleimages by rotating gamma scintillation camera 360⁰ around patient  Slices is then stacked to give 3-D representation  Improved resolution and better anatomic localization
  • 107.
     Uses PositronEmitting Isotopes  Positron interact with adjacent electrons to produce 2 gamma rays travelling in opposite directions  Multiple detectors are placed with P.E.T. scanners  So several gamma emissions can be detected at nearly the same time with the process of Annihilation Coincidence Detection
  • 108.
     Assessing skeletalgrowth  Condylar hyperplasia  Synovitis  Quantification of arthritis in R.A.  determine joint stability before dental rehabilitation  Diagnosing fibro osseous lesions, metastatic diseases
  • 109.
     Inability toreveal morphology of osseous components  Inability to Reveal disk displacements  Non specificity
  • 110.
    Coronal view ofSPECT bone scan. White arrow indicates increased uptake in the lesion in the left condyle.
  • 111.
    Axial view ofSPECT bone scan. White arrow indicates increased uptake in the lesion in the left condyle.
  • 112.
     Radiographic studywhere contrast material has been injected into lower joint compartment or lower and upper compartments to visualize soft tissues such as Articular disc and joint capsule
  • 114.
    Double-contrast dual spacearthrotomography, i.e., both joint compartments injected separately; normal disc position in half open mouth view as indicated by anterior band (arrowhead) anterior to condyle (C) and posterior band (arrow) posterior to condyle; joint spaces also filled with air and thus appear radiolucent. Articular eminence indicated
  • 115.
    Single-contrast dual spacearthrotomography; upper space filled through perforation (not seen) in area of disc/posterior attachment, open mouth view; disc anteriorly displaced without reduction as indicated by its posterior band (arrow) in front of condyle (C). Articular eminence indicated (E)
  • 116.
    Single-contrast lower spacearthrotomography; open mouth view shows contrast material in front of condyle (C) demonstrating anteriorly displaced disc (arrow) without reduction. Articular eminence indicated (E).
  • 117.
    Same joint, closedmouth view; contrast material in extended anterior recess showing lower surface of posterior band (arrow) of anteriorly displaced disc in front of condyle (C). Articular eminence indicated (E)
  • 118.
     Position AndMorphology Of Discs  Perforation Of Articular Discs  Joint Adhesion  Soft Tissue Integrity
  • 119.
  • 120.
     Position ofmandibular fossa and head is confirmed by palpation on a point of 10mm from the tragus on the line between midpoint of tragus and lateral angle of eyes  Tracing puncture point  Infiltrating anaesthesia  Puncture point reached by fluoroscopy
  • 121.
     Lower compartmentcan be reached from side of face by directing needle forward back of condyle through external auditory meatus  Upper compartment from side of face under zygomatic arch when mouth is opened  Injection of medium  Imaging under fluoroscopy using x ray video system
  • 122.
     Monitoring  Confirmationof puncture site  Confirmation of injection of contrast medium into upper and lower Articular cavities  Observation of morphology and position of disc perforation
  • 123.
     Inspection ofjoint surfaces by performing minimally invasive surgical procedures percutaneously using an Arthroscope  Allows direct visualization of joint  Diagnosis of adhesions and Synovitis are the main applications for arthroscopy.
  • 124.
    Upper joint compartment;normal joint as indicated by smooth surfaces of both disc and eminence
  • 125.
    Upper joint compartment;fibrous adhesion between disc and eminence (arrow
  • 126.
    Upper joint compartment;synovial proliferation (arrowhead) in disc perforation area,hyperemia (small arrowhead), and part of disc (arrow
  • 127.
    Same joint; synovialproliferation (arrowhead) in disc perforation area, and part of disc (arrow)
  • 128.
     Ultrasonography usessound waves of high frequency to produce images of body.  Serves for diagnosis and comparison of therapeutic results in treating internal joint defects  Scanning transducer of 7.5-12 MHz is used
  • 129.
     Depicts narrowspace of joint  Position of disc  Fluid and ligament adhesion
  • 130.
     Transducer isplaced on skin above joint parallel to long axis of mandible  Disc seen as thin homogenous hypoechoic areas  Condylar borders and Articular eminence shows a hyperechogenic lines  it is possible to directly observe the joint disc movement, when the mouth is opening and closing
  • 131.
     Recently, highfrequency large diameter transducer is introduced  Able to penetrate easily through small aperture between glenoid fossa and condyle  High focus depth and narrow wave beam  When evaluating T.M.J. disk position for internal derangement, ultrasonography has shown some benefit, especially when high-resolution, dynamic, real-time ultrasonography is used
  • 132.
    g linear transducer positionedagainst the patents face in a horizontal direction overlying the zygomatic arch and t.m.j. & 25° to mid sagittal plane
  • 134.
     Reduced Cost Accessibility  Fast Results  Decreased Examination Time  Lack Of Radiation Exposure.
  • 135.
     MRI continuesto be the gold standard for imaging soft tissues  CT is the ideal imaging choice for evaluating hard tissues  use of the new cone-beam CT. For more specific T.M.J. pathology,
  • 136.
     As advancementsin this area continue, our understanding of this complex joint and its pathology will follow, which will lead to more defined imaging indications and ultimately, to improved treatment