Результаты сохранения органа и
продления жизни больных мышечно-
инвазивным раком мочевого пузыря
Старцев
Владимир Юрьевич,
д.м.н., проф. каф. онкологии,
детской онкологии и лучевой
терапии СПбГПМУ
(зав. - проф. М.Б.Белогурова)
«У 30% больных РМП опухоль
впервые выявляется в стадии
инвазивного роста.
Еще 30% немышечноинвазивных
образований неизбежно
прогрессируют в стенку
мочевого пузыря, несмотря на
современное лечение…»
Stenzl A. et al., 2011
Стандартизованные по возрасту относительные показатели
5-летней выживаемости, в зависимости от типа рака
(England and Wales 1971–1995, England 1996–2009)
«При злокачественных опухолях
мочевого пузыря мы должны
быть теперь гораздо
радикальнее, скорее и раньше
прибегать к экстирпации
мочевого пузыря, чем мы это
делали до сих пор…»
С.П. Федоров, 1928
37
Радикальная цистэктомия - стандартный
метод лечения локализованного МИРМП в
большинстве западных стран [Stein, J.P. et al., J
Clin Oncol, 2001; Hautmann R.E. et al., Urology, 2007]
В тщательно отобранной популяции
пациентов цель мультимодальной
терапии в сохранении мочевого пузыря
и QoL, без ущерба для результата
[Ploussard G. et al., Eur Urol, 2014]
МИРМП
ОВ
- ?
QoL
- ?
Частота побочных явлений в течение 90 дней
после РЦЭ по системе CD
Nazmy et al., J Urol 2014
Поиск в 7 базах данных (PubMed, Scopus, EMBASE, Proquest, CINAHL и ClinicalTrials.gov) по
результатам рандомизированных контролируемых исследований, а также проспективным и
ретроспективным исследованиям, непосредственно сравнивающих РЦЭ и ОСЛ с момента
создания баз данных до марта 2016 г. Метаанализ общей (ОВ) и раковоспецифической
выживаемости (РСВ) с коэффициентами риска (HR) и 95% доверительными интервалами (CI).
РЕЗУЛЬТАТЫ:
Отобраны 19 исследований, оценивающих 12 380 субъектов.
Для 8 исследований, охватывающих 9 554 субъекта, не обнаружено различий ОВ в течение 5
лет (95% ДИ 0,72-1,29, Р = 0,778) или 10 лет (95% CI 0,73-1,42, P = 0,905).
Не отмечено различий в ОВ в течение 5 лет (95% DI 0,54-1,28, Р = 0,390),
10 лет (95% DI 0,89-1,55, Р = 0,264) или РСВ за 10 лет (95% ДИ 0,43-1,67, P = 0,639).
После РЦЭ отмечены более высокие показатели ранних серьезных осложнений (по шкале CD),
в то время как частота осложнений CD I-II одинакова при обоих методиках.
Радикальная цистэктомия и комбинированное лечение
МИРМП: систематический обзор и метаанализ
(Radical Cystectomy Compared to Combined Modality Treatment for Muscle-Invasive Bladder Cancer: A Systematic Review and Meta-Analysis.
Int J Radiat Oncol Biol Phys, 2017 Apr 1;97(5):1002-1020. doi: 10.1016/j.ijrobp.2016.11.056)
Vashistha V. et al., 2017
Характеристика пациентов Потенциальные варианты лечения
Операбельные, цисплатин (+) НАХТ с цисплатином + последующая РЦЭ
ТМП
Операбельные, цисплатин (-) РЦЭ
ЛТ в комбинации с ХТ (не цисплатин)
Неоперабельные, цисплатин (+) ЛТ в комбинации с ХТ цисплатином
Неоперабельные, цисплатин (-) ЛТ в комбинации с ХТ (5-флюороурацил +
митомицин, гемцитабин и др.)
ЛТ (монотерапия)
Предлагаемые варианты органосохраняющего
лечения пациентов с МИРМП (2016)
Erlich A., Zlotta A.R., 2016
«…некоторые здоровые пожилые пациенты могут оказаться лучшими кандидатами
для обширных, радикальных лечебных процедур, чем их более молодые коллеги.
Это означает, что важные, меняющие жизнь решения, не могут основываться
исключительно на возрасте, также как и многие другие факторы могут повлиять
на результаты ОВ…»
Хирургия.
Трансуретральная разметка границ опухоли
Введение в подслизистый слой уротелия специальных маркеров с
микрозубчиками, в 5-7 мм от края резекции, что улучшает переносимость ЛТ
Garcia M.M. et al., 2014
Облучение. Адаптивная лучевая терапия
Конусная лучевая компьютерная томография (КЛКТ) позволяет
уменьшить дозу облучения здоровых тканей (кишечник и стенка
мочевого пузыря), позволяя подвести к опухоли СОД=70 Гр с
оптимальным уровнем воздействия на опухоль и минимальным
побочным эффектом [Nikapota A.D. et al., 2016; Hafeez S. et al., 2016]
Kibrom A.Z., Knight K.A., 2015
Доза распределения и план ЛТ с сопутствующим
облучением лимфатических узлов малого таза и
повышением дозы в зоне опухоли
(3-D конформный план ЛТ)
Mirza A., Choudhury A., 2016
Химиотерапия. Сроки начала проведения ХТ
до сих пор не определены окончательно
Сведения, подтверждающие преимущество использования НАХТ или АХТ, по-прежнему, обсуждаются
[Mathieu R. et al., 2015].
Полный лекарственный патоморфоз рака после НАХТ в 28% случаев, что определялось
морфологическим типом строения опухоли: при ТСС – max патоморфоз после 3 курсов НАХТ [Pokuri V.K. et al., 2016].
Использование HOXA9
(промотор метилирования)
в качестве потенциального
прогностического биомаркера
устойчивости клеток РМП к
цисплатину
Xylinas E. et al., 2016
Новые тренды
• 2004- точечное геномное воздействие + ЛТ: созданы 2 рекомбинантных
аденовируса: Ad-hUPII-GFP с зеленым флуоресцентным белком (GFP), и Ad-
hUPII-ФНО, на основе фактора некроза опухоли альфа (TNF-альфа). Высокий
эффект in vitro у TNF-альфа при инфицировании клеток РМП [Zhu H.J. et al., 2004].
Вывод о пользе внутрипузырного введения Ad-hUPII-ФНО в связи с высокой
активностью ингибирования роста раковой опухоли в модели РМП человека
• 2012– изучен молекулярный профиль опухоли, в сочетании с методами
лучевой визуализации, что может играть важную роль в выборе
оптимального лечения для сохранения мочевого пузыря [Koga F., Kihara K., 2012].
• 2016- успешное использование синергетического эффекта ЛТ и ткане-
сецифического онколитического аденовируса (Ad-PSCAE-UPII-E1A) при
воздействии на клетки РМП. Построена и опробована in vitro модель
аденовируса Е1А, под контролем антигена простаты UPII и промотора
стволовых клеток (PSCAE). Обнаружен синергетический противоопухолевый
эффект аденовируса и ЛТ, что может быть потенциальной стратегией для
терапии больных РМП [Wang L. et al., 2014; Zhang H. et al., 2016].
Стратегия наблюдения больных после завершения
курса комбинированного лечения
1. При полном опухолевом ответе мочевой пузырь остается
потенциальным источником рецидива, следовательно,
долгосрочный мониторинг имеет важное значение
[Lerner S.P., 2016; Witjes A.J. et al., 2016; Milowsky M.I. et al., 2016]
2. Эндоскопическая оценка эффекта ТМП, с систематической
повторной биопсией слизистой после полного завершения
курса. При выраженной резистентности и прогрессировании
опухоли - выполнение спасительной ЦЭ (Guidelines EAU-2017)
У пациентов после БМП показатели 5-летней
ОВ и РСВ составили 36-74% и 50-82%, соотв.
[Ploussard G. et al., 2014].
Лучший эффект ОСЛ отмечен у больных с
небольшим объемом опухоли в стадии Т2,
без сопутствующего гидронефроза или Cis
[Mathieu R. et al., 2015].
Gerardi M.A. et al., 2016
Недостатки комбинированного лечения
1. мышечно-инвазивный рецидив РМП в сохраненном мочевом пузыре, который
чаще всего возникает в зоне первоначального расположения раковой опухоли;
2. отсутствие лечебного вмешательства на регионарных лимфатических узлах;
3. рост числа смертельных исходов у больных МИРМП после спасительной РЦ при
прогрессировании опухоли или ее рецидиве, после высокой дозы облучения
органов малого таза.
Koga F., Kihara K., 2012
(A) общая выживаемость, (B) раково-специфическая выживаемость,
(C) выживаемость без изменений целостности мочевого пузыря,
(D) частота спасительных ЦЭ за 3 периода лечения
Giacalone N.J. et al., Eur Urol., Vol. 71 (2017)
Потенциальные преимущества ХТ включают в себя:
1. Химиотерапия поставляется в самый ранний момент времени для лечения
микрометастазов
2. Проведение ХТ дает возможность оценить химиочувствительность тканей в
естественных условиях
3. Пациенты имеют более высокую комплаентность перед выполнением
агрессивного вмешательства - радикальной цистэктомии
4. Ответ на выполнение ХТ имеет значение для достижения рT0, рN0 и
отрицательного хирургического края
К недостаткам ХТ относят:
1. Несоблюдение времени для радикального вмешательства у пациентов, не
чувствительных к химиотерапии
2. Негативно сказывается на хирургической смертности и выживаеваемости
3. «Чрезмерное» лечение (Overtreatment) проявляется негативно для целого
ряда пациентов
Witjes J.A. et al. EAU guidelines on muscle-invasive and metastatic
bladder cancer: summary of the 2013 guidelines. Eur Urol. 2014;
65(4): 778-92
Изучены результаты комбинированного лечения с
включением регионарной ПХТ (с 1998 по 2003 гг.)
36 больных РМП в стадиях T3a-4аN0-1M0G2-3 (5 женщин)
Возраст 54 - 72 года (медиана 65,4±4,2 года)
10
12
4
6
2
T3aN0M0
T3bN0M0
T3bN1M0
T4aN0M0
T4aN1M0
После катетеризации и ангиографии a. cystica
проведены курсы регионарной ПХТ (N = 6-36, медиана 18)
Cysplatini 0,05 mg/m²
Adriablastini 0,02 mg/m²
Исходы у больных МИРМП после
комбинированного лечения
Нет эффекта
стабилизация размеров опухоли
умеренное уменьшение
уменьшение более 50%
38
61,1%
При прогрессировании РМП 4 (19,0%)
больным выполнены паллиативные
(«спасительные») цистэктомии
(Guidelines EAU-2017)
В удаленном мочевом
пузыре 1 больного не
обнаружены опухолевые
клетки, что определено как
«лекарственный» опухолевый
патоморфоз.
Больной К., 72 лет, житель Ленинградской области, в 1991 г. отметил макрогематурию. При
обследовании (цистография, цистоскопия, ОАМ) заподозрена опухоль мочевого пузыря. Терапевт:
ХОБЛ, с исходом в бронхиальную астму, - это явилось противопоказанием к радикальному
хирургическому лечению.
В 1992 г. в ЛПУ по месту жительства проведена открытая резекция мочевого пузыря, диагноз: РМП
T3bN0M0G3. Спустя 4 недели - курс ДЛТ на область малого таза (СОД=64 Гр).
С 1994 по 1996 гг., в связи с множественными рецидивами РМП, больному неоднократно
проводились органосохраняющие операции (ТУРМП) + курсы системной ПХТ по схеме M-VAC.
С сентября 1997 г. по декабрь 1999 г., после планового обследования, катетеризации и ангиографии
мочепузырных артерий, выполнен курс регионарной ПХТ (цисплатин, 50 мг/м² и адриабластин, 20
мг/м²) в объеме 36 сеансов. К концу 1999 г. отмечена полная ремиссия опухоли.
После завершения курса лечения пациент прожил 23 месяца и скончался от
декомпенсации сердечно-сосудистой деятельности.
РМП T3bN0M0G3, до лечения (А) и после регионарной ПХТ (Б)
А Б
Больной Л., 64 лет, отметил примесь крови в моче в 1999 г. Установлен диагноз: Опухоль мочевого
пузыря. В последующие 23 месяца больному проводилась консервативная гемостатическая и
антибактериальная терапия под наблюдением участкового терапевта и хирурга.
С учетом неэффективности проводимого лечения, в 2001 г. пациент направлен в ЛПУ экспертного
уровня, где заболевание морфологически верифицировано при ТУРМП-биопсии, установлен
диагноз: РМП mрT3aN0M0G2.
Цистоскопия + МСКТ органов малого таза: по левой боковой стенке мочевого пузыря
безворсинчатая опухоль, до 7 см в диаметре, прорастающая за пределы стенки мочевого пузыря.
Дополнительно, по правой боковой стенке мочевого пузыря – небольшие, до 1 см опухоли на
нешироком основании. С учетом запущенности опухолевого процесса и отказа больного от
радикальной операции, РЦЭ не выполнена.
Август 2001 г. - выполнена ангиография сосудов мочевого пузыря. С октября 2001 г. по февраль
2002 г. проведено VI курсов регионарной ПХТ. По результатам КТ органов малого таза (2002) -
полная ремиссия опухоли, подтвержденная результатами ТУРМП-биопсии.
Через 14 месяцев - ТУРМП по поводу поверхностных рецидивов РМП, в дальнейшем признаков
продолженного опухолевого роста не отмечено.
Пациент жив 15 лет.
Октябрь 2001 г. Февраль 2002 г.
После первых 12 месяцев лечения (16 курсов
ПХТ) 2 пациента отказались от дальнейшего
наблюдения в связи с нарастанием ХПН.
Диагностирован уретерогидронефроз II ст.,
что потребовало проведения паллиативной
пункционной нефростомии.
0
5
10
15
20
25
30
35
Grade 1 Grade 2 Grade 3 Grade 4
Степень
токсичности
%
Нейтропения
ЖКТ-токсичность
Нейропатия
Анемия
ХПН
Тромбоцитопения
Проявления токсичности у
исследуемых пациентов
За первые 60 мес. наблюдения 6 (28,6%) больных скончались,
при этом 5 – от прогрессирования опухолевого процесса...
Общая токсичность ПХТ
проявилась в умеренной
миелосупрессии
у 32% больных
(нейтропения I-II степени и
тромбоцитопения II степени).
25,0%
120 месяцев наблюдения
пережили 9 человек:
5 - pT3aN0M0G2
2 - pT3aN0M0G3
1 - pT3bN1M0G2
1 – pT4aN0M0G2
Десятилетняя выживаемость больных РМП
(измерение прямым методом)
•72,2%•50%
• Witjes JA et al., 2014
• Porter MP et al. 2011
РЦЭ рег ПХТ
25,0%
• 28-36%
• 43,4 %
• Комяков Б.К. и соавт., 2016
• Abufarai M. et al., 2016
• Moschini M. et al., 2016
Trial
Comparis
on
Stage CT Median survival OS at
(n) regime (months)
5 y.
(%)
10 y.
(%)
Grossman et al.
(2003)
S (154) T2-4a 3 cycles 46 43 -
CT+S (153) N0 M0 MVAC 77, p=0.05 57
International
Collaborations (2011)
S/R (485) T2-4a 3 cycles 37 43 30
CT+S/R(491) N0/XM0 CMV 44 49 36
GUONE (1998) S (102) T2–T4, MVAC - NSD -
CT+S (104) N0 M0
NORDIC 2
(2002)
S (154) T2-T4a 3 cycles - 53 -
CT+S (155) NXM0 CM 46, p=0.23
Sengeløv et al.
(2002)
S/R (75) T2-T4b 3 cycles 45.8 29 -
CT+S/R (78) NX-3MO CM 82.5, p=0.76 29
Shipley et al.
(1998)
R (62) T2-T4a 3 cycles - 49 -
CT+R (61) NX M0 CM 48
Abol-Enein et al..
(1997)
S T2-T4a 2 cycles - NSD -
CT+S (total = 196) NxM0 CMV
Wallace et al
(1991)
R (76), T2-T4 3 cycles - NSD -
CT+R (83) NX M0 C
Martínez-Piñeiro et al.
(1995)
S (55) T2-T4a 3 cycles NSD - -
CT+S (41) Nx-2M0 C
Результаты рандомизированных КИ в отношении нХТ у больных МИРМП
Общая выживаемость больных МИРМП после
органосохраняющего лечения
36
Хирургический
метод лечения
Р
Хирургическое
лечение
Хирургическое
+ ЛТ
Хирургическое
+ ЛТ + ПХТ
Mесяцы
0,0
0,2
0,4
0,6
0,8
1,0
0 10 20 30 40 50 60 70 80 90
Методы лечения:
Р
Заключение1
1. Выполнение регионарной ПХТ при РМП в
стадиях T3a-T4аN0-1M0G2-3 эффективно более
чем в 61,9% случаев (PR или FR, ST опухоли).
Подход оправдан при выраженных
противопоказаниях у пациента к
хирургическому лечению / при отказе
больного от предложенной радикальной
операции / при возможности проведения
интервенционных методик в ЛПУ экспертного
уровня.
Заключение2
2. Минимизация побочных эффектов при рПХТ
возможна при селективном, внутриартериальном
подведении препарата к опухоли, с редукцией
дозы действующего лекарства (цисплатина).
3. Продолжительность жизни 25,0% пациентов после
рПХТ превысила десять лет.
Это позволяет уверенно говорить о необходимости
дальнейших исследований в этом направлении.
«SOON, THERE WILL BE A TIME WHERE OUR SCHOLARS &
COLLEAGUES WILL NOT BE SATISFIED WITH GENERAL
COMMENTS ON SURGICAL QUALITY OUTCOMES – INSTEAD,
THEY WILL CALL ANY PHYSICIAN A CHARLATAN WHO IS
INCAPABLE TO QUANTIFY HIS RESULTS…»
«Наступит время, когда наши ученые и коллеги не
удовлетворятся общими замечаниями по качеству
хирургических результатов - вместо этого они будут
называть шарлатаном - любого врача, неспособного в
цифрах оценить результаты своей деятельности…»
Кристиан Альберт Теодор Бильрот, 1860,
основатель современной абдоминальной хирургии
Christian Albert Theodore Billroth, 1860
The "founding father" of modern abdominal surgery

Органосохраняющее лечение у больных мышечно-инвазивным раком мочевого пузыря

  • 1.
    Результаты сохранения органаи продления жизни больных мышечно- инвазивным раком мочевого пузыря Старцев Владимир Юрьевич, д.м.н., проф. каф. онкологии, детской онкологии и лучевой терапии СПбГПМУ (зав. - проф. М.Б.Белогурова)
  • 2.
    «У 30% больныхРМП опухоль впервые выявляется в стадии инвазивного роста. Еще 30% немышечноинвазивных образований неизбежно прогрессируют в стенку мочевого пузыря, несмотря на современное лечение…» Stenzl A. et al., 2011
  • 3.
    Стандартизованные по возрастуотносительные показатели 5-летней выживаемости, в зависимости от типа рака (England and Wales 1971–1995, England 1996–2009)
  • 4.
    «При злокачественных опухолях мочевогопузыря мы должны быть теперь гораздо радикальнее, скорее и раньше прибегать к экстирпации мочевого пузыря, чем мы это делали до сих пор…» С.П. Федоров, 1928 37
  • 5.
    Радикальная цистэктомия -стандартный метод лечения локализованного МИРМП в большинстве западных стран [Stein, J.P. et al., J Clin Oncol, 2001; Hautmann R.E. et al., Urology, 2007] В тщательно отобранной популяции пациентов цель мультимодальной терапии в сохранении мочевого пузыря и QoL, без ущерба для результата [Ploussard G. et al., Eur Urol, 2014] МИРМП ОВ - ? QoL - ?
  • 6.
    Частота побочных явленийв течение 90 дней после РЦЭ по системе CD Nazmy et al., J Urol 2014
  • 7.
    Поиск в 7базах данных (PubMed, Scopus, EMBASE, Proquest, CINAHL и ClinicalTrials.gov) по результатам рандомизированных контролируемых исследований, а также проспективным и ретроспективным исследованиям, непосредственно сравнивающих РЦЭ и ОСЛ с момента создания баз данных до марта 2016 г. Метаанализ общей (ОВ) и раковоспецифической выживаемости (РСВ) с коэффициентами риска (HR) и 95% доверительными интервалами (CI). РЕЗУЛЬТАТЫ: Отобраны 19 исследований, оценивающих 12 380 субъектов. Для 8 исследований, охватывающих 9 554 субъекта, не обнаружено различий ОВ в течение 5 лет (95% ДИ 0,72-1,29, Р = 0,778) или 10 лет (95% CI 0,73-1,42, P = 0,905). Не отмечено различий в ОВ в течение 5 лет (95% DI 0,54-1,28, Р = 0,390), 10 лет (95% DI 0,89-1,55, Р = 0,264) или РСВ за 10 лет (95% ДИ 0,43-1,67, P = 0,639). После РЦЭ отмечены более высокие показатели ранних серьезных осложнений (по шкале CD), в то время как частота осложнений CD I-II одинакова при обоих методиках. Радикальная цистэктомия и комбинированное лечение МИРМП: систематический обзор и метаанализ (Radical Cystectomy Compared to Combined Modality Treatment for Muscle-Invasive Bladder Cancer: A Systematic Review and Meta-Analysis. Int J Radiat Oncol Biol Phys, 2017 Apr 1;97(5):1002-1020. doi: 10.1016/j.ijrobp.2016.11.056) Vashistha V. et al., 2017
  • 8.
    Характеристика пациентов Потенциальныеварианты лечения Операбельные, цисплатин (+) НАХТ с цисплатином + последующая РЦЭ ТМП Операбельные, цисплатин (-) РЦЭ ЛТ в комбинации с ХТ (не цисплатин) Неоперабельные, цисплатин (+) ЛТ в комбинации с ХТ цисплатином Неоперабельные, цисплатин (-) ЛТ в комбинации с ХТ (5-флюороурацил + митомицин, гемцитабин и др.) ЛТ (монотерапия) Предлагаемые варианты органосохраняющего лечения пациентов с МИРМП (2016) Erlich A., Zlotta A.R., 2016 «…некоторые здоровые пожилые пациенты могут оказаться лучшими кандидатами для обширных, радикальных лечебных процедур, чем их более молодые коллеги. Это означает, что важные, меняющие жизнь решения, не могут основываться исключительно на возрасте, также как и многие другие факторы могут повлиять на результаты ОВ…»
  • 9.
    Хирургия. Трансуретральная разметка границопухоли Введение в подслизистый слой уротелия специальных маркеров с микрозубчиками, в 5-7 мм от края резекции, что улучшает переносимость ЛТ Garcia M.M. et al., 2014
  • 10.
    Облучение. Адаптивная лучеваятерапия Конусная лучевая компьютерная томография (КЛКТ) позволяет уменьшить дозу облучения здоровых тканей (кишечник и стенка мочевого пузыря), позволяя подвести к опухоли СОД=70 Гр с оптимальным уровнем воздействия на опухоль и минимальным побочным эффектом [Nikapota A.D. et al., 2016; Hafeez S. et al., 2016] Kibrom A.Z., Knight K.A., 2015
  • 11.
    Доза распределения иплан ЛТ с сопутствующим облучением лимфатических узлов малого таза и повышением дозы в зоне опухоли (3-D конформный план ЛТ) Mirza A., Choudhury A., 2016
  • 12.
    Химиотерапия. Сроки началапроведения ХТ до сих пор не определены окончательно Сведения, подтверждающие преимущество использования НАХТ или АХТ, по-прежнему, обсуждаются [Mathieu R. et al., 2015]. Полный лекарственный патоморфоз рака после НАХТ в 28% случаев, что определялось морфологическим типом строения опухоли: при ТСС – max патоморфоз после 3 курсов НАХТ [Pokuri V.K. et al., 2016]. Использование HOXA9 (промотор метилирования) в качестве потенциального прогностического биомаркера устойчивости клеток РМП к цисплатину Xylinas E. et al., 2016
  • 13.
    Новые тренды • 2004-точечное геномное воздействие + ЛТ: созданы 2 рекомбинантных аденовируса: Ad-hUPII-GFP с зеленым флуоресцентным белком (GFP), и Ad- hUPII-ФНО, на основе фактора некроза опухоли альфа (TNF-альфа). Высокий эффект in vitro у TNF-альфа при инфицировании клеток РМП [Zhu H.J. et al., 2004]. Вывод о пользе внутрипузырного введения Ad-hUPII-ФНО в связи с высокой активностью ингибирования роста раковой опухоли в модели РМП человека • 2012– изучен молекулярный профиль опухоли, в сочетании с методами лучевой визуализации, что может играть важную роль в выборе оптимального лечения для сохранения мочевого пузыря [Koga F., Kihara K., 2012]. • 2016- успешное использование синергетического эффекта ЛТ и ткане- сецифического онколитического аденовируса (Ad-PSCAE-UPII-E1A) при воздействии на клетки РМП. Построена и опробована in vitro модель аденовируса Е1А, под контролем антигена простаты UPII и промотора стволовых клеток (PSCAE). Обнаружен синергетический противоопухолевый эффект аденовируса и ЛТ, что может быть потенциальной стратегией для терапии больных РМП [Wang L. et al., 2014; Zhang H. et al., 2016].
  • 14.
    Стратегия наблюдения больныхпосле завершения курса комбинированного лечения 1. При полном опухолевом ответе мочевой пузырь остается потенциальным источником рецидива, следовательно, долгосрочный мониторинг имеет важное значение [Lerner S.P., 2016; Witjes A.J. et al., 2016; Milowsky M.I. et al., 2016] 2. Эндоскопическая оценка эффекта ТМП, с систематической повторной биопсией слизистой после полного завершения курса. При выраженной резистентности и прогрессировании опухоли - выполнение спасительной ЦЭ (Guidelines EAU-2017) У пациентов после БМП показатели 5-летней ОВ и РСВ составили 36-74% и 50-82%, соотв. [Ploussard G. et al., 2014]. Лучший эффект ОСЛ отмечен у больных с небольшим объемом опухоли в стадии Т2, без сопутствующего гидронефроза или Cis [Mathieu R. et al., 2015]. Gerardi M.A. et al., 2016
  • 15.
    Недостатки комбинированного лечения 1.мышечно-инвазивный рецидив РМП в сохраненном мочевом пузыре, который чаще всего возникает в зоне первоначального расположения раковой опухоли; 2. отсутствие лечебного вмешательства на регионарных лимфатических узлах; 3. рост числа смертельных исходов у больных МИРМП после спасительной РЦ при прогрессировании опухоли или ее рецидиве, после высокой дозы облучения органов малого таза. Koga F., Kihara K., 2012
  • 16.
    (A) общая выживаемость,(B) раково-специфическая выживаемость, (C) выживаемость без изменений целостности мочевого пузыря, (D) частота спасительных ЦЭ за 3 периода лечения Giacalone N.J. et al., Eur Urol., Vol. 71 (2017)
  • 17.
    Потенциальные преимущества ХТвключают в себя: 1. Химиотерапия поставляется в самый ранний момент времени для лечения микрометастазов 2. Проведение ХТ дает возможность оценить химиочувствительность тканей в естественных условиях 3. Пациенты имеют более высокую комплаентность перед выполнением агрессивного вмешательства - радикальной цистэктомии 4. Ответ на выполнение ХТ имеет значение для достижения рT0, рN0 и отрицательного хирургического края К недостаткам ХТ относят: 1. Несоблюдение времени для радикального вмешательства у пациентов, не чувствительных к химиотерапии 2. Негативно сказывается на хирургической смертности и выживаеваемости 3. «Чрезмерное» лечение (Overtreatment) проявляется негативно для целого ряда пациентов Witjes J.A. et al. EAU guidelines on muscle-invasive and metastatic bladder cancer: summary of the 2013 guidelines. Eur Urol. 2014; 65(4): 778-92
  • 18.
    Изучены результаты комбинированноголечения с включением регионарной ПХТ (с 1998 по 2003 гг.) 36 больных РМП в стадиях T3a-4аN0-1M0G2-3 (5 женщин) Возраст 54 - 72 года (медиана 65,4±4,2 года) 10 12 4 6 2 T3aN0M0 T3bN0M0 T3bN1M0 T4aN0M0 T4aN1M0
  • 21.
    После катетеризации иангиографии a. cystica проведены курсы регионарной ПХТ (N = 6-36, медиана 18) Cysplatini 0,05 mg/m² Adriablastini 0,02 mg/m²
  • 23.
    Исходы у больныхМИРМП после комбинированного лечения Нет эффекта стабилизация размеров опухоли умеренное уменьшение уменьшение более 50% 38 61,1%
  • 24.
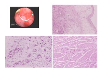
    При прогрессировании РМП4 (19,0%) больным выполнены паллиативные («спасительные») цистэктомии (Guidelines EAU-2017) В удаленном мочевом пузыре 1 больного не обнаружены опухолевые клетки, что определено как «лекарственный» опухолевый патоморфоз.
  • 25.
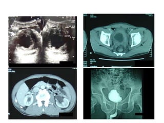
    Больной К., 72лет, житель Ленинградской области, в 1991 г. отметил макрогематурию. При обследовании (цистография, цистоскопия, ОАМ) заподозрена опухоль мочевого пузыря. Терапевт: ХОБЛ, с исходом в бронхиальную астму, - это явилось противопоказанием к радикальному хирургическому лечению. В 1992 г. в ЛПУ по месту жительства проведена открытая резекция мочевого пузыря, диагноз: РМП T3bN0M0G3. Спустя 4 недели - курс ДЛТ на область малого таза (СОД=64 Гр). С 1994 по 1996 гг., в связи с множественными рецидивами РМП, больному неоднократно проводились органосохраняющие операции (ТУРМП) + курсы системной ПХТ по схеме M-VAC. С сентября 1997 г. по декабрь 1999 г., после планового обследования, катетеризации и ангиографии мочепузырных артерий, выполнен курс регионарной ПХТ (цисплатин, 50 мг/м² и адриабластин, 20 мг/м²) в объеме 36 сеансов. К концу 1999 г. отмечена полная ремиссия опухоли. После завершения курса лечения пациент прожил 23 месяца и скончался от декомпенсации сердечно-сосудистой деятельности. РМП T3bN0M0G3, до лечения (А) и после регионарной ПХТ (Б) А Б
  • 26.
    Больной Л., 64лет, отметил примесь крови в моче в 1999 г. Установлен диагноз: Опухоль мочевого пузыря. В последующие 23 месяца больному проводилась консервативная гемостатическая и антибактериальная терапия под наблюдением участкового терапевта и хирурга. С учетом неэффективности проводимого лечения, в 2001 г. пациент направлен в ЛПУ экспертного уровня, где заболевание морфологически верифицировано при ТУРМП-биопсии, установлен диагноз: РМП mрT3aN0M0G2. Цистоскопия + МСКТ органов малого таза: по левой боковой стенке мочевого пузыря безворсинчатая опухоль, до 7 см в диаметре, прорастающая за пределы стенки мочевого пузыря. Дополнительно, по правой боковой стенке мочевого пузыря – небольшие, до 1 см опухоли на нешироком основании. С учетом запущенности опухолевого процесса и отказа больного от радикальной операции, РЦЭ не выполнена. Август 2001 г. - выполнена ангиография сосудов мочевого пузыря. С октября 2001 г. по февраль 2002 г. проведено VI курсов регионарной ПХТ. По результатам КТ органов малого таза (2002) - полная ремиссия опухоли, подтвержденная результатами ТУРМП-биопсии. Через 14 месяцев - ТУРМП по поводу поверхностных рецидивов РМП, в дальнейшем признаков продолженного опухолевого роста не отмечено. Пациент жив 15 лет. Октябрь 2001 г. Февраль 2002 г.
  • 27.
    После первых 12месяцев лечения (16 курсов ПХТ) 2 пациента отказались от дальнейшего наблюдения в связи с нарастанием ХПН. Диагностирован уретерогидронефроз II ст., что потребовало проведения паллиативной пункционной нефростомии.
  • 28.
    0 5 10 15 20 25 30 35 Grade 1 Grade2 Grade 3 Grade 4 Степень токсичности % Нейтропения ЖКТ-токсичность Нейропатия Анемия ХПН Тромбоцитопения Проявления токсичности у исследуемых пациентов
  • 29.
    За первые 60мес. наблюдения 6 (28,6%) больных скончались, при этом 5 – от прогрессирования опухолевого процесса... Общая токсичность ПХТ проявилась в умеренной миелосупрессии у 32% больных (нейтропения I-II степени и тромбоцитопения II степени).
  • 30.
    25,0% 120 месяцев наблюдения пережили9 человек: 5 - pT3aN0M0G2 2 - pT3aN0M0G3 1 - pT3bN1M0G2 1 – pT4aN0M0G2 Десятилетняя выживаемость больных РМП (измерение прямым методом)
  • 31.
    •72,2%•50% • Witjes JAet al., 2014 • Porter MP et al. 2011 РЦЭ рег ПХТ 25,0% • 28-36% • 43,4 % • Комяков Б.К. и соавт., 2016 • Abufarai M. et al., 2016 • Moschini M. et al., 2016
  • 32.
    Trial Comparis on Stage CT Mediansurvival OS at (n) regime (months) 5 y. (%) 10 y. (%) Grossman et al. (2003) S (154) T2-4a 3 cycles 46 43 - CT+S (153) N0 M0 MVAC 77, p=0.05 57 International Collaborations (2011) S/R (485) T2-4a 3 cycles 37 43 30 CT+S/R(491) N0/XM0 CMV 44 49 36 GUONE (1998) S (102) T2–T4, MVAC - NSD - CT+S (104) N0 M0 NORDIC 2 (2002) S (154) T2-T4a 3 cycles - 53 - CT+S (155) NXM0 CM 46, p=0.23 Sengeløv et al. (2002) S/R (75) T2-T4b 3 cycles 45.8 29 - CT+S/R (78) NX-3MO CM 82.5, p=0.76 29 Shipley et al. (1998) R (62) T2-T4a 3 cycles - 49 - CT+R (61) NX M0 CM 48 Abol-Enein et al.. (1997) S T2-T4a 2 cycles - NSD - CT+S (total = 196) NxM0 CMV Wallace et al (1991) R (76), T2-T4 3 cycles - NSD - CT+R (83) NX M0 C Martínez-Piñeiro et al. (1995) S (55) T2-T4a 3 cycles NSD - - CT+S (41) Nx-2M0 C Результаты рандомизированных КИ в отношении нХТ у больных МИРМП
  • 33.
    Общая выживаемость больныхМИРМП после органосохраняющего лечения 36 Хирургический метод лечения Р Хирургическое лечение Хирургическое + ЛТ Хирургическое + ЛТ + ПХТ Mесяцы 0,0 0,2 0,4 0,6 0,8 1,0 0 10 20 30 40 50 60 70 80 90 Методы лечения: Р
  • 34.
    Заключение1 1. Выполнение регионарнойПХТ при РМП в стадиях T3a-T4аN0-1M0G2-3 эффективно более чем в 61,9% случаев (PR или FR, ST опухоли). Подход оправдан при выраженных противопоказаниях у пациента к хирургическому лечению / при отказе больного от предложенной радикальной операции / при возможности проведения интервенционных методик в ЛПУ экспертного уровня.
  • 35.
    Заключение2 2. Минимизация побочныхэффектов при рПХТ возможна при селективном, внутриартериальном подведении препарата к опухоли, с редукцией дозы действующего лекарства (цисплатина). 3. Продолжительность жизни 25,0% пациентов после рПХТ превысила десять лет. Это позволяет уверенно говорить о необходимости дальнейших исследований в этом направлении.
  • 36.
    «SOON, THERE WILLBE A TIME WHERE OUR SCHOLARS & COLLEAGUES WILL NOT BE SATISFIED WITH GENERAL COMMENTS ON SURGICAL QUALITY OUTCOMES – INSTEAD, THEY WILL CALL ANY PHYSICIAN A CHARLATAN WHO IS INCAPABLE TO QUANTIFY HIS RESULTS…» «Наступит время, когда наши ученые и коллеги не удовлетворятся общими замечаниями по качеству хирургических результатов - вместо этого они будут называть шарлатаном - любого врача, неспособного в цифрах оценить результаты своей деятельности…» Кристиан Альберт Теодор Бильрот, 1860, основатель современной абдоминальной хирургии Christian Albert Theodore Billroth, 1860 The "founding father" of modern abdominal surgery