Meningiomas
Dr Kvv Raja Shekhar
• There is today nothing in the whole realm of
surgery more gratifying than the successful
removal of a meningioma with subsequent perfect
functional recovery. The difficulties are admittedly
great, sometimes insurmountable, & though the
disappointments are still many, another
generation of neurosurgeons will unquestionably
see them largely overcome
Harvey Cushing, 1922
• Meningioma was the term coined by Harvey
Cushing in 1922
• In 1864, John Cleland speculated that they arise
from arachnoid cell clusters
• In 1915, Cushing & Weed reconfirmed this
The meninges: embryology &
histology
• Consist of 3 layers – dura( i.e., pachymeninx)
• Arachnoid & pia (leptomeninges)
• At 22 to 24 days of gestation a monocellular layer
of cells of neural crest origin surround the neural
tube – the pia
• At 33 to 41 days the CNS is surrounded by a
multiple layer of mesenchymal cells – gives rise to
dura & arachnoid mater
• The arachnoid has 2 cell populations
• One subgroup follows the dura closely & is formed
by the arachnoid barrier cells
• The other consists of arachnoid trabecular cells &
bridges the subarachnoid space to attach to the
pia mater
• CSF is reabsorbed by the arachnoid villi
• Arachnoid villi protrude into venous sinuses
• Venous endothelium in contact with arachnoid cap
cells, the rest of the granulation is covered by a
fibrous capsule
• Arachnoid villi are numerous in – SSS, cavernous
sinus, tuberculam sella, lamina cribrosa, foramen
magnum & torcular herophili
• Arachnoid granulations & pacchionian bodies are
larger & more pronounced versions of arachnoid
villi
Incidence
• Constitute 20% of all intracranial neoplasms
• Overall incidence 2.3/100,000
• Male:Female – 1:2
• 1—4% of childhood(< 18) tumors
• Mean age of pt – 58 ± 15 yrs
Etiology
• Head trauma – Cushing
• Recent information suggests that head trauma is
not significant in the etiology of meningiomas
Viruses
• Inoue-Melnick (IMV) virus
• DNA virus causing subacute myelo-
opticoneuropathy
• In a study from Japan 84.6% of meningioma pt
were positive for the IMV antibody
• Though there is a strong biochemical evidence their
role in the development of tumor remains
undefined
Irradiation
• Radiation injury is a proven factor in the
development of meningiomas
• 4 times more common in pt irradiated as per
Kienbock-Adamson technique
• Does the use of mobile phones increase the risk for
meningiomas?
Neurofibromatosis
• Are more common with type 2 NF
• Frequently multiple
• Can be spinal or cranial
Oncogenes related to meningiomas
Oncogene Aberration Reference
sis Amplification Fujimoto
myc Amplification Sauceda
Ha-ras Ampilfication Diedrich
c-mos Rare allele Diedrich
merlin Ampilfication Kimura
Meningiomas & receptors
• Donnell described estrogen receptor in
meningiomas
• Progesterone receptors have been more
consistently identified in the cytoplasm of
meningiomas
• somatostatin, glucocorticoid,androgen & dopamine
receptors have also been found
• Increased levels of CEA & PRL
• Interfere with glucose metabolism by increasing
insulin levels
Grade 1 – meningothelial
fibrous (fibroblastic)
transitional (mixed)
psammomatous
angiomatous
microcystic
secretory
lymphoplasmacyte-rich
metaplastic
Grade II – atypical
clear cell
chordoid
Grade III – rhabdoid
papillary
anaplastic
Pathology
• 2000 WHO classification
• Listed under the heading “tumors of the meninges”
• Subheading “tumors of meningothelial cells”
• Recognizes three grades based on pathologic
criteria & reflects on their risk of recurrence &
aggressive growth
Gross
• Globular, encapsulated tumors
• Attached to dura & compress the underlying brain
without invasion
• Are usually easily separated from pia
• May occur as a flattened sheath of tumor, taking
the shape of the under lying bone, meningioma en
plaque more common in the area of the sphenoid
bone
• Cut surface pale & translucent or homogenous &
reddish-brown, depending on the degree of
vascularity
• Gritty in consistency
• Cut surface has a whorled pattern after fixation
• Intratumoral hemorrhage is rare, & necrosis is
generally absent (occurs with malignant
degeneration)
Distribution of intracranial
meningiomas
• Convexity-35%
• Parasagittal-20%
• Sphenoid ridge-20%
• Infratentorial-13%
• Intraventricular-5%
• Tuberculam sella-3%
• Others-4%
Microscopy
• Meningotheliomatous- characterized by a lobular microarchitecture
and are populated by cells having delicate round or oval nuclei,
inconspicuous nucleoli, lightly eosinophilic cytoplasm, and indistinct
cytoplasmic borders (thus their alternative designation as syncytial
meningiomas).
• Common to these (and other subtypes) are tumor cells concentrically
wrapped in tight whorls, pale nuclear "pseudoinclusions" consisting of
invaginated cytoplasm (orphan Annie’s eye), and the lamellated
calcospherules known as psammoma bodies
• While none of these features are pathognomonic of meningioma, their
demonstration in the setting of an extra-axial, dural-based mass carries
considerable diagnostic weight.
Fibroblastic
• Fibroblastic or fibrous meningiomas adopt a
mesenchymal profile, being variably collagenized
and consisting of spindly tumor cells in fascicular or
storiform array.
• Syncitial nature is lacking
• Palisading of nuclei may lead to confusion with
schwannoma
Transitional
• As their name implies, are hybrids, maintaining a lobular arrangement
but evidencing a tendency to cellular elongation and streaming.
• These are often particularly rich in compact cellular whorls and
endowed with psammoma bodies in conspicuous numbers.
• When the latter are present in profusion, the term psammomatous
meningioma may be applied.
• Such tumors exhibit a particular predilection for the intraspinal
compartment.
• It should be noted that none of the foregoing growth patterns is of any
special biologic significance, most neuropathologists dispensing with
these qualifying adjectives in their reporting of surgical material.
Secretory
• A variant of the meningotheliomatous subtype, is
distinguished by its content of "pseudopsammoma
bodies"—globular hyaline inclusions that are
eosinophilic, intensely PAS positive
• Although entirely benign, the secretory
meningioma may masquerade as a malignant
neoplasm by virtue of its occasional association
with elevated serum CEA levels
Angiomatous
• Hypervascular, characterized by the presence of
exuberant large & small, well differentiated
vascular channels
• Intervening btw these are small nests of
meningotheliomatous, fibroblastic or transitional
meningiomas
Microcystic
• Mason – for soft, glistening & succulent tumors on
macroscopy
• Is named for its content of variably sized
intercellular vacuoles, these often appearing empty
but in someinstances containing a lightly PAS-
positive fluid derived in all likelihood via the
transudation of plasma across the neoplasm's
characteristically rich,and frequently hyalinized,
stromal vasculature
Lymphoplastic
• Have infiltrates of mononuclear cells
• Behave in a benign fashion
Atypical
• Associated with higher recurrence rate &
aggressive behaviour
• Criteria are increased mitotic activity (4 or more
mitosis/10 high power fields) or 3 or more of the
following features: increased cellularity, high
nucleus to cytoplasm ratio, prominent nucleoli,
sheet like growth, & foci of spontaneous or
geographic necrosis
Papillary
• Characterized by the ependymoma-like perivascular
structuring of its constituent cells.
• The latter can be seen to extend variably elongated
cytoplasmic processes toward vessel walls, fashioning
pseudorosettes that frequently appear to float unanchored
in tissue sections
• Usually depart from the typical in evidencing worrisome
hypercellularity, brisk mitotic activity, and in some cases,
foci of coagulative necrosis.
• Papillary meningiomas are potentially aggressive
neoplasms noted for their tendency for stubborn local
recurrence, their capacity for extraneural metastasis, and
their often fatal outcome.
• An excess of reported cases have presented in childhood or
adolescence.
Anaplastic meningioma
• Exhibits frank features of malignancy
• Have an appearance similar to sarcoma or
carcinoma
• High mitotic index(20 or more/10 HP fields)
Features suggesting aggressiveness
• Hypercellularity
• Loss of architecture
• Nuclear pleomorphism
• Increased mitotic index
• Focal necrosis
• Hypervascularity
• Hemosiderin deposition
• Small cell formation
Extra-neuraxial meningiomas
• Orbit
• Paranasal
• Sinuses
• Nasopharynx
• Skin & subcutis
• Lungs
• Mediastinum
• Adrenals
• Can metastasise to lungs, liver, pleura & lymph
nodes
• Abscesses can occur within meningiomas
Meningiomas & brain edema
• 4 major theories
1- disruption of BBB
2- mechanical compression
3- vascular compression
4- secretion of edemogenic
factors
Management
• Investigations –xray skull, ct / mri plain &
contrast , Angiography, Somatostatin receptor
scintigraphy(Indium 111) , FDG PET , MRS ,
DD on Radiology – NEUROSARCOIDOSIS , Superficial
mets ,solitary fibroid tumours
• Treatment—Observation, surgery , embolization ,
radiation, medical management
Plain radiographs
• Hyperostosis (38-61%)
• Calcifications (3-18%)
Increased
vascular marking
Diagnosis of meningioma made on
basis of
• A) morphology- the configuration of the mass, it’s
location, & it’s effect on adjacent brain
• B) the density (CT), intensity (MRI), & enhancement
features of the mass
• C) the presence of ancillary findings
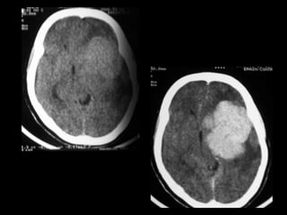
CT of intracranial meningiomas
• Plain CT- isodense to slightly hyperdense relative to
brain parenchyma
• Density homogenous & sharply marginated
• Calcification- a) tiny punctate (psammomatous)
is common
b) dense calcification of entire
lesion
c) nodular calcification, less
common
Contrast CT
• Homogenous, intense enhancement
• Result of passage of iodinated contrast material
into the interstitial space of neoplasm, rather than
hypervascularity
• Being extra-axial has no blood brain barrier
• Margins sharp & broadly based against a bony
structure or a free dural edge
Coronal scanning
• Relationship to bony
structures, as well as
dural structures
demonstrated
• Displacement of vessels
• Contiguous bony structures altered, either due to
direct infiltration or because of reactive changes to
hypervascularity of the neoplasm
• Commonest finding is hyperostoses
• New bone less homogenous & has irregular
margins
• Bony erosion by pressure from an adjacent tumor
CT signs S/O aggressive course
• Heterogeneous contrast enhancement
• Indistinct or irregular margins
• Minimal or no calcification
• Marked surrounding edema
• Mushroom-like projections
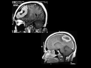
MRI
• Extra-axial dural based lesion- a mass is said to be
dural based when the greatest diameter occurs at
the margin of the tumor that abuts against the
dural surface
• Extra-axial- interface present, dilated subarachnoid
space, buckling of white matter
• Displacement, encasement, narrowing & occlusion
of surrounding vessels better visualized
• T1 – 60% are isointense,
30% mildly hypointense
to gray matter
MRI-T2
• On proton density & T2
isointense(50%), mild to
moderate
hyperintensity(40%)
• Hyperintensity S/O
higher water content-
probably
meningothelial,vascular,
aggressive,microcystic
Contrast MRI
• Homogenous contrast
enhancement-intense
and uniform
• Dural tails-histologically
has connective tissue .
Vascular tissue
,meningioma cell nests
Observation
• 3mo-9mo-yearly for 5 years-biannually thereafter
• Symptomatic / rapid growth
• 2 exceptions-younger patients <45 yrs
tuberculum sella meningioma(d/t
rapid visual deterioration)
Surgery
• Simpson
• Kobayashi and associates-microscopic
• Location decides extent of resection and thus
recurrence
• Yamasaki&colleagues-3 yr followup(VEGF&MIB-1)
• Extent of removal*
Radiation
• Malignant meningioma
• Following incomplete resection
• Multiple recurrent tumours
• Inoperable patients
THANK YOU
Convexity Meningiomas
• A meningioma whose
attachment does not lie
on the dura mater of the
skull base & does not
invade any of the dural
venous sinuses
• Most common subtype
Types of convexity meningiomas
• Anterior- attachment lies at or in front of the coronal
suture & include meningiomas of the pterion growing
solely or mainly towards the frontal bone
• Median- those astride the Rolandic fissure
• Posterior- those attached to the posterior parietal &
occipital regions
• Temporal- both tumors developing in the temporal
lobe & those of the pterion that grow postmed &
project on to the temporal side of the sylvian fissure
Clinical presentations
• Anterior- altered mentation
• Seizures
• Symptoms of raised ICT
• Motor deficit affects face & upper limb
• Vague signs of pyramidal involvement
Median
• Sensory & motor signs
• Jacksonian seizures, preceded by motor or less
often sensory aura
• Speech disturbance when the lesion affects the
dominant lobe
Posterior
• Least common variant
• Signs of raised ICT
• Sensor motor symptoms
• Field defect- homonymous hemianopsia
Temporal
• Epileptic fits
• Contralateral motor deficit
• Visual field deficits
• Speech disturbances- dominant lobe
• Ipsilateral motor disturbance- if it compresses the
peduncle against the edge of the tent
Parasagittal Meningiomas
• As one that fills the
parasagittal angle with
no brain tissue btw the
tumor & SSS
• Anterior, middle ( MC) &
posterior third
Symptomatology
• Anterior- long H/O headache associated with
secondary optic atrophy
• Mental deterioration as evidence by memory
impairment, change of personality, self neglect
• Hyperostosis of skull presenting as a swelling
Middle
• Jacksonian seizures beginning in the foot
• Followed by spastic paralysis which begins in the
corresponding leg
Posterior
• Symptoms of raised ICP
• Seizures
• Visual field defects
Falcine Meningiomas
• The falx meningioma
arises from the falx
cerebri & does not
involve the SSS
• Should lie in complete
concealment by the
overlying cerebral cortex
Types
• Anterior ,middle(MC) & posterior third falcine
meningimas
• Anterior- from crista galli to coronal suture
• Middle- from the coronal to lambdoid suture
• Posterior- from the lambdoid to the torcula
Clinical features
• Anterior falx- symptoms raised ICP, progressive
dementia, gradual personality changes, seizures
infrequent & nonfocal
• Middle- focal motor or Jacksonian sensory march
seizure. Progressive loss of neuro function &
spaticity of lower extremities may also accompany
• Posterior- headache, symptoms of raised ICT, visual
field defects
Tentorial
• May present with psychiatric symptoms or seizures
• Can extend infratentorially & produce cerebellar
symptoms
Classification
• Medial tentorial meningiomas
• Lateral tentorial meningiomas
Medial & lateral are sub-divided into anterior,
middle & posterior
 Falcotentorial (para straight sinus) meningiomas
Olfactory groove meningiomas
• Arise in the midline of the AF over the cribriform
plate of the ethmoid & the area of the suture
joining this structure & the planum sphenoidale.
May extend from crista to post planum sphenoidale
• Blood supply from br of ethmoidal, meningeal, &
ophthalmic arteries
• Olfactory nerves displaced laterally
Clinical features
• Grow to large size before causing symptoms
• Features of raised ICP, personality changes
• Anosmia not an important symptom but picked up
on clinical evaluation
Tuberculam sella meningiomas
• Arise from the tuberculam sellae, chiasmatic sulcus,
limbus sphenoidale & diapragma sellae
• Optic nerve elevated & laterally displaced
• Blood supply from the posterior ethmoidal arteries
& small br from the ACA
• Large tumors compress the hypothalamus & third
ventricle
• 5-10% of intracranial meningiomas
Cushing’s classification
• Based on size
• I: initial stage
• II: presymptomatic
• III: favorable for
surgery
• IV: late or inoperable
Clinical findings
• Chiasmal syndrome- bitemporal field defect
• Optic atrophy
• Headache
• Anosmia & personality changes
• Rarely hypothalamic dysfunction
Lateral & Middle Sphenoid Wing
Meningiomas
Group A
• Extend from the dura of
the cavernous sinus, the
anterior clinoid process
& from the internal part
of the sphenoid wing. In
close contact with optic
nerve & with the carotid
& it’s branches
Group B
• Meningiomatous cells
invade the hyperostosing
bone, the plaque
spreads into the dura of
the sphenoid wing &
cavernous sinus.
• Compress the optic
nerve
• Extend down through
base of skull
Group C
• Are very invasive
• Spread over the midline
& the clivus
Group D
• Non-invading
meningioma that can be
easily manipulated
because it’s stalk is small
• No close connection to
internal carotid or optic
tract
Group E
• Fastened to the external
part of the sphenoid
wing, at the border of
the skull base & the
vault
• Distort the frontal &
temporal bone
Clinoidal meningiomas
• Divide into three subgroups based on the presence of
an interfacing arachnoidal membrane btw the tumor
& cerebral vessels
• Group I: origin proximal to the end of the carotid
cistern, as in the case of a meningioma originating at
the inferior aspect of clinoid process
• Tumor enwraps the carotid lacking an interfacing
arach membrane
• Accounts for inability to dissect tumor from vessel
Group I tumor
Group II
• Originates from the superior &/or lateral aspect of
ant clinoid process above the segment of the
carotid artery invested in the cistern
• There is an arachnoidal membrane of the carotid
cistern & distally of the sylvian cistern separating
the tumor from vessel
• Microsurgical dissection feasible
Group III
• Originates at the optic foramen, extending into the
canal & the tip of the ant clinoid process
• Usually small tumors
• Arachnoidal investment btw the vessels & tumor is
present but may be absent btw tumor & optic
nerve
Clinical features
• Unilateral visual loss, Foster-Kennedy syndrome
• Invasion of SOF & cavernous sinus leads to cranial
nerve palsies & exophthalmos
• Seizures, mental changes, hemiparesis, & anosmia,
depending on tumor size
Meningiomas of the cavernous sinus
• Meningiomas involving the CS may start in areas
outside the CS & invade it secondarily, or start
within it & spread outside
Cerebellar convexity meningiomas
• 1- 2% of all meningiomas
• 10-18% of posterior fossa meningiomas
• Present with headache, progressive cerebellar signs
• Raised ICP & symptoms of hydrocephalus
• Tend to be large before causing symptoms
• Very often detected incidentally
CP angle meningiomas (post pyramid
menigios)
• Tumors located anterior to IAM- present with
decreased hearing. En plaque type more common
• Tumors located posterior to IAM- presenting with
cerebellar signs
Clival & Petroclival meningiomas
• Clival meningiomas are defined as those attached
at any of the lateral sites along the petroclival
borderline where the sphenoid, petrous & occipital
bones meet
• Clinical findings can be grouped into 4 major
etiologies based on
A) Cranial nerve involvement
B) Cerebellar compression
C) Brain stem compression
D) Increased ICP
Meningiomas of the temporal bone
• Slow growing tumors
• Earliest presentation is feeling of fullness in
ipsilateral ear
• Vestibular dysfunction may occur
• Anterior extension involves Vth or CS
• Posterior extension into PF, causes CP angle
syndrome

MENINGIOMA-neurosurgery

  • 1.
  • 2.
    • There istoday nothing in the whole realm of surgery more gratifying than the successful removal of a meningioma with subsequent perfect functional recovery. The difficulties are admittedly great, sometimes insurmountable, & though the disappointments are still many, another generation of neurosurgeons will unquestionably see them largely overcome Harvey Cushing, 1922
  • 3.
    • Meningioma wasthe term coined by Harvey Cushing in 1922 • In 1864, John Cleland speculated that they arise from arachnoid cell clusters • In 1915, Cushing & Weed reconfirmed this
  • 4.
    The meninges: embryology& histology • Consist of 3 layers – dura( i.e., pachymeninx) • Arachnoid & pia (leptomeninges) • At 22 to 24 days of gestation a monocellular layer of cells of neural crest origin surround the neural tube – the pia • At 33 to 41 days the CNS is surrounded by a multiple layer of mesenchymal cells – gives rise to dura & arachnoid mater
  • 5.
    • The arachnoidhas 2 cell populations • One subgroup follows the dura closely & is formed by the arachnoid barrier cells • The other consists of arachnoid trabecular cells & bridges the subarachnoid space to attach to the pia mater • CSF is reabsorbed by the arachnoid villi • Arachnoid villi protrude into venous sinuses
  • 6.
    • Venous endotheliumin contact with arachnoid cap cells, the rest of the granulation is covered by a fibrous capsule • Arachnoid villi are numerous in – SSS, cavernous sinus, tuberculam sella, lamina cribrosa, foramen magnum & torcular herophili • Arachnoid granulations & pacchionian bodies are larger & more pronounced versions of arachnoid villi
  • 8.
    Incidence • Constitute 20%of all intracranial neoplasms • Overall incidence 2.3/100,000 • Male:Female – 1:2 • 1—4% of childhood(< 18) tumors • Mean age of pt – 58 ± 15 yrs
  • 9.
    Etiology • Head trauma– Cushing • Recent information suggests that head trauma is not significant in the etiology of meningiomas
  • 10.
    Viruses • Inoue-Melnick (IMV)virus • DNA virus causing subacute myelo- opticoneuropathy • In a study from Japan 84.6% of meningioma pt were positive for the IMV antibody • Though there is a strong biochemical evidence their role in the development of tumor remains undefined
  • 11.
    Irradiation • Radiation injuryis a proven factor in the development of meningiomas • 4 times more common in pt irradiated as per Kienbock-Adamson technique • Does the use of mobile phones increase the risk for meningiomas?
  • 12.
    Neurofibromatosis • Are morecommon with type 2 NF • Frequently multiple • Can be spinal or cranial
  • 13.
    Oncogenes related tomeningiomas Oncogene Aberration Reference sis Amplification Fujimoto myc Amplification Sauceda Ha-ras Ampilfication Diedrich c-mos Rare allele Diedrich merlin Ampilfication Kimura
  • 14.
    Meningiomas & receptors •Donnell described estrogen receptor in meningiomas • Progesterone receptors have been more consistently identified in the cytoplasm of meningiomas • somatostatin, glucocorticoid,androgen & dopamine receptors have also been found • Increased levels of CEA & PRL • Interfere with glucose metabolism by increasing insulin levels
  • 15.
    Grade 1 –meningothelial fibrous (fibroblastic) transitional (mixed) psammomatous angiomatous microcystic secretory lymphoplasmacyte-rich metaplastic Grade II – atypical clear cell chordoid Grade III – rhabdoid papillary anaplastic
  • 16.
    Pathology • 2000 WHOclassification • Listed under the heading “tumors of the meninges” • Subheading “tumors of meningothelial cells” • Recognizes three grades based on pathologic criteria & reflects on their risk of recurrence & aggressive growth
  • 17.
    Gross • Globular, encapsulatedtumors • Attached to dura & compress the underlying brain without invasion • Are usually easily separated from pia • May occur as a flattened sheath of tumor, taking the shape of the under lying bone, meningioma en plaque more common in the area of the sphenoid bone
  • 19.
    • Cut surfacepale & translucent or homogenous & reddish-brown, depending on the degree of vascularity • Gritty in consistency • Cut surface has a whorled pattern after fixation • Intratumoral hemorrhage is rare, & necrosis is generally absent (occurs with malignant degeneration)
  • 21.
    Distribution of intracranial meningiomas •Convexity-35% • Parasagittal-20% • Sphenoid ridge-20% • Infratentorial-13% • Intraventricular-5% • Tuberculam sella-3% • Others-4%
  • 22.
    Microscopy • Meningotheliomatous- characterizedby a lobular microarchitecture and are populated by cells having delicate round or oval nuclei, inconspicuous nucleoli, lightly eosinophilic cytoplasm, and indistinct cytoplasmic borders (thus their alternative designation as syncytial meningiomas). • Common to these (and other subtypes) are tumor cells concentrically wrapped in tight whorls, pale nuclear "pseudoinclusions" consisting of invaginated cytoplasm (orphan Annie’s eye), and the lamellated calcospherules known as psammoma bodies • While none of these features are pathognomonic of meningioma, their demonstration in the setting of an extra-axial, dural-based mass carries considerable diagnostic weight.
  • 25.
    Fibroblastic • Fibroblastic orfibrous meningiomas adopt a mesenchymal profile, being variably collagenized and consisting of spindly tumor cells in fascicular or storiform array. • Syncitial nature is lacking • Palisading of nuclei may lead to confusion with schwannoma
  • 27.
    Transitional • As theirname implies, are hybrids, maintaining a lobular arrangement but evidencing a tendency to cellular elongation and streaming. • These are often particularly rich in compact cellular whorls and endowed with psammoma bodies in conspicuous numbers. • When the latter are present in profusion, the term psammomatous meningioma may be applied. • Such tumors exhibit a particular predilection for the intraspinal compartment. • It should be noted that none of the foregoing growth patterns is of any special biologic significance, most neuropathologists dispensing with these qualifying adjectives in their reporting of surgical material.
  • 29.
    Secretory • A variantof the meningotheliomatous subtype, is distinguished by its content of "pseudopsammoma bodies"—globular hyaline inclusions that are eosinophilic, intensely PAS positive • Although entirely benign, the secretory meningioma may masquerade as a malignant neoplasm by virtue of its occasional association with elevated serum CEA levels
  • 31.
    Angiomatous • Hypervascular, characterizedby the presence of exuberant large & small, well differentiated vascular channels • Intervening btw these are small nests of meningotheliomatous, fibroblastic or transitional meningiomas
  • 33.
    Microcystic • Mason –for soft, glistening & succulent tumors on macroscopy • Is named for its content of variably sized intercellular vacuoles, these often appearing empty but in someinstances containing a lightly PAS- positive fluid derived in all likelihood via the transudation of plasma across the neoplasm's characteristically rich,and frequently hyalinized, stromal vasculature
  • 34.
    Lymphoplastic • Have infiltratesof mononuclear cells • Behave in a benign fashion
  • 35.
    Atypical • Associated withhigher recurrence rate & aggressive behaviour • Criteria are increased mitotic activity (4 or more mitosis/10 high power fields) or 3 or more of the following features: increased cellularity, high nucleus to cytoplasm ratio, prominent nucleoli, sheet like growth, & foci of spontaneous or geographic necrosis
  • 40.
    Papillary • Characterized bythe ependymoma-like perivascular structuring of its constituent cells. • The latter can be seen to extend variably elongated cytoplasmic processes toward vessel walls, fashioning pseudorosettes that frequently appear to float unanchored in tissue sections • Usually depart from the typical in evidencing worrisome hypercellularity, brisk mitotic activity, and in some cases, foci of coagulative necrosis. • Papillary meningiomas are potentially aggressive neoplasms noted for their tendency for stubborn local recurrence, their capacity for extraneural metastasis, and their often fatal outcome. • An excess of reported cases have presented in childhood or adolescence.
  • 42.
    Anaplastic meningioma • Exhibitsfrank features of malignancy • Have an appearance similar to sarcoma or carcinoma • High mitotic index(20 or more/10 HP fields)
  • 44.
    Features suggesting aggressiveness •Hypercellularity • Loss of architecture • Nuclear pleomorphism • Increased mitotic index • Focal necrosis • Hypervascularity • Hemosiderin deposition • Small cell formation
  • 45.
    Extra-neuraxial meningiomas • Orbit •Paranasal • Sinuses • Nasopharynx • Skin & subcutis • Lungs • Mediastinum • Adrenals
  • 46.
    • Can metastasiseto lungs, liver, pleura & lymph nodes • Abscesses can occur within meningiomas
  • 47.
    Meningiomas & brainedema • 4 major theories 1- disruption of BBB 2- mechanical compression 3- vascular compression 4- secretion of edemogenic factors
  • 48.
    Management • Investigations –xrayskull, ct / mri plain & contrast , Angiography, Somatostatin receptor scintigraphy(Indium 111) , FDG PET , MRS , DD on Radiology – NEUROSARCOIDOSIS , Superficial mets ,solitary fibroid tumours • Treatment—Observation, surgery , embolization , radiation, medical management
  • 49.
    Plain radiographs • Hyperostosis(38-61%) • Calcifications (3-18%) Increased vascular marking
  • 50.
    Diagnosis of meningiomamade on basis of • A) morphology- the configuration of the mass, it’s location, & it’s effect on adjacent brain • B) the density (CT), intensity (MRI), & enhancement features of the mass • C) the presence of ancillary findings
  • 51.
    CT of intracranialmeningiomas • Plain CT- isodense to slightly hyperdense relative to brain parenchyma • Density homogenous & sharply marginated • Calcification- a) tiny punctate (psammomatous) is common b) dense calcification of entire lesion c) nodular calcification, less common
  • 52.
    Contrast CT • Homogenous,intense enhancement • Result of passage of iodinated contrast material into the interstitial space of neoplasm, rather than hypervascularity • Being extra-axial has no blood brain barrier • Margins sharp & broadly based against a bony structure or a free dural edge
  • 54.
    Coronal scanning • Relationshipto bony structures, as well as dural structures demonstrated • Displacement of vessels
  • 55.
    • Contiguous bonystructures altered, either due to direct infiltration or because of reactive changes to hypervascularity of the neoplasm • Commonest finding is hyperostoses • New bone less homogenous & has irregular margins • Bony erosion by pressure from an adjacent tumor
  • 56.
    CT signs S/Oaggressive course • Heterogeneous contrast enhancement • Indistinct or irregular margins • Minimal or no calcification • Marked surrounding edema • Mushroom-like projections
  • 57.
    MRI • Extra-axial duralbased lesion- a mass is said to be dural based when the greatest diameter occurs at the margin of the tumor that abuts against the dural surface • Extra-axial- interface present, dilated subarachnoid space, buckling of white matter • Displacement, encasement, narrowing & occlusion of surrounding vessels better visualized
  • 58.
    • T1 –60% are isointense, 30% mildly hypointense to gray matter
  • 59.
    MRI-T2 • On protondensity & T2 isointense(50%), mild to moderate hyperintensity(40%) • Hyperintensity S/O higher water content- probably meningothelial,vascular, aggressive,microcystic
  • 60.
    Contrast MRI • Homogenouscontrast enhancement-intense and uniform • Dural tails-histologically has connective tissue . Vascular tissue ,meningioma cell nests
  • 63.
    Observation • 3mo-9mo-yearly for5 years-biannually thereafter • Symptomatic / rapid growth • 2 exceptions-younger patients <45 yrs tuberculum sella meningioma(d/t rapid visual deterioration)
  • 64.
    Surgery • Simpson • Kobayashiand associates-microscopic • Location decides extent of resection and thus recurrence • Yamasaki&colleagues-3 yr followup(VEGF&MIB-1) • Extent of removal*
  • 67.
    Radiation • Malignant meningioma •Following incomplete resection • Multiple recurrent tumours • Inoperable patients
  • 68.
  • 71.
    Convexity Meningiomas • Ameningioma whose attachment does not lie on the dura mater of the skull base & does not invade any of the dural venous sinuses • Most common subtype
  • 72.
    Types of convexitymeningiomas • Anterior- attachment lies at or in front of the coronal suture & include meningiomas of the pterion growing solely or mainly towards the frontal bone • Median- those astride the Rolandic fissure • Posterior- those attached to the posterior parietal & occipital regions • Temporal- both tumors developing in the temporal lobe & those of the pterion that grow postmed & project on to the temporal side of the sylvian fissure
  • 73.
    Clinical presentations • Anterior-altered mentation • Seizures • Symptoms of raised ICT • Motor deficit affects face & upper limb • Vague signs of pyramidal involvement
  • 74.
    Median • Sensory &motor signs • Jacksonian seizures, preceded by motor or less often sensory aura • Speech disturbance when the lesion affects the dominant lobe
  • 75.
    Posterior • Least commonvariant • Signs of raised ICT • Sensor motor symptoms • Field defect- homonymous hemianopsia
  • 76.
    Temporal • Epileptic fits •Contralateral motor deficit • Visual field deficits • Speech disturbances- dominant lobe • Ipsilateral motor disturbance- if it compresses the peduncle against the edge of the tent
  • 77.
    Parasagittal Meningiomas • Asone that fills the parasagittal angle with no brain tissue btw the tumor & SSS • Anterior, middle ( MC) & posterior third
  • 79.
    Symptomatology • Anterior- longH/O headache associated with secondary optic atrophy • Mental deterioration as evidence by memory impairment, change of personality, self neglect • Hyperostosis of skull presenting as a swelling
  • 80.
    Middle • Jacksonian seizuresbeginning in the foot • Followed by spastic paralysis which begins in the corresponding leg
  • 81.
    Posterior • Symptoms ofraised ICP • Seizures • Visual field defects
  • 82.
    Falcine Meningiomas • Thefalx meningioma arises from the falx cerebri & does not involve the SSS • Should lie in complete concealment by the overlying cerebral cortex
  • 83.
    Types • Anterior ,middle(MC)& posterior third falcine meningimas • Anterior- from crista galli to coronal suture • Middle- from the coronal to lambdoid suture • Posterior- from the lambdoid to the torcula
  • 84.
    Clinical features • Anteriorfalx- symptoms raised ICP, progressive dementia, gradual personality changes, seizures infrequent & nonfocal • Middle- focal motor or Jacksonian sensory march seizure. Progressive loss of neuro function & spaticity of lower extremities may also accompany • Posterior- headache, symptoms of raised ICT, visual field defects
  • 85.
    Tentorial • May presentwith psychiatric symptoms or seizures • Can extend infratentorially & produce cerebellar symptoms
  • 86.
    Classification • Medial tentorialmeningiomas • Lateral tentorial meningiomas Medial & lateral are sub-divided into anterior, middle & posterior  Falcotentorial (para straight sinus) meningiomas
  • 87.
    Olfactory groove meningiomas •Arise in the midline of the AF over the cribriform plate of the ethmoid & the area of the suture joining this structure & the planum sphenoidale. May extend from crista to post planum sphenoidale • Blood supply from br of ethmoidal, meningeal, & ophthalmic arteries • Olfactory nerves displaced laterally
  • 88.
    Clinical features • Growto large size before causing symptoms • Features of raised ICP, personality changes • Anosmia not an important symptom but picked up on clinical evaluation
  • 89.
    Tuberculam sella meningiomas •Arise from the tuberculam sellae, chiasmatic sulcus, limbus sphenoidale & diapragma sellae • Optic nerve elevated & laterally displaced • Blood supply from the posterior ethmoidal arteries & small br from the ACA • Large tumors compress the hypothalamus & third ventricle • 5-10% of intracranial meningiomas
  • 90.
    Cushing’s classification • Basedon size • I: initial stage • II: presymptomatic • III: favorable for surgery • IV: late or inoperable
  • 91.
    Clinical findings • Chiasmalsyndrome- bitemporal field defect • Optic atrophy • Headache • Anosmia & personality changes • Rarely hypothalamic dysfunction
  • 92.
    Lateral & MiddleSphenoid Wing Meningiomas
  • 93.
    Group A • Extendfrom the dura of the cavernous sinus, the anterior clinoid process & from the internal part of the sphenoid wing. In close contact with optic nerve & with the carotid & it’s branches
  • 94.
    Group B • Meningiomatouscells invade the hyperostosing bone, the plaque spreads into the dura of the sphenoid wing & cavernous sinus. • Compress the optic nerve • Extend down through base of skull
  • 95.
    Group C • Arevery invasive • Spread over the midline & the clivus
  • 96.
    Group D • Non-invading meningiomathat can be easily manipulated because it’s stalk is small • No close connection to internal carotid or optic tract
  • 97.
    Group E • Fastenedto the external part of the sphenoid wing, at the border of the skull base & the vault • Distort the frontal & temporal bone
  • 98.
    Clinoidal meningiomas • Divideinto three subgroups based on the presence of an interfacing arachnoidal membrane btw the tumor & cerebral vessels • Group I: origin proximal to the end of the carotid cistern, as in the case of a meningioma originating at the inferior aspect of clinoid process • Tumor enwraps the carotid lacking an interfacing arach membrane • Accounts for inability to dissect tumor from vessel
  • 99.
  • 100.
    Group II • Originatesfrom the superior &/or lateral aspect of ant clinoid process above the segment of the carotid artery invested in the cistern • There is an arachnoidal membrane of the carotid cistern & distally of the sylvian cistern separating the tumor from vessel • Microsurgical dissection feasible
  • 102.
    Group III • Originatesat the optic foramen, extending into the canal & the tip of the ant clinoid process • Usually small tumors • Arachnoidal investment btw the vessels & tumor is present but may be absent btw tumor & optic nerve
  • 104.
    Clinical features • Unilateralvisual loss, Foster-Kennedy syndrome • Invasion of SOF & cavernous sinus leads to cranial nerve palsies & exophthalmos • Seizures, mental changes, hemiparesis, & anosmia, depending on tumor size
  • 105.
    Meningiomas of thecavernous sinus • Meningiomas involving the CS may start in areas outside the CS & invade it secondarily, or start within it & spread outside
  • 108.
    Cerebellar convexity meningiomas •1- 2% of all meningiomas • 10-18% of posterior fossa meningiomas • Present with headache, progressive cerebellar signs • Raised ICP & symptoms of hydrocephalus • Tend to be large before causing symptoms • Very often detected incidentally
  • 109.
    CP angle meningiomas(post pyramid menigios) • Tumors located anterior to IAM- present with decreased hearing. En plaque type more common • Tumors located posterior to IAM- presenting with cerebellar signs
  • 110.
    Clival & Petroclivalmeningiomas • Clival meningiomas are defined as those attached at any of the lateral sites along the petroclival borderline where the sphenoid, petrous & occipital bones meet
  • 111.
    • Clinical findingscan be grouped into 4 major etiologies based on A) Cranial nerve involvement B) Cerebellar compression C) Brain stem compression D) Increased ICP
  • 112.
    Meningiomas of thetemporal bone • Slow growing tumors • Earliest presentation is feeling of fullness in ipsilateral ear • Vestibular dysfunction may occur • Anterior extension involves Vth or CS • Posterior extension into PF, causes CP angle syndrome