Mentor - Dr Sunita Kale (PROF)
- Sumeet (SR)
- Chandranshu (JRII) / Ajith (JRII)
DEPARTMENT OF
RADIOLOGY
Xray views for paranasal sinuses
Differentials of paranasal sinus opacification
Age of pneumatization of the sinuses
Role of radiology in management of JNAF
 Orbito-meatal line – 370 to film
 Best – Maxillary sinus
 Modified water – open mouth
 Orbito-meatal line – 150 with horizontal
 Best – Frontal sinus
 Sagittal plane parallel to the film
 To see anterior and posterior extent of sinuses
 Air fluid levels well appreciated.
 Neck is hyperextended until the infraorbitomeatal line (IOML) is parallel with the receptor
 Evaluate fractures and displacement of a fractured zygomatic arch.
 Assessing potential pathology from trauma or disease progression to the basal skull structures ,
including the foramen ovale, foramen spinosum and sphenoid sinuses.
Acute / Chronic Sinusitis
Choanal polyp
Sinonasal polyposis
Silent sinus syndrome
Mucocele
Neoplastic
Fungal sinusitis
Dentigerous cyst
Ameloblastoma
 The silent sinus syndrome represents maxillary sinus atelectasis that results in
painless enophthalmos, hypoglobus and facial asymmetry
 The sinus is fully formed but fully opacified and reduced in volume with inward bowing of all four
walls
 Complete opacification of one or more paranasal sinuses by mucus, often associated with bony
expansion due to obstruction of the nasal sinus drainage.
 Most common – Frontal sinus
 Associations
• cystic fibrosis: particularly if occurring in children
• paranasal sinus fibrous dysplasia: especially in frontal sinus
 Benign , locally aggressive tumor
 Origin – Spenopalatine foramen
 C/f – painless progressive unilateral nasal obstruction , epistaxis
 CT – Heterodense mass with avid enhancement , widening of pterygopalatine
fossa, bowing of posterior wall of maxillary sinus (Holman Miller sign), bony
erosion
 Main blood supply – Internal maxillary artery, branch of ECA , others – ascending
pharyngeal , palatine
 Treatment – Preop Embolization – Surgical resection
6 D’s of neuropathic joint
Phases of neuropathic joint
Causes of neuropathic joint
DISTINCT LACK OF SUBJECTIVE / OBJECTIVE PAIN
DESPITE JOINT SWELLING / INSTABILITY /
CREPITATIONS
Bone and joint changes that occur
secondary to loss of sensation
AKA CHARCOT JOINT
NEUROPATHIC JOINT
DISTENDED JOINT - early due to effusion
DENSITY INCREASE – subchondral sclerosis
DEBRIS PRODUCTION – intra-articular bony fragments
DISLOCATION – malalignment of joint surface
DISORGANISATION – bag of bones (joint components
disrupted)
DESTRUCTION – loss of bone substance
Atrophic phase
hypertrophic phase
6 d’s
hypertrophic phase Atrophic phase
LICKED CANDY STICK
APPEARANCE
WEIGHT BEARING JOINTS NON WEIGHT BEARING JOINTS
LUMBAR SPINE
HIP JOINT
KNEES
ANKLE
SHOULDER
HIP JOINT
FOOT
TUMBLING BUILDING BLOCK SPINE
JIGSAW VERTEBRA
LICKED CANDY
STICK APP
congenital acquired iatrogenic
Congenitalindifferenceto pain
Spinabifidavera
dysautonomia
Diabetes mellitus (mc)
Leprosy
Charcotmarietooth
Neurosyphilis
Trauma
Tumor
alcoholism
Steroids
Indomethacin
phenylbutazone
Diagnosis
Differentials
Types
 AP and lateral radiographs of the skull show multiple tiny lucent areas with areas of
sclerosis in between, giving rise to salt and pepper skull appearance.
 Radiographs of both the legs, knees and left humerus show diffuse osteoporosis with
few well defined lytic areas.
 Radiograph of the hand shows osteoporosis with coarse trabeculations of the
phalanges with mild erosions along tteh radial aspect.
HYPERPARATHYROIDISM
 Primary : Hyperproduction of PTH due to
adenoma/hyperplasia/carcinoma
 Secondary : Feedback response to hypocalcemia (renal osteodystrophy)
 Tertiary : Autonomous parathyroid adenoma
FINDINGS
 Osteopenia
 Subperiosteal resorption: classically along radial aspects of phalanges
 Floating tooth
 Subchondral resorption (lateral end of clavicles, pubic symphysis, sacroiliac joints)
 Subligamentous resorption(ischial tuberosity, trochanters)
 Brown tumors(more common in primary)
 Salt and pepper skull
 Rugger jersey spine
 Secondary and tertiary hyperparathyroidism may be associated with osteosclerosis of
renal osteodystrophy and osteomalacia of vitamin D deficiency
 Superior and inferior rib notching may be seen
SUBPERIOSTEAL RESORPT
SUBCHONDRAL
RESORPTION
SALT AND PEPPER SKULL
Multiple myeloma
LCH
Benign
•Hemangioma
•AV malformation
•Lipoma
•Fibroma of tendon
sheath
•Tendon sheath GCT
Malignant
•Sarcoma
•Squamous cell Ca
 Most common soft tissue tumor
 On USG , it appears as echogenic (isoechoic to fat and echogenic to muscle) well-defined lesion
with echogenic capsule
 On MRI, lipoma shows a similar signal to fat on all sequences
 On ultrasound, hemangioma appears moderately well defined and hypoechoic but can be
heteroechoic due to internal adipose and calcium contents. Doppler may depict prominent vascular
channels with the flow.
 On MRI it is intensely hyperintense on T2 and hypointense on T1. It shows homogenous
enhancement. The phleboliths are seen as signal void on both T1- and T2-weighted images and
may show blooming artifact on gradient echo images
 Color Doppler is useful to see the internal vascularity including the arterial flow in case of high flow types.
MRI shows T1 hypointense and T2 hyperintense signal, signal voids (reflecting areas of high flow), and
susceptibility artifacts (areas of thrombosis).
 Vascular malformations can be classified as either low-flow or high-flow lesions with dynamic contrast-
enhanced magnetic resonance (MR) angiography.
 On the US, it appears homogenously hypoechoic and most commonly seen on flexor surface often
in relation to an annular pulley.[
 MR reveals a focal nodular mass adjacent to a tendon sheath with heterogeneous low to
intermediate signal on all pulse sequences
 Tenosynovial giant cell tumor (TSGCT) both at clinical examination and even at gross pathology
looks similar to FTS. TSGCT, generally, show susceptibility artifacts on GRE images and adjacent
cortical erosion on a plain radiograph; both features are absent in FTS.
 presents as a lobulated painless soft tissue mass immediately adjacent to tendon sheath.
 Plain radiograph can show cortical erosions on the underlying bone ~ 20%. Ultrasound shows
homogenous hypoechoic lesion with internal vascularity.
 On MR, it shows T1 low- and T2 low-to-intermediate signal. It shows intense contrast enhancement
as well.
PARAVERTEBRAL SOFT TISSUE DIFFERENTIALS
NEOPLASM
NEUROGENI
C
Schwannoma
Neurofibroma
Paraganglioma
Pheochromocytoma
NON
NEUROGENI
C
Lymphoma
Metastasis
Oesophageal Ca
INFECTION
PARASPINA
L ABSCESS
FOREGUT
DUPLICATION
CYST
NEURENTERIC
ESOPHAGEAL
BRONCHOGENIC
INFLAMMATION
MEDIASTINITIS
SARCOIDOSIS
PSEUDOCYST
OTHERS
LYMPHADENOPATHY
ANEURYSM
EXTRAMEDULLARY
HEMATOPOEISIS
HEMATOMA
HIATUS/ BOCHADALEK
HERNIA
•CML
•Polycythemia Vera
•Essential thrombocythemia
•Myelofibrosis
•Hodgkin Lymphoma
MYELOPROLIFERATIVE
DISORDERS
•Sickle cell Anemia
•Thalessemia
•Hereditary Spherocytosis
HEMOGLOBINOPATHIES
 MC – Diffuse visceromegaly (Hepatosplenomegaly)
 MC intrathoracic – Posterior mediastinal mass
 Rib expansion
 Perirenal soft tissue
 Presacral soft tissue mass
 Epidural soft tissue mass in spinal cord or CNS
General
Osteoporosis
Coarsened trabecular pattern
Cortical thinning
Widened medullary cavity
Special
Hair on end appearance
Erlenmeyer flask deformity
Paraspinal extramedullary
haematopoiesis
THALASSEMIA SICKLE CELL ANEMIA
Spine less affected Spine more affected
More marrow hyperplasia Less marrow hyperplasia
Skull more affected Skull less affected
Infarctions less common Infarctions more common
Extramedullary hematopoiesis Osteomyelitis
 Diagnosis
 Foot radiographic views
 Radiological signs
 Types of periosteal reaction
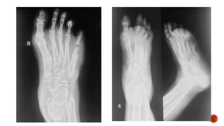
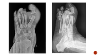
 Dorsoplantar radiograph of the foot shows destruction of the head of the 5th
metatarsal and the base of the proximal phalanx of the 5th toe with apparant
widening of teh joint space.
 There is associated minimal soft tissue swelling
 Foot radiograph :
 Dorsoplantar: metatarsals in neutral position
 Medial: DP projection with the foot angled 30-40° medially
 Lateral
 Weight bearing
 Arterial supply :
 a. Infant
 b.Child
 c. Adult
 Hematogenous spread
 Vascular and cellular response
 Marrow edema
 Marrow necrosis
 Endosteal penetration
 Reaches subperiosteal layer
 Periostitis
 Cortical necrosis
 Sequestrum : Dead bone(cortical and medullary necrosis)
 Involucrum : New bone formation
 Cloaca : opening in the involucrum (decompression)
 Marjoulin’s ulcer
 Latent period :
 Extremities : 10 days
 Spine : 21 days
 Earliest detection : Bone scan by Tc-MDP, Ga-67
 MRI : T1 hypo, T2 hyper
 Soft tissue swelling
 Fat planes : Neoplasm vs infective
 Bone : Moth eateb or permeative destruction
 Periosteal reaction
 Pyogenic osteomyelitis : No swelling
 Fungal osteomyelitis : Exuberant soft tissue swelling
 Draining sinus
 Debris
 Bone : Destruction of the cortex
 Involucrum
 Cloaca
 Sequestrum
 Sclerosis
 Joint: loss of joint space; healing by ankylosis
 physiologic periostitis, most common cause before 6 months old
 Caffey disease
 chronic venous insufficiency
 hypertrophic osteoarthropathy
 congenital syphilis
 fluorosis
 thyroid acropachy
 hypervitaminosis A
 Infantile cortical hyperostosis
 Type I collagenopathy
 painful soft tissue swelling, erythema, fever, irritability
 <5 months of age
 Most common : flat bones (mandible)
 Ulna among long bones
 Xray foot views
 Types of periosteal reaction
 Radiological signs of osteomyelitis
 Differentials
 10% rule in wilms tumor
 Causes of intra and retroperitoneal masses in children
 There is fullness in the left side of the abdomen with the displacement of the bowel
loops to the right
 There are no calcifications
 The opacity is crossing the midline
 The lung fields are clear
 Neuroblastoma
 Nephroblastoma
 Lymphoma
 Teratoma
 Rhabdomyosarcoma
 Lipoma
 Hepatoblastoma
 Hemangioendothelioma
 Mesenchymal hamartoma
 Hepatocellular carcinoma
Neuroblastoma Nephroblastoma
Age <2 yrs 3-4 yrs
Presentatio
n
Painful abdominal mass Painless abdominal mass + hematuria
Calcificatio
n
+++ +
Compositio
n
Predominantly solid Predominantly cystic
Margin Poorly circumscribed Well marginated
Vessels Encases Displaces; Invades IVC
Spinal
canal
involvemen
t
+ -
Crosses
midline
+ -
Metastasis Bone Lungs
 Most commonly from the adrenal glands
 Along the sympathetic chain
 May present directly with metastasis
 Raccoon eye
 Opsoclonus-myoclonus syndrome
 MIBG scintigraphy
 10% rule :
 unfavourable histology
 calcification
 bilateral
 vascular invasion
 pulmonary metastasis
 WAGR syndrome
 Danny Drash syndrome
 Beckwith Weidman syndrome
 1. Clear cell sarcoma:
 Early skeletal mets
 2. Renal rhabdoid tumor:
 Associated with brain tumors, especially in posterior fossa
 3. Pediatric RCC:
 10-20yrs (RCC > Wilms in second decade)
 Calcifications more common
 Differentials
 Lytic lesions of skull in adults and children
METASTASI
S
MULTIPL
E
MYELOMA
RAINDROP SKULL
HEMANGIOM
A
HONEYCOMB/
SUNBURST PATTERN
EPIDERMOID
CYST
LOBULATED LYTIC –
SCLEROSED MARGINS
LCH
LÜCKENSCHÄDEL SKULL
LACUNAR SKULL/ CRANIOLACUNAE
DYSPLASIA OF SKULL VAULTT- INNER TABLE>OUTER
CHIARI II MALFORMATION
abnormal collagen development and ossification
COPPER BEATEN SKULL
CRANIOSYNOSTOSIS/ OBSTRUCTIVE HYDROCEPHALUS/
SOL
Gyral impressions on the inner table of the skull
BURR HOLE CRANIOTOMY
GEOGRAPHIC
/SHARP
BENIGN
PERMEATIVE / MOTH
EATEN
MALIGNANT
 Findings
 Xray views for mandible
 Mandibular lytic lesions
 AP and lateral radiographs of the skull show a well defined lytic lesion involving
the left ramus of the mandible causing scalloping of the medial margin with
associated soft tissue swelling.
MANDIBLE XRAY
 Axiolateral oblique
 The patient is seated upright
 Give true lateral position
 Slightly extend the neck
 Tilt the head towards the detector
 Central ray 25-30 degree cephalad
 The patient is stationary, while the x ray source and the film rotates.
 sitting/standing completely upright
 head immobilized and on a chin rest
 biting down on a radiolucent bite block
 tongue against the hard palate
Radioloucent mandibular lesions
Odontogenic Non-odontogenic
Well defined
margins
Ill defined margins Well defined
margins
Ill defined margins
Cysti
c
Solid Cysti
c
Solid
• Odontogenic
keratocyst
• Residual cyst
Ameloblasto
ma
Malignant
Odontogenic
tumors
• Odontogenic
carcinoma
• Stafne cyst/
static bone
cavity
• Simple bone
cyst
• Central
giant cell
granuloma
• Venous
malformation
• Langerhan
cell
histiocytosis
• Brown
tumor
 Osteomyelitis
 Osteonecrosis
 Malignant non-
odontogenic tumors
• SCC of the oral
cavity invading the
jaw
• Metastases
• Hematological
malignancy
• Sarcoma
(osteosarcoma/cho
ndrosarcoma/fibros
arcoma)
• Malignant
transformation of
intraosseous
 Infection from carious tooth spreads to the pulp of the tooth
 Formation of granuloma and abscess
 Around the crown of the unerupted tooth
 After extraction of the tooth
 Benign intraosseous tumours arising from the dental lamina.
 Like dentigerous cysts, OKCs are also often associated with unerupted or
impacted teeth. However, unlike dentigerous cysts, these cysts when large envelop
the entire tooth and not just the crown.
 Characteristic pattern of growth - expansion along the axis of the mandible with
relatively little expansion along the buccolingual axis.
MRI-
 T1WI -heterogeneous intermediate-to-high signal
 T2WI -low-to-high signal owing to keratinaceous contents within.
 Postcontrast images-Thin or thick rim enhancement .
 DWI- Diffusion restriction due to the proteinaceous contents of the cyst
(characteristically seen in OKC)
 Benign but locally aggressive odontogenic tumor
 Typical location-posterior mandible (posterior body and ramus).
 Painless swelling/incidental
 Radiolucent, unilocular or multilocular.
 Septations within the lesion -“honeycomb” or “soap bubble” appearance.
 The lesion usually shows marked buccolingual expansion with cortical
thinning/breach . There may be accompanying teeth displacement and resorption.
 Enhancement of solid component on CT and MR.
 Cystic component with low T1W and high T2W signal.
 Diffusion restriction of solid component.
 Types :
 Unicystic : No solid component
 Extra-osseous : buccal mucosa, lips, floor of mouth, tongue base
 Metastasizing
Ameloblastoma OKC
Enhancement pattern Enhancement of solid
component
Rim enhancement
Pattern of expansion Buccolingual expansion Expansion along
anteroposterior axis
Cystic component T1WI- low signal,
T2WI- High signal
T1WI- intermediate to bright
signal,
T2WI- low to high signal
Solid component- DWI Restricted diffusion
Cystic component- DWI Facilitated diffusion Restricted diffusion
 Pseudocyst
 Angle of jaw
 Aberrant submandibular gland or fat causing remodelling
 Young women
 Anterior mandible, crosses midline
 Painful swelling
 Mandible is 2nd most commonly invovled after skull
 Children
 Floating tooth sign
 Indication
 Contrast
 Technique
 Parts of male urethra
 Plain film :
 causes of stricture-
 pelvic trauma(pelvic bone fractrues)
 spinal cord injury(lumbar spine fracture)
 prostatic carcinoma mets to bones(stricture at prostatic level)
 Contrast
 Trazograf (Ditrazoate sodium 76%)
 Ionic water soluble iodinated contrast
 Dilution :
 1:2 for RGU
 1:10 for MCU
 Anterior :
 penile
 bulbar
 Posterior :
 membranous
 prostatic
 Verumontanem
 Bulbomembranous junction at the level of the inferior margin of the obturator
foramen
Frontal chest radiograph shows few ill defined patchy opacities in both the lung
fields, few of them showing cavitatory changes. TCC seen in situ.
Compared to the previous radiograph there is reduction in the number of opacities
with cavitatory changes.
 Malignancy:
 Squamous cell carcinoma of the lung
 Metastasis :
 squamous cell ca
 adenoca from GIT/breast
 sarcoma
 cervical carcinoma
 urothelial carcinoma of the bladder
 Infection :
 Septic embolism
 Pulmonary tuberculosis
 Abscess
 Post pneumonic pneumatocele
 Necrotizing pneumonia
 Autoimmune :
 Wegeners granulomatosis
 Rheumatoid nodules
 Bacteremia
 Fever
 Dyspnea
 Chest pain
 Cough
 Source :
 Right sided infective endocarditis
 Infected DVT
 Infected catheters
 Infection anywhere in the body
 Drug abusers
 Immunological deficiencies
 Distribution :
 Peripheral
 Lower lobe predominance
 Multiple
 Bilateral
 Varying stages of cavitation
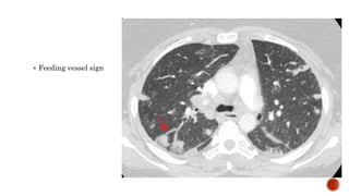
 Feeding vessel sign
 Complications :
 Empyema
 Pneumothorax
 Radiographic views for ankle joint
 Lytic lesions of calcaneum
 Leave alone/ Do not touch lesions
 INDICATION
 Ankle farcture/dislocation
 Talus involvement
 Osteoarthritis ankle
•The leg must be rotated internally 15° to 20°, thus aligning the
intermalleolar line parallel to the detector. This usually results in the
5th toe being directly in line with the center of the calcaneum
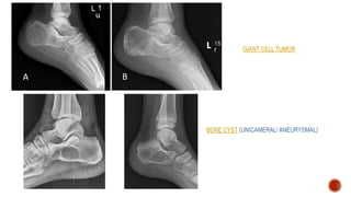
•To differentiate from AP – the tibia , fibula , talus overlap is gone
BIG G
• B: BONE CYST
• I: INTRAOSSEOUS LIPOMA
• G: GANGLION(INTRAOSSEOUS)
• G: GIANT CELL TUMOR
GIANT CELL TUMOR
BONE CYST (UNICAMERAL/ ANEURYSMAL)
•INTRAOSSEOUS LIPOMA
•COCKADE SIGN – LYTIC LESION WITH CENTRAL CALCIFIC
 So characteristic radiographically, that further
diagnostic tests such as a biopsy are
unnecessary and can be frankly misleading
and lead to additional unnecessary surgery.
 Thus a radiologic diagnosis should be made
without a list of differential possibilities.
• non-ossifying fibroma
• bone island (enostoses)
• unicameral bone cysts
• bone infarction
• pseudotumor of the calcaneus
• osteopoikilosis
• fibrous dysplasia
• vertebral hemangioma
 Progressive cystic swelling of muscle / bone due to repeated bleeding
 Xray - well-defined, unilocular or multiloculated, lytic, expansile lesions
 MRI- hypointense rim on both T1 and T2-weighted images consists of fibrous tissue that contains
hemosiderin.
 Treatment - low-dose radiotherapy, percutaneous curettage, surgical resection, or filling with bone
graft or other compounds
 Radiographic view for
acetabulum
 Zones of transition
 Tumors crossing joint space
Rotated 450 anterior
Iliac oblique
 ilioischial line of the posterior column
 the posterior column
 the roof of the acetabulum
 Iliac crest.
Obturator oblique
 iliopectineal line of the anterior column
 the anterior column
 the posterior acetabular wall
 obturator foramen
NARROW - BENIGN WIDE - MALIGNANT
 Plasmacytoma
 Chodrosarcoma
 Metastasis
 Osteosarcoma
 Ewings sarcoma
 Chondrosarcoma
 ABC
 Plasmacytoma
 Metastasis
 Diagnosis
 Causes of retrocardiac air-fluid levels
 Frontal chest radiograph shows an air fluid level in the right paracardiac region.
The nasogastric tube is seen passing through it.
 The fundic bubble is not seen.
 There is obliteration of both the costophrenic angles
 Operative history :
 Gastric pull up
 Colonic transposition
 No operative history :
 Achalasia
 Esophageal carcinoma
 Hernia
 Loculated hydropneumothorax
 Lung abscess
 Describe the findings
 Differentials
 Neurogenic bladder
 Scout film shows enlarged renal shadows
 Full bladder image shows a well distended urinary bladder with multiple broad
based diverticulae and wall irregularities.
 On straining there is no vesicoureteric reflux.
 Trauma
 Multiple sclerosis
 Parkinson disease
 Cauda equina syndrome
 Neuritis
 Sensory : Inability to sense bladder fullness results in a large rounded and smooth
bladder. Voiding is often preserved.
 Motor : Atonic large bladder with the inability of detrusor contraction during
voiding.
 Reflex/uninhibited : Lesions above S2 level (Christmas tree/pine cone appearance)
 Self catheterization
 Prevent complications
 Bladder training
 Cystoplasty
 Neuromodulation
 Non-neurogenic neurogenic bladder
 Neuropsychological entity
 Associated with voiding dysfunction, UTI, incontinence.
 The latter can exacerbate the former leading to a vicious cycle
 large bladder capacity
 reduced sensation
 increased maximal urethral closure pressure
 detrusor underactivity.
 Several hypotheses:
 hormonal changes (PCOS)
 abnormal stabilization of the muscle membrane
 primary failure of relaxation of the striated muscle of the urethra sphincter
 increased urethral afferent activity, inhibiting the bladder afferent signals from reaching the
brain by potentiating a spinal mechanism of urinary continence.
 Complications of osteochondroma
 Signs of malignant transformation
 Role of MRI in osteochondroma
 Metaphyseal
 Grows away from joint
 Cortex and marrow is continuous with the parent bone
Hereditary multiple exostoses together with enchondromatosis -
METACHONDROMATOSIS.
Dysplasia epiphysealis hemimelica
TREVOR DISEASE
Osteochondromas arising from the epiphyses
 Sarcomatous transformation - mnemonic GLAD PAST 1:
• growth after skeletal maturity
• lucency (new)
• additional scintigraphic activity
• destruction (cortical)
• pain after puberty
• and
• soft tissue mass
• thickened cartilage cap greater than 1.5 cm
 To assess the cartilage thickness
 Assess for malignant transformation
 The cartilage cap of osteochondromas appears the same as cartilage elsewhere, with intermediate to low
signal on T1 and high signal on T2 weighted images.
 cartilage cap of over 1.5 cm in thickness after skeletal maturity is suspicious for malignant degeneration
• impingement upon nearby structures
• nerve compression (up to 25%)
• vascular compression
• reactive myositis
• bursal formation and bursitis
• osteoarthritis from secondary joint deformity
• fracture post-trauma: most commonly through the neck of pedunculated lesions
Xray TF July 2023 final.pptx
Xray TF July 2023 final.pptx

Xray TF July 2023 final.pptx

  • 1.
    Mentor - DrSunita Kale (PROF) - Sumeet (SR) - Chandranshu (JRII) / Ajith (JRII) DEPARTMENT OF RADIOLOGY
  • 4.
    Xray views forparanasal sinuses Differentials of paranasal sinus opacification Age of pneumatization of the sinuses Role of radiology in management of JNAF
  • 5.
     Orbito-meatal line– 370 to film  Best – Maxillary sinus  Modified water – open mouth
  • 6.
     Orbito-meatal line– 150 with horizontal  Best – Frontal sinus
  • 7.
     Sagittal planeparallel to the film  To see anterior and posterior extent of sinuses  Air fluid levels well appreciated.
  • 8.
     Neck ishyperextended until the infraorbitomeatal line (IOML) is parallel with the receptor  Evaluate fractures and displacement of a fractured zygomatic arch.  Assessing potential pathology from trauma or disease progression to the basal skull structures , including the foramen ovale, foramen spinosum and sphenoid sinuses.
  • 9.
    Acute / ChronicSinusitis Choanal polyp Sinonasal polyposis Silent sinus syndrome Mucocele Neoplastic Fungal sinusitis Dentigerous cyst Ameloblastoma
  • 10.
     The silentsinus syndrome represents maxillary sinus atelectasis that results in painless enophthalmos, hypoglobus and facial asymmetry  The sinus is fully formed but fully opacified and reduced in volume with inward bowing of all four walls
  • 11.
     Complete opacificationof one or more paranasal sinuses by mucus, often associated with bony expansion due to obstruction of the nasal sinus drainage.  Most common – Frontal sinus  Associations • cystic fibrosis: particularly if occurring in children • paranasal sinus fibrous dysplasia: especially in frontal sinus
  • 13.
     Benign ,locally aggressive tumor  Origin – Spenopalatine foramen  C/f – painless progressive unilateral nasal obstruction , epistaxis  CT – Heterodense mass with avid enhancement , widening of pterygopalatine fossa, bowing of posterior wall of maxillary sinus (Holman Miller sign), bony erosion  Main blood supply – Internal maxillary artery, branch of ECA , others – ascending pharyngeal , palatine  Treatment – Preop Embolization – Surgical resection
  • 18.
    6 D’s ofneuropathic joint Phases of neuropathic joint Causes of neuropathic joint
  • 19.
    DISTINCT LACK OFSUBJECTIVE / OBJECTIVE PAIN DESPITE JOINT SWELLING / INSTABILITY / CREPITATIONS Bone and joint changes that occur secondary to loss of sensation AKA CHARCOT JOINT NEUROPATHIC JOINT
  • 20.
    DISTENDED JOINT -early due to effusion DENSITY INCREASE – subchondral sclerosis DEBRIS PRODUCTION – intra-articular bony fragments DISLOCATION – malalignment of joint surface DISORGANISATION – bag of bones (joint components disrupted) DESTRUCTION – loss of bone substance
  • 21.
  • 22.
    6 d’s hypertrophic phaseAtrophic phase LICKED CANDY STICK APPEARANCE WEIGHT BEARING JOINTS NON WEIGHT BEARING JOINTS LUMBAR SPINE HIP JOINT KNEES ANKLE SHOULDER HIP JOINT FOOT
  • 23.
    TUMBLING BUILDING BLOCKSPINE JIGSAW VERTEBRA LICKED CANDY STICK APP
  • 24.
    congenital acquired iatrogenic Congenitalindifferencetopain Spinabifidavera dysautonomia Diabetes mellitus (mc) Leprosy Charcotmarietooth Neurosyphilis Trauma Tumor alcoholism Steroids Indomethacin phenylbutazone
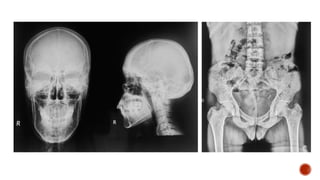
  • 30.
  • 31.
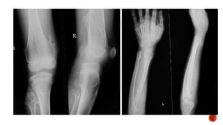
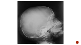
     AP andlateral radiographs of the skull show multiple tiny lucent areas with areas of sclerosis in between, giving rise to salt and pepper skull appearance.  Radiographs of both the legs, knees and left humerus show diffuse osteoporosis with few well defined lytic areas.  Radiograph of the hand shows osteoporosis with coarse trabeculations of the phalanges with mild erosions along tteh radial aspect.
  • 32.
    HYPERPARATHYROIDISM  Primary :Hyperproduction of PTH due to adenoma/hyperplasia/carcinoma  Secondary : Feedback response to hypocalcemia (renal osteodystrophy)  Tertiary : Autonomous parathyroid adenoma
  • 34.
    FINDINGS  Osteopenia  Subperiostealresorption: classically along radial aspects of phalanges  Floating tooth  Subchondral resorption (lateral end of clavicles, pubic symphysis, sacroiliac joints)  Subligamentous resorption(ischial tuberosity, trochanters)  Brown tumors(more common in primary)  Salt and pepper skull  Rugger jersey spine
  • 35.
     Secondary andtertiary hyperparathyroidism may be associated with osteosclerosis of renal osteodystrophy and osteomalacia of vitamin D deficiency  Superior and inferior rib notching may be seen
  • 36.
  • 37.
  • 38.
  • 39.
  • 40.
  • 45.
    Benign •Hemangioma •AV malformation •Lipoma •Fibroma oftendon sheath •Tendon sheath GCT Malignant •Sarcoma •Squamous cell Ca
  • 46.
     Most commonsoft tissue tumor  On USG , it appears as echogenic (isoechoic to fat and echogenic to muscle) well-defined lesion with echogenic capsule  On MRI, lipoma shows a similar signal to fat on all sequences
  • 47.
     On ultrasound,hemangioma appears moderately well defined and hypoechoic but can be heteroechoic due to internal adipose and calcium contents. Doppler may depict prominent vascular channels with the flow.  On MRI it is intensely hyperintense on T2 and hypointense on T1. It shows homogenous enhancement. The phleboliths are seen as signal void on both T1- and T2-weighted images and may show blooming artifact on gradient echo images
  • 48.
     Color Doppleris useful to see the internal vascularity including the arterial flow in case of high flow types. MRI shows T1 hypointense and T2 hyperintense signal, signal voids (reflecting areas of high flow), and susceptibility artifacts (areas of thrombosis).  Vascular malformations can be classified as either low-flow or high-flow lesions with dynamic contrast- enhanced magnetic resonance (MR) angiography.
  • 49.
     On theUS, it appears homogenously hypoechoic and most commonly seen on flexor surface often in relation to an annular pulley.[  MR reveals a focal nodular mass adjacent to a tendon sheath with heterogeneous low to intermediate signal on all pulse sequences  Tenosynovial giant cell tumor (TSGCT) both at clinical examination and even at gross pathology looks similar to FTS. TSGCT, generally, show susceptibility artifacts on GRE images and adjacent cortical erosion on a plain radiograph; both features are absent in FTS.
  • 50.
     presents asa lobulated painless soft tissue mass immediately adjacent to tendon sheath.  Plain radiograph can show cortical erosions on the underlying bone ~ 20%. Ultrasound shows homogenous hypoechoic lesion with internal vascularity.  On MR, it shows T1 low- and T2 low-to-intermediate signal. It shows intense contrast enhancement as well.
  • 55.
    PARAVERTEBRAL SOFT TISSUEDIFFERENTIALS NEOPLASM NEUROGENI C Schwannoma Neurofibroma Paraganglioma Pheochromocytoma NON NEUROGENI C Lymphoma Metastasis Oesophageal Ca INFECTION PARASPINA L ABSCESS FOREGUT DUPLICATION CYST NEURENTERIC ESOPHAGEAL BRONCHOGENIC INFLAMMATION MEDIASTINITIS SARCOIDOSIS PSEUDOCYST OTHERS LYMPHADENOPATHY ANEURYSM EXTRAMEDULLARY HEMATOPOEISIS HEMATOMA HIATUS/ BOCHADALEK HERNIA
  • 56.
    •CML •Polycythemia Vera •Essential thrombocythemia •Myelofibrosis •HodgkinLymphoma MYELOPROLIFERATIVE DISORDERS •Sickle cell Anemia •Thalessemia •Hereditary Spherocytosis HEMOGLOBINOPATHIES
  • 57.
     MC –Diffuse visceromegaly (Hepatosplenomegaly)  MC intrathoracic – Posterior mediastinal mass  Rib expansion  Perirenal soft tissue  Presacral soft tissue mass  Epidural soft tissue mass in spinal cord or CNS
  • 58.
    General Osteoporosis Coarsened trabecular pattern Corticalthinning Widened medullary cavity Special Hair on end appearance Erlenmeyer flask deformity Paraspinal extramedullary haematopoiesis
  • 59.
    THALASSEMIA SICKLE CELLANEMIA Spine less affected Spine more affected More marrow hyperplasia Less marrow hyperplasia Skull more affected Skull less affected Infarctions less common Infarctions more common Extramedullary hematopoiesis Osteomyelitis
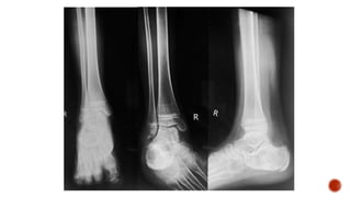
  • 63.
     Diagnosis  Footradiographic views  Radiological signs  Types of periosteal reaction
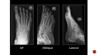
  • 64.
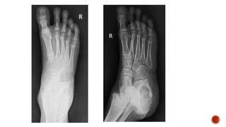
     Dorsoplantar radiographof the foot shows destruction of the head of the 5th metatarsal and the base of the proximal phalanx of the 5th toe with apparant widening of teh joint space.  There is associated minimal soft tissue swelling
  • 65.
     Foot radiograph:  Dorsoplantar: metatarsals in neutral position  Medial: DP projection with the foot angled 30-40° medially  Lateral  Weight bearing
  • 67.
     Arterial supply:  a. Infant  b.Child  c. Adult
  • 68.
     Hematogenous spread Vascular and cellular response  Marrow edema  Marrow necrosis  Endosteal penetration  Reaches subperiosteal layer  Periostitis  Cortical necrosis
  • 69.
     Sequestrum :Dead bone(cortical and medullary necrosis)  Involucrum : New bone formation  Cloaca : opening in the involucrum (decompression)  Marjoulin’s ulcer
  • 71.
     Latent period:  Extremities : 10 days  Spine : 21 days  Earliest detection : Bone scan by Tc-MDP, Ga-67  MRI : T1 hypo, T2 hyper
  • 73.
     Soft tissueswelling  Fat planes : Neoplasm vs infective  Bone : Moth eateb or permeative destruction  Periosteal reaction
  • 74.
     Pyogenic osteomyelitis: No swelling  Fungal osteomyelitis : Exuberant soft tissue swelling
  • 75.
     Draining sinus Debris  Bone : Destruction of the cortex  Involucrum  Cloaca  Sequestrum  Sclerosis  Joint: loss of joint space; healing by ankylosis
  • 77.
     physiologic periostitis,most common cause before 6 months old  Caffey disease  chronic venous insufficiency  hypertrophic osteoarthropathy  congenital syphilis  fluorosis  thyroid acropachy  hypervitaminosis A
  • 78.
     Infantile corticalhyperostosis  Type I collagenopathy  painful soft tissue swelling, erythema, fever, irritability  <5 months of age  Most common : flat bones (mandible)  Ulna among long bones
  • 79.
     Xray footviews  Types of periosteal reaction  Radiological signs of osteomyelitis
  • 84.
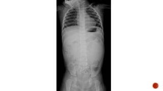
     Differentials  10%rule in wilms tumor  Causes of intra and retroperitoneal masses in children
  • 85.
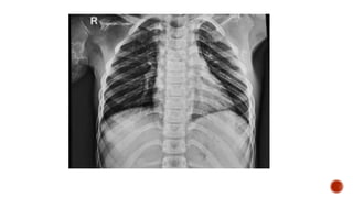
     There isfullness in the left side of the abdomen with the displacement of the bowel loops to the right  There are no calcifications  The opacity is crossing the midline  The lung fields are clear
  • 86.
     Neuroblastoma  Nephroblastoma Lymphoma  Teratoma  Rhabdomyosarcoma  Lipoma
  • 87.
     Hepatoblastoma  Hemangioendothelioma Mesenchymal hamartoma  Hepatocellular carcinoma
  • 88.
    Neuroblastoma Nephroblastoma Age <2yrs 3-4 yrs Presentatio n Painful abdominal mass Painless abdominal mass + hematuria Calcificatio n +++ + Compositio n Predominantly solid Predominantly cystic Margin Poorly circumscribed Well marginated Vessels Encases Displaces; Invades IVC Spinal canal involvemen t + - Crosses midline + - Metastasis Bone Lungs
  • 89.
     Most commonlyfrom the adrenal glands  Along the sympathetic chain  May present directly with metastasis  Raccoon eye  Opsoclonus-myoclonus syndrome  MIBG scintigraphy
  • 90.
     10% rule:  unfavourable histology  calcification  bilateral  vascular invasion  pulmonary metastasis
  • 91.
     WAGR syndrome Danny Drash syndrome  Beckwith Weidman syndrome
  • 92.
     1. Clearcell sarcoma:  Early skeletal mets  2. Renal rhabdoid tumor:  Associated with brain tumors, especially in posterior fossa  3. Pediatric RCC:  10-20yrs (RCC > Wilms in second decade)  Calcifications more common
  • 97.
     Differentials  Lyticlesions of skull in adults and children
  • 98.
  • 99.
  • 100.
    LÜCKENSCHÄDEL SKULL LACUNAR SKULL/CRANIOLACUNAE DYSPLASIA OF SKULL VAULTT- INNER TABLE>OUTER CHIARI II MALFORMATION abnormal collagen development and ossification COPPER BEATEN SKULL CRANIOSYNOSTOSIS/ OBSTRUCTIVE HYDROCEPHALUS/ SOL Gyral impressions on the inner table of the skull
  • 101.
  • 102.
  • 108.
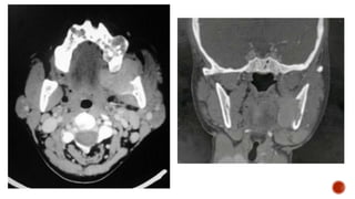
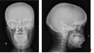
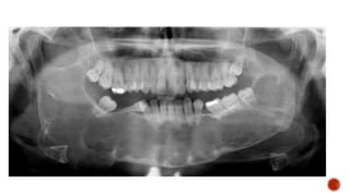
     Findings  Xrayviews for mandible  Mandibular lytic lesions
  • 109.
     AP andlateral radiographs of the skull show a well defined lytic lesion involving the left ramus of the mandible causing scalloping of the medial margin with associated soft tissue swelling.
  • 110.
    MANDIBLE XRAY  Axiolateraloblique  The patient is seated upright  Give true lateral position  Slightly extend the neck  Tilt the head towards the detector  Central ray 25-30 degree cephalad
  • 112.
     The patientis stationary, while the x ray source and the film rotates.  sitting/standing completely upright  head immobilized and on a chin rest  biting down on a radiolucent bite block  tongue against the hard palate
  • 116.
    Radioloucent mandibular lesions OdontogenicNon-odontogenic Well defined margins Ill defined margins Well defined margins Ill defined margins Cysti c Solid Cysti c Solid • Odontogenic keratocyst • Residual cyst Ameloblasto ma Malignant Odontogenic tumors • Odontogenic carcinoma • Stafne cyst/ static bone cavity • Simple bone cyst • Central giant cell granuloma • Venous malformation • Langerhan cell histiocytosis • Brown tumor  Osteomyelitis  Osteonecrosis  Malignant non- odontogenic tumors • SCC of the oral cavity invading the jaw • Metastases • Hematological malignancy • Sarcoma (osteosarcoma/cho ndrosarcoma/fibros arcoma) • Malignant transformation of intraosseous
  • 117.
     Infection fromcarious tooth spreads to the pulp of the tooth  Formation of granuloma and abscess
  • 118.
     Around thecrown of the unerupted tooth
  • 119.
  • 120.
     Benign intraosseoustumours arising from the dental lamina.  Like dentigerous cysts, OKCs are also often associated with unerupted or impacted teeth. However, unlike dentigerous cysts, these cysts when large envelop the entire tooth and not just the crown.
  • 121.
     Characteristic patternof growth - expansion along the axis of the mandible with relatively little expansion along the buccolingual axis. MRI-  T1WI -heterogeneous intermediate-to-high signal  T2WI -low-to-high signal owing to keratinaceous contents within.  Postcontrast images-Thin or thick rim enhancement .  DWI- Diffusion restriction due to the proteinaceous contents of the cyst (characteristically seen in OKC)
  • 124.
     Benign butlocally aggressive odontogenic tumor  Typical location-posterior mandible (posterior body and ramus).  Painless swelling/incidental
  • 125.
     Radiolucent, unilocularor multilocular.  Septations within the lesion -“honeycomb” or “soap bubble” appearance.  The lesion usually shows marked buccolingual expansion with cortical thinning/breach . There may be accompanying teeth displacement and resorption.  Enhancement of solid component on CT and MR.  Cystic component with low T1W and high T2W signal.  Diffusion restriction of solid component.
  • 126.
     Types : Unicystic : No solid component  Extra-osseous : buccal mucosa, lips, floor of mouth, tongue base  Metastasizing
  • 128.
    Ameloblastoma OKC Enhancement patternEnhancement of solid component Rim enhancement Pattern of expansion Buccolingual expansion Expansion along anteroposterior axis Cystic component T1WI- low signal, T2WI- High signal T1WI- intermediate to bright signal, T2WI- low to high signal Solid component- DWI Restricted diffusion Cystic component- DWI Facilitated diffusion Restricted diffusion
  • 130.
     Pseudocyst  Angleof jaw  Aberrant submandibular gland or fat causing remodelling
  • 132.
     Young women Anterior mandible, crosses midline  Painful swelling
  • 134.
     Mandible is2nd most commonly invovled after skull  Children  Floating tooth sign
  • 142.
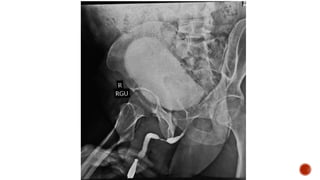
     Indication  Contrast Technique  Parts of male urethra
  • 143.
     Plain film:  causes of stricture-  pelvic trauma(pelvic bone fractrues)  spinal cord injury(lumbar spine fracture)  prostatic carcinoma mets to bones(stricture at prostatic level)
  • 144.
     Contrast  Trazograf(Ditrazoate sodium 76%)  Ionic water soluble iodinated contrast  Dilution :  1:2 for RGU  1:10 for MCU
  • 145.
     Anterior : penile  bulbar  Posterior :  membranous  prostatic
  • 147.
     Verumontanem  Bulbomembranousjunction at the level of the inferior margin of the obturator foramen
  • 153.
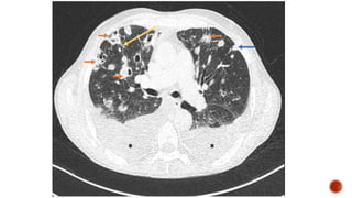
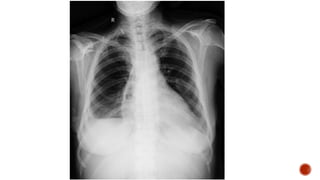
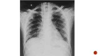
    Frontal chest radiographshows few ill defined patchy opacities in both the lung fields, few of them showing cavitatory changes. TCC seen in situ. Compared to the previous radiograph there is reduction in the number of opacities with cavitatory changes.
  • 154.
     Malignancy:  Squamouscell carcinoma of the lung  Metastasis :  squamous cell ca  adenoca from GIT/breast  sarcoma  cervical carcinoma  urothelial carcinoma of the bladder
  • 155.
     Infection : Septic embolism  Pulmonary tuberculosis  Abscess  Post pneumonic pneumatocele  Necrotizing pneumonia
  • 156.
     Autoimmune : Wegeners granulomatosis  Rheumatoid nodules
  • 157.
     Bacteremia  Fever Dyspnea  Chest pain  Cough
  • 158.
     Source : Right sided infective endocarditis  Infected DVT  Infected catheters  Infection anywhere in the body  Drug abusers  Immunological deficiencies
  • 159.
     Distribution : Peripheral  Lower lobe predominance  Multiple  Bilateral  Varying stages of cavitation
  • 161.
  • 162.
     Complications : Empyema  Pneumothorax
  • 168.
     Radiographic viewsfor ankle joint  Lytic lesions of calcaneum  Leave alone/ Do not touch lesions
  • 170.
     INDICATION  Anklefarcture/dislocation  Talus involvement  Osteoarthritis ankle •The leg must be rotated internally 15° to 20°, thus aligning the intermalleolar line parallel to the detector. This usually results in the 5th toe being directly in line with the center of the calcaneum •To differentiate from AP – the tibia , fibula , talus overlap is gone
  • 171.
    BIG G • B:BONE CYST • I: INTRAOSSEOUS LIPOMA • G: GANGLION(INTRAOSSEOUS) • G: GIANT CELL TUMOR
  • 172.
    GIANT CELL TUMOR BONECYST (UNICAMERAL/ ANEURYSMAL)
  • 173.
    •INTRAOSSEOUS LIPOMA •COCKADE SIGN– LYTIC LESION WITH CENTRAL CALCIFIC
  • 174.
     So characteristicradiographically, that further diagnostic tests such as a biopsy are unnecessary and can be frankly misleading and lead to additional unnecessary surgery.  Thus a radiologic diagnosis should be made without a list of differential possibilities. • non-ossifying fibroma • bone island (enostoses) • unicameral bone cysts • bone infarction • pseudotumor of the calcaneus • osteopoikilosis • fibrous dysplasia • vertebral hemangioma
  • 175.
     Progressive cysticswelling of muscle / bone due to repeated bleeding  Xray - well-defined, unilocular or multiloculated, lytic, expansile lesions  MRI- hypointense rim on both T1 and T2-weighted images consists of fibrous tissue that contains hemosiderin.  Treatment - low-dose radiotherapy, percutaneous curettage, surgical resection, or filling with bone graft or other compounds
  • 180.
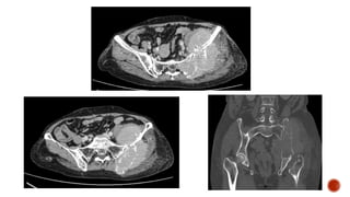
     Radiographic viewfor acetabulum  Zones of transition  Tumors crossing joint space
  • 181.
  • 182.
    Iliac oblique  ilioischialline of the posterior column  the posterior column  the roof of the acetabulum  Iliac crest. Obturator oblique  iliopectineal line of the anterior column  the anterior column  the posterior acetabular wall  obturator foramen
  • 184.
    NARROW - BENIGNWIDE - MALIGNANT
  • 185.
  • 186.
     Osteosarcoma  Ewingssarcoma  Chondrosarcoma  ABC  Plasmacytoma  Metastasis
  • 191.
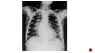
     Diagnosis  Causesof retrocardiac air-fluid levels
  • 192.
     Frontal chestradiograph shows an air fluid level in the right paracardiac region. The nasogastric tube is seen passing through it.  The fundic bubble is not seen.  There is obliteration of both the costophrenic angles
  • 193.
     Operative history:  Gastric pull up  Colonic transposition  No operative history :  Achalasia  Esophageal carcinoma  Hernia  Loculated hydropneumothorax  Lung abscess
  • 197.
     Describe thefindings  Differentials  Neurogenic bladder
  • 198.
     Scout filmshows enlarged renal shadows  Full bladder image shows a well distended urinary bladder with multiple broad based diverticulae and wall irregularities.  On straining there is no vesicoureteric reflux.
  • 200.
     Trauma  Multiplesclerosis  Parkinson disease  Cauda equina syndrome  Neuritis
  • 201.
     Sensory :Inability to sense bladder fullness results in a large rounded and smooth bladder. Voiding is often preserved.  Motor : Atonic large bladder with the inability of detrusor contraction during voiding.  Reflex/uninhibited : Lesions above S2 level (Christmas tree/pine cone appearance)
  • 203.
     Self catheterization Prevent complications  Bladder training  Cystoplasty  Neuromodulation
  • 204.
     Non-neurogenic neurogenicbladder  Neuropsychological entity  Associated with voiding dysfunction, UTI, incontinence.  The latter can exacerbate the former leading to a vicious cycle
  • 205.
     large bladdercapacity  reduced sensation  increased maximal urethral closure pressure  detrusor underactivity.  Several hypotheses:  hormonal changes (PCOS)  abnormal stabilization of the muscle membrane  primary failure of relaxation of the striated muscle of the urethra sphincter  increased urethral afferent activity, inhibiting the bladder afferent signals from reaching the brain by potentiating a spinal mechanism of urinary continence.
  • 211.
     Complications ofosteochondroma  Signs of malignant transformation  Role of MRI in osteochondroma
  • 212.
     Metaphyseal  Growsaway from joint  Cortex and marrow is continuous with the parent bone
  • 213.
    Hereditary multiple exostosestogether with enchondromatosis - METACHONDROMATOSIS. Dysplasia epiphysealis hemimelica TREVOR DISEASE Osteochondromas arising from the epiphyses
  • 214.
     Sarcomatous transformation- mnemonic GLAD PAST 1: • growth after skeletal maturity • lucency (new) • additional scintigraphic activity • destruction (cortical) • pain after puberty • and • soft tissue mass • thickened cartilage cap greater than 1.5 cm
  • 215.
     To assessthe cartilage thickness  Assess for malignant transformation  The cartilage cap of osteochondromas appears the same as cartilage elsewhere, with intermediate to low signal on T1 and high signal on T2 weighted images.  cartilage cap of over 1.5 cm in thickness after skeletal maturity is suspicious for malignant degeneration
  • 216.
    • impingement uponnearby structures • nerve compression (up to 25%) • vascular compression • reactive myositis • bursal formation and bursitis • osteoarthritis from secondary joint deformity • fracture post-trauma: most commonly through the neck of pedunculated lesions