Carcinoma - Prostate
- Dr.N.Suriyaprakash
PROSTATE CARCINOMA
• Prostate adenocarcinoma is the most
common malignancy in males.
• Affects men older than 50 years (Median
age 68 yrs)
• Second leading cause of cancer deaths in
men after lung carcinoma.
RISK FACTORS
• Genetics
• Environment
• Diet including a fatty diet
PRESENTATION
Asymptomatic
Urinary symptoms: Hesitancy, urgency,
increased frequency
Bone pain from metastases
Abnormal digital rectal exam (DRE)
US ANATOMY OF PROSTATE
LOBAR ANATOMY - anterior, posterior, lateral, and
median lobes.
ZONAL ANATOMY
• Peripheral zone
• Transition zone
• Central zone
• Anterior fibromuscular zone
Largest of the glandular zones
70% of the prostatic glandular tissue in
a young man
Site for about 70% of prostate cancers
Occupies the posterior, lateral, and apical
regions of the prostate – EGG CUP
TRANSITION ZONE
• 5% of the prostatic glandular tissue
• Two small glandular areas positioned like
saddlebags adjacent to the proximal urethral
sphincter, a muscular tube up to 2 cm in
diameter.
• Site of origin of most BPH and about 20% of
prostate cancer.
CENTRAL ZONE
• 25% of the glandular tissue
• wedge shaped at the prostate base between the
peripheral and transition zones.
• ducts of the vas deferens and seminal vesicles enter
the base of the prostate at the central zone, as
ejaculatory ducts and pass through it en route to
the seminal colliculus or verumontanum
• relatively resistant to disease processes
• In the normal young man’s gland , sonography
can rarely identify these zones separately
unless a pathologic condition is present.
• Peripheral or outer gland - Peripheral zone +
Central zone
• Inner gland - Transition zone + Anterior
fibromuscular stroma + Internal urethral
sphincter
above base at midgland level
at lower third of prostate below apex of prostate
Midsagittal view Midsagittal view at base
Parasagittal view above the prostateParasagittal view
• Prostate carcinomas arise from the peripheral
zone, followed by the transitional zone.
• They arise much less commonly from the
central zone, where tumor is usually more
difficult to detect owing to the heterogeneity
commonly seen throughout the gland in the
setting of BPH
SONOGRAPHIC EVALUATION
• Transabdominal approach
• Transvesical approach
• Transrectal approach
Prostate size, shape,
and weight.
Evaluation of
posterior prostate is
difficult
TRUS has three main roles with prostate cancer:
(1) to guide biopsy
(2) to guide therapy
(3) to measure volume
•Suitability for brachytherapy
•Calculating PSA density
•Used for staging, monitoring, and
following patients under active
surveillance.
• Appropriate history
• DRE results
• PSA results
Not all cancers produce PSA,
and that 20% to 40% of men
with clinically significant
cancer will have normal PSA
• PSA density
• Age-specific PSA
• Transition zone PSA density
• PSA velocity
• Free/total PSA ratio
• Grey scale ultrasound
• Duplex doppler
• Contrast Enhanced Ultrasound
• 3D ultrasound
• Elastography
GRAY-SCALE ULTRASOUND
• Hypoechoic
• Hyperechoic
• Isoechoic
HYPOECHOIC CANCER
Hypoechoic appearance.
Thus fewer echoes
Fewer reflecting interfaces
Packed mass of tumor cells
Replacement of normal loose glandular tissue
The classic
appearance is that
of a hypoechoic
nodule in the
peripheral zone and
abutting the capsule
50% of hypoechoic areas are cancer.
DD of hypoechoic areas seen in the prostate
Normal internal sphincter muscle
Prostatic hyperplasia
Prostatitis
Prostatic cysts
Hematoma
Benign glandular ectasia
HYPERECHOIC CANCER
• Infrequent
• Due to desmoplastic response of the surrounding
glandular tissue to the presence of the tumor or
to infiltration of neoplasm into a BPH background
with preexisting degenerative calcifications
• Cribriform pattern and comedonecrosis with focal
calcifications
• Calcifications associated with comedonecrosis
are tiny and act as crystals by being highly
echogenic, more so than dystrophic
calcifications.
• On scanning they are conspicuous and appear
to twinkle, giving a “starry sky” appearance.
ISOECHOEIC CANCER
• Do not contrast with the surrounding prostate
gland.
• Detected only if secondary signs are
appreciated - glandular asymmetry, capsular
bulging and areas of attenuation. This is often
true of transition zone cancer
Peripheral
Zone
Homogenous
texture
Easy to detect
cancer
Transition
Zone
Heterogenous
texture
Difficult to
detect cancer
Clues to transition zone cancer are the identification of a
poorly marginated hypoechoic area that appears different
from other BPH nodules and the focal loss of surgical capsule.
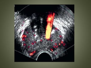
COLOR AND POWER DOPPLER IMAGING
• Detection of neovascularity associated with
cancer
• Especially attractive to find isoechoic cancer
Pitfalls
• Not all cancers are vascular.
• Capsule of the prostate is very vascular,
especially at the base and apex, and can mimic
neovascularity.
• Prostate calcifications and corpora amylacea
cause considerable Doppler artifact and may
prevent diagnostic studies
Axial view shows extensive echogenic material, both calcifications and corpora amylacea
(arrows), along the surgical capsule and peripheral zone. This has no clinical significance and
usually is not palpable. It hinders ultrasonic visibility. Doppler examination of same patient
shows the extensive Doppler noise artifact caused by the calcifications. Virtually all the visible
color is artifactual.
CONTRAST-ENHANCED ULTRASOUND
• Vascular contrast enhancement with
microbubbles allows detection of microvessels.
• Both vascular density and time to peak
enhancement have been used
Transverse directional views of the prostatic left lobe on transrectal US (white arrowD) Arterial
phase (11 sec): Enhancement started from the edge of the left lobe (red arrow). (E) Venous
phase (52 sec): Contrast agent had extended inward the left lobe and formed hyper-
enhancement zones, but had not extended into the other region. (F) Late phase (150 sec):
Contrast agent washed out slowly and had not extended inward the non-enhancement zone.
US, ultrasound.
THREE-DIMENSIONAL US SCANS
• No improvement in cancer detection
• Slight improvement in cancer staging
• Accurate volume determinations
• Precise tumor mapping before focal therapy
ELASTOGRAPHY
• Elastography creates a color-coded map of
tissue stiffness.
Prostate
tumors
Increased
cell density
Change of
tissue
elasticity
and stiffness
Detection by
strain
imaging
• Tumors tend to be stiffer than benign tissue.
• False-positive results are seen with chronic
inflammation and atrophy.
Typical hypoechoic peripheral zone lesion
Elastography of same lesion blue color in lesion, implying stiff tissue
Screening is best done with DRE and PSA. Although
TRUS is likely as sensitive as or even more sensitive
than either DRE or PSA, it is too subjective, intrusive,
and expensive to be used for screening.
Careful TRUS to detect hypoechoic nodules and
guidance of biopsy remains the cornerstone of
cancer diagnosis with ultrasound
COMPUTED TOMOGRAPHY – PROSTATE
CARCINOMA
• Evaluation of abdominal and pelvic lymph
nodes / bony anatomy- Bulky pelvic and
retroperitoneal lymph nodes can be identified.
• Guidance in planning radiation therapy.
• CT is not typically used to detect local
recurrence but can be helpful in evaluating for
new distant metastatic lymph node disease
Prostate cancer with rectal invasion
PITFALLS OF CT- PROSTATE CANCER
• CT is not very reliable in determining tumor
extension through the prostate capsule.
• CT monitoring of metastatic bony lesions is
not as sensitive as bone scan or MRI
MRI - PROSTATE
Continued clinical concern for malignancy
• Negative prostate biopsy
• Negative Transrectal US examination
• Suspicious focal nodule
MRI - PROSTATE
MRI is the workhorse of prostate imaging
because of its superior soft tissue resolution,
allowing for visualization of the zonal
anatomy.
• Diffusion-weighted imaging (DWI)
• Dynamic contrast-enhanced (DCE) imaging
• Spectroscopy
• T1-weighted images - the homogeneity of
the prostate can make tumor detection nearly
impossible
• T2-weighted images - normal peripheral zone
hyperintensity is replaced with low signal
from the dense cellularity of the tumor
MULTIPARAMETRIC EVALUATION
Abnormal
T2 signal
Diffusion
Weighted
Imaging
DCE
imaging
DIFFUSION WEIGHTED IMAGING
Increased tissue
cellularity
Tightly packed cell
membranes
Breakdown of interstitial
spaces that allow for free
water diffusion
Normal random brownian
motion of the cells protons
are inhibited
Focal areas of restricted
diffusion
Ca Prostate
 Areas of restricted diffusion appear bright on
DWI sequences and dark on corresponding
ADC maps.
 ADC map is not susceptible to T2 shine-
through artifacts like DWI sequences, therefore
allowing for more sensitive detection
Restricted diffusion in prostate cancer. ADC map
demonstrates restricted diffusion within the peripheral
zone of the right mid-gland
ADVANTAGES OF DWI
DWI T2
sequences
accuracy of
prostate cancer
detection with
85% to 90%
sensitivity and
specificity
Quantitate the amount of restricted diffusion with a
nodule, therefore allowing analysis of tissue cellularity
to attempt differentiation between benign and
malignant tissue
• Quantitative ADC measurements are being
used to predict tumor grade and
aggressiveness.
PITFALLS OF DWI
• High-intensity T1 and low-intensity T2 signal
from hemorrhage can persist for weeks to
months after biopsy.
• Transitional zone malignancies are more
difficult to identify owing to the inherent
relatively low T2 signal.
DYNAMIC CONTRAST ENHANCED MRI
• Early arterial enhancement and washout on
DCE images.
• Raw data from these dynamic sequences is
used to generate perfusion maps in which the
prostate can be evaluated for focal areas of
altered wash-in/washout kinetics and capillary
permeability
• average enhancement and
washout throughout the
gland, typical of normal
prostate tissue
type 1
curve
• early and intense enhancement
followed by slow washout, a
pattern that can be seen in BPH,
prostatitis, and multifocal low-
grade tumor
type 2
curve
• is characterized by early and
intense contrast enhancement
followed by rapid washout, a
feature of high-grade tumors
type 3
curve
MR - SPECTROSCOPY
• Unique application of MRI that allows for the
relative quantification of tissue metabolites
within a preselected voxel of interest
• Choline (Cho), Creatine (Cr), and Citrate (Cit)
are the main metabolites measured with
proton spectroscopy in the prostate.
• Cho - phospholipid cell membrane component
that is increased in high turnover states.
Normal peak at 3.2ppm
• Cit - biochemical molecule produced by
normal prostate tissue. Normal peak at
2.6ppm
• Cr is involved in energy metabolism. Normal
peak at 3ppm.
USES OF MRS
• Tumor staging
• Determining tumor aggressiveness
• Evaluation of post-treatment recurrence
• Helpful for distinguishing prostate
adenocarcinoma from benign entities
ENDORECTAL COIL - MRI
• The endorectal coil should be placed with the
blue line oriented anteriorly and fixed in
position with balloon inflation.
• Scout localizer images are obtained in the axial
and sagittal planes, and reviewed to ensure
optimal positioning of the coil
On axial localizer images, the “ears” should be
symmetrically positioned at the 10:00 and
2:00 positions such that signal from the coil is
directly anteriorly
On sagittal localizer
images, the coil should
be positioned to cover
the prostate base
superiorly and apex
inferiorly.
CRITERIA FOR EXTRACAPSULAR SPREAD
• Direct visualization of tumor extension
• Asymmetry or envelopment of the
neurovascular bundle
• Angulated prostate contour
• Irregular or spiculated prostate margin
• Retracted capsule
• Obliteration of the rectoprostate angle.
SEMINAL VESICLE INVASION
• Loss or disruption of the normal seminal vesicle
architecture
• Replacement of the T2-hyperintense seminal vesicle
with hypointense tumor
• Obliteration of the normal prostate–seminal vesicle
angle
DIFFERENTIAL DIAGNOSES
• Benign prostatic hypertrophy (BPH)
• Bladder carcinoma
• Prostatitis
STAGING OF CARCINOMA PROSTATE
TUMOR
STAGE
FEATURE
T0 No evidence of tumor
T1 Clinically inapparent
T1a Incidental finding in < 5% of tissue resected
T1b Incidental finding in > 5% of tissue resected
T1c Identified by needle biopsy
T2 Confined to prostate
T2a <1/2 of 1 lobe
T2b > 1/2 of 1 lobe
T2c Both lobes
TUMOR
STAGE
FEATURE
T3 Extension beyond prostate capsule
T3a Unilateral or bilateral extracapsular extension
T3b Invasion of seminal vesicle
T4 Invasion of adjacent structures
– Bladder, rectum, levator ani, pelvic sidewall
N (Node)
○ N0: No regional lymph node metastasis
○ N1: Metastasis in regional lymph node
– Regional lymph nodes: Hypogastric,
obturator, iliac, sacral
• Nodal disease is classified as local lymph node
involvement within the true pelvis.
• Metastatic lymph node disease is classified as lymph
node involvement outside the true pelvis.
• Node-positive imaging findings are typically lymph
nodes measuring greater than 10 mm in short-axis
diameter or obturator/internal iliac nodes measuring
greater than 8 mm in short axis
M (Metastasis)
○ M0: No distant metastasis
○ M1: Distant metastasis
– M1a: Non regional lymph node
– M1b: Bone
– M1c: Other site
AJCC STAGING
PROTOCOL ADVICE
– High-resolution T2WI +
□ DWI
□ Dynamic contrast-enhanced MR (DCE-MR)
□ MR spectroscopy (MRS [optional])
– Pelvic phased array coil + endorectal coil
– 1.5T-3.0T MRI
– > 6 weeks post biopsy
TREATMENT
○ Surgery
– Low- and intermediate-risk localized PC
– Radical prostatectomy +/- pelvic lymphadenectomy
○ Radiation therapy
– High-risk locally advanced PC
– External beam radiotherapy / brachytherapy
○ Cryotherapy / high intensity focused ultrasound
(HIFU)
○ Hormonal therapy / chemotherapy (advanced
disease)
Most important factor affecting choice of treatment is
presence or absence of ECE
PI-RADS
• Prostate Imaging Reporting and Data System
refers to a structured reporting scheme for
evaluating the prostate for prostate cancer.
• The score is assessed on prostate MRI.
• Images are obtained using a multiparametric
technique including T2 weighted images,
a dynamic contrast study (DCE), and DWI
• The scale is based on a score from 1 to 5
(which is given for each lesion), with 1 being
most probably benign and 5 being highly
suspicious of malignancy
PI-RADS 1: very low (clinically significant cancer is highly unlikely to be present)
PI-RADS 2: low (clinically significant cancer is unlikely to be present)
PI-RADS 3: intermediate (the presence of clinically significant cancer is
equivocal)
PI-RADS 4: high (clinically significant cancer is likely to be present)
PI-RADS 5: very high (clinically significant cancer is highly likely to be present)
Prostate carcinoma

Prostate carcinoma

  • 1.
    Carcinoma - Prostate -Dr.N.Suriyaprakash
  • 2.
    PROSTATE CARCINOMA • Prostateadenocarcinoma is the most common malignancy in males. • Affects men older than 50 years (Median age 68 yrs) • Second leading cause of cancer deaths in men after lung carcinoma.
  • 3.
    RISK FACTORS • Genetics •Environment • Diet including a fatty diet
  • 4.
    PRESENTATION Asymptomatic Urinary symptoms: Hesitancy,urgency, increased frequency Bone pain from metastases Abnormal digital rectal exam (DRE)
  • 5.
    US ANATOMY OFPROSTATE LOBAR ANATOMY - anterior, posterior, lateral, and median lobes. ZONAL ANATOMY • Peripheral zone • Transition zone • Central zone • Anterior fibromuscular zone Largest of the glandular zones 70% of the prostatic glandular tissue in a young man Site for about 70% of prostate cancers Occupies the posterior, lateral, and apical regions of the prostate – EGG CUP
  • 6.
    TRANSITION ZONE • 5%of the prostatic glandular tissue • Two small glandular areas positioned like saddlebags adjacent to the proximal urethral sphincter, a muscular tube up to 2 cm in diameter. • Site of origin of most BPH and about 20% of prostate cancer.
  • 7.
    CENTRAL ZONE • 25%of the glandular tissue • wedge shaped at the prostate base between the peripheral and transition zones. • ducts of the vas deferens and seminal vesicles enter the base of the prostate at the central zone, as ejaculatory ducts and pass through it en route to the seminal colliculus or verumontanum • relatively resistant to disease processes
  • 9.
    • In thenormal young man’s gland , sonography can rarely identify these zones separately unless a pathologic condition is present. • Peripheral or outer gland - Peripheral zone + Central zone • Inner gland - Transition zone + Anterior fibromuscular stroma + Internal urethral sphincter
  • 10.
    above base atmidgland level at lower third of prostate below apex of prostate
  • 11.
    Midsagittal view Midsagittalview at base Parasagittal view above the prostateParasagittal view
  • 13.
    • Prostate carcinomasarise from the peripheral zone, followed by the transitional zone. • They arise much less commonly from the central zone, where tumor is usually more difficult to detect owing to the heterogeneity commonly seen throughout the gland in the setting of BPH
  • 14.
    SONOGRAPHIC EVALUATION • Transabdominalapproach • Transvesical approach • Transrectal approach Prostate size, shape, and weight. Evaluation of posterior prostate is difficult
  • 15.
    TRUS has threemain roles with prostate cancer: (1) to guide biopsy (2) to guide therapy (3) to measure volume •Suitability for brachytherapy •Calculating PSA density •Used for staging, monitoring, and following patients under active surveillance.
  • 16.
    • Appropriate history •DRE results • PSA results Not all cancers produce PSA, and that 20% to 40% of men with clinically significant cancer will have normal PSA • PSA density • Age-specific PSA • Transition zone PSA density • PSA velocity • Free/total PSA ratio
  • 17.
    • Grey scaleultrasound • Duplex doppler • Contrast Enhanced Ultrasound • 3D ultrasound • Elastography
  • 18.
  • 19.
    HYPOECHOIC CANCER Hypoechoic appearance. Thusfewer echoes Fewer reflecting interfaces Packed mass of tumor cells Replacement of normal loose glandular tissue
  • 20.
    The classic appearance isthat of a hypoechoic nodule in the peripheral zone and abutting the capsule
  • 22.
    50% of hypoechoicareas are cancer. DD of hypoechoic areas seen in the prostate Normal internal sphincter muscle Prostatic hyperplasia Prostatitis Prostatic cysts Hematoma Benign glandular ectasia
  • 23.
    HYPERECHOIC CANCER • Infrequent •Due to desmoplastic response of the surrounding glandular tissue to the presence of the tumor or to infiltration of neoplasm into a BPH background with preexisting degenerative calcifications • Cribriform pattern and comedonecrosis with focal calcifications
  • 24.
    • Calcifications associatedwith comedonecrosis are tiny and act as crystals by being highly echogenic, more so than dystrophic calcifications. • On scanning they are conspicuous and appear to twinkle, giving a “starry sky” appearance.
  • 26.
    ISOECHOEIC CANCER • Donot contrast with the surrounding prostate gland. • Detected only if secondary signs are appreciated - glandular asymmetry, capsular bulging and areas of attenuation. This is often true of transition zone cancer
  • 29.
    Peripheral Zone Homogenous texture Easy to detect cancer Transition Zone Heterogenous texture Difficultto detect cancer Clues to transition zone cancer are the identification of a poorly marginated hypoechoic area that appears different from other BPH nodules and the focal loss of surgical capsule.
  • 30.
    COLOR AND POWERDOPPLER IMAGING • Detection of neovascularity associated with cancer • Especially attractive to find isoechoic cancer
  • 32.
    Pitfalls • Not allcancers are vascular. • Capsule of the prostate is very vascular, especially at the base and apex, and can mimic neovascularity. • Prostate calcifications and corpora amylacea cause considerable Doppler artifact and may prevent diagnostic studies
  • 33.
    Axial view showsextensive echogenic material, both calcifications and corpora amylacea (arrows), along the surgical capsule and peripheral zone. This has no clinical significance and usually is not palpable. It hinders ultrasonic visibility. Doppler examination of same patient shows the extensive Doppler noise artifact caused by the calcifications. Virtually all the visible color is artifactual.
  • 34.
    CONTRAST-ENHANCED ULTRASOUND • Vascularcontrast enhancement with microbubbles allows detection of microvessels. • Both vascular density and time to peak enhancement have been used
  • 35.
    Transverse directional viewsof the prostatic left lobe on transrectal US (white arrowD) Arterial phase (11 sec): Enhancement started from the edge of the left lobe (red arrow). (E) Venous phase (52 sec): Contrast agent had extended inward the left lobe and formed hyper- enhancement zones, but had not extended into the other region. (F) Late phase (150 sec): Contrast agent washed out slowly and had not extended inward the non-enhancement zone. US, ultrasound.
  • 36.
    THREE-DIMENSIONAL US SCANS •No improvement in cancer detection • Slight improvement in cancer staging • Accurate volume determinations • Precise tumor mapping before focal therapy
  • 37.
    ELASTOGRAPHY • Elastography createsa color-coded map of tissue stiffness. Prostate tumors Increased cell density Change of tissue elasticity and stiffness Detection by strain imaging
  • 38.
    • Tumors tendto be stiffer than benign tissue. • False-positive results are seen with chronic inflammation and atrophy.
  • 39.
    Typical hypoechoic peripheralzone lesion Elastography of same lesion blue color in lesion, implying stiff tissue
  • 40.
    Screening is bestdone with DRE and PSA. Although TRUS is likely as sensitive as or even more sensitive than either DRE or PSA, it is too subjective, intrusive, and expensive to be used for screening.
  • 41.
    Careful TRUS todetect hypoechoic nodules and guidance of biopsy remains the cornerstone of cancer diagnosis with ultrasound
  • 42.
    COMPUTED TOMOGRAPHY –PROSTATE CARCINOMA • Evaluation of abdominal and pelvic lymph nodes / bony anatomy- Bulky pelvic and retroperitoneal lymph nodes can be identified. • Guidance in planning radiation therapy. • CT is not typically used to detect local recurrence but can be helpful in evaluating for new distant metastatic lymph node disease
  • 43.
    Prostate cancer withrectal invasion
  • 44.
    PITFALLS OF CT-PROSTATE CANCER • CT is not very reliable in determining tumor extension through the prostate capsule. • CT monitoring of metastatic bony lesions is not as sensitive as bone scan or MRI
  • 45.
    MRI - PROSTATE Continuedclinical concern for malignancy • Negative prostate biopsy • Negative Transrectal US examination • Suspicious focal nodule
  • 46.
    MRI - PROSTATE MRIis the workhorse of prostate imaging because of its superior soft tissue resolution, allowing for visualization of the zonal anatomy. • Diffusion-weighted imaging (DWI) • Dynamic contrast-enhanced (DCE) imaging • Spectroscopy
  • 47.
    • T1-weighted images- the homogeneity of the prostate can make tumor detection nearly impossible • T2-weighted images - normal peripheral zone hyperintensity is replaced with low signal from the dense cellularity of the tumor
  • 49.
  • 50.
    DIFFUSION WEIGHTED IMAGING Increasedtissue cellularity Tightly packed cell membranes Breakdown of interstitial spaces that allow for free water diffusion Normal random brownian motion of the cells protons are inhibited Focal areas of restricted diffusion Ca Prostate
  • 51.
     Areas ofrestricted diffusion appear bright on DWI sequences and dark on corresponding ADC maps.  ADC map is not susceptible to T2 shine- through artifacts like DWI sequences, therefore allowing for more sensitive detection
  • 52.
    Restricted diffusion inprostate cancer. ADC map demonstrates restricted diffusion within the peripheral zone of the right mid-gland
  • 53.
    ADVANTAGES OF DWI DWIT2 sequences accuracy of prostate cancer detection with 85% to 90% sensitivity and specificity Quantitate the amount of restricted diffusion with a nodule, therefore allowing analysis of tissue cellularity to attempt differentiation between benign and malignant tissue
  • 54.
    • Quantitative ADCmeasurements are being used to predict tumor grade and aggressiveness.
  • 55.
    PITFALLS OF DWI •High-intensity T1 and low-intensity T2 signal from hemorrhage can persist for weeks to months after biopsy. • Transitional zone malignancies are more difficult to identify owing to the inherent relatively low T2 signal.
  • 56.
    DYNAMIC CONTRAST ENHANCEDMRI • Early arterial enhancement and washout on DCE images. • Raw data from these dynamic sequences is used to generate perfusion maps in which the prostate can be evaluated for focal areas of altered wash-in/washout kinetics and capillary permeability
  • 57.
    • average enhancementand washout throughout the gland, typical of normal prostate tissue type 1 curve • early and intense enhancement followed by slow washout, a pattern that can be seen in BPH, prostatitis, and multifocal low- grade tumor type 2 curve • is characterized by early and intense contrast enhancement followed by rapid washout, a feature of high-grade tumors type 3 curve
  • 59.
    MR - SPECTROSCOPY •Unique application of MRI that allows for the relative quantification of tissue metabolites within a preselected voxel of interest • Choline (Cho), Creatine (Cr), and Citrate (Cit) are the main metabolites measured with proton spectroscopy in the prostate.
  • 60.
    • Cho -phospholipid cell membrane component that is increased in high turnover states. Normal peak at 3.2ppm • Cit - biochemical molecule produced by normal prostate tissue. Normal peak at 2.6ppm • Cr is involved in energy metabolism. Normal peak at 3ppm.
  • 64.
    USES OF MRS •Tumor staging • Determining tumor aggressiveness • Evaluation of post-treatment recurrence • Helpful for distinguishing prostate adenocarcinoma from benign entities
  • 66.
    ENDORECTAL COIL -MRI • The endorectal coil should be placed with the blue line oriented anteriorly and fixed in position with balloon inflation. • Scout localizer images are obtained in the axial and sagittal planes, and reviewed to ensure optimal positioning of the coil
  • 67.
    On axial localizerimages, the “ears” should be symmetrically positioned at the 10:00 and 2:00 positions such that signal from the coil is directly anteriorly
  • 68.
    On sagittal localizer images,the coil should be positioned to cover the prostate base superiorly and apex inferiorly.
  • 69.
    CRITERIA FOR EXTRACAPSULARSPREAD • Direct visualization of tumor extension • Asymmetry or envelopment of the neurovascular bundle • Angulated prostate contour • Irregular or spiculated prostate margin • Retracted capsule • Obliteration of the rectoprostate angle.
  • 71.
    SEMINAL VESICLE INVASION •Loss or disruption of the normal seminal vesicle architecture • Replacement of the T2-hyperintense seminal vesicle with hypointense tumor • Obliteration of the normal prostate–seminal vesicle angle
  • 73.
    DIFFERENTIAL DIAGNOSES • Benignprostatic hypertrophy (BPH) • Bladder carcinoma • Prostatitis
  • 74.
    STAGING OF CARCINOMAPROSTATE TUMOR STAGE FEATURE T0 No evidence of tumor T1 Clinically inapparent T1a Incidental finding in < 5% of tissue resected T1b Incidental finding in > 5% of tissue resected T1c Identified by needle biopsy T2 Confined to prostate T2a <1/2 of 1 lobe T2b > 1/2 of 1 lobe T2c Both lobes
  • 75.
    TUMOR STAGE FEATURE T3 Extension beyondprostate capsule T3a Unilateral or bilateral extracapsular extension T3b Invasion of seminal vesicle T4 Invasion of adjacent structures – Bladder, rectum, levator ani, pelvic sidewall
  • 76.
    N (Node) ○ N0:No regional lymph node metastasis ○ N1: Metastasis in regional lymph node – Regional lymph nodes: Hypogastric, obturator, iliac, sacral
  • 77.
    • Nodal diseaseis classified as local lymph node involvement within the true pelvis. • Metastatic lymph node disease is classified as lymph node involvement outside the true pelvis. • Node-positive imaging findings are typically lymph nodes measuring greater than 10 mm in short-axis diameter or obturator/internal iliac nodes measuring greater than 8 mm in short axis
  • 78.
    M (Metastasis) ○ M0:No distant metastasis ○ M1: Distant metastasis – M1a: Non regional lymph node – M1b: Bone – M1c: Other site
  • 80.
  • 81.
    PROTOCOL ADVICE – High-resolutionT2WI + □ DWI □ Dynamic contrast-enhanced MR (DCE-MR) □ MR spectroscopy (MRS [optional]) – Pelvic phased array coil + endorectal coil – 1.5T-3.0T MRI – > 6 weeks post biopsy
  • 82.
    TREATMENT ○ Surgery – Low-and intermediate-risk localized PC – Radical prostatectomy +/- pelvic lymphadenectomy ○ Radiation therapy – High-risk locally advanced PC – External beam radiotherapy / brachytherapy ○ Cryotherapy / high intensity focused ultrasound (HIFU) ○ Hormonal therapy / chemotherapy (advanced disease) Most important factor affecting choice of treatment is presence or absence of ECE
  • 83.
    PI-RADS • Prostate ImagingReporting and Data System refers to a structured reporting scheme for evaluating the prostate for prostate cancer. • The score is assessed on prostate MRI. • Images are obtained using a multiparametric technique including T2 weighted images, a dynamic contrast study (DCE), and DWI
  • 84.
    • The scaleis based on a score from 1 to 5 (which is given for each lesion), with 1 being most probably benign and 5 being highly suspicious of malignancy PI-RADS 1: very low (clinically significant cancer is highly unlikely to be present) PI-RADS 2: low (clinically significant cancer is unlikely to be present) PI-RADS 3: intermediate (the presence of clinically significant cancer is equivocal) PI-RADS 4: high (clinically significant cancer is likely to be present) PI-RADS 5: very high (clinically significant cancer is highly likely to be present)