Imaging of Urinary bladder
pathology
Dr. Pradeep Kumar
MD Radiodiagnosis
Introduction
• Fourth most common malignancy in men.
• Tenth most common in female
• Occur 3- 4 times more frequently in male.
• Upto 47% of cancer related death can be avoided so early diagnosis is
important
• Survival of the patients with bladder cancer is longer than those with
most other cancers.
Pathologic features
• About 90% of bladder tumors are urothelial in origin (ie, transitional
cell carcinomas).
• Squamous cell carcinomas account for 6%–8%
• Adenocarcinomas are rare and typically represent urachal cancer.
• Up to 25% of urothelial cancers have a mixed histology.
Risk factors
• Cigarette smoking in 50%–60% of men and one-third of women.
• occupational exposure to chemical carcinogens such as aniline dyes
• therapeutic irradiation of neighboring organs
• use of alkylating agents although it is rare.
• genetic predisposition to the development of urothelial tumors in some
families.
• Risk factors for squamous cell cancer include long-term catheterization,
nonfunctioning bladder, urinary tract calculi, and chronic infection by
Schistosoma hematobium
Pathologic features
• Urothelial tumors are classified
not invading muscle (superficial or papillary).
Approximately 80%–85% of urothelial tumors
invading muscle (nonpapillary)
Approximately 20%–25% of bladder cancers are muscle invasive
and includes squamous and adenocarcinoma.
Clinical staging
• most commonly present with painless hematuria (80%–90% of cases).
• CT/ Cystoscopy
Some institutions perform computed tomographic (CT) urography for triage
prior to cystoscopy, whereas others use cystoscopy as the first line of
investigation.
• Magnetic resonance (MR) imaging of the pelvis is usually performed
for T (tumor) staging once bladder cancer has been diagnosed.
TNM Staging
Tumor
• Tx Primary tumor cannot be evaluated
• T0 No primary tumor
• Ta Noninvasive papillary carcinoma
• Tis Carcinoma in situ
• T1 Tumor invades connective tissue under the epithelium (surface layer)
• T2 Tumor invades muscle
• T2a Superficial muscle affected (inner half)
• T2b Deep muscle affected (outer half)
• T3 Tumor invades perivesical fat
• T3a Tumor is detected microscopically
• T3b Extravesical tumor is visible macroscopically
• T4 Tumor invades the prostate gland, uterus, vagina, pelvic wall, or abdominal wall
•
N – Regional Lymph Nodes
• NX: Regional lymph nodes cannot be
assessed
• N0:No regional lymph node metastasis
• N1:Metastasis in a single lymph node
in the true pelvis (hypogastric,
obturator, external iliac, or presacral)
• N2:Metastasis in multiple regional
lymph nodes in the true pelvis
(hypogastric, obturator, external iliac,
or presacral)
• N3: Metastasis in a common iliac
lymph node(s)
M- Metastasis
• M0: No distant metastasis
• M1a: Non regional lymph nodes
• M1b: Other distant metastasis
Imaging Consideration
USG
• Superficial bladder tumors may
be seen as mass lesions of
intermediate echogenicity .
• May be sessile or papillary, the
latter being easier to detect,
sometimes down to 2-3 mm
diameter.
• Tumor may be seen infiltrating
the bladder wall and extending
through it in advanced cases
IVU
• Both IVU and ultrasound will fail to diagnose a substantial proportion
of cases (with a detection rate as low as 26%).
• May demonstrate tumor but is more important in diagnosing
alternative pathologies (renal cell carcinoma, calculi etc).
• It has also been used to access upper urinary tract for detection of
synchronous or metachronous lesion
• In some institution it has been used as a yearly surveillance
investigation for detecting these lesion. However, its use is being
controversial.
•
Computed Tomography
• CT urography has a sensitivity and specificity of over 90% for the
diagnosis of bladder cancer in patients with hematuria.
• Despite these encouraging results, CT urography cannot be used as a
replacement for diagnostic cystoscopy in most patients with
suspected bladder cancer.
• It is possible to visualize bladder wall enhancement and thickness on
nephrographic phase CT scans.
• Virtual cystoscopy has been performed with the installation of 300–
500 mL of air or carbon dioxide into the bladder lumen via a catheter.
• Some small series have shown CT cystoscopy to have a sensitivity of
over 90%.
MR Imaging
• Requires high spatial resolution, thin sections (3 mm), and a large
matrix.
• More accurate staging than CT :high soft-tissue contrast resolution,
which allows clear differentiation between bladder wall layers.
• Better depict intramural tumor invasion as well as extravesical
extension.
• Allows differentiation between muscle-invasive and non-muscle-
invasive disease
• No ionizing radiation.
• Local staging of bladder cancer: a multiparametric approach with
conventional and functional sequences is useful.
• Multiparametric MRI: combination of T1- and T2-weighted images
and functional MRI techniques, including DCE imaging and DWI.
• Axial spin-echo (SE) T1-weighted images with a large FOV : for
evaluating the perivesical fat planes for extravesical tumor infiltration,
pelvic lymphadenopathy, and bone metastases.
Dynamic Contrast Enhanced MR Imaging.
 The usefulness of dynamic contrast-enhanced T1-weighted MR
imaging is debatable, with some studies showing that it is a useful
technique and others showing that it is of no additional value
 The bladder tumor, mucosa, and submucosa enhance early (20sec),
but the muscle layer maintains its hypointensity and enhances late
(60 sec)
Diffusion-weighted MR Imaging
 Role of diffusion-weighted imaging in bladder cancer is evolving and has
not yet been fully established.
Provides both qualitative and quantitative information that reflects
changes at the cellular level concerning tumor cellularity and cell
membrane integrity.
 For most bladder tumors, increased cellular density manifests as increased
signal intensity on diffusion-weighted images with a reduced apparent
diffusion coefficient (ADC) at quantitative analysis
• Positron Emission Tomography
Positron emission tomography (PET) with 2-[fluorine-18]fluoro-2-
deoxy-d-glucose is considered to be of lesser value in the local staging
of bladder cancer due to urinary excretion of the radiotracer
• The most common site of nodal metastasis is the obturator nodes.
• Conventional CT and MR imaging cannot help identify metastases in
lymph nodes less than 10 mm.
• According to recent published reports, diffusion-weighted imaging
has shown promise in differentiating benign from malignant lymph
nodes
Treatment
• Non-Muscle-invasive Disease
Non-muscle-invasive tumors are usually treated with TURBT.
 in patients with bulky Ta lesions or T1 tumors, the current trend is to perform
repeat TURBT 2–6 weeks after the first TURBT.
adjuvant intravesical chemotherapy (eg, with mitomycin C or gemcitabine) or
immunotherapy (with bacille Calmette-Guérin [BCG]).
Muscle-invasive Disease
For muscle-invasive tumors, radical cystectomy is the established treatment
with meticulous extended bilateral lymphadenectomy, since extent of
lymphadenectomy is associated with survival.
Post-treatment Surveillance
• Because of the high rate of local recurrence, patients with non-
muscle-invasive bladder cancer must be followed up after treatment
• Cystoscopy, urine cytology, and imaging of the upper tract with
retrograde ureteroscopy are usually performed annually.
• muscle-invasive bladder cancer, guidelines for post-cystectomy
surveillance include urine cytology, chest radiography, and
abdominopelvic imaging every 3–6 months for the first 2 years.
Rare malignancies
Urachal carcinoma
• Less than 0.5% of bladder cancer.
• Overwhelmingly adenocarcinoma
• Vast majority arise in the urachus
immediately adjacent to the bladder vault
and extends superiorly in the perivesical
space towards the umbilicus and inferiorly to
the bladder.
• Considerable extra vesical component and
the position in the bladder vault should
suggest the urachal rather than bladder
carcinoma.
• Are often mucinous and two third show
dystrophic calcification which may be
punctate or curvilinear.
• Three fifth of the cases also show cystic
degeneration with mucinous component
Mimics of urinary bladder carcinoma
Inflammatory pseudotumor
• Pathogenesis: Unclear
• Can be locally aggressive and
mimic malignancy
• Imaging: Usually solitary bladder
mass (exophytic or polypoid)
• Axial T2-weighted MR image
shows a lobulated polypoid mass
arising from the anterior wall of
the bladder with central
hyperintensity (*) and low
peripheral signal intensity
(arrowhead).
Malacoplakia
• Rare granulomatous inflammation which
can involve any organ, urinary tract
commonest.
• Multiple, polypoid, vascular, solid masses
or circumferential wall thickening.
• Can invade perivesical space and even
cause bladder obstruction, A/w VUR and
hydroureteronephrosis.
• bone destruction.
• (a) Axial CT image shows marked
circumferential bladder wall thickening. (b)
Photograph of the cut, resected specimen
shows a friable, hemorrhagic mucosal
surface and dramatic wall thickening.
eosinophilic cystitis
Schistosomiaisis
• • Schistosomiasis.
Anteroposterior radiograph (a)
and axial CT image (b) of the
bladder shows curvilinear
calcification in the bladder wall
(arrowheads), which also
extends to the distal left ureter
(arrow). Calcification,
representing an abundance of
calcified ova, is typically seen in
the chronic phase of the
infection.
Leiomyoma
• Leiomyoma is the most common mesenchymal
tumor of the bladder. Leiomyomas occur equally
in men and women with a wide age range of 22–
78 years.
• Imaging features include either a smooth
indentation of the bladder wall or an intraluminal
mass.
• They are smooth, solid, homogeneous masses.
Cystic components indicate degeneration.
• MR imaging is superior in demonstrating the
submucosal origin of the tumor and the
preservation of the muscle layer and also most
specific for tissue characterization .Typically,
leiomyomas exhibit intermediate signal intensity
on T1-weighted images and low signal on T2.
Leiomyosarcoma
• Leiomyosarcoma is the most common
nonepithelial malignant bladder tumor in
adults.
• age range is wide at 25–88 years with a
male-to-female ratio of 3:1
• necrosis is common in leiomyosarcomas,
which tend to be poorly circumscribed,
invasive masses with a mean size of 7cm .
• Consequently, they are more
heterogeneous on T2-weighted images
and demonstrate nonenhancing areas
secondary to necrosis.
THANK YOU

Urinary bladder pathology radiology

  • 1.
    Imaging of Urinarybladder pathology Dr. Pradeep Kumar MD Radiodiagnosis
  • 3.
    Introduction • Fourth mostcommon malignancy in men. • Tenth most common in female • Occur 3- 4 times more frequently in male. • Upto 47% of cancer related death can be avoided so early diagnosis is important • Survival of the patients with bladder cancer is longer than those with most other cancers.
  • 4.
    Pathologic features • About90% of bladder tumors are urothelial in origin (ie, transitional cell carcinomas). • Squamous cell carcinomas account for 6%–8% • Adenocarcinomas are rare and typically represent urachal cancer. • Up to 25% of urothelial cancers have a mixed histology.
  • 5.
    Risk factors • Cigarettesmoking in 50%–60% of men and one-third of women. • occupational exposure to chemical carcinogens such as aniline dyes • therapeutic irradiation of neighboring organs • use of alkylating agents although it is rare. • genetic predisposition to the development of urothelial tumors in some families. • Risk factors for squamous cell cancer include long-term catheterization, nonfunctioning bladder, urinary tract calculi, and chronic infection by Schistosoma hematobium
  • 6.
    Pathologic features • Urothelialtumors are classified not invading muscle (superficial or papillary). Approximately 80%–85% of urothelial tumors invading muscle (nonpapillary) Approximately 20%–25% of bladder cancers are muscle invasive and includes squamous and adenocarcinoma.
  • 7.
    Clinical staging • mostcommonly present with painless hematuria (80%–90% of cases). • CT/ Cystoscopy Some institutions perform computed tomographic (CT) urography for triage prior to cystoscopy, whereas others use cystoscopy as the first line of investigation. • Magnetic resonance (MR) imaging of the pelvis is usually performed for T (tumor) staging once bladder cancer has been diagnosed.
  • 8.
    TNM Staging Tumor • TxPrimary tumor cannot be evaluated • T0 No primary tumor • Ta Noninvasive papillary carcinoma • Tis Carcinoma in situ • T1 Tumor invades connective tissue under the epithelium (surface layer) • T2 Tumor invades muscle • T2a Superficial muscle affected (inner half) • T2b Deep muscle affected (outer half) • T3 Tumor invades perivesical fat • T3a Tumor is detected microscopically • T3b Extravesical tumor is visible macroscopically • T4 Tumor invades the prostate gland, uterus, vagina, pelvic wall, or abdominal wall
  • 9.
  • 10.
    N – RegionalLymph Nodes • NX: Regional lymph nodes cannot be assessed • N0:No regional lymph node metastasis • N1:Metastasis in a single lymph node in the true pelvis (hypogastric, obturator, external iliac, or presacral) • N2:Metastasis in multiple regional lymph nodes in the true pelvis (hypogastric, obturator, external iliac, or presacral) • N3: Metastasis in a common iliac lymph node(s)
  • 11.
    M- Metastasis • M0:No distant metastasis • M1a: Non regional lymph nodes • M1b: Other distant metastasis
  • 12.
    Imaging Consideration USG • Superficialbladder tumors may be seen as mass lesions of intermediate echogenicity . • May be sessile or papillary, the latter being easier to detect, sometimes down to 2-3 mm diameter. • Tumor may be seen infiltrating the bladder wall and extending through it in advanced cases
  • 13.
    IVU • Both IVUand ultrasound will fail to diagnose a substantial proportion of cases (with a detection rate as low as 26%). • May demonstrate tumor but is more important in diagnosing alternative pathologies (renal cell carcinoma, calculi etc). • It has also been used to access upper urinary tract for detection of synchronous or metachronous lesion • In some institution it has been used as a yearly surveillance investigation for detecting these lesion. However, its use is being controversial.
  • 14.
  • 15.
    Computed Tomography • CTurography has a sensitivity and specificity of over 90% for the diagnosis of bladder cancer in patients with hematuria. • Despite these encouraging results, CT urography cannot be used as a replacement for diagnostic cystoscopy in most patients with suspected bladder cancer.
  • 16.
    • It ispossible to visualize bladder wall enhancement and thickness on nephrographic phase CT scans. • Virtual cystoscopy has been performed with the installation of 300– 500 mL of air or carbon dioxide into the bladder lumen via a catheter. • Some small series have shown CT cystoscopy to have a sensitivity of over 90%.
  • 17.
    MR Imaging • Requireshigh spatial resolution, thin sections (3 mm), and a large matrix. • More accurate staging than CT :high soft-tissue contrast resolution, which allows clear differentiation between bladder wall layers. • Better depict intramural tumor invasion as well as extravesical extension. • Allows differentiation between muscle-invasive and non-muscle- invasive disease • No ionizing radiation.
  • 18.
    • Local stagingof bladder cancer: a multiparametric approach with conventional and functional sequences is useful. • Multiparametric MRI: combination of T1- and T2-weighted images and functional MRI techniques, including DCE imaging and DWI. • Axial spin-echo (SE) T1-weighted images with a large FOV : for evaluating the perivesical fat planes for extravesical tumor infiltration, pelvic lymphadenopathy, and bone metastases.
  • 19.
    Dynamic Contrast EnhancedMR Imaging.  The usefulness of dynamic contrast-enhanced T1-weighted MR imaging is debatable, with some studies showing that it is a useful technique and others showing that it is of no additional value  The bladder tumor, mucosa, and submucosa enhance early (20sec), but the muscle layer maintains its hypointensity and enhances late (60 sec)
  • 25.
    Diffusion-weighted MR Imaging Role of diffusion-weighted imaging in bladder cancer is evolving and has not yet been fully established. Provides both qualitative and quantitative information that reflects changes at the cellular level concerning tumor cellularity and cell membrane integrity.  For most bladder tumors, increased cellular density manifests as increased signal intensity on diffusion-weighted images with a reduced apparent diffusion coefficient (ADC) at quantitative analysis
  • 26.
    • Positron EmissionTomography Positron emission tomography (PET) with 2-[fluorine-18]fluoro-2- deoxy-d-glucose is considered to be of lesser value in the local staging of bladder cancer due to urinary excretion of the radiotracer
  • 28.
    • The mostcommon site of nodal metastasis is the obturator nodes. • Conventional CT and MR imaging cannot help identify metastases in lymph nodes less than 10 mm. • According to recent published reports, diffusion-weighted imaging has shown promise in differentiating benign from malignant lymph nodes
  • 30.
    Treatment • Non-Muscle-invasive Disease Non-muscle-invasivetumors are usually treated with TURBT.  in patients with bulky Ta lesions or T1 tumors, the current trend is to perform repeat TURBT 2–6 weeks after the first TURBT. adjuvant intravesical chemotherapy (eg, with mitomycin C or gemcitabine) or immunotherapy (with bacille Calmette-Guérin [BCG]). Muscle-invasive Disease For muscle-invasive tumors, radical cystectomy is the established treatment with meticulous extended bilateral lymphadenectomy, since extent of lymphadenectomy is associated with survival.
  • 31.
    Post-treatment Surveillance • Becauseof the high rate of local recurrence, patients with non- muscle-invasive bladder cancer must be followed up after treatment • Cystoscopy, urine cytology, and imaging of the upper tract with retrograde ureteroscopy are usually performed annually. • muscle-invasive bladder cancer, guidelines for post-cystectomy surveillance include urine cytology, chest radiography, and abdominopelvic imaging every 3–6 months for the first 2 years.
  • 32.
    Rare malignancies Urachal carcinoma •Less than 0.5% of bladder cancer. • Overwhelmingly adenocarcinoma • Vast majority arise in the urachus immediately adjacent to the bladder vault and extends superiorly in the perivesical space towards the umbilicus and inferiorly to the bladder. • Considerable extra vesical component and the position in the bladder vault should suggest the urachal rather than bladder carcinoma. • Are often mucinous and two third show dystrophic calcification which may be punctate or curvilinear. • Three fifth of the cases also show cystic degeneration with mucinous component
  • 33.
    Mimics of urinarybladder carcinoma Inflammatory pseudotumor • Pathogenesis: Unclear • Can be locally aggressive and mimic malignancy • Imaging: Usually solitary bladder mass (exophytic or polypoid) • Axial T2-weighted MR image shows a lobulated polypoid mass arising from the anterior wall of the bladder with central hyperintensity (*) and low peripheral signal intensity (arrowhead).
  • 34.
    Malacoplakia • Rare granulomatousinflammation which can involve any organ, urinary tract commonest. • Multiple, polypoid, vascular, solid masses or circumferential wall thickening. • Can invade perivesical space and even cause bladder obstruction, A/w VUR and hydroureteronephrosis. • bone destruction. • (a) Axial CT image shows marked circumferential bladder wall thickening. (b) Photograph of the cut, resected specimen shows a friable, hemorrhagic mucosal surface and dramatic wall thickening.
  • 35.
  • 36.
    Schistosomiaisis • • Schistosomiasis. Anteroposteriorradiograph (a) and axial CT image (b) of the bladder shows curvilinear calcification in the bladder wall (arrowheads), which also extends to the distal left ureter (arrow). Calcification, representing an abundance of calcified ova, is typically seen in the chronic phase of the infection.
  • 37.
    Leiomyoma • Leiomyoma isthe most common mesenchymal tumor of the bladder. Leiomyomas occur equally in men and women with a wide age range of 22– 78 years. • Imaging features include either a smooth indentation of the bladder wall or an intraluminal mass. • They are smooth, solid, homogeneous masses. Cystic components indicate degeneration. • MR imaging is superior in demonstrating the submucosal origin of the tumor and the preservation of the muscle layer and also most specific for tissue characterization .Typically, leiomyomas exhibit intermediate signal intensity on T1-weighted images and low signal on T2.
  • 38.
    Leiomyosarcoma • Leiomyosarcoma isthe most common nonepithelial malignant bladder tumor in adults. • age range is wide at 25–88 years with a male-to-female ratio of 3:1 • necrosis is common in leiomyosarcomas, which tend to be poorly circumscribed, invasive masses with a mean size of 7cm . • Consequently, they are more heterogeneous on T2-weighted images and demonstrate nonenhancing areas secondary to necrosis.
  • 39.

Editor's Notes

  • #3 Papiilary urothelial neoplasm of low malignant potential
  • #5 that includes small cell neuroendocrine, micropapillary (resembling serous papillary cancer of the ovary), sarcomatoid, and plasmacytoid components. These variants have substantially worse prognoses than do the pure urothelial cancers
  • #7 These are low-grade lesions, can be multifocal, and arise from a hyperplastic epithelium. They generally have a good prognosis and rarely evolve into an invasive cancer, although urothelial recurrence rates are about 50% Approximately 20%–25% of bladder cancers are muscle invasive, arise from severe dysplasia or carcinoma in situ, and have a higher histologic grade
  • #8 Nevertheless, cystoscopy and CT are complementary and have a definite management role in patients who present with hematuria Cystoscopic staging is an initial and important part of pretreatment planning. To assess the pathology, grade, and depth of these tumors cystoscopic biopsy of suspicious-looking bladder lesions is performed. Transurethral resection of bladder tumor ( TURBT) has also been used for deep biopsy to assess for muscle-invasive tumors . Cross-sectional imaging is usually performed afterward for disease staging in patients who are thought to have solid tumors.
  • #13 Small tumours are easy to overlook, especially when sessile, arising from the dome or when the bladder is poorly filled. With heavy haematuria, thrombus may be difficult to differentiate from tumour X-ray has limited role Calcification in bladder cancer is visible on plain films in approximately 0.5% of bladder cancer, usually transitional or squamous cell carcinoma. It may be focal, linear, punctate or coarse
  • #14 Approximately 3-4% of patients with bladder cancer develop subsequent upper tract transitional cell carcinoma within 5 years (60%) within 2 years. Often are symptomatic aggressive and one third are bilateral
  • #15 A) A small slightly lobulated left-sided filling defect (C) Extensive irregular wall thickening is present, particularly along the bladder base. Lytic bone metastases are seen affecting the medial aspect of the right iliac bone and the lateral aspect of the left iliac bone (arrows).
  • #16 CT does not typically allow the confident diagnosis of flat lesions and lesions at the bladder base adjacent to the prostate gland, particularly in patients with benign prostatic hypertrophy. A major difficulty is differentiating tumor recurrence from inflammatory wall thickening that occurs following endovesical chemotherapy, and from scar tissue after TURBT.
  • #17 But additional diagnostic sensitivity is outweighed by (a) the invasiveness of the procedure; (b) the fact that cystoscopy is required for the detection of small flat lesions; and (c) the reduced sensitivity of virtual cystoscopy for dependent lesions, where there may be a pool of urine obscuring the mucosa.
  • #18 which can be achieved with the use of a phased-array external surface coil (such as a cardiac coil
  • #19  High-resolution fast SE T2-weighted images in the three orthogonal planes with a small FOV : to evaluate the detrusor muscle for tumor depth and invasion of the surrounding organs Single-shot fast SE imaging is excellent for reducing patient motion artifacts, with the same spatial resolution as conventional T2-weighted imaging but with a slightly reduced signal-to-noise ratio. The FIESTA sequence offers a very high signal-to-noise ratio, but patient motion is a problem with this sequence.
  • #20 Three-dimensional fat-suppressed fast spoiled GRE T1-weighted images This early phase of contrast enhancement also helps distinguish the bladder tumor from the low-signal-intensity urine. On delayed (>5 min) postcontrast T1-weighted images, urine has high signal intensity and the intraluminal portion of the bladder tumor is clearly depicted, although small bladder wall tumors are obscured.
  • #21 Papillary urothelial carcinoma (stage Ta) man. (a) On a CE CT scan Urographic phase images, dificult to make out the presence of a tumor. It is not possible to differentiate the tumor from the detrusor muscle. (b) Axial high-resolution T2-weighted MR image shows multifocal bladder tumors (black arrowheads). Note the chemical shift artifact, which appears as a thickened dark line along the lateral bladder wall (detrusor muscle) (arrow) and as a nearly imperceptible thin bright line on the contralateral side (white arrowheads). (c) On an axial three-dimensional (3D) spoiled gradient-echo (GRE) image obtained 20 seconds after contrast material injection, the multifocal bladder tumors show intense enhancement (arrowheads), unlike the muscle layer (arrow). (d) Axial 3D spoiled GRE image obtained 60 seconds after contrast material administration shows delayed enhancement of the muscle layer (arrow). Arrowheads = tumors.
  • #22 Urothelial carcinoma (stage T2) man. (a)CE CT scan urographic phase imaging data shows a tumor (*) on the right lateral bladder wall. It is not possible to differentiate the tumor from the detrusor muscle. (b) Axial high-resolution T2-weighted MR image shows the tumor (*). Arrow = normal low-signal-intensity detrusor muscle, arrowhead = interruption of the detrusor muscle by the tumor in keeping with stage T2 disease. (c) Axial 3D spoiled GRE image obtained 20 seconds after contrast material administration shows the tumor (*), which has enhanced earlier than the muscle layer (arrow). (d) On an axial 3D spoiled GRE image obtained 60 seconds after contrast material administration, the detrusor muscle shows delayed enhancement (arrow), as well as interruption (arrowhead) by the tumor (*), findings that are consistent with stage T2 disease.
  • #26 Diffusion-weighted MR imaging is increasingly being used for cancer assessment throughout the body and has shown great promise in the detection and characteriation of other genitourinary malignancies
  • #28 Urothelial carcinoma (stage T2b) in a 62-year-old woman. (a, b) Axial (a) and sagittal (b) contrast-enhanced CT scans show an irregular 4.6-cm hyperattenuating mass at the posterosuperior bladder wall (arrows). There is a suggestion of small bowel involvement. (c) Sagittal diffusion-weighted image shows tumor extension into the bladder wall without perivesical involvement (arrows). Results of TURBT confirmed stage T2b disease.
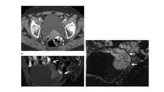
  • #29 Because extensive lymphadenectomy is increasingly being performed for muscle-invasive bladder cancer, there is less need for nodal staging of tumors in the pelvis. It is more important to identify nodes in the common iliac chain or in the retroperitoneum. About one in six patients presents with lymph nodes above the aortic bifurcation, and 8% have presacral adenopathy.
  • #30 Metastatic urothelial carcinoma man who undergone TURBT 1 year earlier. (a) Axial fat-suppressed spoiled GRE image shows a left external iliac lymph node (arrow) with a maximum diameter of 1.5 cm. (b) axial diffusion-weighted image, the left external iliac lymph node (arrow) demonstrates high signal intensity and a low ADC value of 0.75 ×10-3 mm2/sec, findings that are suggestive of malignancy. Bilateral lymphadenectomy helped confirm metastatic transitional cell carcinoma in the left external iliac lymph node chain.
  • #31 Although response rates are about 80%, 70% of patients with non-muscle-invasive bladder cancer develop recurrences within 3 years of treatment, 10%– 20% of which are invasive. Up to 50% of patients with muscle-invasive bladder cancer eventually develop metastatic disease
  • #32 Metastases usually occur in pelvic or retroperitoneal nodes. Less common sites of metastasis include the lungs, liver, adrenal glands, bones, and kidneys, and even the peritoneal space
  • #33 It can be subclassified as primary (two-thirds are nonurachal and one-third urachal) or secondary (metastases). The mean age at presentation for nonurachal cancer is 60 years, Usg show hyperechoic area due to high mucinous cystic component.
  • #34 On T2-weighted MR images, inflammatory pseudotumor may appear heterogeneous, with a central hyperintense component surrounded by a low-signal-intensity periphery ; after administration of contrast material, the periphery enhances while the central region enhances poorly. The central region of an inflammatory pseudotumor consists of necrotic tissue, and the periphery comprises fascicles of spindle cells in edematous stroma withmyxoid components, vessels, and inflammatory cells. Pseudosarcomatous Fibromyxoid Tumor
  • #35 There may be multiple, polypoid, vascular, solid masses or circumferential wall thickening (Fig 13), associated with vesicoureteric reflux and dilatation of the upper urinarytract (24). Malacoplakia may be extremely aggressive, invading the perivesical space (Fig 14), and it can even cause bone destruction (25). Ring-shaped bladder calcification representing adherent calculi has been described after treatment(26). A less common radiologic manifestation is that of a predominantly retrovesical mass involving the uterus or an extravesical anterior mass (27).
  • #36 Cystic eosinophilic cystitis. (a, b) Axial (a) and sagittal reconstructed (b) contrast-enhanced CT images show a thick-walled cystic mass (arrow) arising from the anterior dome of the bladder. (c) Intraoperative photograph, with the bladder wall retracted (arrowheads), shows the mass (arrow) protruding into the lumen. (d) Photograph of the cut specimen shows a circumferentially thickened wall, as seen on the CT images. (e) Photomicrograph (original magnification, 120; H-E stain) shows an intense infiltration of eosinophils deep within the muscularis Rare chronic inflammatory disease due to eosinophil infiltration into bladder wall leading to fibrosis and muscle necrosis Clinically presents as hematuria, frequency and irritative symptoms in a middle aged individual Diffuse bladder wall thickening often more than 10 mm with characteristic preservation of the mucosal line and enhancement on delayed images.
  • #37 Others mimickers Rdiation cystitis Chrons disease
  • #38 Leiomyoma. Sagittal T1-weighted (a) and T2-weighted (b) MR images of the bladder show a smooth, low-signal-intensity, intramural mass (arrows), an appearance typical of a leiomyoma. Leiomyomas arise in the submucosa, but growth may be submucosal , intravesical or extravesical . At cystoscopy, normal bladder mucosa covers the leiomyoma. Histologically, leiomyomas are noninfiltrative smooth muscle tumors lacking mitotic activity, cellular atypia, and necrosis. Most are small and asymptomatic and are discovered incidentally. However, large tumors manifest with symptoms such as hesitancy, frequency, dribbling, hematuria, pressure from mass effect, or urinary obstruction.
  • #39 (a) Axial T2-weighted MR image shows a large, heterogeneous mass within the bladder wall. (b) Axial gadolinium-enhanced fat-suppressed T1-weighted MR image shows irregular enhancement of the mass. The adjacent bladder wall (arrow) is also abnormal and was found to be infiltrated by the tumor Eighty percent of leiomyosarcomas are high grade at presentation, although both high-grade and low-grade tumors can behave aggressively with local recurrence and distant metastases. Treatment consists of radical cystectomy with resection of margins. Systemic chemotherapy is used for metastases or combined with radiation therapy prior to surgery for improved resectability. The 5-year survival rate for high-grade leiomyosarcoma is 62% It can be difficult to distinguish leiomyoma from leiomyosarcoma at imaging. Both can have relatively low signal intensity on T2-weighted MR images, However, An increased prevalence is seen after radiation therapy or systemic chemotherapy with cyclophosphamide for another neoplasm. Patients present relatively early secondary to hematuria, and many have urinary obstruction.