BPH and Prostate Cancer
By: Darayus P.Gazder
(ONLY IMAGES)
Benign prostatic hyperplasia. Nodules appear mainly in the lateral lobes. Such an enlarged prostate can obstruct urinary
outflow from the bladder and lead to an obstructive uropathy.
At higher magnification, the enlarged prostate has glandular hyperplasia. The glands are well-differentiated and still have some
laminated pink concretions within the glandular lumens are known as corpora amylacea.
TRUS is essentially a painless procedure. Transrectal ultrasound (TRUS) is a 5- to 15-minute outpatient procedurethat uses
sound waves to create a video image of the prostate gland. A small, lubricated probe placed into the rectum releases sound
waves, which create echoes as they enter the prostate
Duration 40-90 minutes.An instrument is passed up the water pipe (urethra) and a cut made in the urethra.
This allows the urethra to be stretched. Another instrument is then passed up the urethra, which chips away
pieces of the prostate.A continuous irrigation is used throughtout the procedure to aid vision and flush the
bladder.This irrigation is continued for 24-48hrs post operatively to flush the bladder via a 3way indwelling
uretheral catheter.It is usual for some blood loss,rarely is a blood transfusion required.
A frequently performed operation for symptomatic nodular prostatic hyperplasia is a transurethral resection,
which yields the small "chips" of rubbery prostatic tissue seen here.
PROSTATE CANCER
These sections through a prostate removed via radical prostatectomy reveal irregular yellowish nodules, mostly in the
posterior portion
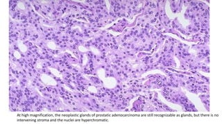
At high magnification, the neoplastic glands of prostatic adenocarcinoma are still recognizable as glands, but there is no
intervening stroma and the nuclei are hyperchromatic.
Whole body bone scintigram showing multiple bone metastases.
To determine whether an abnormal-looking area is indeed a tumour, biopsies (tissue samples) under local anaesthetic
are obtained using a spring-loaded device that fires a thin needle into the prostate through the lining of the rectum
Prostate

Prostate

  • 1.
    BPH and ProstateCancer By: Darayus P.Gazder (ONLY IMAGES)
  • 3.
    Benign prostatic hyperplasia.Nodules appear mainly in the lateral lobes. Such an enlarged prostate can obstruct urinary outflow from the bladder and lead to an obstructive uropathy.
  • 4.
    At higher magnification,the enlarged prostate has glandular hyperplasia. The glands are well-differentiated and still have some laminated pink concretions within the glandular lumens are known as corpora amylacea.
  • 5.
    TRUS is essentiallya painless procedure. Transrectal ultrasound (TRUS) is a 5- to 15-minute outpatient procedurethat uses sound waves to create a video image of the prostate gland. A small, lubricated probe placed into the rectum releases sound waves, which create echoes as they enter the prostate
  • 6.
    Duration 40-90 minutes.Aninstrument is passed up the water pipe (urethra) and a cut made in the urethra. This allows the urethra to be stretched. Another instrument is then passed up the urethra, which chips away pieces of the prostate.A continuous irrigation is used throughtout the procedure to aid vision and flush the bladder.This irrigation is continued for 24-48hrs post operatively to flush the bladder via a 3way indwelling uretheral catheter.It is usual for some blood loss,rarely is a blood transfusion required.
  • 8.
    A frequently performedoperation for symptomatic nodular prostatic hyperplasia is a transurethral resection, which yields the small "chips" of rubbery prostatic tissue seen here.
  • 9.
  • 10.
    These sections througha prostate removed via radical prostatectomy reveal irregular yellowish nodules, mostly in the posterior portion
  • 11.
    At high magnification,the neoplastic glands of prostatic adenocarcinoma are still recognizable as glands, but there is no intervening stroma and the nuclei are hyperchromatic.
  • 12.
    Whole body bonescintigram showing multiple bone metastases.
  • 15.
    To determine whetheran abnormal-looking area is indeed a tumour, biopsies (tissue samples) under local anaesthetic are obtained using a spring-loaded device that fires a thin needle into the prostate through the lining of the rectum