PML – Case Study
Sharon Letissier
MS Nurse
Queen Elizabeth Hospital
Birmingham
Patient Details
• Patient diagnosed in 2011 aged 31, Extensive
enhancing lesions in the brain and spinal cord
• Pre treatment EDSS 3.5
• February 2010 – dizziness, vertigo, loss of balance,
visual disturbance of right eye
• July 2010 – tingling and numbness in hands and feet
• January 2011 – loss of balance
• April 2011 – loss of balance and sensory symptoms
• July 2011 – loss of balance, generalised numbness
• Reviewed by Consultant July 2011 – diagnosis of
MS confirmed and recommended Tysabri based
on relapse history and MRI findings
• Reviewed by MS nurses July 2011 – MS diagnosis
discussed and Tysabri
• Tysabri commenced August 2011 -JC virus tested
(Positive) – JC index test not available at the time
• Retested Oct 2013 – index value 3.8
MRI Scan pre treatment,
T2, postcontrast
Jan 2011
T2
postcontrast
2011 - 2014
• Stable on Tysabri
– Ongoing fatigue and intermittent short lasting
right eye visual disturbance
• March 2014
– EDSS 0
– No relapses since Tysabri commenced
– Discussion regarding switching to Fingolimod
Oct 2014
• Attended Fingolimod discussion group and screening
• Had a chest infection, asthmatic prior to screening
• Reported ongoing fatigue
• By Mid Oct-
• Gradual deterioration in right hand function with poor coordination
• Slurred speech intermittent
• Right hand and arm weakness intermittent
• Increase in fatigue
• Mobile independently
Late Oct 2014
• CSF sent to reference lab USA
• Positive results received (low titre)
• Seen in clinic next day
• MRI same day
• Admitted to neurology ward
Inpatient stay
• Prescribed initially
– Cidofovir (per BNF guidelines for CMV retinitis in
HIV)
– Plasma exchange for 5 days
– Mirtazapine
– Mefloquine
– Keppra
Weekly MRI scans – observing for IRIS
End Nov -Inpatient stay
– Continued deterioration of previous symptoms:
• New onset of double vision
• Worsening of the right sided weakness
• Worsening mobility
– Prescribed:
• Granulocyte-colony stimulating factor (GCSF) – twice
(Stefoski, Chicago)
• Maraviroc (to decrease chance of IRIS)
• IV methylprednisolone (mild IRIS) -twice
Beg – mid Dec – inpatient stay
• Rapid deterioration of the right sided weakness,
abnormal eye movements, speech
• Repeat LP, JC virus titre increased > 600 cop/ml
• Frequent myoclonic jerks
• EEG – no obvious discharges, activity originating
? from brain stem
• Commenced further medication for seizures
MRI Scan Dec - 2014
Mid Dec – inpatient stay
• Transferred to ITU due to myoclonic status
epilepticus
• Deep sedation and ventilation 2 weeks
• Regular EEGs
Jan- 2015
• Back on Neurology ward
• NG Fed
• Not verbalising, obeying simple commands
• Right side no movement
• Rehab commenced
Jan – April 2015
• Gradual improvement
• Eating normal diet
• Dysphasic
• Cognition – disinhibited
• Right arm no use, right leg starting to move
• Mobile with support short distances
• Vision – poor, double vision
Ongoing
• Discharged April 2015 (on Maraviroc for 1 year
and Keppra)
• Not working
• Registered partial sighted (visual agnosia)
• Mobile short distances with one crutch
• No functional use right arm
• Cognition has improved
• Word finding improved
MRI scan Oct 2015
Future Plan
• 2 years post diagnosis
• No evidence of MS disease activity (clinically
or radiologically)
• No DMT as yet (patient’s decision)
• Still on Keppra
• Attending Rehab
• Fatigue is an ongoing issue
Tysabri-induced PML
Paul Talbot
Greater Manchester Neuroscience Centre
Salford Royal NHS Foundation Trust
Number on DMDs in GM by end of year
4,067 PwMS in Greater Manchester Sept 2016 (55% RRMS). Lusher et al. ECTRIMS 2016
% of new starters in GM by end of year
Number of new starters in GM by end of year
0
5
10
15
20
25
30
35
2001 2002 2003 2004 2005 2006 2007 2008 2009 2010 2011 2012 2013 2014 2015
Lemtrada
Tysabri
Mitoxantrone
0
50
100
150
200
250
2007 2008 2009 2010 2011 2012 2013 2014 2015
Number on Tysabri in GM by end of year
Tysabri-induced PML
• Tysabri
• PML-IRIS
– Diagnosis
– Prognosis
– Treatment
– Risk Management
Tysabri
• Humanised monoclonal Ab
– Binds α4 integrin on lymphocytes
– Blocks migration across BBB
• 4-weekly infusion
• Clinical activity (+/- ‘rebound’) returns at 10-
12 weeks
Benefits
0
0.5
1
1.5
2
2.5
Baseline Year 2
Placebo
Tysabri
0
0.2
0.4
0.6
0.8
1
1.2
1.4
1.6
1.8
Baseline Year 1 Year 2
68% reduction
81% reduction
At least 1 relapse
in 12 months
(‘active MS’)
At least 2 relapses in 1 year
AND at least 1 new or enhancing lesion
(‘RES MS’)
Disability progression 42% reduction 64% reduction
Annualisedrelapserate
Polman et al. AFFIRM. New Eng J Med 2006; 354: 899-910, Hutchinson et al. Subgroup analysis of AFFIRM and SENTINEL. J Neurol 2009; 256 (3)
405-1.
Benefits
• 90% second-line therapy
• 18 PML cases
• No additional safety concerns
Butzkueven et al. JNNP 2014; 85: 1190-97. Open label ‘real-world’ 10 year Tysabri Observational Program (TOP).
PML
• Presence of JCV
• Viral factors
– mutations
• Host factors
– peripheral immune function
– genetics
• Drug effects
– reduced CNS immune surveillance
PML risk
37,249 PwMS: 156 PML cases
JCV Ab +ve
Tysabri
exposure
PML risk
No prior IS use Prior IS use
No index value <0.9 >0.9 <1.5 >1.5
Year 1 1/10,000 1/10,000 1/10,000 1/5,000 1/3,333
Year 2 1/1,667 1/20,000 1/3,333 1/1,111 1/2,500
Year 3 1/625 1/5,000 1/1,250 1/385 1/278
Year 4 1/244 1/2,500 1/500 1/147 1/120
Year 5 1/208 1/2,000 1/417 1/127 1/119
Year 6 1/167 1/1,667 1/333 1/100 1/182
Koendgen et al. ECTRIMS 2016.
JCV Ab -ve
PML risk
1 in 10,000
PML diagnosis
• Clinical features evolve over weeks
– Cognitive (50%)
– Motor (40%)
– Language (30%)
– Visual (25%)
– Ataxia (20%)
– Seizures (15%)
• MRI
• LP
– 50% <500 copies/ml
• Cerebral biopsy
Biogen. Based on first 35 cases.
Slowly evolving stroke-like
syndrome vs
anything unusual/not MS
FLAIR DWI
PML diagnosis
‘Look high
and wide’
PML at diagnosis
PML at -4 months
PML at -8 months
PML prognosis
024
EDSS
−30 −24 −18 −12
020406080100
Mont
KarnofskyScore
−30 −24 −18 −12
Symptomatic
Asymptomatic
Carrillo-Infante et al. ECTRIMS 2016.
Outcome Asymptomatic
(n=62)
Symptomatic
(n=504)
All
Death 3 (5%) 130 (26%) 133 (24%)
PML treatment
• Immune reconstitution
– PLEX
• Antiviral drugs
– Mirtazepine
– Mefloquine
• IRIS-therapy
– Steroids
– Maraviroc
• MS DMDs (?)
Risk management
• Consent
– Informed
• Documented consultations
• Individualized risk
• Standard paragraphs
• PILs & MS Decisions website
– Written (?)
– Repeat at 2 years and 5 years
Risk management
• Clinical vigilance
– Infusions
– MS Nurse
• Help-line
• Relapse clinic
– DMD clinic review
– GP
• Action for GP
Risk management
• MRI vigilance
– Annual or 4-monthly MRI
• Compare
• Look high and wide
• DWI
– Report prior to infusion
• PML risk
– Neuroradiologist
‘with an interest’
Risk management
• Use less Tysabri
• Continue Tysabri
– PML risk reduction strategy
• Switch to another DMD
– Risk of MS relapse (+/- ‘rebound’)
– Risk of ‘carryover’ PML
Risk management
• Serum concentration declines to
– 3μg/ml for 4 weeks (>80% saturation)
– 1μg/ml 4-8 weeks (50-80% saturation)
– <1μg/ml after 8 weeks (<50% - desaturation)
• Clinical activity returns at 10-12 weeks
– Does submaximal receptor saturation exclude
autoreactive T-cells (‘MS protective’) and allow
normal lymphocyte scavenging (‘PML protective’)?
Risk management
• Extend dose interval
– Non-randomized switch
%patients
Ryerson et al. JNNP 2016; 87: 885-89.
n=1080 n=246 n=269 n=379
4 PML cases 0 PML cases
0
5
10
15
20
25
4 weeks 6 weeks 8 weeks 4-8 weeks
Relapse
New T2 lesions
Gd-enhancing lesions
*
Risk management
• Switch to another DMD
– Non-randomized
– Clinically stable
– Stop/switch due to PML risk
Continuing Tysabri (n=196)
Stop/switch Tysabri (n=122)
[No DMD = 12, Gilenya = 55,
Copaxone = 36, IFNβ = 12,
Mitox = 2, AZA = 2, CYC = 2,
Rituximab = 1]
Prosperini et al. MSJ 2015; 21 (13) 1713-22.
Risk management
• Switch to Gilenya?
– 64% reduction in risk of relapse vs BRACE DMDs1
– NICE
– PML
– Washout2
1Iaffaldano et al. Brain 2015. 2Kappos et al. Neurology 2015; 85: 29-39.
Risk management
• Switch to Lemtrada?
– At least as efficacious as Tysabri
– NICE
– PML
– Washout
– Immune reconstitution
Risk management
Giovannoni et al. Pract Neurol 2015. doi:10.1136/practneurol-2015-001355.
My thoughts…
• Use less Tysabri
– Use more Lemtrada first-line
– Increase Tysabri dose interval1
• If doing well @ 2 years
– Switch to Gilenya2
• Washout 4-8 weeks3, 4-monthly MRI for 1 year
• If clinical or MRI activity, switch to Lemtrada
• If bad MS or not doing well @ 2 years
– Switch to Lemtrada4
• Washout 4-8 weeks3, 4-monthly MRI for 1 year
• LP immediately before starting Lemtrada
1Ryerson et al. JNNP 2016; 87: 885-89. 2Kappos et al. Neurology 2015; 85: 29-39. 3Weinstock-Guttman et al. JNNP 2016; 87: 937-43. 4Giovannoni et al. Pract
Neurol 2015. doi:10.1136/practneurol-2015-001355.
The End
Case study
Carmel Wilkinson
MS Specialist Nurse
Royal Victoria Infirmary
Newcastle upon Tyne
► 2001 – 21 yrs of age, presented with one
year history of intermittent right arm and
leg numbness
► 2006 – 2 relapses, IV steriods
 Rebif 22mcg, EDSS 1.0
 Father diagnosed with MS
► 2008 – new spinal lesion
► 2009 – pregnant; stopped interferon
 spinal cord relapse during pregnancy;
sensory disturbance of hands with ‘clawing’
and pseudoathetosis
 Rebif post partum - further relapse soon
after – right leg weakness
 Significant transverse myelitis (20m walking)
► 2010 – MRI showed GAD-enhancing
brain lesion with increased T2 lesion load
► 2010 - commenced Natalizumab (PML
risk quoted at that time as 1:1000)
► Ongoing hand sensory symptoms (R > L)
► 5 infusions; improved energy and reduced
fatigue. Hand symptoms improving
► 11 infusions; similar story - even better
► Surveillance scan 23rd March 2011
 Subtle odd lesion high up in the left post
central gyrus – "unusual in presentation, not
thought to be PML" -advised to repeat scan
within next 2 months.
 Attended for 13th infusion informed of the scan
results – no new symptoms
March 23rd 2011
(12 infusions)
► 13th infusion (no new symptoms – still
parasthesia of right hand)
► Before 14th Infusion had increased sensory
disturbance of her hand but claimed she
was stressed and this occurred commonly;
day unit staff proceeded with infusion
► Over next 3 weeks developed progressive
weakness of hand, especially pincer grip
► MRI on 26th May – progression of lesion
?PML
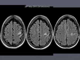
26th May 2011 (14 infusions)
► LP performed that day (CSF 1)
 CSF JCV DNA not detected
► HPA Colindale lab < 50 DNA copies, and BIOGEN
recommended lab in USA (FOCUS labs) <50 DNA
copies
 CSF sent to NINDS research lab (< 10 DNA
copy count) – JCV DNA negative although
cannot be confirmed as sample volume < 150
microlitres)
 CSF JC Virus antibody also not detected
 Other CSF viral PCR studies (VZV, HSV,
Adenovirus, parechovirus, CMV, EBV,
enterovirus, and HHV-6) – all negative
► Plasmaphoresis commenced next day (5
cycles over 5 days)
► Further investigations including HIV and CT
chest/abdo/pelvis all normal
 Minor improvement of wrist function
► Further MRI 14/06/2011 (non contrast) –
small increase in size of lesion
14th June 2011
(1 month and 9 days from last infusion)
► June 21st 2011 Re-admitted (nearly 4
weeks after Plasmaphoresis) with a rapid
decline;
 Expressive dysphasia, right hemiparesis
(UL>LL)
► MRI 21st June – progressive increase in size
with no contrast enhancement.
21st June 2011
(7 days after
last scan)
► Repeat CSF (CSF 2 performed 23/06/2011)
 WCC 0, protein 0.55
 JC Virus DNA again negative (HPA Colindale and Focus
Labs)
► Thought probable IRIS (owing to rate of decline, despite
lack of enhancement)
 1g of methypred for 3 days
 Oral pred 60 mg
► Developed focal motor seizures of right side of face and
arm
 Commenced CBZ 100mg bd and clobazam 10mg bd
► 5th July 2011 – progression of right sided
paresis despite steriods
 Commenced Mefloquine (following loading
dose) 250mg/week
 Mirtazepine 30 gm
► 13th July 2011 - Repeat MRI shows
worsening lesion with now definite IRIS
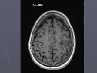
13th July 2011 (around 6 weeks after Plasmaphoresis – IRIS)
PML – profound T1 hypointensity
PML/IRIS
► 26th July 2011 – plateaued (leg slightly
better?)
 Steriods reduced down to 30 mg.
► 9th August 2011 – Improvement. Speech and
right leg much better. Shoulder abduction and
elbow flexion now possible, subtle finger
flexion movements
► 9th August 2011 - 3rd LP (CSF 3)
 WCC 3, protein 0.41
 JC virus DNA not detected in NINDS or Colindale.
► 23rd August 2011 – Continued
improvement. Right UL better strength but
increased spasticity. Pred reduced from 10
to 8 mg.
► 13th September – Deterioration. Increased
spasticity. Decreased finger movements.
Myoclonic jerks.
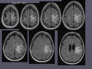
Sept 27th 2011
► Brain biopsy discussed – declined
► 13th Sept 2011 - 60 mg of pred for 2 weeks then
decreasing dose….
► 4th Oct 2011 – Improved again. Extending fingers
voluntarily again.
► 1st Nov 2011 – continued improvement,
increasing strength of R UL but fine motor control
of hand poor.
► 19th Dec 2011 – MRI improved and clinically
improved (better control and less spastic). Pred
reduced from 15mg to 10mg
► 17th Jan 2012 – plateaued
► 31st Jan 2012 – secondary generalized
tonic-clonic seizure
 Resulted in increased spasticity and mild
speech disturbance for some weeks
 CBZ slightly increased
 Pred increased to 20 mg
► Feb to April 2012 – increasing spasticity
with occasional focal seizures of r face and
arm
July 2012
► Married in Dec 2012….
► Jan 2013 – May 2013: worsening spasticity
right arm and leg
 intensive physio
 antispasmodics and botox
 Walking distance decreasing (200m then drags
leg)
 Attempting to go back to work
 No MS related activity on MRI (or clinically)
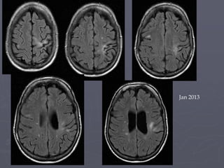
Jan 2013
Changes to practice
►Protected hours for governance
►Change in checklist to include:
 Date of last scan
 JC ab status (if negative date of last check)
 Last consultant review
 Increase in training of NDU staff
 Increased presence on NDU

PML - patient case study - Sharon Letissier

  • 1.
    PML – CaseStudy Sharon Letissier MS Nurse Queen Elizabeth Hospital Birmingham
  • 2.
    Patient Details • Patientdiagnosed in 2011 aged 31, Extensive enhancing lesions in the brain and spinal cord • Pre treatment EDSS 3.5 • February 2010 – dizziness, vertigo, loss of balance, visual disturbance of right eye • July 2010 – tingling and numbness in hands and feet • January 2011 – loss of balance • April 2011 – loss of balance and sensory symptoms • July 2011 – loss of balance, generalised numbness
  • 3.
    • Reviewed byConsultant July 2011 – diagnosis of MS confirmed and recommended Tysabri based on relapse history and MRI findings • Reviewed by MS nurses July 2011 – MS diagnosis discussed and Tysabri • Tysabri commenced August 2011 -JC virus tested (Positive) – JC index test not available at the time • Retested Oct 2013 – index value 3.8
  • 4.
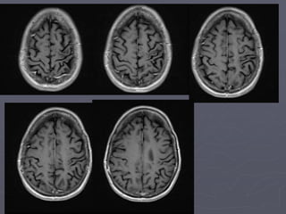
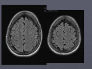
    MRI Scan pretreatment, T2, postcontrast Jan 2011 T2 postcontrast
  • 5.
    2011 - 2014 •Stable on Tysabri – Ongoing fatigue and intermittent short lasting right eye visual disturbance • March 2014 – EDSS 0 – No relapses since Tysabri commenced – Discussion regarding switching to Fingolimod
  • 6.
    Oct 2014 • AttendedFingolimod discussion group and screening • Had a chest infection, asthmatic prior to screening • Reported ongoing fatigue • By Mid Oct- • Gradual deterioration in right hand function with poor coordination • Slurred speech intermittent • Right hand and arm weakness intermittent • Increase in fatigue • Mobile independently
  • 7.
    Late Oct 2014 •CSF sent to reference lab USA • Positive results received (low titre) • Seen in clinic next day • MRI same day • Admitted to neurology ward
  • 8.
    Inpatient stay • Prescribedinitially – Cidofovir (per BNF guidelines for CMV retinitis in HIV) – Plasma exchange for 5 days – Mirtazapine – Mefloquine – Keppra Weekly MRI scans – observing for IRIS
  • 9.
    End Nov -Inpatientstay – Continued deterioration of previous symptoms: • New onset of double vision • Worsening of the right sided weakness • Worsening mobility – Prescribed: • Granulocyte-colony stimulating factor (GCSF) – twice (Stefoski, Chicago) • Maraviroc (to decrease chance of IRIS) • IV methylprednisolone (mild IRIS) -twice
  • 10.
    Beg – midDec – inpatient stay • Rapid deterioration of the right sided weakness, abnormal eye movements, speech • Repeat LP, JC virus titre increased > 600 cop/ml • Frequent myoclonic jerks • EEG – no obvious discharges, activity originating ? from brain stem • Commenced further medication for seizures
  • 11.
  • 12.
    Mid Dec –inpatient stay • Transferred to ITU due to myoclonic status epilepticus • Deep sedation and ventilation 2 weeks • Regular EEGs
  • 13.
    Jan- 2015 • Backon Neurology ward • NG Fed • Not verbalising, obeying simple commands • Right side no movement • Rehab commenced
  • 14.
    Jan – April2015 • Gradual improvement • Eating normal diet • Dysphasic • Cognition – disinhibited • Right arm no use, right leg starting to move • Mobile with support short distances • Vision – poor, double vision
  • 15.
    Ongoing • Discharged April2015 (on Maraviroc for 1 year and Keppra) • Not working • Registered partial sighted (visual agnosia) • Mobile short distances with one crutch • No functional use right arm • Cognition has improved • Word finding improved
  • 16.
  • 17.
    Future Plan • 2years post diagnosis • No evidence of MS disease activity (clinically or radiologically) • No DMT as yet (patient’s decision) • Still on Keppra • Attending Rehab • Fatigue is an ongoing issue
  • 18.
    Tysabri-induced PML Paul Talbot GreaterManchester Neuroscience Centre Salford Royal NHS Foundation Trust
  • 19.
    Number on DMDsin GM by end of year 4,067 PwMS in Greater Manchester Sept 2016 (55% RRMS). Lusher et al. ECTRIMS 2016
  • 20.
    % of newstarters in GM by end of year
  • 21.
    Number of newstarters in GM by end of year 0 5 10 15 20 25 30 35 2001 2002 2003 2004 2005 2006 2007 2008 2009 2010 2011 2012 2013 2014 2015 Lemtrada Tysabri Mitoxantrone
  • 22.
    0 50 100 150 200 250 2007 2008 20092010 2011 2012 2013 2014 2015 Number on Tysabri in GM by end of year
  • 23.
    Tysabri-induced PML • Tysabri •PML-IRIS – Diagnosis – Prognosis – Treatment – Risk Management
  • 24.
    Tysabri • Humanised monoclonalAb – Binds α4 integrin on lymphocytes – Blocks migration across BBB • 4-weekly infusion • Clinical activity (+/- ‘rebound’) returns at 10- 12 weeks
  • 25.
    Benefits 0 0.5 1 1.5 2 2.5 Baseline Year 2 Placebo Tysabri 0 0.2 0.4 0.6 0.8 1 1.2 1.4 1.6 1.8 BaselineYear 1 Year 2 68% reduction 81% reduction At least 1 relapse in 12 months (‘active MS’) At least 2 relapses in 1 year AND at least 1 new or enhancing lesion (‘RES MS’) Disability progression 42% reduction 64% reduction Annualisedrelapserate Polman et al. AFFIRM. New Eng J Med 2006; 354: 899-910, Hutchinson et al. Subgroup analysis of AFFIRM and SENTINEL. J Neurol 2009; 256 (3) 405-1.
  • 26.
    Benefits • 90% second-linetherapy • 18 PML cases • No additional safety concerns Butzkueven et al. JNNP 2014; 85: 1190-97. Open label ‘real-world’ 10 year Tysabri Observational Program (TOP).
  • 27.
    PML • Presence ofJCV • Viral factors – mutations • Host factors – peripheral immune function – genetics • Drug effects – reduced CNS immune surveillance
  • 28.
    PML risk 37,249 PwMS:156 PML cases JCV Ab +ve Tysabri exposure PML risk No prior IS use Prior IS use No index value <0.9 >0.9 <1.5 >1.5 Year 1 1/10,000 1/10,000 1/10,000 1/5,000 1/3,333 Year 2 1/1,667 1/20,000 1/3,333 1/1,111 1/2,500 Year 3 1/625 1/5,000 1/1,250 1/385 1/278 Year 4 1/244 1/2,500 1/500 1/147 1/120 Year 5 1/208 1/2,000 1/417 1/127 1/119 Year 6 1/167 1/1,667 1/333 1/100 1/182 Koendgen et al. ECTRIMS 2016. JCV Ab -ve PML risk 1 in 10,000
  • 29.
    PML diagnosis • Clinicalfeatures evolve over weeks – Cognitive (50%) – Motor (40%) – Language (30%) – Visual (25%) – Ataxia (20%) – Seizures (15%) • MRI • LP – 50% <500 copies/ml • Cerebral biopsy Biogen. Based on first 35 cases. Slowly evolving stroke-like syndrome vs anything unusual/not MS
  • 30.
  • 31.
  • 32.
    PML at -4months
  • 33.
    PML at -8months
  • 34.
    PML prognosis 024 EDSS −30 −24−18 −12 020406080100 Mont KarnofskyScore −30 −24 −18 −12 Symptomatic Asymptomatic Carrillo-Infante et al. ECTRIMS 2016. Outcome Asymptomatic (n=62) Symptomatic (n=504) All Death 3 (5%) 130 (26%) 133 (24%)
  • 35.
    PML treatment • Immunereconstitution – PLEX • Antiviral drugs – Mirtazepine – Mefloquine • IRIS-therapy – Steroids – Maraviroc • MS DMDs (?)
  • 36.
    Risk management • Consent –Informed • Documented consultations • Individualized risk • Standard paragraphs • PILs & MS Decisions website – Written (?) – Repeat at 2 years and 5 years
  • 37.
    Risk management • Clinicalvigilance – Infusions – MS Nurse • Help-line • Relapse clinic – DMD clinic review – GP • Action for GP
  • 38.
    Risk management • MRIvigilance – Annual or 4-monthly MRI • Compare • Look high and wide • DWI – Report prior to infusion • PML risk – Neuroradiologist ‘with an interest’
  • 39.
    Risk management • Useless Tysabri • Continue Tysabri – PML risk reduction strategy • Switch to another DMD – Risk of MS relapse (+/- ‘rebound’) – Risk of ‘carryover’ PML
  • 40.
    Risk management • Serumconcentration declines to – 3μg/ml for 4 weeks (>80% saturation) – 1μg/ml 4-8 weeks (50-80% saturation) – <1μg/ml after 8 weeks (<50% - desaturation) • Clinical activity returns at 10-12 weeks – Does submaximal receptor saturation exclude autoreactive T-cells (‘MS protective’) and allow normal lymphocyte scavenging (‘PML protective’)?
  • 41.
    Risk management • Extenddose interval – Non-randomized switch %patients Ryerson et al. JNNP 2016; 87: 885-89. n=1080 n=246 n=269 n=379 4 PML cases 0 PML cases 0 5 10 15 20 25 4 weeks 6 weeks 8 weeks 4-8 weeks Relapse New T2 lesions Gd-enhancing lesions *
  • 42.
    Risk management • Switchto another DMD – Non-randomized – Clinically stable – Stop/switch due to PML risk Continuing Tysabri (n=196) Stop/switch Tysabri (n=122) [No DMD = 12, Gilenya = 55, Copaxone = 36, IFNβ = 12, Mitox = 2, AZA = 2, CYC = 2, Rituximab = 1] Prosperini et al. MSJ 2015; 21 (13) 1713-22.
  • 43.
    Risk management • Switchto Gilenya? – 64% reduction in risk of relapse vs BRACE DMDs1 – NICE – PML – Washout2 1Iaffaldano et al. Brain 2015. 2Kappos et al. Neurology 2015; 85: 29-39.
  • 44.
    Risk management • Switchto Lemtrada? – At least as efficacious as Tysabri – NICE – PML – Washout – Immune reconstitution
  • 45.
    Risk management Giovannoni etal. Pract Neurol 2015. doi:10.1136/practneurol-2015-001355.
  • 46.
    My thoughts… • Useless Tysabri – Use more Lemtrada first-line – Increase Tysabri dose interval1 • If doing well @ 2 years – Switch to Gilenya2 • Washout 4-8 weeks3, 4-monthly MRI for 1 year • If clinical or MRI activity, switch to Lemtrada • If bad MS or not doing well @ 2 years – Switch to Lemtrada4 • Washout 4-8 weeks3, 4-monthly MRI for 1 year • LP immediately before starting Lemtrada 1Ryerson et al. JNNP 2016; 87: 885-89. 2Kappos et al. Neurology 2015; 85: 29-39. 3Weinstock-Guttman et al. JNNP 2016; 87: 937-43. 4Giovannoni et al. Pract Neurol 2015. doi:10.1136/practneurol-2015-001355.
  • 47.
  • 48.
    Case study Carmel Wilkinson MSSpecialist Nurse Royal Victoria Infirmary Newcastle upon Tyne
  • 49.
    ► 2001 –21 yrs of age, presented with one year history of intermittent right arm and leg numbness ► 2006 – 2 relapses, IV steriods  Rebif 22mcg, EDSS 1.0  Father diagnosed with MS ► 2008 – new spinal lesion
  • 50.
    ► 2009 –pregnant; stopped interferon  spinal cord relapse during pregnancy; sensory disturbance of hands with ‘clawing’ and pseudoathetosis  Rebif post partum - further relapse soon after – right leg weakness  Significant transverse myelitis (20m walking)
  • 51.
    ► 2010 –MRI showed GAD-enhancing brain lesion with increased T2 lesion load ► 2010 - commenced Natalizumab (PML risk quoted at that time as 1:1000) ► Ongoing hand sensory symptoms (R > L)
  • 52.
    ► 5 infusions;improved energy and reduced fatigue. Hand symptoms improving ► 11 infusions; similar story - even better ► Surveillance scan 23rd March 2011  Subtle odd lesion high up in the left post central gyrus – "unusual in presentation, not thought to be PML" -advised to repeat scan within next 2 months.  Attended for 13th infusion informed of the scan results – no new symptoms
  • 53.
  • 54.
    ► 13th infusion(no new symptoms – still parasthesia of right hand) ► Before 14th Infusion had increased sensory disturbance of her hand but claimed she was stressed and this occurred commonly; day unit staff proceeded with infusion ► Over next 3 weeks developed progressive weakness of hand, especially pincer grip ► MRI on 26th May – progression of lesion ?PML
  • 55.
    26th May 2011(14 infusions)
  • 56.
    ► LP performedthat day (CSF 1)  CSF JCV DNA not detected ► HPA Colindale lab < 50 DNA copies, and BIOGEN recommended lab in USA (FOCUS labs) <50 DNA copies  CSF sent to NINDS research lab (< 10 DNA copy count) – JCV DNA negative although cannot be confirmed as sample volume < 150 microlitres)  CSF JC Virus antibody also not detected  Other CSF viral PCR studies (VZV, HSV, Adenovirus, parechovirus, CMV, EBV, enterovirus, and HHV-6) – all negative
  • 57.
    ► Plasmaphoresis commencednext day (5 cycles over 5 days) ► Further investigations including HIV and CT chest/abdo/pelvis all normal  Minor improvement of wrist function ► Further MRI 14/06/2011 (non contrast) – small increase in size of lesion
  • 58.
    14th June 2011 (1month and 9 days from last infusion)
  • 59.
    ► June 21st2011 Re-admitted (nearly 4 weeks after Plasmaphoresis) with a rapid decline;  Expressive dysphasia, right hemiparesis (UL>LL) ► MRI 21st June – progressive increase in size with no contrast enhancement.
  • 60.
    21st June 2011 (7days after last scan)
  • 61.
    ► Repeat CSF(CSF 2 performed 23/06/2011)  WCC 0, protein 0.55  JC Virus DNA again negative (HPA Colindale and Focus Labs) ► Thought probable IRIS (owing to rate of decline, despite lack of enhancement)  1g of methypred for 3 days  Oral pred 60 mg ► Developed focal motor seizures of right side of face and arm  Commenced CBZ 100mg bd and clobazam 10mg bd
  • 62.
    ► 5th July2011 – progression of right sided paresis despite steriods  Commenced Mefloquine (following loading dose) 250mg/week  Mirtazepine 30 gm ► 13th July 2011 - Repeat MRI shows worsening lesion with now definite IRIS
  • 63.
    13th July 2011(around 6 weeks after Plasmaphoresis – IRIS)
  • 64.
    PML – profoundT1 hypointensity
  • 65.
  • 66.
    ► 26th July2011 – plateaued (leg slightly better?)  Steriods reduced down to 30 mg. ► 9th August 2011 – Improvement. Speech and right leg much better. Shoulder abduction and elbow flexion now possible, subtle finger flexion movements ► 9th August 2011 - 3rd LP (CSF 3)  WCC 3, protein 0.41  JC virus DNA not detected in NINDS or Colindale.
  • 67.
    ► 23rd August2011 – Continued improvement. Right UL better strength but increased spasticity. Pred reduced from 10 to 8 mg. ► 13th September – Deterioration. Increased spasticity. Decreased finger movements. Myoclonic jerks.
  • 68.
  • 69.
    ► Brain biopsydiscussed – declined ► 13th Sept 2011 - 60 mg of pred for 2 weeks then decreasing dose…. ► 4th Oct 2011 – Improved again. Extending fingers voluntarily again. ► 1st Nov 2011 – continued improvement, increasing strength of R UL but fine motor control of hand poor. ► 19th Dec 2011 – MRI improved and clinically improved (better control and less spastic). Pred reduced from 15mg to 10mg
  • 70.
    ► 17th Jan2012 – plateaued ► 31st Jan 2012 – secondary generalized tonic-clonic seizure  Resulted in increased spasticity and mild speech disturbance for some weeks  CBZ slightly increased  Pred increased to 20 mg ► Feb to April 2012 – increasing spasticity with occasional focal seizures of r face and arm
  • 71.
  • 72.
    ► Married inDec 2012…. ► Jan 2013 – May 2013: worsening spasticity right arm and leg  intensive physio  antispasmodics and botox  Walking distance decreasing (200m then drags leg)  Attempting to go back to work  No MS related activity on MRI (or clinically)
  • 73.
  • 74.
    Changes to practice ►Protectedhours for governance ►Change in checklist to include:  Date of last scan  JC ab status (if negative date of last check)  Last consultant review  Increase in training of NDU staff  Increased presence on NDU