Targeting Progression
The Progressive MS Alliance
Alan Thompson
UCL and MSIF
Progressive MS
• Defining the issue – impact and mechanisms
• Exploring interventions
=> Trial Design/Outcomes
• Current studies
• Future direction
=> International initiative
Increasing disability

Progressive Forms of MS
 Many MS patients begin
with a relapsing form and
convert to a progressive
form

Increasing disability

Time

 A small percentage
of MS patients have nearly
continuous progression of
disability with no distinct
relapses
Time
Defining
Progressive MS
•

Neurologist:
– accumulation of disability,
– gradual change over time (Progressive myelopathy)

•

Imager:
– Progressive atrophy
– Decreasing MTR, NAA, fractional anisotropy

•

Pathologist:
– Axonal pathology
– Oligodendrocyte pathology

•

Rehabilitationist:
– Loss of function; worsening symptoms

•

Patient:
– Loss of independence
– Inability to work, worsening symptoms

Progressive MS is defined differently from different perspectives
Relapses and Impairment
MRI Activity
Brain Atrophy

Preclinical

SPMS (and PPMS) represents a
significant unmet clinical need

RR-MS

10 FDA-approved
therapies

0

SP-MS

1 FDA-approved therapy
(mitoxantrone - rarely used)

5-10
Disease Duration (Years)

15-20+
Prevalence of MS
Estimated number of people with MS
Worldwide
2008: 2.1 million

2013: 2.3 million
2008: 30% of countries cited sources of data
2013: 71% cited sources of data
51% published epidemiological research, 20% unpublished research/ registers
1. Delayed Progression

3. Improved Function

2. Stabilised Progression

4. Recovered Function
WHAT ARE YOUR
EXPECTATIONS OF A THERAPY
FOR PROGRESSIVE MS?

3

2

1

www.ms-res.org

9
Development of secondary progression
is the dominant determinant of long-term
prognosis, independent of disease
duration and early relapse frequency

Scalfari et al Neurology 2011
Onset of progressive phase
determines disability

Scalfari et al Neurology 2011
Progressive MS
• Defining the issue – impact and mechanisms
• Exploring interventions
=> Trial Design/Outcomes
• Current studies
• Future direction
=> International initiative
Key areas
 Inflammation
 White matter demyelination/remyelination
 Gray matter involvement
 Axonal loss
MRI in
primary
progressive
MS

Thompson et al. Ann Neurol 1991
Brain
Enhancement
• 42% patients with early PPMS (<
5 years) had at least one
enhancing lesion on their
baseline scan
• Number of enhancing lesions
associated with
- younger age (r=0.5, p= 0.003)
- higher T2 load (r= 0.5, p=0.02)

- worse outcome!
Inflammation
in Progressive
MS
(Revez et al Brain 1994)
Compartmentalized
inflammation in
progressive MS

Bradl and
Lassmann, Semin
Immunopathol 2009
Pathologic Mechanisms in Early vs. Late MS

0

5

10

15

20

Years After MS Onset

25

30
Key areas
Inflammation
White matter demyelination/remyelination
Gray matter involvement
Axonal loss
Remyelination often incomplete
in progressive MS
score 0

% o f lesio n s

40

30

20

10

0
0

score 1

1

2

sco r e

188 lesions, 33 patients
0: completely demyelinated
1: less than 50 % remyelinated
2: more than 50 % remyelinated
3: complete remyelination

score 3

Goldschmidt et al., Neurology 2009

3
Key areas
Inflammation
White matter demyelination/remyelination
Gray matter involvement
Axonal loss
Cortical demyelination
is extensive in
progressive MS

SPMS/
PPMS

RRMS

Cortical lesion area
forebrain (%)

White matter lesion
area (%)

RRMS

2.96

10.3

PPMS

12.54

6.54

SPMS

13.29

24.13
Kutzelnigg et al., Brain 2005
High cortical lesion load at
baseline

High number of new CLs
High rate of GM atrophy
progression

Characterize patients with
disability progression after 5
years
Key areas
Inflammation
White matter demyelination/remyelination
Gray matter involvement
Axonal loss
Spinal cord axonal loss correlates with
disease duration and disability

Schirmer et al., Brain Pathol 2011
Summary

Lassmann et al., Nat. Rev. Neurol. 2012
Progressive MS
• Defining the issue – impact and mechanisms
• Exploring interventions
=> Trial Design/Outcomes
• Current studies
• Future direction – International initiative
Previous
trials
Studies to date
Conventional trial design
• Large numbers
• Lengthy
• Very expensive

Targeting inflammation (largely)
=> Need to focus on neuroprotection/repair?
Treatment A
Placebo
Treatment B
Placebo
Treatment C
Placebo

Moving to adaptive trials
The interim measure
Δ EDSS

Δ MRI

MRI
0

EDSS 0

6

12 18 24 30 36
Interim
Progressive MS
• Defining the issue – impact and mechanisms
• Exploring interventions
=> Trial Design/Outcomes
• Current studies
• Future direction
=> International initiative
• Progressive MS Trials:
–
–
–
–
–
–
–
–
–

Phenytoin Optic Neuritis Study (Phase II)
PROXIMUS Trial - oxcarbazepine in SPMS (Phase II)
INFORMS – fingolimod in SPMS (Phase III)
ASCEND – natalizumab in SPMS (Phase III)
ORATORIO – ocrelizumab (rituximab cousin ) in PPMS (Phase III)
EXPAND – siponimod (fingolimod cousin) in SPMS (Phase III)
MS Smart Trial – riluzole, amiloride, ibudilast in SPMS (Phase II)
SPRINT-MS – ibudilast in PPMS/SPMS (Phase II)
rituximab, mesenchymal stem cells, mastitinib, lipoic
acid, erythropoietin, hydroxyurea, idebenone, simvastatin
Time to
Confirmed
Disease
All Intent-to-Treat Patients (N=439)
Progression
HR: 0.77

Proportion of Patients

50

(95% CI: 0.55 -1.09)
p-value=0.1442

40
30

Rituximab
Placebo

20
10

0

12

24

36

48

60

72

84

96 108

Time to Confirmed Disease Progression (weeks)
Time to
Confirmed
Disease
Progression

Subgroup Analysis
Age <51
Gd (-) at Baseline
n=143

50

Proportion of Patients

50

HR: 0.63
(95% CI: 0.34-1.18)
p=0.1427

40

Age <51
Gd (+) at Baseline
n=72
HR: 0.33
(95% CI: 0.14-0.79)
p=0.0088

40

30

30

20

20

10

10

0

12

24

36

Rituximab
Placebo

48

60

72

84

96 108

0

12

24

36

48

60

72

84

96 108

Time to Confirmed Disease Progression (weeks)
MS-STAT trial
High dose oral Simvastatin
in Secondary Progressive Multiple Sclerosis
Jeremy Chataway
for the MS-STAT Collaborators
Lancet in press
• High-dose simvastatin (80mg) in SPMS
• Established secondary progression
(narrative/EDSS) for ≥ 2years
• EDSS 4.0 (500m) - 6.5 (20m/2 sticks)
– Relapse free/no corticosteroids >3 months
– DMT >6months
– Mitoxantrone >12 months
– Never alemtuzumab/natalizumab
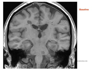
Baseline
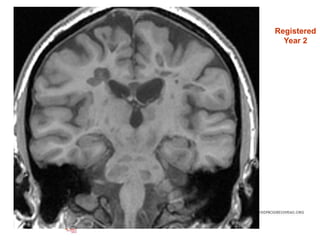
Registered
Year 2
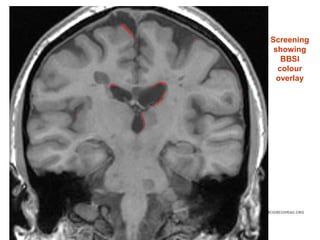
Screening
showing
BBSI
colour
overlay
Primary outcome: BBSI change in
whole brain volume (%/year)
Mean (SD)
placebo

Mean (SD) Difference
simvastatin means
(95% CI)*

Change WBV (%/year)

0.589
(0.528)

0.298
(0.562)

Number patients evaluated

64

66

*Adjusting for minimisation variables and MRI site

-0.254
(-0.423 to -0.085)

in p-value

0.003
Change
whole
brain
volume
(%/yr)
Change in EDSS
0 to 24 months

Change in EDSS from Baseline to 24 months
Cannabinoid trials

12 month follow-up (80%)

N=657 CAMS

Zajicek Lancet 2003; JNNP 2005
Aims of CUPID study

•

assess the value of Δ9-THC in slowing progressive MS over 3 yrs

•

assess the safety of Δ9-THC over the long-term.

•

improve research methodology; using new, patient-orientated
methods.
1.0

P(EDSS progression)

0.8

0.6

0.4

0.2
Treatment group
Active
Placebo

0.0
0

200

400

600

800

Time to EDSS progression (days)

1000

1200
1.0

P(EDSS progression)

0.8

0.6

0.4
Baseline EDSS score
4
4.5
5
5.5
6
6.5

0.2

0.0
0

200

400

600

800

Time to EDSS progression (days)

1000

1200
Progressive MS
• Defining the issue – impact and mechanisms
• Exploring interventions
=> Trial Design/Outcomes
• Current studies
• Future direction
=> International initiative
More trials of Neuroprotective agents
Lifestyle
Remyelination
Rehabilitation

Enhancing plasticity
Kapoor et al. Lancet Neurol 2010; 9: 681–88.
Kapoor et al. Lancet Neurol 2010; 9: 681–88.
MS-STOP>>MS-SMART
4 arms [1 placebo + 3 active]
Multiplex Phase IIb trial
– 4*110=440
– allowing for drop-outs [10%+10%]
– Primary outcome=SIENA PBVC
– Gives 90% power for 35% treatment effect
•
•
•

UK-based Phase II trial in SPMS
4 arms: riluzole, amiloride, ibudilast, placebo
Primary outcome: atrophy
–
–

•

Clinical measures
Subset: advanced imaging, CSF

Evaluates 3 therapies with using one placebo group

US-based Phase II trial in SPMS/PPMS
Uses NIH-sponsored Phase II trial network
2 arms: ibudilast, placebo
Outcomes: atrophy, DTI, MTR, OCT
Standardized advanced imaging at all sites
Clinical measures

Head-to-head comparison of imaging
measures
Longitudinal validation to clinical outcomes

Ideally, trials should both test a therapy and develop
progressive MS trial methodology
Acute
neuroprotection
Autologous mesenchymal stem cells for the treatment of
secondary progressive multiple sclerosis:
an open-label phase 2a proof-of-concept study
Peter Connick, Madhan Kolappan, Charles Crawley,Daniel J Webber,
Rickie Patani, Andrew W Michell,Ming-Qing Du, Shi-Lu Luan,
Daniel R Altmann, Alan J Thompson, Alastair Compston,
Michael A Scott, David H Miller, Siddharthan Chandran
Lancet Neurology Feb 2012

10 patients with secondary progressive MS
Studied visual system
Possible benefit in visual acuity, latency of evoked
potentials and area of optic nerve
ENVIRONMENTAL
AGENTS

Diagnosis
Cigarette
In utero
1st clinical symptom
Microbial
Smoke
EBV
Exposures ↓Vitamin D
Minor tissue
Birth
injury

Altered host
immune response

Genetic
Predisposition
-HLA phenotype

-Exposure of circulating
T cells to tissue antigens

Active disease
-B cell transformation
-Proliferation of
T cells (against EBVAg)
Environmental
Factors:
Vitamin D
UVB
Skin

7-dehydrocholesterol
Cholecalciferol
(Vitamin D3)

Diet

“Vitamin D Status”
Biomarker

Liver

25-hydroxyvitamin D

Serum 25(OH)D

Kidney - and many other cells.
1,25-dihydroxyvitamin D

Active
metabolite

Courtesy H. Hanwell

Calcium/Bone
Cell growth, immune function, etc
Vitamin D-binding protein
in cytoplasm of neurons in
spinal cord
Median time from MS symptom onset to PDDS 8 according to study variables :
sun exposure before MS diagnosis (a) and cod liver oil intake from 6 to 15 years (b)

McDowell et al
Neuroepidemiology 2011; 37: 52-57
• Data from intervention studies evaluating disease progression do not
support a disease modifying effect of exercise
• MRI data, patient-reported data and EAE data indicate a possible
disease-modifying effect of exercise
• Further studies with better methodologies are required
Exercise improves aerobic fitness and
cognition in progressive MS
a randomised controlled pilot trial
Birken S, Gold SM, Patra S, Harbs D, Tallner A,
Ketels G, Schulz KH, Heesen C
Institute for NeuroImmunology & Clinical MS Research
University Medical Centre Eppendorf, Hamburg
Exercise increases
fitness and walking
ability
VO2 peak (trial 1-5, p=0.04)

6MWT (p=0.008)

Briken et al., in press MSJ
Exercise improves
learning and
memory
CVLT learning (trial 1-5, p=0.02)

CVLT delayed recall (trial 7, p=0.01)

Briken et al., in press MSJ
Mission
To expedite the development of
therapies for effective disease
modification and symptom
management in progressive MS
Efforts
Underway
2012 Global Progressive MS Portfolio
$85.5 M USD

Plus ~45 interventional clinical trials currently recruiting patients
(www.clinicaltrials.gov)
Progressive MS Research Initiatives
1. Over 100 investigator initiated research projects
2. MS Outcomes Assessment Consortium
3. Clinical Trials- MS SMART, SPRINT MS
4. SUMMIT natural history and risk factors study
5. Revision of Lublin-Reingold Clinical Course Descriptor
6. International Progressive MS Alliance
Target pathways
identification
Experimental
models

&

validation

POC

Clinical Outcome

Trial Design

Measurements

Symptomatic
Management

Strategies

Trial design

Therapies

(Phase II)

(Phase III)

Rehabilitation
Strategies

Repurposing
P. Stys

P.Goodfellow

K. Lee

P. Zaratin

F. Lublin

J. Hobart

P. Feys

T. Coetzee

D. Brown

K. Zuidwijk

COMMUNITY ENGAGEMENT
TO IDENTIFY RESEARCH GAPS
TO PROPOSE FUNDING STRATEGIES AND COLLABORATIVE MODELS

TO DETERMINE RESEARCH AGENDA PRIORITIES
TO EXPEDITE THERAPIES DISCOVERY & DEVELOPMENT
MS SOCIETIES & MSIF: 2013 CALL FOR PROPOSALS ?
Timeline and
milestones
Research community
engagement – working groups to
fill gaps, propose strategies and
funding models

April - August 2012

November 2012

Working groups present
recommendations to
Steering committee

First International
Scientific Conference
on Progressive MS

February 2013

Sept 2013

First Request for
Applications (RFA) by
Alliance
Governance

• MOU fully executed. Signed by
USA, UK, Italy and MSIF
• These are ‘managing members’
who have voting rights on the
Executive Committee
• A Contributing Member
(Denmark) is also providing
funds. The CEO can nominate a
scientist to join the SSC.
Scientific Steering
Committee
* Alan Thompson, UK, Chair
* Timothy Coetzee, USA

Giancarlo Comi, Italy , co-Chair
* Bruce Bebo, USA

* Kathy Smith, USA

Robert Fox, USA

* Paola Zaratin, Italy

Marco Salvetti, Italy

Peer Baneke, MSIF

* Dhia Chandraratna, MSIF

* Ceri Angood, MSIF

Nick de Rijke, UK

* Susan Kolhaas, UK

Raj Kapoor, UK

Inga Huitinga, Netherlands

Kim Zuitwijk, Netherlands

* Karen Lee, Canada

Anthony Feinstein, Canada
Countries actively involved in the Alliance
REQUEST FOR
APPLICATIONS
(RFA)
CHALLENGES IN PROGRESSIVE MS AWARDS - encourage
scientific innovation in:
• Phenotype/Genotype and pathophysiological mechanisms
• Development of new and existing pre-clinical models for
progressive disease based on community consensus building
• Discovery and validation of proof of concept biomarkers
• Innovative designs for proof of concept trials of therapeutic
agents or therapeutic strategies
REQUEST FOR
APPLICATIONS
(RFA)
2. INFRASTRUCTURE AWARDS - to develop enabling
technologies and infrastructure for data sharing to:
• promote and enhance data sharing and knowledge
management

• encourage collaboration among researchers
• support one or more of the Alliance priority research
areas

Awards - €75,000 for 12 months
REQUEST FOR
APPLICATIONS
(RFA)

PRE-APPLICATIONS DUE

APPLICATIONS DUE
31 January 2013

15 January 2013

http://www.endprogressivems.org

ANNOUNCEMENT OF
DECISIONS
May 2014

START
July 2014
Must Do’s
• Understand relevant aspects of human MS pathology
– Validate a pre-clinical model that emulates human pathology
– Develop high through-put screening tools

• Validate a Phase II outcome biomarker
– Use trials to advance methodology

• Develop accepted clinical outcome measures
• Not forget about symptomatic treatments
• Expand international collaborations

Targeting Progession: The Progressive MS Alliance

  • 1.
    Targeting Progression The ProgressiveMS Alliance Alan Thompson UCL and MSIF
  • 2.
    Progressive MS • Definingthe issue – impact and mechanisms • Exploring interventions => Trial Design/Outcomes • Current studies • Future direction => International initiative
  • 3.
    Increasing disability Progressive Formsof MS  Many MS patients begin with a relapsing form and convert to a progressive form Increasing disability Time  A small percentage of MS patients have nearly continuous progression of disability with no distinct relapses Time
  • 4.
    Defining Progressive MS • Neurologist: – accumulationof disability, – gradual change over time (Progressive myelopathy) • Imager: – Progressive atrophy – Decreasing MTR, NAA, fractional anisotropy • Pathologist: – Axonal pathology – Oligodendrocyte pathology • Rehabilitationist: – Loss of function; worsening symptoms • Patient: – Loss of independence – Inability to work, worsening symptoms Progressive MS is defined differently from different perspectives
  • 5.
    Relapses and Impairment MRIActivity Brain Atrophy Preclinical SPMS (and PPMS) represents a significant unmet clinical need RR-MS 10 FDA-approved therapies 0 SP-MS 1 FDA-approved therapy (mitoxantrone - rarely used) 5-10 Disease Duration (Years) 15-20+
  • 6.
  • 7.
    Estimated number ofpeople with MS Worldwide 2008: 2.1 million 2013: 2.3 million 2008: 30% of countries cited sources of data 2013: 71% cited sources of data 51% published epidemiological research, 20% unpublished research/ registers
  • 8.
    1. Delayed Progression 3.Improved Function 2. Stabilised Progression 4. Recovered Function
  • 9.
    WHAT ARE YOUR EXPECTATIONSOF A THERAPY FOR PROGRESSIVE MS? 3 2 1 www.ms-res.org 9
  • 10.
    Development of secondaryprogression is the dominant determinant of long-term prognosis, independent of disease duration and early relapse frequency Scalfari et al Neurology 2011
  • 11.
    Onset of progressivephase determines disability Scalfari et al Neurology 2011
  • 12.
    Progressive MS • Definingthe issue – impact and mechanisms • Exploring interventions => Trial Design/Outcomes • Current studies • Future direction => International initiative
  • 13.
    Key areas  Inflammation White matter demyelination/remyelination  Gray matter involvement  Axonal loss
  • 14.
  • 15.
    Brain Enhancement • 42% patientswith early PPMS (< 5 years) had at least one enhancing lesion on their baseline scan • Number of enhancing lesions associated with - younger age (r=0.5, p= 0.003) - higher T2 load (r= 0.5, p=0.02) - worse outcome!
  • 16.
  • 17.
    Compartmentalized inflammation in progressive MS Bradland Lassmann, Semin Immunopathol 2009
  • 18.
    Pathologic Mechanisms inEarly vs. Late MS 0 5 10 15 20 Years After MS Onset 25 30
  • 19.
    Key areas Inflammation White matterdemyelination/remyelination Gray matter involvement Axonal loss
  • 20.
    Remyelination often incomplete inprogressive MS score 0 % o f lesio n s 40 30 20 10 0 0 score 1 1 2 sco r e 188 lesions, 33 patients 0: completely demyelinated 1: less than 50 % remyelinated 2: more than 50 % remyelinated 3: complete remyelination score 3 Goldschmidt et al., Neurology 2009 3
  • 21.
    Key areas Inflammation White matterdemyelination/remyelination Gray matter involvement Axonal loss
  • 22.
    Cortical demyelination is extensivein progressive MS SPMS/ PPMS RRMS Cortical lesion area forebrain (%) White matter lesion area (%) RRMS 2.96 10.3 PPMS 12.54 6.54 SPMS 13.29 24.13 Kutzelnigg et al., Brain 2005
  • 23.
    High cortical lesionload at baseline High number of new CLs High rate of GM atrophy progression Characterize patients with disability progression after 5 years
  • 24.
    Key areas Inflammation White matterdemyelination/remyelination Gray matter involvement Axonal loss
  • 25.
    Spinal cord axonalloss correlates with disease duration and disability Schirmer et al., Brain Pathol 2011
  • 26.
    Summary Lassmann et al.,Nat. Rev. Neurol. 2012
  • 27.
    Progressive MS • Definingthe issue – impact and mechanisms • Exploring interventions => Trial Design/Outcomes • Current studies • Future direction – International initiative
  • 28.
  • 29.
    Studies to date Conventionaltrial design • Large numbers • Lengthy • Very expensive Targeting inflammation (largely) => Need to focus on neuroprotection/repair?
  • 31.
    Treatment A Placebo Treatment B Placebo TreatmentC Placebo Moving to adaptive trials
  • 32.
    The interim measure ΔEDSS Δ MRI MRI 0 EDSS 0 6 12 18 24 30 36 Interim
  • 33.
    Progressive MS • Definingthe issue – impact and mechanisms • Exploring interventions => Trial Design/Outcomes • Current studies • Future direction => International initiative
  • 34.
    • Progressive MSTrials: – – – – – – – – – Phenytoin Optic Neuritis Study (Phase II) PROXIMUS Trial - oxcarbazepine in SPMS (Phase II) INFORMS – fingolimod in SPMS (Phase III) ASCEND – natalizumab in SPMS (Phase III) ORATORIO – ocrelizumab (rituximab cousin ) in PPMS (Phase III) EXPAND – siponimod (fingolimod cousin) in SPMS (Phase III) MS Smart Trial – riluzole, amiloride, ibudilast in SPMS (Phase II) SPRINT-MS – ibudilast in PPMS/SPMS (Phase II) rituximab, mesenchymal stem cells, mastitinib, lipoic acid, erythropoietin, hydroxyurea, idebenone, simvastatin
  • 36.
    Time to Confirmed Disease All Intent-to-TreatPatients (N=439) Progression HR: 0.77 Proportion of Patients 50 (95% CI: 0.55 -1.09) p-value=0.1442 40 30 Rituximab Placebo 20 10 0 12 24 36 48 60 72 84 96 108 Time to Confirmed Disease Progression (weeks)
  • 37.
    Time to Confirmed Disease Progression Subgroup Analysis Age<51 Gd (-) at Baseline n=143 50 Proportion of Patients 50 HR: 0.63 (95% CI: 0.34-1.18) p=0.1427 40 Age <51 Gd (+) at Baseline n=72 HR: 0.33 (95% CI: 0.14-0.79) p=0.0088 40 30 30 20 20 10 10 0 12 24 36 Rituximab Placebo 48 60 72 84 96 108 0 12 24 36 48 60 72 84 96 108 Time to Confirmed Disease Progression (weeks)
  • 38.
    MS-STAT trial High doseoral Simvastatin in Secondary Progressive Multiple Sclerosis Jeremy Chataway for the MS-STAT Collaborators Lancet in press
  • 39.
    • High-dose simvastatin(80mg) in SPMS • Established secondary progression (narrative/EDSS) for ≥ 2years • EDSS 4.0 (500m) - 6.5 (20m/2 sticks) – Relapse free/no corticosteroids >3 months – DMT >6months – Mitoxantrone >12 months – Never alemtuzumab/natalizumab
  • 40.
  • 41.
  • 42.
  • 43.
    Primary outcome: BBSIchange in whole brain volume (%/year) Mean (SD) placebo Mean (SD) Difference simvastatin means (95% CI)* Change WBV (%/year) 0.589 (0.528) 0.298 (0.562) Number patients evaluated 64 66 *Adjusting for minimisation variables and MRI site -0.254 (-0.423 to -0.085) in p-value 0.003
  • 44.
  • 45.
    Change in EDSS 0to 24 months Change in EDSS from Baseline to 24 months
  • 46.
    Cannabinoid trials 12 monthfollow-up (80%) N=657 CAMS Zajicek Lancet 2003; JNNP 2005
  • 47.
    Aims of CUPIDstudy • assess the value of Δ9-THC in slowing progressive MS over 3 yrs • assess the safety of Δ9-THC over the long-term. • improve research methodology; using new, patient-orientated methods.
  • 48.
  • 49.
    1.0 P(EDSS progression) 0.8 0.6 0.4 Baseline EDSSscore 4 4.5 5 5.5 6 6.5 0.2 0.0 0 200 400 600 800 Time to EDSS progression (days) 1000 1200
  • 50.
    Progressive MS • Definingthe issue – impact and mechanisms • Exploring interventions => Trial Design/Outcomes • Current studies • Future direction => International initiative
  • 51.
    More trials ofNeuroprotective agents Lifestyle Remyelination Rehabilitation Enhancing plasticity
  • 52.
    Kapoor et al.Lancet Neurol 2010; 9: 681–88.
  • 53.
    Kapoor et al.Lancet Neurol 2010; 9: 681–88.
  • 54.
    MS-STOP>>MS-SMART 4 arms [1placebo + 3 active] Multiplex Phase IIb trial – 4*110=440 – allowing for drop-outs [10%+10%] – Primary outcome=SIENA PBVC – Gives 90% power for 35% treatment effect
  • 56.
    • • • UK-based Phase IItrial in SPMS 4 arms: riluzole, amiloride, ibudilast, placebo Primary outcome: atrophy – – • Clinical measures Subset: advanced imaging, CSF Evaluates 3 therapies with using one placebo group US-based Phase II trial in SPMS/PPMS Uses NIH-sponsored Phase II trial network 2 arms: ibudilast, placebo Outcomes: atrophy, DTI, MTR, OCT Standardized advanced imaging at all sites Clinical measures Head-to-head comparison of imaging measures Longitudinal validation to clinical outcomes Ideally, trials should both test a therapy and develop progressive MS trial methodology
  • 57.
  • 58.
    Autologous mesenchymal stemcells for the treatment of secondary progressive multiple sclerosis: an open-label phase 2a proof-of-concept study Peter Connick, Madhan Kolappan, Charles Crawley,Daniel J Webber, Rickie Patani, Andrew W Michell,Ming-Qing Du, Shi-Lu Luan, Daniel R Altmann, Alan J Thompson, Alastair Compston, Michael A Scott, David H Miller, Siddharthan Chandran Lancet Neurology Feb 2012 10 patients with secondary progressive MS Studied visual system Possible benefit in visual acuity, latency of evoked potentials and area of optic nerve
  • 59.
    ENVIRONMENTAL AGENTS Diagnosis Cigarette In utero 1st clinicalsymptom Microbial Smoke EBV Exposures ↓Vitamin D Minor tissue Birth injury Altered host immune response Genetic Predisposition -HLA phenotype -Exposure of circulating T cells to tissue antigens Active disease -B cell transformation -Proliferation of T cells (against EBVAg)
  • 60.
    Environmental Factors: Vitamin D UVB Skin 7-dehydrocholesterol Cholecalciferol (Vitamin D3) Diet “VitaminD Status” Biomarker Liver 25-hydroxyvitamin D Serum 25(OH)D Kidney - and many other cells. 1,25-dihydroxyvitamin D Active metabolite Courtesy H. Hanwell Calcium/Bone Cell growth, immune function, etc
  • 61.
    Vitamin D-binding protein incytoplasm of neurons in spinal cord
  • 62.
    Median time fromMS symptom onset to PDDS 8 according to study variables : sun exposure before MS diagnosis (a) and cod liver oil intake from 6 to 15 years (b) McDowell et al Neuroepidemiology 2011; 37: 52-57
  • 64.
    • Data fromintervention studies evaluating disease progression do not support a disease modifying effect of exercise • MRI data, patient-reported data and EAE data indicate a possible disease-modifying effect of exercise • Further studies with better methodologies are required
  • 65.
    Exercise improves aerobicfitness and cognition in progressive MS a randomised controlled pilot trial Birken S, Gold SM, Patra S, Harbs D, Tallner A, Ketels G, Schulz KH, Heesen C Institute for NeuroImmunology & Clinical MS Research University Medical Centre Eppendorf, Hamburg
  • 66.
    Exercise increases fitness andwalking ability VO2 peak (trial 1-5, p=0.04) 6MWT (p=0.008) Briken et al., in press MSJ
  • 67.
    Exercise improves learning and memory CVLTlearning (trial 1-5, p=0.02) CVLT delayed recall (trial 7, p=0.01) Briken et al., in press MSJ
  • 70.
    Mission To expedite thedevelopment of therapies for effective disease modification and symptom management in progressive MS
  • 72.
    Efforts Underway 2012 Global ProgressiveMS Portfolio $85.5 M USD Plus ~45 interventional clinical trials currently recruiting patients (www.clinicaltrials.gov)
  • 73.
    Progressive MS ResearchInitiatives 1. Over 100 investigator initiated research projects 2. MS Outcomes Assessment Consortium 3. Clinical Trials- MS SMART, SPRINT MS 4. SUMMIT natural history and risk factors study 5. Revision of Lublin-Reingold Clinical Course Descriptor 6. International Progressive MS Alliance
  • 74.
    Target pathways identification Experimental models & validation POC Clinical Outcome TrialDesign Measurements Symptomatic Management Strategies Trial design Therapies (Phase II) (Phase III) Rehabilitation Strategies Repurposing P. Stys P.Goodfellow K. Lee P. Zaratin F. Lublin J. Hobart P. Feys T. Coetzee D. Brown K. Zuidwijk COMMUNITY ENGAGEMENT TO IDENTIFY RESEARCH GAPS TO PROPOSE FUNDING STRATEGIES AND COLLABORATIVE MODELS TO DETERMINE RESEARCH AGENDA PRIORITIES TO EXPEDITE THERAPIES DISCOVERY & DEVELOPMENT MS SOCIETIES & MSIF: 2013 CALL FOR PROPOSALS ?
  • 75.
    Timeline and milestones Research community engagement– working groups to fill gaps, propose strategies and funding models April - August 2012 November 2012 Working groups present recommendations to Steering committee First International Scientific Conference on Progressive MS February 2013 Sept 2013 First Request for Applications (RFA) by Alliance
  • 76.
    Governance • MOU fullyexecuted. Signed by USA, UK, Italy and MSIF • These are ‘managing members’ who have voting rights on the Executive Committee • A Contributing Member (Denmark) is also providing funds. The CEO can nominate a scientist to join the SSC.
  • 77.
    Scientific Steering Committee * AlanThompson, UK, Chair * Timothy Coetzee, USA Giancarlo Comi, Italy , co-Chair * Bruce Bebo, USA * Kathy Smith, USA Robert Fox, USA * Paola Zaratin, Italy Marco Salvetti, Italy Peer Baneke, MSIF * Dhia Chandraratna, MSIF * Ceri Angood, MSIF Nick de Rijke, UK * Susan Kolhaas, UK Raj Kapoor, UK Inga Huitinga, Netherlands Kim Zuitwijk, Netherlands * Karen Lee, Canada Anthony Feinstein, Canada
  • 78.
  • 79.
    REQUEST FOR APPLICATIONS (RFA) CHALLENGES INPROGRESSIVE MS AWARDS - encourage scientific innovation in: • Phenotype/Genotype and pathophysiological mechanisms • Development of new and existing pre-clinical models for progressive disease based on community consensus building • Discovery and validation of proof of concept biomarkers • Innovative designs for proof of concept trials of therapeutic agents or therapeutic strategies
  • 80.
    REQUEST FOR APPLICATIONS (RFA) 2. INFRASTRUCTUREAWARDS - to develop enabling technologies and infrastructure for data sharing to: • promote and enhance data sharing and knowledge management • encourage collaboration among researchers • support one or more of the Alliance priority research areas Awards - €75,000 for 12 months
  • 81.
    REQUEST FOR APPLICATIONS (RFA) PRE-APPLICATIONS DUE APPLICATIONSDUE 31 January 2013 15 January 2013 http://www.endprogressivems.org ANNOUNCEMENT OF DECISIONS May 2014 START July 2014
  • 82.
    Must Do’s • Understandrelevant aspects of human MS pathology – Validate a pre-clinical model that emulates human pathology – Develop high through-put screening tools • Validate a Phase II outcome biomarker – Use trials to advance methodology • Develop accepted clinical outcome measures • Not forget about symptomatic treatments • Expand international collaborations

Editor's Notes

  • #7 The reported prevalence of MS varies considerable between countries and regions.
  • #41 Baseline scan (native space)
  • #42 Repeat scans – registered to baseline (spatially aligned)
  • #43 Screening (baseline) scan showing BBSI colour overlayRed = intensity (brain tissue) lossGreen= intensity (brain tissue) gainBSI measures this across all the brain surfaces to give a volume of change over time
  • #74 In addition to over 100 investigator initiated research projects, there are several Society initiatives focused on progressive MS that I want to make you aware of. They include:Efforts to develop an updated outcomes measures for MS clinical trials, Funding for a couple of key progressive clinical trialsA multi center risk factor study called SUMMITSupport for a revision of the Lublin/Reingold clinical course descriptorsAnd finally a bold initiative to create an international alliance that accelerates progressive MS research and development of new strategies for treating disease
  • #76 Workgroups have been engaged for most of last year of each priority area. The workgroups presented their recommendations at a meeting in London in November 2012 and this was followed by the first International Scientific Conference on Progressive MS in Milan in February 2013. Following this meeting the SSC developed a research strategy, and as part of that strategy the first operational phase: a first RFA in Sept 2013.
  • #77 Managing members give 1 million euroContributing members give ½ million euroWe will be working on developing an additional category for members that contribute less than ½ million euro.
  • #79 This slide is for use at the world conference and for MSIF Berlin board meetings, not necessarily for use with the Scientific Steering Committee in ECTRIMS.Of course all MSIF members AND other countries can get involved too by sharing the RFA an fundraising and raising awareness.Demonstrate that this is a global initiative, an INTERNATIONAL alliance.IT is growing. Room for moreTop three are on the EC plus Danes: contributing memberDutch and Canada are on the Scientific Steering CommitteeSpanish and Australian are on the Comms team
  • #80 CHALLENGES IN PROGRESSIVE MS AWARDS: designed to encourage and nurture scientific innovation in the following focus areas: • Phenotype/Genotype and pathophysiological mechanisms of progressive MS• Development of new and existing pre-clinical models for progressive disease based on community consensus building• Discovery and validation of proof of concept biomarkers• Innovative designs for proof of concept trials of therapeutic agents or therapeutic strategies
  • #81 2. INFRASTRUCTURE AWARDS: to develop enabling technologies and infrastructure for data sharing topromote and enhance data sharing and knowledge management, encourage collaboration among researchersAnd support one or more of the Alliance priority research areasAwards - €75,000 for 12 months (~10 awards per year) – possibility of €500,000 follow on funding for successful projects