PILON FRACTURES
Dr Prakashappa T. H.
Professor , S.I.T. O
BENGALURE
Historical perspective
 The term”tibial pilon”was
first used by DESTOT in
1911,likening the pilon to
the pestle.
 Pilon is french word for
pestle,an instrument used
for crushing or pounding,
 1911; DESTOT-term ‘PILON’ was used
 1960(early); BONNIER-1960 Non operative treatment
GAY - 1963
 1965(late 60’s); RoudieAllgower-ORIF
 1980-1990 ; Bournie-1983
; Teenywiss -1990--- High complication with ORIF
poor respect to the soft tissues by
operating on d3-5
 Early 90’s- Tornetta-1993
Wyrsch-1995----------Ex Fix with limited ORIF
 Late 90’s-2000-Sirkin 1999
Patterson 1999-------Staged protocal-
early temporary Ex Fix and
delayed ORIF
What is pilon fracture?
 All the fractures of the distal tibia involving the distal
articular surface should be classified as pilon fractures
except medial,lateral & trimalleolar fractures where
the posterior malleolus is< 13 of the articular surface
If isolated fracture of the posterior malleolus which is
> 1/3 of articular surface should also called as pilon
fracture.
OBJECTIVES
 OVERVIEW
(anatomy;epidemiology;mechanism)
 EVALUATION
(cinical;physical and imaging)
 CLASSIFICATIONS
 ASSOCIATED IJURIES
 TREATEMENT
 COMPLICATIONS
ANATOMY
 TIBIAL PILON; Distal
end of Tibia including
articular surface
 Proximal limit of tibial
pilon;8 to 10 cm from the
tibial articular surface
EXCLUDING BI-MALLEOLAR
&TRIMALLEOLAR#RES
EPIDIOMOLOGY
 Accounts for approximately 5-7% of all tibial fractures
 Accounts for <1% of all lower extremity fractures
 Avarage age;35-40 years rare in children and elderly
 Common in men than women;(3:1)
 High energy fractures=25 to 50% of the patients have
additional injuries
MECHANISM
 Pilon fractures are most often caused by axial loading
(high energy impacts)such as fall from height,motor
vehicle accident
-leads to high degree of disruption of articular surface and soft
tissue affection
 It may be caused by shear loading (rotational or lower
energy impacts)
Leads to less degree of disruption of articular surface
valgus varus
CT Scanning
 Extent of articular involvement
 Orientation of fracture
 Extent of comminution or
imfactoin of fracture
 Surgical decision making
The 3 classic articular components
of pilon fractures
 Anterolateral(chauput fragment)
 Medial
 Posterolateral(volkmann fragment)
Classification
AOOTA CLASSIFICATION
 Three main subgroups
A) Extra rticular(4,3-A)
B) Partial articular(4,3-B)
C) Intra aricular(4,3-C)
 These fractures are further devided in to sub-groups
depending upon the comminution
 Most of B- type fractures are tortional injuries and C-type
of fractures are high energy compressive injuries
Associated injuries
 Because of their high energy nature, these fractures
can be expected to have specific associated injuries
ex;
Calcaneal fractures
Tibial pleatue fractures
Pelvic fractures
Vertebral fractures
MANAGEMENT

 Surgical treatment of tibia pilon fractures is challenging
because of articular comminution, metaphyseal bone
loss and serious soft tissue injury. Management of this
injury must include articular surface and metaphysis
reconstruction as well as treatment of injured soft tissue
envelope. Timing of surgery is crucial in pilon fractures
because of extensive soft tissue damage. Main target of
treatment is preserving the function of the ankle
Results and general comments of pilon
fractures
 Terrible injuries,
 “Excellent results”rarely achieved
 Fair-Good results are norm
 Outcomes are impossible to predict,
Treatement challenges
 Difficult to get anatomical restoration of joint
 Instability of ankle -ligament and soft tissue injuries
 High soft tissue complication
 Open surgery –high incidence of poor wound
healing,infection,delayed union and non-union
Three important anatomical
zones to be considered in the
decision making treatement
and prognosis
 Articular surface
 Metaphysis
 Fibula
Treatement options
 NON -SURGICAL  SURGICAL
Non-surgical
 Undisplaced fracture and debilitated patients
A1,B1 and C1
Long leg cast for 6 weeks fallowed by brace and ROM
excersises
 Disadvantage;
Loss of reduction
Inability to monitor soft tissue status in the cast
Surgical
 Factors determining the surgical treatement
 BONY FACTORS
 SOFT TISSUE FACTORS
Types of surgical treatement
 1. ORIF, Open Reduction Internal ‘‘rigid’’ Fixation
 2 External Fixation with minimal osteosynthesis
 3 Closed Reduction Internal ‘‘biological’’ Fixation.
(MIPPO Technique)
 4. Intramedullary nailing
 5.Two stage protocol
Review
 An update on the
management of high-
energy pilon fractures
I.S. Tarkin a,*, M.P. Clare b, A.
Marcantonio a, H.C. Pape a
University of pitsburg medical centre
JOURNAL OF INJURY USA
AO/OTA-C FRACTURES -ORIF
Ruedi ,Allgower-84cases
74%-good functional recovery
12%-wound complications
5%-deep wond infection
Mecferran etall -35 cases of C3
34% infected
Teeny & wiss- 36cases- c3
54% complications
 Is there a role for intramedullary nails in the
treatment of simple pilon fractures?Rationale and
preliminary results
Matthew S. Marcus a, Richard S. Yoon b, Joshua Langford c, Erik N. Kubiak d, Andrew
J. Morris d, Kenneth J. Koval c, George J. Haidukewych c, Frank A. Liporace
JOURNAL OF INJURY New jersy medical centre USA
aoota – C1& C2—36 Patients
excellent alignment and union rate, -when proper selection of patient
and surgical indication
1 delayed union 1 sup infection
1 non union 2 deep infection
The operative treatment of complex pilon fractures: A strategy
of soft tissue control
 Xianfeng He, Yong Hu, [...], and Yon
 gping Ruan IJO sep 2013
Two Stage treatment with
NPWT
 36 Patients
one sup infection
no deep infection
 SIRKIN-1999 JOT- retrospective study of 56 patients
Two stage protocol
44-C3 type closed 22-open fractures
average definitive Rx with ORIF is 12-14 days
RESULTS; Closed fractures; 1-deep infection,8-sup skin necrosis
Open fractures ; 2-deep infection
 PATTERSON 1999 JOT-Retrospective study
C3-22 fractures 6-open type
overage definitive Rx with ORIF is 24 days
RESULTS; average time for union of fractures is 4.5 months
77% good results
No infection
9% require arthrodesis of ankle at later date
 HARRISON etal-2006 Foot & Ankle Journal
79- C type of fractures 2 yr fallow up
Staged protocol -v- Ex Fix with Ltd IF
RESULTS; Poor prognosis in Ex Fix with Ltd IF group
Good prognosis in Staged protocol group
 EARLY Ex Fix –v-ORIF in high energy pilon fractures
Wyrsch JBJS 1998
Early ExFix plating(ORIF)
5% skin slough 33% wound break down
5% wound infection 28%% infection
0% amputation 16% amputation
Outcomes After Treatmentof High-EnergyTibial
Plafond Fractures
BY ANDREW N. POLLAK, MD, MELISSA L. MCCARTHY, MS, SCD,
R. SHAY BESS, MD, JULIE AGEL, ATC, AND MARC F. SWIONTKOWSKI, MD
JBJS WASHINGTON SCHOOL OF MEDICINE USA
 103 –All types of high energy pilon fractures Rx with different
methods
35%-ankle stifness
29%-persistant ankle swelling
33%-on going ankle pain
29%-left the job
 1. ORIF, Open Reduction Internal ‘‘rigid’’
Fixation
Reudi & Allower …… type 1
AOOTA………………………. A1,A2 ---YES
C-Fractures not advocated
2. External Fixation with or without minimal osteosynthesis
of articular joint
 In low grade- RUEDI
grade 1 & AOOTA
a1,a2&b1
3 Closed Reduction Internal ‘‘biological’’ Fixation (MIPO Technique)
 Ruedi &Allgower type 1&2
 AOOTA a1 b1 & c1
.4 Intramedullary nailing
YES –A1,A2,& C1, C2
TWO STAGE PROTOCAL
 All B3 and C type 0f
AO/OTA
 Ruedi & Allgower type 3
 1. Fix the # fibula(90%)
through postero lateral
approach to regain the
correct lengh of the tibia
and facilitate three
dimensional view of the
fracture
 2.External fixator-
a)Ankle Spanning -rigid
-articulated
b) Non spanning -
illizarov
-hydride
First step
Second stage
 After 10-14 days average(10
days)
 Remove the Ex Fix
 Through antero lateral
incision
 Articular reduction & fixation
with pre countered plate and
screws
 Additional antero medial
incision may require to fix
MM or large medial fragment
 Two incision required-
maintain not<6-7 cm
between two incision
Open Pilon Fracture
 Usually –C fractures
meticulous debridment+Ex Fix
soft tissue cover(plastic surgery)
delayed definitive ORIF
Summary
 Select the correct treatment for the patient and the
injury
 Careful assessment of bony and soft tissue injury
 Early ex-fix and delayed definitive internal fixation
 Limit the incisions, gentle handling of soft tissue
gentle reduction of fracture
 Stable fixation with pre-counter plates
 Experience of the surgeon
THANK YOU

Pilon fractures

  • 1.
    PILON FRACTURES Dr PrakashappaT. H. Professor , S.I.T. O BENGALURE
  • 2.
    Historical perspective  Theterm”tibial pilon”was first used by DESTOT in 1911,likening the pilon to the pestle.  Pilon is french word for pestle,an instrument used for crushing or pounding,
  • 3.
     1911; DESTOT-term‘PILON’ was used  1960(early); BONNIER-1960 Non operative treatment GAY - 1963  1965(late 60’s); RoudieAllgower-ORIF  1980-1990 ; Bournie-1983 ; Teenywiss -1990--- High complication with ORIF poor respect to the soft tissues by operating on d3-5  Early 90’s- Tornetta-1993 Wyrsch-1995----------Ex Fix with limited ORIF  Late 90’s-2000-Sirkin 1999 Patterson 1999-------Staged protocal- early temporary Ex Fix and delayed ORIF
  • 4.
    What is pilonfracture?  All the fractures of the distal tibia involving the distal articular surface should be classified as pilon fractures except medial,lateral & trimalleolar fractures where the posterior malleolus is< 13 of the articular surface If isolated fracture of the posterior malleolus which is > 1/3 of articular surface should also called as pilon fracture.
  • 5.
    OBJECTIVES  OVERVIEW (anatomy;epidemiology;mechanism)  EVALUATION (cinical;physicaland imaging)  CLASSIFICATIONS  ASSOCIATED IJURIES  TREATEMENT  COMPLICATIONS
  • 6.
    ANATOMY  TIBIAL PILON;Distal end of Tibia including articular surface  Proximal limit of tibial pilon;8 to 10 cm from the tibial articular surface EXCLUDING BI-MALLEOLAR &TRIMALLEOLAR#RES
  • 7.
    EPIDIOMOLOGY  Accounts forapproximately 5-7% of all tibial fractures  Accounts for <1% of all lower extremity fractures  Avarage age;35-40 years rare in children and elderly  Common in men than women;(3:1)  High energy fractures=25 to 50% of the patients have additional injuries
  • 8.
    MECHANISM  Pilon fracturesare most often caused by axial loading (high energy impacts)such as fall from height,motor vehicle accident -leads to high degree of disruption of articular surface and soft tissue affection  It may be caused by shear loading (rotational or lower energy impacts) Leads to less degree of disruption of articular surface
  • 10.
  • 18.
    CT Scanning  Extentof articular involvement  Orientation of fracture  Extent of comminution or imfactoin of fracture  Surgical decision making
  • 19.
    The 3 classicarticular components of pilon fractures  Anterolateral(chauput fragment)  Medial  Posterolateral(volkmann fragment)
  • 20.
  • 21.
    AOOTA CLASSIFICATION  Threemain subgroups A) Extra rticular(4,3-A) B) Partial articular(4,3-B) C) Intra aricular(4,3-C)  These fractures are further devided in to sub-groups depending upon the comminution  Most of B- type fractures are tortional injuries and C-type of fractures are high energy compressive injuries
  • 24.
    Associated injuries  Becauseof their high energy nature, these fractures can be expected to have specific associated injuries ex; Calcaneal fractures Tibial pleatue fractures Pelvic fractures Vertebral fractures
  • 25.
  • 26.
     Surgical treatmentof tibia pilon fractures is challenging because of articular comminution, metaphyseal bone loss and serious soft tissue injury. Management of this injury must include articular surface and metaphysis reconstruction as well as treatment of injured soft tissue envelope. Timing of surgery is crucial in pilon fractures because of extensive soft tissue damage. Main target of treatment is preserving the function of the ankle
  • 27.
    Results and generalcomments of pilon fractures  Terrible injuries,  “Excellent results”rarely achieved  Fair-Good results are norm  Outcomes are impossible to predict,
  • 29.
    Treatement challenges  Difficultto get anatomical restoration of joint  Instability of ankle -ligament and soft tissue injuries  High soft tissue complication  Open surgery –high incidence of poor wound healing,infection,delayed union and non-union
  • 30.
    Three important anatomical zonesto be considered in the decision making treatement and prognosis  Articular surface  Metaphysis  Fibula
  • 31.
    Treatement options  NON-SURGICAL  SURGICAL
  • 32.
    Non-surgical  Undisplaced fractureand debilitated patients A1,B1 and C1 Long leg cast for 6 weeks fallowed by brace and ROM excersises  Disadvantage; Loss of reduction Inability to monitor soft tissue status in the cast
  • 33.
    Surgical  Factors determiningthe surgical treatement  BONY FACTORS  SOFT TISSUE FACTORS
  • 34.
    Types of surgicaltreatement  1. ORIF, Open Reduction Internal ‘‘rigid’’ Fixation  2 External Fixation with minimal osteosynthesis  3 Closed Reduction Internal ‘‘biological’’ Fixation. (MIPPO Technique)  4. Intramedullary nailing  5.Two stage protocol
  • 35.
    Review  An updateon the management of high- energy pilon fractures I.S. Tarkin a,*, M.P. Clare b, A. Marcantonio a, H.C. Pape a University of pitsburg medical centre JOURNAL OF INJURY USA AO/OTA-C FRACTURES -ORIF Ruedi ,Allgower-84cases 74%-good functional recovery 12%-wound complications 5%-deep wond infection Mecferran etall -35 cases of C3 34% infected Teeny & wiss- 36cases- c3 54% complications
  • 36.
     Is therea role for intramedullary nails in the treatment of simple pilon fractures?Rationale and preliminary results Matthew S. Marcus a, Richard S. Yoon b, Joshua Langford c, Erik N. Kubiak d, Andrew J. Morris d, Kenneth J. Koval c, George J. Haidukewych c, Frank A. Liporace JOURNAL OF INJURY New jersy medical centre USA aoota – C1& C2—36 Patients excellent alignment and union rate, -when proper selection of patient and surgical indication 1 delayed union 1 sup infection 1 non union 2 deep infection
  • 37.
    The operative treatmentof complex pilon fractures: A strategy of soft tissue control  Xianfeng He, Yong Hu, [...], and Yon  gping Ruan IJO sep 2013 Two Stage treatment with NPWT  36 Patients one sup infection no deep infection
  • 38.
     SIRKIN-1999 JOT-retrospective study of 56 patients Two stage protocol 44-C3 type closed 22-open fractures average definitive Rx with ORIF is 12-14 days RESULTS; Closed fractures; 1-deep infection,8-sup skin necrosis Open fractures ; 2-deep infection  PATTERSON 1999 JOT-Retrospective study C3-22 fractures 6-open type overage definitive Rx with ORIF is 24 days RESULTS; average time for union of fractures is 4.5 months 77% good results No infection 9% require arthrodesis of ankle at later date
  • 39.
     HARRISON etal-2006Foot & Ankle Journal 79- C type of fractures 2 yr fallow up Staged protocol -v- Ex Fix with Ltd IF RESULTS; Poor prognosis in Ex Fix with Ltd IF group Good prognosis in Staged protocol group  EARLY Ex Fix –v-ORIF in high energy pilon fractures Wyrsch JBJS 1998 Early ExFix plating(ORIF) 5% skin slough 33% wound break down 5% wound infection 28%% infection 0% amputation 16% amputation
  • 40.
    Outcomes After TreatmentofHigh-EnergyTibial Plafond Fractures BY ANDREW N. POLLAK, MD, MELISSA L. MCCARTHY, MS, SCD, R. SHAY BESS, MD, JULIE AGEL, ATC, AND MARC F. SWIONTKOWSKI, MD JBJS WASHINGTON SCHOOL OF MEDICINE USA  103 –All types of high energy pilon fractures Rx with different methods 35%-ankle stifness 29%-persistant ankle swelling 33%-on going ankle pain 29%-left the job
  • 41.
     1. ORIF,Open Reduction Internal ‘‘rigid’’ Fixation Reudi & Allower …… type 1 AOOTA………………………. A1,A2 ---YES C-Fractures not advocated
  • 43.
    2. External Fixationwith or without minimal osteosynthesis of articular joint  In low grade- RUEDI grade 1 & AOOTA a1,a2&b1
  • 44.
    3 Closed ReductionInternal ‘‘biological’’ Fixation (MIPO Technique)  Ruedi &Allgower type 1&2  AOOTA a1 b1 & c1
  • 45.
  • 46.
    TWO STAGE PROTOCAL All B3 and C type 0f AO/OTA  Ruedi & Allgower type 3
  • 48.
     1. Fixthe # fibula(90%) through postero lateral approach to regain the correct lengh of the tibia and facilitate three dimensional view of the fracture  2.External fixator- a)Ankle Spanning -rigid -articulated b) Non spanning - illizarov -hydride First step
  • 53.
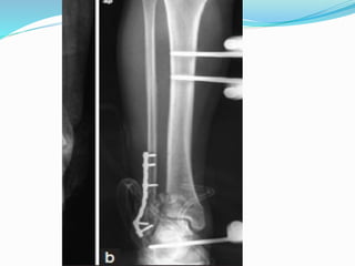
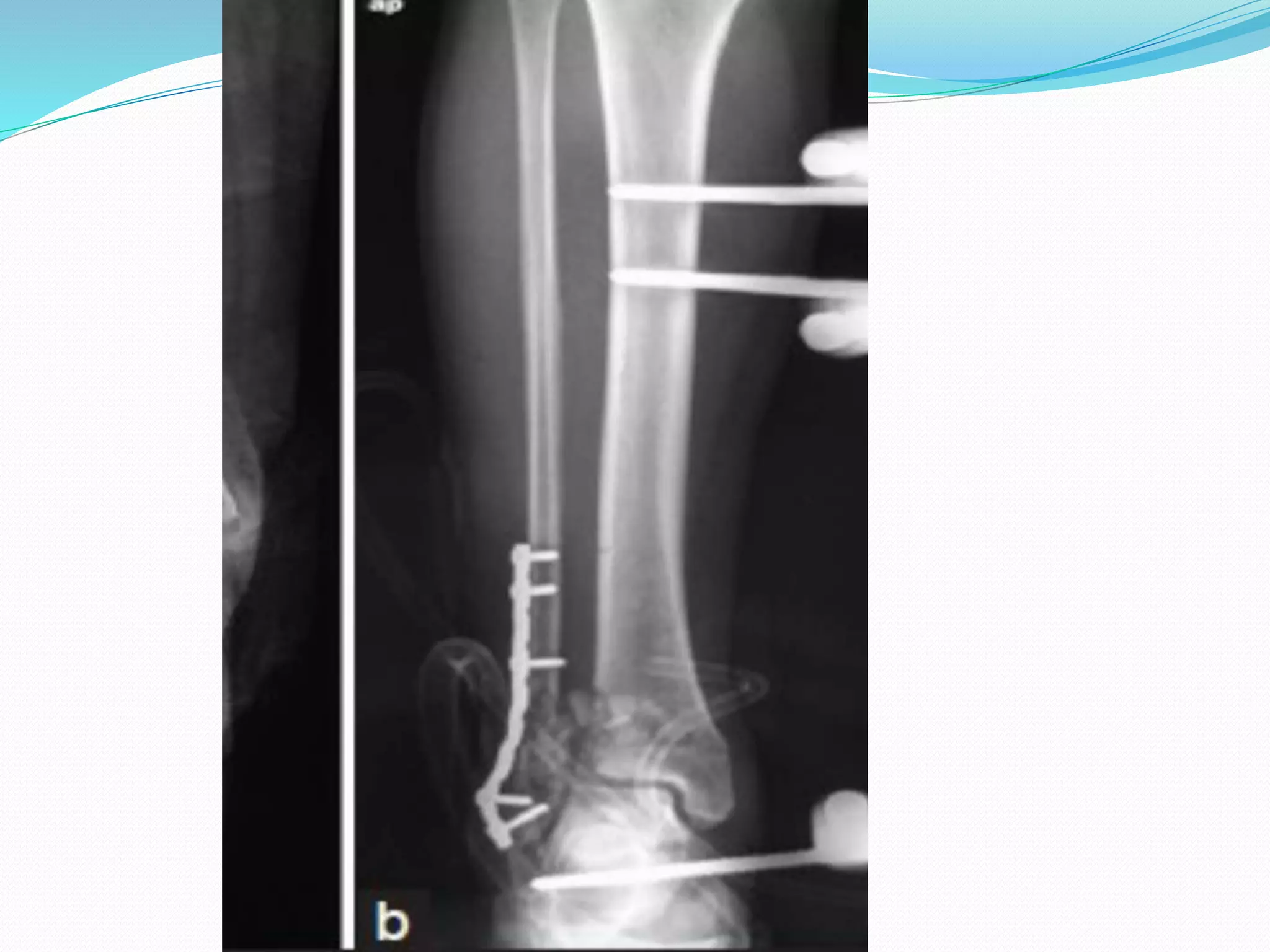
    Second stage  After10-14 days average(10 days)  Remove the Ex Fix  Through antero lateral incision  Articular reduction & fixation with pre countered plate and screws  Additional antero medial incision may require to fix MM or large medial fragment  Two incision required- maintain not<6-7 cm between two incision
  • 55.
    Open Pilon Fracture Usually –C fractures meticulous debridment+Ex Fix soft tissue cover(plastic surgery) delayed definitive ORIF
  • 57.
    Summary  Select thecorrect treatment for the patient and the injury  Careful assessment of bony and soft tissue injury  Early ex-fix and delayed definitive internal fixation  Limit the incisions, gentle handling of soft tissue gentle reduction of fracture  Stable fixation with pre-counter plates  Experience of the surgeon
  • 58.