ELBOW AND FOREARM
FRACTURES FRACTURES
PRESENTED BY
MWADZIWANA LOUIS LAW
Elbow joint Anatomy
Fractures of the distal humerus
In adults they are associated with high-energy
injuries.
In children - falls with an outstretched arm
The AO-ASIF Group have defined three types of
distal humeral fracture:
Type A – an extra-articular supracondylar
fracture;
Type B – an intra-articular unicondylar fracture
(one condyle sheared off);
Type C – bicondylar fractures with varying
degrees of comminution.
Supracondylar fractures type A
rare in adults.
Usually they are displaced and unstable
In high-energy injuries there may be
comminution of the distal humerus
Treatment
 Open reduction and internal fixation.
 Mostly plates and screws are used
 Closed reduction is unlikely to be stable
 K-wire fixation is not strong enough to permit early
mobilization.
Types B and C intra articular fractures
high-energy FRACTURES AND JOINT INJURIES
injuries with soft-tissue damage.
A severe blow on the point of the elbow drives
the olecranon process upwards, splitting the
condyles apart. Swelling is considerable.
 The patient should be checked for
i. Pulselessness
ii. Pallor
iii. Pain
iv.Paresthesia
v. Paralysis
X-ray
 T- or Y shaped break, or else there may be (comminution).
Treatment type Undisplaced fractures
Joint damage- prolonged immobilization will
certainly result in a stiff elbow.
Early movement is a prime objective.
Treated by applying a posterior slab with the
elbow flexed almost 90 degrees;
movements are commenced after 2 weeks.
Reduction of a supracondylar fracture
Txt Displaced type B and C
 ORIF
 K wire can be used
 unicondylar fracture without comminution can then be
fixed with screws; if the fragment is large, a contoured
plate is added to prevent re-displacement.
 Plates with locking screws
 Postoperatively the elbow is held at 90 degrees with the
arm supported in a sling. Movement is encouraged but
should never be forced.
 Fracture healing usually occurs by 12 weeks.
 patient often does not regain full extension
Alternative treatments
 Elbow replacement
 The ‘bag of bones’ technique.
 The arm is held in a collar and cuff or, better, a
hinged brace, with the elbow flexed above a right
angle; active movements are encouraged as soon as
the patient is willing. The fracture usually unites within
6–8 weeks, but exercises are continued far longer. A
useful range of movement (45–90 degrees) is often
obtained.
 Skeletal traction
the patient remains in bed with the humerus held
vertical, and elbow movements are encouraged.
Complications of supracondylar fractures
 Vascular injury
 Nerve injury median nerve
 Volkmann’s ischemic contracture
 Malunion leading to gunstock deformity
 Myositis ossificans
 Stiffness
FRACTURED CAPITULUM
 rare articular fracture
 Mainly occurs in adults
 elbow is tender and flexion is grossly restricted
 Mechanism of injury
The patient falls on the hand, usually with the elbow
straight.
The anterior part of the capitulum is sheared off and
displaced proximally
X-rays
Bryan and Morrey classify these as:
i. Type I Complete fracture
ii. Type II Cartilaginous shell
iii. Type III Comminuted fracture.
Can You See The Capitulum
Treatment
 Undisplaced fractures can be treated by simple
splintage for 2 weeks.
 Displaced fractures should be reduced and held.
 Closed reduction is feasible, but prolonged
immobilization may result in a stiff elbow.
 ORIF is therefore preferred.
 Using headless bone screws
 Movements are commenced as soon as discomfort
permits
Fractured head of the Radius
Common in adults
A fall on the outstretched hand with the elbow
extended and the forearm pronated
Impaction of the radial head against the capitulum
causes the radial head to split or brake
Clinical features - tenderness on pressure over the
radial head and pain on pronation and supination
X-rays
 Three types of fracture are identified and classified by Mason as:
i. Type I An undisplaced vertical split in the radial head
ii. Type II A displaced single fragment of the head
iii. Type III The head broken into several fragments (comminuted).
Treatment
 An undisplaced split (Type I)
 Aspirating the haematoma and injecting local anaesthetic.
 The arm is held in a collar and cuff for 3 weeks; active
flexion, extension and rotation are encouraged.
 The prognosis for this injury is very good
 A single large fragment (Type II)
 reduced and held with one or two small headless screws.
Treatment
 A comminuted fracture (Type III).
 Always assess for an associated soft tissue injury:
i. Rupture of the medial collateral ligament
ii. Rupture of the interosseous membrane
iii. Combined fractures of the radial head and coronoid process plus
dislocation of the elbow ‘the terrible triad’.
 If any of these is present, excision of the radial head is contra-
indicated; this may lead to intractable instability of the elbow or
forearm.
 The head must be reconstructed with small headless screws or
replaced with a metal spacer.
 A medial collateral rupture, if unstable after replacing or fixing the
radial head, should be repaired.
Complications
 Joint stiffness both the elbow and the radioulnar joints.
 Delayed union
 Stiffness
 Myositis ossificans
 Recurrent instability of the elbow joint
Fractures of the olecranon
 Two broad types of injury are seen:
i. Comminuted fracture which is due to a direct blow or a
fall on the elbow
ii. A transverse break, due to traction when the patient falls
onto the hand while the triceps muscle is contracted.
 These two types can be further sub-classified into
i. Displaced fractures
ii. Undisplaced fractures.
 Subluxation or dislocation of the ulno-humeral joint in
severe injuries
 The fracture always enters the elbow joint and therefore
damages the articular cartilage.
Clinical features
 A graze or bruise over the elbow suggests a
comminuted fracture; the triceps is intact and the
elbow can be extended against gravity.
 With a transverse fracture there may be a palpable
gap and the patient is unable to extend the elbow
against resistance.
Treatment
 A comminuted fracture with the triceps intact should be
rested in a sling for a week; then encouraged to start
active movements.
 An undisplaced transverse fracture that does not
separate when the elbow is in flexion can be treated
closed.
 The elbow is immobilized by a cast in about 60 degrees
of flexion for 2–3 weeks and then exercises are begun.
 Displaced transverse fracture ORIF is done. The fracture
is reduced and held by tension band wiring.
 Oblique fractures may need a lag screw, neutralized by
a tension band system or plate.
Treatment
 Displaced comminuted fractures need a plate and often bone
graft.
 Following operation, early mobilization should be encouraged.
Main Complications
Stiffness
Non-union due to inadequate reduction and
fixation.
Ulnar nerve symptoms can develop.
Osteoarthritis
Radius and Ulnar bones
Fractures of the radius and the ulna
Common both in children and adults
Mechanism of injury
Twisting forces produces a spiral fracture with the
bones broken at different levels.
An angulating force causes a transverse fracture
of both bones at the same level.
A direct blow causes a transverse fracture of just
one bone, usually the ulna.
Additional rotation deformity may be produced
by the pull of muscles attached to the radius
Clinical features
Obvious fractures due to deformity
Check for the five P’s
i. Pulselessness
ii. Pallor
iii. Pain
iv.Paresthesia
v. Paralysis
X-ray
Both bones are broken
In children, the fracture is often incomplete
(greenstick) and only angulated.
In adults, displacement may occur in any
direction – shift, overlap, tilt or twist.
In low-energy injuries, the fracture tends to be
transverse or oblique; in high-energy injuries it is
comminuted or segmental
X-ray images of the forearm
Treatment in children
Closed treatment because the tough
periosteum tends to guide and then control the
reduction.
The fragments are held in a full-length cast, from
axilla to metacarpal shafts (to control rotation).
For 6-8weeks.
The cast is applied with the elbow at 90
degrees.
If the fracture is proximal to pronator teres, the
forearm is supinated; if it is distal to pronator
teres, then the forearm is held in neutral.
Treatment in children continued
If the conservative method fails ORIF is done
Fixation with intramedullary rods is
preferred, avoid injury to the growth plates.
Alternatively, a plate or K-wire fixation can be
used.
Childhood fractures usually remodel well, but
not if there is any rotational deformity or an
angular deformity
Treatment in adults
 Open reduction and internal fixation
The fragments are held by inter fragmentary
compression with plates and screws.
Bone grafting is advisable if there is
comminution.
The deep fascia is left open to prevent
compartment syndrome, only the skin is sutured.
External fixation if it is a compound fracture
Plate and screws
Adult treatment
After the operation the arm is kept elevated
until the swelling subsides, and during this period
active exercises of the hand are encouraged.
If the fracture is stable
Early ROM exercises are commenced but lifting
and sports are avoided.
It takes 8–12 weeks for the bones to unite.
With comminuted fractures or unreliable
patients, immobilization in plaster is safer.
Complications
Early complications
Nerve injuries
Vascular injury
Compartment syndrome
Late complications
Delayed union and nonunion
Malunion and cross union
Complications of plate removal
Isolated fracture of the forearm
Uncommon
Caused by direct trauma
E.g. when protecting the face
Clinical features
X-ray showing fractures, ulnar fracture difficult
to see
Swelling
Deformity
Dislocations on the distal and proximal joints
Treatment
Isolated fracture of the ulna
Undisplaced fracture
Elbow flexed full arm cast or forearm brace.
8 weeks before full activity can be resumed.
Displaced fractures
ORIF to prevent rotational elements
Advantage allow earlier activity and avoids
the risk of displacement or non-union.
Treatment
Isolated fracture of the radius
Radius fractures are prone to rotary
displacement;
To achieve reduction in children the forearm
needs to be
i. supinated for upper third fractures,
ii. neutral for middle third fractures
iii. pronated for lower third fractures.
If the reduction fails; then internal fixation with a
compression plate and screws in adults, and
preferably intramedullary rods in children.
Isolated fractures of the forearm
Monteggia Fracture
Fracture of the shaft of the ulna associated with
dislocation of the proximal radio-ulnar joint and
the radiocapitellar joint.
In children, the ulnar injury may be an
incomplete fracture (greenstick or plastic
deformation of the shaft)
Mechanism of injury
Usually the cause is a fall on the hand; if at the
moment of impact the body is twisting, its
momentum may forcibly pronate the forearm.
The radial head usually dislocates forwards and
the upper third of the ulna fractures and bows
forwards.
Sometimes the causal force is hyperextension
Clinical features
ulnar deformity is usually obvious
the dislocated head of radius is masked by
swelling. A useful clue is pain and tenderness on
the lateral side of the elbow.
 The wrist and hand should be examined for
signs of injury to the radial nerve.
X-RAYS
The head of the radius is dislocated forwards,
and there is a fracture of the upper third of the
ulna with forward bowing.
Backward or lateral bowing of the ulna is likely
to be associated with, respectively,
Posterior or lateral displacement of the radial
head.
Trans-olecranon fractures, also, are often
associated with radial head dislocation.
Monteggia Fracture X-ray
Treatment
 Aim is to restore the length of the fractured ulna
 The ulnar fracture must be accurately reduced, with the
bone restored to full length, and then fixed with a plate
and screws.
 The radial head usually reduces once the ulna has been
fixed.
 Stability must be tested through a full ROM.
 If the elbow is completely stable, then flexion–extension
and rotation can be started after surgery.
 If there is doubt, then the arm should be immobilized in
plaster with the elbow flexed for 6 weeks
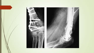
TREATED MONTEGGIA FRACTURE
Ulnar Fracture
Hume fracture - a fracture of the
olecranon with an associated
anterior dislocation of the radial
head
GALEAZZI FRACTURE-DISLOCATION
OF THE RADIUS
Fractured radius with dislocation of the distal
radioulnar joint
More common than the Monteggia fracture
Mechanism of injury
Fall on an outstretched hand; probably with a
rotation force.
The radius fractures in its lower third and the
inferior radio-ulnar joint subluxates or
dislocates.
Clinical features
Prominence or tenderness over the lower end of the
ulna.
It may be possible to demonstrate the instability of
the radio-ulnar joint by rotating the wrist.
Test for an ulnar nerve lesion
X-ray
A transverse or short oblique fracture is seen in
the lower third of the radius, with angulation or
overlap.
The distal radio-ulnar joint is subluxated or
dislocated.
Treatment
restore the length of the fractured bone
Conservative method is usually successful in
children
In adults ORIF and compression screws of the
radius
X-ray to verify that the distal radio-ulnar joint is
reduced
Reduced Galeazzi Fracture
Complications
Malunion because the distal fragment has no
longitudinal support
Cross union
Compartment syndrome
Radius fracture
Essex-Lopresti fracture - a fracture of the
radial head with concomitant dislocation
of the distal radio-ulnar joint with disruption
of the interosseous membrane.
Physiotherapy treatment
 The physiotherapist carries out an assessment of the
patient and then formulates a plan of treatment.
Aims of physiotherapy treatment
 To reduce any swelling.
 To regain full range of joint movement.
 To regain full muscle power.
 To re-educate full function.
 Maintain Soft Tissue and Joint Mobility
 Maintain Integrity and Function of Related Areas
Physiotherapy management
 soft tissue massage
 joint mobilization
 electrotherapy (e.g. ultrasound)
 taping or bracing
 ice or heat treatment
 the use of a protective gear like splints
 exercises to improve strength, flexibility and balance
 hydrotherapy
 Patient education
 activity modification eg ADL’s
 a graduated return to activity plan
Physiotherapy treatment
Reduce Effects of Inflammation or
Synovial Effusion and Protect the Area
Immobilization in a sling provides rest to
the part, weigh with complete
immobilization
Frequent periods of controlled movement
within a pain-free range should be
performed.
Salter Harris Classification
References
 Apley’s System of Orthopedics and Fractures
Elbow and forearm fractures

Elbow and forearm fractures

  • 1.
    ELBOW AND FOREARM FRACTURESFRACTURES PRESENTED BY MWADZIWANA LOUIS LAW
  • 2.
  • 3.
    Fractures of thedistal humerus In adults they are associated with high-energy injuries. In children - falls with an outstretched arm The AO-ASIF Group have defined three types of distal humeral fracture: Type A – an extra-articular supracondylar fracture; Type B – an intra-articular unicondylar fracture (one condyle sheared off); Type C – bicondylar fractures with varying degrees of comminution.
  • 4.
    Supracondylar fractures typeA rare in adults. Usually they are displaced and unstable In high-energy injuries there may be comminution of the distal humerus
  • 6.
    Treatment  Open reductionand internal fixation.  Mostly plates and screws are used  Closed reduction is unlikely to be stable  K-wire fixation is not strong enough to permit early mobilization.
  • 7.
    Types B andC intra articular fractures high-energy FRACTURES AND JOINT INJURIES injuries with soft-tissue damage. A severe blow on the point of the elbow drives the olecranon process upwards, splitting the condyles apart. Swelling is considerable.  The patient should be checked for i. Pulselessness ii. Pallor iii. Pain iv.Paresthesia v. Paralysis
  • 8.
    X-ray  T- orY shaped break, or else there may be (comminution).
  • 9.
    Treatment type Undisplacedfractures Joint damage- prolonged immobilization will certainly result in a stiff elbow. Early movement is a prime objective. Treated by applying a posterior slab with the elbow flexed almost 90 degrees; movements are commenced after 2 weeks.
  • 11.
    Reduction of asupracondylar fracture
  • 12.
    Txt Displaced typeB and C  ORIF  K wire can be used  unicondylar fracture without comminution can then be fixed with screws; if the fragment is large, a contoured plate is added to prevent re-displacement.  Plates with locking screws  Postoperatively the elbow is held at 90 degrees with the arm supported in a sling. Movement is encouraged but should never be forced.  Fracture healing usually occurs by 12 weeks.  patient often does not regain full extension
  • 14.
    Alternative treatments  Elbowreplacement  The ‘bag of bones’ technique.  The arm is held in a collar and cuff or, better, a hinged brace, with the elbow flexed above a right angle; active movements are encouraged as soon as the patient is willing. The fracture usually unites within 6–8 weeks, but exercises are continued far longer. A useful range of movement (45–90 degrees) is often obtained.  Skeletal traction the patient remains in bed with the humerus held vertical, and elbow movements are encouraged.
  • 15.
    Complications of supracondylarfractures  Vascular injury  Nerve injury median nerve  Volkmann’s ischemic contracture  Malunion leading to gunstock deformity  Myositis ossificans  Stiffness
  • 18.
    FRACTURED CAPITULUM  rarearticular fracture  Mainly occurs in adults  elbow is tender and flexion is grossly restricted  Mechanism of injury The patient falls on the hand, usually with the elbow straight. The anterior part of the capitulum is sheared off and displaced proximally
  • 19.
    X-rays Bryan and Morreyclassify these as: i. Type I Complete fracture ii. Type II Cartilaginous shell iii. Type III Comminuted fracture.
  • 20.
    Can You SeeThe Capitulum
  • 21.
    Treatment  Undisplaced fracturescan be treated by simple splintage for 2 weeks.  Displaced fractures should be reduced and held.  Closed reduction is feasible, but prolonged immobilization may result in a stiff elbow.  ORIF is therefore preferred.  Using headless bone screws  Movements are commenced as soon as discomfort permits
  • 22.
    Fractured head ofthe Radius Common in adults A fall on the outstretched hand with the elbow extended and the forearm pronated Impaction of the radial head against the capitulum causes the radial head to split or brake Clinical features - tenderness on pressure over the radial head and pain on pronation and supination
  • 23.
    X-rays  Three typesof fracture are identified and classified by Mason as: i. Type I An undisplaced vertical split in the radial head ii. Type II A displaced single fragment of the head iii. Type III The head broken into several fragments (comminuted).
  • 24.
    Treatment  An undisplacedsplit (Type I)  Aspirating the haematoma and injecting local anaesthetic.  The arm is held in a collar and cuff for 3 weeks; active flexion, extension and rotation are encouraged.  The prognosis for this injury is very good  A single large fragment (Type II)  reduced and held with one or two small headless screws.
  • 25.
    Treatment  A comminutedfracture (Type III).  Always assess for an associated soft tissue injury: i. Rupture of the medial collateral ligament ii. Rupture of the interosseous membrane iii. Combined fractures of the radial head and coronoid process plus dislocation of the elbow ‘the terrible triad’.  If any of these is present, excision of the radial head is contra- indicated; this may lead to intractable instability of the elbow or forearm.  The head must be reconstructed with small headless screws or replaced with a metal spacer.  A medial collateral rupture, if unstable after replacing or fixing the radial head, should be repaired.
  • 26.
    Complications  Joint stiffnessboth the elbow and the radioulnar joints.  Delayed union  Stiffness  Myositis ossificans  Recurrent instability of the elbow joint
  • 27.
    Fractures of theolecranon  Two broad types of injury are seen: i. Comminuted fracture which is due to a direct blow or a fall on the elbow ii. A transverse break, due to traction when the patient falls onto the hand while the triceps muscle is contracted.  These two types can be further sub-classified into i. Displaced fractures ii. Undisplaced fractures.  Subluxation or dislocation of the ulno-humeral joint in severe injuries  The fracture always enters the elbow joint and therefore damages the articular cartilage.
  • 29.
    Clinical features  Agraze or bruise over the elbow suggests a comminuted fracture; the triceps is intact and the elbow can be extended against gravity.  With a transverse fracture there may be a palpable gap and the patient is unable to extend the elbow against resistance.
  • 30.
    Treatment  A comminutedfracture with the triceps intact should be rested in a sling for a week; then encouraged to start active movements.  An undisplaced transverse fracture that does not separate when the elbow is in flexion can be treated closed.  The elbow is immobilized by a cast in about 60 degrees of flexion for 2–3 weeks and then exercises are begun.  Displaced transverse fracture ORIF is done. The fracture is reduced and held by tension band wiring.  Oblique fractures may need a lag screw, neutralized by a tension band system or plate.
  • 31.
    Treatment  Displaced comminutedfractures need a plate and often bone graft.  Following operation, early mobilization should be encouraged.
  • 32.
    Main Complications Stiffness Non-union dueto inadequate reduction and fixation. Ulnar nerve symptoms can develop. Osteoarthritis
  • 33.
  • 34.
    Fractures of theradius and the ulna Common both in children and adults Mechanism of injury Twisting forces produces a spiral fracture with the bones broken at different levels. An angulating force causes a transverse fracture of both bones at the same level. A direct blow causes a transverse fracture of just one bone, usually the ulna. Additional rotation deformity may be produced by the pull of muscles attached to the radius
  • 35.
    Clinical features Obvious fracturesdue to deformity Check for the five P’s i. Pulselessness ii. Pallor iii. Pain iv.Paresthesia v. Paralysis
  • 36.
    X-ray Both bones arebroken In children, the fracture is often incomplete (greenstick) and only angulated. In adults, displacement may occur in any direction – shift, overlap, tilt or twist. In low-energy injuries, the fracture tends to be transverse or oblique; in high-energy injuries it is comminuted or segmental
  • 37.
    X-ray images ofthe forearm
  • 38.
    Treatment in children Closedtreatment because the tough periosteum tends to guide and then control the reduction. The fragments are held in a full-length cast, from axilla to metacarpal shafts (to control rotation). For 6-8weeks. The cast is applied with the elbow at 90 degrees. If the fracture is proximal to pronator teres, the forearm is supinated; if it is distal to pronator teres, then the forearm is held in neutral.
  • 39.
    Treatment in childrencontinued If the conservative method fails ORIF is done Fixation with intramedullary rods is preferred, avoid injury to the growth plates. Alternatively, a plate or K-wire fixation can be used. Childhood fractures usually remodel well, but not if there is any rotational deformity or an angular deformity
  • 40.
    Treatment in adults Open reduction and internal fixation The fragments are held by inter fragmentary compression with plates and screws. Bone grafting is advisable if there is comminution. The deep fascia is left open to prevent compartment syndrome, only the skin is sutured. External fixation if it is a compound fracture
  • 41.
  • 42.
    Adult treatment After theoperation the arm is kept elevated until the swelling subsides, and during this period active exercises of the hand are encouraged. If the fracture is stable Early ROM exercises are commenced but lifting and sports are avoided. It takes 8–12 weeks for the bones to unite. With comminuted fractures or unreliable patients, immobilization in plaster is safer.
  • 43.
    Complications Early complications Nerve injuries Vascularinjury Compartment syndrome Late complications Delayed union and nonunion Malunion and cross union Complications of plate removal
  • 44.
    Isolated fracture ofthe forearm Uncommon Caused by direct trauma E.g. when protecting the face Clinical features X-ray showing fractures, ulnar fracture difficult to see Swelling Deformity Dislocations on the distal and proximal joints
  • 45.
    Treatment Isolated fracture ofthe ulna Undisplaced fracture Elbow flexed full arm cast or forearm brace. 8 weeks before full activity can be resumed. Displaced fractures ORIF to prevent rotational elements Advantage allow earlier activity and avoids the risk of displacement or non-union.
  • 46.
    Treatment Isolated fracture ofthe radius Radius fractures are prone to rotary displacement; To achieve reduction in children the forearm needs to be i. supinated for upper third fractures, ii. neutral for middle third fractures iii. pronated for lower third fractures. If the reduction fails; then internal fixation with a compression plate and screws in adults, and preferably intramedullary rods in children.
  • 47.
  • 48.
    Monteggia Fracture Fracture ofthe shaft of the ulna associated with dislocation of the proximal radio-ulnar joint and the radiocapitellar joint. In children, the ulnar injury may be an incomplete fracture (greenstick or plastic deformation of the shaft)
  • 49.
    Mechanism of injury Usuallythe cause is a fall on the hand; if at the moment of impact the body is twisting, its momentum may forcibly pronate the forearm. The radial head usually dislocates forwards and the upper third of the ulna fractures and bows forwards. Sometimes the causal force is hyperextension
  • 50.
    Clinical features ulnar deformityis usually obvious the dislocated head of radius is masked by swelling. A useful clue is pain and tenderness on the lateral side of the elbow.  The wrist and hand should be examined for signs of injury to the radial nerve.
  • 51.
    X-RAYS The head ofthe radius is dislocated forwards, and there is a fracture of the upper third of the ulna with forward bowing. Backward or lateral bowing of the ulna is likely to be associated with, respectively, Posterior or lateral displacement of the radial head. Trans-olecranon fractures, also, are often associated with radial head dislocation.
  • 52.
  • 53.
    Treatment  Aim isto restore the length of the fractured ulna  The ulnar fracture must be accurately reduced, with the bone restored to full length, and then fixed with a plate and screws.  The radial head usually reduces once the ulna has been fixed.  Stability must be tested through a full ROM.  If the elbow is completely stable, then flexion–extension and rotation can be started after surgery.  If there is doubt, then the arm should be immobilized in plaster with the elbow flexed for 6 weeks
  • 54.
  • 55.
    Ulnar Fracture Hume fracture- a fracture of the olecranon with an associated anterior dislocation of the radial head
  • 56.
    GALEAZZI FRACTURE-DISLOCATION OF THERADIUS Fractured radius with dislocation of the distal radioulnar joint More common than the Monteggia fracture Mechanism of injury Fall on an outstretched hand; probably with a rotation force. The radius fractures in its lower third and the inferior radio-ulnar joint subluxates or dislocates.
  • 57.
    Clinical features Prominence ortenderness over the lower end of the ulna. It may be possible to demonstrate the instability of the radio-ulnar joint by rotating the wrist. Test for an ulnar nerve lesion X-ray A transverse or short oblique fracture is seen in the lower third of the radius, with angulation or overlap. The distal radio-ulnar joint is subluxated or dislocated.
  • 58.
    Treatment restore the lengthof the fractured bone Conservative method is usually successful in children In adults ORIF and compression screws of the radius X-ray to verify that the distal radio-ulnar joint is reduced
  • 59.
  • 60.
    Complications Malunion because thedistal fragment has no longitudinal support Cross union Compartment syndrome
  • 61.
    Radius fracture Essex-Lopresti fracture- a fracture of the radial head with concomitant dislocation of the distal radio-ulnar joint with disruption of the interosseous membrane.
  • 62.
    Physiotherapy treatment  Thephysiotherapist carries out an assessment of the patient and then formulates a plan of treatment. Aims of physiotherapy treatment  To reduce any swelling.  To regain full range of joint movement.  To regain full muscle power.  To re-educate full function.  Maintain Soft Tissue and Joint Mobility  Maintain Integrity and Function of Related Areas
  • 63.
    Physiotherapy management  softtissue massage  joint mobilization  electrotherapy (e.g. ultrasound)  taping or bracing  ice or heat treatment  the use of a protective gear like splints  exercises to improve strength, flexibility and balance  hydrotherapy  Patient education  activity modification eg ADL’s  a graduated return to activity plan
  • 64.
    Physiotherapy treatment Reduce Effectsof Inflammation or Synovial Effusion and Protect the Area Immobilization in a sling provides rest to the part, weigh with complete immobilization Frequent periods of controlled movement within a pain-free range should be performed.
  • 65.
  • 66.
    References  Apley’s Systemof Orthopedics and Fractures