OSCE- Radiology Phase IIIa sienmingoat
 
 
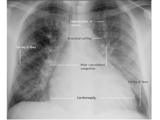
CXR- pulmonary edema Describe?  Perihilar shadowing (bat’s wings)= alveolar edema Upper lobe diversion Kerley B lines= interstitial edema Cardiomegaly (LVF) Pleural effusion? Dx? Pulmonary edema Causes? Cardiogenic: LVF, mitral stenosis, arrhythmias Non-cardiogenic: acute lung injury/ARDS, sepsis, nephrotic/RF/LF
50yo man  Hemoptysis
CXR- opacity Describe? Opacity at R lower zone Mediastinal shift Causes? Bronchogenic carcinoma TB (tuberculoma) pneumonia
 
Lung fibrosis Describe? Reticular-nodular/ground glass/honeycomb Area: midzone/apical/basal- bilateral Shrinkage of lung Heart border/diaphragm blurring  Shift of mediastinum & trachea toward shadowing Less distinct vascular marking Dx? Pulmonary fibrosis 3 signs? Progressive SOB Clubbing Fine end-inspi crackles Ix? Spirometry (restrictive) CT/HRCT lung
42yo female cough + fever 1 week SOB 2 days
CXR- Pneumonia Describe? Consolidation of R middle lobe Dx? Lobar pneumonia of R middle lobe 2 etiological agents? Strep. Pneumoniae Hemophilus Influenzae * Staphy. Aureus (bilat cavitating bronchopneumonia)
 
CXR- pneumothorax Abnormalities seen? L lung hollow/black lung field & loss vascular markings Mediastinal/tracheal shift to right L collapsed lung Lung edge visible Dx? L pneumothorax 4 precipitating factors/causes? Trauma/rib fracture/iatrogenic (CVL) Spontaneous  Primary: Tall thin young man  Secondary COPD/Chronic asthma Pneumonia/TB Emphysema  Rheumatoid lung dz Marfan syndrome CF/histiocytosis X/sarcoidosis
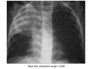
50yo man, productive cough + LOW
CXR- R upper lobe collapse Describe? Opacities/haziness in RUZ + perihilar R horizontal fissure prominent R tracheal deviation Dx? R upper lobe collapse  Causes? Lung Ca/foreign body PTB/pneumonia 2 Ix? Sputum FEME + cytology + AFB Bronchoscopy + biopsy
 
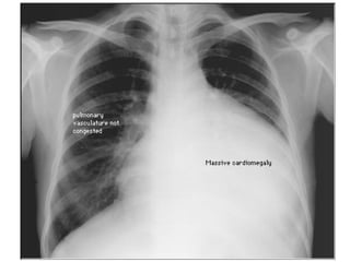
CXR- globular heart Describe? Large globular heart Massive cardiomegaly Causes? Pericardial effusion Cardiac tamponade Dilated cardiomyopathy Severe ASD Other Ix? ECG (axis? low voltage?) Echo/TEE
 
CXR- bronchiectasis Describe? Ring shadow/honey comb Tramline @ periphery Tubular shadow (solid thick white <8mm) Glove finger shadow DX? Bronchietasis (H.influ, S.pneu, S.aureus, P.aeruginosa) Presentation? Persistent cough, copious sputum, intermittent hemoptysis Clubbing, coarse inspi creps, wheeze/rhonchi Cx? Pneumonia/effusion/pneumothorax/hemoptysis Cerebral abscess, amyloidosis Causes? Congenital  Ciliary dysfx syndrome (Kartagener/ 1 ciliary dyskinesia) CF 1 hypogamma-globulinemia Acquired  Pneumonia (supp/viral)/PTB Bronchial tumour/foreign body Whooping cough/measles (childhood)
 
ERCP + X ray + CT scan- Ca pancreas Pathology? Macro: infiltration, hard, irregular Micro: adeno/acinar cell/cystadeno-Ca, undiff Spread? Direct: CBD, duodenum, portal vein, IVC Lymphatic: adjacent + porta hepatis Blood: liver, lung Transcelomic: peritoneal seeding, ascites S&S? Painless progressive jaundice Pain: epigastric, dull continuous, radiate upper lumbar Intermittent jaundice: if necrosis of tumour DM/glycosuria, thrombophlebitis migrans LOW LOA Ix? Imaging (U/S, endoscopy, Barium swallow) Serum amylase (rarely increase), biochem of obs jaundice Rx? Surgical resection: Whipple’s pancreaticoduodenectomy Palliative bypass: choledochojejunostomy
 
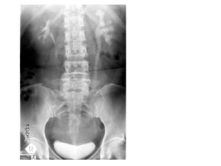
IVU/IVP Type of imaging? Intravenous urogram/pyelogram Abnormalities? Dilated L renal calyse and L ureter L  unilateral  hydronephrosis and hydroureter Causes?  Mechanical obstruction Luminal: stone, blood clot, sloughed papilla, renal/ureteric/bladder tumour Intramural: congenital/acquired stricture, posterior urethral valve, neuropathic bladder, schistosomiasis, bladder neck stenosis, PUJ obstruction Extramural: abd/pelvic/prostate mass/tumour, retroperitoneal fibrosis, pregnancy, periurethral abscess/hematoma General/neurological : post-op CNS dz (MS, tabes, spinal tumour) drugs (anticholinergic, antidepressant)
50yo man,  intermittent R loin pain
AXR/KUB- renal calculi Describe? Radio-opaque mass noted at R kidney Dx? Renal staghorn calculi Cx? Hydronephrosis/pyelo-nephrosis/-nephritis Renal failure SCC 2 other Ix? IVU (filling defect/impaired renal fx) Renal U/S (exclude hydronephrosis/hydroureter)
 
Esophageal CA What is it? Barium swallow Describe? Irregular stricture Shouldering of upper end Dx? Ca esophagus Presenting S&S? Dysphagia LOW LOA
 
AXR- small bowel obstruction Describe? Ladder pattern of dilated loops Central position Striations complete across width of loops (valvulae conniventes/circular mucosal fold) >3cm <5cm Causes? Luminal: fecal/food, gallstone ileus, pedunculated tumour Intramural: congenital atresia, tumour, Crohn’s dz, diverticulitis Extramural: strangulated hernia, volvulus/intussusception, adhesion/banding 2 S&S? Vomiting Abd pain Abd distension constipation Vs large bowel: Peripheral Haustrations of taenia coli >5cm
Presented with abd distension, vomiting
AXR- intestinal obstruction 3 abnormalities? Dilated bowel Multiple air fluid level (normal <4) Paucity of air distal to obstruction Dx? Intestinal obstruction 2 causes? Adhesion/banding Tumour (pedunculated/intramural)
 
Barium enema- Ca colon Ix name? Barium enema Describe? Filling defect + shouldering (apple-core) Annular stricture (irregular) Dx? Ca colon S&S? Altered bowel habit (> rectosigmoid) LOW LOA anemia (> cecum)
 
Hand X-ray- RA Describe? Bony erosions Joint deformities Reduced joint space Dx? Rheumatoid arthritis 2 abnormalities in CXR? pleural effusion pulmonary fibrosis Caplan’s syndrome (presence of rheumatoid lung nodules in combination with pneumoconiosis) Why need lateral cervical spine X-ray? Atlanto-axial subluxation   threaten cord * heart: pericardial rub, murmur (AR)
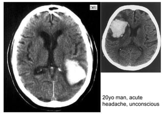
20yo man, acute headache, unconscious
CT brain- hemorrhage Name this Ix? CT scan of brain Describe? Hyperdense (recent hemorrhage, calcified lesion, contrast enhancement) Mass effect: displace compress lat ventricles Midline shift Ventricular dilatation (CSF obs/atrophy of brain tissue) Widened cortical sulci (brain atrophy) Cerebral edema?? Dx? Cerebral hemorrhage  Common causes? Hypertension (Charcot-Bouchard aneurysm) Aneurysm AVM Other Ix? CT/MRI brain angiography Hypodense (black): Neoplasm/infarction Edema (surrounding) Cerebral hemorrhage: usually in the region of the internal capsule by the rupture of the lenticulostriate artery
Stroke patient aft fall, previous hx of atrial valve dz, on anticoagulation
CT- subdural hemorrhage Describe? Hyperdense crescent-shaped hematoma Midline shift Compress ventricle Dx? Subdural hemorrhage Causes? Head injury (venous rupture) Risk factor? Elderly Alcoholic (accident prone + atrophic brain) Anticoagulant  S&S? Headache, drowsy, confusion (fluctuate) Long latent interval btw injury & symptoms
CXR- Thymoma Describe? Sail shape? S&S? 50% asymptomatic 30% local symptoms (encroachment to adjacent structures): cough, chest pain, SVC compression 20% identified during Ix of MG Ix? CT scan (contrast enhancement) Mediastinoscopy + biopsy Thymoma- assoc condition : MG haematologic cytopenia hypo gamma-globulinaemia autoimmune dz
 
56yo palpitation 1 day
Atrial flutter Cardiac rhythm? Atrial flutter with various AV-nodal block sawtooth/F waves 2 other abnormalities? Reverse tick = digitalis use Regular tachycardia (if 2:1 block) narrow QRS  3 causes? CVS: IHD, HPT, chronic rheumatic valvular dz Others: sepsis, atrial enlargement, digoxin, thyrotoxicosis
 
Atrial tachycardia Describe? Tachycardia (regular narrow QRS) Clear visible P wave precedes each QRS RP interval longer/equal PR interval (VS: AV reciprocating tachycardia) Causes? Digoxin toxicity IHD, RHD, cardiomyopathy Sick sinus syndrome COPD

Osce radiology

  • 1.
    OSCE- Radiology PhaseIIIa sienmingoat
  • 2.
  • 3.
  • 4.
    CXR- pulmonary edemaDescribe? Perihilar shadowing (bat’s wings)= alveolar edema Upper lobe diversion Kerley B lines= interstitial edema Cardiomegaly (LVF) Pleural effusion? Dx? Pulmonary edema Causes? Cardiogenic: LVF, mitral stenosis, arrhythmias Non-cardiogenic: acute lung injury/ARDS, sepsis, nephrotic/RF/LF
  • 5.
    50yo man Hemoptysis
  • 6.
    CXR- opacity Describe?Opacity at R lower zone Mediastinal shift Causes? Bronchogenic carcinoma TB (tuberculoma) pneumonia
  • 7.
  • 8.
    Lung fibrosis Describe?Reticular-nodular/ground glass/honeycomb Area: midzone/apical/basal- bilateral Shrinkage of lung Heart border/diaphragm blurring Shift of mediastinum & trachea toward shadowing Less distinct vascular marking Dx? Pulmonary fibrosis 3 signs? Progressive SOB Clubbing Fine end-inspi crackles Ix? Spirometry (restrictive) CT/HRCT lung
  • 9.
    42yo female cough+ fever 1 week SOB 2 days
  • 10.
    CXR- Pneumonia Describe?Consolidation of R middle lobe Dx? Lobar pneumonia of R middle lobe 2 etiological agents? Strep. Pneumoniae Hemophilus Influenzae * Staphy. Aureus (bilat cavitating bronchopneumonia)
  • 11.
  • 12.
    CXR- pneumothorax Abnormalitiesseen? L lung hollow/black lung field & loss vascular markings Mediastinal/tracheal shift to right L collapsed lung Lung edge visible Dx? L pneumothorax 4 precipitating factors/causes? Trauma/rib fracture/iatrogenic (CVL) Spontaneous Primary: Tall thin young man Secondary COPD/Chronic asthma Pneumonia/TB Emphysema Rheumatoid lung dz Marfan syndrome CF/histiocytosis X/sarcoidosis
  • 13.
  • 14.
    CXR- R upperlobe collapse Describe? Opacities/haziness in RUZ + perihilar R horizontal fissure prominent R tracheal deviation Dx? R upper lobe collapse Causes? Lung Ca/foreign body PTB/pneumonia 2 Ix? Sputum FEME + cytology + AFB Bronchoscopy + biopsy
  • 15.
  • 16.
    CXR- globular heartDescribe? Large globular heart Massive cardiomegaly Causes? Pericardial effusion Cardiac tamponade Dilated cardiomyopathy Severe ASD Other Ix? ECG (axis? low voltage?) Echo/TEE
  • 17.
  • 18.
    CXR- bronchiectasis Describe?Ring shadow/honey comb Tramline @ periphery Tubular shadow (solid thick white <8mm) Glove finger shadow DX? Bronchietasis (H.influ, S.pneu, S.aureus, P.aeruginosa) Presentation? Persistent cough, copious sputum, intermittent hemoptysis Clubbing, coarse inspi creps, wheeze/rhonchi Cx? Pneumonia/effusion/pneumothorax/hemoptysis Cerebral abscess, amyloidosis Causes? Congenital Ciliary dysfx syndrome (Kartagener/ 1 ciliary dyskinesia) CF 1 hypogamma-globulinemia Acquired Pneumonia (supp/viral)/PTB Bronchial tumour/foreign body Whooping cough/measles (childhood)
  • 19.
  • 20.
    ERCP + Xray + CT scan- Ca pancreas Pathology? Macro: infiltration, hard, irregular Micro: adeno/acinar cell/cystadeno-Ca, undiff Spread? Direct: CBD, duodenum, portal vein, IVC Lymphatic: adjacent + porta hepatis Blood: liver, lung Transcelomic: peritoneal seeding, ascites S&S? Painless progressive jaundice Pain: epigastric, dull continuous, radiate upper lumbar Intermittent jaundice: if necrosis of tumour DM/glycosuria, thrombophlebitis migrans LOW LOA Ix? Imaging (U/S, endoscopy, Barium swallow) Serum amylase (rarely increase), biochem of obs jaundice Rx? Surgical resection: Whipple’s pancreaticoduodenectomy Palliative bypass: choledochojejunostomy
  • 21.
  • 22.
    IVU/IVP Type ofimaging? Intravenous urogram/pyelogram Abnormalities? Dilated L renal calyse and L ureter L unilateral hydronephrosis and hydroureter Causes? Mechanical obstruction Luminal: stone, blood clot, sloughed papilla, renal/ureteric/bladder tumour Intramural: congenital/acquired stricture, posterior urethral valve, neuropathic bladder, schistosomiasis, bladder neck stenosis, PUJ obstruction Extramural: abd/pelvic/prostate mass/tumour, retroperitoneal fibrosis, pregnancy, periurethral abscess/hematoma General/neurological : post-op CNS dz (MS, tabes, spinal tumour) drugs (anticholinergic, antidepressant)
  • 23.
    50yo man, intermittent R loin pain
  • 24.
    AXR/KUB- renal calculiDescribe? Radio-opaque mass noted at R kidney Dx? Renal staghorn calculi Cx? Hydronephrosis/pyelo-nephrosis/-nephritis Renal failure SCC 2 other Ix? IVU (filling defect/impaired renal fx) Renal U/S (exclude hydronephrosis/hydroureter)
  • 25.
  • 26.
    Esophageal CA Whatis it? Barium swallow Describe? Irregular stricture Shouldering of upper end Dx? Ca esophagus Presenting S&S? Dysphagia LOW LOA
  • 27.
  • 28.
    AXR- small bowelobstruction Describe? Ladder pattern of dilated loops Central position Striations complete across width of loops (valvulae conniventes/circular mucosal fold) >3cm <5cm Causes? Luminal: fecal/food, gallstone ileus, pedunculated tumour Intramural: congenital atresia, tumour, Crohn’s dz, diverticulitis Extramural: strangulated hernia, volvulus/intussusception, adhesion/banding 2 S&S? Vomiting Abd pain Abd distension constipation Vs large bowel: Peripheral Haustrations of taenia coli >5cm
  • 29.
    Presented with abddistension, vomiting
  • 30.
    AXR- intestinal obstruction3 abnormalities? Dilated bowel Multiple air fluid level (normal <4) Paucity of air distal to obstruction Dx? Intestinal obstruction 2 causes? Adhesion/banding Tumour (pedunculated/intramural)
  • 31.
  • 32.
    Barium enema- Cacolon Ix name? Barium enema Describe? Filling defect + shouldering (apple-core) Annular stricture (irregular) Dx? Ca colon S&S? Altered bowel habit (> rectosigmoid) LOW LOA anemia (> cecum)
  • 33.
  • 34.
    Hand X-ray- RADescribe? Bony erosions Joint deformities Reduced joint space Dx? Rheumatoid arthritis 2 abnormalities in CXR? pleural effusion pulmonary fibrosis Caplan’s syndrome (presence of rheumatoid lung nodules in combination with pneumoconiosis) Why need lateral cervical spine X-ray? Atlanto-axial subluxation  threaten cord * heart: pericardial rub, murmur (AR)
  • 35.
    20yo man, acuteheadache, unconscious
  • 36.
    CT brain- hemorrhageName this Ix? CT scan of brain Describe? Hyperdense (recent hemorrhage, calcified lesion, contrast enhancement) Mass effect: displace compress lat ventricles Midline shift Ventricular dilatation (CSF obs/atrophy of brain tissue) Widened cortical sulci (brain atrophy) Cerebral edema?? Dx? Cerebral hemorrhage Common causes? Hypertension (Charcot-Bouchard aneurysm) Aneurysm AVM Other Ix? CT/MRI brain angiography Hypodense (black): Neoplasm/infarction Edema (surrounding) Cerebral hemorrhage: usually in the region of the internal capsule by the rupture of the lenticulostriate artery
  • 37.
    Stroke patient aftfall, previous hx of atrial valve dz, on anticoagulation
  • 38.
    CT- subdural hemorrhageDescribe? Hyperdense crescent-shaped hematoma Midline shift Compress ventricle Dx? Subdural hemorrhage Causes? Head injury (venous rupture) Risk factor? Elderly Alcoholic (accident prone + atrophic brain) Anticoagulant S&S? Headache, drowsy, confusion (fluctuate) Long latent interval btw injury & symptoms
  • 39.
    CXR- Thymoma Describe?Sail shape? S&S? 50% asymptomatic 30% local symptoms (encroachment to adjacent structures): cough, chest pain, SVC compression 20% identified during Ix of MG Ix? CT scan (contrast enhancement) Mediastinoscopy + biopsy Thymoma- assoc condition : MG haematologic cytopenia hypo gamma-globulinaemia autoimmune dz
  • 40.
  • 41.
  • 42.
    Atrial flutter Cardiacrhythm? Atrial flutter with various AV-nodal block sawtooth/F waves 2 other abnormalities? Reverse tick = digitalis use Regular tachycardia (if 2:1 block) narrow QRS 3 causes? CVS: IHD, HPT, chronic rheumatic valvular dz Others: sepsis, atrial enlargement, digoxin, thyrotoxicosis
  • 43.
  • 44.
    Atrial tachycardia Describe?Tachycardia (regular narrow QRS) Clear visible P wave precedes each QRS RP interval longer/equal PR interval (VS: AV reciprocating tachycardia) Causes? Digoxin toxicity IHD, RHD, cardiomyopathy Sick sinus syndrome COPD