Dr Nikita Jaiswal
 Introduction
 Causes
 Clinical features
 Management
 The term ocular surface squamous neoplasia
(OSSN) was first described in 1995 by Lee and
Hirst to denote a spectrum of neoplasm
originate from squamous epithelium ranging
from simple dysplasia to invasive squamous
cell carcinoma(SCC), involving the
conjunctiva, the limbus, and the cornea.
 Ocular surface squamous neoplasia (OSSN)
It comprises of:Conjunctival intraepithelial neoplastic
lesions (CIN)
Invasive squamous cell carcinoma (SCC) of conjunctiva and
cornea.
Benign dysplasia
Papilloma
Pseudotheliomatous hyperplasia
Benign hereditary intraepithelial dyskeratosis
Preinvasive OSSN
Conjunctival/corneal carcinoma in situ
Invasive OSSN
Squamous carcinoma
Mucoepidermoid carcinoma
 Advanced age
 Male gender
 Exposure to UV radiation
 Infection with HPV
 Immunosuppression
 Infection with HIV
 More commonly seen in the interpalpabral
area of prelimbal conjunctiva
 It can extend acrosss limbus to involve the
cornea
 Genetic injury -–to proliferating cells—
hampers division & differentiation—
neoplastic
 Mutagenic factors:
 Uv radiations
 Hpv & hiv
 Other—petroleum products,heavy
cigarettes,arsenics,trifluridine
 linear relationship between exposure to
ultraviolet radiation and development of OSSN
 Male sex, temporal lesions being more common
and more aggressive than nasal lesions .
 UVA (320–400 nm), UVB (280–320 nm), and UVC
(200–280 nm). Exposure to UVB light-- formation of
pyrimidine dimers in DNA and also causes damage to
the nucleotide excision repair pathway and injured
DNA undergoes one cycle of proliferation, this
stimulus of proliferation could be provided by the UV
rays themselves or could be provided by virus such as
HPV or some chemical stimulus.
 HPV is a nonencapsulated, icosahedral,
non-lipid containing DNA virus that
replicates in the nuclei of infect cell.
 High-risk HPVs (e.g., types 16 and 18)
have been implicated in the genesis of
several cancers, particularly squamous
cell carcinoma of the cervix, anogenital
region, oropharyngeal region and ocular
surface.
 HIV infection is strongly associated with the
occurrence of ossn
 Mean age ranges from 32-37 years
 Thus this is an established risk factor for
squamous cell neoplasia.
 It usually appears as a sessile, fleshy, elevated lesion
adjacent to the limbus in the inter-palpebral region.
NODULAR MASS WITH FOCI OF
LEUKOPLAKIA
GELATINOUS MASS IN 2 QUADRANTS
OF LIMBUS
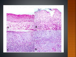
 Histopathological evaluation of the lesion
following incisional & excisional biopsy.
 Impression cytology
 Anterior segment OCT.
 Impression cytology (IC) is a technique for
collecting the superficial layers of the ocular
 surface by applying collecting devices.
Commonly used are cellulose acetate filter
paper
 with a pore size ranging from 0.025 – 0.45
micron or other materials (nitrocellulose
filters,
 Biopore membranes, or polyether sulfone
filters
 Surgery
 Chemotherapy
 Immunotherapy
 Complete excision for most localised lesions.
 Alcohol assisted kerato-epitheliectomy.
 Double-freeze cryotherapy to the resected margins and
base of the lesion.
 Confirmed by the histopathological examination
 The residual defect after excision can be covered by
amniotic membrane or buccal mucous membrane.
 Negative surgical margin: the most import. Recurrence
indicator
5% to 33% after negative margins to as high as 56%
 Topical applications 5 fluorouracil(5FU) &
mitomycin C (MMC)
 Primary t/t is limited to localised lesion.
 Both of these can be used as adjuvant therapy
for recurrent lesions
 Due to toxicity they are less preferred.
 Topical interferon (IFNα2b) 1 million IU/ml) 4
times a day has been used effectively in
treatment of primary OSSN.
 OSSN measuring <8 mm.
 choice for wider and extensive OSSN
involving >4 clock hours of the limbus.
 Flu-like symptoms and ocular surface
irritation are the side effects.
 The overall prognosis in OSSN is good.
 Modern T/T are effective with local recurrence
rates reported to be 5% and regional lymph node
metastasis at <2%.
 Aggressive variants like muco-epidermoid and
spindle cell carcinoma and OSSN in
immunocompromised patients have a worse
prognosis.
Ocular surface squamous neoplasia

Ocular surface squamous neoplasia

  • 1.
  • 2.
     Introduction  Causes Clinical features  Management
  • 4.
     The termocular surface squamous neoplasia (OSSN) was first described in 1995 by Lee and Hirst to denote a spectrum of neoplasm originate from squamous epithelium ranging from simple dysplasia to invasive squamous cell carcinoma(SCC), involving the conjunctiva, the limbus, and the cornea.
  • 5.
     Ocular surfacesquamous neoplasia (OSSN) It comprises of:Conjunctival intraepithelial neoplastic lesions (CIN) Invasive squamous cell carcinoma (SCC) of conjunctiva and cornea.
  • 6.
    Benign dysplasia Papilloma Pseudotheliomatous hyperplasia Benignhereditary intraepithelial dyskeratosis Preinvasive OSSN Conjunctival/corneal carcinoma in situ Invasive OSSN Squamous carcinoma Mucoepidermoid carcinoma
  • 7.
     Advanced age Male gender  Exposure to UV radiation  Infection with HPV  Immunosuppression  Infection with HIV
  • 8.
     More commonlyseen in the interpalpabral area of prelimbal conjunctiva  It can extend acrosss limbus to involve the cornea
  • 9.
     Genetic injury-–to proliferating cells— hampers division & differentiation— neoplastic  Mutagenic factors:  Uv radiations  Hpv & hiv  Other—petroleum products,heavy cigarettes,arsenics,trifluridine
  • 10.
     linear relationshipbetween exposure to ultraviolet radiation and development of OSSN  Male sex, temporal lesions being more common and more aggressive than nasal lesions .  UVA (320–400 nm), UVB (280–320 nm), and UVC (200–280 nm). Exposure to UVB light-- formation of pyrimidine dimers in DNA and also causes damage to the nucleotide excision repair pathway and injured DNA undergoes one cycle of proliferation, this stimulus of proliferation could be provided by the UV rays themselves or could be provided by virus such as HPV or some chemical stimulus.
  • 11.
     HPV isa nonencapsulated, icosahedral, non-lipid containing DNA virus that replicates in the nuclei of infect cell.  High-risk HPVs (e.g., types 16 and 18) have been implicated in the genesis of several cancers, particularly squamous cell carcinoma of the cervix, anogenital region, oropharyngeal region and ocular surface.
  • 12.
     HIV infectionis strongly associated with the occurrence of ossn  Mean age ranges from 32-37 years  Thus this is an established risk factor for squamous cell neoplasia.
  • 13.
     It usuallyappears as a sessile, fleshy, elevated lesion adjacent to the limbus in the inter-palpebral region.
  • 15.
    NODULAR MASS WITHFOCI OF LEUKOPLAKIA GELATINOUS MASS IN 2 QUADRANTS OF LIMBUS
  • 18.
     Histopathological evaluationof the lesion following incisional & excisional biopsy.  Impression cytology  Anterior segment OCT.
  • 21.
     Impression cytology(IC) is a technique for collecting the superficial layers of the ocular  surface by applying collecting devices. Commonly used are cellulose acetate filter paper  with a pore size ranging from 0.025 – 0.45 micron or other materials (nitrocellulose filters,  Biopore membranes, or polyether sulfone filters
  • 23.
  • 24.
     Complete excisionfor most localised lesions.  Alcohol assisted kerato-epitheliectomy.  Double-freeze cryotherapy to the resected margins and base of the lesion.  Confirmed by the histopathological examination  The residual defect after excision can be covered by amniotic membrane or buccal mucous membrane.  Negative surgical margin: the most import. Recurrence indicator 5% to 33% after negative margins to as high as 56%
  • 25.
     Topical applications5 fluorouracil(5FU) & mitomycin C (MMC)  Primary t/t is limited to localised lesion.  Both of these can be used as adjuvant therapy for recurrent lesions  Due to toxicity they are less preferred.
  • 28.
     Topical interferon(IFNα2b) 1 million IU/ml) 4 times a day has been used effectively in treatment of primary OSSN.  OSSN measuring <8 mm.  choice for wider and extensive OSSN involving >4 clock hours of the limbus.  Flu-like symptoms and ocular surface irritation are the side effects.
  • 29.
     The overallprognosis in OSSN is good.  Modern T/T are effective with local recurrence rates reported to be 5% and regional lymph node metastasis at <2%.  Aggressive variants like muco-epidermoid and spindle cell carcinoma and OSSN in immunocompromised patients have a worse prognosis.