OCCUPATIONAL LUNG
DISEASES
DWI KARTIKA RUKMI
VISI PROGRAM STUDI
• “Menjadi program studi yang menghasilkan Ners
yang unggul dalam pelayanan kesehatan
primer dan memiliki nilai kejuangan Jenderal
Achmad Yani yang mampu bersaing di tingkat
ASEAN tahun 2041”
MISI PROGRAM STUDI
1. Menyelenggarakan pendidikan keperawatan (ners) berkualitas yang mampu menghasilkan
ners professional dan unggul dalam pelayanan kesehatan primer serta menjunjung nilai-
nilai kejuangan Jenderal Achmad Yani
2. Menyelenggarakan dan mengembangkan penelitian keperawatan dengan keunggulan
bidang pelayanan kesehatan primer sehingga dapat meningkatkan mutu penyelenggaraan
pendidikan dan pelayanan keperawatan kepada masyarakat
3. Menyelenggarakan pengabdian kepada masyarakat dengan meningkatkan peran institusi
dan peran masyarakat serta mengembangkan sistem pelayanan keperawatan professional
terpadu di masyarakat khususnya pelayanan kesehatan primer
4. Meningkatkan kuantitas dan kualitas pendidik dan tenaga kependidikan dalam mewujudkan
keunggulan pelayanan kesehatan primer yang mampu bersaing dan loyal terhadap
institusinya
5. Menyediakan fasilitas-fasilitas untuk mendukung kegiatan tridaharma perguruan
tinggi dalam rangka mewujudkan keunggulan di bidang pelayanan kesehatan primer
6. Menyelenggarakan kerjasama dengan institusi lain dalam upaya optimalisasi tridharma
perguruan tinggi dan pemberdayaan lulusan
EPIDEMIOLOGY
DEFINITION
• Occupational lung diseases are a broad group of diagnoses caused by
the inhalation of dusts, chemicals, or proteins.
• “Pneumoconiosis” is the term used for the diseases associated with
inhaling mineral dusts.
• The severity of the disease is related to the material inhaled and the
intensity and duration of the exposure.
CAUSES
HIGHEST CASE OF OLD
• Occupational Asthma
• Pneumoconiosis
• Mesothelioma and asbestos related lung cancer
Occupational Asthma
The most prevalent occupational lung disease in industrial countries
New onset asthma (occupational asthma) OR work-aggravation of
pre-existing asthma (specially if general asthma control had been
suboptimal or if asthma was relatively severe).
Asthma starting at work is not always work-related asthma but work-
related asthma should be considered in all working asthmatics
Type of Occupational Asthma
• Sensitizer – induced OA: sensitization to a
high molecular weight agent or sensitization
to a low molecular (act as hapten) weight
agent
• Irritant-induced OA: Occupational asthma
without a latency period (RADS/Irritant-
Induced Asthma), high level, acute exposure
to an irritant (eg chlorine, ammonia)
resulting in airway injury
Ig E Dependent VS Independent
• Dependent
• In IgE-dependent allergic inflammation,
basophils are activated by antigen and IgE
stimulation, causing degranulation and
secretion of cytokines. Basophil-derived
mediators induce the recruitment of other
inflammatory cells, leading to the chronic
allergic inflammation in antigen-challenged
sites.
• Independent
• IgE-independent allergic inflammation
mediated by basophils is mostly associated
with TSLP. TSLP-elicited basophils are
activated by cytokine stimulation, such as IL-
3, IL18, and IL-33, leading to the secretion of
IL-4. Basophil-derived IL-4 induces the
recruitment of inflammatory cells including
eosinophils to the site of inflammation.
Reactive Airways Dysfunction Syndrome (RADS)
Causes of OA
Dykewicz, 2009
Morris, 2017
ASSESSMENT OF OA
DIAGNOSING OCCUPATIONAL ASTHMA
Method Advantages Disadvantages Test
Questionnaire Simple,
Sensitive
Low specificity Exposure history, asthma
history
Immunologic testing Simple,
Sensitive
Only for high-molecular-
weight and some low-
molecular- weight agents;
identifies sensitization,
not work disease;
many allergens not
available commercially
Skin prick test, Serum
radio-immunosorbent
(RAST) or enzyme-linked
allergosorbent (ELISA)
tests
Bronchial responsiveness
to methacholine or
histamine
Simple,
Sensitive
Not specific for
occupational asthma;
occupational asthma not
ruled out by a negative
test
Pulmonary function tests
pre- and post-
bronchodilator (12% or
more, ideally 15%)
Measurement of FEV
before or after work
Simple,
Inexpensive
Low sensitivity and
specificity
Spirometry
DIAGNOSING AND
MANAGING OA
Definition PNEUMOCONIOSIS
• Pneumoconiosis
is a generic name
covering the
group of lung
disorders which
result from the
inhalation of
“inorganic dust”
DUST
Definition
• Debu merupakan salah satu
bahan yang sering disebut
sebagai partikel yang melayang
di udara (Suspended Particulate
Matter/SPM) dengan ukuran 1
mikron sampai dengan 500
mikron
Dust classification
• Debu Organik (debu kapas, debu
daun daunan, tembakau dan
sebagainya).
• Debu Mineral (merupakan
senyawa komplek : SiO2, SiO3,
arang batu dll)
• Debu Metal (Debu yang
mengandung unsur logam: Pb,
Hg, Cd, Arsen, dll).
Classification of PNEMOCONIOSIS
• Pneumoconiosis is usually divided into three groups:
• Major pneumoconiosis
• Minor pneumoconiosis
• Benign pneumoconiosis
Major Pneumoconiosis
• Inhalation of some dusts results in “major fibrosis” of the lungs,
which results in interference of lung architecture or lung function
tests.
• As:
• Asbestos  asbestosis
• Silica  silicosis
• Coal  coal workers pneumoconiosis (anthracosis)
Asbestos
• A very fibrogenic dust, that
causes pulmonary fibrosis,
pleural plaques, benign pleural
effusions
• Mesothelioma, carcinoma of
the lung could be happen
when someone is inhaling
asbestos for 30 – 40 years
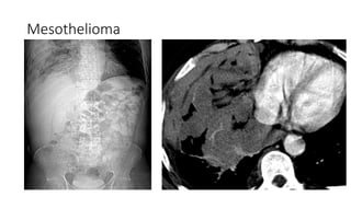
Mesothelioma
Asbestosis
• Workers in shipbuilding, roofing, and plumbing
industries asbestos used for insulation
• Calcified pleural plaques in the diaphragm and
posterolateral mid lung
• ↑ incidence of bronchogenic carcinoma and
mesothelioma
1. bronchogenic carcinoma more common than
mesothelioma
2. mesothelioma takes longer time to develop (25-
40 years) so is less common
3. smoking has no effect on mesothelium, but
amplifies the risk of bronchogenic carcinoma
when combined with asbestos
• No association with TB
• May also result in Caplan's syndrome
Asbestos-related
pleural plaques
Asbestos plaques
Silicosis
• Workers in foundries, sandblasting, and
mining industries
• May impair macrophage function
• ↑ susceptibility to TB
• ↑ incidence of primary lung cancer
Coal Worker’s Pneumoconiosis (CWP)
• Coal dust is inert and not particularly
fibrogenic.
• workers of coal mines and inhabitants
of large cities
• Can cause industrial bronchitis,
emphysema, and progressive massive
fibrosis.
• Xray looks worse than patient
• Many symptomatic coal miners have
silicosis or tobacco induced COPD
TYPE OF CWP
• Asymptomatic anthracosis
• Simple CWP with little to no pulmonary dysfunction
• Complicated CWP (progressive massive fibrosis)
Complications of CWP
• no association with lung cancer
• simple CWP
• like smoking, can produce centrilobular emphysema
• 1 cm fibrotic centers
• complicated CWP
• 1-2 cm fibrotic centers (PMF)
• Caplan's syndrome
• CWP + rheumatoid nodules in lungs
• Caplan’s Syndrome: a syndrome with rheumatoid arthritis features, PMF, and ,
usually (>70%), a positive rheumatoid factor.
Minor Pneumoconiosis
• Inhalation of some dusts results in “minor fibrosis” of the lungs
• There is minimal fibrosis of the lungs without interference of lung architecture or
lung function tests.
• These dusts include:
• Clay
• Koalin
• Mica
• Feldspar (non-fibrous silicates)
•Major pneumoconiosis
and
•Minor pneumoconiosis
are called
“ Fibrotic Pneumoconiosis”
Benign Pneumoconiosis
• There isn't any reaction in the lungs, but dust deposition casts a shadow in
x-ray of the lung. There is no fibrosis and no disturbance of lung functions.
• Examples of Benign Pneumoconiosis
• It can result from the inhalation of:
• Iron dust sidrosis
• Tin dust stannosis
• Calcium dust chalicosis
• They are characterized by the presence of small rounded dense opacities on a chest film
due to perivascular collections of dusts.
• Hilar lymph nodes may be prominent.
• The deposits in the lung disappear when exposure is discontinued.
PATHOGENESIS OF PNEUMOCONIOSIS
• The development of a pneumoconiosis depends on
1. the amount of dust retained in the lung and airways
2. the size, shape, and buoyancy of the particles
3. solubility and physiochemical reactivity
4. the possible additional effects of other irritants (e.g., concomitant
tobacco smoking)
PATHOGENESIS PNEUMOCONIOSIS
Pneumoconiosis Symptom
The key symptoms of pneumoconiosis are:
• difficulty breathing, or shortness of breath
• a cough, which may produce phlegm
• tightness in the chest
PNEUMOCONIOSIS DIAGNOSING
• History
• Physical examination
• X ray
• Pulmonary function
• Pulmonary CT Scan
Pulmonary X-ray of PNEUMOCONIOSIS
Pulmonary
Function
for
Pneumoco
niosis
MANAGEMENT OF PNEUMOCONIASIS
• No special treatment but supportive therapy
• Management of complication
• Preventive management
FIVE LEVEL PREVENTIF OF OLD
• Health Promotion
• Specific Protection
• Early diagnosis and prompt treatment
• Disability Limitation
• Rehabilitation
REFERENCES
• Awn, N et al.2017. Japanese workplace health management in pneumoconiosis
prevention. Journal of Occupational Health. J Occup Health 2017; 59: 91-103.
• Dykewicz,MS.2009. Occupational asthma: Current concepts in
pathogenesis,diagnosis, and management. American Academy of Allergy, Asthma
& Immunology. doi:10.1016/j.jaci.2009.01.061
• Matteis et al. 2017. Current and new challenges in occupational lung diseases.
Eur Respir Rev 2017; 26: 170080. https://doi.org/10.1183/16000617.0080-2017
• Darmawan, A.2013. Penyakit Sistem Respirasi Akibat Kerja. JMJ, Volume 1, Nomor
1, Mei 2013, Hal : 68 – 83.
• Morris,MJ.2017.Asthma. Available at
https://emedicine.medscape.com/article/296301-overview
Occupational lung diseases

Occupational lung diseases

  • 1.
  • 2.
    VISI PROGRAM STUDI •“Menjadi program studi yang menghasilkan Ners yang unggul dalam pelayanan kesehatan primer dan memiliki nilai kejuangan Jenderal Achmad Yani yang mampu bersaing di tingkat ASEAN tahun 2041”
  • 3.
    MISI PROGRAM STUDI 1.Menyelenggarakan pendidikan keperawatan (ners) berkualitas yang mampu menghasilkan ners professional dan unggul dalam pelayanan kesehatan primer serta menjunjung nilai- nilai kejuangan Jenderal Achmad Yani 2. Menyelenggarakan dan mengembangkan penelitian keperawatan dengan keunggulan bidang pelayanan kesehatan primer sehingga dapat meningkatkan mutu penyelenggaraan pendidikan dan pelayanan keperawatan kepada masyarakat 3. Menyelenggarakan pengabdian kepada masyarakat dengan meningkatkan peran institusi dan peran masyarakat serta mengembangkan sistem pelayanan keperawatan professional terpadu di masyarakat khususnya pelayanan kesehatan primer 4. Meningkatkan kuantitas dan kualitas pendidik dan tenaga kependidikan dalam mewujudkan keunggulan pelayanan kesehatan primer yang mampu bersaing dan loyal terhadap institusinya 5. Menyediakan fasilitas-fasilitas untuk mendukung kegiatan tridaharma perguruan tinggi dalam rangka mewujudkan keunggulan di bidang pelayanan kesehatan primer 6. Menyelenggarakan kerjasama dengan institusi lain dalam upaya optimalisasi tridharma perguruan tinggi dan pemberdayaan lulusan
  • 5.
  • 6.
    DEFINITION • Occupational lungdiseases are a broad group of diagnoses caused by the inhalation of dusts, chemicals, or proteins. • “Pneumoconiosis” is the term used for the diseases associated with inhaling mineral dusts. • The severity of the disease is related to the material inhaled and the intensity and duration of the exposure.
  • 8.
  • 9.
    HIGHEST CASE OFOLD • Occupational Asthma • Pneumoconiosis • Mesothelioma and asbestos related lung cancer
  • 10.
    Occupational Asthma The mostprevalent occupational lung disease in industrial countries New onset asthma (occupational asthma) OR work-aggravation of pre-existing asthma (specially if general asthma control had been suboptimal or if asthma was relatively severe). Asthma starting at work is not always work-related asthma but work- related asthma should be considered in all working asthmatics
  • 11.
    Type of OccupationalAsthma • Sensitizer – induced OA: sensitization to a high molecular weight agent or sensitization to a low molecular (act as hapten) weight agent • Irritant-induced OA: Occupational asthma without a latency period (RADS/Irritant- Induced Asthma), high level, acute exposure to an irritant (eg chlorine, ammonia) resulting in airway injury
  • 12.
    Ig E DependentVS Independent • Dependent • In IgE-dependent allergic inflammation, basophils are activated by antigen and IgE stimulation, causing degranulation and secretion of cytokines. Basophil-derived mediators induce the recruitment of other inflammatory cells, leading to the chronic allergic inflammation in antigen-challenged sites. • Independent • IgE-independent allergic inflammation mediated by basophils is mostly associated with TSLP. TSLP-elicited basophils are activated by cytokine stimulation, such as IL- 3, IL18, and IL-33, leading to the secretion of IL-4. Basophil-derived IL-4 induces the recruitment of inflammatory cells including eosinophils to the site of inflammation.
  • 13.
  • 14.
  • 15.
  • 16.
  • 17.
    DIAGNOSING OCCUPATIONAL ASTHMA MethodAdvantages Disadvantages Test Questionnaire Simple, Sensitive Low specificity Exposure history, asthma history Immunologic testing Simple, Sensitive Only for high-molecular- weight and some low- molecular- weight agents; identifies sensitization, not work disease; many allergens not available commercially Skin prick test, Serum radio-immunosorbent (RAST) or enzyme-linked allergosorbent (ELISA) tests Bronchial responsiveness to methacholine or histamine Simple, Sensitive Not specific for occupational asthma; occupational asthma not ruled out by a negative test Pulmonary function tests pre- and post- bronchodilator (12% or more, ideally 15%) Measurement of FEV before or after work Simple, Inexpensive Low sensitivity and specificity Spirometry
  • 18.
  • 19.
    Definition PNEUMOCONIOSIS • Pneumoconiosis isa generic name covering the group of lung disorders which result from the inhalation of “inorganic dust”
  • 20.
    DUST Definition • Debu merupakansalah satu bahan yang sering disebut sebagai partikel yang melayang di udara (Suspended Particulate Matter/SPM) dengan ukuran 1 mikron sampai dengan 500 mikron Dust classification • Debu Organik (debu kapas, debu daun daunan, tembakau dan sebagainya). • Debu Mineral (merupakan senyawa komplek : SiO2, SiO3, arang batu dll) • Debu Metal (Debu yang mengandung unsur logam: Pb, Hg, Cd, Arsen, dll).
  • 22.
    Classification of PNEMOCONIOSIS •Pneumoconiosis is usually divided into three groups: • Major pneumoconiosis • Minor pneumoconiosis • Benign pneumoconiosis
  • 23.
    Major Pneumoconiosis • Inhalationof some dusts results in “major fibrosis” of the lungs, which results in interference of lung architecture or lung function tests. • As: • Asbestos  asbestosis • Silica  silicosis • Coal  coal workers pneumoconiosis (anthracosis)
  • 24.
    Asbestos • A veryfibrogenic dust, that causes pulmonary fibrosis, pleural plaques, benign pleural effusions • Mesothelioma, carcinoma of the lung could be happen when someone is inhaling asbestos for 30 – 40 years
  • 25.
  • 26.
    Asbestosis • Workers inshipbuilding, roofing, and plumbing industries asbestos used for insulation • Calcified pleural plaques in the diaphragm and posterolateral mid lung • ↑ incidence of bronchogenic carcinoma and mesothelioma 1. bronchogenic carcinoma more common than mesothelioma 2. mesothelioma takes longer time to develop (25- 40 years) so is less common 3. smoking has no effect on mesothelium, but amplifies the risk of bronchogenic carcinoma when combined with asbestos • No association with TB • May also result in Caplan's syndrome Asbestos-related pleural plaques
  • 27.
  • 29.
    Silicosis • Workers infoundries, sandblasting, and mining industries • May impair macrophage function • ↑ susceptibility to TB • ↑ incidence of primary lung cancer
  • 31.
    Coal Worker’s Pneumoconiosis(CWP) • Coal dust is inert and not particularly fibrogenic. • workers of coal mines and inhabitants of large cities • Can cause industrial bronchitis, emphysema, and progressive massive fibrosis. • Xray looks worse than patient • Many symptomatic coal miners have silicosis or tobacco induced COPD
  • 33.
    TYPE OF CWP •Asymptomatic anthracosis • Simple CWP with little to no pulmonary dysfunction • Complicated CWP (progressive massive fibrosis)
  • 34.
    Complications of CWP •no association with lung cancer • simple CWP • like smoking, can produce centrilobular emphysema • 1 cm fibrotic centers • complicated CWP • 1-2 cm fibrotic centers (PMF) • Caplan's syndrome • CWP + rheumatoid nodules in lungs • Caplan’s Syndrome: a syndrome with rheumatoid arthritis features, PMF, and , usually (>70%), a positive rheumatoid factor.
  • 35.
    Minor Pneumoconiosis • Inhalationof some dusts results in “minor fibrosis” of the lungs • There is minimal fibrosis of the lungs without interference of lung architecture or lung function tests. • These dusts include: • Clay • Koalin • Mica • Feldspar (non-fibrous silicates)
  • 36.
    •Major pneumoconiosis and •Minor pneumoconiosis arecalled “ Fibrotic Pneumoconiosis”
  • 37.
    Benign Pneumoconiosis • Thereisn't any reaction in the lungs, but dust deposition casts a shadow in x-ray of the lung. There is no fibrosis and no disturbance of lung functions. • Examples of Benign Pneumoconiosis • It can result from the inhalation of: • Iron dust sidrosis • Tin dust stannosis • Calcium dust chalicosis • They are characterized by the presence of small rounded dense opacities on a chest film due to perivascular collections of dusts. • Hilar lymph nodes may be prominent. • The deposits in the lung disappear when exposure is discontinued.
  • 38.
    PATHOGENESIS OF PNEUMOCONIOSIS •The development of a pneumoconiosis depends on 1. the amount of dust retained in the lung and airways 2. the size, shape, and buoyancy of the particles 3. solubility and physiochemical reactivity 4. the possible additional effects of other irritants (e.g., concomitant tobacco smoking)
  • 41.
  • 42.
    Pneumoconiosis Symptom The keysymptoms of pneumoconiosis are: • difficulty breathing, or shortness of breath • a cough, which may produce phlegm • tightness in the chest
  • 43.
    PNEUMOCONIOSIS DIAGNOSING • History •Physical examination • X ray • Pulmonary function • Pulmonary CT Scan
  • 44.
    Pulmonary X-ray ofPNEUMOCONIOSIS
  • 45.
  • 46.
    MANAGEMENT OF PNEUMOCONIASIS •No special treatment but supportive therapy • Management of complication • Preventive management
  • 47.
    FIVE LEVEL PREVENTIFOF OLD • Health Promotion • Specific Protection • Early diagnosis and prompt treatment • Disability Limitation • Rehabilitation
  • 48.
    REFERENCES • Awn, Net al.2017. Japanese workplace health management in pneumoconiosis prevention. Journal of Occupational Health. J Occup Health 2017; 59: 91-103. • Dykewicz,MS.2009. Occupational asthma: Current concepts in pathogenesis,diagnosis, and management. American Academy of Allergy, Asthma & Immunology. doi:10.1016/j.jaci.2009.01.061 • Matteis et al. 2017. Current and new challenges in occupational lung diseases. Eur Respir Rev 2017; 26: 170080. https://doi.org/10.1183/16000617.0080-2017 • Darmawan, A.2013. Penyakit Sistem Respirasi Akibat Kerja. JMJ, Volume 1, Nomor 1, Mei 2013, Hal : 68 – 83. • Morris,MJ.2017.Asthma. Available at https://emedicine.medscape.com/article/296301-overview