Occupational and
Environmental hazard
Dr. S. M Masuduzzaman, MD (Chest)
Junior Consultant, Respiratory Medicine
Kushtia Medical College Hospital
Hazard at workplace
Major occupational health hazards
Asthma
Pneumoconiosis
Hypersensitivity pneumonitis
Asthma in workplace
Divided into two categories
 Occupational asthma
 Work exacerbated asthma
Occupational asthma
 This occurs in a previously healthy individuals by some specific
agents at the workplace.
 Rapid onset of ashtma symptoms ( cough, wheezing, chest
tightness) after exposure to those agents.
 The patients are usually symptom free on holidays.
Principal agents
Agent
Cereals, flour
Latex
Isocyanates
Metals( Chromium, nickel,cobult)
Acrylates
Woods
Occupation/ Industry
Bakers, pastry makers, flour mills
Laboratory/ health care workers
Spray painting, plastic industry
Welding, metal aloy production
Printing inks, Adhesives, Dental and
orthopedic materials
Sawmill, carpenters, furniture makers
Work exacerbated asthma ( WEA)
 Work exacerbated asthma should be suspected in all known
asthmatic patients whose asthma is difficult to control, in patients
who report worsening of their symptoms or in patients who require
an increase in their asthma medications when at work.
Pneumoconiosis
These are respiratory diseases caused by workplace exposure to
fibrogenic mineral dust.
 Silicosis
 Coal mine dust lung disease
 Asbestos related lung and pleural disease
Silicosis
 Silicosis is a fibrotic lung disease caused by the inhalation of
respirable crystalline silica particle usually in the form of quartz.
 Construction, surface and underground mining, tunneling, foundry
works are the major source of silica dust exposure.
 Stone carvers, workers who demolish concrete structures are also
have significant risk of this disease.
Silicosis
 Workers with silicosis commonly present with shortness of breath,
cough and sputum production ( chronic brochitis).
 Can also present with the development of Pulmonary tuberculosis
or lung cancer.
 Systemic symptoms like fever and weight loss are also common.
Silicosis
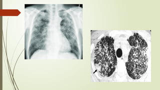
 Radiographic features are characterized by small rounded
opacities (silicotic nodule) between 3-10 mm in diameter.
 Silicotic nodules are usually symmetrically distributed and tend to
appear first in the upper zone and then progressively to ther other
parts of the lung.
 Eggshell calcification of the lymph nodes, when present, is strongly
suggestive of silicosis.
Silicosis
 HRCT scanning is superior to plain chest xray in detecting the
presence and profusion of silicotic opacities as well as
conglomeration.
 Less common complications include right heart dysfunction,
spontaneous pneumothorax, broncholithiasis.
Silicosis
 The most important aspect of the management of silicosis relates to
its prevention.
 Once established, the fibrotic process of chronic silicosis
is irreversible.
 Management of the individual case is therfore focused on
preventing disease progression and treatment of complication.
Coal mine dust lung disease
Caused by prolonged exposure to coal dust in mine workers.
 Classic coal workers pneumoconiosis
 Rapidly progressive pneumoconiosis
 Dust related diffuse lung fibrosis
Coal mine dust lung disease
 Respiratory symptoms of CMDLD include dyspnea, wheezing and
cough with or without chronic sputum production.
 Radiography shows features of emphysema, fine nodules and
pulmonary fibrosis.
 Caplan syndrome: Radiographic presence of rheumatoid nodule
with pneumoconiosis.
Asbestos related lung and pleural
disease
Occupational exposure occurs
from construction and demolition
of buildings, floor tiling, ship
buliding, pipefitting, electrical
repair, carpentry, plumbing and
welding.
Asbestos related lung and pleural
disease
Comprises
 Benign asbestos related pleural disease( Pleural plaque, effusion,
thickening)
 Asbestosis
 Mesothelioma
Asbestos related lung and pleural
disease
Pleural plaques: Most common
menifestation of asbestos exposure.
Bilateral and occurs on the
posterolateral chest wall. Usually
asymptomatic and found incidentally
on radiography.
Asbestos related lung and pleural
disease
Benign asbestos related pleural
effusion: Typically small and unilateral.
May be asmymptomatic or presents
with pleuritic chest pain or cough.
Asbestos related lung and pleural
disease
Asbestosis: Chronic interstitial fibrosis
resulting from asbestos inhalation.
Presents with dry cough and
breathlessness, bibasal inspiratory
crackles and clubbing. May progress
to cor pulmonale.
Mesothelioma: Malignant tumour of
mesothelial surface resulting from
chronic asbestos exposure. Presents
with dull aching chest pain,
breathlessness and cough. Pleural
effusion with localized pleural
thickening/mass is seen on
radiography.
Asbestos related lung and pleural
disease
Hypersensitivity pneumonitis
Hypersensitivity pneumonitits are a group of complex inflammatory and/or
fibrotic interstitial lung disease due to inhalation of organic antigens.
Pathogenesis is by antigen-antibody immune complex formation ( Type III
hypersensitivity) or T cell mediated immunity and granuloma formation ( Type
IV hypersensitivity).
Hypersensitivity pneumonitis
Hypersensitivity pneumonitis
Presentation:
 Acute illness: Dry cough, shortness of breath, fever with chills and rigor,
arthralgia, myalgia.
 Subacute and chronic illness: Dry cough and shortness of breath.
Environmental hazards
Indoor and outdoor air pollution
Indoor air pollution
Smoking
Gas stoves, fire places
Wood smoke
Building materials: Plywood, particle board, paints
Cleaning materials: Bleach, ammonia
Health hazards: Ashtma, COPD
Outdoor air pollution
Ozone
Particulate matter
Carbon monoxide
Sulphur dioxide
Nitrogen oxide
Lead
Sources of outdoor air pollution
 Transportation : Motor vehicles, Shipping, Rail, Aviation.
 Industrial source : Power station, Chemical industries,
Brick fields.
 Incineration of domestic waste
Heath hazards of outdoor air pollution
 Irritation of eye, nose and throat
 Respiratory disease ( Bronchitis, Asthma, COPD, Lung
Cancer)
 Cardiovascular disease
 Neurological disease
Occupational and Environmental hazard.pptx

Occupational and Environmental hazard.pptx

  • 1.
    Occupational and Environmental hazard Dr.S. M Masuduzzaman, MD (Chest) Junior Consultant, Respiratory Medicine Kushtia Medical College Hospital
  • 2.
  • 3.
    Major occupational healthhazards Asthma Pneumoconiosis Hypersensitivity pneumonitis
  • 4.
    Asthma in workplace Dividedinto two categories  Occupational asthma  Work exacerbated asthma
  • 5.
    Occupational asthma  Thisoccurs in a previously healthy individuals by some specific agents at the workplace.  Rapid onset of ashtma symptoms ( cough, wheezing, chest tightness) after exposure to those agents.  The patients are usually symptom free on holidays.
  • 6.
    Principal agents Agent Cereals, flour Latex Isocyanates Metals(Chromium, nickel,cobult) Acrylates Woods Occupation/ Industry Bakers, pastry makers, flour mills Laboratory/ health care workers Spray painting, plastic industry Welding, metal aloy production Printing inks, Adhesives, Dental and orthopedic materials Sawmill, carpenters, furniture makers
  • 7.
    Work exacerbated asthma( WEA)  Work exacerbated asthma should be suspected in all known asthmatic patients whose asthma is difficult to control, in patients who report worsening of their symptoms or in patients who require an increase in their asthma medications when at work.
  • 8.
    Pneumoconiosis These are respiratorydiseases caused by workplace exposure to fibrogenic mineral dust.  Silicosis  Coal mine dust lung disease  Asbestos related lung and pleural disease
  • 9.
    Silicosis  Silicosis isa fibrotic lung disease caused by the inhalation of respirable crystalline silica particle usually in the form of quartz.  Construction, surface and underground mining, tunneling, foundry works are the major source of silica dust exposure.  Stone carvers, workers who demolish concrete structures are also have significant risk of this disease.
  • 11.
    Silicosis  Workers withsilicosis commonly present with shortness of breath, cough and sputum production ( chronic brochitis).  Can also present with the development of Pulmonary tuberculosis or lung cancer.  Systemic symptoms like fever and weight loss are also common.
  • 12.
    Silicosis  Radiographic featuresare characterized by small rounded opacities (silicotic nodule) between 3-10 mm in diameter.  Silicotic nodules are usually symmetrically distributed and tend to appear first in the upper zone and then progressively to ther other parts of the lung.  Eggshell calcification of the lymph nodes, when present, is strongly suggestive of silicosis.
  • 14.
    Silicosis  HRCT scanningis superior to plain chest xray in detecting the presence and profusion of silicotic opacities as well as conglomeration.  Less common complications include right heart dysfunction, spontaneous pneumothorax, broncholithiasis.
  • 15.
    Silicosis  The mostimportant aspect of the management of silicosis relates to its prevention.  Once established, the fibrotic process of chronic silicosis is irreversible.  Management of the individual case is therfore focused on preventing disease progression and treatment of complication.
  • 17.
    Coal mine dustlung disease Caused by prolonged exposure to coal dust in mine workers.  Classic coal workers pneumoconiosis  Rapidly progressive pneumoconiosis  Dust related diffuse lung fibrosis
  • 18.
    Coal mine dustlung disease  Respiratory symptoms of CMDLD include dyspnea, wheezing and cough with or without chronic sputum production.  Radiography shows features of emphysema, fine nodules and pulmonary fibrosis.  Caplan syndrome: Radiographic presence of rheumatoid nodule with pneumoconiosis.
  • 19.
    Asbestos related lungand pleural disease Occupational exposure occurs from construction and demolition of buildings, floor tiling, ship buliding, pipefitting, electrical repair, carpentry, plumbing and welding.
  • 20.
    Asbestos related lungand pleural disease Comprises  Benign asbestos related pleural disease( Pleural plaque, effusion, thickening)  Asbestosis  Mesothelioma
  • 21.
    Asbestos related lungand pleural disease Pleural plaques: Most common menifestation of asbestos exposure. Bilateral and occurs on the posterolateral chest wall. Usually asymptomatic and found incidentally on radiography.
  • 22.
    Asbestos related lungand pleural disease Benign asbestos related pleural effusion: Typically small and unilateral. May be asmymptomatic or presents with pleuritic chest pain or cough.
  • 23.
    Asbestos related lungand pleural disease Asbestosis: Chronic interstitial fibrosis resulting from asbestos inhalation. Presents with dry cough and breathlessness, bibasal inspiratory crackles and clubbing. May progress to cor pulmonale.
  • 24.
    Mesothelioma: Malignant tumourof mesothelial surface resulting from chronic asbestos exposure. Presents with dull aching chest pain, breathlessness and cough. Pleural effusion with localized pleural thickening/mass is seen on radiography. Asbestos related lung and pleural disease
  • 25.
    Hypersensitivity pneumonitis Hypersensitivity pneumonititsare a group of complex inflammatory and/or fibrotic interstitial lung disease due to inhalation of organic antigens. Pathogenesis is by antigen-antibody immune complex formation ( Type III hypersensitivity) or T cell mediated immunity and granuloma formation ( Type IV hypersensitivity).
  • 26.
  • 27.
    Hypersensitivity pneumonitis Presentation:  Acuteillness: Dry cough, shortness of breath, fever with chills and rigor, arthralgia, myalgia.  Subacute and chronic illness: Dry cough and shortness of breath.
  • 28.
  • 29.
    Indoor air pollution Smoking Gasstoves, fire places Wood smoke Building materials: Plywood, particle board, paints Cleaning materials: Bleach, ammonia Health hazards: Ashtma, COPD
  • 30.
    Outdoor air pollution Ozone Particulatematter Carbon monoxide Sulphur dioxide Nitrogen oxide Lead
  • 31.
    Sources of outdoorair pollution  Transportation : Motor vehicles, Shipping, Rail, Aviation.  Industrial source : Power station, Chemical industries, Brick fields.  Incineration of domestic waste
  • 35.
    Heath hazards ofoutdoor air pollution  Irritation of eye, nose and throat  Respiratory disease ( Bronchitis, Asthma, COPD, Lung Cancer)  Cardiovascular disease  Neurological disease