Non union Lower end Radius 
Vinod Naneria 
Girish Yeotikar 
Arjun Wadhwani 
Choithram Hospital & Research Centre, 
Indore , India
Purpose 
• Reporting three cases of non-union of fracture 
lower end radius. 
• It is extremely rare condition 
• Difficult to pinpoint the etiological cause. 
• No single or multiple factors could be 
indentified. 
• None had any co-morbidity or risk factor.
Early suspicion? 
• When x-rays at 6 weeks showing clear fracture 
line with no attempt at union then it should 
be suspected for possible non union. 
A clear fracture line with no callous at 6 weeks
Cases in brief 
• All the three patients have different 
presentations. 
• Cases one and two were initially treated 
properly. 
• Case one had failed open reduction and bone 
grafting. 
• Case two refused open reduction in small 
district place hence waited for six months. 
• Case three refused even initial treatment.
Introduction 
• Distal radius fractures are the most frequent 
ones on the upper limb. 
• Account for 10 to 12% of all fractures of the 
skeleton. 
• Represent 74.5% of all fractures of the 
forearm, with an approximate incidence of 
1:10.000 individuals.
Incidence 
• Watson-Jones reported 1 case in 3199 cases of 
fracture distal radius in 1942. 
• Barcon and Kurtzke reported incidence as 
0.2% in a study of 2000 cases fractures of 
lower end radius, in 1953. 
Exact cause is not known 
Soft tissue interposition?
General Risk factors: 
• low-energy fractures, 
• Impaction of metaphysis. 
• DM, smoking, alcohol, collagen disorder, 
• Obesity, 
• Improper treatment 
• Over distraction by ex fix 
• Osteoporosis.
Recommonded Surgical principles 
• Debridment of the nonunion, removing all 
fibrous and synovial interposed tissues. 
• Removing the sclerotic end caps, 
• Intramedullary canal is opened on both sides. 
• Deformity in the sagittal and coronal planes 
should be corrected by an opening wedge.
Surgical principles 
• Radial deviation deformity is corrected by 
lengthening the Brachioradialis and Flexor 
Carpi Radialis tendon. 
• The use of Locking plates allows for more 
points of fixation in case of small distal. 
• There is usually a larger amount of bone in the 
radial styloid portion of the distal fragment 
that can be used for internal fixation.
Surgical principles 
• Tri-cortical opening wedge graft will provide 
intrinsic stability because of the tightening of 
the soft tissue. 
• Cancellous bone graft should be used. 
• For severe shortening of the distal radius that 
cannot be corrected, resection of the distal 
ulna (Darrach procedure).
Wrist arthrodesis 
• Insufficient bone for fixation. 
• When there are fewer than 6 mm of bone 
between the lunate facet of the distal radius 
articular surface and the fracture site. 
• Pre-existing arthrosis of radio-carpal joints. 
• Failed attempt of fixation of non union.
Case one 
• 42 years old female. 
• Low energy trauma. 
• Fracture lower end radius 
• Treated conservatively by closed reduction 
and pop casting in Dec 2012.
Dec 2012
March 2013 
Close reduction and POP 
Early sign
March 2013 
Open reduction, 
K-wire fixation 
Bone grafting 
POP cast
June 2013 
Excision lower end ulna 
Removal of K-wires
July 2013
Severe Palmer flexion and ulnar deviation deformity
Dorsal 
Palmer/voral
Ulnar Radial
Palmer surface
Oct 2013 
10 weeks 
Post surgery 
MP joint flexion ↑ 
Ex-fix removed 
Physio-continue 
Patient’s 
satisfaction good 
Wrist mobilization 
started.
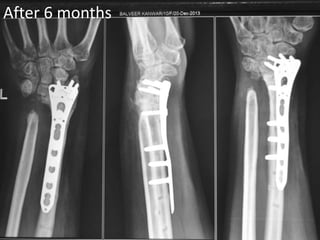
After 6 months
Case two 
• 50 years old female 
• Low energy injury 
• Sustained fracture lower end radius 
• Pop cast for six weeks 
• Progressively increasing deformity following 
removal of plaster. 
• X- rays after six months following fracture 
showing non-union.
Established non union 
Six month old injury
Surgery 
• Volar exposure 
• Removal of scar tissue and clearing of bone 
ends. 
• Release of soft tissue contractures. 
• Shortening of ulna and plating. 
• Plating of radius with bone grafting.
Feb 2013
April 2014
Sept 2013
Case three 
• 40 years old Female, 
• Sustained fracture lower end radius on 13th Sept 
2014. 
• Received no treatment. 
• No co-morbidity. 
• Chief complaint was deformity of wrist. 
• X-rays on 11th Nov 2014 showing delayed union 
• Clinically no disability. 
• Patient refused corrective surgery.
13th Sept 2014
11th Nov 2014 
Early sign of potential nonunion
Comments 
• The disability is minimal 
• Very little / no pain 
• Cosmoses is only complaint 
• Acceptance for surgery is poor 
• Hence delayed / no treatment
References 
• Fernandez DL, Ring D, Jupiter JB. Surgical management of delayed union and 
nonunion of distal radius fractures. J Hand Surg 2001;26A:201e9. 
• Chapman MW. Principles of treatment of non-unions and malunions. In: Chapman 
MW, editor. Chapman’s Orthopedic Surgery. 3rd edition. Lippincott 
• Williams and Wilkins; 2001. p. 847e66. 
• Segalman KA, Clark GL. Un-united fractures of the distal radius. A report of 12 
cases. J Hand Surg 1998;23A:914e8. 
• Bacorn RW, Kurtzke JF. Colle’s fracture. A study of two thousand cases from the 
New York State Workmen’s Compensation Board. J Bone Joint Surg 1953;35A: 
643e58. 
• McKee MD, Waddell JP. Non-union of distal radial fractures associated with distal 
ulnar shaft fractures: a report of four cases. J Orthop Trauma 1997;11: 49e53. 
• Smith VA, Wright TW. Nonunion of the distal radius. J Hand Surg 1999;24B: 601e3. 
• Eglseder Jr WA, Elliott MJ. Non-union of the distal radius. Am J Orthop 2002;31: 
259e62.
References 
• Harper WM, Jones JM. Non-union of Colle’s fracture: report of 2 cases. J Hand Surg 
1990;15B:121e3. 
• Kwa S, Tonkin MA. Nonunion of a distal radial fracture in a healthy child. J Hand Surg 
1997;22B:175e7. 
• Ring D, Jupiter JB. Nonunion of the distal radius. Tech Hand Up Extrem Surg 2002;6:6e9. 
• Prommersberger KJ, Fernandez DL. Non-union of distal radius fractures. Clin Orthop 
2004;419:51e6. 
• Prommersberger KJ, Fernandez DL, Ring D, et al. Open reduction and internal fixation of un-united 
fractures of the distal radius: does the size of the distal fragment affect the result? 
Chir Main 2002;21:113e23. 
• Kaempffe FA, Wheeler DR, Peimer CA, et al. Severe fractures of the distal radius: effect of 
amount and duration of external fixator distraction on outcome. J Hand Surg 
1993;18A:33e47. 
• Orbay JL, Fernandez DL. Volar fixation for dorsally displaced fractures of the distal radius: a 
preliminary report. J Hand Surg 2002;27A:205e15. 
• Leung F, Zhu L, Ho H, et al. Palmar plate fixation of AO type C2 fracture of distal radius using 
a locking plateda biomechanical study in a cadaveric model. J Hand Surg 2003;28B:263e6. 
• Jakob M, Rikli DA, Regazzoni P. Fractures of the distal radius treated by internal fixation and 
early function. A prospective study of 73 consecutive patients. J Bone Joint Surg 
2000;82B:340e4.
DISCLAIMER 
Information contained and transmitted by this presentation is 
based on personal experience and collection of cases at 
Choithram Hospital & Research centre, Indore, India. It is 
intended for use only by the students of orthopaedic surgery. 
Views and opinion expressed in this presentation are 
personal. Depending upon the x-rays and clinical 
presentations viewers can make their own opinion. For any 
confusion please contact the sole author for clarification. 
Every body is allowed to copy or download and use the 
material best suited to him. I am not responsible for any 
controversies arise out of this presentation. For any 
correction or suggestion please contact naneria@yahoo.com

Nonunion lower end radius

  • 1.
    Non union Lowerend Radius Vinod Naneria Girish Yeotikar Arjun Wadhwani Choithram Hospital & Research Centre, Indore , India
  • 2.
    Purpose • Reportingthree cases of non-union of fracture lower end radius. • It is extremely rare condition • Difficult to pinpoint the etiological cause. • No single or multiple factors could be indentified. • None had any co-morbidity or risk factor.
  • 3.
    Early suspicion? •When x-rays at 6 weeks showing clear fracture line with no attempt at union then it should be suspected for possible non union. A clear fracture line with no callous at 6 weeks
  • 4.
    Cases in brief • All the three patients have different presentations. • Cases one and two were initially treated properly. • Case one had failed open reduction and bone grafting. • Case two refused open reduction in small district place hence waited for six months. • Case three refused even initial treatment.
  • 5.
    Introduction • Distalradius fractures are the most frequent ones on the upper limb. • Account for 10 to 12% of all fractures of the skeleton. • Represent 74.5% of all fractures of the forearm, with an approximate incidence of 1:10.000 individuals.
  • 6.
    Incidence • Watson-Jonesreported 1 case in 3199 cases of fracture distal radius in 1942. • Barcon and Kurtzke reported incidence as 0.2% in a study of 2000 cases fractures of lower end radius, in 1953. Exact cause is not known Soft tissue interposition?
  • 7.
    General Risk factors: • low-energy fractures, • Impaction of metaphysis. • DM, smoking, alcohol, collagen disorder, • Obesity, • Improper treatment • Over distraction by ex fix • Osteoporosis.
  • 8.
    Recommonded Surgical principles • Debridment of the nonunion, removing all fibrous and synovial interposed tissues. • Removing the sclerotic end caps, • Intramedullary canal is opened on both sides. • Deformity in the sagittal and coronal planes should be corrected by an opening wedge.
  • 9.
    Surgical principles •Radial deviation deformity is corrected by lengthening the Brachioradialis and Flexor Carpi Radialis tendon. • The use of Locking plates allows for more points of fixation in case of small distal. • There is usually a larger amount of bone in the radial styloid portion of the distal fragment that can be used for internal fixation.
  • 10.
    Surgical principles •Tri-cortical opening wedge graft will provide intrinsic stability because of the tightening of the soft tissue. • Cancellous bone graft should be used. • For severe shortening of the distal radius that cannot be corrected, resection of the distal ulna (Darrach procedure).
  • 11.
    Wrist arthrodesis •Insufficient bone for fixation. • When there are fewer than 6 mm of bone between the lunate facet of the distal radius articular surface and the fracture site. • Pre-existing arthrosis of radio-carpal joints. • Failed attempt of fixation of non union.
  • 12.
    Case one •42 years old female. • Low energy trauma. • Fracture lower end radius • Treated conservatively by closed reduction and pop casting in Dec 2012.
  • 13.
  • 14.
    March 2013 Closereduction and POP Early sign
  • 15.
    March 2013 Openreduction, K-wire fixation Bone grafting POP cast
  • 16.
    June 2013 Excisionlower end ulna Removal of K-wires
  • 17.
  • 18.
    Severe Palmer flexionand ulnar deviation deformity
  • 19.
  • 20.
  • 34.
  • 36.
    Oct 2013 10weeks Post surgery MP joint flexion ↑ Ex-fix removed Physio-continue Patient’s satisfaction good Wrist mobilization started.
  • 38.
  • 39.
    Case two •50 years old female • Low energy injury • Sustained fracture lower end radius • Pop cast for six weeks • Progressively increasing deformity following removal of plaster. • X- rays after six months following fracture showing non-union.
  • 40.
    Established non union Six month old injury
  • 41.
    Surgery • Volarexposure • Removal of scar tissue and clearing of bone ends. • Release of soft tissue contractures. • Shortening of ulna and plating. • Plating of radius with bone grafting.
  • 42.
  • 43.
  • 44.
  • 45.
    Case three •40 years old Female, • Sustained fracture lower end radius on 13th Sept 2014. • Received no treatment. • No co-morbidity. • Chief complaint was deformity of wrist. • X-rays on 11th Nov 2014 showing delayed union • Clinically no disability. • Patient refused corrective surgery.
  • 46.
  • 47.
    11th Nov 2014 Early sign of potential nonunion
  • 49.
    Comments • Thedisability is minimal • Very little / no pain • Cosmoses is only complaint • Acceptance for surgery is poor • Hence delayed / no treatment
  • 50.
    References • FernandezDL, Ring D, Jupiter JB. Surgical management of delayed union and nonunion of distal radius fractures. J Hand Surg 2001;26A:201e9. • Chapman MW. Principles of treatment of non-unions and malunions. In: Chapman MW, editor. Chapman’s Orthopedic Surgery. 3rd edition. Lippincott • Williams and Wilkins; 2001. p. 847e66. • Segalman KA, Clark GL. Un-united fractures of the distal radius. A report of 12 cases. J Hand Surg 1998;23A:914e8. • Bacorn RW, Kurtzke JF. Colle’s fracture. A study of two thousand cases from the New York State Workmen’s Compensation Board. J Bone Joint Surg 1953;35A: 643e58. • McKee MD, Waddell JP. Non-union of distal radial fractures associated with distal ulnar shaft fractures: a report of four cases. J Orthop Trauma 1997;11: 49e53. • Smith VA, Wright TW. Nonunion of the distal radius. J Hand Surg 1999;24B: 601e3. • Eglseder Jr WA, Elliott MJ. Non-union of the distal radius. Am J Orthop 2002;31: 259e62.
  • 51.
    References • HarperWM, Jones JM. Non-union of Colle’s fracture: report of 2 cases. J Hand Surg 1990;15B:121e3. • Kwa S, Tonkin MA. Nonunion of a distal radial fracture in a healthy child. J Hand Surg 1997;22B:175e7. • Ring D, Jupiter JB. Nonunion of the distal radius. Tech Hand Up Extrem Surg 2002;6:6e9. • Prommersberger KJ, Fernandez DL. Non-union of distal radius fractures. Clin Orthop 2004;419:51e6. • Prommersberger KJ, Fernandez DL, Ring D, et al. Open reduction and internal fixation of un-united fractures of the distal radius: does the size of the distal fragment affect the result? Chir Main 2002;21:113e23. • Kaempffe FA, Wheeler DR, Peimer CA, et al. Severe fractures of the distal radius: effect of amount and duration of external fixator distraction on outcome. J Hand Surg 1993;18A:33e47. • Orbay JL, Fernandez DL. Volar fixation for dorsally displaced fractures of the distal radius: a preliminary report. J Hand Surg 2002;27A:205e15. • Leung F, Zhu L, Ho H, et al. Palmar plate fixation of AO type C2 fracture of distal radius using a locking plateda biomechanical study in a cadaveric model. J Hand Surg 2003;28B:263e6. • Jakob M, Rikli DA, Regazzoni P. Fractures of the distal radius treated by internal fixation and early function. A prospective study of 73 consecutive patients. J Bone Joint Surg 2000;82B:340e4.
  • 52.
    DISCLAIMER Information containedand transmitted by this presentation is based on personal experience and collection of cases at Choithram Hospital & Research centre, Indore, India. It is intended for use only by the students of orthopaedic surgery. Views and opinion expressed in this presentation are personal. Depending upon the x-rays and clinical presentations viewers can make their own opinion. For any confusion please contact the sole author for clarification. Every body is allowed to copy or download and use the material best suited to him. I am not responsible for any controversies arise out of this presentation. For any correction or suggestion please contact naneria@yahoo.com