MADELUNG
AND MULTIPLE EXOSTOSES
Jeff Auyeung
Consultant Hand Surgeon
University Hospital of North Durham
CONTENT
Madelung
Forearm/wrist deformity due to Multiple
Hereditary Exostoses
MADELUNG
This is excessive radial and palmar angulation of
the distal radius
Caused by growth disturbance of palmar and
ulnar part of distal radius physis
Often a bony lesion in palmar and ulnar part of
physis or abnormal ligament connecting distal
radius to lunate (Vicker’s Ligament)
Girls>Boys
Present 6 -13 years of age
MADELUNG – CLINICAL FINDINGS
 Prominent distal ulna
 Shorter forearm than normal
 Often little functional problem
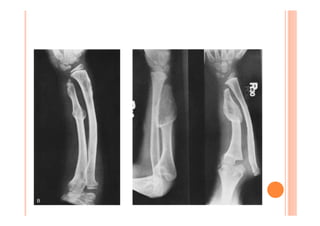
MADELUNG – X RAYS
 Excess palmar and radial
 angulation
 Ulna Plus
MADELUNG - TREATMENT
 None if asymptomatic
 Options:
 Physiolysis +/- release of Vicker’s ligament
 Dome osteotomy
 Radial Closing wedge and ulnar shortening
 Radial Osteotomy and distal ulna resection
 Radial Osteotomy and Sauve Kapandji
HEREDITARY MULTIPLE
EXOSTOSES
 Also known as Diaphyseal Aclasia
 AD – high but variable penetrance
 Do not confuse with Multiple Enchondroma –
 Ollier’s disease
 EXT gene at fault

 Involves long bones, pelvis, scapula, ribs and
 vertebrae
HEREDITARY MULTIPLE
EXOSTOSES
CLINICAL FEATURES
 Bump search
 Note size of lumps
 Check for forearm rotation

 Most lumps asymptomatic
 Some cause local symptoms or deformity
EXOSTOSES
CLASSIFICATION – FOREARM
DEFORMITY
 Masada Classification
 Type I – Distal Ulna Exostoses, Radial head in
 joint
 Type II – Distal Ulna Exostoses, Radial head
 dislocated
 Type III- Distal Radius Exostoses with short
 radius
HEREDITARY MULTIPLE
EXOSTOSES
SURGERY
 Indication – Pain, Nerve compression, decrease
 ROM, Deformity, Possible Malignant
 Transformation

 Options:
 Excision – beware may regrow
 Hemiepiphyseodesis with staples
 Lengthening of ulna – acute vs distraction
 techniques
 One bone forearm if all fails
QUESTIONS?




   ?
MCQ

1 The most common type of Thumb duplication
  according to the Wassell Classification is

 A Type I
 B Type II
 C Type III
 D Type IV
 E Type V
MCQ - Answers

1 The most common type of Thumb duplication
  according to the Wassell Classification is

 A Type I
 B Type II
 C Type III
 D Type IV
 E Type V
MCQ

2 A Child presents to you with syndactyly of the left
  Middle and Ring finger. According to Swanson’s
  classification is this

 A Failure of formation
 B Duplication
 C Undergrowth
 D Overgrowth
 E Failure of differentiation
MCQ - Answers

2 A Child presents to you with syndactyly of the left
  Middle and Ring finger. According to Swanson’s
  classification is this

 A Failure of formation
 B Duplication
 C Undergrowth
 D Overgrowth
 E Failure of differentiation
MCQ

3 In the formation of the upper limb, differentiation of
  the limb bud into arm, forearm and hand is under
  control of

 A   HOX genes
 B   ZPA
 C   Wnt pathway
 D   LMX genes
 E   Shh genes
MCQ - Answers

3 In the formation of the upper limb, differentiation of
  the limb bud into arm, forearm and hand is under
  control of

 A   HOX genes
 B   ZPA
 C   Wnt pathway
 D   LMX genes
 E   Shh genes
MCQ

4 You are called to the labour ward to review a child
  with congenital hand deformity. You are told that
  the parents are of African descent. The most likely
  abnormality you expect to see is

 A Thumb duplication
 B Radial Club hand
 C Post-axial duplication
 D Ulnar Club Hand
 E Hypoplastic Thumb
MCQ - Answers

4 You are called to the labour ward to review a child
  with congenital hand deformity. You are told that
  the parents are of African descent. The most likely
  abnormality you expect to see is

 A Thumb duplication
 B Radial Club hand
 C Post-axial duplication
 D Ulnar Club Hand
 E Hypoplastic Thumb
MCQ

5 You are planning to release multiple syndactyly in a child.
  The 2nd, 3rd and 4th webspaces are syndactylysed. The
  most appropriate surgery is:

 A Release of all syndactyly in one sitting
 B Release of 2nd and 3rd in one sitting and 4th at a later
 date
 C Release of 2nd & 4th in one sitting ad 3rd at a later date
 D Release of 3rd & 4th in one sitting and 2nd at a later date
 E Release of one syndactyly at a time
MCQ - Answers

5 You are planning to release multiple syndactyly in a child.
  The 2nd, 3rd and 4th webspaces are syndactylysed. The
  most appropriate surgery is:

 A Release of all syndactyly in one sitting
 B Release of 2nd and 3rd in one sitting and 4th at a later
 date
 C Release of 2nd & 4th in one sitting ad 3rd at a later date
 D Release of 3rd & 4th in one sitting and 2nd at a later date
 E Release of one syndactyly at a time
MCQ

6 Camptodactyly is most commonly caused by

 A Volar skin deficiency.
 B Volar plate contractures.
 C Abnormalities of the palmar fascia and Landsmeer
 ligament.
 D Articular deformity of the proximal
 interphalangeal joint.
 E Anomalous lumbrical and superficialis insertions.
MCQ – Answers

6 Camptodactyly is most commonly caused by

 A Volar skin deficiency.
 B Volar plate contractures.
 C Abnormalities of the palmar fascia and Landsmeer
 ligament.
 D Articular deformity of the proximal
 interphalangeal joint.
 E Anomalous lumbrical and superficialis insertions.
MCQ

7 Madelung deformity is

 A Excessive radial and dorsal angulation of distal
 radius
 B Excessive length of ulnar
 C Excessive length of radius
 D Excessive radial and palmar angulation of distal
 radius
 E Excessive length of distal radius
MCQ – Answers

7 Madelung deformity is

 A Excessive radial and dorsal angulation of distal
 radius
 B Excessive length of ulnar
 C Excessive length of radius
 D Excessive radial and palmar angulation of distal
 radius
 E Excessive length of distal radius
MCQ

8 Differentiation of the limb bud into ulnar and radial
  side is controlled by

 A Apical Ectodermal Ridge
 B Zone of Polarising Activity
 C Wingless type signalling centre
 D Fibroblast Growth Factor
 E BMP 2
MCQ – Answer

8 Differentiation of the limb bud into ulnar and radial
  side is controlled by

 A Apical Ectodermal Ridge
 B Zone of Polarising Activity
 C Wingless type signalling centre
 D Fibroblast Growth Factor
 E BMP 2
MCQ

9 You have a child with a mild hypoplastic thumb. You
  are planning to perform a Huber transfer. This
  involves
  A Transfer of EIP to restore opposition
  B Transfer of FDS Ring to restore Thumb Adduction
  C Transfer of EIP to restore Thumb Adduction
  D Transfer of ADM to restore Opposition
  E Transfer of ADM to Thumb Flexion
MCQ – Answer

9 You have a child with a mild hypoplastic thumb. You
  are planning to perform a Huber transfer. This
  involves
  A Transfer of EIP to restore opposition
  B Transfer of FDS Ring to restore Thumb Adduction
  C Transfer of EIP to restore Thumb Adduction
  D Transfer of ADM to restore Opposition
  E Transfer of ADM to Thumb Flexion
MCQ
10 The most common congenital hand
  anomaly is

A Symbrachydactyly
B Camptodactyly
C Syndactyly
D Polydactyly
E Constriction Ring Syndrome
MCQ – ANSWERS
10 The most common congenital hand
  anomaly is

A Symbrachydactyly
B Camptodactyly
C Syndactyly
D Polydactyly
E Constriction Ring Syndrome

Madelung and multiple exostoses

  • 1.
    MADELUNG AND MULTIPLE EXOSTOSES JeffAuyeung Consultant Hand Surgeon University Hospital of North Durham
  • 2.
    CONTENT Madelung Forearm/wrist deformity dueto Multiple Hereditary Exostoses
  • 3.
    MADELUNG This is excessiveradial and palmar angulation of the distal radius Caused by growth disturbance of palmar and ulnar part of distal radius physis Often a bony lesion in palmar and ulnar part of physis or abnormal ligament connecting distal radius to lunate (Vicker’s Ligament) Girls>Boys Present 6 -13 years of age
  • 4.
    MADELUNG – CLINICALFINDINGS Prominent distal ulna Shorter forearm than normal Often little functional problem
  • 5.
    MADELUNG – XRAYS Excess palmar and radial angulation Ulna Plus
  • 6.
    MADELUNG - TREATMENT None if asymptomatic Options: Physiolysis +/- release of Vicker’s ligament Dome osteotomy Radial Closing wedge and ulnar shortening Radial Osteotomy and distal ulna resection Radial Osteotomy and Sauve Kapandji
  • 8.
    HEREDITARY MULTIPLE EXOSTOSES Alsoknown as Diaphyseal Aclasia AD – high but variable penetrance Do not confuse with Multiple Enchondroma – Ollier’s disease EXT gene at fault Involves long bones, pelvis, scapula, ribs and vertebrae
  • 10.
    HEREDITARY MULTIPLE EXOSTOSES CLINICAL FEATURES Bump search Note size of lumps Check for forearm rotation Most lumps asymptomatic Some cause local symptoms or deformity
  • 11.
    EXOSTOSES CLASSIFICATION – FOREARM DEFORMITY Masada Classification Type I – Distal Ulna Exostoses, Radial head in joint Type II – Distal Ulna Exostoses, Radial head dislocated Type III- Distal Radius Exostoses with short radius
  • 13.
    HEREDITARY MULTIPLE EXOSTOSES SURGERY Indication– Pain, Nerve compression, decrease ROM, Deformity, Possible Malignant Transformation Options: Excision – beware may regrow Hemiepiphyseodesis with staples Lengthening of ulna – acute vs distraction techniques One bone forearm if all fails
  • 15.
  • 16.
    MCQ 1 The mostcommon type of Thumb duplication according to the Wassell Classification is A Type I B Type II C Type III D Type IV E Type V
  • 17.
    MCQ - Answers 1The most common type of Thumb duplication according to the Wassell Classification is A Type I B Type II C Type III D Type IV E Type V
  • 18.
    MCQ 2 A Childpresents to you with syndactyly of the left Middle and Ring finger. According to Swanson’s classification is this A Failure of formation B Duplication C Undergrowth D Overgrowth E Failure of differentiation
  • 19.
    MCQ - Answers 2A Child presents to you with syndactyly of the left Middle and Ring finger. According to Swanson’s classification is this A Failure of formation B Duplication C Undergrowth D Overgrowth E Failure of differentiation
  • 20.
    MCQ 3 In theformation of the upper limb, differentiation of the limb bud into arm, forearm and hand is under control of A HOX genes B ZPA C Wnt pathway D LMX genes E Shh genes
  • 21.
    MCQ - Answers 3In the formation of the upper limb, differentiation of the limb bud into arm, forearm and hand is under control of A HOX genes B ZPA C Wnt pathway D LMX genes E Shh genes
  • 22.
    MCQ 4 You arecalled to the labour ward to review a child with congenital hand deformity. You are told that the parents are of African descent. The most likely abnormality you expect to see is A Thumb duplication B Radial Club hand C Post-axial duplication D Ulnar Club Hand E Hypoplastic Thumb
  • 23.
    MCQ - Answers 4You are called to the labour ward to review a child with congenital hand deformity. You are told that the parents are of African descent. The most likely abnormality you expect to see is A Thumb duplication B Radial Club hand C Post-axial duplication D Ulnar Club Hand E Hypoplastic Thumb
  • 24.
    MCQ 5 You areplanning to release multiple syndactyly in a child. The 2nd, 3rd and 4th webspaces are syndactylysed. The most appropriate surgery is: A Release of all syndactyly in one sitting B Release of 2nd and 3rd in one sitting and 4th at a later date C Release of 2nd & 4th in one sitting ad 3rd at a later date D Release of 3rd & 4th in one sitting and 2nd at a later date E Release of one syndactyly at a time
  • 25.
    MCQ - Answers 5You are planning to release multiple syndactyly in a child. The 2nd, 3rd and 4th webspaces are syndactylysed. The most appropriate surgery is: A Release of all syndactyly in one sitting B Release of 2nd and 3rd in one sitting and 4th at a later date C Release of 2nd & 4th in one sitting ad 3rd at a later date D Release of 3rd & 4th in one sitting and 2nd at a later date E Release of one syndactyly at a time
  • 26.
    MCQ 6 Camptodactyly ismost commonly caused by A Volar skin deficiency. B Volar plate contractures. C Abnormalities of the palmar fascia and Landsmeer ligament. D Articular deformity of the proximal interphalangeal joint. E Anomalous lumbrical and superficialis insertions.
  • 27.
    MCQ – Answers 6Camptodactyly is most commonly caused by A Volar skin deficiency. B Volar plate contractures. C Abnormalities of the palmar fascia and Landsmeer ligament. D Articular deformity of the proximal interphalangeal joint. E Anomalous lumbrical and superficialis insertions.
  • 28.
    MCQ 7 Madelung deformityis A Excessive radial and dorsal angulation of distal radius B Excessive length of ulnar C Excessive length of radius D Excessive radial and palmar angulation of distal radius E Excessive length of distal radius
  • 29.
    MCQ – Answers 7Madelung deformity is A Excessive radial and dorsal angulation of distal radius B Excessive length of ulnar C Excessive length of radius D Excessive radial and palmar angulation of distal radius E Excessive length of distal radius
  • 30.
    MCQ 8 Differentiation ofthe limb bud into ulnar and radial side is controlled by A Apical Ectodermal Ridge B Zone of Polarising Activity C Wingless type signalling centre D Fibroblast Growth Factor E BMP 2
  • 31.
    MCQ – Answer 8Differentiation of the limb bud into ulnar and radial side is controlled by A Apical Ectodermal Ridge B Zone of Polarising Activity C Wingless type signalling centre D Fibroblast Growth Factor E BMP 2
  • 32.
    MCQ 9 You havea child with a mild hypoplastic thumb. You are planning to perform a Huber transfer. This involves A Transfer of EIP to restore opposition B Transfer of FDS Ring to restore Thumb Adduction C Transfer of EIP to restore Thumb Adduction D Transfer of ADM to restore Opposition E Transfer of ADM to Thumb Flexion
  • 33.
    MCQ – Answer 9You have a child with a mild hypoplastic thumb. You are planning to perform a Huber transfer. This involves A Transfer of EIP to restore opposition B Transfer of FDS Ring to restore Thumb Adduction C Transfer of EIP to restore Thumb Adduction D Transfer of ADM to restore Opposition E Transfer of ADM to Thumb Flexion
  • 34.
    MCQ 10 The mostcommon congenital hand anomaly is A Symbrachydactyly B Camptodactyly C Syndactyly D Polydactyly E Constriction Ring Syndrome
  • 35.
    MCQ – ANSWERS 10The most common congenital hand anomaly is A Symbrachydactyly B Camptodactyly C Syndactyly D Polydactyly E Constriction Ring Syndrome