MYOPATHIES & NEUROPATHIES www.freelivedoctor.com
NEUROPATHIES, MYOPATHIES NEUROPATHIES (7) Inflammatory Infectious Hereditary (HMSN-I) HMSN-II, HMSN-III Acquired Toxic/Metabolic Traumatic Neoplasms MYOPATHIES (9) Denervation Dystrophies Ion Channel Congenital Genetic Metabolic Inflammatory Toxic NeuroMuscular Junction Neoplasms www.freelivedoctor.com
www.freelivedoctor.com
www.freelivedoctor.com
www.freelivedoctor.com
www.freelivedoctor.com
www.freelivedoctor.com
www.freelivedoctor.com
www.freelivedoctor.com
www.freelivedoctor.com
www.freelivedoctor.com
www.freelivedoctor.com
www.freelivedoctor.com
www.freelivedoctor.com
www.freelivedoctor.com
www.freelivedoctor.com
www.freelivedoctor.com
www.freelivedoctor.com
www.freelivedoctor.com
www.freelivedoctor.com
www.freelivedoctor.com
GENERAL Reactions NERVE DEMYELINATION (segmental) AXONAL DEGENERATION NERVE REGENERATION REINNERVATION MUSCLE FIBER NECROSIS VACUOLIZATION REGENERATION ATROPHY HYPERTROPHY www.freelivedoctor.com
www.freelivedoctor.com
www.freelivedoctor.com
www.freelivedoctor.com
www.freelivedoctor.com
HYPERTROPHY, ATROPHY www.freelivedoctor.com
NEUROPATHIES, MYOPATHIES NEUROPATHIES (7) Inflammatory Infectious Hereditary (HMSN-I) HMSN-II, HMSN-III Acquired Toxic/Metabolic Traumatic Neoplasms MYOPATHIES (9) Denervation Dystrophies Ion Channel Congenital Genetic Metabolic Inflammatory Toxic NeuroMuscular Junction Neoplasms www.freelivedoctor.com
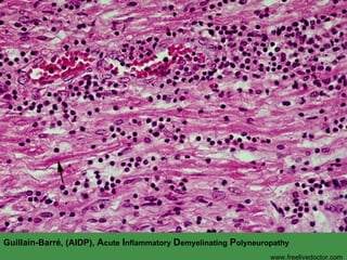
NEUROPATHY , Inflammatory Guillain-Barr é Preceded by “influenza”-like illness NO actual specific etiologic agent isolated, autoimmume disease to myelin gangliosides most likely Inflammation of a peripheral nerve DEMYELINATION “ ASCENDING” paralysis www.freelivedoctor.com
Guillain-Barr é, (AIDP),  A cute   I nflammatory   D emyelinating   P olyneuropathy www.freelivedoctor.com
NEUROPATHY , Infectious Leprosy Diphtheria V/Z (Varicella-Zoster) www.freelivedoctor.com
www.freelivedoctor.com
www.freelivedoctor.com
N E U R O T O X I N C. DIPHTHERIAE www.freelivedoctor.com
Z O S T E R POSTHERPETIC NEURALGIA ZOSTER in DRG www.freelivedoctor.com
NEUROPATHY , Hereditary (defective myelination) ( H ereditary  M otor and  S ensory  N europathy) HMSN-I (Charcot-Marie-Tooth) HMSN-II (Like CMT of the neurons) HMSN-III (Palpable Nerves) (aka, Dejerine-Sottas) www.freelivedoctor.com
PES CAVUM(S),  in CMT www.freelivedoctor.com
NEUROPATHY , Toxic/Metabolic Symmetric, Asymmetric Sensory, Sensorimotor Somatic, Autonomic Focal, Multifocal www.freelivedoctor.com
NEUROPATHY , Toxic/Metabolic Diabetes Mellitus Vitamin Deficiencies (many Bs, E) Heavy Metals, Pb, As, etc. Organic Compounds CHEMO www.freelivedoctor.com
DEMYELINATION www.freelivedoctor.com
NEUROPATHY , Traumatic Laceration Avulsion Carpal Tunnel Traumatic (amputation) “Neuroma” “ Saturday Night” Palsy Morton “Neuroma” www.freelivedoctor.com
TRAUMATIC NEUROMA “ Regenerating Axons and Glia (Schwann Cells), but with no direction” www.freelivedoctor.com
MORTON’S NEUROMA Traumatic Compression F>M Interdigital Intermetatarsal MEDIAL Plantar Nerve 3 rd  COMMON digital branch www.freelivedoctor.com
www.freelivedoctor.com
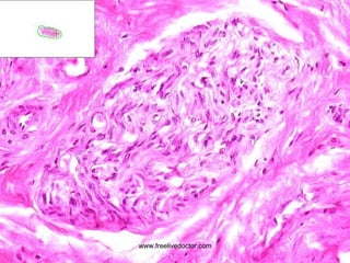
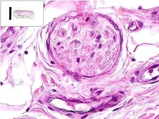
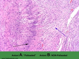
NEUROPATHY , Neoplastic Benign: Schwannoma Malignant: Malignant Schwannoma www.freelivedoctor.com
www.freelivedoctor.com
Antoni  A : “Palisaded”  Antoni  B : NON-Palisaded www.freelivedoctor.com
MYOPATHIES www.freelivedoctor.com
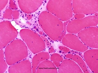
MYOPATHY , Denervation MUSCLE FIBERS  CANNOT  SURVIVE UNLESS THEY ARE INNERVATED PERIPHERAL NERVE PATHOLOGY ANTERIOR HORN CELL PATHOLOGY www.freelivedoctor.com
www.freelivedoctor.com
S PINAL  M USCULAR  A TROPHY Childhood diseases Chromosome #5 that harbors the survival motor neuron gene ( SMN1 )   Anterior Horn Cells Often PAN-fascicular More peripheral muscles www.freelivedoctor.com
MYOPATHY , “Dystrophic” Jerry’s kids, no “DYSTROPHIN” DUCHENNE (DMD), x-linked BECKER (BMD) (less common, less severe, same chromosome) Many others also, all of which have complex genetic patterns which have all been precisely defined MYOTONIA is a common feature www.freelivedoctor.com
NORMAL DMD www.freelivedoctor.com
www.freelivedoctor.com
www.freelivedoctor.com
www.freelivedoctor.com Limb Girdle Muscular Dystrophies Inheritance Locus Gene Clinicopathologic Features 1A Autosomal-dominant 5q31 Myotilin Onset in adult life with slow progression of limb weakness, but sparing of facial muscles; dysarthric speech 1B Autosomal-dominant 1q21 Lamin A/C Onset before the age of 20 years in lower limbs, progression during many years with cardiac involvement 1C Autosomal-dominant 3p25 Caveolin-3 (M-caveolin) Onset before the age of 20, clinically similar to type 1B 1D Autosomal-dominant 7p Unknown Limb girdle muscle weakness, adult onset 2A Autosomal-recessive 15q15.1-21.1 Calpain 3 Onset in late childhood to middle age; slow progression during 20–30 years 2B Autosomal-recessive 2p13.3-q13.1 Dysferlin Mild clinical course with onset in early adulthood 2C Autosomal-recessive 13q12 γ-Sarcoglycan Severe weakness during childhood, rapid progression; dystrophic myopathy on muscle biopsy 2D Autosomal-recessive 17q21 α-Sarcoglycan (adhalin) Severe weakness during childhood, rapid progression; dystrophic myopathy on muscle biopsy 2E Autosomal-recessive 4q12 β-Sarcoglycan Onset in early childhood, with Duchenne-like clinical course 2F Autosomal-recessive 5q33 δ-Sarcoglycan Early onset and severe myopathy; dystrophic myopathy on muscle biopsy 2G Autosomal-recessive 17q11-q12 Telethonin Distal weakness with limb-girdle weakness in late childhood to adulthood; rimmed vacuoles in muscle cells 2H Autosomal-recessive 9q31-q34.1 Tripartite motif-containing protein 32 (TRIM32) Limb-girdle and facial weakness with onset in childhood, mild, slowly progressive course
MYOPATHY , Ion Channel “Channelopathies” MYOTONIA/HYPOTONIC PARALYSIS FAMILIAL, (genetic) DISEASES TRIGGERED BY: Exercise Cold Carb Intake Classified by K+,  ↑ K+,  ↓ K+ MALIGNANT HYPERTHERMIA can be triggered off by anesthetic halogenated inhalation agents in some of these patients!!! www.freelivedoctor.com
MYOPATHY , Congenital “Floppy Babies” HYPOTONIC FAMILIAL, (genetic) DISEASES MANY TYPES, in most of which the precise genetic defects have been identified www.freelivedoctor.com
MYOPATHY , Metabolic (genetic also) LIPID Mitoch. Enz. Def.   LIPID ACCUMULATION MITOCHONDRIAL “ PARKING LOT ” mitochondria www.freelivedoctor.com
www.freelivedoctor.com
PARKING LOT MITOCH. www.freelivedoctor.com
MYOPATHY , Inflammatory DERMATOMYOSITIS POLYMYOSITIS INCLUSION BODY MYOSITIS ALL HAVE UNCLEAR ETIOLOGIES www.freelivedoctor.com
DERMATOMYOSITIS (often peri-vascular) www.freelivedoctor.com
POLYMYOSITIS, usually  endo- myseal www.freelivedoctor.com
INCLUSION BODY MYOSITIS, “rimmed” vacuole www.freelivedoctor.com
MYOPATHY , Toxic THYROTOXICOSIS ETHANOL DRUGS ( steroids , chloroquine) DRUGS ( MANY   MANY  others) www.freelivedoctor.com
MYOPATHY ,  NeuroMuscular Junction Myasthenia Gravis Associated with thymomas Thymectomies often useful Rx: AUTOIMMUNE DISEASE, CLEARLY Ab’s to ANTI-CHOLINESTERASE RECEPTORS Anticholinesterase test is very diagnostic YOUNG WOMEN WITH EYE MUSCLE: Ptosis   Diplopia  General Weakness Lambert-Eaton Syndrome  (paraneoplastic) www.freelivedoctor.com
MYOPATHY , Neoplastic Benign Rhabdomyoma Malignant Rhabdomyosarcoma www.freelivedoctor.com

Neuropathy& myopathy

Editor's Notes

  • #4 LONGITUDINAL H&E section of a peripheral myelinated nerve
  • #5 TRANSVERSE H&E section of a peripheral myelinated nerve
  • #6 SILVER STAIN showing black axons surrounded by washed out fat (myelin)
  • #7 MYELIN stain showing the REVERSE of the previous slide
  • #8 Medium sized nerve, transverse section, showing a finite number of myelinated axons and schwann cells
  • #9 How many axons are in this nerve section? Perhaps around 20?
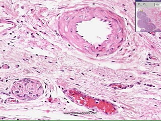
  • #10 Classical neurovascular “triad”: Artery, Vein, Nerve
  • #11 Smaller neurovascular triad, or “bundle”. How many axons are in this small nerve? Perhaps 5-8?
  • #12 The more longitudinally a nerve happens to be sectioned, the more “wavy” it appears.
  • #13 Electron microscope section, peripheral nerve. How many axons are myelinated? Perhaps about 7?
  • #14 Please differentiate between microtubules (small circles) and neurofilaments (dots). Find the schwann cell nucleus, find an UNmyelinated axon, find a mitochondrion.
  • #15 Note that the myelin “layering” has to start (INNER mesaxon) and end (OUTER mesaxon) somewhere!
  • #16 It looks like one micrometer (micron) would span about 60 layers of myelin? True or false?
  • #17 Slam dunk classical appearance of skeletal muscle. Why is skeletal muscle or voluntary striated muscle a better name for this than just striated muscle?
  • #18 Is the peripheral nature of skeletal muscle nuclei more apparent from cross or longitudinal sections? Ans: Cross Why? Ans: Simple geometry! Are striations better seen on cross or longitudinal sections? Ans: Longitudinal Why? Ans: Simple geometry again!
  • #19 EM, skeletal muscle, the sarcomere, like America, extends from “Z” to shining “Z”! Find glycogen. Find Mitochondria.
  • #22 Find the sarcoplasmic reticulum, which is the endoplasmic reticulum of skeletal muscle. Find MYOSIN filaments, find ACTIN.
  • #23 These are NONSPECIFIC reactions of nerve and skeletal muscle to injury
  • #24 Extremely important concepts of nerve demyelinization, axonal damage, and regeneration
  • #26 Muscle fiber necrosis
  • #27 Muscle fiber vacuolization
  • #28 Muscle fiber hypertrophy/atrophy. Certain fiber hypertrophy to make up for the loss of atrophic fibers
  • #34 Why is auto-amputation common in severe leprosy? Ans: Nerve destructioon
  • #37 CMT is a very HETEROGENEOUS group of hereditary diseases involved with defective myelination, e.g., CMT1, CMT2, CMT3, CMT4, X-linked CMT
  • #38 Peroneal muscle involvement and HIGH arching is common in CMT.
  • #41 BOTH demyelination AND a direct TOXIC effect to peripheral nerves are seen in diabetes, which is the MOST COMMON cause of neuropathy
  • #44 Morton’s Neuromas most commonly occur in the 3 rd common digital branch of the MEDIAL plantar nerve, i.e., 3 rd and 4 th toe at the distal metatarsal level.
  • #47 Schwannoma
  • #51 Hypertrophy/Atrophy scenario
  • #53 What is myotonia?
  • #54 Dystrophin, an intracellular protein, forms an interface between the cytoskeletal proteins and a group of transmembrane proteins
  • #56 Note again the atrophy/hypertrophy scenario
  • #64 Half of dermatomyositis patients also have cancer, many are young adults and therefore there is a juvenile variant. Note the eyelid appearance and eyelid edema.
  • #65 No skin changes, only in adults, no big association with cancer, and the inflammation is ENDOMYSEAL rather than PERIVASCULAR.
  • #66 Very obscure disease, but said to be the most common acquired myopathy in people over the age of 50. Quads and wrist flexors, asymmetrically, is the rule.
  • #69 Exceedingly RARE tumors, you may see, possibly ONE rhabdomyosarcoma in your life, perhapos.