MYOPATHIES

NEUROPATHIES
NEUROPATHIES, MYOPATHIES
• NEUROPATHIES (7) • MYOPATHIES (9)
–
–
–
–

Inflammatory
Infectious
Hereditary (HMSN-I)
HMSN-II, HMSN-III

– Acquired
(Toxic/Metabolic)
– Traumatic
– Neoplasms

–Denervation
–
–
–
–
–
–
–
–

Dystrophies
Ion Channel
Congenital
Genetic Metabolic
Inflammatory
Toxic
NeuroMuscular Junction
Neoplasms
GENERAL Reactions
• NERVE
– DEMYELINATION
(segmental)
– AXONAL
DEGENERATION
– NERVE
REGENERATION
– REINNERVATION

• MUSCLE FIBER
– NECROSIS
– VACUOLIZATION
– REGENERATION
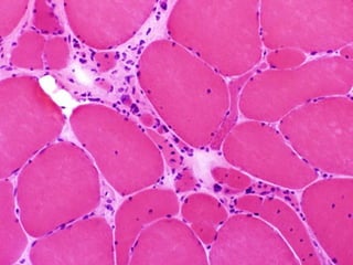
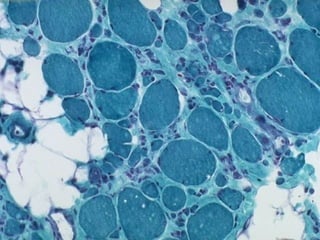
– ATROPHY
– HYPERTROPHY
HYPERTROPHY, ATROPHY
NEUROPATHIES, MYOPATHIES
• NEUROPATHIES (7) • MYOPATHIES (9)
– Inflammatory
– Infectious
– Hereditary (HMSN-I
HMSN-II, HMSN-III)
– Acquired Toxic/Metabolic
– Traumatic
– Neoplasms

–
–
–
–
–
–
–
–
–

Denervation
Dystrophies
Ion Channel
Congenital
Genetic Metabolic
Inflammatory
Toxic
NeuroMuscular Junction
Neoplasms
NEUROPATHY, Inflammatory
• Guillain-Barré
– Preceded by “influenza”-like illness
– NO actual specific etiologic agent isolated,
autoimmune disease to myelin gangliosides most
likely
– Inflammation of a peripheral nerve
– DEMYELINATION
– “ASCENDING” paralysis
• Hands trunk
• Feet trunk
Guillain-Barré, (AIDP), Acute Inflammatory Demyelinating Polyneuropathy
NEUROPATHY, Infectious
• Leprosy
• Diphtheria
• V/Z (Varicella-Zoster)
N
E
U
R
O
T
O
X

C. DIPHTHERIAE

I
N
Z
O
S
T
E
POSTHERPETIC
NEURALGIA

ZOSTER in DRG

R
NEUROPATHY, Hereditary
(defective myelination)
(Hereditary Motor and Sensory Neuropathy)

• HMSN-I (Charcot-Marie-Tooth)
• HMSN-II (Like CMT of the neurons)
• HMSN-III (Palpable Nerves) (aka,
Dejerine-Sottas)
• …….IV, V, VI, VII
PES CAVUM(S),
in CMT
NEUROPATHY,
Toxic/Metabolic
Symmetric, Asymmetric
Sensory, Sensorimotor
Somatic, Autonomic
Focal, Multifocal
NEUROPATHY,
Toxic/Metabolic
Diabetes Mellitus
Vitamin Deficiencies (many Bs, E)
Heavy Metals, Pb, As, etc.
Organic Compounds

CHEMO
DEMYELINATION
NEUROPATHY, Traumatic
•
•
•
•
•
•

Laceration regeneration rate = 1mm/day or 1 in/mo.
Avulsion
Carpal Tunnel
Traumatic (amputation) “Neuroma”
“Saturday Night” Palsy (radial n.)
Morton “Neuroma”
TRAUMATIC NEUROMA
“Regenerating Axons and Glia (Schwann Cells), but with no direction”
MEDIAL Plantar Nerve
3rd COMMON digital branch

MORTON’S
NEUROMA
Traumatic Compression
F>M
Interdigital
Intermetatarsal
http://www.google.com/search?hl=en&
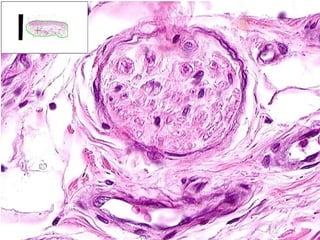
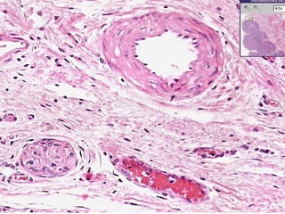
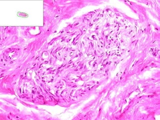
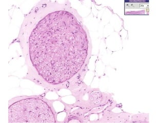
NEUROPATHY, Neoplastic
Benign: Schwannoma
Malignant: Malignant Schwannoma
Antoni A: “Palisaded”

Antoni B: NON-Palisaded
QUIZ:
• Why are
Schwannomas the
ONLY tumors of
peripheral nerve?
MYOPATHIES
NEUROPATHIES, MYOPATHIES
• NEUROPATHIES (7)
–
–
–
–
–
–
–

Inflammatory
Infectious
Hereditary (HMSN-I)
HMSN-II, HMSN-III
Acquired Toxic/Metabolic
Traumatic
Neoplasms

• MYOPATHIES (9)
– Denervation (SMA)
– Dystrophies
– Ion Channel
– Congenital
– Genetic Metabolic
– Inflammatory
– Toxic
– NeuroMuscular
Junction
– Neoplasms
MYOPATHY, Denervation
MUSCLE FIBERS

CANNOT SURVIVE
UNLESS THEY ARE
INNERVATED
PERIPHERAL NERVE PATHOLOGY
ANTERIOR (ventral) HORN CELL PATHOLOGY
SPINAL MUSCULAR ATROPHY
• Childhood diseases

• Chromosome #5 that harbors the
survival motor neuron gene
(SMN1)

• Anterior (ventral) Horn Cells
• Often PAN-fascicular
• Shoulder, hip muscles
MYOPATHY, “Dystrophic”
• Jerry’s kids, no “DYSTROPHIN”

• DUCHENNE (DMD), x-linked
• BECKER (BMD) (less common, less
severe, same chromosome)
• Many others also, all of which have
complex genetic patterns which have
all been precisely defined
• MYOTONIA is a common feature
NORMAL

DMD
Limb Girdle Muscular Dystrophies

Inheritance

Locus

Gene

Clinicopathologic Features

1
A

Autosomal-dominant

5q31

Myotilin

Onset in adult life with slow progression of limb weakness, but
sparing of facial muscles; dysarthric speech

1
B

Autosomal-dominant

1q21

Lamin A/C

Onset before the age of 20 years in lower limbs, progression during
many years with cardiac involvement

1
C

Autosomal-dominant

3p25

Caveolin-3 (Mcaveolin)

Onset before the age of 20, clinically similar to type 1B

1
D

Autosomal-dominant

7p

Unknown

Limb girdle muscle weakness, adult onset

2
A

Autosomal-recessive

15q15.1-21.1

Calpain 3

Onset in late childhood to middle age; slow progression during 20–30
years

2
B

Autosomal-recessive

2p13.3-q13.1

Dysferlin

Mild clinical course with onset in early adulthood

2
C

Autosomal-recessive

13q12

γ-Sarcoglycan

Severe weakness during childhood, rapid progression; dystrophic
myopathy on muscle biopsy

2
D

Autosomal-recessive

17q21

α-Sarcoglycan
(adhalin)

Severe weakness during childhood, rapid progression; dystrophic
myopathy on muscle biopsy

2
E

Autosomal-recessive

4q12

β-Sarcoglycan

Onset in early childhood, with Duchenne-like clinical course

2
F

Autosomal-recessive

5q33

δ-Sarcoglycan

Early onset and severe myopathy; dystrophic myopathy on muscle
biopsy

2
G

Autosomal-recessive

17q11-q12

Telethonin

Distal weakness with limb-girdle weakness in late childhood to
adulthood; rimmed vacuoles in muscle cells

2
H

Autosomal-recessive

9q31-q34.1

Tripartite motifcontaining protein
32 (TRIM32)

Limb-girdle and facial weakness with onset in childhood, mild, slowly
progressive course
MYOPATHY, Ion Channel
“Channelopathies”

• MYOTONIA/HYPOTONIC

PARALYSIS
• FAMILIAL, (genetic) DISEASES
• TRIGGERED BY:
– Exercise
– Cold
– Carb Intake

• Classified by K+, ↑K+, ↓K+
• MALIGNANT HYPERTHERMIA
can be triggered off by
anesthetic halogenated
inhalation agents in some of
these patients!!!
MYOPATHY, Congenital
“Floppy Babies”
• HYPOTONIC
• FAMILIAL,
(genetic)
DISEASES
• MANY TYPES, in
most of which the
precise genetic
defects have
been identified
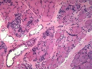
MYOPATHY, Metabolic
(genetic also)
• LIPID
– Mitoch. Enz. Def. LIPID ACCUMULATION

• MITOCHONDRIAL
– “PARKING

LOT” mitochondria
PARKING
LOT

MITOCH.
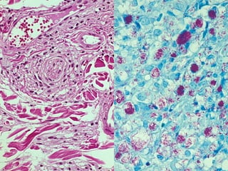
MYOPATHY, Inflammatory
• DERMATOMYOSITIS
• POLYMYOSITIS
• INCLUSION BODY MYOSITIS
• ALL HAVE UNCLEAR ETIOLOGIES
DERMATOMYOSITIS
(often peri-vascular)
POLYMYOSITIS, usually endo-myseal
INCLUSION BODY MYOSITIS (IBM) , “rimmed” vacuoles
MYOPATHY, Toxic
• THYROTOXICOSIS
• ETHANOL
• DRUGS (steroids, chloroquine)
• DRUGS (MANY MANY others)
MYOPATHY,
NeuroMuscular Junction
• Myasthenia Gravis
–
–
–
–
–
–

Associated with thymomas
Thymectomies often useful Rx:
AUTOIMMUNE DISEASE, CLEARLY
Ab’s to ANTI-CHOLINESTERASE RECEPTORS
Anticholinesterase test is very diagnostic (edrophonium)
YOUNG WOMEN WITH EYE MUSCLE SYMPTOMS:

• Ptosis 
• Diplopia
• General Weakness

• Lambert-Eaton Syndrome (paraneoplastic), 60%
have malignancies, auto-antibodies against NMJx
MYOPATHY, Neoplastic

• Benign
–Rhabdomyoma

• Malignant
–Rhabdomyosarcoma

Minarcik robbins 2013_ch27-nerve_musc

Editor's Notes

  • #3 Very simple format, 7 common neuropathies, 9 common myopathies. Our original day 1 design of three types of diseases for everything is modified a bit! Notice the LARGE print. Note how they, sorta, fit into the 3 disease types.
  • #4 LONGITUDINAL H&E section of a peripheral myelinated nerve. Does the word “wavy” come to mind? Wavy Wavy Wavy Wavy Wavy Wavy Wavy Wavy Wavy Wavy Wavy Wavy Wavy Wavy Wavy Wavy Wavy Wavy Wavy Wavy Wavy Wavy Wavy Wavy Wavy Wavy Wavy Wavy Wavy Wavy Wavy Wavy Wavy Wavy Wavy Wavy Wavy Wavy Wavy Wavy Wavy Wavy Wavy Wavy Wavy Wavy Wavy Wavy Wavy Wavy Wavy Wavy Wavy Wavy Wavy Wavy Wavy Wavy Wavy Wavy Wavy Wavy Wavy Wavy Wavy Wavy Wavy Wavy Wavy Wavy Wavy Wavy Wavy Wavy Wavy Wavy Wavy Wavy Wavy Wavy Wavy Wavy Wavy Wavy Wavy Wavy Wavy Wavy Wavy Wavy Wavy Wavy Wavy Wavy Wavy Wavy Wavy Wavy Wavy Wavy Wavy Wavy Wavy Wavy Wavy Wavy Wavy Wavy Wavy Wavy
  • #5 TRANSVERSE H&E section of a peripheral myelinated nerve. Is this the same “wavy” thing now cut transversely? Ans: Yes What are all the bullseyes? (axons) What are the clear areas around the bullseyes? (fatty myelin, washed out)
  • #6 SILVER STAIN showing black axons surrounded by washed out fat (myelin)
  • #7 MYELIN stain showing the REVERSE of the previous slide. If you flip back and forth between this pic and the previous one, it will be like overlaying the negative of a film over the positive.
  • #8 Medium sized nerve, transverse section, showing a finite number of myelinated axons and schwann cells
  • #9 How many axons are in this nerve section? Perhaps around 20? Ans: YES
  • #10 Classical neurovascular “triad”: Artery, Vein, Nerve
  • #11 Smaller neurovascular triad, or “bundle”. How many axons are in this small nerve? Perhaps 5-8?
  • #12 The more longitudinally a nerve happens to be sectioned, the more “wavy” it appears.
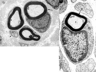
  • #13 Electron microscope section, peripheral nerve. How many axons are myelinated? Perhaps about 7? Are the rest UN-myelinated? YES
  • #14 Please differentiate between microtubules (small circles) and neurofilaments (dots). Find the schwann cell nucleus, find an UNmyelinated axon, find a mitochondrion.
  • #15 Note that the myelin “layering” has to start (INNER mesaxon) and end (OUTER mesaxon) somewhere!
  • #16 It looks like one micrometer (micron) would span about 60 layers of myelin? True or false? Ans: TRUE
  • #17 Slam dunk classical appearance of skeletal muscle. Why is skeletal muscle or voluntary striated muscle a better name for this than just striated muscle? Ans: Because cardiac muscle also has striations. Logs on a fireplace may overlap with each other, even diagonally a bit, but they do NOT fuse.
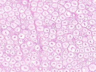
  • #18 Is the peripheral nature of skeletal muscle nuclei more apparent from cross or longitudinal sections? Ans: Cross Why? Ans: Simple geometry! Are striations better seen on cross or longitudinal sections? Ans: Longitudinal Why? Ans: Simple geometry again!
  • #19 EM, skeletal muscle, the sarcomere, like America, extends from “Z” to shining “Z”! Find glycogen. Find Mitochondria.
  • #20 H gets smaller with contraction!
  • #22 Find the sarcoplasmic reticulum, which is the endoplasmic reticulum of skeletal muscle. Find MYOSIN filaments, find ACTIN.
  • #23 These are NON-SPECIFIC reactions of nerve and skeletal muscle to injury. NON-specific, NON-specific, NON-specific. Much of it is realated to the concepts we talked about in chapter 1.
  • #24 Extremely important concepts of nerve demyelinization, axonal damage, and regeneration
  • #25 Just about anything which stains FAT will be ABSENT in areas of DE-myelinization.
  • #26 Muscle fiber necrosis
  • #27 Muscle fiber vacuolization
  • #28 Muscle fiber hypertrophy/atrophy. Certain fibers hypertrophy to make up for the loss of atrophic fibers
  • #31 Can you still appreciate the “waviness”?
  • #34 Why is auto-amputation common in severe leprosy? Ans: Nerve destructioon
  • #36 Why a dermatomal distribution?
  • #37 CMT is a very HETEROGENEOUS group of hereditary diseases involved with defective myelination, e.g., CMT1, CMT2, CMT3, CMT4, X-linked CMT. Often, but not exactly correctly, the HMSNs are used interchangeably with the term CMT. Duplication of a large region in chromosome 17p12 that includes the gene PMP22, is seen in 80% of CMT cases.
  • #38 1) Peroneal muscle atrophy and 2) HIGH arching (pes cavum) is common in CMT, including 3) “claw” toe.
  • #41 BOTH demyelination/ischemia AND a direct TOXIC effect to peripheral nerves are seen in diabetes, which is the MOST COMMON cause of neuropathy, not to mention the severe ischemia.
  • #42 Do you think the word “neuroma” is in quotes because it is NOT a true clonal proliferative neoplasm? Ans: YES
  • #44 Morton’s Neuromas most commonly occur in the 3rd common digital branch of the MEDIAL plantar nerve, i.e., 3rd and 4th toe at the distal metatarsal level. They were NOT discovered by Morton, and they are not truly “neuromas”, in the true neoplastic sense of the word.
  • #47 Schwannoma But really, could this be ANY soft tissue tumor?
  • #48 Antoni A: Palisading, “Verocay” bodies Antoni B: Edema, “myxoid”
  • #49 Because SCHWANN cells are the ONLY nucleated cells found IN a nerve, dummy!
  • #50 A myopathy is ANY primary disease of muscle, generally striated muscle.
  • #51 The differential diagnoses of the various myopathies does not seem to follow the classical three divisions at all.
  • #53 Hypertrophy/Atrophy scenario. Are some fibers thicker to make up for the thinning (atrophy) of other fibers? Yes!
  • #56 What is myotonia? Ans: tonic muscle spasm or muscular rigidity
  • #57 Dystrophin, an intracellular protein, forms an interface between the cytoskeletal proteins and a group of transmembrane proteins
  • #58 Hypertrophy, atrophy, inflammation.
  • #59 Note again the atrophy/hypertrophy scenario
  • #60 MDA is not just DMD and BMD
  • #61 http://en.wikipedia.org/wiki/Channelopathy
  • #62 Floppy baby is not a disrespectful term.
  • #63 Metabolic myopathies are related to MITOCHONDRIA
  • #64 Do you thing the DARK lipid looks this way because it is stained with a lipophilic dye rather than having it’s usual washed out appearance?
  • #66 Does an “unclear” inflammatory etiology usually suggest autoimmune” Ans: YES
  • #67 Half of dermatomyositis patients also have cancer, many are young adults and therefore there is a juvenile variant. Note the eyelid appearance and eyelid edema.
  • #68 No skin changes, only in adults, no big association with cancer, and the inflammation is ENDOMYSEAL rather than PERIVASCULAR.
  • #69 Very obscure disease, but said to be the most common acquired myopathy in people over the age of 50. Quads and wrist flexors, asymmetrically, is the rule.
  • #71 Edrophonium is a acetylcholinesterase inhibitor, thereby relieving the symptoms temporarily.
  • #72 Exceedingly RARE tumors, you may see, possibly ONE rhabdomyosarcoma in your life, perhaps. When you do, you will know 50X more about it than I am going to describe now. This was also discussed in the domain of “soft tissue” tumors.