ACQUIRED MITRAL VALVE DISEASE
BY DR NIKUNJ
(CTS RESIDENT STAR HOSPITAL)
(Coordinator:DR P.SATYENDRANATH PATHURI)
(9-24/6/19)
ANATOMY OF MITRAL VALVE
ANNULUS FIBROSUS
• At each extremity of the base of the anterior leaflet, the atrio-valvular junction is
reinforced by two dense triangular fibrous structures: the anterolateral and
posteromedial fibrous trigones.
• During diastole, the shape is grossly circular . During systole, the annulus has a kidney
shape
• the annulus has a three-dimensional saddle-shape configuration.
• The two lowest points are located at the fibrous trigones and the
• two highest points are located at the midpoints of the anterior and posterior annuli.
• The plane of the mitral valve annulus makes a 120° angle with the plane of the aortic valve
annulus.
The 26% ± 3% reduction of the mitral valve orifice area during systole results from the
contraction of the base of the heart and the displacement of the aorto-mitral curtain towards
the center of the orifice.
THE LEAFLETS
• The mitral valve comprises two
leaflets—1)anterior
• 2)posterior
• separated by two commissures.
• the anterior leaflet more
extended vertically and the
posterior leaflet more extended
transversally, they have a similar
surface area.
• The basal insertion of the
anterior leaflet occupies approx-
imately one third of the
circumference of the mitral
valve
• The remaining two thirds of the
circumference attaches to the
posterior leaflet and the
commissural tissue.
ANTERIOR LEAFLET
• ANTERIOR LEAFLET, also called the aortic leaflet, has a trapezoidal shape. Its base,
which measures 32 ± 1.3 mm, is inserted on the aorto-mitral curtain and the
adjacent fibrous trigones.
• From the base to the margin, two zones are clearly apparent.
• 1)The proximal zone, called the atrial zone, is regular, thin, and translucent.
• 2)The distal zone, called the zone of coaptation or rough zone, is irregular and
thicker because of the numerous chordae attached to its ventricular side. The two
zones have a similar surface area.
• During diastole, the anterior leaflet divides the left ventricle into two functional
areas, the inflow chamber and the outflow tract.
• The surface of coaptation, which has a height of 7 to 9 mm
POSTERIOR LEAFLET
• The posterior leaflet is inserted approximately
on two thirds of the annulus, to the crest of
the ventricular wall.
• The size of the scallops of the posterior leaflet
differs. The largest is the middle scallop (P2)
and the smallest is the anterior scallop (P1)
• THE COMMISSURES
• The commissural leaflet is a small,
triangular segment of leaflet tissue. Its
base is attached to the annulus and its
free edge is supported by one or two
characteristic fanlike chordae.
• As a result of this configuration, the
junction between the anterior and
posterior leaflets does not reach the
annulus but forms a Y-shaped line of
coaptation.
THE SUSPENSION SYSTEM
• THE PAPILLARY MUSCLES with contractile
properties and
• THE CHORDAE TENDINEAE with elastic
properties.
THE PAPILLARY MUSCLES
• insert on the ventricular wall, are usually
organized into two groups, designated
posteromedial and anterolateral, positioned
below the corresponding commissures
THE CHORDAE TENDINEAE
FOUR ANATOMICAL STRUCTURES CLOSE TO THE ANNULUS ARE AT RISK
DURING SURGERY
MITRAL STENOSIS
• Pathophysiology
• normal mitral valve area is 4 to 6 cm2.
• Once the mitral valve orifice narrows to less than 2.5 cm2, a pressure gradient
is necessary to generate blood flow from the left atrium into the left ventricle.
• The transvalvular gradient results in elevated left atrial and pulmonary venous
pressures
• Pulmonary edema results when pulmonary venous pressure exceeds plasma
oncotic pressure.
• As pulmonary artery pressures rise, both right ventricular end-diastolic pressure
and volume increase, resulting in right ventricular dilation and tricuspid
regurgitation
• Because left ventricular inflow is restricted, left ventricular chamber size or end-
diastolic volume is normal or less than normal, and end-diastolic pressure is
generally low.
• At rest, mitral stenosis is often asymptomatic; however, any increase in
flow across the mitral valve or decrease in duration of diastole results in
an increase in the transvalvular pressure gradient. Consequently, dyspnea
is typically precipitated by exercise, stress, infection, pregnancy, or rapid
atrial fibrillation
ETIOLOGY
• Although the prevalence of RHEUMATIC DISEASE has markedly decreased in
recent decades, particularly in developed nations, it remains the predominant
cause of mitral stenosis in the United States and worldwide.
• However, only half to two thirds of patients report a definite history of rheumatic
fever, with at least a 2:1 female-to-male predominance.
• NONRHEUMATIC ETIOLOGY
• severe mitral annular calcification (common in older people),
• congenital mitral valve deformities,
• carcinoid syndrome,
• systemic lupus,
• neoplasm,
• prosthetic valve calcification.
RHEUMATIC HEART DISEASE
• insidious fibrotic process that affects all segments of the mitral apparatus, as well
as other valves
• group A streptococcal antigens and epitopes found on human tissue stimulate
autoimmune mediated damage to cardiac tissue.
• The mitral valve is the most commonly affected (isolated mitral stenosis is found
in 40% of patients),
• followed by concomitant aortic and mitral valve disease, and
• least frequently isolated aortic valve disease.
• Early valvular lesions include:
• (1) leaflet thickening.
• (2) chordal thickening, fusion, and shortening.
• (3) commissural fusion.
• Progressive valvulopathy produces a characteristic “fish mouth” single central
opening, with restricted leaflet motion during systole and diastole.
• Chordal thickening and fusion can create a dense fibrotic subvalvular mass that
can further obstruct forward flow.
• Calcification, particularly at the commissural edges and occasionally extending
posteriorly into the annulus and subvalvular apparatus, is common late in the
disease process and in older patients.
• These lesions, especially chordal fusion and shortening, often reduce leaflet
coaptation by restricting leaflet mobility and thereby yield concomitant mitral
regurgitation.
CLINICAL CHARACTERISTICS AND DIAGNOSIS
• The diagnosis of mitral stenosis can be based on
• medical history,
• physical examination,
• electrocardiography,
• chest radiography,
• echocardiography,
• invasive hemodynamics.
• patients are most often women and are frequently asymptomatic, although
symptoms can include
• fatigue,
• dyspnea,
• hemoptysis (from rupture of dilated bronchial veins),
• new onset atrial fibrillation, or systemic thromboembolism.
• Patients with chronic severe mitral stenosis are often cachectic because of
longstanding low cardiac output.
• In the absence of left ventricular dysfunction, peripheral pulses are normal and
the apical impulse is in the standard position on chest palpation.
• A right ventricular parasternal heave is present in the setting of pulmonary
hypertension.
• Auscultatory findings include a loud S1, an opening snap, and a diastolic murmur.
The diastolic murmur is a low-pitched rumble best heard at the apex.
• The early diastolic opening snap is generated by sudden tensing of the pliable
leaflets during valve opening and is absent later in the disease when the leaflets
are immobile.
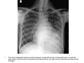
• The chest radiograph may be normal; however, a large left atrium is frequently seen. In patients
with severe mitral stenosis and pulmonary hypertension, the right atrium and ventricle may also be
enlarged.
• P-wave abnormalities indicative of left atrial enlargement (biphasic P-wave in lead
V1; or broad, notched P-wave in lead II), atrial fibrillation, or right ventricular
hypertrophy (right-axis deviation and a tall R-wave in lead V1).
Left Atrial Enlargement
https://youtu.be/Jks98rwwsh8
• Echocardiography permits evaluation of the morphology, mobility, and extent of
calcification of the mitral leaflets, commissures, and subvalvular apparatus.
• In addition, the severity of mitral stenosis can be assessed by measuring the mitral
valve area, the transmitral gradient, left atrial size, and the pulmonary artery
pressures
• Transthoracic echocardiography also provides a noninvasive evaluation of other
valves, as well as right and left ventricular function. Echocardiographic
characteristics of the mitral valve apparatus are used to determine candidacy for
percutaneous balloon valvuloplasty.
• Left-sided heart catheterization is not usually necessary for diagnosis of mitral
stenosis, but it can be useful when there is a discrepancy between data from
noninvasive assessments.
• In patients that meet criteria for surgical intervention, cardiac catheterization
should be performed to ascertain whether coronary artery disease is present.
• Right-sided heart catheterization is performed to measure the severity of
pulmonary hypertension, and it can be used to determine reversibility after
administration of pulmonary vasodilators.
NATURAL HISTORY
• Although the average age of index cases of rheumatic fever is approximately 12
years, symptoms do not generally become apparent until 30 years of age.
• Once symptoms develop, progression to incapacitating disability occurs over
approximately 10 years, and those with more severe symptoms have poorer
prognoses
• In surgically untreated patients with mitral stenosis, the average age of death is
between 40 and 50 years.
Rowe JC, Bland EF, Sprague HB, et al: The course of mitral stenosis without surgery: ten- and twenty-year perspectives. Ann Intern Med 52:741–
749, 1960.
Rapaport E: Natural history of aortic and mitral valve disease. Am J Cardiol 35:221–227, 1975.
Olesen KH: The natural history of 271 patients with mitral ste- nosis under medical treatment. B
• Various sequelae often develop during the course of surgically untreated
mitral stenosis that shorten the interval between symptom onset and death.
• Left atrial hypertension ultimately distorts atrial cardiomyocyte architecture
and predisposes patients to atrial fibrillation.
• The onset of atrial fibrillation often initiates symptoms because patients with
mitral stenosis rely heavily on atrial contraction for ventricular filling, and
rapid heart rates reduce the duration of diastole.
• Consequently, cardiac output declines and left atrial pressure rises
• Systemic thromboembolism also significantly alters the course of the disease,
particularly when it results in stroke. Although most emboli originate in the
left atrial appendage or left atrium
• Overall, arterial thromboembolization occurs in at least 10% of surgically
untreated patients with mitral stenosis.
Selzer A, Cohn KE: Natural history of mitral stenosis: a review.
Circulation 45:878–890, 1972.
• Pulmonary hemorrhage infrequently can develop in even mildly symptomatic
patients, but the risk remits after surgical correction of the stenotic valve.
• infective endocarditis is uncommon in patients with mitral stenosis.
• surgical treatment has significantly altered the disease course.
MITRAL REGURGITATION
• Pathophysiology
• Mitral regurgitation, the retrograde ejection of blood from the left ventricle into
the left atrium during systole,
• ACUTE,
• CHRONIC AND COMPENSATED,
• CHRONIC AND DECOMPENSATED.
• a larger volume of blood is ejected from the left ventricle with each contraction.
However, the effective forward stroke volume and cardiac output actually decrease
because a proportion of the blood volume is ejected retrograde into the left
atrium.
• Volume overload in the left atrium increases left atrial pressure from a normal
level of approximately 10 mm Hg to as high as 25 mm Hg.
• The increased preload ultimately induces ventricular remodeling through
eccentric hypertrophy and dilation.
CHRONIC COMPENSATED MITRAL REGURGITATION
• A larger ventricular cavity allows for an increase in total stroke volume, thereby
maintaining forward stroke volume at near normal levels.
• Because the annulus is continuous with the left ventricle, annular dilation results
from ventricular enlargement.
• The normal ratio between the anteroposterior and transverse diameters of the
mitral annulus is 3:4 in systole. In chronic mitral regurgitation, this ratio is inverted,
impairing proper leaflet coaptation and generating regurgitant flow even in the
absence of leaflet prolapse.
• Annular dilation affects the posterior annulus to a greater extent than the anterior
annulus.
• Similar to ventricular compensation via enlargement, the left atrium dilates to
accommodate the volume overload at lower filling pressures.
• Atrial enlargement increases the risk of atrial arrhythmias, such as atrial
fibrillation and consequent mural thrombi from stasis.
ACUTE MITRAL REGURGITATION
• When mitral regurgitation develops suddenly from chordal rupture, papillary
muscle infarction, or leaflet perforation, there is inadequate time for left atrial and
ventricular compensation.
• patients typically present in a state of acute pulmonary edema and cardiogenic
shock
CHRONIC DECOMPENSATED MITRAL REGURGITATION
• volume overload and eccentric ventricular hypertrophy impair ventricular
performance and prevent effective ventricular contraction; this is Stroke volume
and cardiac output decline as blood preferentially flows retrograde into the lower
resistance pathway.
• Consequently, the pressure in the left atrium and pulmonary vasculature
increases.
• Untreated decompensated mitral regurgitation progresses to irreversible
pulmonary hypertension, pulmonary edema, and congestive heart failure.
• The presence of left ventricular dysfunction portends a worse prognosis regardless
of the treatment modality.
FUNCTIONAL CLASSIFICATION
• The triad includes etiology (cause of the disease), valve lesions (structural changes
resulting from the disease process), and leaflet dysfunction (alterations in leaflet
motion resulting from the structural lesion).
ETIOLOGY
• Degenerative Disease
• Pathologic examination of degenerative mitral valves reveals mitral leaflet
redundancy and myxomatous leaflet thickening that typically result from collagen
replacement by acid mucopolysaccharides
• Mutual support is lost as redundant and elongated leaflets improperly coapt
during systole.
• Consequently, the leaflets extend into the left atrium and the valve is rendered
regurgitant.
• chordae are placed under abnormal strain.
• The chordae elongate and may ultimately rupture, generating more regurgitation.
FIBROELASTIC DEFICIENCY
• In fibroelastic deficiency, or idiopathic chordal rupture, a considerable portion of
leaflet tissue is unaffected by the myxomatous transformation .
• Typically, regurgitation is caused by rupture of a single chord that supports the
posteromedial portion of the posterior leaflet (P2).
• Following rupture, the less supported leaflet segment becomes redundant and
flail. More extensive posterior chordal rupture may sometimes occur.
• Patients with fibroelastic deficiency are characteristically older with a short history
of mitral regurgitation.
BARLOW’S DISEASE
• presents early in life, and most patients have a long history of a systolic murmur.
• Barlow’s disease is characterized by extensive excess leaflet tissue in a dilated
annulus
• Leaflet tissue is thickened, and there is marked redun- dancy in multiple segments.
• In addition, chordae and occasionally papillary muscles are thickened and
elongated.
• Regurgitation is complex and secondary to multisegment leaflet prolapse.
• multisegment thickening and prolapse within a smaller valve.
RHEUMATIC DISEASE
• Progressive leaflet thickening and retraction, as well as chordal shortening and
fusion from chronic valvulitis restrict leaflet motion during both diastole and
systole, thereby rendering the valve regurgitant.
• The anterior leaflet is typically less thickened, and particularly in younger patients,
elongated major chordae may allow regurgitation from anterior leaflet prolapse.
• Annular dilation from extensive myocarditis may cause transient mitral
regurgitation in the acute rheumatic process.
MITRAL ANNULAR CALCIFICATION
• Annular calcification is most often seen in older people.
• Although it can occur without apparent disease of the leaflets or chordae, it may
be more common in patients with myxomatous degeneration of the mitral leaflets.
• Calcifying disease of the annulus is a degenerative process that usually involves the
posterior circumference of the annulus more than other portions.
• Annular calcification can extend into the adjacent myocardium of the left
ventricle, and it yields mitral regurgitation through restricted motion of the
posterior leaflet.
INFECTIVE ENDOCARDITIS
• uncommon cause of isolated mitral regurgitation compared with the frequency in
which it is accountable for aortic regurgitation.
• Mitral valve endocarditis typically occurs in patients with an already structurally
abnormal valve because of underlying degenerative or rheumatic valve disease.
• However, several virulent organisms, such as Staphylococcus aureus, may infect
non diseased valves.
• Staphylococci and Streptococci now account for 80% of cases of endocarditis.
• Upon infection of a normal or abnormal mitral valve, mitral regurgitation can
result from destruction of leaflet cusps, chordae, or both.
• aortic valve endocarditis may directly extend to the mitral valve as vegetations
may drop down onto and infect the central portion of the anterior leaflet of the
mitral valve
ISCHEMIC CARDIOMYOPATHY
• Left ventricular remodeling after myocardial infarction results in a conversion of
the ventricular shape from ellipsoidal to spherical.
• Consequently, the papillary muscles are displaced, leading to restriction or
tethering of posterior leaflet motion during systole
• Leaflet coaptation surface area is compromised, resulting in mitral regurgitation.
• because of structural continuity between the ventricle and annulus, ventricular
dilation leads to annular dilation that may exacerbate mitral regurgitation.
• Acute mitral regurgitation can result from ischemic papillary muscle dysfunction or
rupture.
• Occasionally, the papillary muscle will not rupture, but will become fibrotic and
subsequently elongate, leading to leaflet prolapse
DILATED CARDIOMYOPATHY AND SUBMITRAL LEFT
VENTRICULAR ANEURYSMS
• idiopathic; however, known causes include chronic atrial fibrillation, myocarditis,
excessive alcohol consumption, and immunologic abnormalities.
• natural history of the disease is often complicated by functional mitral
regurgitation secondary to ventricular remodeling.
• Submitral ventricular aneurysms can also result in mitral regurgitation. Such an
aneurysm is not due to myocardial ischemia, and it occurs almost exclusively in
Africa.
• The aneurysm is generally situated directly beneath the posterior mitral leaflet;
therefore, mitral regurgitation develops from aneurysmal distortion of the
posterior leaflet
CLINICAL CHARACTERISTICS AND DIAGNOSIS
• Chronic
• Patients with chronic mitral regurgitation are often asymptomatic for years.
• During this time, left ventricular size can gradually increase and myocardial
contractility declines.
• patients develop exercise intolerance and symptoms consistent with pulmonary
venous hypertension.
• Fluid retention, chronic cardiac failure, and occasionally cardiac cachexia are
representative of longstanding untreated disease.
• Coexistent secondary tricuspid regurgitation is frequently apparent at such late
stages of the disease
• diagnosed on the basis of
• history,
• physical examination,
• electrocardiogram, and
• chest radiograph.
• On auscultation, a classic pansystolic murmur is appreciable, loudest at the apex,
and radiates to the left axilla. However, murmurs may be heard in the parasternal
aortic area or infrascapular posterior cervical area in the setting of eccentric jets
from posterior leaflet or anterior leaflet prolapse, respectively.
• An S3 may be present because of augmented transmitral flow from volume
overload and left ventricular dilation.
ECG
• Left Atrial Enlargement
• ECG findings suggestive of left atrial enlargement include:
• Broad, bifid P wave in lead II (P mitrale)
• Enlargement of the terminal negative portion of the P wave in VI
• In acute MR, chest X-ray reveals pulmonary edema caused by pulmonary congestion
secondary to the abrupt rise in pressure in the left atrium. There is no enlargement of the
cardiac silhouette in acute MR
• in chronic MR, the pulmonary vascular markings are typically normal since the pulmonary
venous pressures are usually not significantly elevated. The left side of the heart might be
enlarged. The left main bronchus can be pushed up by an enlarged left atrium.
• Two-dimensional echocardiography via transthoracic and transesophageal
approaches delineate the mechanism and severity of mitral regurgitation
• Acute
• Mitral regurgitation can develop acutely because of chordal rupture or infective
endocarditis or early in the evolution of acute myocardial infarction.
• Symptoms and signs are consistent with acute elevation of pulmonary venous
pressures and low cardiac output.
• On auscultation, the murmur of mitral regurgitation is often midsys- tolic and
higher pitched compared with the classic pansystolic murmur of chronic mitral
regurgitation.
• The left atrium and left ventricle are normal in size because of inadequate time for
compensation through dilation.
• Because of acute elevation of pulmonary venous pressure, significant pulmonary
edema is often noted on chest radiography.
Mitral valve disease

Mitral valve disease

  • 1.
    ACQUIRED MITRAL VALVEDISEASE BY DR NIKUNJ (CTS RESIDENT STAR HOSPITAL) (Coordinator:DR P.SATYENDRANATH PATHURI) (9-24/6/19)
  • 2.
  • 5.
  • 6.
    • At eachextremity of the base of the anterior leaflet, the atrio-valvular junction is reinforced by two dense triangular fibrous structures: the anterolateral and posteromedial fibrous trigones.
  • 7.
    • During diastole,the shape is grossly circular . During systole, the annulus has a kidney shape
  • 8.
    • the annulushas a three-dimensional saddle-shape configuration. • The two lowest points are located at the fibrous trigones and the • two highest points are located at the midpoints of the anterior and posterior annuli. • The plane of the mitral valve annulus makes a 120° angle with the plane of the aortic valve annulus.
  • 9.
    The 26% ±3% reduction of the mitral valve orifice area during systole results from the contraction of the base of the heart and the displacement of the aorto-mitral curtain towards the center of the orifice.
  • 10.
    THE LEAFLETS • Themitral valve comprises two leaflets—1)anterior • 2)posterior • separated by two commissures. • the anterior leaflet more extended vertically and the posterior leaflet more extended transversally, they have a similar surface area.
  • 11.
    • The basalinsertion of the anterior leaflet occupies approx- imately one third of the circumference of the mitral valve • The remaining two thirds of the circumference attaches to the posterior leaflet and the commissural tissue.
  • 12.
    ANTERIOR LEAFLET • ANTERIORLEAFLET, also called the aortic leaflet, has a trapezoidal shape. Its base, which measures 32 ± 1.3 mm, is inserted on the aorto-mitral curtain and the adjacent fibrous trigones. • From the base to the margin, two zones are clearly apparent. • 1)The proximal zone, called the atrial zone, is regular, thin, and translucent. • 2)The distal zone, called the zone of coaptation or rough zone, is irregular and thicker because of the numerous chordae attached to its ventricular side. The two zones have a similar surface area. • During diastole, the anterior leaflet divides the left ventricle into two functional areas, the inflow chamber and the outflow tract.
  • 13.
    • The surfaceof coaptation, which has a height of 7 to 9 mm
  • 14.
    POSTERIOR LEAFLET • Theposterior leaflet is inserted approximately on two thirds of the annulus, to the crest of the ventricular wall. • The size of the scallops of the posterior leaflet differs. The largest is the middle scallop (P2) and the smallest is the anterior scallop (P1)
  • 15.
    • THE COMMISSURES •The commissural leaflet is a small, triangular segment of leaflet tissue. Its base is attached to the annulus and its free edge is supported by one or two characteristic fanlike chordae. • As a result of this configuration, the junction between the anterior and posterior leaflets does not reach the annulus but forms a Y-shaped line of coaptation.
  • 17.
    THE SUSPENSION SYSTEM •THE PAPILLARY MUSCLES with contractile properties and • THE CHORDAE TENDINEAE with elastic properties.
  • 18.
    THE PAPILLARY MUSCLES •insert on the ventricular wall, are usually organized into two groups, designated posteromedial and anterolateral, positioned below the corresponding commissures
  • 20.
  • 23.
    FOUR ANATOMICAL STRUCTURESCLOSE TO THE ANNULUS ARE AT RISK DURING SURGERY
  • 26.
    MITRAL STENOSIS • Pathophysiology •normal mitral valve area is 4 to 6 cm2. • Once the mitral valve orifice narrows to less than 2.5 cm2, a pressure gradient is necessary to generate blood flow from the left atrium into the left ventricle.
  • 27.
    • The transvalvulargradient results in elevated left atrial and pulmonary venous pressures • Pulmonary edema results when pulmonary venous pressure exceeds plasma oncotic pressure. • As pulmonary artery pressures rise, both right ventricular end-diastolic pressure and volume increase, resulting in right ventricular dilation and tricuspid regurgitation • Because left ventricular inflow is restricted, left ventricular chamber size or end- diastolic volume is normal or less than normal, and end-diastolic pressure is generally low.
  • 28.
    • At rest,mitral stenosis is often asymptomatic; however, any increase in flow across the mitral valve or decrease in duration of diastole results in an increase in the transvalvular pressure gradient. Consequently, dyspnea is typically precipitated by exercise, stress, infection, pregnancy, or rapid atrial fibrillation
  • 29.
    ETIOLOGY • Although theprevalence of RHEUMATIC DISEASE has markedly decreased in recent decades, particularly in developed nations, it remains the predominant cause of mitral stenosis in the United States and worldwide. • However, only half to two thirds of patients report a definite history of rheumatic fever, with at least a 2:1 female-to-male predominance. • NONRHEUMATIC ETIOLOGY • severe mitral annular calcification (common in older people), • congenital mitral valve deformities, • carcinoid syndrome, • systemic lupus, • neoplasm, • prosthetic valve calcification.
  • 30.
    RHEUMATIC HEART DISEASE •insidious fibrotic process that affects all segments of the mitral apparatus, as well as other valves • group A streptococcal antigens and epitopes found on human tissue stimulate autoimmune mediated damage to cardiac tissue. • The mitral valve is the most commonly affected (isolated mitral stenosis is found in 40% of patients), • followed by concomitant aortic and mitral valve disease, and • least frequently isolated aortic valve disease. • Early valvular lesions include: • (1) leaflet thickening. • (2) chordal thickening, fusion, and shortening. • (3) commissural fusion.
  • 32.
    • Progressive valvulopathyproduces a characteristic “fish mouth” single central opening, with restricted leaflet motion during systole and diastole. • Chordal thickening and fusion can create a dense fibrotic subvalvular mass that can further obstruct forward flow. • Calcification, particularly at the commissural edges and occasionally extending posteriorly into the annulus and subvalvular apparatus, is common late in the disease process and in older patients. • These lesions, especially chordal fusion and shortening, often reduce leaflet coaptation by restricting leaflet mobility and thereby yield concomitant mitral regurgitation.
  • 33.
    CLINICAL CHARACTERISTICS ANDDIAGNOSIS • The diagnosis of mitral stenosis can be based on • medical history, • physical examination, • electrocardiography, • chest radiography, • echocardiography, • invasive hemodynamics. • patients are most often women and are frequently asymptomatic, although symptoms can include • fatigue, • dyspnea, • hemoptysis (from rupture of dilated bronchial veins), • new onset atrial fibrillation, or systemic thromboembolism.
  • 34.
    • Patients withchronic severe mitral stenosis are often cachectic because of longstanding low cardiac output. • In the absence of left ventricular dysfunction, peripheral pulses are normal and the apical impulse is in the standard position on chest palpation. • A right ventricular parasternal heave is present in the setting of pulmonary hypertension. • Auscultatory findings include a loud S1, an opening snap, and a diastolic murmur. The diastolic murmur is a low-pitched rumble best heard at the apex. • The early diastolic opening snap is generated by sudden tensing of the pliable leaflets during valve opening and is absent later in the disease when the leaflets are immobile.
  • 35.
    • The chestradiograph may be normal; however, a large left atrium is frequently seen. In patients with severe mitral stenosis and pulmonary hypertension, the right atrium and ventricle may also be enlarged.
  • 36.
    • P-wave abnormalitiesindicative of left atrial enlargement (biphasic P-wave in lead V1; or broad, notched P-wave in lead II), atrial fibrillation, or right ventricular hypertrophy (right-axis deviation and a tall R-wave in lead V1).
  • 37.
  • 39.
    https://youtu.be/Jks98rwwsh8 • Echocardiography permitsevaluation of the morphology, mobility, and extent of calcification of the mitral leaflets, commissures, and subvalvular apparatus. • In addition, the severity of mitral stenosis can be assessed by measuring the mitral valve area, the transmitral gradient, left atrial size, and the pulmonary artery pressures • Transthoracic echocardiography also provides a noninvasive evaluation of other valves, as well as right and left ventricular function. Echocardiographic characteristics of the mitral valve apparatus are used to determine candidacy for percutaneous balloon valvuloplasty.
  • 40.
    • Left-sided heartcatheterization is not usually necessary for diagnosis of mitral stenosis, but it can be useful when there is a discrepancy between data from noninvasive assessments. • In patients that meet criteria for surgical intervention, cardiac catheterization should be performed to ascertain whether coronary artery disease is present. • Right-sided heart catheterization is performed to measure the severity of pulmonary hypertension, and it can be used to determine reversibility after administration of pulmonary vasodilators.
  • 41.
    NATURAL HISTORY • Althoughthe average age of index cases of rheumatic fever is approximately 12 years, symptoms do not generally become apparent until 30 years of age. • Once symptoms develop, progression to incapacitating disability occurs over approximately 10 years, and those with more severe symptoms have poorer prognoses • In surgically untreated patients with mitral stenosis, the average age of death is between 40 and 50 years. Rowe JC, Bland EF, Sprague HB, et al: The course of mitral stenosis without surgery: ten- and twenty-year perspectives. Ann Intern Med 52:741– 749, 1960. Rapaport E: Natural history of aortic and mitral valve disease. Am J Cardiol 35:221–227, 1975. Olesen KH: The natural history of 271 patients with mitral ste- nosis under medical treatment. B
  • 42.
    • Various sequelaeoften develop during the course of surgically untreated mitral stenosis that shorten the interval between symptom onset and death. • Left atrial hypertension ultimately distorts atrial cardiomyocyte architecture and predisposes patients to atrial fibrillation. • The onset of atrial fibrillation often initiates symptoms because patients with mitral stenosis rely heavily on atrial contraction for ventricular filling, and rapid heart rates reduce the duration of diastole. • Consequently, cardiac output declines and left atrial pressure rises • Systemic thromboembolism also significantly alters the course of the disease, particularly when it results in stroke. Although most emboli originate in the left atrial appendage or left atrium • Overall, arterial thromboembolization occurs in at least 10% of surgically untreated patients with mitral stenosis. Selzer A, Cohn KE: Natural history of mitral stenosis: a review. Circulation 45:878–890, 1972.
  • 43.
    • Pulmonary hemorrhageinfrequently can develop in even mildly symptomatic patients, but the risk remits after surgical correction of the stenotic valve. • infective endocarditis is uncommon in patients with mitral stenosis. • surgical treatment has significantly altered the disease course.
  • 45.
    MITRAL REGURGITATION • Pathophysiology •Mitral regurgitation, the retrograde ejection of blood from the left ventricle into the left atrium during systole, • ACUTE, • CHRONIC AND COMPENSATED, • CHRONIC AND DECOMPENSATED. • a larger volume of blood is ejected from the left ventricle with each contraction. However, the effective forward stroke volume and cardiac output actually decrease because a proportion of the blood volume is ejected retrograde into the left atrium.
  • 46.
    • Volume overloadin the left atrium increases left atrial pressure from a normal level of approximately 10 mm Hg to as high as 25 mm Hg. • The increased preload ultimately induces ventricular remodeling through eccentric hypertrophy and dilation.
  • 47.
    CHRONIC COMPENSATED MITRALREGURGITATION • A larger ventricular cavity allows for an increase in total stroke volume, thereby maintaining forward stroke volume at near normal levels. • Because the annulus is continuous with the left ventricle, annular dilation results from ventricular enlargement. • The normal ratio between the anteroposterior and transverse diameters of the mitral annulus is 3:4 in systole. In chronic mitral regurgitation, this ratio is inverted, impairing proper leaflet coaptation and generating regurgitant flow even in the absence of leaflet prolapse. • Annular dilation affects the posterior annulus to a greater extent than the anterior annulus.
  • 48.
    • Similar toventricular compensation via enlargement, the left atrium dilates to accommodate the volume overload at lower filling pressures. • Atrial enlargement increases the risk of atrial arrhythmias, such as atrial fibrillation and consequent mural thrombi from stasis.
  • 49.
    ACUTE MITRAL REGURGITATION •When mitral regurgitation develops suddenly from chordal rupture, papillary muscle infarction, or leaflet perforation, there is inadequate time for left atrial and ventricular compensation. • patients typically present in a state of acute pulmonary edema and cardiogenic shock
  • 50.
    CHRONIC DECOMPENSATED MITRALREGURGITATION • volume overload and eccentric ventricular hypertrophy impair ventricular performance and prevent effective ventricular contraction; this is Stroke volume and cardiac output decline as blood preferentially flows retrograde into the lower resistance pathway. • Consequently, the pressure in the left atrium and pulmonary vasculature increases. • Untreated decompensated mitral regurgitation progresses to irreversible pulmonary hypertension, pulmonary edema, and congestive heart failure. • The presence of left ventricular dysfunction portends a worse prognosis regardless of the treatment modality.
  • 51.
  • 53.
    • The triadincludes etiology (cause of the disease), valve lesions (structural changes resulting from the disease process), and leaflet dysfunction (alterations in leaflet motion resulting from the structural lesion).
  • 54.
    ETIOLOGY • Degenerative Disease •Pathologic examination of degenerative mitral valves reveals mitral leaflet redundancy and myxomatous leaflet thickening that typically result from collagen replacement by acid mucopolysaccharides • Mutual support is lost as redundant and elongated leaflets improperly coapt during systole. • Consequently, the leaflets extend into the left atrium and the valve is rendered regurgitant. • chordae are placed under abnormal strain. • The chordae elongate and may ultimately rupture, generating more regurgitation.
  • 55.
    FIBROELASTIC DEFICIENCY • Infibroelastic deficiency, or idiopathic chordal rupture, a considerable portion of leaflet tissue is unaffected by the myxomatous transformation . • Typically, regurgitation is caused by rupture of a single chord that supports the posteromedial portion of the posterior leaflet (P2). • Following rupture, the less supported leaflet segment becomes redundant and flail. More extensive posterior chordal rupture may sometimes occur. • Patients with fibroelastic deficiency are characteristically older with a short history of mitral regurgitation.
  • 57.
    BARLOW’S DISEASE • presentsearly in life, and most patients have a long history of a systolic murmur. • Barlow’s disease is characterized by extensive excess leaflet tissue in a dilated annulus • Leaflet tissue is thickened, and there is marked redun- dancy in multiple segments. • In addition, chordae and occasionally papillary muscles are thickened and elongated. • Regurgitation is complex and secondary to multisegment leaflet prolapse. • multisegment thickening and prolapse within a smaller valve.
  • 59.
    RHEUMATIC DISEASE • Progressiveleaflet thickening and retraction, as well as chordal shortening and fusion from chronic valvulitis restrict leaflet motion during both diastole and systole, thereby rendering the valve regurgitant. • The anterior leaflet is typically less thickened, and particularly in younger patients, elongated major chordae may allow regurgitation from anterior leaflet prolapse. • Annular dilation from extensive myocarditis may cause transient mitral regurgitation in the acute rheumatic process.
  • 61.
    MITRAL ANNULAR CALCIFICATION •Annular calcification is most often seen in older people. • Although it can occur without apparent disease of the leaflets or chordae, it may be more common in patients with myxomatous degeneration of the mitral leaflets. • Calcifying disease of the annulus is a degenerative process that usually involves the posterior circumference of the annulus more than other portions. • Annular calcification can extend into the adjacent myocardium of the left ventricle, and it yields mitral regurgitation through restricted motion of the posterior leaflet.
  • 62.
    INFECTIVE ENDOCARDITIS • uncommoncause of isolated mitral regurgitation compared with the frequency in which it is accountable for aortic regurgitation. • Mitral valve endocarditis typically occurs in patients with an already structurally abnormal valve because of underlying degenerative or rheumatic valve disease. • However, several virulent organisms, such as Staphylococcus aureus, may infect non diseased valves. • Staphylococci and Streptococci now account for 80% of cases of endocarditis. • Upon infection of a normal or abnormal mitral valve, mitral regurgitation can result from destruction of leaflet cusps, chordae, or both. • aortic valve endocarditis may directly extend to the mitral valve as vegetations may drop down onto and infect the central portion of the anterior leaflet of the mitral valve
  • 64.
    ISCHEMIC CARDIOMYOPATHY • Leftventricular remodeling after myocardial infarction results in a conversion of the ventricular shape from ellipsoidal to spherical. • Consequently, the papillary muscles are displaced, leading to restriction or tethering of posterior leaflet motion during systole • Leaflet coaptation surface area is compromised, resulting in mitral regurgitation. • because of structural continuity between the ventricle and annulus, ventricular dilation leads to annular dilation that may exacerbate mitral regurgitation. • Acute mitral regurgitation can result from ischemic papillary muscle dysfunction or rupture. • Occasionally, the papillary muscle will not rupture, but will become fibrotic and subsequently elongate, leading to leaflet prolapse
  • 65.
    DILATED CARDIOMYOPATHY ANDSUBMITRAL LEFT VENTRICULAR ANEURYSMS • idiopathic; however, known causes include chronic atrial fibrillation, myocarditis, excessive alcohol consumption, and immunologic abnormalities. • natural history of the disease is often complicated by functional mitral regurgitation secondary to ventricular remodeling. • Submitral ventricular aneurysms can also result in mitral regurgitation. Such an aneurysm is not due to myocardial ischemia, and it occurs almost exclusively in Africa. • The aneurysm is generally situated directly beneath the posterior mitral leaflet; therefore, mitral regurgitation develops from aneurysmal distortion of the posterior leaflet
  • 66.
    CLINICAL CHARACTERISTICS ANDDIAGNOSIS • Chronic • Patients with chronic mitral regurgitation are often asymptomatic for years. • During this time, left ventricular size can gradually increase and myocardial contractility declines. • patients develop exercise intolerance and symptoms consistent with pulmonary venous hypertension. • Fluid retention, chronic cardiac failure, and occasionally cardiac cachexia are representative of longstanding untreated disease. • Coexistent secondary tricuspid regurgitation is frequently apparent at such late stages of the disease
  • 67.
    • diagnosed onthe basis of • history, • physical examination, • electrocardiogram, and • chest radiograph. • On auscultation, a classic pansystolic murmur is appreciable, loudest at the apex, and radiates to the left axilla. However, murmurs may be heard in the parasternal aortic area or infrascapular posterior cervical area in the setting of eccentric jets from posterior leaflet or anterior leaflet prolapse, respectively. • An S3 may be present because of augmented transmitral flow from volume overload and left ventricular dilation.
  • 68.
    ECG • Left AtrialEnlargement • ECG findings suggestive of left atrial enlargement include: • Broad, bifid P wave in lead II (P mitrale) • Enlargement of the terminal negative portion of the P wave in VI
  • 69.
    • In acuteMR, chest X-ray reveals pulmonary edema caused by pulmonary congestion secondary to the abrupt rise in pressure in the left atrium. There is no enlargement of the cardiac silhouette in acute MR • in chronic MR, the pulmonary vascular markings are typically normal since the pulmonary venous pressures are usually not significantly elevated. The left side of the heart might be enlarged. The left main bronchus can be pushed up by an enlarged left atrium.
  • 70.
    • Two-dimensional echocardiographyvia transthoracic and transesophageal approaches delineate the mechanism and severity of mitral regurgitation
  • 72.
    • Acute • Mitralregurgitation can develop acutely because of chordal rupture or infective endocarditis or early in the evolution of acute myocardial infarction. • Symptoms and signs are consistent with acute elevation of pulmonary venous pressures and low cardiac output. • On auscultation, the murmur of mitral regurgitation is often midsys- tolic and higher pitched compared with the classic pansystolic murmur of chronic mitral regurgitation. • The left atrium and left ventricle are normal in size because of inadequate time for compensation through dilation. • Because of acute elevation of pulmonary venous pressure, significant pulmonary edema is often noted on chest radiography.