Embed presentation
Download to read offline


















































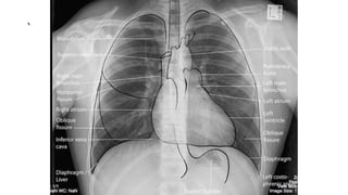
This document provides definitions for various medical terminology related to cardiopulmonary and respiratory systems. It includes terms for different types of breathing difficulties, oxygen and carbon dioxide levels in blood, heart conditions like arrhythmias, heart attacks, and heart failure. Diagnostic tests are also defined such as ECG, CXR, ABG's, pulmonary function tests, bronchoscopy, echocardiograms, CT scans, and cardiac catheterization. Emergency procedures like CPR, intubation, chest tube insertion, and defibrillation are also listed.

















































