Medical Imaging – Opportunities
          for Business
                24.01.12
         Henry Wellcome Building
          University of Leicester

         A Space IDEAS Hub Event
            In association with:
About Space IDEAS Hub
• A knowledge exchange project from the
  Space Research Centre of the University of
  Leicester
• Feed expertise developed from space
  missions into commercial benefit for UK
  industry.
• Delivering Innovative Design, Engineering,
  Analysis and Support (IDEAS) to your
  business.
• Part financed by the European Regional
  Development Fund
• UK companies can access and benefit from
  our technology and experience.

If your organisation would like to benefit from
our knowledge and expertise, please contact us
at enquiries@spaceideashub.com
Session 1 – What are we trying to image?

  09:50 Space Missions to Medical Imaging
          Prof George Fraser
  10:05 Image Analysis in Pathology
          Prof Mohammad Ilyas
  10:25 Tools for Predictive Drug Screening
          A Joined up academic and Industry approach
          Dr Rachel Errington
  10:45 Stratified Medicine in the UK
          Maximising the impact of UK Healthcare industries in a future wherw
          the Right Drug is given to the Right Patient at the Right Time for the
          Best Result
          Dr Alasdair Gaw
Space Research Centre
Department of Physics and Astronomy,
Michael Atiyah Building,
University of Leicester


Satellite Missions to Medical Imaging
GW Fraser
e-mail gwf.le.ac.uk
Tel 0116 252 3542 (direct line) or 3491 (PA)




                          Space IDEAS Hub Workshop , 24th January 2012.
The University of Leicester Space Research Centre
• 100 staff and postgraduate students
• 550 m2 Phase III of Michael Atiyah Building – opened January 2011
by the     Minister for Science and Innovation
• Six current space projects and laboratory programme in detectors
and optics

Working at the Life Sciences Interface
• BioImaging Unit (1998)
• Spin-off companies – GTL, Bioastral and Spectral-ID
• Business-facing units -G-STEP (2008) and Space IDEAS Hub (2010)
• Working in areas as diverse as :

 Gamma ray Imaging (Lees)
 Ultrafast Imaging (Lapington)
 Hyperspectral Imaging, Diagnostics Development Unit (Sims)
Technology Push: from Astronomy to Biology




         ~mm
                             ~light year
   :
   Chemistry
   · Medical diagnostics / therapeutics (diagnostic development /mass spectrometry)     o Detectors o Diagnosis of disease in real time
    Drug design and Target synthesis o Parallel syntheses and screening o Biosynthetic engineering
   o Cancer chemistry· Protein mechanism o Protein structure, dynamics and mechanism
   o Protein design and dynamics of protein-protein interactions Spectroscopy and dynamics, Tools and technologies
   o Biological spectroscopy     o Live cell imaging o Single molecule microscopy

   Computer Science
   Computer Science and Molecular Biology Computational Modelling o State based systems and stochastic models
   o Bioinformatics Algorithms Data Mining and Data Analysis o Reverse engineering
   o Bio-data and Genotype data o Observing Patterns Medical Diagnostics
   o software development for non-invasive medical diagnostics (links to Physics, Chemistry, and Engineering)
   Human Computer Interaction and Ageing Artificial Intelligence

   Engineering
   · Statistics and Artificial Intelligence (links for Computer Science/ Maths) o Reverse engineering based on real life monitoring
    Diagnostics o Signal processing and ‘real time’ processing, may require modelling
   o ex. automatic nervous system monitoring, and heart fluorination · Signal Processing
   o Including brain and cardiovascular signalling (links to Computer Science) Technology Development / devices for data acquisition

   Geology
   · Geology/Biology links through palaeobiology group · Geology, Environment, and Health
   o Ground contamination       Impact of geo-hazards on human health

   Mathematics
   · Mathematical biology (links to Computer Science) o Mathematical ecology o Dynamics of evolution (links to Geography)
   o Data mining / bioinformatics (including microarrays/medical databases/physiological data)
   o Dynamics – modelling of biological systems (system level studies)o Brain modelling and neuroscience
   § Modelling of protein systems and biochemical pathways and mechanisms

   Physics and Astronomy
   · Medical Diagnostics and Treatment o Cancer therapy, nano-particle hyperthermia treatment, toxicity of heavy metal particles in human cells
   · Medical imaging and detectors · Diagnostic Development Unit · Tools and Technology Development
   o Medical imaging, spectrometry, particles and x-ray imaging



                                          The College of Science and Engineering
                                          Theme Leader Prof Emma Raven (Chemistry)
The BepiColombo Mercury Imaging X-ray
         Spectrometer (MIXS)
9/2/2011   6
Collimator Design (1968)
The Hour-Glass Collimator
Additive Manufacture of Titanium Collimators




 D = 0.5 mm L = 25 mm Area = 40 x 40 sq.mm
2.Radial
           1.Radial
                                        Collimator in
        Collimator in
                                         Planetary
       Nuclear Medicine
                                          Science




5.Applications                                3. Novel Additive
  in Nuclear                                    Manufacturing
  Medicine ?                                     Technology



                           4.Novel
                          Collimator
                          Designs and
                           Materials
Session 1 – What are we trying to image?

  09:50 Space Missions to Medical Imaging
          Prof George Fraser
  10:05 Image Analysis in Pathology
          Prof Mohammad Ilyas
  10:25 Tools for Predictive Drug Screening
          A Joined up academic and Industry approach
          Dr Rachel Errington
  10:45 Stratified Medicine in the UK
          Maximising the impact of UK Healthcare industries in a future wherw
          the Right Drug is given to the Right Patient at the Right Time for the
          Best Result
          Dr Alasdair Gaw
Image analysis challenges in
        Pathology


       Mohammad Ilyas
What does a Pathologist
         do?


     LOOK!
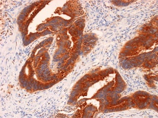
Challenges
• Improving telepathology
• Image analysis in diagnostic pathology:
- Discrimination of normal from abnormal
- Refining or creating new diagnostic
    criteria
-   Feature extraction (tumour grading,
    vascular invasion etc)
-   Automated analysis of special stains &
    immunostaining
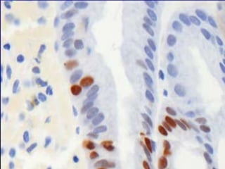
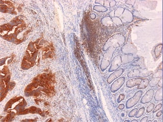
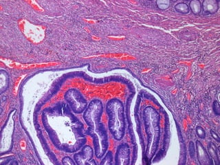
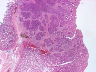
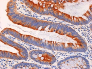
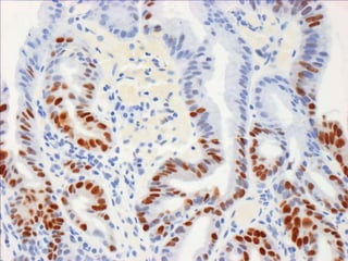
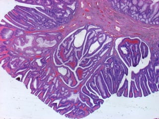
Previous biopsy site in adenoma
Feature extraction – tumour grading
Challenges
• Image analysis in tissue based
    research:
-   Automated analysis of large numbers of
    cases
-   Application to in-vitro assays
-   Integrated data analysis
-   Utilisation of newer imaging modalities
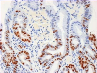
Analysis of immunostaining
• How to discriminate:
- Membranous staining
- Cytoplasmic staining
- Nuclear staining
- Overlapping nuclei
- Background staining
Other modalities
• FT-IR
• Raman spectroscopy
• NMR
?use in cancer
genetics
?use in feature
extraction
Fundamental problems
• Technological advances only recent but no
    standards yet for data format
•   Language – computer scientists don’t
    understand clinicians and vice versa
•   Computers don’t seem to recognize
    objects/patterns

• Need interaction between image analysis
    experts and clinicians
Session 1 – What are we trying to image?

  09:50 Space Missions to Medical Imaging
          Prof George Fraser
  10:05 Image Analysis in Pathology
          Prof Mohammad Ilyas
  10:25 Tools for Predictive Drug Screening
          A Joined up academic and Industry approach
          Dr Rachel Errington
  10:45 Stratified Medicine in the UK
          Maximising the impact of UK Healthcare industries in a future wherw
          the Right Drug is given to the Right Patient at the Right Time for the
          Best Result
          Dr Alasdair Gaw
High‐content screening approaches in drug 
              development:
          Opportunities and challenges




     a joined‐up industry academic approach
                                 Rachel Errington
Medical Imaging for drug screening – Bridging the gaps in
 pre-clinical screening




  Bullen, Andrew. 2008. “Microscopic imaging techniques for drug discovery.” 
  Nat Rev Drug Discov 7 (1) (January): 54‐67. doi:10.1038/nrd2446.

Medical Imaging – Leicester January 24th, 2012
What is high-content screening ?
 Where are we with HCS ten years on ……


                         HCS was originally introduced by Lansing Taylor, Giuliano, and
                     colleagues in their landmark article in JBS in 1997.
                                    Director University of Pittsburgh Drug Discovery Institute and
                                    Professor of Computational & Systems Biology


                                                  From: Biomedical Microdevices 2:2, 99±109, 1999




    Critical bottlenecks in the `drug development pipeline' can potentially lead to too few well-
    qualified and too many poorly qualified lead compounds being tested in animal models.

    The critical constriction at Lead Optimization is getting worse as the speed of HTS
    increases. Speed alone is insufficient to identify optimal lead compounds emerging at the end
    of the early discovery pipeline prior to evaluation in expensive animal models. Higher
    biological content information on the effect of the compounds on cellular targets and
    cellular processes is required.

Medical Imaging – Leicester January 24th, 2012
Our Solution for Automated Cell Analysis:
Large-Scale Biology with HCS


    Automated Plate Delivery                     Auto-focus, Expose & Acquire   Automated Image Analysis




        Analysis of Results                      Instantaneous Data Display      Automatic Data Archival




Medical Imaging – Leicester January 24th, 2012
HCS: Multi-parametric within and among channels




               Blue: Nuclei
               •Nuclear area
               •Nuclear diameter                   Red: Peroxisomes
               •Nuclear fragmentation              •Peroxisome proliferation
               •Nuclear condensation               •Peroxisome kinesis
               •Cell Number                        •Peroxisome localization



  HCS provides multiple read-
  outs from a single                                      Green: Tubulin
  fluorescence channel                                    •Cell morphology
                                                          •Microtubule disruption
                                                          •Microtubule bundling
                                                          •Mitosis
                                                          •Cell size


                                                       Yellow: Phospho-histone H3
                                                       •Transcriptionally active DNA
                                                       •Mitotic index

Medical Imaging – Leicester January 24th, 2012
So, what is inside the boxes which we use today?




Medical Imaging – Leicester January 24th, 2012
HCS is the convergence of technologies across disciplines
It has taken 10 years to evolve tools and workflow that provides a
meaningful contribution to the vision posed by the HCS pioneers

                                                 Journal of Biomolecular Screening 15(7); 2010




                                                 HCS is an interdisciplinary pursuit
                                                 a fact that was originally underestimated
Medical Imaging – Leicester January 24th, 2012
Workflow-Based Software Environment for Large-Scale
  Biological Experiments




   Karol Kozak et al….. 2010 15: 892 J Biomol Screen
Medical Imaging – Leicester January 24th, 2012
HCS is the convergence of technologies across disciplines
It has taken 10 years to evolve tools and workflow that provides a
meaningful contribution to the vision posed by the HCS pioneers

                                                 Journal of Biomolecular Screening 15(7); 2010




                                                 HCS is an interdisciplinary pursuit
                                                 a fact that was originally underestimated
Medical Imaging – Leicester January 24th, 2012
Simple requirement for reliably finding nuclear location, shape,
   masking and DNA content




             HCS CHALLENGE – assay complexity
                 Spatial - Nucleus vs cytoplasm
                 Spatial - Membrane vs cytoplasm
                 Model - Adherent cells
                 Model - Suspension cell line
                 Reporters – rare; cell cycle event
                 Reporters – Fast; stress event
                Bioinformatics – data processing

Medical Imaging – Leicester January 24th, 2012
Anthraquinones our bespoke far-red probes


                        N                                                                                                      1.0x10
                                                                                                                                        -6

         OH O   HN
                                              0.8                                                                                                                                  9mA
                                                                                                                                                                                   7mA
                                                                                                                                        -6                                         5mA
                                                                                                                               0.8x10                                              3mA




                                                                                                      intensity
                                              0.6
                                                                                                                                        -6




                                                                                                            Intensity (Arb.)
                                                                                                                               0.6x10
         NH O      OH
                                 Absorbance
  N
                                              0.4                                                                                       -6
                                                                                                                               0.4x10
           DRAQ5
                                                                                                                                        -6
                                              0.2                                                                              0.2x10



                                                                                                                                        0
                                                                                                                                        640         645        650           655         660
                                               0
                                                200   300   400    500      600     700   800   900                                                       Wavelength (nm)

                                                                  Wavelength (nm)                                                             Wavelength (nm)
                                 Absorption matches red emitters                                      20
                                 Live cell penetrating                                                15
                                                                                                      10
                                                                                                       5
                                                                                                       0
                                                                                                        600                                   650         700               750          800

                                                                                                      Spectral properties bound to chromatin
  DNA targeting                                                                                       providing the specification for the detection
                                                                                                      windows

Unique pharmacokinetic properties
Medical Imaging – Leicester January 24th, 2012
Anthraquinone technology ..

    DRAQ5™, CyTRAK Orange™ & DRAQ7™

    • simplifying assay development

    • reducing screening times

    • robust and informative assays
            - DNA content
            - nucl:cyto segmentations

    • early in vitro toxicity indications
             - via morphometrics

    • viability / in vitro toxicity assays


CHI’s 9th High Content Analysis Conference January 13th, 2012
Molecular modelling to predict drug functionality


 A                          B
                                       Ligands interacting with the minor groove

                                      Low energy complexes with DNA predicts that
                                    compound B should provide a better quenching
                                    agent than compound A

                                       Target identification of drugs
 number of photons




                                                                                      m   ns
                     time
Drug stability                                                                                                 Mathematical model

TOPOTECAN is unstable in aqueous media
                                                                                                                                                                                             ‘low’ loading cell
undergoing rapid hydrolysis from active (L) to
                                                                                                                                                                             Hc
inactive (H). Cells act as biosensors for active drug                                                                                                                                             kdh2
                                                                                                                               kmi
                                                                                                                                                                                      kcc2
                                                                                                                       Hm                        He                  koc2                       kdl2          Ln
 fluorescence intensity




                                                                                                                                     kmo                      ke2
                          100     TPTL              A
                                                                                    10                    C
                          80      TPTH                                                      active drug                  kcm                         kcm                                          kbBF(t)2
                                                                                                                                                                                 Lc
                                                                                                               kom                         kom
                          60                                                                                                                                   ki2
                                                                                         inactive drug                                                                                   ‘high’ loading cell
                          40                                                                                                   kmi
                                                                                                                                                                                 Hc
                          20                            B
                                                                                                at pH 7.4                                                                                          kdh1
                                                                                                                       Lm                        Le
                                                                                    00
                             0                                                       0    time (mins) 120                            kmo
                                                            L                   H                                                                                     koc1        kcc1
                              0 2 4 6 8 10                                                                                                                                                     kdl1
                                                                increasing pH                                                                                  ki1                                           Ln
                           concentration TPT (µM)                                                                                                                                                            Ln
                                                                                                                                                      ke1
                                                                                                              medium                                                             Lc                kbBF(t)1




                                                                                                                                                                        Predicting dynamics of
                                                                                                                                                                        active drug in cellular
                                                                                                                                                                        compartments
                                                                                                                                                      0


                                                                                                                                                                                                                   lactone
                                                                                                               Topotecan in the                 Topotecan in the     Topotecan in the                              hydroxy-acid
                                                                                                              15        medium               15         cytoplasm 15           nucleus
                                                                                                              10                             10                   10
                                                                                                              5                               5                    5
                                                                                                              0                              0                               0
                                                                                                                   0   1200 2400 3600            0        1200 2400 3600          0          1200 2400 3600
                                                                                                                         time                               time                                time




                                                                                              Neil D. Evans et al, Mathematical Biosciences 189 (2004) 185-217
In silico predictions



 Determining the impact of resistance on drug delivery

                                                                                                                       20


                                                                                                                       16


                                                                                                                       12




                                                                                                                            AUC (Mh)
                                                                                                                       8


                                                                                                                       4


                                                                                                                   0
                                                                                                                 1.14
                                   9                                                                               1.1
                                                                                                   4.67                4    E-
                                          28                                                        4 .5                      03
                                                   46                                   8.00               7E
                                                        65                               8 .0                   -0 3
                                       kdl (s-1)
                                                                        11.43                  0 x10
                                                                                             kdh E -3(s-1)
                                                             84           1 .1                   -0 3
                                                                  102            4E
                                                                                      -0 2




Plasma membrane efflux             Ejection at target
Cell imaging – HCS in drug discovery



    BD Pathway 855                                   •TOX: Total cell numbers as a measure of toxicity in
                                                      addition to object/compartment location
                                                         Rosado et al, 2008
                                                         pathway-specific inhibition assay with CFP, YFP and DRAQ5 readouts on BD
                                                         Pathway 855

                                                         Simonen et al, 2008
                                                         Cyto:PM xloc inhibition assay with GFP and DRAQ5 on GE IN Cell 3000




   Ba/F3
    Image courtesy of Dr Wolgang Link CNIO, Madrid

Medical Imaging – Leicester January 24th, 2012
Cell imaging – HCS in drug discovery


 •TOX / DRUG SAFETY: IC50-linked information – Xu et al, 2008
         •DRAQ5 - Cell count, Nuclear morphology
         •DRAQ5 - lipophilic accumulation in p’lipid vesicles (giving peri-nuclear spots)
         •combined with MMP-, ROS- and GSH-sensitive probes

Reliable filtering of idiosyncratic hepato-toxicants
before animal testing or market release




                                                                                            ArrayScan
                                                                                            Cellomics
Medical Imaging – Leicester January 24th, 2012
                                                          Primary hepatocytes
CyTRAK Orange™ - segments ..



                           100.0
Relative fluorescence intensity




                                                                                                                                            100.0




                                                                                                          Relative fluorescence intensity
                                  80.0
                                                                                                                                            80.0



                                  60.0                                                                                                      60.0



                                  40.0                                                                                                      40.0



                                  20.0                                                                                                      20.0



                                  0.0                                                                                                         0.0
                                                                                                                                                400   500        600               700         800   900
                                         300   400       500                 600         700        800

                                                     Excitation wavelength (nm)                                                                             Emission wavelength (nm)

                                                          FITC    CyTRAK Orange    APC                                                                        FITC     CyTRAK Orange     Cy7




                                                                                               •Labels live or fixed cells
                                                                                               •Exλmax/Emλmax 510/610nm
                                                                                               •Co-excited with GFP/FITC
                                                                                               •Detection separated from GFP/FITC
                                                                                               •Compatible with epifluorescence microscopes



Medical Imaging – Leicester January 24th, 2012
CyTRAK Orange™ - flexible ..

           CA200773                                                CA200767
                                            CyTRAK Orange                        Composite
            (BYFL)                                                  (BY630)


                                                            10M CyTRAK Orange
                                                            (red)
                                                            +
                                                            100nM CA200773
                                                            (green)




  10M CyTRAK Orange
  (green)
   +
  100nM CA200767
  (red)




Medical Imaging – Leicester January 24th, 2012
Tracking the dynamics of early cell death responses to
  DNA damaging agents - a systems approach

  Early events - Mitochondrial membrane potential
                  DRAQ7™




Medical Imaging – Leicester January 24th, 2012
HCS CHALLENGE – assay complexity
          Spatial - Nucleus vs cytoplasm
          Spatial - Membrane vs cytoplasm
          Model - Stem cell / primary cells
          Model - Organotypic
          Reporters – rare; cell cycle event
          Reporters – Fast; stress event
          Bioinformatics – data processing
Presenting the model system to the optical path -




               Principal considerations and configurations
                mounting medium
                coverslips / microscope slides              No. 0 – 0.085 to 0.13 mm thick
                                                             No. 1 – 0.13 to 0.16 mm thick

                chambers for perfusion, heating and CO2     No. 1.5 – 0.16 to 0.19 mm thick


                Attention to optical quality
                Attention to the assay logistics

        Single cell (suspension)     to adherent cells to    tissue slices
Optical plates ‐ coverglass bottom plates




   Perfusion chamber for                    37oC CO2 incubators
   organotypic brain slices
Solid-phase environments
              • controlling cell and tissue tethering
              • probe delivery environments


                                                                                                                                                                                      Gel viscosity 2600-3000 Pa s


                                                                                                                                                                Thermoreversible
                                                                                                                                                                  gel-forming
                                                                                                                                                                    property




                                                                                                                                           Apparent viscosity
                                                                                                                                                                                            Sol-Gel transition
                                                                                                                                                                                            temperature
                                                                                                                                                                                            (19.5-21.5 °C)
                                        6.0E+06                                                                                                                                             controlled by
                                                        uptake in PBS                                            uptake in CyGel                                                            formulation
F lu o r e s c e n c e in t e n s it y o f
 in d iv id u a l liv e c e ll n u c le i




                                        5.0E+06

                                        4.0E+06                                                                                                                     Rapid gelation
            ( a r b . u n it s )




                                                                                                                                                                            occurs
                                        3.0E+06
                                                                                                                                                                    within 5 sec at
                                        2.0E+06                                                                                                                      the transition
                                                                                                                                                                      t        t
                                        1.0E+06

                                        0.0E+00                                                                                                                                       Sol viscosity up to 750 Pa s
                                              00:00   00:14             00:28           00:43            00:57      01:12          01:26
                                                                           Exposure period to DRAQ5 (h:min)
                                                                                                                                                                          Temperature (°C)




Medical Imaging – Leicester January 24th, 2012
HCS imaging of 3D spheroids



                                                 The vast majority of studies to identify cancer-
                                                 associated genes and therapeutic targets use
                                                 adherent cells grown in 2 dimensions on a plastic
                                                 substrate, the multi-cellular composition of these
                                                 3D tumor spheroids presents both challenges and
                                                 opportunities for their imaging and
                                                 characterization.



                                                 Figure shows a SUM149-GFP tumor spheroid
                                                 stained with 5 μM of MitoSOX Red and the nuclear
                                                 stain DRAQ5™, demonstrating the utility of this
                                                 approach to imaging live unfixed tumor spheroids to
                                                 analyze such parameters as the production of
                                                 superoxide anion using the MitoSOX Red indicator
                                                 by cells within the 3D tumor spheroid.
   Robertson 2010 15: 820 J Biomol Screen



Medical Imaging – Leicester January 24th, 2012
Considering other assay formats – aim to improve relevance of cell model



Screens in whole organisms such as:                               Carolina Wahlby – Broad Institute


The roundworm Caenorhabditis elegans is an effective model system for biological processes
such as immunity, behavior, and metabolism.




Medical Imaging – Leicester January 24th, 2012   Screening for viability in a complex system
Cell therapeutics
 Ex Vivo Modelling of Dental Pulp Progenitor Cell Behaviour




                                                    Pulp digested in          Single cell suspension grown
                 Pulp extracted
                                                     collagenase              on fibronectin coated plates,
                  from human
                                                        dispase                  adherent cells selected
                     teeth


                                                                                2mm




                                                                        Mandible sliced on bone saw
                 Mandible removed




                   Surface to be                 Overnight culture of
               injected ‘marked’ by               mandible slices:             1,000/1μl PKH-28 labelled Dental
              the addition of a blue                                             Pulp Progenitor Cells injected
                   agarose bead                                                 in mandible Slices Using a 35g
                                                                              micro-needle (135μm OD, 55μm ID)
                                                                                   and maintained in culture
Medical Imaging – Leicester January 24th, 2012
CyGEL: provides an optical mountant compatible with viable tissue




            Injected mandible slices placed into
                                                                Cover slip applied to assembly,
            mounting assembly and mounted in
                                                             allowing presentation of a relatively
                         CYGEL
                                                                      flat, level surface Sham Injected

                                                                               PKH 26
                                                                               Reflected Light
                                                   Dentine
                                                                          Pulp




Medical Imaging – Leicester January 24th, 2012
Providing connectivity of meta data in the entire imaging
 pipeline for toxicity assays

 Defining the models – imaging – interrogation - prediction




                                                                                                             Pipeline
                    PN
          Species

                                                 PN                   PN                         PN
                 PN             Establishing           Incorporating       Toxicology cell analysis   Data mining  and 
           Tissue
                               primary model          quality assurance                                  prediction




          HCS CHALLENGE – assay complexity
                               Spatial - Nucleus vs cytoplasm
                               Spatial - Membrane vs cytoplasm
                               Model - Stem cell / primary cells
                               Model - Organotypic
                               Reporters – rare; cell cycle event
                               Reporters – Fast; stress event
                               Bioinformatics – data processing



Medical Imaging – Leicester January 24th, 2012
Defining the pipeline for nephrotoxicity

 Defining the models – imaging – interrogation - prediction




Medical Imaging – Leicester January 24th, 2012
ProtocolNavigator – navigating through provenance trails


         Lee, J. A. et al., MIFlowCyt: the minimum information about a Flow Cytometry Experiment. Cytometry A 73 (10), 926 (2008).




Medical Imaging – Leicester January 24th, 2012
Standardizing the Performance – an academic and industry pursuit


                                                                                                                              Pipeline
               PN
       Species
                                                PN
        TissuePN              Establishing primary                   Incorporating  PN                          PN
                                                                                          Toxicology cell analysis    Data mining  and 
                                     model                          quality assurance                                    prediction




                                                                                                                               Score

                                                                                                                               Score

                                                                                                                               Score

                                                                                                                               Score

                                                                                                                               Score




                              • Temporal scale
                              • Trajectory
                                                                                                                     + Data
                              • Materials                          Best Practice          Performance
                              • Standards
                              • Cost

        Michael Petrovich, American Society for Quality Control 52 Congress proceedings


Medical Imaging – Leicester January 24th, 2012
HCS is the convergence of technologies across disciplines
It has taken 10 years to evolve tools and workflow that provides a
meaningful contribution to the vision posed by the HCS pioneers

                                                            Journal of Biomolecular Screening 15(7); 2010




                                                 HCS is an interdisciplinary pursuit
                                                 with continued opportunities for discovery and translation
Medical Imaging – Leicester January 24th, 2012
Consortium for TAG and TRAK technologies:
Encoding of cell lineages across different model systems
                                                     Mario Negri
                                                     Monica Lupi

Swansea U and Cardiff U                              Paolo Ubezio

Huw Summers
Paul Rees
Rachel Errington                                          Dr Anne Plant and
                                                          the Cell System
Paul Smith                                                Science Group
Sally Chappell
Martyn Brown
James Tonkin
Nick White
Richard White
                   Dr Anne Carpenter and Dr Mark Bray and Dr Carolina Wahlaby
… for extended content and better
interpretation in your HCS assays
Acknowledgements:
Prof Paul Smith & Dr Rachel Errington
   School of Medicine, Cardiff
Prof Laurence Patterson & Dr Klaus Pors
   Inst of Cancer Ther., Bradford
Prof Fredika Robertson
   MD Anderson Cancer Centre
Dr Lyle Armstrong & Mr Ian Dimmick
   NE Stem Cell Inst, Newcastle
Dr Robert Martin
   Max Delbrück Center for Molec Med, Berlin
Dr Stefan Jaeger
   Evotec Pharma AG, Hamburg
Dr Wolfgang Link
   CNIO, Madrid
Mr Derek Davies
   CRUK London Laboratories, London
Dr Karen Hogg
   Dept of Biology, University of York
Mr Joe Trask
   Hamner Insts., Research Triangle Park
Drs Paul Wylie & Wayne Bowen
   TTP Labtech, Melbourn
Dr Gareth Griffiths
   Imagen Biotech, Manchester
Dr Tim Self                                                       Cell Jam I. Collagraph © Kirsten Edward
   Inst for Cell Signalling, Nottingham


                                               erringtonrj@cf.ac.uk
Session 1 – What are we trying to image?

  09:50 Space Missions to Medical Imaging
          Prof George Fraser
  10:05 Image Analysis in Pathology
          Prof Mohammad Ilyas
  10:25 Tools for Predictive Drug Screening
          A Joined up academic and Industry approach
          Dr Rachel Errington
  10:45 Stratified Medicine in the UK
          Maximising the impact of UK Healthcare industries in a future wherw
          the Right Drug is given to the Right Patient at the Right Time for the
          Best Result
          Dr Alasdair Gaw
Driving Innovation




                     Stratified Medicines
                     Innovation Platform

                               Alasdair Gaw
                     Lead Specialist Stratified Medicine
Driving Innovation



   Our aim is to address current business needs
   • Business investment is too low and too late
       • Technical and financial risks need to be mitigated
       • The time for financial return is too long for many players
   • Innovation disrupts value chains and business models
       • New partnerships are required to build new supply chains
       • Investment and innovation is required at multiple points
   • Longer term trends not visible to all players
       • Impact and opportunities from emerging technologies & policies
   • Innovation infrastructure complex and inefficient
       • Fragmented and difficult to navigate
       • Sub-national picture changing and less money available overall
Driving Innovation




    New strategy launched 2011




 http://www.innovateuk.org/
Driving Innovation



   Focus on five areas
 • Accelerating the journey between concept and commercialisation
     –   Understand the business journey and accelerate it
     –   Provide a coherent package of support – matched to needs
     –   Specific SME package – but recognise role of larger companies
     –   Promote knowledge exchange
 • Connecting the innovation landscape
 • Turning government action into business opportunity
 • Investing in priority areas based on potential
     – High Value Manufacturing, Off-Shore Renewable Energy, Regenerative Medicine
 • Continuously improving our capability
Driving Innovation



   http://www.innovateuk.org/


  COMPETITIONS                 _CONNECT                    SBRI
  Technology Strategy          Share knowledge through     Develop innovative
  Board funding                KTNs and other networks     products to meet
  competitions                                             government needs


  CATAPULTS                    KTP                         SMART
  A network of world-leading   Partner with academics to   (Grant for R&D)
  technology and innovation    develop new business        Innovation funding for SMEs
  centres                      capability
Driving Innovation
     SMART: Previously Grant for R&D
Proof of Market                              Proof of Concept                         Prototype Development
This grant enables companies to              A grant to explore the technical         This funding is used by
assess commercial viability,                 feasibility and commercial               companies to develop a
through:                                     potential of a new technology,           technologically innovative
•     market research market testing         product or process:                      product, service or industrial
      and competitor analysis                •     initial feasibility studies        process:
•     intellectual property position         •     basic prototyping                  •   small demonstrators
•     initial planning to take the project   •     Specialist testing and/or          •   intellectual property protection
      to commercialisation, including              demonstration to provide basic     •   trials and testing, including clinical
      assessing costs, timescales and              proof of technical feasibility     •   market testing
      funding requirements.                  •     intellectual property protection   •   marketing strategies
                                             •     investigation of production and    •   identifying routes to market
                                                   assembly options.                  •   product design work
                                             It also includes pre-clinical research   •   phase 0 pre-clinical studies for
                                             studies for healthcare technologies          medicines.
                                             and medicines, including target
                                             identification and validation.
Duration – up to 9 months                    Duration – up to 18 months               Duration – up to 2 years
Maximum grant – £25k                         Maximum grant – up to £100k              Maximum grant – £250k
Funding proportion – up to 60%               Funding proportion – up to 60% of        Funding proportion – up to 35%
of total project costs                       total project costs                      of total project costs for medium
                                                                                      enterprises; up to 45% for small
                                                                                      and micro enterprises
Driving Innovation



   SMART: Grant for R&D – how it works
   • Applications welcome from any technology or sector area
   • Always open to applications
       – Open process – but run as a competition
       – All applications must meet Quality Threshold
       – Batched assessment - 6 competitions per year
   • Funds
       – Spread over the year
       – Balanced between different grant types
   • Open to UK based SMEs and pre-start-ups with fewer than 250
     employees
   • Also be themed competitions in specific technology areas
Driving Innovation


  Levels of Funding: Collaborative R&D
   Type of Project                   Research Category                  Reference Code                      Funding level as a %
                                                                                                            of eligible project
                                                                                                            costs
   Business to Business              Basic Research                     BASB2B                              50%
   Collaborative                     Applied Research                   APPB2B                              50%
   Research*                         Experimental                       EXPB2B                              25%
                                     Development
   Science to                        Basic Research                     BASS2B                              75%
   Business**                        Applied Research                   APPS2B                              50%
   Collaborative                     Experimental                       EXPS2B                              25%
   Research                          Development
      Claims up to Industrial 50%   Industrial (SME)* 60% Academic 100% (of 80% Full Economic Cost (FEC))


    Collaborative Research projects (at least two partners per consortium).
    Projects must be industrially led, academics only as a collaboration partner.
    Any one participant can bear a maximum of 70% of the eligible costs.
    The remaining 30% may be split between several participants. Each participant
    in the project must draw down at least 10% of their total eligible costs as grant.
Driving Innovation


       What is Stratified medicine
 • A therapy with
     – a companion diagnostic test
     – a clearly identified group of patients
     – an understanding of the disease at the
       molecular level
     – ready access to both tests and drugs by
       clinicians


Right Drug, Right Patient, Right Dose, Right Time

                     Optimal Benefit
Driving Innovation
  Stratified Medicine Innovation Platform
• Accelerate Development and Uptake of Stratified Medicine
  for Clinical Diagnosis and Treatment to:
   – Improve Patient Outcomes
   – Provide Cost Benefit to the NHS and The Healthcare Industry
   – Deliver wider UK economic benefit
• Key Partners
   – Department of Health, Scottish Government Health Directorate
   – NICE, Medical Research Council, Technology Strategy Board
   – Arthritis Research UK, Cancer Research UK
• Consultation and Advice
   – MHRA, NIHR
• The combined 5 year Investment by Programme Partners
  in the area of Stratified Medicine amounts to £200 Million

 Putting UK healthcare at the heart of a revolution
     in the diagnosis and treatment of disease
Driving Innovation

                                   Vision
• The UK should be the best place to develop, and adopt, Stratified Medicine
• An increased collaborative culture throughout the sector
    – Shared Resources, Systems for effective data collection, sharing, governance & Use
       • NHS, business, academia, regulators and NICE
• Improved Research
    – All NHS patients can choose to be involved in research
       • Use of patient information and records to inform the next generation of therapies
• New Drug Diagnostic Combinations
    – Quicker and less expensive to get them Licensed
• A smooth reimbursement process for stratified therapies and diagnostics
• An Intellectual Property (IP) framework that encourages Innovation
• The UK health system should have established stratified care pathways
    – Evidence provided of improvement in Patient Outcomes using Stratified Medicine
Driving Innovation

Stratified Medicine:Technology Roadmap
• To deliver the UK vision
• Build a community of people who will help
• Take a strategic view of investment options
    – Identify the barriers
    – Programme activity to overcome them
    – Align investments in support of the programme activities
• Early Signals
    – A clear UK vision agreed by around 100 people
    – Good consensus around the key issues
    – Identifying and bringing together the organisations
      required to support the delivery of the vision
  https://ktn.innovateuk.org/web/stratified-medicines-innovation-platform
Driving Innovation

Stratified Medicine Technology RoadMap
  Key Themes
        1. Incentivising adoption
        2. Increasing awareness
        3. Patient recruitment – consents and ethics
        4. Clinical trials
        5. Data – collection, management and use
        6. Regulation and standards
        7. Intellectual property
        8. Bio-banks and biomarkers
        9. Increasing the impact of R&D investment
https://connect.innovateuk.org/web/stratified-medicines-innovation-platform/overview
Driving Innovation



                     Contact details

  • Dr Graham Bell (graham.bell@tsb.gov.uk)
  • Dr Alasdair Gaw (alasdair.gaw@tsb.gov.uk)
  • https://connect.innovateuk.org/web/stratified-
    medicines-innovation-platform/overview
PCA cytokine norm




Driving Innovation




                     The Future of Biomarkers:
                     Where does imaging fit in?
Driving Innovation
                     BioImaging: Surrogate Marker
      Inflammation / Injury
    Environment / Genetics


                Enzyme activity


                              Cartilage/bone remodelling


                                         Signs and symptoms



                                                           Joint space narrowing
Driving Innovation


 Computed Tomography (CT) and COPD
 Phenotyping
   • Potential exists for Stratified Medicine based on CT staging of
     predominant emphysema vs. predominant airways disease
   • Quantitative CT is an objective tool for determining presence and severity
     of emphysema, airway wall thickening and air trapping
   • Existing quantitative measures are not sophisticated enough to capture all
     information in the images available to the trained observer, including
     pattern of emphysema (centrilobular, panlobular, etc.), presence of
     centrilobular nodules, airway wall irregularity, bronchiectasis, etc.
   • Ongoing precompetitive work to develop a broad consensus on visual CT
     scoring criteria to separate distinct subtypes with the ultimate goal to
     facilitate the use of subphenotypes for startified medicine

      COPD CT workshop 2-5 Feb 2010 sponsored by National Heart, Lung and Blood Institute, COPD
      Foundation, Fleischner Society, COPDGene Project, AstraZeneca, CSL, GlaxoSmithKline, Novartis,
      Talecris, VIDA
Driving Innovation



   CT Can Identify Three Distinct Components of COPD
       Emphysema
             % lung less than -950 Hounsfield units (HU)
             on inspiratory CT




       Air trapping
             % lung less than -856 HU on expiratory CT



       Airway wall thickening
             % wall area / total bronchial area
             (segmental bronchi)

     Hypothesis: These quantitative CT parameters
     identify important subphenotypes of COPD
Driving Innovation   Imaging in Respiratory studies
   Use of HR-CT in COPD




                                                      Dirksen AJRCCM 1999

56 α1-antitrypsin deficient patients on α1-antitrypsin augmentation
    therapy vs placebo
•   No sign. effect on lung function
•   Annual loss of lung tissue: active 1.5 g/L, placebo 2.6 g/L
    (p=0.07)
•   CT was twice as sensitive as FEV1 for monitoring the progression
    of emphysema
   19
Driving Innovation

    Magnetic Resonance Imaging (MRI) for Phenotyping
•   No ionizing radiation with MRI
•   MRI with hyperpolarized gas (3He or 129Xe) can
    be used to characterize emphysema and airway
    predominant phenotypes in COPD
     – Multiple endpoints, e.g. ventilation maps, air
       trapping, alveolar dimensions and gas transport
     – Hyperpolarized 3He not feasible for PHC
       due to limited availability and high cost. 129Xe may
       be an option.
     – MRI with hyperpolarized gas may be considered
       for patient stratification in specific studies
•   Novel MRI techniques emerging that do not rely
    on hyperpolarized gases
     – Oxygen enhanced MRI can generate maps of
       regional lung function. AZ sponsored projects
                                                              3He MRI for phenotyping in COPD. A-D: Emphysema
       ongoing.
                                                              predominant (brighter red colors represent large alveolar air
     – MRI with 19F gas may generate similar data as          spaces). E-H: Airway predominant (major ventilation
       hyperpolarized gas techniques. AZ should monitor       defects visualized in the gray scale images)
       the development of this technology.                    Mathew, et al, EJR, 2009
Driving Innovation

  Clinical Relevant Measures for animal models




            Saline    Challenge     Challenge plus treatment
Driving Innovation
             Imaging in Translational Medicine
Thank you for your interest
 If your organisation would like to benefit from
our knowledge and expertise, please contact us.

               Space IDEAS Hub
          W: www.spaceideashub.com
       E: enquiries@spaceideashub.com
               T: 0116 229 7700
                  Follow us on:

Medical imaging Seminar Session 1

  • 1.
    Medical Imaging –Opportunities for Business 24.01.12 Henry Wellcome Building University of Leicester A Space IDEAS Hub Event In association with:
  • 2.
    About Space IDEASHub • A knowledge exchange project from the Space Research Centre of the University of Leicester • Feed expertise developed from space missions into commercial benefit for UK industry. • Delivering Innovative Design, Engineering, Analysis and Support (IDEAS) to your business. • Part financed by the European Regional Development Fund • UK companies can access and benefit from our technology and experience. If your organisation would like to benefit from our knowledge and expertise, please contact us at enquiries@spaceideashub.com
  • 3.
    Session 1 –What are we trying to image? 09:50 Space Missions to Medical Imaging Prof George Fraser 10:05 Image Analysis in Pathology Prof Mohammad Ilyas 10:25 Tools for Predictive Drug Screening A Joined up academic and Industry approach Dr Rachel Errington 10:45 Stratified Medicine in the UK Maximising the impact of UK Healthcare industries in a future wherw the Right Drug is given to the Right Patient at the Right Time for the Best Result Dr Alasdair Gaw
  • 4.
    Space Research Centre Departmentof Physics and Astronomy, Michael Atiyah Building, University of Leicester Satellite Missions to Medical Imaging GW Fraser e-mail gwf.le.ac.uk Tel 0116 252 3542 (direct line) or 3491 (PA) Space IDEAS Hub Workshop , 24th January 2012.
  • 5.
    The University ofLeicester Space Research Centre • 100 staff and postgraduate students • 550 m2 Phase III of Michael Atiyah Building – opened January 2011 by the Minister for Science and Innovation • Six current space projects and laboratory programme in detectors and optics Working at the Life Sciences Interface • BioImaging Unit (1998) • Spin-off companies – GTL, Bioastral and Spectral-ID • Business-facing units -G-STEP (2008) and Space IDEAS Hub (2010) • Working in areas as diverse as : Gamma ray Imaging (Lees) Ultrafast Imaging (Lapington) Hyperspectral Imaging, Diagnostics Development Unit (Sims)
  • 6.
    Technology Push: fromAstronomy to Biology ~mm ~light year
  • 7.
    :  Chemistry  · Medical diagnostics / therapeutics (diagnostic development /mass spectrometry) o Detectors o Diagnosis of disease in real time  Drug design and Target synthesis o Parallel syntheses and screening o Biosynthetic engineering  o Cancer chemistry· Protein mechanism o Protein structure, dynamics and mechanism  o Protein design and dynamics of protein-protein interactions Spectroscopy and dynamics, Tools and technologies  o Biological spectroscopy o Live cell imaging o Single molecule microscopy  Computer Science  Computer Science and Molecular Biology Computational Modelling o State based systems and stochastic models  o Bioinformatics Algorithms Data Mining and Data Analysis o Reverse engineering  o Bio-data and Genotype data o Observing Patterns Medical Diagnostics  o software development for non-invasive medical diagnostics (links to Physics, Chemistry, and Engineering)  Human Computer Interaction and Ageing Artificial Intelligence  Engineering  · Statistics and Artificial Intelligence (links for Computer Science/ Maths) o Reverse engineering based on real life monitoring  Diagnostics o Signal processing and ‘real time’ processing, may require modelling  o ex. automatic nervous system monitoring, and heart fluorination · Signal Processing  o Including brain and cardiovascular signalling (links to Computer Science) Technology Development / devices for data acquisition  Geology  · Geology/Biology links through palaeobiology group · Geology, Environment, and Health  o Ground contamination Impact of geo-hazards on human health  Mathematics  · Mathematical biology (links to Computer Science) o Mathematical ecology o Dynamics of evolution (links to Geography)  o Data mining / bioinformatics (including microarrays/medical databases/physiological data)  o Dynamics – modelling of biological systems (system level studies)o Brain modelling and neuroscience  § Modelling of protein systems and biochemical pathways and mechanisms  Physics and Astronomy  · Medical Diagnostics and Treatment o Cancer therapy, nano-particle hyperthermia treatment, toxicity of heavy metal particles in human cells  · Medical imaging and detectors · Diagnostic Development Unit · Tools and Technology Development  o Medical imaging, spectrometry, particles and x-ray imaging The College of Science and Engineering Theme Leader Prof Emma Raven (Chemistry)
  • 8.
    The BepiColombo MercuryImaging X-ray Spectrometer (MIXS)
  • 9.
  • 10.
  • 11.
  • 12.
    Additive Manufacture ofTitanium Collimators D = 0.5 mm L = 25 mm Area = 40 x 40 sq.mm
  • 13.
    2.Radial 1.Radial Collimator in Collimator in Planetary Nuclear Medicine Science 5.Applications 3. Novel Additive in Nuclear Manufacturing Medicine ? Technology 4.Novel Collimator Designs and Materials
  • 14.
    Session 1 –What are we trying to image? 09:50 Space Missions to Medical Imaging Prof George Fraser 10:05 Image Analysis in Pathology Prof Mohammad Ilyas 10:25 Tools for Predictive Drug Screening A Joined up academic and Industry approach Dr Rachel Errington 10:45 Stratified Medicine in the UK Maximising the impact of UK Healthcare industries in a future wherw the Right Drug is given to the Right Patient at the Right Time for the Best Result Dr Alasdair Gaw
  • 15.
    Image analysis challengesin Pathology Mohammad Ilyas
  • 16.
    What does aPathologist do? LOOK!
  • 18.
    Challenges • Improving telepathology •Image analysis in diagnostic pathology: - Discrimination of normal from abnormal - Refining or creating new diagnostic criteria - Feature extraction (tumour grading, vascular invasion etc) - Automated analysis of special stains & immunostaining
  • 22.
  • 23.
    Feature extraction –tumour grading
  • 26.
    Challenges • Image analysisin tissue based research: - Automated analysis of large numbers of cases - Application to in-vitro assays - Integrated data analysis - Utilisation of newer imaging modalities
  • 27.
    Analysis of immunostaining •How to discriminate: - Membranous staining - Cytoplasmic staining - Nuclear staining - Overlapping nuclei - Background staining
  • 34.
    Other modalities • FT-IR •Raman spectroscopy • NMR
  • 35.
    ?use in cancer genetics ?usein feature extraction
  • 36.
    Fundamental problems • Technologicaladvances only recent but no standards yet for data format • Language – computer scientists don’t understand clinicians and vice versa • Computers don’t seem to recognize objects/patterns • Need interaction between image analysis experts and clinicians
  • 37.
    Session 1 –What are we trying to image? 09:50 Space Missions to Medical Imaging Prof George Fraser 10:05 Image Analysis in Pathology Prof Mohammad Ilyas 10:25 Tools for Predictive Drug Screening A Joined up academic and Industry approach Dr Rachel Errington 10:45 Stratified Medicine in the UK Maximising the impact of UK Healthcare industries in a future wherw the Right Drug is given to the Right Patient at the Right Time for the Best Result Dr Alasdair Gaw
  • 38.
    High‐content screening approaches in drug  development: Opportunities and challenges a joined‐up industry academic approach Rachel Errington
  • 39.
    Medical Imaging fordrug screening – Bridging the gaps in pre-clinical screening Bullen, Andrew. 2008. “Microscopic imaging techniques for drug discovery.”  Nat Rev Drug Discov 7 (1) (January): 54‐67. doi:10.1038/nrd2446. Medical Imaging – Leicester January 24th, 2012
  • 40.
    What is high-contentscreening ? Where are we with HCS ten years on …… HCS was originally introduced by Lansing Taylor, Giuliano, and colleagues in their landmark article in JBS in 1997. Director University of Pittsburgh Drug Discovery Institute and Professor of Computational & Systems Biology From: Biomedical Microdevices 2:2, 99±109, 1999 Critical bottlenecks in the `drug development pipeline' can potentially lead to too few well- qualified and too many poorly qualified lead compounds being tested in animal models. The critical constriction at Lead Optimization is getting worse as the speed of HTS increases. Speed alone is insufficient to identify optimal lead compounds emerging at the end of the early discovery pipeline prior to evaluation in expensive animal models. Higher biological content information on the effect of the compounds on cellular targets and cellular processes is required. Medical Imaging – Leicester January 24th, 2012
  • 41.
    Our Solution forAutomated Cell Analysis: Large-Scale Biology with HCS Automated Plate Delivery Auto-focus, Expose & Acquire Automated Image Analysis Analysis of Results Instantaneous Data Display Automatic Data Archival Medical Imaging – Leicester January 24th, 2012
  • 42.
    HCS: Multi-parametric withinand among channels Blue: Nuclei •Nuclear area •Nuclear diameter Red: Peroxisomes •Nuclear fragmentation •Peroxisome proliferation •Nuclear condensation •Peroxisome kinesis •Cell Number •Peroxisome localization HCS provides multiple read- outs from a single Green: Tubulin fluorescence channel •Cell morphology •Microtubule disruption •Microtubule bundling •Mitosis •Cell size Yellow: Phospho-histone H3 •Transcriptionally active DNA •Mitotic index Medical Imaging – Leicester January 24th, 2012
  • 43.
    So, what isinside the boxes which we use today? Medical Imaging – Leicester January 24th, 2012
  • 44.
    HCS is theconvergence of technologies across disciplines It has taken 10 years to evolve tools and workflow that provides a meaningful contribution to the vision posed by the HCS pioneers Journal of Biomolecular Screening 15(7); 2010 HCS is an interdisciplinary pursuit a fact that was originally underestimated Medical Imaging – Leicester January 24th, 2012
  • 45.
    Workflow-Based Software Environmentfor Large-Scale Biological Experiments Karol Kozak et al….. 2010 15: 892 J Biomol Screen Medical Imaging – Leicester January 24th, 2012
  • 46.
    HCS is theconvergence of technologies across disciplines It has taken 10 years to evolve tools and workflow that provides a meaningful contribution to the vision posed by the HCS pioneers Journal of Biomolecular Screening 15(7); 2010 HCS is an interdisciplinary pursuit a fact that was originally underestimated Medical Imaging – Leicester January 24th, 2012
  • 47.
    Simple requirement forreliably finding nuclear location, shape, masking and DNA content HCS CHALLENGE – assay complexity Spatial - Nucleus vs cytoplasm Spatial - Membrane vs cytoplasm Model - Adherent cells Model - Suspension cell line Reporters – rare; cell cycle event Reporters – Fast; stress event Bioinformatics – data processing Medical Imaging – Leicester January 24th, 2012
  • 48.
    Anthraquinones our bespokefar-red probes N 1.0x10 -6 OH O HN 0.8 9mA 7mA -6 5mA 0.8x10 3mA intensity 0.6 -6 Intensity (Arb.) 0.6x10 NH O OH Absorbance N 0.4 -6 0.4x10 DRAQ5 -6 0.2 0.2x10 0 640 645 650 655 660 0 200 300 400 500 600 700 800 900 Wavelength (nm) Wavelength (nm) Wavelength (nm) Absorption matches red emitters 20 Live cell penetrating 15 10 5 0 600 650 700 750 800 Spectral properties bound to chromatin DNA targeting providing the specification for the detection windows Unique pharmacokinetic properties Medical Imaging – Leicester January 24th, 2012
  • 49.
    Anthraquinone technology .. DRAQ5™, CyTRAK Orange™ & DRAQ7™ • simplifying assay development • reducing screening times • robust and informative assays - DNA content - nucl:cyto segmentations • early in vitro toxicity indications - via morphometrics • viability / in vitro toxicity assays CHI’s 9th High Content Analysis Conference January 13th, 2012
  • 50.
    Molecular modelling topredict drug functionality A B Ligands interacting with the minor groove Low energy complexes with DNA predicts that compound B should provide a better quenching agent than compound A Target identification of drugs number of photons  m ns time
  • 51.
    Drug stability Mathematical model TOPOTECAN is unstable in aqueous media ‘low’ loading cell undergoing rapid hydrolysis from active (L) to Hc inactive (H). Cells act as biosensors for active drug kdh2 kmi kcc2 Hm He koc2 kdl2 Ln fluorescence intensity kmo ke2 100 TPTL A 10 C 80 TPTH active drug kcm kcm kbBF(t)2 Lc kom kom 60 ki2 inactive drug ‘high’ loading cell 40 kmi Hc 20 B at pH 7.4 kdh1 Lm Le 00 0 0 time (mins) 120 kmo L H koc1 kcc1 0 2 4 6 8 10 kdl1 increasing pH ki1 Ln concentration TPT (µM) Ln ke1 medium Lc kbBF(t)1 Predicting dynamics of active drug in cellular compartments 0 lactone Topotecan in the Topotecan in the Topotecan in the hydroxy-acid 15 medium 15 cytoplasm 15 nucleus 10 10 10 5 5 5 0 0 0 0 1200 2400 3600 0 1200 2400 3600 0 1200 2400 3600 time time time Neil D. Evans et al, Mathematical Biosciences 189 (2004) 185-217
  • 52.
    In silico predictions Determining the impact of resistance on drug delivery 20 16 12 AUC (Mh) 8 4 0 1.14 9 1.1 4.67 4 E- 28 4 .5 03 46 8.00 7E 65 8 .0 -0 3 kdl (s-1) 11.43 0 x10 kdh E -3(s-1) 84 1 .1 -0 3 102 4E -0 2 Plasma membrane efflux Ejection at target
  • 53.
    Cell imaging –HCS in drug discovery BD Pathway 855 •TOX: Total cell numbers as a measure of toxicity in addition to object/compartment location Rosado et al, 2008 pathway-specific inhibition assay with CFP, YFP and DRAQ5 readouts on BD Pathway 855 Simonen et al, 2008 Cyto:PM xloc inhibition assay with GFP and DRAQ5 on GE IN Cell 3000 Ba/F3 Image courtesy of Dr Wolgang Link CNIO, Madrid Medical Imaging – Leicester January 24th, 2012
  • 54.
    Cell imaging –HCS in drug discovery •TOX / DRUG SAFETY: IC50-linked information – Xu et al, 2008 •DRAQ5 - Cell count, Nuclear morphology •DRAQ5 - lipophilic accumulation in p’lipid vesicles (giving peri-nuclear spots) •combined with MMP-, ROS- and GSH-sensitive probes Reliable filtering of idiosyncratic hepato-toxicants before animal testing or market release ArrayScan Cellomics Medical Imaging – Leicester January 24th, 2012 Primary hepatocytes
  • 55.
    CyTRAK Orange™ -segments .. 100.0 Relative fluorescence intensity 100.0 Relative fluorescence intensity 80.0 80.0 60.0 60.0 40.0 40.0 20.0 20.0 0.0 0.0 400 500 600 700 800 900 300 400 500 600 700 800 Excitation wavelength (nm) Emission wavelength (nm) FITC CyTRAK Orange APC FITC CyTRAK Orange Cy7 •Labels live or fixed cells •Exλmax/Emλmax 510/610nm •Co-excited with GFP/FITC •Detection separated from GFP/FITC •Compatible with epifluorescence microscopes Medical Imaging – Leicester January 24th, 2012
  • 56.
    CyTRAK Orange™ -flexible .. CA200773 CA200767 CyTRAK Orange Composite (BYFL) (BY630) 10M CyTRAK Orange (red) + 100nM CA200773 (green) 10M CyTRAK Orange (green) + 100nM CA200767 (red) Medical Imaging – Leicester January 24th, 2012
  • 57.
    Tracking the dynamicsof early cell death responses to DNA damaging agents - a systems approach Early events - Mitochondrial membrane potential DRAQ7™ Medical Imaging – Leicester January 24th, 2012
  • 58.
    HCS CHALLENGE –assay complexity  Spatial - Nucleus vs cytoplasm  Spatial - Membrane vs cytoplasm  Model - Stem cell / primary cells  Model - Organotypic  Reporters – rare; cell cycle event  Reporters – Fast; stress event  Bioinformatics – data processing
  • 59.
    Presenting the modelsystem to the optical path - Principal considerations and configurations  mounting medium  coverslips / microscope slides No. 0 – 0.085 to 0.13 mm thick No. 1 – 0.13 to 0.16 mm thick  chambers for perfusion, heating and CO2 No. 1.5 – 0.16 to 0.19 mm thick  Attention to optical quality  Attention to the assay logistics Single cell (suspension) to adherent cells to tissue slices
  • 60.
    Optical plates ‐ coverglass bottom plates Perfusion chamber for 37oC CO2 incubators organotypic brain slices
  • 61.
    Solid-phase environments • controlling cell and tissue tethering • probe delivery environments Gel viscosity 2600-3000 Pa s Thermoreversible gel-forming property Apparent viscosity Sol-Gel transition temperature (19.5-21.5 °C) 6.0E+06 controlled by uptake in PBS uptake in CyGel formulation F lu o r e s c e n c e in t e n s it y o f in d iv id u a l liv e c e ll n u c le i 5.0E+06 4.0E+06 Rapid gelation ( a r b . u n it s ) occurs 3.0E+06 within 5 sec at 2.0E+06 the transition t t 1.0E+06 0.0E+00 Sol viscosity up to 750 Pa s 00:00 00:14 00:28 00:43 00:57 01:12 01:26 Exposure period to DRAQ5 (h:min) Temperature (°C) Medical Imaging – Leicester January 24th, 2012
  • 62.
    HCS imaging of3D spheroids The vast majority of studies to identify cancer- associated genes and therapeutic targets use adherent cells grown in 2 dimensions on a plastic substrate, the multi-cellular composition of these 3D tumor spheroids presents both challenges and opportunities for their imaging and characterization. Figure shows a SUM149-GFP tumor spheroid stained with 5 μM of MitoSOX Red and the nuclear stain DRAQ5™, demonstrating the utility of this approach to imaging live unfixed tumor spheroids to analyze such parameters as the production of superoxide anion using the MitoSOX Red indicator by cells within the 3D tumor spheroid. Robertson 2010 15: 820 J Biomol Screen Medical Imaging – Leicester January 24th, 2012
  • 63.
    Considering other assayformats – aim to improve relevance of cell model Screens in whole organisms such as: Carolina Wahlby – Broad Institute The roundworm Caenorhabditis elegans is an effective model system for biological processes such as immunity, behavior, and metabolism. Medical Imaging – Leicester January 24th, 2012 Screening for viability in a complex system
  • 64.
    Cell therapeutics ExVivo Modelling of Dental Pulp Progenitor Cell Behaviour Pulp digested in Single cell suspension grown Pulp extracted collagenase on fibronectin coated plates, from human dispase adherent cells selected teeth 2mm Mandible sliced on bone saw Mandible removed Surface to be Overnight culture of injected ‘marked’ by mandible slices: 1,000/1μl PKH-28 labelled Dental the addition of a blue Pulp Progenitor Cells injected agarose bead in mandible Slices Using a 35g micro-needle (135μm OD, 55μm ID) and maintained in culture Medical Imaging – Leicester January 24th, 2012
  • 65.
    CyGEL: provides anoptical mountant compatible with viable tissue Injected mandible slices placed into Cover slip applied to assembly, mounting assembly and mounted in allowing presentation of a relatively CYGEL flat, level surface Sham Injected PKH 26 Reflected Light Dentine Pulp Medical Imaging – Leicester January 24th, 2012
  • 66.
    Providing connectivity ofmeta data in the entire imaging pipeline for toxicity assays Defining the models – imaging – interrogation - prediction Pipeline PN Species PN PN PN PN Establishing  Incorporating  Toxicology cell analysis Data mining  and  Tissue primary model quality assurance prediction HCS CHALLENGE – assay complexity  Spatial - Nucleus vs cytoplasm  Spatial - Membrane vs cytoplasm  Model - Stem cell / primary cells  Model - Organotypic  Reporters – rare; cell cycle event  Reporters – Fast; stress event  Bioinformatics – data processing Medical Imaging – Leicester January 24th, 2012
  • 67.
    Defining the pipelinefor nephrotoxicity Defining the models – imaging – interrogation - prediction Medical Imaging – Leicester January 24th, 2012
  • 68.
    ProtocolNavigator – navigatingthrough provenance trails Lee, J. A. et al., MIFlowCyt: the minimum information about a Flow Cytometry Experiment. Cytometry A 73 (10), 926 (2008). Medical Imaging – Leicester January 24th, 2012
  • 69.
    Standardizing the Performance– an academic and industry pursuit Pipeline PN Species PN TissuePN Establishing primary  Incorporating  PN PN Toxicology cell analysis Data mining  and  model quality assurance prediction Score Score Score Score Score • Temporal scale • Trajectory + Data • Materials Best Practice Performance • Standards • Cost Michael Petrovich, American Society for Quality Control 52 Congress proceedings Medical Imaging – Leicester January 24th, 2012
  • 70.
    HCS is theconvergence of technologies across disciplines It has taken 10 years to evolve tools and workflow that provides a meaningful contribution to the vision posed by the HCS pioneers Journal of Biomolecular Screening 15(7); 2010 HCS is an interdisciplinary pursuit with continued opportunities for discovery and translation Medical Imaging – Leicester January 24th, 2012
  • 71.
    Consortium for TAGand TRAK technologies: Encoding of cell lineages across different model systems Mario Negri Monica Lupi Swansea U and Cardiff U Paolo Ubezio Huw Summers Paul Rees Rachel Errington Dr Anne Plant and the Cell System Paul Smith Science Group Sally Chappell Martyn Brown James Tonkin Nick White Richard White Dr Anne Carpenter and Dr Mark Bray and Dr Carolina Wahlaby
  • 72.
    … for extendedcontent and better interpretation in your HCS assays Acknowledgements: Prof Paul Smith & Dr Rachel Errington School of Medicine, Cardiff Prof Laurence Patterson & Dr Klaus Pors Inst of Cancer Ther., Bradford Prof Fredika Robertson MD Anderson Cancer Centre Dr Lyle Armstrong & Mr Ian Dimmick NE Stem Cell Inst, Newcastle Dr Robert Martin Max Delbrück Center for Molec Med, Berlin Dr Stefan Jaeger Evotec Pharma AG, Hamburg Dr Wolfgang Link CNIO, Madrid Mr Derek Davies CRUK London Laboratories, London Dr Karen Hogg Dept of Biology, University of York Mr Joe Trask Hamner Insts., Research Triangle Park Drs Paul Wylie & Wayne Bowen TTP Labtech, Melbourn Dr Gareth Griffiths Imagen Biotech, Manchester Dr Tim Self Cell Jam I. Collagraph © Kirsten Edward Inst for Cell Signalling, Nottingham erringtonrj@cf.ac.uk
  • 73.
    Session 1 –What are we trying to image? 09:50 Space Missions to Medical Imaging Prof George Fraser 10:05 Image Analysis in Pathology Prof Mohammad Ilyas 10:25 Tools for Predictive Drug Screening A Joined up academic and Industry approach Dr Rachel Errington 10:45 Stratified Medicine in the UK Maximising the impact of UK Healthcare industries in a future wherw the Right Drug is given to the Right Patient at the Right Time for the Best Result Dr Alasdair Gaw
  • 74.
    Driving Innovation Stratified Medicines Innovation Platform Alasdair Gaw Lead Specialist Stratified Medicine
  • 75.
    Driving Innovation Our aim is to address current business needs • Business investment is too low and too late • Technical and financial risks need to be mitigated • The time for financial return is too long for many players • Innovation disrupts value chains and business models • New partnerships are required to build new supply chains • Investment and innovation is required at multiple points • Longer term trends not visible to all players • Impact and opportunities from emerging technologies & policies • Innovation infrastructure complex and inefficient • Fragmented and difficult to navigate • Sub-national picture changing and less money available overall
  • 76.
    Driving Innovation New strategy launched 2011 http://www.innovateuk.org/
  • 77.
    Driving Innovation Focus on five areas • Accelerating the journey between concept and commercialisation – Understand the business journey and accelerate it – Provide a coherent package of support – matched to needs – Specific SME package – but recognise role of larger companies – Promote knowledge exchange • Connecting the innovation landscape • Turning government action into business opportunity • Investing in priority areas based on potential – High Value Manufacturing, Off-Shore Renewable Energy, Regenerative Medicine • Continuously improving our capability
  • 78.
    Driving Innovation http://www.innovateuk.org/ COMPETITIONS _CONNECT SBRI Technology Strategy Share knowledge through Develop innovative Board funding KTNs and other networks products to meet competitions government needs CATAPULTS KTP SMART A network of world-leading Partner with academics to (Grant for R&D) technology and innovation develop new business Innovation funding for SMEs centres capability
  • 79.
    Driving Innovation SMART: Previously Grant for R&D Proof of Market Proof of Concept Prototype Development This grant enables companies to A grant to explore the technical This funding is used by assess commercial viability, feasibility and commercial companies to develop a through: potential of a new technology, technologically innovative • market research market testing product or process: product, service or industrial and competitor analysis • initial feasibility studies process: • intellectual property position • basic prototyping • small demonstrators • initial planning to take the project • Specialist testing and/or • intellectual property protection to commercialisation, including demonstration to provide basic • trials and testing, including clinical assessing costs, timescales and proof of technical feasibility • market testing funding requirements. • intellectual property protection • marketing strategies • investigation of production and • identifying routes to market assembly options. • product design work It also includes pre-clinical research • phase 0 pre-clinical studies for studies for healthcare technologies medicines. and medicines, including target identification and validation. Duration – up to 9 months Duration – up to 18 months Duration – up to 2 years Maximum grant – £25k Maximum grant – up to £100k Maximum grant – £250k Funding proportion – up to 60% Funding proportion – up to 60% of Funding proportion – up to 35% of total project costs total project costs of total project costs for medium enterprises; up to 45% for small and micro enterprises
  • 80.
    Driving Innovation SMART: Grant for R&D – how it works • Applications welcome from any technology or sector area • Always open to applications – Open process – but run as a competition – All applications must meet Quality Threshold – Batched assessment - 6 competitions per year • Funds – Spread over the year – Balanced between different grant types • Open to UK based SMEs and pre-start-ups with fewer than 250 employees • Also be themed competitions in specific technology areas
  • 81.
    Driving Innovation Levels of Funding: Collaborative R&D Type of Project Research Category Reference Code Funding level as a % of eligible project costs Business to Business Basic Research BASB2B 50% Collaborative Applied Research APPB2B 50% Research* Experimental EXPB2B 25% Development Science to Basic Research BASS2B 75% Business** Applied Research APPS2B 50% Collaborative Experimental EXPS2B 25% Research Development Claims up to Industrial 50% Industrial (SME)* 60% Academic 100% (of 80% Full Economic Cost (FEC)) Collaborative Research projects (at least two partners per consortium). Projects must be industrially led, academics only as a collaboration partner. Any one participant can bear a maximum of 70% of the eligible costs. The remaining 30% may be split between several participants. Each participant in the project must draw down at least 10% of their total eligible costs as grant.
  • 82.
    Driving Innovation What is Stratified medicine • A therapy with – a companion diagnostic test – a clearly identified group of patients – an understanding of the disease at the molecular level – ready access to both tests and drugs by clinicians Right Drug, Right Patient, Right Dose, Right Time Optimal Benefit
  • 83.
    Driving Innovation Stratified Medicine Innovation Platform • Accelerate Development and Uptake of Stratified Medicine for Clinical Diagnosis and Treatment to: – Improve Patient Outcomes – Provide Cost Benefit to the NHS and The Healthcare Industry – Deliver wider UK economic benefit • Key Partners – Department of Health, Scottish Government Health Directorate – NICE, Medical Research Council, Technology Strategy Board – Arthritis Research UK, Cancer Research UK • Consultation and Advice – MHRA, NIHR • The combined 5 year Investment by Programme Partners in the area of Stratified Medicine amounts to £200 Million Putting UK healthcare at the heart of a revolution in the diagnosis and treatment of disease
  • 84.
    Driving Innovation Vision • The UK should be the best place to develop, and adopt, Stratified Medicine • An increased collaborative culture throughout the sector – Shared Resources, Systems for effective data collection, sharing, governance & Use • NHS, business, academia, regulators and NICE • Improved Research – All NHS patients can choose to be involved in research • Use of patient information and records to inform the next generation of therapies • New Drug Diagnostic Combinations – Quicker and less expensive to get them Licensed • A smooth reimbursement process for stratified therapies and diagnostics • An Intellectual Property (IP) framework that encourages Innovation • The UK health system should have established stratified care pathways – Evidence provided of improvement in Patient Outcomes using Stratified Medicine
  • 85.
    Driving Innovation Stratified Medicine:TechnologyRoadmap • To deliver the UK vision • Build a community of people who will help • Take a strategic view of investment options – Identify the barriers – Programme activity to overcome them – Align investments in support of the programme activities • Early Signals – A clear UK vision agreed by around 100 people – Good consensus around the key issues – Identifying and bringing together the organisations required to support the delivery of the vision https://ktn.innovateuk.org/web/stratified-medicines-innovation-platform
  • 86.
    Driving Innovation Stratified MedicineTechnology RoadMap Key Themes 1. Incentivising adoption 2. Increasing awareness 3. Patient recruitment – consents and ethics 4. Clinical trials 5. Data – collection, management and use 6. Regulation and standards 7. Intellectual property 8. Bio-banks and biomarkers 9. Increasing the impact of R&D investment https://connect.innovateuk.org/web/stratified-medicines-innovation-platform/overview
  • 87.
    Driving Innovation Contact details • Dr Graham Bell (graham.bell@tsb.gov.uk) • Dr Alasdair Gaw (alasdair.gaw@tsb.gov.uk) • https://connect.innovateuk.org/web/stratified- medicines-innovation-platform/overview
  • 88.
    PCA cytokine norm DrivingInnovation The Future of Biomarkers: Where does imaging fit in?
  • 89.
    Driving Innovation BioImaging: Surrogate Marker Inflammation / Injury Environment / Genetics Enzyme activity Cartilage/bone remodelling Signs and symptoms Joint space narrowing
  • 90.
    Driving Innovation ComputedTomography (CT) and COPD Phenotyping • Potential exists for Stratified Medicine based on CT staging of predominant emphysema vs. predominant airways disease • Quantitative CT is an objective tool for determining presence and severity of emphysema, airway wall thickening and air trapping • Existing quantitative measures are not sophisticated enough to capture all information in the images available to the trained observer, including pattern of emphysema (centrilobular, panlobular, etc.), presence of centrilobular nodules, airway wall irregularity, bronchiectasis, etc. • Ongoing precompetitive work to develop a broad consensus on visual CT scoring criteria to separate distinct subtypes with the ultimate goal to facilitate the use of subphenotypes for startified medicine COPD CT workshop 2-5 Feb 2010 sponsored by National Heart, Lung and Blood Institute, COPD Foundation, Fleischner Society, COPDGene Project, AstraZeneca, CSL, GlaxoSmithKline, Novartis, Talecris, VIDA
  • 91.
    Driving Innovation CT Can Identify Three Distinct Components of COPD Emphysema % lung less than -950 Hounsfield units (HU) on inspiratory CT Air trapping % lung less than -856 HU on expiratory CT Airway wall thickening % wall area / total bronchial area (segmental bronchi) Hypothesis: These quantitative CT parameters identify important subphenotypes of COPD
  • 92.
    Driving Innovation Imaging in Respiratory studies Use of HR-CT in COPD Dirksen AJRCCM 1999 56 α1-antitrypsin deficient patients on α1-antitrypsin augmentation therapy vs placebo • No sign. effect on lung function • Annual loss of lung tissue: active 1.5 g/L, placebo 2.6 g/L (p=0.07) • CT was twice as sensitive as FEV1 for monitoring the progression of emphysema 19
  • 93.
    Driving Innovation Magnetic Resonance Imaging (MRI) for Phenotyping • No ionizing radiation with MRI • MRI with hyperpolarized gas (3He or 129Xe) can be used to characterize emphysema and airway predominant phenotypes in COPD – Multiple endpoints, e.g. ventilation maps, air trapping, alveolar dimensions and gas transport – Hyperpolarized 3He not feasible for PHC due to limited availability and high cost. 129Xe may be an option. – MRI with hyperpolarized gas may be considered for patient stratification in specific studies • Novel MRI techniques emerging that do not rely on hyperpolarized gases – Oxygen enhanced MRI can generate maps of regional lung function. AZ sponsored projects 3He MRI for phenotyping in COPD. A-D: Emphysema ongoing. predominant (brighter red colors represent large alveolar air – MRI with 19F gas may generate similar data as spaces). E-H: Airway predominant (major ventilation hyperpolarized gas techniques. AZ should monitor defects visualized in the gray scale images) the development of this technology. Mathew, et al, EJR, 2009
  • 94.
    Driving Innovation Clinical Relevant Measures for animal models Saline Challenge Challenge plus treatment
  • 95.
    Driving Innovation Imaging in Translational Medicine
  • 96.
    Thank you foryour interest If your organisation would like to benefit from our knowledge and expertise, please contact us. Space IDEAS Hub W: www.spaceideashub.com E: enquiries@spaceideashub.com T: 0116 229 7700 Follow us on: