Navdeep singh
 Anterior mediastinal masses
prevascular - Thymic masses
- Retrosternal thyroid
- Teratoma
- Lymph nodal mass
precardiac - Epicardial fat pad
- Morgagni ‘ s hernia
- pleuropericardial cyst
- Anterior mediastinal masses in the prevascular region
can obliterate the anterior junction line.
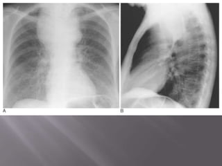
 Intrathoracic thyroid mass on (A) AP and (B) lateral
radiographs. This benign multinodular goitre is
predominantly posterior to the trachea with
components to either side, resulting in forward
displacement and narrowing of the trachea.
 Well-defined usually spherical or lobular
intrathoracic masses which are continuous with
the thyroid gland.
 All thyroid masses displace the trachea,
(narrowing). Descends anterolaterally or rarely
posteriorly.
 Calcification – round, well defined = benign
amorphous cloud like = malignant
 Radionuclide imaging
 CT- Size, shape & position (higher attenuation)
Benign and malignant = ?
 Thymic cyst
 Thymic hyerplasia
 Thymoma
 Lymphoma
 Thymic carcinoid
 Thymolipoma.
 Thymic cyst producing an anterior mediastinal mass on (A) AP and (B) lateral chest
radiographs, filling in the normal retrosternal window and widening the mediastinum.
(C) The cystic nature is best demonstrated by CT.
THYMOMA
 most common primary tumour of the anterior
mediastinum in adults.
 Average age is 50, rare under 20.
 Association - myasthenia gravis,
hypogammaglobulinaemia and red cell aplasia.
 Most thymomas (90%) arise usually anterior to
the ascending aorta, lying above the right
ventricular outflow tract and pulmonary artery.
 Imaging – usually spherical or oval in shape and
may show lobulated borders. They may contain
one or more cysts and a few are predominantly
cystic. Calcification, punctate or curvilinear, may
be seen.
 CT is the most sensitive technique.
 The diagnosis depends on identifying a focal
swelling/ asymmetry rather than applying a
specific measurement.
 show homogeneous density and uniform
enhancement after contrast injection.
 Thymoma presenting on a chest radiograph
obtained before orthopaedic surgery in an
otherwise asymptomatic elderly female patient.
There is a large anterior mediastinal mass (A) with
coarse calcification visible on (B) the lateral view
and (C) contrast-enhanced CT.
 Invasion of the mediastinal fat and adjacent
pleura may be identified with invasive
thymomas.
 Remote pleural metastases resulting from
transpleural spread are a feature of invasive
thymomas.
 MRI - On T1-weighted images, thymomas have a
signal intensity similar to that of muscle and the
adjacent normal thymic tissue.
 On T2-weighted images, the signal intensity
increases and may make it difficult to distinguish
a thymoma from adjacent mediastinal fat.
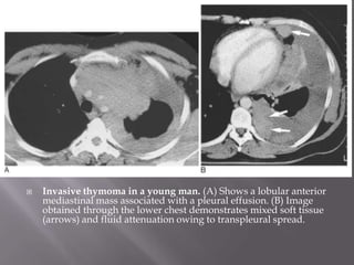
 Invasive thymoma in a young man. (A) Shows a lobular anterior
mediastinal mass associated with a pleural effusion. (B) Image
obtained through the lower chest demonstrates mixed soft tissue
(arrows) and fluid attenuation owing to transpleural spread.
 Derived from primitive germ cell elements left
behind after embryonal cell migration.
 Mediastinum – most common extragonadal site
(anterior mediastinum)
 Secrete HCG and alpha fetoprotein.
 Mature teratoma (benign)
 Seminoma
 Malignant teratoma
 Embryonal carcinoma
 Choriocarcinoma
 Endodermal sinus tumour
 Mature teratoma – most common mediastinal
germ cell tumour.
 All ages – particularly young adults (F>M)
 Presentation – mostly asymptomatic
- incidentally diagnosed on X-ray, CT.
- may cause cough, dyspnea, pain
 Imaging –
- Well defined, rounded or lobulated mass in
the anterior mediastinum.
- fat and calcification present
- variable appearence
 Teratoma in a young man undergoing an immigration chest radiograph.
(A) There are no specific features on the plain radiograph to indicate the
nature of the mass. (B) CT demonstrates that the opacity visible on the
chest radiograph is well defined and contains soft tissue and fat densities.
 Malignant germ-cell tumours are usually seen
in young adults. ( M>F)
 Seminoma is most common.
 Symptomatic due to mass effect and invasion.
 X-ray findings – similar except appear more
lobular.
 Fat and calcification rarely seen.
 CT – asymmetrical mass, obliterated fat planes
- heterogeneous enhancement.
 Malignant germ-cell tumour in a 25 year old man presenting with chest
pain, dyspnoea, malaise and features of pericardial tamponade. The CT
shows a lobular asymmetrical mass with low attenuation areas
corresponding to necrotic tumour intersected by neoplastic septation.
 Esophageal lesions, hiatal hernia
 Foregut duplication cyst
 Descending aorta aneuyrsm
 Neurogenic tumour
 Paraspinal abscess
 Lateral meningocele
 Extramedullary haematopoiesis
 Bronchogenic cyst -solitary asymptomatic
mediastinal masses which may present at any
age.
 Have thin fibrous capsule and are lined with
respiratory epithelium and contain cartilage.
Cyst contents - thick mucoid material.
 Located adjacent to trachea
 Mostly asymptomatic
 Complication – infection, haemorrhage
 Imaging - spherical or oval masses with smooth
outlines, along the course of trachea and
bronchi.
 Unilocular, can project in middle or posterior
mediastinum.
 Calcification rare.
 They can displaces carina forward and
oesophagus backwards.
CT- size, shape nd position
-thin walled masses with contents of uniform
attenuation ( 0 HU), may show higher HU(prot.
 Bronchogenic cyst. (A) Bronchogenic cyst in right paratracheal
area in a young asymptomatic man. (B) In this instance the CT
attenuation was almost the same as that of the other soft tissue
structures and it was not possible to predict the cystic nature of
the mass. The cyst was surgically removed.
 Oesophageal duplication cyst on (A) chest
radiography and (B) CT. This case shows the
typical features of a well-defined spherical mass
projecting from the mediastinum.
 Oesophageal duplication cyst
 Uncommon, mostly present in childhood.
 presence of smooth muscle in the walls and
contain mucosa resembling GIT.
 Imaging findings- similar to bronchogenic cyst
- except that the wall of the lesion may be
thicker,
- may assume a more tubular shape,
- and it may be in more intimate contact with
the oesophagus.
- may cause extrinsic compression on barium.
 most common tumours to arise in the posterior
mediastinum.
 peripheral nerves –
neurofibroma,
schwannoma,
malignant tumours of nerve sheath origin.
 Tumours arising from sympathetic ganglia.
 Peripheral nerve tumours typically originate in
an intercostal nerve in the paravertebral region.
 Neurofibromas and Schwannomas present as
well-defined round or oval posterior
mediastinal masses.
 Pressure deformity causing a smooth, scalloped
indentation on the adjacent ribs, vertebral
bodies etc.
 The scalloped cortex is usually preserved and is often
thickened.
 This coronal T1-weighted, spin-echo image demonstrates the tumour well and shows
that it does not enter the spinal canal or encroach significantly on the adjacent foramina.
P
 IMAGING - The rib spaces and the intervertebral
foramina may be widened by the tumour.
 CT - homogeneous or heterogeneous enhancement
after intravenous contrast medium. Punctate foci of
calcification may be seen.
 MRI - Variable T1-weighted signal intensity that
may be similar to spinal cord.
- high signal intensity peripherally and low
signal intensity centrally (target sign) on T2-W.
- 10% may extend appear as dumb-bell-shaped
masses with widening of the affected neural
foramen.
 Result from incomplete separation of the
foregut from the notochord in early embryonic
life.
 Cyst wall contains both gastrointestinal and
neural elements with an enteric epithelial
lining.
 Communication with the subarachnoid space or
the gastrointestinal tract may be present.
 Vertebral body anomalies such as butterfly or
hemivertebra.
 produce pain and are often found early in life
 Radiologically, a neurenteric cyst is a well-
defined, round, oval or lobulated mass in the
posterior mediastinum between the oesophagus
and the spine. Appearances on CT and MRI are
similar to those of other foregut duplication
cysts, with MRI being the investigation of choice for
demonstrating the extent of intraspinal
involvement.
 protrusions of the spinal meninges through an
intervertebral foramen.
 associated with neurofibromatosis.
 asymptomatic mass, often with pressure
deformity of the adjacent bone.
 Indistinguishable on plain radiographs from
neurofibromas.
 CT and MRI can both indicate the correct
diagnosis by showing the mass to be fluid filled
rather than solid.
 THANK YOU

Mediastinum masses

  • 1.
  • 2.
     Anterior mediastinalmasses prevascular - Thymic masses - Retrosternal thyroid - Teratoma - Lymph nodal mass precardiac - Epicardial fat pad - Morgagni ‘ s hernia - pleuropericardial cyst - Anterior mediastinal masses in the prevascular region can obliterate the anterior junction line.
  • 4.
     Intrathoracic thyroidmass on (A) AP and (B) lateral radiographs. This benign multinodular goitre is predominantly posterior to the trachea with components to either side, resulting in forward displacement and narrowing of the trachea.
  • 6.
     Well-defined usuallyspherical or lobular intrathoracic masses which are continuous with the thyroid gland.  All thyroid masses displace the trachea, (narrowing). Descends anterolaterally or rarely posteriorly.  Calcification – round, well defined = benign amorphous cloud like = malignant  Radionuclide imaging  CT- Size, shape & position (higher attenuation) Benign and malignant = ?
  • 9.
     Thymic cyst Thymic hyerplasia  Thymoma  Lymphoma  Thymic carcinoid  Thymolipoma.
  • 10.
     Thymic cystproducing an anterior mediastinal mass on (A) AP and (B) lateral chest radiographs, filling in the normal retrosternal window and widening the mediastinum. (C) The cystic nature is best demonstrated by CT.
  • 11.
    THYMOMA  most commonprimary tumour of the anterior mediastinum in adults.  Average age is 50, rare under 20.  Association - myasthenia gravis, hypogammaglobulinaemia and red cell aplasia.  Most thymomas (90%) arise usually anterior to the ascending aorta, lying above the right ventricular outflow tract and pulmonary artery.
  • 12.
     Imaging –usually spherical or oval in shape and may show lobulated borders. They may contain one or more cysts and a few are predominantly cystic. Calcification, punctate or curvilinear, may be seen.  CT is the most sensitive technique.  The diagnosis depends on identifying a focal swelling/ asymmetry rather than applying a specific measurement.  show homogeneous density and uniform enhancement after contrast injection.
  • 13.
     Thymoma presentingon a chest radiograph obtained before orthopaedic surgery in an otherwise asymptomatic elderly female patient. There is a large anterior mediastinal mass (A) with coarse calcification visible on (B) the lateral view and (C) contrast-enhanced CT.
  • 14.
     Invasion ofthe mediastinal fat and adjacent pleura may be identified with invasive thymomas.  Remote pleural metastases resulting from transpleural spread are a feature of invasive thymomas.  MRI - On T1-weighted images, thymomas have a signal intensity similar to that of muscle and the adjacent normal thymic tissue.  On T2-weighted images, the signal intensity increases and may make it difficult to distinguish a thymoma from adjacent mediastinal fat.
  • 15.
     Invasive thymomain a young man. (A) Shows a lobular anterior mediastinal mass associated with a pleural effusion. (B) Image obtained through the lower chest demonstrates mixed soft tissue (arrows) and fluid attenuation owing to transpleural spread.
  • 16.
     Derived fromprimitive germ cell elements left behind after embryonal cell migration.  Mediastinum – most common extragonadal site (anterior mediastinum)  Secrete HCG and alpha fetoprotein.
  • 17.
     Mature teratoma(benign)  Seminoma  Malignant teratoma  Embryonal carcinoma  Choriocarcinoma  Endodermal sinus tumour
  • 18.
     Mature teratoma– most common mediastinal germ cell tumour.  All ages – particularly young adults (F>M)  Presentation – mostly asymptomatic - incidentally diagnosed on X-ray, CT. - may cause cough, dyspnea, pain
  • 19.
     Imaging – -Well defined, rounded or lobulated mass in the anterior mediastinum. - fat and calcification present - variable appearence
  • 20.
     Teratoma ina young man undergoing an immigration chest radiograph. (A) There are no specific features on the plain radiograph to indicate the nature of the mass. (B) CT demonstrates that the opacity visible on the chest radiograph is well defined and contains soft tissue and fat densities.
  • 21.
     Malignant germ-celltumours are usually seen in young adults. ( M>F)  Seminoma is most common.  Symptomatic due to mass effect and invasion.  X-ray findings – similar except appear more lobular.  Fat and calcification rarely seen.  CT – asymmetrical mass, obliterated fat planes - heterogeneous enhancement.
  • 22.
     Malignant germ-celltumour in a 25 year old man presenting with chest pain, dyspnoea, malaise and features of pericardial tamponade. The CT shows a lobular asymmetrical mass with low attenuation areas corresponding to necrotic tumour intersected by neoplastic septation.
  • 26.
     Esophageal lesions,hiatal hernia  Foregut duplication cyst  Descending aorta aneuyrsm  Neurogenic tumour  Paraspinal abscess  Lateral meningocele  Extramedullary haematopoiesis
  • 27.
     Bronchogenic cyst-solitary asymptomatic mediastinal masses which may present at any age.  Have thin fibrous capsule and are lined with respiratory epithelium and contain cartilage. Cyst contents - thick mucoid material.  Located adjacent to trachea  Mostly asymptomatic  Complication – infection, haemorrhage
  • 28.
     Imaging -spherical or oval masses with smooth outlines, along the course of trachea and bronchi.  Unilocular, can project in middle or posterior mediastinum.  Calcification rare.  They can displaces carina forward and oesophagus backwards. CT- size, shape nd position -thin walled masses with contents of uniform attenuation ( 0 HU), may show higher HU(prot.
  • 29.
     Bronchogenic cyst.(A) Bronchogenic cyst in right paratracheal area in a young asymptomatic man. (B) In this instance the CT attenuation was almost the same as that of the other soft tissue structures and it was not possible to predict the cystic nature of the mass. The cyst was surgically removed.
  • 30.
     Oesophageal duplicationcyst on (A) chest radiography and (B) CT. This case shows the typical features of a well-defined spherical mass projecting from the mediastinum.
  • 31.
     Oesophageal duplicationcyst  Uncommon, mostly present in childhood.  presence of smooth muscle in the walls and contain mucosa resembling GIT.  Imaging findings- similar to bronchogenic cyst - except that the wall of the lesion may be thicker, - may assume a more tubular shape, - and it may be in more intimate contact with the oesophagus. - may cause extrinsic compression on barium.
  • 32.
     most commontumours to arise in the posterior mediastinum.  peripheral nerves – neurofibroma, schwannoma, malignant tumours of nerve sheath origin.  Tumours arising from sympathetic ganglia.
  • 33.
     Peripheral nervetumours typically originate in an intercostal nerve in the paravertebral region.  Neurofibromas and Schwannomas present as well-defined round or oval posterior mediastinal masses.  Pressure deformity causing a smooth, scalloped indentation on the adjacent ribs, vertebral bodies etc.  The scalloped cortex is usually preserved and is often thickened.
  • 34.
     This coronalT1-weighted, spin-echo image demonstrates the tumour well and shows that it does not enter the spinal canal or encroach significantly on the adjacent foramina. P
  • 35.
     IMAGING -The rib spaces and the intervertebral foramina may be widened by the tumour.  CT - homogeneous or heterogeneous enhancement after intravenous contrast medium. Punctate foci of calcification may be seen.  MRI - Variable T1-weighted signal intensity that may be similar to spinal cord. - high signal intensity peripherally and low signal intensity centrally (target sign) on T2-W. - 10% may extend appear as dumb-bell-shaped masses with widening of the affected neural foramen.
  • 36.
     Result fromincomplete separation of the foregut from the notochord in early embryonic life.  Cyst wall contains both gastrointestinal and neural elements with an enteric epithelial lining.  Communication with the subarachnoid space or the gastrointestinal tract may be present.  Vertebral body anomalies such as butterfly or hemivertebra.  produce pain and are often found early in life
  • 37.
     Radiologically, aneurenteric cyst is a well- defined, round, oval or lobulated mass in the posterior mediastinum between the oesophagus and the spine. Appearances on CT and MRI are similar to those of other foregut duplication cysts, with MRI being the investigation of choice for demonstrating the extent of intraspinal involvement.
  • 41.
     protrusions ofthe spinal meninges through an intervertebral foramen.  associated with neurofibromatosis.  asymptomatic mass, often with pressure deformity of the adjacent bone.  Indistinguishable on plain radiographs from neurofibromas.  CT and MRI can both indicate the correct diagnosis by showing the mass to be fluid filled rather than solid.
  • 42.