BRONCHOPULMONARY
SEQUESTRATION
Dr Hammad ur Rehman
PGR, PSW,SHL
•During repair of congenital diaphragmatic
hernia, you noticed a small lobular tissue which
has a blood supply from thoracic aorta.
•What is your likely Diagnosis?
•How will you manage this?
Introduction
Bronchopulmonary sequestration (BPS) is a rare
congenital abnormality of the lower respiratory
tract. `
It consists of a non-functioning mass of lung tissue
that lacks normal communication with
tracheobronchial tree.
It has arterial blood supply from systemic
circulation.
Types
•Intra lobar Sequestration (ILS)
•Extra lobar Sequestration (ELS)
Intralobar Sequestration
Most Common 75%
Located within the normal lobe and does not have its own
visceral pleura.
Males and females are equally affected.
15% are associated with congenital anomalies(Skeletal
anomalies)
Most occur in lower lobes, 60% located in posterior basal
segment of left lower lobe
The right lower lobe may be affected in approximately one- third of
cases
Generally do not have communication with tracheobronchial
tree.
Arterial blood supply is by lower thoracic aorta or upper Abdominal
aorta
Venous drainage is usually via the pulmonary veins on left side and
IVC on right side.
Intralobar sequestration usually present in late childhood or in
young adults with recurrant attacks of pneumonia.
Within visceral pleura
of normal lobe
Arterial supply by
thoracic aorta
Venous drainage into
Pulmonary veins
Extralobar Sequestration
Less Common 25%
Located outside the normal lung and has its own visceral Pleura
Male predominance.
ELS are more common on the left side [between the left lower
lobe and hemi diaphragm (80%)].
They may also be found within or below the diaphragm or in
retroperitoneum
50% congenital anomalies associated (diaphragmatic hernia, cardiac,
verterbral defects, hybrid forms CPAM/sequestration)
Extralobar sequestration is typically supplied by a systemic
artery arising directly from the THORACIC aorta. The vessel
is usually small with low flow.
Its venous drainage is usually through azygos-hemiazygos system.
Most regress during 3rd trimester of gestation.
Symptoms with first six months.
Accessory lung tissue
surrounded by its own
pleura
Arterial supply by thoracic
aorta
Venous drainage into
systemic veins
Rare types
• Hybrid lesions :- BPS occurs in combination with CPAM.
• These hybrid lesions have histological features of CPAM and
blood supply from a systemic artery.
• Bronchopulmonary-foregut malformation (BPFM)-
• A Rare variant of sequestration where sequestrated lung
tissue is connected to the gastrointestinal tract.
Pathogenesis
The most frequently supported theory of sequestration
involves formation of accessory lung bud that develops
from the ventral aspect of the primitive foregut.
The pleuripotent tissue from this additional lung bud
migrates in a caudal direction with the normally
developing lung.
The accessory lung bud receives its blood supply from
vessels that connect to the aorta and cover the
primitive foregut.
These attachments to the aorta remain to form the
systemic arterial supply of the sequestration.
Early embryologic development of the accessory lung bud in
pseudoglandular stage (5-17weeks of gestation) results in
formation of the sequestration within normal lung tissue.
This sequestration is encased within the same pleural
covering of normal lung resulting in the Intrapulmonary or
Intralobar sequestration.
Later development of the accessory lung bud results
in the Extralobar OR Extrapulmonary type that may
give rise to communication with the GI tract
Prenatal Evaluation
On prenatal ultrasound, BPS appears as
homogenous echogenic thoracic mass
usually solid appearing, triangular, located in lower
hemithorax adjacent to the diaphragm.
• Detection by color Doppler of systematic artery from
aorta is a pathogenomic feature of fetal BPS.
• If Doppler finding is not detected, CCAM and BPS have
similar sonographic appearance.
Clinical Presentation
The clinical features of BPS are variable and depends upon
the type, size and location of the lesion.
Most infants are asymptomatic at birth.
If symptomatic, may present with respiratory distress at birth
or in the neonatal period, usually due to large lesions that
limit the volume of normal lung
The most common symptomatic presentation after neonatal
period is with pulmonary infection, typically presenting as
fever and cough,
sometimes hemoptysis or chest pain, in pts. with ILS.
Patients with ELS unlikely to develop infection.
ELS may induce hydrops fetalis
Rarely may present with heart failure due to excessive flow
through aberrant artery.
Post Natal Evaluation
• Chest Radiograph:
Sequestrations typically appear as a uniform dense mass within the
thoracic cavity or lung parenchyma.
Recurrent infections in ILS can lead to cystic areas within the mass.
Air-fluid levels in case of bronchial communication
Computed tomography (CT)
• Most common appearance is a solid mass that may be
homogenous or heterogenous, sometimes with cystic
changes.
• Less frequently, a large cavitary lesion with an air-fluid level.
• Emphysematous changes at the margin of the lesion.
MRI
This is a safe and non-invasive alternative imaging method,
which may be useful.
MRI provides an excellent observation of the supplying
systemic arterial anatomy.
MR imaging can also depict the pulmonary venous return of
the lesion and the relationship of the draining vein to the
cardiac chambers.
Angiography
• Traditionally, Angiography has been considered as the
gold standard for diagnosis of pulmonary
sequestration by virtue
• of its excellent depiction of the arterial and venous
anatomy
• Now it is replaced by multidetector CT or MRI
angiograph.
Advanced imaging may help to distinguish among ILS, ELS
and hybrid lesions.
They are not completely reliable in making these distinctions.
The final definitive diagnosis is made only by PATHOLOGICAL
EXAMINATION after surgical resection
Protocol For Evaluation
Immediate advanced imaging with CT/MRI for pts with high
risk :
- Any symptoms (respiratory distress)
- Large BPS ( >20% of lobe involved)
- Bilateral or multifocal cysts, pneumothorax
The purpose of the advanced imaging is to make the diagnosis
and identify the aberrant artery and to help with surgical
planning
Management
• Prenatal:
• Mojaority of BPS cause no fetal compromise and are best manage
after birth.
• If Hydrops fetalis develop = treated with thoracoamniotic shunting
followed by postnatal resection
• Ablation of feeding vessel with contact laser.
Post Natal Management
•For Extralobar Sequestration:
The postnatal treatment depends on the
• Size of the lesion
• Blood flow
• Presence of a pleural effusion
• Location.
Indications for Resection of Extralobar
BronchopulmonarySequestrations
• Large systemic vascular supply
• Large lesions with compression of surrounding lung
parenchyma or mediastinal shift
• Lesions with cystic components on prenatal
ultrasound or postnatal CT scan
• Lesions that continue to grow postnatally
• Lesions within or under the diaphragm
For small intrathoracic or subdiaphragmatic
ELS
•There is debate regarding the postnatal
management of a small intrathoracic or
subdiaphragmatic eBPS.
•Small eBPSs with small feeding vessels have
been reported to spontaneously regress and
•carry a low risk of infection or malignancy.
• The surgical management of eBPSs involves
• Ligation and division of the systemic vasculature
• removal of the mass.
• This must be done with care as systemic vessels
arising from the abdominal aorta may cross the
diaphragm and lead to difficult-to-control bleeding if
not adequately ligated
• Percutaneous coil embolization of the feeding
systemic artery
For intralobar Sequestration
All these lesions should be resected because of the risk of
infection as well as the natural evolution of the high output
physiology.
• The optimal age for resection is 8–10 weeks of life.
• Thoracoscopic lobectomy is a preferred approach.
SUMMARY
• Bronchopulmonary Sequestration is a rare congenital
abnormality of lower respiratory tract.
• • It consists of a non-functioning mass of lung tissue that lacks
normal communication with tracheobronchial tree and
• receives it blood supply from the systemic circulation.
• • An intralobar sequestration (ILS) is located within a normal
lobe and lacks its own visceral pleura whereas An extralobar
• sequestration (ELS) is located outside the normal lung with
• its own visceral pleura
• Clinical presentation depends on type, size and location of the
lesion.
• • BPS can be detected by prenatal ultrasound & they may regress
during gestation in most cases or may progress.
• • The affected newborn is usually asymptomatic, sometimes may
present with respiratory distress.
• • On chest x-ray, typically appears as a uniformly dense mass
• within the pulmonary parenchyma. Recurrent infections can lead
to cystic areas within the mass, and air-fluid levels if
• communicates with a bronchus.
• Infants presenting with respiratory distress are treated with
surgical excision.
• • For asymptomatic pts of any age with high risk for
• developing complications, surgical resection rather than
• observation.
• • Without high risk characteristics, conservative management
with observation
Pulmonary sequestration

Pulmonary sequestration

  • 1.
  • 2.
    •During repair ofcongenital diaphragmatic hernia, you noticed a small lobular tissue which has a blood supply from thoracic aorta. •What is your likely Diagnosis? •How will you manage this?
  • 3.
    Introduction Bronchopulmonary sequestration (BPS)is a rare congenital abnormality of the lower respiratory tract. ` It consists of a non-functioning mass of lung tissue that lacks normal communication with tracheobronchial tree. It has arterial blood supply from systemic circulation.
  • 4.
    Types •Intra lobar Sequestration(ILS) •Extra lobar Sequestration (ELS)
  • 5.
    Intralobar Sequestration Most Common75% Located within the normal lobe and does not have its own visceral pleura. Males and females are equally affected. 15% are associated with congenital anomalies(Skeletal anomalies) Most occur in lower lobes, 60% located in posterior basal segment of left lower lobe
  • 6.
    The right lowerlobe may be affected in approximately one- third of cases Generally do not have communication with tracheobronchial tree. Arterial blood supply is by lower thoracic aorta or upper Abdominal aorta Venous drainage is usually via the pulmonary veins on left side and IVC on right side. Intralobar sequestration usually present in late childhood or in young adults with recurrant attacks of pneumonia.
  • 7.
    Within visceral pleura ofnormal lobe Arterial supply by thoracic aorta Venous drainage into Pulmonary veins
  • 8.
    Extralobar Sequestration Less Common25% Located outside the normal lung and has its own visceral Pleura Male predominance. ELS are more common on the left side [between the left lower lobe and hemi diaphragm (80%)]. They may also be found within or below the diaphragm or in retroperitoneum
  • 9.
    50% congenital anomaliesassociated (diaphragmatic hernia, cardiac, verterbral defects, hybrid forms CPAM/sequestration) Extralobar sequestration is typically supplied by a systemic artery arising directly from the THORACIC aorta. The vessel is usually small with low flow. Its venous drainage is usually through azygos-hemiazygos system. Most regress during 3rd trimester of gestation. Symptoms with first six months.
  • 10.
    Accessory lung tissue surroundedby its own pleura Arterial supply by thoracic aorta Venous drainage into systemic veins
  • 11.
    Rare types • Hybridlesions :- BPS occurs in combination with CPAM. • These hybrid lesions have histological features of CPAM and blood supply from a systemic artery. • Bronchopulmonary-foregut malformation (BPFM)- • A Rare variant of sequestration where sequestrated lung tissue is connected to the gastrointestinal tract.
  • 12.
    Pathogenesis The most frequentlysupported theory of sequestration involves formation of accessory lung bud that develops from the ventral aspect of the primitive foregut. The pleuripotent tissue from this additional lung bud migrates in a caudal direction with the normally developing lung.
  • 13.
    The accessory lungbud receives its blood supply from vessels that connect to the aorta and cover the primitive foregut. These attachments to the aorta remain to form the systemic arterial supply of the sequestration.
  • 14.
    Early embryologic developmentof the accessory lung bud in pseudoglandular stage (5-17weeks of gestation) results in formation of the sequestration within normal lung tissue. This sequestration is encased within the same pleural covering of normal lung resulting in the Intrapulmonary or Intralobar sequestration.
  • 15.
    Later development ofthe accessory lung bud results in the Extralobar OR Extrapulmonary type that may give rise to communication with the GI tract
  • 16.
    Prenatal Evaluation On prenatalultrasound, BPS appears as homogenous echogenic thoracic mass usually solid appearing, triangular, located in lower hemithorax adjacent to the diaphragm. • Detection by color Doppler of systematic artery from aorta is a pathogenomic feature of fetal BPS. • If Doppler finding is not detected, CCAM and BPS have similar sonographic appearance.
  • 17.
    Clinical Presentation The clinicalfeatures of BPS are variable and depends upon the type, size and location of the lesion. Most infants are asymptomatic at birth. If symptomatic, may present with respiratory distress at birth or in the neonatal period, usually due to large lesions that limit the volume of normal lung
  • 18.
    The most commonsymptomatic presentation after neonatal period is with pulmonary infection, typically presenting as fever and cough, sometimes hemoptysis or chest pain, in pts. with ILS. Patients with ELS unlikely to develop infection. ELS may induce hydrops fetalis Rarely may present with heart failure due to excessive flow through aberrant artery.
  • 19.
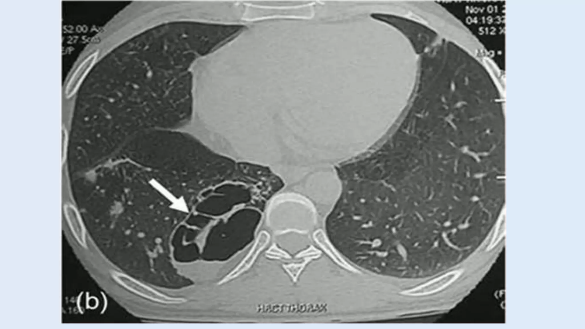
    Post Natal Evaluation •Chest Radiograph: Sequestrations typically appear as a uniform dense mass within the thoracic cavity or lung parenchyma. Recurrent infections in ILS can lead to cystic areas within the mass. Air-fluid levels in case of bronchial communication
  • 22.
    Computed tomography (CT) •Most common appearance is a solid mass that may be homogenous or heterogenous, sometimes with cystic changes. • Less frequently, a large cavitary lesion with an air-fluid level. • Emphysematous changes at the margin of the lesion.
  • 27.
    MRI This is asafe and non-invasive alternative imaging method, which may be useful. MRI provides an excellent observation of the supplying systemic arterial anatomy. MR imaging can also depict the pulmonary venous return of the lesion and the relationship of the draining vein to the cardiac chambers.
  • 28.
    Angiography • Traditionally, Angiographyhas been considered as the gold standard for diagnosis of pulmonary sequestration by virtue • of its excellent depiction of the arterial and venous anatomy • Now it is replaced by multidetector CT or MRI angiograph.
  • 31.
    Advanced imaging mayhelp to distinguish among ILS, ELS and hybrid lesions. They are not completely reliable in making these distinctions. The final definitive diagnosis is made only by PATHOLOGICAL EXAMINATION after surgical resection
  • 32.
    Protocol For Evaluation Immediateadvanced imaging with CT/MRI for pts with high risk : - Any symptoms (respiratory distress) - Large BPS ( >20% of lobe involved) - Bilateral or multifocal cysts, pneumothorax The purpose of the advanced imaging is to make the diagnosis and identify the aberrant artery and to help with surgical planning
  • 33.
    Management • Prenatal: • Mojaorityof BPS cause no fetal compromise and are best manage after birth. • If Hydrops fetalis develop = treated with thoracoamniotic shunting followed by postnatal resection • Ablation of feeding vessel with contact laser.
  • 34.
    Post Natal Management •ForExtralobar Sequestration: The postnatal treatment depends on the • Size of the lesion • Blood flow • Presence of a pleural effusion • Location.
  • 35.
    Indications for Resectionof Extralobar BronchopulmonarySequestrations • Large systemic vascular supply • Large lesions with compression of surrounding lung parenchyma or mediastinal shift • Lesions with cystic components on prenatal ultrasound or postnatal CT scan • Lesions that continue to grow postnatally • Lesions within or under the diaphragm
  • 36.
    For small intrathoracicor subdiaphragmatic ELS •There is debate regarding the postnatal management of a small intrathoracic or subdiaphragmatic eBPS. •Small eBPSs with small feeding vessels have been reported to spontaneously regress and •carry a low risk of infection or malignancy.
  • 37.
    • The surgicalmanagement of eBPSs involves • Ligation and division of the systemic vasculature • removal of the mass. • This must be done with care as systemic vessels arising from the abdominal aorta may cross the diaphragm and lead to difficult-to-control bleeding if not adequately ligated • Percutaneous coil embolization of the feeding systemic artery
  • 38.
    For intralobar Sequestration Allthese lesions should be resected because of the risk of infection as well as the natural evolution of the high output physiology. • The optimal age for resection is 8–10 weeks of life. • Thoracoscopic lobectomy is a preferred approach.
  • 40.
    SUMMARY • Bronchopulmonary Sequestrationis a rare congenital abnormality of lower respiratory tract. • • It consists of a non-functioning mass of lung tissue that lacks normal communication with tracheobronchial tree and • receives it blood supply from the systemic circulation. • • An intralobar sequestration (ILS) is located within a normal lobe and lacks its own visceral pleura whereas An extralobar • sequestration (ELS) is located outside the normal lung with • its own visceral pleura
  • 41.
    • Clinical presentationdepends on type, size and location of the lesion. • • BPS can be detected by prenatal ultrasound & they may regress during gestation in most cases or may progress. • • The affected newborn is usually asymptomatic, sometimes may present with respiratory distress. • • On chest x-ray, typically appears as a uniformly dense mass • within the pulmonary parenchyma. Recurrent infections can lead to cystic areas within the mass, and air-fluid levels if • communicates with a bronchus.
  • 42.
    • Infants presentingwith respiratory distress are treated with surgical excision. • • For asymptomatic pts of any age with high risk for • developing complications, surgical resection rather than • observation. • • Without high risk characteristics, conservative management with observation