LE CELL PREPARATION AND SYSTEMIC LUPUS
ERYTHEMATOSUS
Dr. sandeep singh
Department of Pathology
N.S.C.G.M.C. Khandwa
 Systemic Lupus Erythematosus (SLE) is a chronic rheumatic
disease which affects joints, muscles and other parts of the
body
 Lupus involves inflammation related to the immune system's
response to kill foreign agents, virus, bacteria
 Systemic lupus erythematosus involves chronic inflammation
that can affect many parts of the body, including:
 Heart
 Lungs
 Skin
 Joints
 Blood-forming organs
 Kidneys
 nervous system
INTRODUCTION CONT’D
 SLE is a connective tissue disease that affects most
commonly women of child bearing age and is
characterized by:
 Skin rash
 Fever
 Renal
 Cardiac and vascular lesions
 Anemia
 Leukopenia
 Often thrombocytopenia
INTRODUCTION CONT’D
 In SLE, there is a factor in the serum (immunoglobulin of
the IgG, IgM or IgA class) causes:
 Depolymerization of the nuclear chromatin of polymorphonuclear
leukocytes (neutrophils)
 Phagocytosis of this depolymerized material by an
intact neutrophil or monocyte giving rise to the Lupus
erythematosus (LE) cell
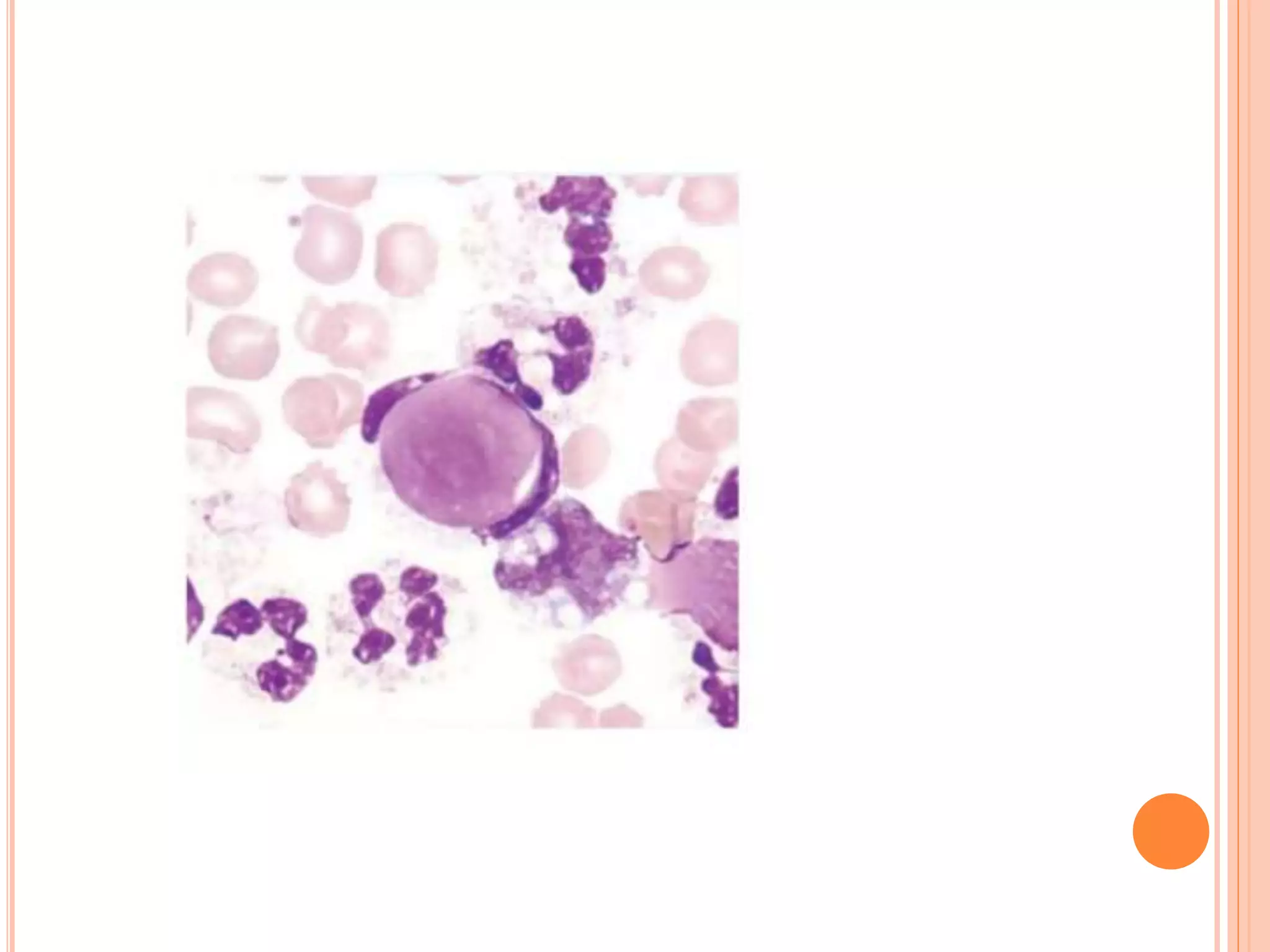
INTRODUCTION CONT’D
Peripheral blood film
showing a lupus
erythematosus (LE) cell
that has formed
spontaneously
INTRODUCTION CONT’D
 The LE cell is usually a neutrophil polymorph
(occasionally a monocyte or eosinophil) that has
ingested the altered nucleus of another polymorph
 The bulk of the cell is occupied by a spherical,
homogeneous mass that stains purplish brown
 The lobes of the ingesting polymorph appear
wrapped around the ingested material
 Occasionally, a group of polymorphs will collect
around an altered nuclear material and will
appear as a rosette formation
WHO IS AT RISK?
 women have increased incidence of SLE about 8 to 10
times more often than men
 SLE often occurs between the ages of 18 to 45
 Lupus occurs more often in African Americans
 Hereditary predisposition for this disease
LE cell.ppt
LE cell.ppt
LE cell.ppt
LE cell.ppt
LE cell.ppt
LE cell.ppt
LE cell.ppt
LE cell.ppt
LE cell.ppt
LE cell.ppt
LE cell.ppt
LE cell.ppt
LE cell.ppt
LE cell.ppt
LE cell.ppt

LE cell.ppt

  • 1.
    LE CELL PREPARATIONAND SYSTEMIC LUPUS ERYTHEMATOSUS Dr. sandeep singh Department of Pathology N.S.C.G.M.C. Khandwa
  • 2.
     Systemic LupusErythematosus (SLE) is a chronic rheumatic disease which affects joints, muscles and other parts of the body  Lupus involves inflammation related to the immune system's response to kill foreign agents, virus, bacteria  Systemic lupus erythematosus involves chronic inflammation that can affect many parts of the body, including:  Heart  Lungs  Skin  Joints  Blood-forming organs  Kidneys  nervous system
  • 3.
    INTRODUCTION CONT’D  SLEis a connective tissue disease that affects most commonly women of child bearing age and is characterized by:  Skin rash  Fever  Renal  Cardiac and vascular lesions  Anemia  Leukopenia  Often thrombocytopenia
  • 4.
    INTRODUCTION CONT’D  InSLE, there is a factor in the serum (immunoglobulin of the IgG, IgM or IgA class) causes:  Depolymerization of the nuclear chromatin of polymorphonuclear leukocytes (neutrophils)  Phagocytosis of this depolymerized material by an intact neutrophil or monocyte giving rise to the Lupus erythematosus (LE) cell
  • 6.
    INTRODUCTION CONT’D Peripheral bloodfilm showing a lupus erythematosus (LE) cell that has formed spontaneously
  • 7.
    INTRODUCTION CONT’D  TheLE cell is usually a neutrophil polymorph (occasionally a monocyte or eosinophil) that has ingested the altered nucleus of another polymorph  The bulk of the cell is occupied by a spherical, homogeneous mass that stains purplish brown  The lobes of the ingesting polymorph appear wrapped around the ingested material  Occasionally, a group of polymorphs will collect around an altered nuclear material and will appear as a rosette formation
  • 8.
    WHO IS ATRISK?  women have increased incidence of SLE about 8 to 10 times more often than men  SLE often occurs between the ages of 18 to 45  Lupus occurs more often in African Americans  Hereditary predisposition for this disease

Editor's Notes