DR. VIJAY PRAKASH HAWA
SR NEUROLOGY
GOVT MEDICAL COLLEGE KOTA
APPROACH TO
CAROTID WEB
A 42-yr Old Male Patient Was Admitted With Repeated Dizziness And Right-
sided Weakness For More Than 3 Months
• P/W Sudden Onset Dizziness And Visual Rotation, Accompanied By Acute
Weakness Of The Right Limbs
At That Time, Cerebral Hemorrhage Was Ruled Out By Emergency Head CT
Scan
Medical History Was Untreated Hypertension
Thrombolytic Therapy Was Performed Emergently With Alteplase
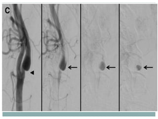
DSA of the whole brain showed a short segment of linear filling defect in the
proximal left internal carotid artery (ICA), which revealed >90% stenosis at
the left ICA bulb and delayed blood flow of the anterior cerebral artery
 5 days later, pt underwent head MRI, which revealed
acute left cerebral infarction. Then pt discharged on
optimal medical therapy
with aspirin(100 mg),clopidogrel(75 mg), rosuvastatin(10
mg).
 3 months after discharge, the pt repeatedly felt dizzy,
accompanied by symptoms of intermittent weakness and
numbness mainly in the distal part of the right upper limb.
After admission, the workup was negative
for thrombophilia and vasculitis. Echocardiography and
electrocardiography were performed and atrial fibrillation
was ruled out.
first considered nonatherosclerotic causes, e.g.,
carotid dissection or CaW, for this middle-aged man
with no history of atherosclerosis.
Despite antiplatelet therapy, this patient still
suffered symptoms of recurrent stroke, so the
procedural options were prompted.
CEA was performed on the 3rd day after
admission
Postoperative carotid artery CT-angiography (CTA) indicated patency of the left
ICA, and he was discharged with single antiplatelet (aspirin) and statin therapy.
After one year doing carotid color doppler which shows normal flow and
patency in artery.
OUTLINE:
•WHAT IS CAROTID WEB
•PREVALENCE
•DIAGNOSIS
•TREATMENT AND PROGNOSIS
ETIOLOGICAL CLASSIFICATION OF SYMPTOMATIC CAROTD DISEASE
ATHEROSCLEROTIC
<50%
Symptomatic
nonstenotic
50-99%
Near occlusion
Carotid
occlusion
symptomatic
stenosis
ETIOLOGICAL CLASSIFICATION OF SYMPTOMATIC CAROTD DISEASE
NONATHEROSCLEROTIC
CAROTID
DISSECTION
CAROTID WEB
FIBROMUSCULAR
DYSPLASIA
RADIATION
INDUCED
CAROTID WEB
•SHELF LIKE PROJECTION INTO THE CAROTID LUMEN
•FROM THE POSTERIOR OR POSTEROLATERAL WALL OF
CAROTID BULB
•NON ATHEROSCLEROTIC
 Considered Developmental In Origin
 ?Focal Intimal Form Of FMD
1st Described In 1973 On Carotid Angiography In 4
Patients (7000 Patients) During 8 Yrs At Massachusetts
General Hospital.
During The Following Decades, Carotid Web Research
Has Developed
Incidence In Ischemic Stroke Is About 1.2%
Mac Grory et al., 2021 , Compagne et al., 2018; Mac Grory et al.,
2021; El-Masri et al., 2023)
PREVALENCE
•UNCLEAR!
1% OF CONTROLS IN RETROSPECTIVE SERIES
NO POPULATION BASED IMAGING STUDY FOR OVERALL
PREVALENCE
•IN ONE STUDY , 1.2% (7 OF 576 PATIENTS) IDENTIFIED
RETROSPECTIVELY
Only Two Of 7 Had Stroke In Vascular Territory Of Carotid
Web
Coutinho JM et al, neurology:2017:88(1) 65-69
Choi PM :AJNR 2015 nov 36 (11)
SYMPTOMATIC WEB ARE LIKELY UNDERREPORTED
A. NO DIAGNOSTIC CRITERIA
B. DOPPLER IS NOT SENSITIVE
(MISSED OR MISLABELED AS MILD ATHEROMA)
C. MAY NOT BE APPRECIATED ON CERTAIN CT VIEWS
(LOOK AT AXIAL SAGGITAL AND CORONAL)
D. ETIOLOGICAL RELEVANCE IS ONLY RECENTLY RAISED
Coutinho JM et al, neurology:2017:88(1) 65-69
PATHOLOGY
Recognition is key !
Maintain a high index of suspician
Web Could Have Superimposed Thrombi
Web Could Have Superimposed Thrombi
Web Could Have Superimposed Thrombi
Carotid web and nonstenosing plaque can co exist
Differntial for carotid web
Calcified atherosclerotic
plaque
Carotid artery embolism Carotid artery dissection
Carotid web diagnosis by the classic appearance on CTA, which shows a thin intraluminal
filling defect along the posterior wall of the carotid bulb on an oblique sagittal section and a
corresponding septum on axial images (arrow).
H. Hu et al. AJNR Am J Neuroradiol 2019;40:313-318
©2019 by American Society of Neuroradiology
DIAGNOSIS : MR ANGIOGRAPHY
GOLD STANDARD
SCREENING FOR FMD
Sarashidze et al, 2022 carotid web phenotype is uncommonly associated with a
classical FMD, a retrospective observational study: STROKE
Benson et al, 2021,Prevalence of cervical artery anomalies on CTA in patients with
spontaneous carotid artery dissection, FMD, and tortuosity: AJNR 42, 1497-1502
CAROTID
ENDARTERECTOMY
CAROTID
ARTERY
STENTING
A Systematic Literature Review of Patients With Carotid Web and
Acute Ischemic Stroke2018 Dec;49(12):2872-2876
Treatment And Prognosis Of Carotid Web
•symptomatic 289 CaW patients
•151 (52.2%) - INTERVENTION
• carotid artery stenting in 87
•carotid endarterectomy in 64
•138 (47.8%) - MEDICAL MANAGEMENT
•antiplatelet therapy in 80.4% and anticoagulants in 11.6%
Interventional compared with medical management of
symptomatic carotid web: A systematic review
Published:august 20, 2022 : Journal Of Stroke And Cerebrovascular
Diaease
In Intervention no recurrent ischemic events were observed over follow-up
range of 3–60 months and major periprocedural complications occurred in
1/151 (0.5%)
In medical management over a follow-up of 2–55 months, the recurrence
cerebral ischemia rate was 26.8%
Systemic review suggests that for symptomatic CaW disease, carotid
revascularization with either stenting or endarterectomy may be a safe and
effective option in addition to standard medical therapy.
References:
1. Interventional compared with medical management of symptomatic
carotid web: A systematic review vol. 31,issue 10 october 2022 :
Journal Of Stroke And Cerebrovascular Diaease
2. AHA/ASA GUIDELINE 2021
3. A Systematic Literature Review of Patients With Carotid Web and
Acute Ischemic Stroke2018 Dec;49(12):2872-2876
4. Systematic review and meta-analysis of ipsilateral and contralateral
carotid web prevalence in embolic supratentorial strokes of
undetermined source
https://www.sciencedirect.com/journal/journal-of-clinical-
neuroscience
5. Coutinho JM et al, neurology:2017:88(1) 65-69
6. Choi PM :AJNR 2015 nov 36 (11)
7. H. Hu et al. AJNR Am J Neuroradiol 2019;40:313-318
8. Sarashidze et al, 2022 carotid web phenotype is uncommonly
associated with a classical FMD, a retrospective observational study:
STROKE
THANK YOU

CAROTID WEB.pptx

  • 1.
    DR. VIJAY PRAKASHHAWA SR NEUROLOGY GOVT MEDICAL COLLEGE KOTA APPROACH TO CAROTID WEB
  • 2.
    A 42-yr OldMale Patient Was Admitted With Repeated Dizziness And Right- sided Weakness For More Than 3 Months • P/W Sudden Onset Dizziness And Visual Rotation, Accompanied By Acute Weakness Of The Right Limbs At That Time, Cerebral Hemorrhage Was Ruled Out By Emergency Head CT Scan Medical History Was Untreated Hypertension Thrombolytic Therapy Was Performed Emergently With Alteplase
  • 3.
    DSA of thewhole brain showed a short segment of linear filling defect in the proximal left internal carotid artery (ICA), which revealed >90% stenosis at the left ICA bulb and delayed blood flow of the anterior cerebral artery
  • 4.
     5 dayslater, pt underwent head MRI, which revealed acute left cerebral infarction. Then pt discharged on optimal medical therapy with aspirin(100 mg),clopidogrel(75 mg), rosuvastatin(10 mg).  3 months after discharge, the pt repeatedly felt dizzy, accompanied by symptoms of intermittent weakness and numbness mainly in the distal part of the right upper limb. After admission, the workup was negative for thrombophilia and vasculitis. Echocardiography and electrocardiography were performed and atrial fibrillation was ruled out.
  • 5.
    first considered nonatheroscleroticcauses, e.g., carotid dissection or CaW, for this middle-aged man with no history of atherosclerosis. Despite antiplatelet therapy, this patient still suffered symptoms of recurrent stroke, so the procedural options were prompted. CEA was performed on the 3rd day after admission
  • 6.
    Postoperative carotid arteryCT-angiography (CTA) indicated patency of the left ICA, and he was discharged with single antiplatelet (aspirin) and statin therapy.
  • 7.
    After one yeardoing carotid color doppler which shows normal flow and patency in artery.
  • 8.
    OUTLINE: •WHAT IS CAROTIDWEB •PREVALENCE •DIAGNOSIS •TREATMENT AND PROGNOSIS
  • 9.
    ETIOLOGICAL CLASSIFICATION OFSYMPTOMATIC CAROTD DISEASE ATHEROSCLEROTIC <50% Symptomatic nonstenotic 50-99% Near occlusion Carotid occlusion symptomatic stenosis
  • 10.
    ETIOLOGICAL CLASSIFICATION OFSYMPTOMATIC CAROTD DISEASE NONATHEROSCLEROTIC CAROTID DISSECTION CAROTID WEB FIBROMUSCULAR DYSPLASIA RADIATION INDUCED
  • 11.
    CAROTID WEB •SHELF LIKEPROJECTION INTO THE CAROTID LUMEN •FROM THE POSTERIOR OR POSTEROLATERAL WALL OF CAROTID BULB •NON ATHEROSCLEROTIC  Considered Developmental In Origin  ?Focal Intimal Form Of FMD
  • 12.
    1st Described In1973 On Carotid Angiography In 4 Patients (7000 Patients) During 8 Yrs At Massachusetts General Hospital. During The Following Decades, Carotid Web Research Has Developed Incidence In Ischemic Stroke Is About 1.2% Mac Grory et al., 2021 , Compagne et al., 2018; Mac Grory et al., 2021; El-Masri et al., 2023)
  • 13.
    PREVALENCE •UNCLEAR! 1% OF CONTROLSIN RETROSPECTIVE SERIES NO POPULATION BASED IMAGING STUDY FOR OVERALL PREVALENCE •IN ONE STUDY , 1.2% (7 OF 576 PATIENTS) IDENTIFIED RETROSPECTIVELY Only Two Of 7 Had Stroke In Vascular Territory Of Carotid Web Coutinho JM et al, neurology:2017:88(1) 65-69 Choi PM :AJNR 2015 nov 36 (11)
  • 14.
    SYMPTOMATIC WEB ARELIKELY UNDERREPORTED A. NO DIAGNOSTIC CRITERIA B. DOPPLER IS NOT SENSITIVE (MISSED OR MISLABELED AS MILD ATHEROMA) C. MAY NOT BE APPRECIATED ON CERTAIN CT VIEWS (LOOK AT AXIAL SAGGITAL AND CORONAL) D. ETIOLOGICAL RELEVANCE IS ONLY RECENTLY RAISED Coutinho JM et al, neurology:2017:88(1) 65-69
  • 15.
  • 17.
    Recognition is key! Maintain a high index of suspician
  • 19.
    Web Could HaveSuperimposed Thrombi
  • 20.
    Web Could HaveSuperimposed Thrombi
  • 21.
    Web Could HaveSuperimposed Thrombi
  • 23.
    Carotid web andnonstenosing plaque can co exist
  • 24.
    Differntial for carotidweb Calcified atherosclerotic plaque Carotid artery embolism Carotid artery dissection
  • 26.
    Carotid web diagnosisby the classic appearance on CTA, which shows a thin intraluminal filling defect along the posterior wall of the carotid bulb on an oblique sagittal section and a corresponding septum on axial images (arrow). H. Hu et al. AJNR Am J Neuroradiol 2019;40:313-318 ©2019 by American Society of Neuroradiology
  • 27.
    DIAGNOSIS : MRANGIOGRAPHY
  • 28.
  • 29.
    SCREENING FOR FMD Sarashidzeet al, 2022 carotid web phenotype is uncommonly associated with a classical FMD, a retrospective observational study: STROKE
  • 30.
    Benson et al,2021,Prevalence of cervical artery anomalies on CTA in patients with spontaneous carotid artery dissection, FMD, and tortuosity: AJNR 42, 1497-1502
  • 33.
  • 34.
  • 35.
    A Systematic LiteratureReview of Patients With Carotid Web and Acute Ischemic Stroke2018 Dec;49(12):2872-2876 Treatment And Prognosis Of Carotid Web
  • 36.
    •symptomatic 289 CaWpatients •151 (52.2%) - INTERVENTION • carotid artery stenting in 87 •carotid endarterectomy in 64 •138 (47.8%) - MEDICAL MANAGEMENT •antiplatelet therapy in 80.4% and anticoagulants in 11.6% Interventional compared with medical management of symptomatic carotid web: A systematic review Published:august 20, 2022 : Journal Of Stroke And Cerebrovascular Diaease
  • 37.
    In Intervention norecurrent ischemic events were observed over follow-up range of 3–60 months and major periprocedural complications occurred in 1/151 (0.5%) In medical management over a follow-up of 2–55 months, the recurrence cerebral ischemia rate was 26.8% Systemic review suggests that for symptomatic CaW disease, carotid revascularization with either stenting or endarterectomy may be a safe and effective option in addition to standard medical therapy.
  • 38.
    References: 1. Interventional comparedwith medical management of symptomatic carotid web: A systematic review vol. 31,issue 10 october 2022 : Journal Of Stroke And Cerebrovascular Diaease 2. AHA/ASA GUIDELINE 2021 3. A Systematic Literature Review of Patients With Carotid Web and Acute Ischemic Stroke2018 Dec;49(12):2872-2876 4. Systematic review and meta-analysis of ipsilateral and contralateral carotid web prevalence in embolic supratentorial strokes of undetermined source https://www.sciencedirect.com/journal/journal-of-clinical- neuroscience 5. Coutinho JM et al, neurology:2017:88(1) 65-69 6. Choi PM :AJNR 2015 nov 36 (11) 7. H. Hu et al. AJNR Am J Neuroradiol 2019;40:313-318 8. Sarashidze et al, 2022 carotid web phenotype is uncommonly associated with a classical FMD, a retrospective observational study: STROKE
  • 39.