HIRCHSPRUNG’S DISEASE 
DEPARTMENT OF PAEDIATRIC 
SURGERY 
(Presenter: DR BenHarris (MD
Introduction 
• A.k,a Congenital aganglionic megacolon 
• Discovered by Harald Hirchsprang (1886( 
• Is a condition that affects GIT and usually causes problems with passing 
stool. 
• Present when a baby is born (congenital( and results from missing nerve 
cells in the muscles of part or all of the baby’s colon. 
• most common cause of lower intestinal obstruction in neonates. 
• Familial tendency 
• Risk factors; 
- +ve family hx, 
- being male, 
- having other inherited conditions (heart problems, Down sydrome(
Incidence 
• 15000 live birth newborn 
• 70-80% is boys. 
• (M / F. 4: 1 ( 
• Total colonic aganglionosis, 35% girls 
• 3-5% have Down’s sydrome 
• Less common in blacks. 
• >95% cases are full term babies 
• Prematurity is reported in as many as 10% of those children with HD 
• Familial tendency (Dominant pattern of inheritance(
EMBRIYOLOGY 
During normal fetal development cells from 
neural crest migrate into the large intestine to 
form the network of nerves called 
Auerbach’s plexus (Muscularis externa( and 
(Meissner’s plexus ( submucosa 
Occurs in the end of first trimester- 
Lack of these nerves causes failure of - 
. relaxation of the involved part of the colon 
Also supplied by sympathetic nerves, and - 
(intrinsic component (enteric nervous system
HD, due to failure of neural crest cells to migrate 
caudally 
Aganglionosis begins at anorectal line 
(internal anal sphincter ( 
extend only up to rectosigmoid junction 80% 
(Short segment( 
extend proximal to splenic flexure 10% 
involves the entire colon and part of small bowel 10% 
Rarely involves entire gastrointestinal tract
Types 
1. Congenital : 
Commonest 
2. Acquired : 
Degeneration of the ganglions may occur due to: 
-Vascular causes like after pullthrough procedure due to 
ischemia & tension. 
- Non vascular causes like 
Trypanosoma (chaga's disease(. 
Vit B1 def. 
Chronic infection ( TB.(.
Causes 
No clear cause identified- 
Due to mutations in one of several genes- 
(RET proto-oncogene locus10q11.2 (most common 
EDNRB, locus 13q22 >endothelin receptor type B 
EDN3, locus 20q13.2-q13.3 >endothelin 3 
RET gene 
Provides instructions for producing a protein that is involved in - 
signalling within cells,essential for the normal development of 
(several kinds of nerve cells (cells of the neural crest 
Ass with thyroid cancer and neuroblastoma - 
EDNRB, EDN3 > coded proteins helps to connect the nerve 
cells to to the digestive tract 
Other: Nueregulin 3(NRG3( > formation of enteric nervous sytem 
.
PATHOPHYSIOLOGY 
• The gross pathologic feature of HD is a dilated proximal intestine with gradual or abrupt transition 
to normal calibrated distal intestine . . 
• The colon proximal to the aganglionic segment, in an effort to overcome the partial obstruction, 
becomes distended and its wall markedly thickened because of muscle hypertrophy 
• The degree of hypertrophy and dilatation depends upon the duration and degree of obstruction 
and thus, indirectly to the age of the patient. 
• TZ is typically funnel like or cone shaped
ASSOCIATED ANOMALIES 
HD is usually a solitary anomaly in a full term, otherwise healthy infant 
Associated anomalies do occur in nearly 20% of cases 
• urogenital system (11%) 
• cardiovascular system (6%) 
• gastrointestinal system (6%), 
• with 8% having various other malformations 
Ass sydromes: 
Waardenburg-Shah sydrome 
Trisomy 21 occurs in approximately 5% of cases 
Mowat-Wilson sydrome, 
Goldberg-Shpritez megacolon sydrome, and 
Congenital central hypoventilation sydrome. 
MEN2 (Multiple endocrine neoplasia)
Waardeberg syndrome 
An inherited auotosomal dominant disorder 
hearing loss- 
Pigmented anomalies affecting the eyes, - 
hair, skin and various defects of neural 
crest derived tissues
:Four variants 
Types 1-4 
Type 1: common cause of genetic deafness- 
)Type 4:( ass with Hirchsprung’s disease-
Signs n symptoms 
In newborns 
-Failure to pass muconium 
-Abd distension 
-Vomiting (bilious) 
-Constipation or gas 
-Diarrhoea 
In older children 
-Chronic constipation 
-abd distension 
-failure to gain weight (growth retardation)
COMPLICATIONS 
Neonatal Intestinal obstruction 
-bilious vomiting, 
-abdominal distension 
-failure to pass muconium 
Recurrent Enterocolitis 
mainly in the 1st three months of life. 
-fever, 
-lethargy, 
-anorexia, 
-vomiting, 
-abd distenon and 
-diarrhoea 
Tx: antibiotics, antpyretics, fluids 
Spontanous perforation occurs in 3%, specially if long segment aganglionosis. 
Chronic constipation 
Growth retardation 
Volvulus.
Diagnosis 
History 
Failure to pass meconium, 
painless abdominal distension & 
constipation 
Physical examinations 
Distended abdomen 
Multiple fecal masses on abdominal examination 
On DRE: 
• Anal sphincter is hypertonic 
• Rectal ampulla is typically empty. 
• Hard fecal mass. 
• Gash of air apon withdrawal of finger
Investigations 
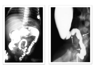
Radiology 
1. Plain x-rays of the abdomen :Erect & supine 
2. Contrast enema 
– contrast enema should be done without preparation 
of bowel 
– Shows narrow distal segment, 
– funnel-shaped dilatation at level of transition zone 
with marked dilatation of the proximal colon. 
24-hrs delayed films 
(child with psychogenic stool holding)
Electromanometry . 
– The classic finding is the absence of the recto anal inhibitory 
reflex when the rectum is distended. 
(Lack of internal anal sphincter relaxation in response to rectal 
stretch), balooning 
– not useful in neonate 
– excellent screening tool in infant & children 
Rectal biopsy : 
– Definitive diagnostic test 
– demonstrates absence of ganglion cells, 
– nerve hypertrophy and 
– stains indicating increased acetylcholinesterase activity. 
suction mucosal biopsy (at different levels ), can be done without anesthesia 
full thickness biopsy is done under general anesthesia. 
UltraSonography: for associated anomalies.
:Management 
• Acute I.O. , 
– NGT , 
– NPO 
– IVF , 
– Antibiotics , 
– Rectal tube irrigations . 
– The initial treatment requires performing a colostomy. 
( multiple seromuscular biopsies) 
Note: The colostomy is placed above the transition zone. 
– Placement in an area of aganglionosis will lead to persistent obstruction 
– Definitive treatment will be planned. 
• Chronic constipation : 
– Laxative 
– Saline enema. 
– Work up to establish the diagnosis 
– Definitive treatment will be planned
:Definitive procedures 
By the age of 6-12 months; 9kg or more), a formal pull-through procedure is done 
1. Open surgery : 
There are many surgical options for Pull-through operation. 
All aiming at resection of aganglionic segment 
They give excellent result in 90%. 
a.swenson. 
b.soave. 
c.Rehbein. 
d.Duhamel. 
e. Boley's.
Swenson Procedure 
Sharp extrarectal dissection down 
to 2 cm above the anal canal 
Aganglionic colonic segment 
resected 
End-to-end anastamosis of normal 
proximal colon to anal canal 
Completely removes defective 
aganglionic colon
Duhamel Procedure 
Posterior portion of defective colon 
segment resected 
Side to side anastamosis to left 
over portion of rectum 
Constipation a major problem d/t 
remaining aganglionic tissue 
Simpler operation, less dissection
Soave Procedure 
Circumferential cut through 
muscular coat of colon at peritoneal 
reflection 
Mucosa separated from the 
muscular coat down to the anal 
canal 
Proximal normal colon is pulled 
through retained muscular sleeve 
Telescoping anastamosis of normal 
colon to anal canal 
Advantage: rectal intramural dissection 
ensures no damage to pelvic neural 
structures 
Higher rate enterocolitis, diarrhoea, often 
requires repeated dilations
2. LAPAROSCOPY . 
Transanal endorectal pullthrough 
Excised aganglionic tissues removed through anal - 
canal 
no abdominal incision- 
Better results in terms of pain, return of bowel - 
function, shortens hospital stay 
Similar incidence of leaks, pelvic abscesses, - 
.enterocolitis
One vs Two Stage procedure 
,Historically 
Two stage procedure performed: 
preliminary colostomy, then completion 
pull through 
Delicate muscular sphincters of newborn - 
may be injured 
1980s, 1 stage procedures became more 
popular
Comparison by complications 
Early complications: No difference in incidence 
of anastomotic leak, pelvic infection, 
prolonged ileus, wound infection, wound 
dehiscence 
Late complications: No difference in incidence 
of anastomonic stricture, late obstruction, 
constipation, incontinence, urgency 
Postoperative enterocolitis higher in 1 
(stage (42% vs 22%
COMPLICATIONS 
1. anastomotic leak. 
2. stricture . 
3. retraction of the colon. 
4. fecal incontinence (soiling/encopresis/paradoxical 
diarrhoea (. 
5. persistant constipation. 
NOTE: 
-Afebrile Dirrhoea soon after pullthrough is 
expected 
-Fluid and observation, Avoid antemetics
Distinguishing features between childhood functional 
constipation and Hirschsprung’s disease 
Feature Functional Constipation Hirschsprung’s Disease 
Onset years 2-3 At birth 
Delayed passage of meconium Rare Common 
Obstructive symptoms Rare Common 
Withholding behavior Common Rare 
Fear of defecation Common Rare 
Fear of incontinence Common Rare 
Stool size Very large Small, ribbon-like 
Poor growth Rare Common 
Enterocolitis Never Possible 
Rectal ampulla Enlarged Narrowed 
Stool in ampulla Common Rare 
Barium enema Lg amount of stools, 
no transitional zone 
Transitional zone, delayed 
emptying 
Anorectal manometry Normal Absent rectosphincteric refl ex 
Rectal biopsy Normal No ganglion cells, nerve hypertrophy 
and increase acetylcholinesterase 
activity
THANKS

Hirchsprang's disease

  • 1.
    HIRCHSPRUNG’S DISEASE DEPARTMENTOF PAEDIATRIC SURGERY (Presenter: DR BenHarris (MD
  • 2.
    Introduction • A.k,aCongenital aganglionic megacolon • Discovered by Harald Hirchsprang (1886( • Is a condition that affects GIT and usually causes problems with passing stool. • Present when a baby is born (congenital( and results from missing nerve cells in the muscles of part or all of the baby’s colon. • most common cause of lower intestinal obstruction in neonates. • Familial tendency • Risk factors; - +ve family hx, - being male, - having other inherited conditions (heart problems, Down sydrome(
  • 3.
    Incidence • 15000live birth newborn • 70-80% is boys. • (M / F. 4: 1 ( • Total colonic aganglionosis, 35% girls • 3-5% have Down’s sydrome • Less common in blacks. • >95% cases are full term babies • Prematurity is reported in as many as 10% of those children with HD • Familial tendency (Dominant pattern of inheritance(
  • 4.
    EMBRIYOLOGY During normalfetal development cells from neural crest migrate into the large intestine to form the network of nerves called Auerbach’s plexus (Muscularis externa( and (Meissner’s plexus ( submucosa Occurs in the end of first trimester- Lack of these nerves causes failure of - . relaxation of the involved part of the colon Also supplied by sympathetic nerves, and - (intrinsic component (enteric nervous system
  • 5.
    HD, due tofailure of neural crest cells to migrate caudally Aganglionosis begins at anorectal line (internal anal sphincter ( extend only up to rectosigmoid junction 80% (Short segment( extend proximal to splenic flexure 10% involves the entire colon and part of small bowel 10% Rarely involves entire gastrointestinal tract
  • 6.
    Types 1. Congenital: Commonest 2. Acquired : Degeneration of the ganglions may occur due to: -Vascular causes like after pullthrough procedure due to ischemia & tension. - Non vascular causes like Trypanosoma (chaga's disease(. Vit B1 def. Chronic infection ( TB.(.
  • 7.
    Causes No clearcause identified- Due to mutations in one of several genes- (RET proto-oncogene locus10q11.2 (most common EDNRB, locus 13q22 >endothelin receptor type B EDN3, locus 20q13.2-q13.3 >endothelin 3 RET gene Provides instructions for producing a protein that is involved in - signalling within cells,essential for the normal development of (several kinds of nerve cells (cells of the neural crest Ass with thyroid cancer and neuroblastoma - EDNRB, EDN3 > coded proteins helps to connect the nerve cells to to the digestive tract Other: Nueregulin 3(NRG3( > formation of enteric nervous sytem .
  • 8.
    PATHOPHYSIOLOGY • Thegross pathologic feature of HD is a dilated proximal intestine with gradual or abrupt transition to normal calibrated distal intestine . . • The colon proximal to the aganglionic segment, in an effort to overcome the partial obstruction, becomes distended and its wall markedly thickened because of muscle hypertrophy • The degree of hypertrophy and dilatation depends upon the duration and degree of obstruction and thus, indirectly to the age of the patient. • TZ is typically funnel like or cone shaped
  • 9.
    ASSOCIATED ANOMALIES HDis usually a solitary anomaly in a full term, otherwise healthy infant Associated anomalies do occur in nearly 20% of cases • urogenital system (11%) • cardiovascular system (6%) • gastrointestinal system (6%), • with 8% having various other malformations Ass sydromes: Waardenburg-Shah sydrome Trisomy 21 occurs in approximately 5% of cases Mowat-Wilson sydrome, Goldberg-Shpritez megacolon sydrome, and Congenital central hypoventilation sydrome. MEN2 (Multiple endocrine neoplasia)
  • 10.
    Waardeberg syndrome Aninherited auotosomal dominant disorder hearing loss- Pigmented anomalies affecting the eyes, - hair, skin and various defects of neural crest derived tissues
  • 11.
    :Four variants Types1-4 Type 1: common cause of genetic deafness- )Type 4:( ass with Hirchsprung’s disease-
  • 12.
    Signs n symptoms In newborns -Failure to pass muconium -Abd distension -Vomiting (bilious) -Constipation or gas -Diarrhoea In older children -Chronic constipation -abd distension -failure to gain weight (growth retardation)
  • 13.
    COMPLICATIONS Neonatal Intestinalobstruction -bilious vomiting, -abdominal distension -failure to pass muconium Recurrent Enterocolitis mainly in the 1st three months of life. -fever, -lethargy, -anorexia, -vomiting, -abd distenon and -diarrhoea Tx: antibiotics, antpyretics, fluids Spontanous perforation occurs in 3%, specially if long segment aganglionosis. Chronic constipation Growth retardation Volvulus.
  • 14.
    Diagnosis History Failureto pass meconium, painless abdominal distension & constipation Physical examinations Distended abdomen Multiple fecal masses on abdominal examination On DRE: • Anal sphincter is hypertonic • Rectal ampulla is typically empty. • Hard fecal mass. • Gash of air apon withdrawal of finger
  • 15.
    Investigations Radiology 1.Plain x-rays of the abdomen :Erect & supine 2. Contrast enema – contrast enema should be done without preparation of bowel – Shows narrow distal segment, – funnel-shaped dilatation at level of transition zone with marked dilatation of the proximal colon. 24-hrs delayed films (child with psychogenic stool holding)
  • 18.
    Electromanometry . –The classic finding is the absence of the recto anal inhibitory reflex when the rectum is distended. (Lack of internal anal sphincter relaxation in response to rectal stretch), balooning – not useful in neonate – excellent screening tool in infant & children Rectal biopsy : – Definitive diagnostic test – demonstrates absence of ganglion cells, – nerve hypertrophy and – stains indicating increased acetylcholinesterase activity. suction mucosal biopsy (at different levels ), can be done without anesthesia full thickness biopsy is done under general anesthesia. UltraSonography: for associated anomalies.
  • 19.
    :Management • AcuteI.O. , – NGT , – NPO – IVF , – Antibiotics , – Rectal tube irrigations . – The initial treatment requires performing a colostomy. ( multiple seromuscular biopsies) Note: The colostomy is placed above the transition zone. – Placement in an area of aganglionosis will lead to persistent obstruction – Definitive treatment will be planned. • Chronic constipation : – Laxative – Saline enema. – Work up to establish the diagnosis – Definitive treatment will be planned
  • 20.
    :Definitive procedures Bythe age of 6-12 months; 9kg or more), a formal pull-through procedure is done 1. Open surgery : There are many surgical options for Pull-through operation. All aiming at resection of aganglionic segment They give excellent result in 90%. a.swenson. b.soave. c.Rehbein. d.Duhamel. e. Boley's.
  • 21.
    Swenson Procedure Sharpextrarectal dissection down to 2 cm above the anal canal Aganglionic colonic segment resected End-to-end anastamosis of normal proximal colon to anal canal Completely removes defective aganglionic colon
  • 22.
    Duhamel Procedure Posteriorportion of defective colon segment resected Side to side anastamosis to left over portion of rectum Constipation a major problem d/t remaining aganglionic tissue Simpler operation, less dissection
  • 23.
    Soave Procedure Circumferentialcut through muscular coat of colon at peritoneal reflection Mucosa separated from the muscular coat down to the anal canal Proximal normal colon is pulled through retained muscular sleeve Telescoping anastamosis of normal colon to anal canal Advantage: rectal intramural dissection ensures no damage to pelvic neural structures Higher rate enterocolitis, diarrhoea, often requires repeated dilations
  • 24.
    2. LAPAROSCOPY . Transanal endorectal pullthrough Excised aganglionic tissues removed through anal - canal no abdominal incision- Better results in terms of pain, return of bowel - function, shortens hospital stay Similar incidence of leaks, pelvic abscesses, - .enterocolitis
  • 25.
    One vs TwoStage procedure ,Historically Two stage procedure performed: preliminary colostomy, then completion pull through Delicate muscular sphincters of newborn - may be injured 1980s, 1 stage procedures became more popular
  • 26.
    Comparison by complications Early complications: No difference in incidence of anastomotic leak, pelvic infection, prolonged ileus, wound infection, wound dehiscence Late complications: No difference in incidence of anastomonic stricture, late obstruction, constipation, incontinence, urgency Postoperative enterocolitis higher in 1 (stage (42% vs 22%
  • 27.
    COMPLICATIONS 1. anastomoticleak. 2. stricture . 3. retraction of the colon. 4. fecal incontinence (soiling/encopresis/paradoxical diarrhoea (. 5. persistant constipation. NOTE: -Afebrile Dirrhoea soon after pullthrough is expected -Fluid and observation, Avoid antemetics
  • 28.
    Distinguishing features betweenchildhood functional constipation and Hirschsprung’s disease Feature Functional Constipation Hirschsprung’s Disease Onset years 2-3 At birth Delayed passage of meconium Rare Common Obstructive symptoms Rare Common Withholding behavior Common Rare Fear of defecation Common Rare Fear of incontinence Common Rare Stool size Very large Small, ribbon-like Poor growth Rare Common Enterocolitis Never Possible Rectal ampulla Enlarged Narrowed Stool in ampulla Common Rare Barium enema Lg amount of stools, no transitional zone Transitional zone, delayed emptying Anorectal manometry Normal Absent rectosphincteric refl ex Rectal biopsy Normal No ganglion cells, nerve hypertrophy and increase acetylcholinesterase activity
  • 29.