Heart Failure
Update 2012
John Hakim, MD, FACC
Southern Maryland
Hospital
Food for thought
Outlineof CHF Talk.
 Definition
 Pathophysiology
 Medical Treatment
 Mechanical Treatment
 Device Treatment
 Transplantation Option
 Future Hopes and Dreams
Definition of Heart Failure
• HF is a complex clinical syndrome
that can result from any structural
or functional cardiac disorder that
impairs the ability of the ventricle to
fill with or eject blood.
 In systolic heart failure the dominant feature is a
reduction in cardiac output
 In diastolic heart failure the dominant feature is
impaired filling of the left ventricle.
Heart Failure is a Major and Growing
Public Health Problem in the U.S.
Approximately 5 million patients in this
country have HF
Over 550,000 patients are diagnosed with HF
for the first time each year
Primary reason for 12 to 15 million office
visits and 6.5 million hospital days each year
In 2001, nearly 53,000 patients died of HF as
a primary cause
Heart failure is a major cause of
Hospitalization
Heart Failure is Primarily a
Condition of the Elderly
The incidence of HF approaches 10 per
1000 population after age 65
HF is the most common Medicare
diagnosis-related group
More dollars are spent for the diagnosis
and treatment of HF than any other
diagnosis by Medicare
New York Heart Association
Classification.
 Class I Physical activity is not limited and does
not cause significant fatigue, heart
palpitations, trouble breathing, or chest pain.
 Class II Physical activity is somewhat limited.
You are comfortable at rest, but ordinary activity
causes fatigue, heart palpitations, trouble
breathing, or chest pain.
 Class III Physical activity is markedly limited.
You are comfortable at rest, but less-than-
ordinary activities cause fatigue, heart
palpitations, trouble breathing, or chest pain.
 Class IV All physical activity causes discomfort.
Symptoms also are present at rest. Minor
physical activity always makes symptoms worse.
Prognosis
 Class IV has 30 to 70% annual
mortality
 Class III has 10 to 20% annual
mortality
 Class II has 5 to 10% annual
mortality
Character of Heart failure
Signs and symptoms of intravascular
and interstitial volume
overload, including shortness of
breath, rales, and edema
Manifestations of inadequate tissue
perfusion, such as impaired exercise
tolerance, fatigue, and renal
dysfunction.
Right Sided Heart failure
 Fluid retention without dyspnea or
rales.
 Often associated with weight
gain, dilation of the right ventricle.
 The focus of this talk is Chronic Left
Sided Heart failure.
Types of Left sided Heart failure
 Systolic dysfunction- reduced LV ejection
fraction.
 Diastolic dysfunction- increased
ventricular stiffness or impaired
myocardial relaxation. Often with
preserved LV ejection fraction.
 Physiologic states where the heart cannot
compensate for increased circulation or
metabolic requirements. (Regurgitatant
valvular disease, intra cardiac
shunts, disorders of heart rate or rhythm.)
Causes of CHF
Structural abnormalities (congenital or acquired)
that affect the peripheral and coronary arterial
circulation, pericardium, myocardium, or cardiac
valves, thus leading to the increased
hemodynamic burden or myocardial or coronary
insufficiency responsible for heart failure;
Fundamental causes, comprising the biochemical
and physiological mechanisms, through which
either an increased hemodynamic burden or a
reduction in oxygen delivery to the myocardium
results in impairment of myocardial contraction;
and
Etiology of Heart failure
 Any condition that causes myocardial
necrosis or chronic pressure or
volume overload can cause CHF.
 Hypertension is a factor in 75% of
patients.
Classical Symptoms of Heart Failure
 Fatigue or inability to exercise well; having less energy, feeling more
tired than usual;
 Dyspnea at rest or exertion.
 Paroxysmal nocturnal dyspnea shortness of breath while sleeping or
that wakes you at night
 Orthopnea-Shortness of breath while lying down, gets worse when you lie flat
 Cough – can be wet or dry, with crackles, and usually worse with lying
down.
 Weight gain
• Swelling in the feet or ankles, usually worse at the end of the day or
after standing for long periods; shoes may no longer fit.
• Sometimes edma is painful but usually pressure indents the skin
• Abdominal swelling with decreased appetite and decreased muscle
strenght (Cardiac Chachectia)
• Abdominal distention (Ascites) usually a sign of right heart failure.
 Urination
• frequent urination, usually at night. Increased urination (Due to high
BNP)
Signs of heart failure
 Exertional dyspnea
 Orthopnea
 Gallup sounds
 Lung Crepitations
 Pulmonary edema
 Edema
Acute Heart Failure Symptoms
 Caused by rapid fluid buildup in the
lungs (congestion, pulmonary
edema). Symptoms develop
suddenly and may include:
 Severe shortness of breath.
 An irregular or rapid heartbeat.
 Coughing up foamy, pink mucus.
COMMON CAUSES OF
SYSTOLIC FAILURE
 Ischemic Heart disease and Prior MI account for
2/3 of systolic heart failure
 Essential Hypertension is a major cause of
ischemic and non ischemic systolic heart failure
 Hypertension increases afterload and accelerates
the progression of heart failure. HTN causes
chronic pressure overload.
 Other causes of Non ischemic heart failure are
genetic diseases, Toxic/drug induced, Immune
mediated, infiltrative process, Metabolic disorders
All-cause Mortality vs LVEF (Median 29%)
Survival
Probability
Time (days)
LVEF<30%
LVEF≥30%*
*p=0.005 vs
LVEF<30%
Cause of Systolic Heart failure
Acquired vs Genetic Causes
• Acquired Causes
• Hypertension
• Diabetes
• Dyslipidemia
• Valvular heart disease
• Coronary or peripheral vascular
disease
• Myopathy
• Rheumatic fever
• Mediastinal irradiation
• Sleep Apnea
• Exposure to cardiotoxic agents
(Adrianomycin, Danaurubicin, Em
brel)
• Current and past alcohol
consumption
• Smoking
• Collagen vascular disease
• Exposure to sexually transmitted
diseases
• Thyroid disorder
• Pheochromocytoma
• Obesity
 Genetic Causes
 Predisposition to
atherosclerotic disease or
Valvular disease
 (Hx of MIs, strokes, PAD)
 Sudden cardiac death
 Myopathy
 Conduction system disease
(need for pacemaker)
 Tachyarrhythmia
 Cardiomyopathy
(unexplained HF)
 Skeletal Myopathy
Complications of Chronic Heart
failure
 An irregular heartbeat leading to
death (VT)
 A stroke leading to death
 A heart attack leading to death
 Deep vein thrombosis
 Pulmonary embolism
 Anemia
 Cognitive impairment
 Mitral valve regurgitation
Common test ordered in CHF
medical history and a physical exam.
Lab tests
Electrocardiogram
Chest X-ray.
Echocardiogram
Brain natriuretic peptide (BNP)/ TSH/
 Nuclear stress test/MUGA
 Cardiac catheterization.
Diastolic Heart Failure
DIASTOLIC HEART FAILURE
 Patients with symptoms and signs of Heart
Failure with normal systolic function and
diastolic dysfunction.
• 30 to 50% of patients with Heart failure
symptoms have normal LV systolic function.
• Abnormal LV filling and elevated filling
pressures.
• Usually due to Impaired relaxation of the LV
and increased stiffness of the cardiac muscle.
 Most prevalent in patients over 75 years
old.
Copyright ©2000 BMJ Publishing Group Ltd.
Jackson, G et al. BMJ 2000;320:167-170
Hypertrophic Cardiomyopathy
Pathogenesis of Diastolic Heart
Failure
 Pathologic Myocardial hypertrophy
• HTN, Hypertrophic Cardiomyopathy
 Aging
 Ischemic fibrosis
 Restrictive Cardiomyopathy
• Infiltrative disorders (Amyloid, Sarcoid)
• Storage Diseases (Hemochromatosis)
 Endomyocardial disorders
 Valvular heart disease
• (obstructive or regurgitation)
DIASTOLIC HEART FAILURE
usually due to Hemodynamic stress
 Patients with diastolic heart failure do not
tolerate hemodynamic stress well
 Atrial fibrillation causes loss of atrial contraction
and often leads to Diastolic CHF
 Tachycardia shortens diastole and leads to CHF
 Elevation in BP worsens myocardial relaxation
 Ischemia worsens diastolic function raising
LA and PA pressures. (This is why ischemia
causes SOB)
 Aortic Stenosis causes worsening diastolic
function.
Diastolic CHF
All treatments are empiric(No trial data)
 2005 ACC/AHA guidelines supports 4
treatments of diastolic CHF
• Control of systolic and diastolic HTN
• Control of atrial rate in patients with A
fib
• Control of pulmonary congestion and
edema with diuretics
• Coronary revascularization of patients
with CAD, where ischemia causes worse
diastolic function.
Diastolic Heart Failure often presents with
Acute Pulmonary Edema
 Treatment
• Loop diuretics (furosemide)
 Both immediate action to dilate pulmonary
arteries and longer action to diurese
• Afterload Reduction
 Nitrates
 Morphine
 Ace inhibitors (Captopril, enalapril, etc)
Systolic Heart Failure
The ballooning of the Heart
Heart Failure Pathophysiology (the whole body participates)
Neurohormonal activation
Decreased cardiac output activates
many neuro-hormonal compensatory
systems that in the short term act to
preserve circulatory hemostasis and
maintain arterial pressure.
When in excess these systems play a
role in worsening of CHF
Medical Treatment of Systolic Heart Failure
What Improves Survival
 ACE inhibitors
 Beta Blockers
 Spironolactone (Aldactone)
/Eplenrone (Inspira)
 -Hydralazine and Nitrates (V-Heft)
 Angiotensin Receptor Blockers (ARB)
 Device Therapy (AICD)
DIURETICS
Sodium and Water retention are the
hallmark of CHF and diuretics are
mandatory treatment for patients with
pulmonary or Peripheral edema.
Patients with CHF should be encouraged to
weigh themselves daily and seek advice if
a weigh gain of more than 1.5kg in 24 hrs
Why give ACE inhibitors?
Directics activate the Renin Angiotensis
system and should be given in
combination with and ACE inhibitor.
Correction of fluid overload with diuretics
should be undertaken before starting an
ACE inhibitor.
Adding an ACE inhibitor to a patient on high
dose diuretic may result in significant first
dose hypotension.
ACE-INHIBITORS
ACE inhibitors relieve symptoms, reduce
hospitalizations and improve survival in
patients with systolic and diastolic heart
failure and should be used regardless of
the severity of CHF.
Patients with the lowest EF derive the
greatest benefits from ACE inhibitors.
The evidence that ACE inhibitors improve
survival and symptomatic wellbeing is
incontrovertible.
Beta Blocker- Why do they work
In heart failure, the nervous system is over
stimulated. Norepinephrine levels rise.
Increased levels of circulating
norepinephrine cause heart remodeling
and arrhythmias.
High levels of norepinephrine are directly
toxic to heart cells and increase risk of
death.
Beta Blockers – block the toxic effect of
nervous system over stimulation and
norepinephrine.
Normal
The Normal Heart is a 1-Organ That
Functions in a 1 -Environment
1
1
1 2
1
1
2
1
1
1
1 11
Normal Heart failure
Heart Failure Converts the Circulation
From a 1- to a 1/ 2 / 1- Environment
1
1
1 2
1
1
2
1
1
1
1 11
2
1
1 1
2
1
1
1
2
2
1 21 2
1
1
NE NE
NE
Cardiac cell toxicity
Carvedilol
1 2 1
Metoprolol
Cofactors
[123I]mIBG Planar Imaging for Cardiac Assessment
Normal innervation NHYA Class II NYHA Class IV
Quantitation of cardiac uptake of [123I]mIBG expressed in terms
of the ratio of counts/pixel between regions of interest (ROIs)
drawn around the heart (H) and in the upper mediastinum (M),
the H/M ratio.
H/M ratio: 2.2 1.7
Results of Direct Comparison Trials with
Metoprolol and Carvedilol in CHF Patients
LV Ejection
Fraction (%)
0
+2
+4
+6
+8
+10
+12
Metoprolol
(n=123)
Carvedilol
(n=125)
Packer M et al. Am Heart J 2001;141(6):899-907
P = 0.009
BETA-BLOCKERS
 BETA-BLOCKERS inhibit the adverse
effects of chronic activation of the
sympathetic nervous system acting
on the myocardium
 Patients with minimal symptoms
(NYHA 2) derive little symptomatic
benefit from beta blockers.
BETA-BLOCKERS
Beta-BLOCKERS approved for the
management of CHF are:
Carvedilol, Metoprolol and bisoprolol.
 All three drugs have been shown to
prolong survival but they are not the
same.
Primary Argument Supporting the Belief
That Only 1 -Blockade is Important
Mortality results in earlier large-scale trials
MERIT-HF (metoprolol) 34% in risk
CIBIS-2 (bisoprolol) 34% in risk
COPERNICUS (carvedilol) 35% in risk
0.60 0.80 1.00
-blocker
better
-blocker
worse
- only
32 Post-Infarction
Trials (n=26,580)
Usual
antisympathetic blockade
0.60 0.80 1.00
-blocker
better
-blocker
worse
- only
-blockers
with ISA
32 Post-Infarction
Trials (n=26,580)
Less than usual
antisympathetic blockade
Usual
antisympathetic blockade
-1 + -2
and/or -1
0.60 0.80 1.00
-blocker
better
-blocker
worse
- only
-blockers
with ISA
32 Post-Infarction
Trials (n=26,580)
More than usual
antisympathetic blockade
Less than usual
antisympathetic blockade
Usual
antisympathetic blockade
-1 + -2
and/or -1
0.60 0.80 1.00
-blocker
better
-blocker
worse
- only
-blockers
with ISA
= 13%
32 Post-Infarction
Trials (n=26,580)
-1 + -2
and/or -1
0.60 0.80 1.00
-blocker
better
-blocker
worse
0.50 0.75 1.00
-blocker
better
-blocker
worse
- only
-blockers
with ISA
= 13%
32 Post-Infarction
Trials (n=26,580)
27 Heart Failure
Trials (n=15,851)
1.25
-1 + -2
and/or -1
0.60 0.80 1.00
-blocker
better
-blocker
worse
0.50 0.75 1.00
-blocker
better
-blocker
worse
- only
-blockers
with ISA
= 13% = 13%
32 Post-Infarction
Trials (n=26,580)
27 Heart Failure
Trials (n=15,851)
1.25
Metoprolol
(selective blockade)
Carvedilol
(comprehensive
blockade)
Baseline
1020 deaths
COMET Study Design
3029 pts
class II-III CHF
LVEF < 35%
Metoprolol
tartrate
Carvedilol
3.125 mg BID
Baseline
6.25 mg BID
12.5 mg BID
1020 deaths
COMET Study Design
5 mg BID
12.5 mg BID
25 mg BID
3029 pts
class II-III CHF
LVEF < 35%
25 mg BID
50 mg BID
Packer M et al. Am Heart J. 2001;141:884–888.
+ 12
+ 6
0
– 6
– 12
– 18
– 24
P=.009 P=.072
LV Ejection
Fraction (%)
LV End-Diastolic
Volume (mL/m2)
+ 12
+ 10
+ 8
+ 6
+ 4
+ 2
0
Metoprolol (n=123)
Carvedilol (n=125)
Mean duration 8.75 mos
Comparison of Carvedilol With
Metoprolol on LV Function
COMET
(Carvedilol or Metoprolol European Trial)
 Compares comprehensive 1-, 2-, 1-blockade
with carvedilol to 1-selective blockade with
metoprolol tartrate
 Prespecified end points: all-cause
mortality, combined risk of all-cause mortality
and hospitalization
 More than 3000 patients with class II–IV heart
failure due to ischemic or nonischemic
Cardiomyopathy
• With over 1020 events, COMET is the largest
trial ever conducted in heart failure
 Intended follow-up was at least 3.5 years
• 10,000 patient-years makes COMET the longest trial
ever conducted in heart failure
Poole-Wilson PA et al. Eur J Heart Fail. 2002;4:321–329.
Randomized
(No run-in phase)
3029 patients with stable heart failure, New York Heart Association
Class II–IV, receiving standard treatment including ACE inhibitors
Time to 1020 deaths
Estimated to be 4 to 6 years
Screening Titration to
maximum
tolerated
or target dose
(Start: carvedilol 3.125 mg bid, metoprolol tartrate 5 mg bid)
Assessments every 4 months
during maintenance phase
(n 1500) Metoprolol 50 mg bid
(n 1500) Carvedilol 25 mg bid
Poole-Wilson PA et al. Eur J Heart Fail. 2002;4:321–329. Poole-Wilson PA et al. Lancet. 2003;362:7–13.
COMET Study Design
Time (years)
PercentageMortality(%)
0
10
20
30
40
0 1 2 3 4 5
Relative
risk
95% CI P value
Carvedilol vs
Metoprolol
0.83 0.74–0.93 .0017
Metoprolol
Carvedilol
Effect of Carvedilol vs
Metoprolol on Mortality
Poole-Wilson PA et al. Lancet. 2003;362:7–13.
17%
Risk reduction
COMET: Median Survival
Carvedilol 8.0 years
Metoprolol 6.6 years
Carvedilol prolonged median survival by 1.4
years beyond that achieved with metoprolol
Assuming constant hazard
Poole-Wilson PA et al. Lancet. 2003;362:7–13.
EPHESUS TRIAL: Inspra
Spironolactone and Epelnerone
ALDOSTERONE RECEPTORS WITHIN
THE HEART MEDIATE
FIBROSIS, HYPERTROPHY AND
ARRHYTHMOGENESIS
 REDUCTION IN ALL CAUSE
MORTALITY AND SYMPTOMATIC
RELIEF IN PATIENTS WITH
ADVANCED CHF AT DOSES
25MGM/DAY
Spironolactone and Epelnerone
 HYPERKALAEMIA,PARTICULARLY WHEN
USED WITH ACE-INHIBITORS/ATRAs
 IN PATIENTS WITH IMPAIRED RENAL
FUNCTION.MONITORING OF POTASSIUM
LEVELS ESSENTIAL
 USED IN COMBINATION WITH
ACEINHIBITOR,LOOP DIURETIC +/-
DIGOXIN
Digoxin
 BLOCKAGE OF THE SODIUMPOTASSIUM
ATPase PUMP RESULTS IN INCREASED
INOTROPIC RESPONSIVENESS
 THE DATA SUGGESTS THAT DIGOXIN HAS
NO INFLUENCE ON SURVIVAL BUT
REDUCES HOSPITALISATION AND
IMPROVED THE QUALITY OF LIFE OF
MANY PATIENTS
Heart Failure-Medical Treatment
 Digoxin improves Symptoms and
prevents hospitalizations in men but
not women.
 Niseritide (Natracor) induces diuresis
and improves symptoms but does
not improve longevity
 Amiodarone helps prevent arrythmic
events
Heart Failure Device Treatment
 Bi-Ventricular pacemaker helps
improve cardiac output and improves
symptoms sometimes.
 Automatic Implantable Defibrillator
improves survival in patients with EF
less than 35%. (Better than drug
therapy alone)
COMPANION: Secondary End
Point of All-cause Mortality
Bristow MR et al. Paper presented at American College of Cardiology. March 31, 2003; Chicago, Ill.
12-month
OPT Event Rate
(1-y) = 19.0%
P=.12, CRT vs OPT
P=.002, CRT-D vs OPT
12-month event rate reductions:
CRT = by 23.9%
CRT-D = by 43.4%
Any Death
%PatientsEvent-Free
Days from Randomization
0 120 240 360 480 600 720 840 960 1080
60
50
70
80
90
100
CRT = cardiac resynchronization therapy. CRT-D = cardiac resynchronization therapy plus implantable
cardioverter defibrillator. OPT = optimal drug therapy.
CRT-D
OPT
CRT
REMATCH-LVADs in Extremely Severe Heart
Failure
100
80
60
40
20
0
0000 6 12 18 24 30
No. at Risk
LV assist device
Medical therapy
68 18 22 11 5 1
61 27 11 4 3 0
Months
Survival(%)
Medical therapy
LV assist device
Rose EA. N Engl J Med. 2001;345:1435–1443.
People Don’t want and LVAD,
they want a Heart
Heart Transplant Waiting List
January 9th 2012
73 people Washington
DC metropolitan area
waiting for heart
transplant
3155 people In USA
waiting for heart
Transplant
2011, 1,760 patients on the heart
wait list received heart
transplants. That figure
represents a decrease from the
2,333 hearts transplanted in 2010
and the 2,211 in 2009.
Heart Transplantation
 There were 2,125 heart transplants performed in
the United States in 2005 and 2,016 in 2004.
 Each year thousands more adults would benefit
from a heart transplant if more donated hearts
were available.
 In the United States, 72.4 percent of heart
transplant patients are male; 70.0 percent are
white; 19.1 percent are ages 35-49 and 45.0
percent are ages 50-64.
 As of Aug. 11, 2006,the one-year survival rate
was 86.1 percent for males and 83.9 percent for
females; the three-year survival rate was
about 78.3 percent for males and 74.9 percent
for females. The five-year survival rate was 71.2
percent for males and 66.9 percent for females.
Markers of Heart Failure
 Identify Markers and we can better
treat the disease
 Albumin
 BNP
 Chest to HEART MIBG ratio- a marker for denervation of
the heart and loss of sympathic tone- assessment of
myocardial sympathetic innervation, as determined by the heart to
mediastinum (H/M) ratio on planar 123I-mIBG imaging as either
normal (>1.6) or abnormal (<1.6), for identifying HF subjects at
higher risk of experiencing an adverse cardiac event.
UACR= urinary albumin to creatinine ratio. Macroalbuminuria=UACR >25 mg/mmol.
Microalbuminuria=UACR 2.5–25.0 mg/mmol (men) or 3.5–25.0 mg/mmol (women).
*compared with normoalbuminuria (UACR<2.5 mg/mmol), n=1349
End point Microalbuminuria,
n=704*
Macroalbuminuria,
n=257*
Per 100-
mg/mmol
UACR
increment
CV death or HF
hospitalization
1.43 (1.21–1.69) 1.75 (1.39–2.20) 1.07
(1.00–1.14)
All-cause
mortality
1.62 (1.32–1.99) 1.76 (1.32–2·35) 1.08
(1.00–1.17)
HF
hospitalization
1.31 (1.07–1.59) 1.67 (1.28–2·17) 1.07
0.99–1.15)
Albumin excretion is prognostic marker in heart failure
(Analysis from CHARM Study)
Adjusted hazard ratios (95% CI) for clinical outcomes by degree of albuminuria (defined
by UACR with cut points and as continuous variable) in CHARM
Jackson CE et al. Lancet 2009; 374:543–550.
All-cause Mortality vs BNP (Median 140)
Survival
Probability
Time (days)
<Media
n*
Less
than
140
BNP
>Median
Greater
Than 140
BNP
*p<0.00001
H/M=0.96
Died at 8 mo
HF Progression
H/M=1.38
Died at 8 mo, SCD
(No ICD)
H/M=1.67
No event
1 2
Three Patients with NYHA Class II HF and LVEF
between 20 and 25%. Patient 1 has highly
elevated BNP (>1000). BNP in patients 2 and 3 is
normal (<100).
Based upon the results of ADMIRE-HF, 2-year cardiac
mortality risk for patient 1 is 10 times that of patient 3.
(IF your Chest to HEART MIBG ratio is greater than 1.6 you don’t die)
All-cause Mortality vs BNP (Median 140) & H/M
Time (days)
BNP>140
& H/M ≥1.60
BNP>140
& H/M<1.60*
BNP<140
& H/M<1.60
BNP<140
& H/M ≥1.60
Survival
Probability
*p=0.024 vs BNP>140 & H/M
≥1.60
Current and Future Therapies
 Drugs
 CHF disease
management
programs
 Resynchronizatin
therapy + ICD
 Renal
Denervation
 ultrafiltration does not
work if diuretic
resistant
 LVADs
• Total artificial heart
 Cardiac transplant
• (batista,cardiomyoplast
y & ―acorn‖ does not
work)
Early-stage Treatment Late-stage Treatment
Resynchronization therapy is an effective
early-stage therapy
Curing Heart failure by curing
hypertension- Denervating the
Kidney
Stem Cells trial Shows Promise
for Ischemic heart failure.
 -11/6/2012 AHA Encouraging two-year follow-up from the Stem
Cell Infusion in Patients with Ischemic
Cardiomyopathy (SCIPIO) trial
 -c-KIT-positive Ccardiac stem Cells in patients with left ventricular
dysfunction (LVEF <40%) following an MI. In the trial, the cells
were harvested from the patient's right atrial appendage, isolated
and expanded, and then infused to repair an infarction during
coronary bypass surgery.
 -Echocardiography showed the average LVEF in the 18 patients
treated with the CSC infusion increased from 29.0% before
infusion to 36.0% (p <0.001) four months after the procedure.
During that period, LVEF improved only from 29.2% to 29.4% in
13 control patients.
Balloon Pump to augment
Coronary Perfusion
eecp
EECP
 Reduced frequency or complete elimination
of angina symptoms.
 Better ability to exercise free from chest pain and
breathlessness.
 Decrease in need for anti-angina nitrate
medication
 Clinical tests show:
 Decreased exercise-induced signs of angina on
ECG (prolonged time to ST depression on exercise
stress testing)
 Increased blood supply to heart muscle ,
demonstrated by myocardial perfusion scan
techniques before and after EECP (Technetium
scan, Cardiovascular MRI, stress ECHO)
 Improvement of EF in some Patients.
Future Horizons and Pipe Dreams
 Heart Transplantation- A viable
option for a select few patients.
 Left Ventricular Assist devices and
the Artificial heart, are available
options and used mainly as a bridge
to transplant and not destination
therapy.
 Stem cell transplantation and
myocaridal cell imlantation have not
yet proven viable.
Worldwide REGISTRY DATABASE:
Number of Transplants Reported
ORGAN
Transplants Reported
from 7/1/2006 through
6/30/2007
Total Transplants
Reported through
6/30/2007
Heart 3,114 80,106
Heart-Lung 63 3,341
Lung 2,099 25,950
ISHLT 2008
J Heart Lung Transplant 2008;27: 937-983
The HeartMateII is a continuous flow cardiac assist device. Heart surgeon
"Bud" Frazier and his team are working with two such devices to develop
a continuous flow artificial heart. (Courtesy: Texas Heart® Institute)
Artificial Heart
Evidence-Based Treatment Across the
Continuum of Systolic LVD and HF
Control Volume Improve Clinical Outcomes
Diuretics
Renal Replacement
Therapy*
Digoxin
-BlockerACEI
or ARB
Aldosterone
Antagonist
or ARB
Treat Residual Symptoms
CRT
an ICD*
HDZN/ISDN*
*In selected patients
Drugs to avoid in heart failure
 NSAID – I buprophen( Advil, Motrin),
Naproxen ( Alieve, Naprosyn). Cox-2
inhibitors (Celebrex)
 The NSAID can cause kidney to
retain salt and water, and Interfere
with ACE/ARB class
 Use Acetemenphen Or Narcotics
instead for pain and aches.
Drugs to Avoid in CHF
 Anti-Arrhythmics in Class 1 ( Sodium
Blockers and Class 3 ( Potassium
Channel blockers)
 The only heart rhythm drugs safe in
Systolic dysfuction are Amiodarone
and Dofeditilide (Tikosyn)
Drugs to Avoid in CHF
 Avoid Non Dihydropyridine Calcium
Channel blockers.
 Non- dihydropridine Calcium Channel
blockers (Verapamil & Diltiazem)
decrease the strength of myocardial
contractility and decrease heart rate.
 Verapamil and Diltiazem can worsen
Heart failure and do not improve
survival.
1,5 Dihydropiridines are neutral in
Heart failure as Anti-hypertensives
 Amlodipine and Felodipine have not
been shown to decrease survival in
heart failure.
Kaplan–Meier Plots of the Time to the First Primary Event (Death or
Cardiovascular Morbidity) among 571 Patients with Chronic Heart Failure
Receiving Amlodipine and 582 Receiving Placebo.
Packer M et al. N Engl J Med 1996;335:1107-1114.
Drugs to Avoid In CHF
 Antacids that contain sodium (salt): To relieve heartburn or
indigestion.
 Why: Just like eating salty foods, sodium from medications can
cause your body to retain fluid, making swelling and shortness of
breath worse and raising blood pressure.
 Alternatives: Some companies produce low-sodium antacids.
Look at the ingredients list and warning statements to see if
sodium is listed (companies are required to put it on the label if
there are 5 mg or more of sodium per dose). If you are not sure,
ask your doctor or pharmacist.
 Other Drugs to Avoid
 Decongestants containing pseudoephedrine (such as Sudafed),
which can raise blood pressure and force the heart to work harder
 Alcohol and illicit drugs; they are a common cause of
hospitalization for heart failure
 Some nutritional supplements and growth hormone therapies (talk
to your doctor about any you are considering taking)
Other drugs to Avoid in Heart
failure
 Pain relievers called NSAIDs
 Ibuprofen, such as Advil and Motrin
 Naproxen, such as Aleve
 Aspirin, such as Bayer
• If your doctor has told you to take a low-dose aspirin every day for your heart
problems, it's probably okay to take it. Low-dose aspirin can help prevent blood clots
and may prevent a stroke or a heart attack.
• Higher doses of aspirin may make your heart failure worse. Do not take aspirin for
pain, such as from headaches or arthritis. Use acetaminophen, such as Tylenol,
instead.
 Pain relievers
 Celecoxib
 Etodolac
 Indomethacin
 Ibuprofen
 Ketoprofen
 Nabumetone
 Naproxen
 Piroxicam
 Sulindac
Drugs to Avoid in heart failure
 Cold, cough, flu, or sinus medicines
 Be sure to check the label. Do not take medicines that contain
pseudoephedrine, ephedrine, phenylephrine, or oxymetazoline, such as:
• Sudafed.
• Nose sprays (decongestants), such as Afrin and Dristan.
• Herbal remedies, such as ma huang and Herbalife.
 Make sure your cough and cold medicines don't contain aspirin or ibuprofen.
 Antiarrhythmics
 These are drugs used to treat a fast or uneven heart rhythm. You may need to
avoid the following:
• Disopyramide
• Dofetilide
• Flecainide
• Procainamide
• Propafenone
• Quinidine
• Sotalol
Drugs not to take with Heart
failure
 Antacids or laxatives that contain sodium
 Check the label for sodium or saline. Examples include:
• Antacids, such as Alka-Seltzer.
• Laxatives, such as Fleet Phospho-Soda.
 Calcium channel blockers
 People with a certain kind of heart failure may need to avoid the
following medicines:
• Diltiazem
• Verapamil
 If you need to take a calcium channel blocker for another health
problem, such as high blood pressure, your doctor will watch your
health carefully.
 Certain diabetes medicines
 Most diabetes drugs are safe to take, but you may need to avoid
the following:
• Metformin
• Rosiglitazone and pioglitazone1 ( Avandaia and ACTOS)
Biggest Myth: Vitamins prevent
CVD risk or heart failure risk.
 The largest, randomized, double-blind trial to date has confirmed
what smaller studies have suggested and what many physicians
have long believed: a daily multivitamin does not reduce the risk
of CVD
 Physcians Health Study II results presented at AHA Nov 2012
 PHS II launched in 1997, with a total of 14 641 US male
physicians, age 50 or older at the outset, randomized to different
vitamin arms or placebo. The other three arms of the study—
looking at beta-carotene, vitamin E, or vitamin C
 Over a median follow-up of 11.2 years, 1732 CV events occurred,
but the rate of events was no higher among men taking placebo
than those taking a daily multivitamin
Ultrafiltration- doesn’t work
 11/4/2012 AHA meeting- Ultrafiltration was associated with
worsening renal function and more severe adverse events
compared with optimum drug therapy in patients with acute
decompensated heart failure in the CARRESS-HF trial
 CARRESS-HF trial involved 188 patients with acute
decompensated heart failure with worsening renal failure who
were randomized to stepped pharmacological care or
ultrafiltration. The primary end point was change in serum
creatinine and change in weight (reflecting fluid offload) at 96
hours
 -similar weight loss occurred in both groups (average about
12 pounds), but while there was little change in creatinine
levels in the drug-treated group, there was a significant
increase in creatinine in the ultrafiltration group. There was no
difference between the two groups in death or hospitalization
for heart failure, but there were more severe adverse events
in the ultrafiltration group (72% vs 57%), mainly due to
kidney failure, Bleeding and and IV-catheter-related
complications.
What doesn’t Help
Aliskarin for dual ARB-Renin Blocade
 November 3, 2012 in the New England Journal of Medicine.
 Aliskiren Trial in Type 2 Diabetes Using Cardio-Renal
Endpoints (ALTITUDE) trial, testing Aliskiren (Tekturna, Novartis
Pharmaceuticals) as an adjunct to renin-angiotensin-aldosterone
system (RAAS) blockade.
 The drug not only failed to provide benefit to patients with type 2
diabetes at high risk of CV and renal events but may actually have
been harmful .
 In ALTITUDE, 8561 patients were randomly assigned to aliskiren
(n=4274) or placebo (n=4287) on a background of an ACE inhibitor
or ARB for approximately four years.
 The primary end point was a composite of CV death, resuscitation
from sudden death, nonfatal MI or stroke, unplanned hospitalization
for heart failure, ESRD or renal death, or a doubling of serum
creatinine for at least one month.
 There was no statistical difference in the primary end point between
the treatment groups, but the aliskiren group experienced more
adverse events, especially hyperkalemia and hypertension.
Neseritide- Doesn’t make a
difference
 ACC- 2010 - Acute Study of
Clinical Effectiveness of
Nesiritide in Decompensated
Heart Failure(ASCEND-HF), there
was "no evidence for a major
benefit" from nesiritide vs placebo
on top of standard care.
Primary results and renal-function safety end point in
ASCEND-HF, IV nesiritide in ADHF
ASCEND-HF-
End points Placebo (%), n=3511 Nesiritide (%), n=3496 p
30-d death/HF hospitalization* 10.1 9.4 0.31
•30-d death 4.0 3.6
•30-d HF rehospitalization 6.1 6.0
Dyspnea at 6 h* 42.1 44.5 0.030
•Moderately better 28.7 29.5
•Markedly better 13.4 15.0
Dyspnea at 24 h* 66.1 68.2 0.007
•Moderately better 38.6 37.8
•Markedly better 27.5 30.4
>25% decrease eGFR 29.5 31.4 0.11
a. *Co–primary end points
eGFR=estimated glomerular filtration
rate
Acute Study of Clinical Effectiveness of
Nesiritide in Decompensated Heart
Failure 11/4/2010 American Heart
Association
The End
Questions
HFSA 2010 Practice Guideline (3.2)
HF Risk Factor Treatment
Goals
Risk Factor Goal
Hypertension Generally < 130/80
Diabetes See ADA guidelines1
Hyperlipidemia See NCEP guidelines2
Inactivity 20-30 min. aerobic 3-5 x wk.
Obesity Weight reduction < 30 BMI
Alcohol Men ≤ 2 drinks/day, women ≤ 1
Smoking Cessation
Dietary Sodium Maximum 2-3 g/day
1Diabetes Care 2006; 29: S4-S42
2JAMA 2001; 285:2486-97
Adapted from:
Common precursors of chronic
heart failure
 •Coronary artery disease (for example, consequent
 upon acute myocardial infarction)
 •Chronic hypertension
 •Cardiomyopathy (for example, dilated,
 hypertrophic, alcoholic, and idiopathic)
 •Valve dysfunction (for example, diseases of the
 aortic and mitral valve)
 •Cardiac arrhythmias/conduction disturbance (for
 example, heart block and atrial fibrillation)
 •Pericardial disease (for example, constrictive
 pericarditis)
 •Infection (for example, rheumatic fever, Chagas
 disease, viral myocarditis, and HIV
History of Beta Blockade for CHF
 1993, The Metoprolol in Dilated
Cardiomyopathy Trial studied 383 patients
with class 2-3 CHF for 18 months. The
target dose of immediate-release
metoprolol was 100 to 150mg per day.
The metoprolol group showed reduced all-
cause mortality compared to the placebo
group, but the difference was small.
 The major benefit was in need for heart
transplant. Two metoprolol patients
needed a heart transplant but 19 in the
placebo group did. Metoprolol improved
EF, quality of life, and exercise capacity
compared to placebo
USING BETA BLOCKERS IN PATIENTS
WITH COMORBIDITIES
 􀂄 AFTER MI-USE IN ALL PATIENTS WITHOUT A
 CONTRAINDICATION
 􀂄 COPD IS NOT A CONTRAINDICATION
 UNLESS THERE IS SEVERE REACTIVE
 AIRWAYS DISEASE
 􀂄 PERIPHERAL VASCULAR DISEASE-USE
 LOWER DOSES OF METOPROLOL OR
 BISOPROLOL
 􀂄 DIABETIC PATIENTS DERIVE SIGNIFICANT
 BENEFIT-CARVEDILOL MAY BE PREFERRED
Digoxin
 􀂄 BLOOD LEVEL MONITORING REQUIRED
 􀂄 LEVELS FOR HEART FAILURE ARE USUALLY
 0.5-0.8NG/Ml FOR HEART FAILURE AND UP
 TO 2NG/ML FOR ATRIAL FIBRILLATION
 􀂄 DOSE DEPENDS ON DEGREE OF RENAL
 FUNCTION.
 􀂄 LOADING DOSES REQUIRED FOR MORE
 RAPID RESPONSE
 􀂄 MONITOR FOR NAUSEA AND VOMITING
 WHICH ARE OFTEN EARLY SIGNS OF
 TOXICITY
Treatment of Diastolic CHF
 APART FROM A FEW EXCEPTIONS
DATA FROM LONG TERM
INVESTIGATIONS OF ANY AGENT
COMPARED TO PLACEBO IN
PATIENTS WITH DIASTOLIC FAILURE
ARE LACKING
Diastolic CHF
 REDUCTION IN LFT VENTRICULAR FILLING
PRESSURES WITH THE USE OF DIURETICS
AND/OR NITRATES
 SLOWING OF THE HEART RATE WITH
BETABLOCKERS AND /OR RATE LIMITING
CALCIUM CHANNEL BLOCKERS SUCH AS
VERAPAMIL (WHICH IS GENERALLY
CONTRAINDICATED IN SYSTOLIC
FAILURE)
Diastolic CHF
 RECENT STUDY WITH CANDERSARTAN
IN PATIENTS WITH LVEF>40%
DEMONSTRATED A SIGNIFICANT
REDUCTION IN HOSPITALISATIONS
FOR HEART FAILURE. THERE WAS NO
SIGNIFIACNT DIFFERENCE IN THE RISK
OF STROKES OR MYOCARDIAL
INFARCTION
Predictors of Mortality Based on
Analysis of ADHERE Database
 Classification and Regression Tree (CART) analysis of
ADHERE data shows:
 Three variables are the strongest predictors of
mortality in hospitalized ADHF patients:
BUN > 43 mg/dL
Systolic blood pressure < 115 mmHg
Serum creatinine > 2.75 mg/dL
Fonarow GC et al. JAMA 2005;293:572-80

Heart failure update 2012

  • 1.
    Heart Failure Update 2012 JohnHakim, MD, FACC Southern Maryland Hospital Food for thought
  • 2.
    Outlineof CHF Talk. Definition  Pathophysiology  Medical Treatment  Mechanical Treatment  Device Treatment  Transplantation Option  Future Hopes and Dreams
  • 4.
    Definition of HeartFailure • HF is a complex clinical syndrome that can result from any structural or functional cardiac disorder that impairs the ability of the ventricle to fill with or eject blood.  In systolic heart failure the dominant feature is a reduction in cardiac output  In diastolic heart failure the dominant feature is impaired filling of the left ventricle.
  • 7.
    Heart Failure isa Major and Growing Public Health Problem in the U.S. Approximately 5 million patients in this country have HF Over 550,000 patients are diagnosed with HF for the first time each year Primary reason for 12 to 15 million office visits and 6.5 million hospital days each year In 2001, nearly 53,000 patients died of HF as a primary cause
  • 8.
    Heart failure isa major cause of Hospitalization
  • 9.
    Heart Failure isPrimarily a Condition of the Elderly The incidence of HF approaches 10 per 1000 population after age 65 HF is the most common Medicare diagnosis-related group More dollars are spent for the diagnosis and treatment of HF than any other diagnosis by Medicare
  • 10.
    New York HeartAssociation Classification.  Class I Physical activity is not limited and does not cause significant fatigue, heart palpitations, trouble breathing, or chest pain.  Class II Physical activity is somewhat limited. You are comfortable at rest, but ordinary activity causes fatigue, heart palpitations, trouble breathing, or chest pain.  Class III Physical activity is markedly limited. You are comfortable at rest, but less-than- ordinary activities cause fatigue, heart palpitations, trouble breathing, or chest pain.  Class IV All physical activity causes discomfort. Symptoms also are present at rest. Minor physical activity always makes symptoms worse.
  • 12.
    Prognosis  Class IVhas 30 to 70% annual mortality  Class III has 10 to 20% annual mortality  Class II has 5 to 10% annual mortality
  • 13.
    Character of Heartfailure Signs and symptoms of intravascular and interstitial volume overload, including shortness of breath, rales, and edema Manifestations of inadequate tissue perfusion, such as impaired exercise tolerance, fatigue, and renal dysfunction.
  • 16.
    Right Sided Heartfailure  Fluid retention without dyspnea or rales.  Often associated with weight gain, dilation of the right ventricle.  The focus of this talk is Chronic Left Sided Heart failure.
  • 18.
    Types of Leftsided Heart failure  Systolic dysfunction- reduced LV ejection fraction.  Diastolic dysfunction- increased ventricular stiffness or impaired myocardial relaxation. Often with preserved LV ejection fraction.  Physiologic states where the heart cannot compensate for increased circulation or metabolic requirements. (Regurgitatant valvular disease, intra cardiac shunts, disorders of heart rate or rhythm.)
  • 19.
    Causes of CHF Structuralabnormalities (congenital or acquired) that affect the peripheral and coronary arterial circulation, pericardium, myocardium, or cardiac valves, thus leading to the increased hemodynamic burden or myocardial or coronary insufficiency responsible for heart failure; Fundamental causes, comprising the biochemical and physiological mechanisms, through which either an increased hemodynamic burden or a reduction in oxygen delivery to the myocardium results in impairment of myocardial contraction; and
  • 20.
    Etiology of Heartfailure  Any condition that causes myocardial necrosis or chronic pressure or volume overload can cause CHF.  Hypertension is a factor in 75% of patients.
  • 21.
    Classical Symptoms ofHeart Failure  Fatigue or inability to exercise well; having less energy, feeling more tired than usual;  Dyspnea at rest or exertion.  Paroxysmal nocturnal dyspnea shortness of breath while sleeping or that wakes you at night  Orthopnea-Shortness of breath while lying down, gets worse when you lie flat  Cough – can be wet or dry, with crackles, and usually worse with lying down.  Weight gain • Swelling in the feet or ankles, usually worse at the end of the day or after standing for long periods; shoes may no longer fit. • Sometimes edma is painful but usually pressure indents the skin • Abdominal swelling with decreased appetite and decreased muscle strenght (Cardiac Chachectia) • Abdominal distention (Ascites) usually a sign of right heart failure.  Urination • frequent urination, usually at night. Increased urination (Due to high BNP)
  • 22.
    Signs of heartfailure  Exertional dyspnea  Orthopnea  Gallup sounds  Lung Crepitations  Pulmonary edema  Edema
  • 24.
    Acute Heart FailureSymptoms  Caused by rapid fluid buildup in the lungs (congestion, pulmonary edema). Symptoms develop suddenly and may include:  Severe shortness of breath.  An irregular or rapid heartbeat.  Coughing up foamy, pink mucus.
  • 25.
    COMMON CAUSES OF SYSTOLICFAILURE  Ischemic Heart disease and Prior MI account for 2/3 of systolic heart failure  Essential Hypertension is a major cause of ischemic and non ischemic systolic heart failure  Hypertension increases afterload and accelerates the progression of heart failure. HTN causes chronic pressure overload.  Other causes of Non ischemic heart failure are genetic diseases, Toxic/drug induced, Immune mediated, infiltrative process, Metabolic disorders
  • 27.
    All-cause Mortality vsLVEF (Median 29%) Survival Probability Time (days) LVEF<30% LVEF≥30%* *p=0.005 vs LVEF<30%
  • 28.
    Cause of SystolicHeart failure Acquired vs Genetic Causes • Acquired Causes • Hypertension • Diabetes • Dyslipidemia • Valvular heart disease • Coronary or peripheral vascular disease • Myopathy • Rheumatic fever • Mediastinal irradiation • Sleep Apnea • Exposure to cardiotoxic agents (Adrianomycin, Danaurubicin, Em brel) • Current and past alcohol consumption • Smoking • Collagen vascular disease • Exposure to sexually transmitted diseases • Thyroid disorder • Pheochromocytoma • Obesity  Genetic Causes  Predisposition to atherosclerotic disease or Valvular disease  (Hx of MIs, strokes, PAD)  Sudden cardiac death  Myopathy  Conduction system disease (need for pacemaker)  Tachyarrhythmia  Cardiomyopathy (unexplained HF)  Skeletal Myopathy
  • 29.
    Complications of ChronicHeart failure  An irregular heartbeat leading to death (VT)  A stroke leading to death  A heart attack leading to death  Deep vein thrombosis  Pulmonary embolism  Anemia  Cognitive impairment  Mitral valve regurgitation
  • 30.
    Common test orderedin CHF medical history and a physical exam. Lab tests Electrocardiogram Chest X-ray. Echocardiogram Brain natriuretic peptide (BNP)/ TSH/  Nuclear stress test/MUGA  Cardiac catheterization.
  • 31.
  • 32.
    DIASTOLIC HEART FAILURE Patients with symptoms and signs of Heart Failure with normal systolic function and diastolic dysfunction. • 30 to 50% of patients with Heart failure symptoms have normal LV systolic function. • Abnormal LV filling and elevated filling pressures. • Usually due to Impaired relaxation of the LV and increased stiffness of the cardiac muscle.  Most prevalent in patients over 75 years old.
  • 34.
    Copyright ©2000 BMJPublishing Group Ltd. Jackson, G et al. BMJ 2000;320:167-170 Hypertrophic Cardiomyopathy
  • 35.
    Pathogenesis of DiastolicHeart Failure  Pathologic Myocardial hypertrophy • HTN, Hypertrophic Cardiomyopathy  Aging  Ischemic fibrosis  Restrictive Cardiomyopathy • Infiltrative disorders (Amyloid, Sarcoid) • Storage Diseases (Hemochromatosis)  Endomyocardial disorders  Valvular heart disease • (obstructive or regurgitation)
  • 36.
    DIASTOLIC HEART FAILURE usuallydue to Hemodynamic stress  Patients with diastolic heart failure do not tolerate hemodynamic stress well  Atrial fibrillation causes loss of atrial contraction and often leads to Diastolic CHF  Tachycardia shortens diastole and leads to CHF  Elevation in BP worsens myocardial relaxation  Ischemia worsens diastolic function raising LA and PA pressures. (This is why ischemia causes SOB)  Aortic Stenosis causes worsening diastolic function.
  • 37.
    Diastolic CHF All treatmentsare empiric(No trial data)  2005 ACC/AHA guidelines supports 4 treatments of diastolic CHF • Control of systolic and diastolic HTN • Control of atrial rate in patients with A fib • Control of pulmonary congestion and edema with diuretics • Coronary revascularization of patients with CAD, where ischemia causes worse diastolic function.
  • 38.
    Diastolic Heart Failureoften presents with Acute Pulmonary Edema  Treatment • Loop diuretics (furosemide)  Both immediate action to dilate pulmonary arteries and longer action to diurese • Afterload Reduction  Nitrates  Morphine  Ace inhibitors (Captopril, enalapril, etc)
  • 39.
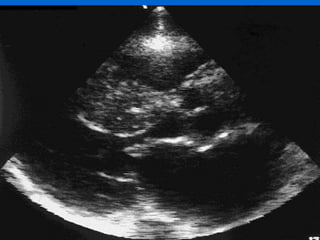
    Systolic Heart Failure Theballooning of the Heart
  • 41.
    Heart Failure Pathophysiology(the whole body participates)
  • 43.
    Neurohormonal activation Decreased cardiacoutput activates many neuro-hormonal compensatory systems that in the short term act to preserve circulatory hemostasis and maintain arterial pressure. When in excess these systems play a role in worsening of CHF
  • 45.
    Medical Treatment ofSystolic Heart Failure What Improves Survival  ACE inhibitors  Beta Blockers  Spironolactone (Aldactone) /Eplenrone (Inspira)  -Hydralazine and Nitrates (V-Heft)  Angiotensin Receptor Blockers (ARB)  Device Therapy (AICD)
  • 46.
    DIURETICS Sodium and Waterretention are the hallmark of CHF and diuretics are mandatory treatment for patients with pulmonary or Peripheral edema. Patients with CHF should be encouraged to weigh themselves daily and seek advice if a weigh gain of more than 1.5kg in 24 hrs
  • 47.
    Why give ACEinhibitors? Directics activate the Renin Angiotensis system and should be given in combination with and ACE inhibitor. Correction of fluid overload with diuretics should be undertaken before starting an ACE inhibitor. Adding an ACE inhibitor to a patient on high dose diuretic may result in significant first dose hypotension.
  • 48.
    ACE-INHIBITORS ACE inhibitors relievesymptoms, reduce hospitalizations and improve survival in patients with systolic and diastolic heart failure and should be used regardless of the severity of CHF. Patients with the lowest EF derive the greatest benefits from ACE inhibitors. The evidence that ACE inhibitors improve survival and symptomatic wellbeing is incontrovertible.
  • 49.
    Beta Blocker- Whydo they work In heart failure, the nervous system is over stimulated. Norepinephrine levels rise. Increased levels of circulating norepinephrine cause heart remodeling and arrhythmias. High levels of norepinephrine are directly toxic to heart cells and increase risk of death. Beta Blockers – block the toxic effect of nervous system over stimulation and norepinephrine.
  • 50.
    Normal The Normal Heartis a 1-Organ That Functions in a 1 -Environment 1 1 1 2 1 1 2 1 1 1 1 11
  • 51.
    Normal Heart failure HeartFailure Converts the Circulation From a 1- to a 1/ 2 / 1- Environment 1 1 1 2 1 1 2 1 1 1 1 11 2 1 1 1 2 1 1 1 2 2 1 21 2 1 1
  • 52.
    NE NE NE Cardiac celltoxicity Carvedilol 1 2 1 Metoprolol Cofactors
  • 53.
    [123I]mIBG Planar Imagingfor Cardiac Assessment Normal innervation NHYA Class II NYHA Class IV Quantitation of cardiac uptake of [123I]mIBG expressed in terms of the ratio of counts/pixel between regions of interest (ROIs) drawn around the heart (H) and in the upper mediastinum (M), the H/M ratio. H/M ratio: 2.2 1.7
  • 54.
    Results of DirectComparison Trials with Metoprolol and Carvedilol in CHF Patients LV Ejection Fraction (%) 0 +2 +4 +6 +8 +10 +12 Metoprolol (n=123) Carvedilol (n=125) Packer M et al. Am Heart J 2001;141(6):899-907 P = 0.009
  • 55.
    BETA-BLOCKERS  BETA-BLOCKERS inhibitthe adverse effects of chronic activation of the sympathetic nervous system acting on the myocardium  Patients with minimal symptoms (NYHA 2) derive little symptomatic benefit from beta blockers.
  • 56.
    BETA-BLOCKERS Beta-BLOCKERS approved forthe management of CHF are: Carvedilol, Metoprolol and bisoprolol.  All three drugs have been shown to prolong survival but they are not the same.
  • 57.
    Primary Argument Supportingthe Belief That Only 1 -Blockade is Important Mortality results in earlier large-scale trials MERIT-HF (metoprolol) 34% in risk CIBIS-2 (bisoprolol) 34% in risk COPERNICUS (carvedilol) 35% in risk
  • 58.
    0.60 0.80 1.00 -blocker better -blocker worse -only 32 Post-Infarction Trials (n=26,580) Usual antisympathetic blockade
  • 59.
    0.60 0.80 1.00 -blocker better -blocker worse -only -blockers with ISA 32 Post-Infarction Trials (n=26,580) Less than usual antisympathetic blockade Usual antisympathetic blockade
  • 60.
    -1 + -2 and/or-1 0.60 0.80 1.00 -blocker better -blocker worse - only -blockers with ISA 32 Post-Infarction Trials (n=26,580) More than usual antisympathetic blockade Less than usual antisympathetic blockade Usual antisympathetic blockade
  • 61.
    -1 + -2 and/or-1 0.60 0.80 1.00 -blocker better -blocker worse - only -blockers with ISA = 13% 32 Post-Infarction Trials (n=26,580)
  • 62.
    -1 + -2 and/or-1 0.60 0.80 1.00 -blocker better -blocker worse 0.50 0.75 1.00 -blocker better -blocker worse - only -blockers with ISA = 13% 32 Post-Infarction Trials (n=26,580) 27 Heart Failure Trials (n=15,851) 1.25
  • 63.
    -1 + -2 and/or-1 0.60 0.80 1.00 -blocker better -blocker worse 0.50 0.75 1.00 -blocker better -blocker worse - only -blockers with ISA = 13% = 13% 32 Post-Infarction Trials (n=26,580) 27 Heart Failure Trials (n=15,851) 1.25
  • 64.
  • 65.
    Metoprolol tartrate Carvedilol 3.125 mg BID Baseline 6.25mg BID 12.5 mg BID 1020 deaths COMET Study Design 5 mg BID 12.5 mg BID 25 mg BID 3029 pts class II-III CHF LVEF < 35% 25 mg BID 50 mg BID
  • 66.
    Packer M etal. Am Heart J. 2001;141:884–888. + 12 + 6 0 – 6 – 12 – 18 – 24 P=.009 P=.072 LV Ejection Fraction (%) LV End-Diastolic Volume (mL/m2) + 12 + 10 + 8 + 6 + 4 + 2 0 Metoprolol (n=123) Carvedilol (n=125) Mean duration 8.75 mos Comparison of Carvedilol With Metoprolol on LV Function
  • 67.
    COMET (Carvedilol or MetoprololEuropean Trial)  Compares comprehensive 1-, 2-, 1-blockade with carvedilol to 1-selective blockade with metoprolol tartrate  Prespecified end points: all-cause mortality, combined risk of all-cause mortality and hospitalization  More than 3000 patients with class II–IV heart failure due to ischemic or nonischemic Cardiomyopathy • With over 1020 events, COMET is the largest trial ever conducted in heart failure  Intended follow-up was at least 3.5 years • 10,000 patient-years makes COMET the longest trial ever conducted in heart failure Poole-Wilson PA et al. Eur J Heart Fail. 2002;4:321–329.
  • 68.
    Randomized (No run-in phase) 3029patients with stable heart failure, New York Heart Association Class II–IV, receiving standard treatment including ACE inhibitors Time to 1020 deaths Estimated to be 4 to 6 years Screening Titration to maximum tolerated or target dose (Start: carvedilol 3.125 mg bid, metoprolol tartrate 5 mg bid) Assessments every 4 months during maintenance phase (n 1500) Metoprolol 50 mg bid (n 1500) Carvedilol 25 mg bid Poole-Wilson PA et al. Eur J Heart Fail. 2002;4:321–329. Poole-Wilson PA et al. Lancet. 2003;362:7–13. COMET Study Design
  • 69.
    Time (years) PercentageMortality(%) 0 10 20 30 40 0 12 3 4 5 Relative risk 95% CI P value Carvedilol vs Metoprolol 0.83 0.74–0.93 .0017 Metoprolol Carvedilol Effect of Carvedilol vs Metoprolol on Mortality Poole-Wilson PA et al. Lancet. 2003;362:7–13. 17% Risk reduction
  • 70.
    COMET: Median Survival Carvedilol8.0 years Metoprolol 6.6 years Carvedilol prolonged median survival by 1.4 years beyond that achieved with metoprolol Assuming constant hazard Poole-Wilson PA et al. Lancet. 2003;362:7–13.
  • 72.
  • 73.
    Spironolactone and Epelnerone ALDOSTERONERECEPTORS WITHIN THE HEART MEDIATE FIBROSIS, HYPERTROPHY AND ARRHYTHMOGENESIS  REDUCTION IN ALL CAUSE MORTALITY AND SYMPTOMATIC RELIEF IN PATIENTS WITH ADVANCED CHF AT DOSES 25MGM/DAY
  • 74.
    Spironolactone and Epelnerone HYPERKALAEMIA,PARTICULARLY WHEN USED WITH ACE-INHIBITORS/ATRAs  IN PATIENTS WITH IMPAIRED RENAL FUNCTION.MONITORING OF POTASSIUM LEVELS ESSENTIAL  USED IN COMBINATION WITH ACEINHIBITOR,LOOP DIURETIC +/- DIGOXIN
  • 76.
    Digoxin  BLOCKAGE OFTHE SODIUMPOTASSIUM ATPase PUMP RESULTS IN INCREASED INOTROPIC RESPONSIVENESS  THE DATA SUGGESTS THAT DIGOXIN HAS NO INFLUENCE ON SURVIVAL BUT REDUCES HOSPITALISATION AND IMPROVED THE QUALITY OF LIFE OF MANY PATIENTS
  • 77.
    Heart Failure-Medical Treatment Digoxin improves Symptoms and prevents hospitalizations in men but not women.  Niseritide (Natracor) induces diuresis and improves symptoms but does not improve longevity  Amiodarone helps prevent arrythmic events
  • 78.
    Heart Failure DeviceTreatment  Bi-Ventricular pacemaker helps improve cardiac output and improves symptoms sometimes.  Automatic Implantable Defibrillator improves survival in patients with EF less than 35%. (Better than drug therapy alone)
  • 79.
    COMPANION: Secondary End Pointof All-cause Mortality Bristow MR et al. Paper presented at American College of Cardiology. March 31, 2003; Chicago, Ill. 12-month OPT Event Rate (1-y) = 19.0% P=.12, CRT vs OPT P=.002, CRT-D vs OPT 12-month event rate reductions: CRT = by 23.9% CRT-D = by 43.4% Any Death %PatientsEvent-Free Days from Randomization 0 120 240 360 480 600 720 840 960 1080 60 50 70 80 90 100 CRT = cardiac resynchronization therapy. CRT-D = cardiac resynchronization therapy plus implantable cardioverter defibrillator. OPT = optimal drug therapy. CRT-D OPT CRT
  • 80.
    REMATCH-LVADs in ExtremelySevere Heart Failure 100 80 60 40 20 0 0000 6 12 18 24 30 No. at Risk LV assist device Medical therapy 68 18 22 11 5 1 61 27 11 4 3 0 Months Survival(%) Medical therapy LV assist device Rose EA. N Engl J Med. 2001;345:1435–1443.
  • 81.
    People Don’t wantand LVAD, they want a Heart
  • 82.
    Heart Transplant WaitingList January 9th 2012 73 people Washington DC metropolitan area waiting for heart transplant 3155 people In USA waiting for heart Transplant 2011, 1,760 patients on the heart wait list received heart transplants. That figure represents a decrease from the 2,333 hearts transplanted in 2010 and the 2,211 in 2009.
  • 83.
    Heart Transplantation  Therewere 2,125 heart transplants performed in the United States in 2005 and 2,016 in 2004.  Each year thousands more adults would benefit from a heart transplant if more donated hearts were available.  In the United States, 72.4 percent of heart transplant patients are male; 70.0 percent are white; 19.1 percent are ages 35-49 and 45.0 percent are ages 50-64.  As of Aug. 11, 2006,the one-year survival rate was 86.1 percent for males and 83.9 percent for females; the three-year survival rate was about 78.3 percent for males and 74.9 percent for females. The five-year survival rate was 71.2 percent for males and 66.9 percent for females.
  • 84.
    Markers of HeartFailure  Identify Markers and we can better treat the disease  Albumin  BNP  Chest to HEART MIBG ratio- a marker for denervation of the heart and loss of sympathic tone- assessment of myocardial sympathetic innervation, as determined by the heart to mediastinum (H/M) ratio on planar 123I-mIBG imaging as either normal (>1.6) or abnormal (<1.6), for identifying HF subjects at higher risk of experiencing an adverse cardiac event.
  • 85.
    UACR= urinary albuminto creatinine ratio. Macroalbuminuria=UACR >25 mg/mmol. Microalbuminuria=UACR 2.5–25.0 mg/mmol (men) or 3.5–25.0 mg/mmol (women). *compared with normoalbuminuria (UACR<2.5 mg/mmol), n=1349 End point Microalbuminuria, n=704* Macroalbuminuria, n=257* Per 100- mg/mmol UACR increment CV death or HF hospitalization 1.43 (1.21–1.69) 1.75 (1.39–2.20) 1.07 (1.00–1.14) All-cause mortality 1.62 (1.32–1.99) 1.76 (1.32–2·35) 1.08 (1.00–1.17) HF hospitalization 1.31 (1.07–1.59) 1.67 (1.28–2·17) 1.07 0.99–1.15) Albumin excretion is prognostic marker in heart failure (Analysis from CHARM Study) Adjusted hazard ratios (95% CI) for clinical outcomes by degree of albuminuria (defined by UACR with cut points and as continuous variable) in CHARM Jackson CE et al. Lancet 2009; 374:543–550.
  • 86.
    All-cause Mortality vsBNP (Median 140) Survival Probability Time (days) <Media n* Less than 140 BNP >Median Greater Than 140 BNP *p<0.00001
  • 87.
    H/M=0.96 Died at 8mo HF Progression H/M=1.38 Died at 8 mo, SCD (No ICD) H/M=1.67 No event 1 2 Three Patients with NYHA Class II HF and LVEF between 20 and 25%. Patient 1 has highly elevated BNP (>1000). BNP in patients 2 and 3 is normal (<100). Based upon the results of ADMIRE-HF, 2-year cardiac mortality risk for patient 1 is 10 times that of patient 3. (IF your Chest to HEART MIBG ratio is greater than 1.6 you don’t die)
  • 88.
    All-cause Mortality vsBNP (Median 140) & H/M Time (days) BNP>140 & H/M ≥1.60 BNP>140 & H/M<1.60* BNP<140 & H/M<1.60 BNP<140 & H/M ≥1.60 Survival Probability *p=0.024 vs BNP>140 & H/M ≥1.60
  • 89.
    Current and FutureTherapies  Drugs  CHF disease management programs  Resynchronizatin therapy + ICD  Renal Denervation  ultrafiltration does not work if diuretic resistant  LVADs • Total artificial heart  Cardiac transplant • (batista,cardiomyoplast y & ―acorn‖ does not work) Early-stage Treatment Late-stage Treatment Resynchronization therapy is an effective early-stage therapy
  • 90.
    Curing Heart failureby curing hypertension- Denervating the Kidney
  • 92.
    Stem Cells trialShows Promise for Ischemic heart failure.  -11/6/2012 AHA Encouraging two-year follow-up from the Stem Cell Infusion in Patients with Ischemic Cardiomyopathy (SCIPIO) trial  -c-KIT-positive Ccardiac stem Cells in patients with left ventricular dysfunction (LVEF <40%) following an MI. In the trial, the cells were harvested from the patient's right atrial appendage, isolated and expanded, and then infused to repair an infarction during coronary bypass surgery.  -Echocardiography showed the average LVEF in the 18 patients treated with the CSC infusion increased from 29.0% before infusion to 36.0% (p <0.001) four months after the procedure. During that period, LVEF improved only from 29.2% to 29.4% in 13 control patients.
  • 93.
    Balloon Pump toaugment Coronary Perfusion
  • 94.
  • 95.
    EECP  Reduced frequencyor complete elimination of angina symptoms.  Better ability to exercise free from chest pain and breathlessness.  Decrease in need for anti-angina nitrate medication  Clinical tests show:  Decreased exercise-induced signs of angina on ECG (prolonged time to ST depression on exercise stress testing)  Increased blood supply to heart muscle , demonstrated by myocardial perfusion scan techniques before and after EECP (Technetium scan, Cardiovascular MRI, stress ECHO)  Improvement of EF in some Patients.
  • 96.
    Future Horizons andPipe Dreams  Heart Transplantation- A viable option for a select few patients.  Left Ventricular Assist devices and the Artificial heart, are available options and used mainly as a bridge to transplant and not destination therapy.  Stem cell transplantation and myocaridal cell imlantation have not yet proven viable.
  • 97.
    Worldwide REGISTRY DATABASE: Numberof Transplants Reported ORGAN Transplants Reported from 7/1/2006 through 6/30/2007 Total Transplants Reported through 6/30/2007 Heart 3,114 80,106 Heart-Lung 63 3,341 Lung 2,099 25,950 ISHLT 2008 J Heart Lung Transplant 2008;27: 937-983
  • 98.
    The HeartMateII isa continuous flow cardiac assist device. Heart surgeon "Bud" Frazier and his team are working with two such devices to develop a continuous flow artificial heart. (Courtesy: Texas Heart® Institute) Artificial Heart
  • 99.
    Evidence-Based Treatment Acrossthe Continuum of Systolic LVD and HF Control Volume Improve Clinical Outcomes Diuretics Renal Replacement Therapy* Digoxin -BlockerACEI or ARB Aldosterone Antagonist or ARB Treat Residual Symptoms CRT an ICD* HDZN/ISDN* *In selected patients
  • 100.
    Drugs to avoidin heart failure  NSAID – I buprophen( Advil, Motrin), Naproxen ( Alieve, Naprosyn). Cox-2 inhibitors (Celebrex)  The NSAID can cause kidney to retain salt and water, and Interfere with ACE/ARB class  Use Acetemenphen Or Narcotics instead for pain and aches.
  • 101.
    Drugs to Avoidin CHF  Anti-Arrhythmics in Class 1 ( Sodium Blockers and Class 3 ( Potassium Channel blockers)  The only heart rhythm drugs safe in Systolic dysfuction are Amiodarone and Dofeditilide (Tikosyn)
  • 102.
    Drugs to Avoidin CHF  Avoid Non Dihydropyridine Calcium Channel blockers.  Non- dihydropridine Calcium Channel blockers (Verapamil & Diltiazem) decrease the strength of myocardial contractility and decrease heart rate.  Verapamil and Diltiazem can worsen Heart failure and do not improve survival.
  • 103.
    1,5 Dihydropiridines areneutral in Heart failure as Anti-hypertensives  Amlodipine and Felodipine have not been shown to decrease survival in heart failure.
  • 104.
    Kaplan–Meier Plots ofthe Time to the First Primary Event (Death or Cardiovascular Morbidity) among 571 Patients with Chronic Heart Failure Receiving Amlodipine and 582 Receiving Placebo. Packer M et al. N Engl J Med 1996;335:1107-1114.
  • 106.
    Drugs to AvoidIn CHF  Antacids that contain sodium (salt): To relieve heartburn or indigestion.  Why: Just like eating salty foods, sodium from medications can cause your body to retain fluid, making swelling and shortness of breath worse and raising blood pressure.  Alternatives: Some companies produce low-sodium antacids. Look at the ingredients list and warning statements to see if sodium is listed (companies are required to put it on the label if there are 5 mg or more of sodium per dose). If you are not sure, ask your doctor or pharmacist.  Other Drugs to Avoid  Decongestants containing pseudoephedrine (such as Sudafed), which can raise blood pressure and force the heart to work harder  Alcohol and illicit drugs; they are a common cause of hospitalization for heart failure  Some nutritional supplements and growth hormone therapies (talk to your doctor about any you are considering taking)
  • 107.
    Other drugs toAvoid in Heart failure  Pain relievers called NSAIDs  Ibuprofen, such as Advil and Motrin  Naproxen, such as Aleve  Aspirin, such as Bayer • If your doctor has told you to take a low-dose aspirin every day for your heart problems, it's probably okay to take it. Low-dose aspirin can help prevent blood clots and may prevent a stroke or a heart attack. • Higher doses of aspirin may make your heart failure worse. Do not take aspirin for pain, such as from headaches or arthritis. Use acetaminophen, such as Tylenol, instead.  Pain relievers  Celecoxib  Etodolac  Indomethacin  Ibuprofen  Ketoprofen  Nabumetone  Naproxen  Piroxicam  Sulindac
  • 108.
    Drugs to Avoidin heart failure  Cold, cough, flu, or sinus medicines  Be sure to check the label. Do not take medicines that contain pseudoephedrine, ephedrine, phenylephrine, or oxymetazoline, such as: • Sudafed. • Nose sprays (decongestants), such as Afrin and Dristan. • Herbal remedies, such as ma huang and Herbalife.  Make sure your cough and cold medicines don't contain aspirin or ibuprofen.  Antiarrhythmics  These are drugs used to treat a fast or uneven heart rhythm. You may need to avoid the following: • Disopyramide • Dofetilide • Flecainide • Procainamide • Propafenone • Quinidine • Sotalol
  • 109.
    Drugs not totake with Heart failure  Antacids or laxatives that contain sodium  Check the label for sodium or saline. Examples include: • Antacids, such as Alka-Seltzer. • Laxatives, such as Fleet Phospho-Soda.  Calcium channel blockers  People with a certain kind of heart failure may need to avoid the following medicines: • Diltiazem • Verapamil  If you need to take a calcium channel blocker for another health problem, such as high blood pressure, your doctor will watch your health carefully.  Certain diabetes medicines  Most diabetes drugs are safe to take, but you may need to avoid the following: • Metformin • Rosiglitazone and pioglitazone1 ( Avandaia and ACTOS)
  • 110.
    Biggest Myth: Vitaminsprevent CVD risk or heart failure risk.  The largest, randomized, double-blind trial to date has confirmed what smaller studies have suggested and what many physicians have long believed: a daily multivitamin does not reduce the risk of CVD  Physcians Health Study II results presented at AHA Nov 2012  PHS II launched in 1997, with a total of 14 641 US male physicians, age 50 or older at the outset, randomized to different vitamin arms or placebo. The other three arms of the study— looking at beta-carotene, vitamin E, or vitamin C  Over a median follow-up of 11.2 years, 1732 CV events occurred, but the rate of events was no higher among men taking placebo than those taking a daily multivitamin
  • 111.
    Ultrafiltration- doesn’t work 11/4/2012 AHA meeting- Ultrafiltration was associated with worsening renal function and more severe adverse events compared with optimum drug therapy in patients with acute decompensated heart failure in the CARRESS-HF trial  CARRESS-HF trial involved 188 patients with acute decompensated heart failure with worsening renal failure who were randomized to stepped pharmacological care or ultrafiltration. The primary end point was change in serum creatinine and change in weight (reflecting fluid offload) at 96 hours  -similar weight loss occurred in both groups (average about 12 pounds), but while there was little change in creatinine levels in the drug-treated group, there was a significant increase in creatinine in the ultrafiltration group. There was no difference between the two groups in death or hospitalization for heart failure, but there were more severe adverse events in the ultrafiltration group (72% vs 57%), mainly due to kidney failure, Bleeding and and IV-catheter-related complications.
  • 113.
    What doesn’t Help Aliskarinfor dual ARB-Renin Blocade  November 3, 2012 in the New England Journal of Medicine.  Aliskiren Trial in Type 2 Diabetes Using Cardio-Renal Endpoints (ALTITUDE) trial, testing Aliskiren (Tekturna, Novartis Pharmaceuticals) as an adjunct to renin-angiotensin-aldosterone system (RAAS) blockade.  The drug not only failed to provide benefit to patients with type 2 diabetes at high risk of CV and renal events but may actually have been harmful .  In ALTITUDE, 8561 patients were randomly assigned to aliskiren (n=4274) or placebo (n=4287) on a background of an ACE inhibitor or ARB for approximately four years.  The primary end point was a composite of CV death, resuscitation from sudden death, nonfatal MI or stroke, unplanned hospitalization for heart failure, ESRD or renal death, or a doubling of serum creatinine for at least one month.  There was no statistical difference in the primary end point between the treatment groups, but the aliskiren group experienced more adverse events, especially hyperkalemia and hypertension.
  • 114.
    Neseritide- Doesn’t makea difference  ACC- 2010 - Acute Study of Clinical Effectiveness of Nesiritide in Decompensated Heart Failure(ASCEND-HF), there was "no evidence for a major benefit" from nesiritide vs placebo on top of standard care.
  • 115.
    Primary results andrenal-function safety end point in ASCEND-HF, IV nesiritide in ADHF ASCEND-HF- End points Placebo (%), n=3511 Nesiritide (%), n=3496 p 30-d death/HF hospitalization* 10.1 9.4 0.31 •30-d death 4.0 3.6 •30-d HF rehospitalization 6.1 6.0 Dyspnea at 6 h* 42.1 44.5 0.030 •Moderately better 28.7 29.5 •Markedly better 13.4 15.0 Dyspnea at 24 h* 66.1 68.2 0.007 •Moderately better 38.6 37.8 •Markedly better 27.5 30.4 >25% decrease eGFR 29.5 31.4 0.11 a. *Co–primary end points eGFR=estimated glomerular filtration rate Acute Study of Clinical Effectiveness of Nesiritide in Decompensated Heart Failure 11/4/2010 American Heart Association
  • 116.
  • 117.
    HFSA 2010 PracticeGuideline (3.2) HF Risk Factor Treatment Goals Risk Factor Goal Hypertension Generally < 130/80 Diabetes See ADA guidelines1 Hyperlipidemia See NCEP guidelines2 Inactivity 20-30 min. aerobic 3-5 x wk. Obesity Weight reduction < 30 BMI Alcohol Men ≤ 2 drinks/day, women ≤ 1 Smoking Cessation Dietary Sodium Maximum 2-3 g/day 1Diabetes Care 2006; 29: S4-S42 2JAMA 2001; 285:2486-97 Adapted from:
  • 124.
    Common precursors ofchronic heart failure  •Coronary artery disease (for example, consequent  upon acute myocardial infarction)  •Chronic hypertension  •Cardiomyopathy (for example, dilated,  hypertrophic, alcoholic, and idiopathic)  •Valve dysfunction (for example, diseases of the  aortic and mitral valve)  •Cardiac arrhythmias/conduction disturbance (for  example, heart block and atrial fibrillation)  •Pericardial disease (for example, constrictive  pericarditis)  •Infection (for example, rheumatic fever, Chagas  disease, viral myocarditis, and HIV
  • 127.
    History of BetaBlockade for CHF  1993, The Metoprolol in Dilated Cardiomyopathy Trial studied 383 patients with class 2-3 CHF for 18 months. The target dose of immediate-release metoprolol was 100 to 150mg per day. The metoprolol group showed reduced all- cause mortality compared to the placebo group, but the difference was small.  The major benefit was in need for heart transplant. Two metoprolol patients needed a heart transplant but 19 in the placebo group did. Metoprolol improved EF, quality of life, and exercise capacity compared to placebo
  • 128.
    USING BETA BLOCKERSIN PATIENTS WITH COMORBIDITIES  􀂄 AFTER MI-USE IN ALL PATIENTS WITHOUT A  CONTRAINDICATION  􀂄 COPD IS NOT A CONTRAINDICATION  UNLESS THERE IS SEVERE REACTIVE  AIRWAYS DISEASE  􀂄 PERIPHERAL VASCULAR DISEASE-USE  LOWER DOSES OF METOPROLOL OR  BISOPROLOL  􀂄 DIABETIC PATIENTS DERIVE SIGNIFICANT  BENEFIT-CARVEDILOL MAY BE PREFERRED
  • 129.
    Digoxin  􀂄 BLOODLEVEL MONITORING REQUIRED  􀂄 LEVELS FOR HEART FAILURE ARE USUALLY  0.5-0.8NG/Ml FOR HEART FAILURE AND UP  TO 2NG/ML FOR ATRIAL FIBRILLATION  􀂄 DOSE DEPENDS ON DEGREE OF RENAL  FUNCTION.  􀂄 LOADING DOSES REQUIRED FOR MORE  RAPID RESPONSE  􀂄 MONITOR FOR NAUSEA AND VOMITING  WHICH ARE OFTEN EARLY SIGNS OF  TOXICITY
  • 130.
    Treatment of DiastolicCHF  APART FROM A FEW EXCEPTIONS DATA FROM LONG TERM INVESTIGATIONS OF ANY AGENT COMPARED TO PLACEBO IN PATIENTS WITH DIASTOLIC FAILURE ARE LACKING
  • 131.
    Diastolic CHF  REDUCTIONIN LFT VENTRICULAR FILLING PRESSURES WITH THE USE OF DIURETICS AND/OR NITRATES  SLOWING OF THE HEART RATE WITH BETABLOCKERS AND /OR RATE LIMITING CALCIUM CHANNEL BLOCKERS SUCH AS VERAPAMIL (WHICH IS GENERALLY CONTRAINDICATED IN SYSTOLIC FAILURE)
  • 132.
    Diastolic CHF  RECENTSTUDY WITH CANDERSARTAN IN PATIENTS WITH LVEF>40% DEMONSTRATED A SIGNIFICANT REDUCTION IN HOSPITALISATIONS FOR HEART FAILURE. THERE WAS NO SIGNIFIACNT DIFFERENCE IN THE RISK OF STROKES OR MYOCARDIAL INFARCTION
  • 133.
    Predictors of MortalityBased on Analysis of ADHERE Database  Classification and Regression Tree (CART) analysis of ADHERE data shows:  Three variables are the strongest predictors of mortality in hospitalized ADHF patients: BUN > 43 mg/dL Systolic blood pressure < 115 mmHg Serum creatinine > 2.75 mg/dL Fonarow GC et al. JAMA 2005;293:572-80