Headache Management in Family Practice
“ In Theory” There is no difference between theory and practice. “ In Practice” There is!
Approach Top Down  Bottom Up
Is it Brain Tumor?
Brain tumor is Rare cause of headache? Headache Incidence 5-15% in general population Tumor incidence 50/100,000 per year 1/200 patient with “tension or migraine headache ” may have tumor
Headache is common in brain tumor Headache as presenting symptom in 60% of tumor 77% similar to tension headache 9% Migraine like 8% Classic brain tumor headache
Other serious headache Granuloma Brain abscess Chronic subdural hematoma Benign intracranial hypertension TB/Fungal meningitis Temporal arteritis
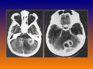
Is it a brain abscess? Fever present in 50% of cases Headache is present in 70% of cases Focal neurological signs are seen if located in strategic location Look for ear, sinus or systemic infection Cyanotic heart disease in children Immunocompromised state
 
Chronic subdural hematoma? Common in elderly population Indolent  chronic headache without obvious neurologic signs or symptoms  60% to 70% have a history of antecedent  trauma, often trivial Changes in personality or cognitive abilities  Focal and sometimes intermittent weakness, seizures, or sensory changes  Excessive sleepiness, lethargy, or decreasing level of consciousness
Idiopathic intracranial hypertension Common in fat adolescent and young women Headache dull, like pressure Usually symmetrical may be associated with visual disturbances CT: normal or small ventricles LP: high pressure normal cytology headache better with CSF drainage
What Investigations? Neuroimaging Lumber puncture EEG- no role
When Neuroimaging? Decreased alertness or cognition Onset of pain with exertion, coitus, coughing, or sneezing  Worsening under observation  Nuchal rigidity  Focal neurological signs  First headache in patient older than 50 years Worst headache ever experienced  Headache not fitting a defined pattern
When No Neuroimaging? When all of the following are present: History of similar headaches  Normal vital signs  Alertness and cognition intact  Supple neck  No neurological signs  Improvement in headache without analgesics or abortive medications
CT or MRI ? Headache producing lesion is large enough to be seen in CT MR is better in differentiating tumors Contrast helps in knowing the break of BBB Acute bleed and Calcification seen better by CT
(CT/MR) Normal Headache Chronic continuous headache  Tension type headache Chronic recurring headache Migraine  Cluster/ chronic paroxysmal hemicrania episodic tension type headache
Migraine without aura (common migraine). Headache attacks last 4 to 72 hours.  Headache has at least 2 of the following:  Unilateral location  Pulsating quality  Moderate or severe intensity (inhibits daily activity) Aggravation by routine physical activity During the headache, at least 1 of the following:  Nausea or vomiting  Photophobia and phonophobia  No organic cause found by history, PE, neurologic exam.  Must have at least 5 attacks that meet the following criteria:
Migraine with aura (classical migraine).   Must have at least 2 attacks fulfilling the following criteria :  .At least 3 of the following are present:  One of more fully reversible aura symptoms indicating focal cerebral cortical or brainstem dysfunction.  At least one aura symptom develops gradually over more than 4 minutes.          No aura symptom lasts more than 60 minutes (duration proportionally increases if >1 aura symptom present). HA follows aura with free interval of less than 60 minutes (may begin before or with the aura). HA usually lasts 4 to 72 hours but may be absent.  No organic cause found by history, PE, neurologic exam.
Treatment of Migraine General.  Taper off analgesics to prevent rebound HA and start preventive medications. Depression (if identified) needs to be treated.  Dietary changes.   Avoid monosodium glutamate, nitrates, and alcohol.  Spread out caffeine evenly.  Lifestyle changes.   Regular eating, sleeping, and exercise patterns.  3.  Behavioral therapies.   Biofeedback, stress management, and self-help groups.
Acute therapy (outpatient). Sumatriptan  (Imitrex) 6 mg SQ; may repeat in 1 hour; maximum 12 mg/24 hours.  Contraindicated if concomitant CAD or uncontrolled hypertension.  Do not use if patient is given an ergot alkaloid in the last 24 hours. Many (up to 50%) will require rescue medicine because of Sumatriptan 2-hour half-life.  Oral Sumatriptan  50-100mg Cafergot 1 or 2 tablets upto  4 tabs/attack or 10/week.  Ergotamine 2 mg PO or SL; repeat in 30 minutes up to 6 mg/24 hours or 10 mg/week.  NSAIDs.  ibuprofen 400 to 800 mg PO TID or QID or Naproxen sodium 550 mg PO BID or TID with food.  Prochlorperazine 25 mg PR BID PRN can be used to abort the migraine at home.  Metaclopramide help gastric emptying and vomiting
Acute therapy - Migraine Prochlorperazine 10 mg IV.  Metoclopramide 5 to 10 mg IV Q8h. Often given with dihydroergotamine (DHE) to prevent DHE-induced nausea. May be combined orally with ASA.  NSAIDs (ketorolac [Toradol] 60 mg IM,  Dihydroergotamine (DHE) 0.75 mg IV  Meperidine 50 to 100 mg IM Q3h PRN.  Dexamethasone 4 mg IM or a short course of prednisone (40 to 60 mg PO QD), combined with analgesics above, if migraine continues >24 hours.  Sumatriptan (Imitrex); see above for dose. Oral sumatriptan also available but less effective.
Migraine prophylaxis Propranolol 20 to 60 mg PD Verapamil 40 to 80 mg PD Flunarin – 10-20mg PD NSAIDs, especially useful for menstrual migraine.  Amitriptyline 10 to 200 mg PO QHS.  Cyproheptadine 2 to 4 mg PO HS Childhood
Tension headache a. Headache with at least 2 of the following:  Pressing or tightening quality Mild or moderate intensity Bilateral location  No aggravation by routine physical activity  b. No organic cause found by history, PE, neurologic exam.  c. Tension headache is separated into two subtypes based on frequency:  Episodic     Headache lasting 30 minutes to 7 days     No nausea or vomiting with headache      Photophobia and phonophobia are absent, or one but not the other is present     At least 10 previous headaches as above, with number of headache days <180/year and <15/month  Chronic      Headache averages 15 days/month (180 days/year), 6 months     No vomiting     No more than 1 of the following: nausea, photophobia, or phonophobia
Cluster Headache Severe unilateral orbital, supraorbital, or temporal pain lasting 15 to 180 minutes untreated.  Headache is associated with at least 1 of the following on the pain side:  Conjunctival injection  Lacrimation  Nasal congestion Forehead and facial sweating  Rhinorrhea  Miosis  Ptosis  Eyelid edema  Frequency of attacks ranges from 1 to 8 daily.  At least 5 attacks occur as above.
Cluster Headache   Rx Acute treatment :   O2 - 6 to 8 L/min .  Nasal lidocaine 4% solution (15 drops) or 5% ointment (3 swabs) intranasally on ipsilateral side may be abortive.  Sumatriptan is especially effective for cluster headache because by definition they last <3 hours.  Prophylactic treatment.   Ergotamine,  Methy-sergide Prednisone (60 mg QD for 1 week with a rapid tapering off),  Verapamil (80 to 160 mg TID),  Lithium carbonate 300 mg BID or TID,  Valproate 250 to 1500 mg
Chronic paroxysmal hemicrania.  Severe unilateral orbital, supraorbital, or temporal pain always on the same side, lasting 2 to 45 minutes.  Attack frequency >5 a day for more than half the time (periods of lower frequency may occur).  Headache is associated with at least 1 of the following on the pain side:  Conjunctival injection  Lacrimation  Nasal congestion  Rhinorrhea  Eyelid edema  Ptosis  Absolute effectiveness of indomethacin (150 mg/day or less).  At least 50 attacks occur as above.  No organic cause found by history, PE, neurologic exam.
Menstrual Migraine ” True menstrual migraine,&quot; : 14% of migraineurs 60-70% women migraine menstrual related Related to low estrogen level Estradiol patch 1-2/day for 7 days 1-2 days  before expected headache. NSAIDs for prevention and attack
Oral Contraceptive and Migraine Some women  -  migraine  improves C ommon ly  -  migraine  worsen (immediate or delayed)  Sometime  -  migraines  precipitates  D iscontinuation of OCs may not result in improvement for many months.  Even non-estrogen hormonal methods of birth control such as Depo-Provera injection seem to aggravate headaches in some women.
Headache in Pregnancy Pre-existing migraine can become worse during the first trimester of pregnancy and then disappear for the last two.  25% of women with migraine will go through their pregnancy with their headache pattern unchanged.  Migraine can also appear for the first time during pregnancy or soon after giving birth
Analgesic in Pregnancy Acetaminophen B  Caffeine B  Fenoprofen, Ibuprofen, Meclofenamate, naproxen, Sulindac, Tolmetin B   D  if used in 3rd trimester Aspirin   C   Risk factor D if used in 3rd trimester
Antiemitic in Pregnancy Metoclopramide B  Prochlorperazine, Promethazine, Chlorpromazine, Hydroxyzine, Trimethobenzamide C
Migraine Pophylactics in Pregnancy Amitriptyline, Nortriptyline, Imipramine D    Metoprolol (Lopressor) B  Atenolol, Nadolol,  P ropranolol   C   Propranolol may cause intrauterine growth retardation, prematurity, hypotension Verapamil C
Post-partum headache Cerebral venous thrombosis Persistent headache seizure and coma Diagnosed by MR venous angiography Heparin is drug of choice even with hemorrhagic transformation
Headache in Menopause Headaches  may  r eappear  Commonly  headaches  reduces , and they often change in nature.  migraine with aura may continue to have the aura but without the subsequent headache.  Following natural menopause, 60% decrease With surgical menopause  30%  decreases  M enstrual migraine benefit most from menopause.
Headache in elderly Tumors Subdural hematoma Cervicogenic Headache Obstructive airway disease with hypercapnea Hypertension Ocular: Glaucoma
Therapeutic challenge in elderly Reduced tolerance to medications NSAIDs reduced  renal clearance Beta blockers, lethargy, hypotension Tricyclic: confusional state More contraindication; Heart failure, glaucoma, prostatism, Hypertension, depression Methyldopa nitrates aggravates migraine
Temporal arteritis Seen at this age Progressive headache with tender thickened temporal arteries and systemic symptom and raise ESR Dramatic response to Steroid. Stop if no response and biopsy negative
Migraine with aura from TIA It should be remembered that a diagnosis of migraine does not preclude a superimposed TIA.   Migraine aura TIA Multiple previous episodes New event Gradual onset Sudden onset Short duration May last 24 hours Progression and regression pattern No increasing  and decreasing  symptom pattern
Hypnic headache   Onset out of sleep , in elderly Bilateral, 30 to 60 minutes Almost daily, Nausea 50%.  Respond dramatically to treatment.  300 to 600 mg of lithium at bedtime
Headache in ischemic CVD 10-15% of Ischemic CVD have headache May precedes ischemia by hours to days Varies in severity, quality and duration More common with large vessel occlusive disease them small vessel Posterior circulation stroke have more headache than anterior.
Cerebral arterial dissection Onset temporally related to cervical manipulation, sustained exertion, or trauma  Sudden unilateral neck pain or headache with radiation to ipsilateral  face, eye, or ear  Amaurosis fugax  Pulsatile tinnitus  Horner's syndrome without anhidrosis  Ipsilateral tongue weakness (hypoglossal nerve palsy) and dysgeusia  Cervical bruit or tenderness  Diplopia  Syncope
Drug induced headache in elderly Vasodilators,  Antihypertensive Sedatives Brochodilators Antiarrhythmic agents Caffieine, Indomethacine, Propoxyphen
Headache n children Migraine Migraine variants Tumor Hydrocephalus
Migraine in children With or without aura Variants benign positional vertigo Basilar migraine Ophthalmologic migraine Cyclic vomiting Benign torticollis Hemiplegic migraine headache follows the hemiparesis, which lasts from hours to days. Chromosome 9 that has been found in 50% to 60% of families
Treatment of migraine in Children Acute attack  NSAIDs, Sumatryptan, DHE Prophylaxis  Beta blockers: 0.5-1mg/kg bd Calcium channel blocker Amitryptiline 5HT2 antagonist: Cyproheptidine
Emergency Headache Subarachnoid hemorrhage Bleed in a tumor Intracerebral hematoma  Sudden obstruction of ventricle Acute pyogenic meningitis/meningoencephalitis
Subarachnoid hemorrhage Sudden severe headache, “bolt out of blue” Sentinel; a milder variety which clears in a day or two Neck stiffness, photophobia may have LOC May have neurological deficit Causes: aneurysmal  75-80% AVM, tumor bleed, coagulopathies
Subarachnoid hemorrhage CT scan: Small bleed may be missed in CT (10%) After 7 days CT may be normal in 50% cases CSF examined if CT normal it should not precede CT Lumber puncture: opening pressure high Definitive: RBC >100,000/cmm Xanthochromia-develops in 1-2 days MRI sensitive for bleed >10 days old useless for acute investigation
 
Bleed in a tumor generally patients have preexisting  headache or neurological symptoms Presents as a “stroke” Usually in highly malignant tumors metastasis high grade glioma pituitary apoplexy
 
Sudden obstruction of ventricles with intra-ventricular tumor colloid cyst other intra-ventricular tumors usually depressed sensorium may be position related history of tumor headache
Thank You

Headache management

  • 1.
    Headache Management inFamily Practice
  • 2.
    “ In Theory”There is no difference between theory and practice. “ In Practice” There is!
  • 3.
  • 4.
  • 5.
    Brain tumor isRare cause of headache? Headache Incidence 5-15% in general population Tumor incidence 50/100,000 per year 1/200 patient with “tension or migraine headache ” may have tumor
  • 6.
    Headache is commonin brain tumor Headache as presenting symptom in 60% of tumor 77% similar to tension headache 9% Migraine like 8% Classic brain tumor headache
  • 7.
    Other serious headacheGranuloma Brain abscess Chronic subdural hematoma Benign intracranial hypertension TB/Fungal meningitis Temporal arteritis
  • 8.
    Is it abrain abscess? Fever present in 50% of cases Headache is present in 70% of cases Focal neurological signs are seen if located in strategic location Look for ear, sinus or systemic infection Cyanotic heart disease in children Immunocompromised state
  • 9.
  • 10.
    Chronic subdural hematoma?Common in elderly population Indolent chronic headache without obvious neurologic signs or symptoms 60% to 70% have a history of antecedent trauma, often trivial Changes in personality or cognitive abilities Focal and sometimes intermittent weakness, seizures, or sensory changes Excessive sleepiness, lethargy, or decreasing level of consciousness
  • 11.
    Idiopathic intracranial hypertensionCommon in fat adolescent and young women Headache dull, like pressure Usually symmetrical may be associated with visual disturbances CT: normal or small ventricles LP: high pressure normal cytology headache better with CSF drainage
  • 12.
    What Investigations? NeuroimagingLumber puncture EEG- no role
  • 13.
    When Neuroimaging? Decreasedalertness or cognition Onset of pain with exertion, coitus, coughing, or sneezing Worsening under observation Nuchal rigidity Focal neurological signs First headache in patient older than 50 years Worst headache ever experienced Headache not fitting a defined pattern
  • 14.
    When No Neuroimaging?When all of the following are present: History of similar headaches Normal vital signs Alertness and cognition intact Supple neck No neurological signs Improvement in headache without analgesics or abortive medications
  • 15.
    CT or MRI? Headache producing lesion is large enough to be seen in CT MR is better in differentiating tumors Contrast helps in knowing the break of BBB Acute bleed and Calcification seen better by CT
  • 16.
    (CT/MR) Normal HeadacheChronic continuous headache Tension type headache Chronic recurring headache Migraine Cluster/ chronic paroxysmal hemicrania episodic tension type headache
  • 17.
    Migraine without aura(common migraine). Headache attacks last 4 to 72 hours. Headache has at least 2 of the following: Unilateral location Pulsating quality Moderate or severe intensity (inhibits daily activity) Aggravation by routine physical activity During the headache, at least 1 of the following: Nausea or vomiting Photophobia and phonophobia No organic cause found by history, PE, neurologic exam. Must have at least 5 attacks that meet the following criteria:
  • 18.
    Migraine with aura(classical migraine). Must have at least 2 attacks fulfilling the following criteria : .At least 3 of the following are present: One of more fully reversible aura symptoms indicating focal cerebral cortical or brainstem dysfunction. At least one aura symptom develops gradually over more than 4 minutes.         No aura symptom lasts more than 60 minutes (duration proportionally increases if >1 aura symptom present). HA follows aura with free interval of less than 60 minutes (may begin before or with the aura). HA usually lasts 4 to 72 hours but may be absent. No organic cause found by history, PE, neurologic exam.
  • 19.
    Treatment of MigraineGeneral. Taper off analgesics to prevent rebound HA and start preventive medications. Depression (if identified) needs to be treated. Dietary changes. Avoid monosodium glutamate, nitrates, and alcohol. Spread out caffeine evenly. Lifestyle changes. Regular eating, sleeping, and exercise patterns. 3. Behavioral therapies. Biofeedback, stress management, and self-help groups.
  • 20.
    Acute therapy (outpatient).Sumatriptan (Imitrex) 6 mg SQ; may repeat in 1 hour; maximum 12 mg/24 hours. Contraindicated if concomitant CAD or uncontrolled hypertension. Do not use if patient is given an ergot alkaloid in the last 24 hours. Many (up to 50%) will require rescue medicine because of Sumatriptan 2-hour half-life. Oral Sumatriptan 50-100mg Cafergot 1 or 2 tablets upto 4 tabs/attack or 10/week. Ergotamine 2 mg PO or SL; repeat in 30 minutes up to 6 mg/24 hours or 10 mg/week. NSAIDs. ibuprofen 400 to 800 mg PO TID or QID or Naproxen sodium 550 mg PO BID or TID with food. Prochlorperazine 25 mg PR BID PRN can be used to abort the migraine at home. Metaclopramide help gastric emptying and vomiting
  • 21.
    Acute therapy -Migraine Prochlorperazine 10 mg IV. Metoclopramide 5 to 10 mg IV Q8h. Often given with dihydroergotamine (DHE) to prevent DHE-induced nausea. May be combined orally with ASA. NSAIDs (ketorolac [Toradol] 60 mg IM, Dihydroergotamine (DHE) 0.75 mg IV Meperidine 50 to 100 mg IM Q3h PRN. Dexamethasone 4 mg IM or a short course of prednisone (40 to 60 mg PO QD), combined with analgesics above, if migraine continues >24 hours. Sumatriptan (Imitrex); see above for dose. Oral sumatriptan also available but less effective.
  • 22.
    Migraine prophylaxis Propranolol20 to 60 mg PD Verapamil 40 to 80 mg PD Flunarin – 10-20mg PD NSAIDs, especially useful for menstrual migraine. Amitriptyline 10 to 200 mg PO QHS. Cyproheptadine 2 to 4 mg PO HS Childhood
  • 23.
    Tension headache a.Headache with at least 2 of the following: Pressing or tightening quality Mild or moderate intensity Bilateral location No aggravation by routine physical activity b. No organic cause found by history, PE, neurologic exam. c. Tension headache is separated into two subtypes based on frequency: Episodic    Headache lasting 30 minutes to 7 days    No nausea or vomiting with headache    Photophobia and phonophobia are absent, or one but not the other is present    At least 10 previous headaches as above, with number of headache days <180/year and <15/month Chronic    Headache averages 15 days/month (180 days/year), 6 months    No vomiting    No more than 1 of the following: nausea, photophobia, or phonophobia
  • 24.
    Cluster Headache Severeunilateral orbital, supraorbital, or temporal pain lasting 15 to 180 minutes untreated. Headache is associated with at least 1 of the following on the pain side: Conjunctival injection Lacrimation Nasal congestion Forehead and facial sweating Rhinorrhea Miosis Ptosis Eyelid edema Frequency of attacks ranges from 1 to 8 daily. At least 5 attacks occur as above.
  • 25.
    Cluster Headache Rx Acute treatment : O2 - 6 to 8 L/min . Nasal lidocaine 4% solution (15 drops) or 5% ointment (3 swabs) intranasally on ipsilateral side may be abortive. Sumatriptan is especially effective for cluster headache because by definition they last <3 hours. Prophylactic treatment. Ergotamine, Methy-sergide Prednisone (60 mg QD for 1 week with a rapid tapering off), Verapamil (80 to 160 mg TID), Lithium carbonate 300 mg BID or TID, Valproate 250 to 1500 mg
  • 26.
    Chronic paroxysmal hemicrania. Severe unilateral orbital, supraorbital, or temporal pain always on the same side, lasting 2 to 45 minutes. Attack frequency >5 a day for more than half the time (periods of lower frequency may occur). Headache is associated with at least 1 of the following on the pain side: Conjunctival injection Lacrimation Nasal congestion Rhinorrhea Eyelid edema Ptosis Absolute effectiveness of indomethacin (150 mg/day or less). At least 50 attacks occur as above. No organic cause found by history, PE, neurologic exam.
  • 27.
    Menstrual Migraine ”True menstrual migraine,&quot; : 14% of migraineurs 60-70% women migraine menstrual related Related to low estrogen level Estradiol patch 1-2/day for 7 days 1-2 days before expected headache. NSAIDs for prevention and attack
  • 28.
    Oral Contraceptive andMigraine Some women - migraine improves C ommon ly - migraine worsen (immediate or delayed) Sometime - migraines precipitates D iscontinuation of OCs may not result in improvement for many months. Even non-estrogen hormonal methods of birth control such as Depo-Provera injection seem to aggravate headaches in some women.
  • 29.
    Headache in PregnancyPre-existing migraine can become worse during the first trimester of pregnancy and then disappear for the last two. 25% of women with migraine will go through their pregnancy with their headache pattern unchanged. Migraine can also appear for the first time during pregnancy or soon after giving birth
  • 30.
    Analgesic in PregnancyAcetaminophen B  Caffeine B  Fenoprofen, Ibuprofen, Meclofenamate, naproxen, Sulindac, Tolmetin B D if used in 3rd trimester Aspirin C Risk factor D if used in 3rd trimester
  • 31.
    Antiemitic in PregnancyMetoclopramide B  Prochlorperazine, Promethazine, Chlorpromazine, Hydroxyzine, Trimethobenzamide C
  • 32.
    Migraine Pophylactics inPregnancy Amitriptyline, Nortriptyline, Imipramine D    Metoprolol (Lopressor) B  Atenolol, Nadolol, P ropranolol C Propranolol may cause intrauterine growth retardation, prematurity, hypotension Verapamil C
  • 33.
    Post-partum headache Cerebralvenous thrombosis Persistent headache seizure and coma Diagnosed by MR venous angiography Heparin is drug of choice even with hemorrhagic transformation
  • 34.
    Headache in MenopauseHeadaches may r eappear Commonly headaches reduces , and they often change in nature. migraine with aura may continue to have the aura but without the subsequent headache. Following natural menopause, 60% decrease With surgical menopause 30% decreases M enstrual migraine benefit most from menopause.
  • 35.
    Headache in elderlyTumors Subdural hematoma Cervicogenic Headache Obstructive airway disease with hypercapnea Hypertension Ocular: Glaucoma
  • 36.
    Therapeutic challenge inelderly Reduced tolerance to medications NSAIDs reduced renal clearance Beta blockers, lethargy, hypotension Tricyclic: confusional state More contraindication; Heart failure, glaucoma, prostatism, Hypertension, depression Methyldopa nitrates aggravates migraine
  • 37.
    Temporal arteritis Seenat this age Progressive headache with tender thickened temporal arteries and systemic symptom and raise ESR Dramatic response to Steroid. Stop if no response and biopsy negative
  • 38.
    Migraine with aurafrom TIA It should be remembered that a diagnosis of migraine does not preclude a superimposed TIA. Migraine aura TIA Multiple previous episodes New event Gradual onset Sudden onset Short duration May last 24 hours Progression and regression pattern No increasing and decreasing symptom pattern
  • 39.
    Hypnic headache Onset out of sleep , in elderly Bilateral, 30 to 60 minutes Almost daily, Nausea 50%. Respond dramatically to treatment. 300 to 600 mg of lithium at bedtime
  • 40.
    Headache in ischemicCVD 10-15% of Ischemic CVD have headache May precedes ischemia by hours to days Varies in severity, quality and duration More common with large vessel occlusive disease them small vessel Posterior circulation stroke have more headache than anterior.
  • 41.
    Cerebral arterial dissectionOnset temporally related to cervical manipulation, sustained exertion, or trauma Sudden unilateral neck pain or headache with radiation to ipsilateral face, eye, or ear Amaurosis fugax Pulsatile tinnitus Horner's syndrome without anhidrosis Ipsilateral tongue weakness (hypoglossal nerve palsy) and dysgeusia Cervical bruit or tenderness Diplopia Syncope
  • 42.
    Drug induced headachein elderly Vasodilators, Antihypertensive Sedatives Brochodilators Antiarrhythmic agents Caffieine, Indomethacine, Propoxyphen
  • 43.
    Headache n childrenMigraine Migraine variants Tumor Hydrocephalus
  • 44.
    Migraine in childrenWith or without aura Variants benign positional vertigo Basilar migraine Ophthalmologic migraine Cyclic vomiting Benign torticollis Hemiplegic migraine headache follows the hemiparesis, which lasts from hours to days. Chromosome 9 that has been found in 50% to 60% of families
  • 45.
    Treatment of migrainein Children Acute attack NSAIDs, Sumatryptan, DHE Prophylaxis Beta blockers: 0.5-1mg/kg bd Calcium channel blocker Amitryptiline 5HT2 antagonist: Cyproheptidine
  • 46.
    Emergency Headache Subarachnoidhemorrhage Bleed in a tumor Intracerebral hematoma Sudden obstruction of ventricle Acute pyogenic meningitis/meningoencephalitis
  • 47.
    Subarachnoid hemorrhage Suddensevere headache, “bolt out of blue” Sentinel; a milder variety which clears in a day or two Neck stiffness, photophobia may have LOC May have neurological deficit Causes: aneurysmal 75-80% AVM, tumor bleed, coagulopathies
  • 48.
    Subarachnoid hemorrhage CTscan: Small bleed may be missed in CT (10%) After 7 days CT may be normal in 50% cases CSF examined if CT normal it should not precede CT Lumber puncture: opening pressure high Definitive: RBC >100,000/cmm Xanthochromia-develops in 1-2 days MRI sensitive for bleed >10 days old useless for acute investigation
  • 49.
  • 50.
    Bleed in atumor generally patients have preexisting headache or neurological symptoms Presents as a “stroke” Usually in highly malignant tumors metastasis high grade glioma pituitary apoplexy
  • 51.
  • 52.
    Sudden obstruction ofventricles with intra-ventricular tumor colloid cyst other intra-ventricular tumors usually depressed sensorium may be position related history of tumor headache
  • 53.