Nicole  A. Walstein M.S., P.A.-C
Summary
Anatomy
Differential Diagnosis -  Cochleovestibular system
Differential Diagnosis-  Cochleovestibular system
Differential Diagnosis-  Nervous system
Differential Diagnosis-  Cardiovascular system  Circulatory  Hypovolemia  Anemia  Polycythemia  Orthostatic hypotension  Hypotension Wallenburg lateral medullary syndrome Cardiac  Arrhythmias  Valvular disease: AS/AI  Stokes-Adams attacks  Great vessels  Subclavian steal  Hypersensitive carotid sinus reflex
Differential Diagnosis-  Other Systems
Differential Diagnosis Duration of Vertigo Auditory Symptoms Present Auditory Symptoms  Absent Seconds Perilymphatic Fistula BPPV,  Vertebrobasilar insufficiency, Cervical vertigo Hours Endolymphatic hydrops (Meniere’s disease) Recurrent vestibulopathy, Vestibular migraine Days Labyrinthitis,  Labyrinthine concussion Vestibular neuronitis Months Acoustic neuroma, Ototoxicity Multiple sclerosis, Cerebellar degeneration
History- HPI
History- HPI Vertigo A subtype of dizziness The illusion of movement of either one's self or one's environment (it doesn’t matter which one!) Cardinal symptom of vestibular disease
History- HPI Onset and progression of symptoms- slow and insidious (CNS) or acute (vestibular)? Continuous or episodic (ex. fleeting or prolonged)?  Associated symptoms? (ex. hearing loss, tinnitus, aural fullness, diaphoresis, nausea, or emesis) Does hearing fluctuate? (Meniere’s) Are the episodes associated with turning the head (BPPV), lying supine, or sitting upright?
History- HPI Ascertain the degree of impairment during an episode Can the patient ambulate during an acute episode? (if not, think cerebellar) Is there a sense of being pushed down or pushed to 1 side (pulsion)?  Oscillopsia - A peculiar sense of movement of objects viewed when the patient moves Brainstem symptoms?  (ex. diplopia, dysarthria, facial paresthesia, or extremity numbness or weakness)
History- HPI Headache? Vertigo with nose blowing? (fistula) Vertigo with pressure or noise (superior canal dehiscience) Aura or warning before symptoms start?  (migraine) Visual symptoms? (ex. scintillating scotoma)
History- HPI Head trauma? (Post traumatic hydrops, fistula, basilar skull fracture, labyrinthine concussion) Vertigo with neck movement? (Cervical vertigo) Symptoms preceded by an upper respiratory infection or flu-like illness ? (Vestibular neuronitis) Exposure to ototoxic medications?  Anxiety?
History Vestibular Not Vestibular Sudden onset Gradual onset Spinning Ill defined symptoms Hearing loss Passing out Aural fullness Can’t ambulate Tinnitus Numbness/weakness
History- PMH Headaches (ex. migraines) Ear disease (ex. chronic ear infections, cholesteatoma) Anxiety or depression Diabetes Hypertension Cardiovascular or cerebrovascular disease Neurologic disease (ex. multiple sclerosis)
History- PSH Ear surgery Surgery for cholesteatoma may result in iatrogenic or acquired labyrinthine fistula Stapes surgery for otosclerosis or tympanosclerosis may cause vestibular symptoms because of perilymphatic fistula, adhesions between the oval window and saccule, or an overly long prosthesis
History FHx: cardiovascular disease, peripheral vascular disease, migraine, otosclerosis, Ménière disease SH- recreational drugs, including ETOH and tobacco Medications- prescription medicines, over-the-counter medications, herbal medicines; starting a new medication or a change in dose/frequency
Physical Exam-  What is Equilibrium?
Physical Exam Vital signs - Orthostatic blood pressure and pulse CV exam - Auscultate the heart and cervical vessels Neurologic exam - CN, reflexes (upper/lower), EOM Neck exam - for range of motion and flexibility ENT exam Infection or inflammation of the external or middle ear? Retracted/perforated TM or cholesteatoma? Test hearing and discrimination
Acute Otitis Media Cholesteatoma
Physical Exam- Nystagmus Defined as an involuntary, periodic, rhythmic ocular oscillation of the eyes  Unilateral or bilateral May be spontaneous, gaze-induced, or positional  May be horizontal, vertical, or torsional (rotary) Peripheral nystagmus is usually rotatory Pure vertical nystagmus usually is a sign of brainstem disease http://www.youtube.com/watch?v=PNSK8q40ax0
Physical Exam-  Office Tests Gait test   Check for staggering or leaning to one side Normal gait:  erect posture, moderately sized steps, and walking in a straight line  Romberg Stand heel to toe with one foot in front of the other with eyes closed Tandem Romberg Walk heal to toe with arms out for balance
Physical Exam-  Office Tests Dix-Hallpike maneuver Used to identify BPPV Performed by guiding the patient rapidly from a sitting position with the head turned 45° to one side to a supine position.  Abnormal:  patient reports vertigo and has a torsional (rotary) nystagmus that starts a few seconds after the patient lies back, lasts 40-60 seconds, reverses when the patient sits up, and fatigues with repetition. DEMO
Physical Exam-  Office Tests Head-shake test The examiner vigorously shakes the patient's head from side to side for 10-15 seconds Observe the eyes for nystagmus http://www.youtube.com/watch?v=Wh4swhhDizg Head-thrust test The patient gazes steadily at a target in the room.  The examiner briskly thrusts the patient's head from one side to the other while observing eye position
Physical Exam-  Office Tests Fistula test Designed to elicit symptoms and signs of an abnormal connection (fistula) between the labyrinth and surrounding spaces  Apply pressure to the patient's ear canal (press on the tragus) and observes the eye movements Fukuda test High step in place for 20-30 seconds
Physical Exam-  Office Tests Oscillopsia test Before and during vigorous head shaking, the patient reads the smallest visible line on the Snellen eye chart  Normal- the ability to maintain acuity within 2 lines of the acuity at rest Heel to shin test Repeatedly run the heel of one foot from the top of the shin of the other leg down to the big toe
Physical Exam-  Vestibular Tests Electronystagmography (ENG) Testing (or VNG) Saccadic test Gaze test Pursuit eye movement test Optokinetic nystagmus test (OKN) Head-shake nystagmus test Positional nystagmus test Positioning nystagmus test (Dix Hallpike) Bithermal caloric tests Rotating Chair Test  (sinusoidal harmonic acceleration – SHA) Computerized dynamic posturography (CDP)
Physical Exam-  Vestibular Lab Tests Vestibular autorotation testing (VAT) Computerized platform posturography Electrocochleography (Ecog) Auditory brainstem response (ABR) Vestibular evoked myogenic potentials (VEMP)
Equipment in Neurotologic Clinic
Diagnostic Studies MRI of the brain and IAC (internal auditory canals) with and without gadolinium The yield in patients younger than 50 years is <1%.  The incidence of an acoustic tumor or other brainstem and posterior-fossa lesions also is low  CT of the brain or temporal bones Blood tests
Medical Management Antihistamine- vestibular suppressants Antivert (meclizine) Dramamine Benzodiazepine- depresses CNS Valium (diazepam) Phenothiazine- treats emesis Promethazine (Phenergan) Prochlorperazine (Compazine) Oral steroids  Vestibular Rehabilitation At home exercises:  Cawthorne Cooksey
Most Common
Benign Paroxysmal Positional Vertigo (BPPV) Caused by otolith debris (canalith) floating in the semicircular canals (canalithiasis) or adhering to the cupula (cupulolithiasis) Possible causes: vestibular neuronitis, Ménière’s disease, or head trauma, which dislodges particles (otoconia) Posterior canalithiasis ~90% of the time
http://www.dizziness-and-balance.com/disorders/bppv/movies/Debris-Redistribution.gif
BPPV Symptoms of acute vertigo with episodes lasting < 1 minute that occurs with changing head/body position Residual sensation of disequilibrium between episodes May spontaneously resolve No medication To diagnose- Dix Hallpike Treatment- Epley manuever- Canalith repositioning technique- the particles are shifted out of the semicircular canal
Vestibular neuronitis Severe vertigo that begins acutely after an URI Lasts 24-48 hours and gradually subsides with patients complaining of unsteadiness for weeks Hearing is  not  effected Patients cannot perform home or work activities  Medications- antiemetics, vestibular suppressants,   corticosteroids Vestibular rehabilitation 1/3  of patients develop BPPV
 
Labyrinthitis Acute onset of continuous, severe vertigo lasting several days to a week, accompanied by  hearing loss  and tinnitus Unilateral or bilateral Bacteria or viruses can cause acute inflammation of the labyrinth Medications: antiemetic medications, vestibular suppressant, oral steriods
 
Ménière’s disease 1)  Fluctuating, low frequency hearing loss  2)  Tinnitus  3)  Aural fullness  4)  Episodes of vertigo that last for hours Bilateral involvement in 25% of patients Etiology- unknown Patho- overproduction or underabsorption of endolymph Test for syphilis with FTA
 
Meniere’s disease Treatment 80%  respond to salt restriction and diuretics Vestibular suppressants Corticosteroids orally or intratympanically Intratympanic gentamicin (chemical labyrinthectomy) Surgical treatment: Endolymphatic sac decompression (ESD) Cutting the vestibular division of CN VIII, sparing the auditory division Labyrinthectomy– vertigo improves, but hearing is lost
Central Vertigo Vestibular Schwannoma (Acoustic Neuroma) Uncommon, but don’t miss it! Slowly progressive, unilateral hearing loss and tinnitus Dizziness is not common MRI of the brain and IAC’s with and without gadolinium IAC- Internal Auditory Canal
 
 
 
 
Mini Case Study 1 “ I woke up and the bed was spinning” “ I bent over (rolled over, turned quickly, laid down, sat up from bed, etc.) and everything started spinning around.” “ Every time I tried to get up I fell back in to the bed.”
Mini Case Study 2 “ I had constant spinning and nausea for about 3 days.” “ I was in the hospital for about 3 days, and they couldn’t find anything wrong with me.” “ After the worst of it (vertigo and nausea) I was okay if I didn’t move.  If I moved I was off balanced and would get nauseous if I moved too much.”
Mini Case Study 3 “ I have had several episodes of severe vertigo with nausea, lasting for hours at a time.” “ It didn’t matter if I moved or not.” “ I feel so much pressure in my head (ear).” “ My ear was roaring.” “ After an episode, I need to sleep for several hours.”
Mini Case Study 4 “ I have episodes of spinning and nausea that come on without warning, but had no ear symptoms.” “ It felt like someone suddenly pulling the rug out from under me.” “ I felt a sudden wave come over me.” “ I can’t stand any type of motion.  It never bothered me when I was a kid.” “ Bright light and sounds make me feel worse.”
Mini Case Study 5 “ I felt like my heart was pounding out of my chest.” “ I felt like I was standing outside my body.” “ I felt like I was dying.” “ I couldn’t breathe.”
Mini Case Study 6 “ I get dizzy and off balance when I stand up.” “ I get up and start to walk and feel like I am going to fall over.” “ When I get up quickly, I feel like I could faint.”
PANCE review questions  (from Appleton & Lange) A patient presents with a 3 month history of persistent dizziness.  Quick movements of the head seem to increase the symptoms.  Initial examination of the patient shows spontaneous nystagmus.  Which of the following is the most likely diagnosis? CNS lesion Positional vertigo Labyrinthitis Meniere’s disease Vestibular neuronitis
PANCE review questions  (from Appleton & Lange) A 33-year-old female presents with episodes of vertigo lasting about 20 minutes and associated with fluctuating hearing loss and a low-frequency nonpulsatile tinnitus in the affected ear.  After these episodes of vertigo the patient states her hearing improves and the tinnitus resolves.  Which of the following illnesses is suggested by there symptoms? Meniere’s disease Perilymphatic fistula Neural syphilis Migraine Variant All of the above
“ Guess I got one o' the OTHER causes o' Dizziness”
Nicole A. Walstein M.S., PA-C [email_address] ENTACC 80 West Welsh Pool Rd. Suite 103 Exton, PA 19341 (610) 363-2532

Dizziness and vertigo

  • 1.
    Nicole A.Walstein M.S., P.A.-C
  • 2.
  • 3.
  • 4.
    Differential Diagnosis - Cochleovestibular system
  • 5.
    Differential Diagnosis- Cochleovestibular system
  • 6.
  • 7.
    Differential Diagnosis- Cardiovascular system Circulatory Hypovolemia Anemia Polycythemia Orthostatic hypotension Hypotension Wallenburg lateral medullary syndrome Cardiac Arrhythmias Valvular disease: AS/AI Stokes-Adams attacks Great vessels Subclavian steal Hypersensitive carotid sinus reflex
  • 8.
  • 9.
    Differential Diagnosis Durationof Vertigo Auditory Symptoms Present Auditory Symptoms Absent Seconds Perilymphatic Fistula BPPV, Vertebrobasilar insufficiency, Cervical vertigo Hours Endolymphatic hydrops (Meniere’s disease) Recurrent vestibulopathy, Vestibular migraine Days Labyrinthitis, Labyrinthine concussion Vestibular neuronitis Months Acoustic neuroma, Ototoxicity Multiple sclerosis, Cerebellar degeneration
  • 10.
  • 11.
    History- HPI VertigoA subtype of dizziness The illusion of movement of either one's self or one's environment (it doesn’t matter which one!) Cardinal symptom of vestibular disease
  • 12.
    History- HPI Onsetand progression of symptoms- slow and insidious (CNS) or acute (vestibular)? Continuous or episodic (ex. fleeting or prolonged)? Associated symptoms? (ex. hearing loss, tinnitus, aural fullness, diaphoresis, nausea, or emesis) Does hearing fluctuate? (Meniere’s) Are the episodes associated with turning the head (BPPV), lying supine, or sitting upright?
  • 13.
    History- HPI Ascertainthe degree of impairment during an episode Can the patient ambulate during an acute episode? (if not, think cerebellar) Is there a sense of being pushed down or pushed to 1 side (pulsion)? Oscillopsia - A peculiar sense of movement of objects viewed when the patient moves Brainstem symptoms? (ex. diplopia, dysarthria, facial paresthesia, or extremity numbness or weakness)
  • 14.
    History- HPI Headache?Vertigo with nose blowing? (fistula) Vertigo with pressure or noise (superior canal dehiscience) Aura or warning before symptoms start? (migraine) Visual symptoms? (ex. scintillating scotoma)
  • 15.
    History- HPI Headtrauma? (Post traumatic hydrops, fistula, basilar skull fracture, labyrinthine concussion) Vertigo with neck movement? (Cervical vertigo) Symptoms preceded by an upper respiratory infection or flu-like illness ? (Vestibular neuronitis) Exposure to ototoxic medications? Anxiety?
  • 16.
    History Vestibular NotVestibular Sudden onset Gradual onset Spinning Ill defined symptoms Hearing loss Passing out Aural fullness Can’t ambulate Tinnitus Numbness/weakness
  • 17.
    History- PMH Headaches(ex. migraines) Ear disease (ex. chronic ear infections, cholesteatoma) Anxiety or depression Diabetes Hypertension Cardiovascular or cerebrovascular disease Neurologic disease (ex. multiple sclerosis)
  • 18.
    History- PSH Earsurgery Surgery for cholesteatoma may result in iatrogenic or acquired labyrinthine fistula Stapes surgery for otosclerosis or tympanosclerosis may cause vestibular symptoms because of perilymphatic fistula, adhesions between the oval window and saccule, or an overly long prosthesis
  • 19.
    History FHx: cardiovasculardisease, peripheral vascular disease, migraine, otosclerosis, Ménière disease SH- recreational drugs, including ETOH and tobacco Medications- prescription medicines, over-the-counter medications, herbal medicines; starting a new medication or a change in dose/frequency
  • 20.
    Physical Exam- What is Equilibrium?
  • 21.
    Physical Exam Vitalsigns - Orthostatic blood pressure and pulse CV exam - Auscultate the heart and cervical vessels Neurologic exam - CN, reflexes (upper/lower), EOM Neck exam - for range of motion and flexibility ENT exam Infection or inflammation of the external or middle ear? Retracted/perforated TM or cholesteatoma? Test hearing and discrimination
  • 22.
    Acute Otitis MediaCholesteatoma
  • 23.
    Physical Exam- NystagmusDefined as an involuntary, periodic, rhythmic ocular oscillation of the eyes Unilateral or bilateral May be spontaneous, gaze-induced, or positional May be horizontal, vertical, or torsional (rotary) Peripheral nystagmus is usually rotatory Pure vertical nystagmus usually is a sign of brainstem disease http://www.youtube.com/watch?v=PNSK8q40ax0
  • 24.
    Physical Exam- Office Tests Gait test Check for staggering or leaning to one side Normal gait: erect posture, moderately sized steps, and walking in a straight line Romberg Stand heel to toe with one foot in front of the other with eyes closed Tandem Romberg Walk heal to toe with arms out for balance
  • 25.
    Physical Exam- Office Tests Dix-Hallpike maneuver Used to identify BPPV Performed by guiding the patient rapidly from a sitting position with the head turned 45° to one side to a supine position. Abnormal: patient reports vertigo and has a torsional (rotary) nystagmus that starts a few seconds after the patient lies back, lasts 40-60 seconds, reverses when the patient sits up, and fatigues with repetition. DEMO
  • 26.
    Physical Exam- Office Tests Head-shake test The examiner vigorously shakes the patient's head from side to side for 10-15 seconds Observe the eyes for nystagmus http://www.youtube.com/watch?v=Wh4swhhDizg Head-thrust test The patient gazes steadily at a target in the room. The examiner briskly thrusts the patient's head from one side to the other while observing eye position
  • 27.
    Physical Exam- Office Tests Fistula test Designed to elicit symptoms and signs of an abnormal connection (fistula) between the labyrinth and surrounding spaces Apply pressure to the patient's ear canal (press on the tragus) and observes the eye movements Fukuda test High step in place for 20-30 seconds
  • 28.
    Physical Exam- Office Tests Oscillopsia test Before and during vigorous head shaking, the patient reads the smallest visible line on the Snellen eye chart Normal- the ability to maintain acuity within 2 lines of the acuity at rest Heel to shin test Repeatedly run the heel of one foot from the top of the shin of the other leg down to the big toe
  • 29.
    Physical Exam- Vestibular Tests Electronystagmography (ENG) Testing (or VNG) Saccadic test Gaze test Pursuit eye movement test Optokinetic nystagmus test (OKN) Head-shake nystagmus test Positional nystagmus test Positioning nystagmus test (Dix Hallpike) Bithermal caloric tests Rotating Chair Test (sinusoidal harmonic acceleration – SHA) Computerized dynamic posturography (CDP)
  • 30.
    Physical Exam- Vestibular Lab Tests Vestibular autorotation testing (VAT) Computerized platform posturography Electrocochleography (Ecog) Auditory brainstem response (ABR) Vestibular evoked myogenic potentials (VEMP)
  • 31.
  • 32.
    Diagnostic Studies MRIof the brain and IAC (internal auditory canals) with and without gadolinium The yield in patients younger than 50 years is <1%. The incidence of an acoustic tumor or other brainstem and posterior-fossa lesions also is low CT of the brain or temporal bones Blood tests
  • 33.
    Medical Management Antihistamine-vestibular suppressants Antivert (meclizine) Dramamine Benzodiazepine- depresses CNS Valium (diazepam) Phenothiazine- treats emesis Promethazine (Phenergan) Prochlorperazine (Compazine) Oral steroids Vestibular Rehabilitation At home exercises: Cawthorne Cooksey
  • 34.
  • 35.
    Benign Paroxysmal PositionalVertigo (BPPV) Caused by otolith debris (canalith) floating in the semicircular canals (canalithiasis) or adhering to the cupula (cupulolithiasis) Possible causes: vestibular neuronitis, Ménière’s disease, or head trauma, which dislodges particles (otoconia) Posterior canalithiasis ~90% of the time
  • 36.
  • 37.
    BPPV Symptoms ofacute vertigo with episodes lasting < 1 minute that occurs with changing head/body position Residual sensation of disequilibrium between episodes May spontaneously resolve No medication To diagnose- Dix Hallpike Treatment- Epley manuever- Canalith repositioning technique- the particles are shifted out of the semicircular canal
  • 38.
    Vestibular neuronitis Severevertigo that begins acutely after an URI Lasts 24-48 hours and gradually subsides with patients complaining of unsteadiness for weeks Hearing is not effected Patients cannot perform home or work activities Medications- antiemetics, vestibular suppressants, corticosteroids Vestibular rehabilitation 1/3 of patients develop BPPV
  • 39.
  • 40.
    Labyrinthitis Acute onsetof continuous, severe vertigo lasting several days to a week, accompanied by hearing loss and tinnitus Unilateral or bilateral Bacteria or viruses can cause acute inflammation of the labyrinth Medications: antiemetic medications, vestibular suppressant, oral steriods
  • 41.
  • 42.
    Ménière’s disease 1) Fluctuating, low frequency hearing loss 2) Tinnitus 3) Aural fullness 4) Episodes of vertigo that last for hours Bilateral involvement in 25% of patients Etiology- unknown Patho- overproduction or underabsorption of endolymph Test for syphilis with FTA
  • 43.
  • 44.
    Meniere’s disease Treatment80% respond to salt restriction and diuretics Vestibular suppressants Corticosteroids orally or intratympanically Intratympanic gentamicin (chemical labyrinthectomy) Surgical treatment: Endolymphatic sac decompression (ESD) Cutting the vestibular division of CN VIII, sparing the auditory division Labyrinthectomy– vertigo improves, but hearing is lost
  • 45.
    Central Vertigo VestibularSchwannoma (Acoustic Neuroma) Uncommon, but don’t miss it! Slowly progressive, unilateral hearing loss and tinnitus Dizziness is not common MRI of the brain and IAC’s with and without gadolinium IAC- Internal Auditory Canal
  • 46.
  • 47.
  • 48.
  • 49.
  • 50.
    Mini Case Study1 “ I woke up and the bed was spinning” “ I bent over (rolled over, turned quickly, laid down, sat up from bed, etc.) and everything started spinning around.” “ Every time I tried to get up I fell back in to the bed.”
  • 51.
    Mini Case Study2 “ I had constant spinning and nausea for about 3 days.” “ I was in the hospital for about 3 days, and they couldn’t find anything wrong with me.” “ After the worst of it (vertigo and nausea) I was okay if I didn’t move. If I moved I was off balanced and would get nauseous if I moved too much.”
  • 52.
    Mini Case Study3 “ I have had several episodes of severe vertigo with nausea, lasting for hours at a time.” “ It didn’t matter if I moved or not.” “ I feel so much pressure in my head (ear).” “ My ear was roaring.” “ After an episode, I need to sleep for several hours.”
  • 53.
    Mini Case Study4 “ I have episodes of spinning and nausea that come on without warning, but had no ear symptoms.” “ It felt like someone suddenly pulling the rug out from under me.” “ I felt a sudden wave come over me.” “ I can’t stand any type of motion. It never bothered me when I was a kid.” “ Bright light and sounds make me feel worse.”
  • 54.
    Mini Case Study5 “ I felt like my heart was pounding out of my chest.” “ I felt like I was standing outside my body.” “ I felt like I was dying.” “ I couldn’t breathe.”
  • 55.
    Mini Case Study6 “ I get dizzy and off balance when I stand up.” “ I get up and start to walk and feel like I am going to fall over.” “ When I get up quickly, I feel like I could faint.”
  • 56.
    PANCE review questions (from Appleton & Lange) A patient presents with a 3 month history of persistent dizziness. Quick movements of the head seem to increase the symptoms. Initial examination of the patient shows spontaneous nystagmus. Which of the following is the most likely diagnosis? CNS lesion Positional vertigo Labyrinthitis Meniere’s disease Vestibular neuronitis
  • 57.
    PANCE review questions (from Appleton & Lange) A 33-year-old female presents with episodes of vertigo lasting about 20 minutes and associated with fluctuating hearing loss and a low-frequency nonpulsatile tinnitus in the affected ear. After these episodes of vertigo the patient states her hearing improves and the tinnitus resolves. Which of the following illnesses is suggested by there symptoms? Meniere’s disease Perilymphatic fistula Neural syphilis Migraine Variant All of the above
  • 58.
    “ Guess Igot one o' the OTHER causes o' Dizziness”
  • 59.
    Nicole A. WalsteinM.S., PA-C [email_address] ENTACC 80 West Welsh Pool Rd. Suite 103 Exton, PA 19341 (610) 363-2532

Editor's Notes

  • #2 Get 5 volunteers to read the mini case studies, get a volunteer for PE
  • #3 Flip lecture over!
  • #4 8 th cranial nerve Guess DDx?
  • #5 -How do you test for syphilis? -Glomus jugulare tumors are rare, slow-growing, hypervascular tumors that arise within the jugular foramen of the temporal bone. Otoscopic examination reveals a characteristic, pulsatile, reddish-blue tumor behind the tympanic membrane that is often the beginning of more extensive findings (ie, the tip of the iceberg). Audiologic examination reveals mixed conductive and sensorineural hearing loss. CT and MRI -Labyrinthine artery- The cochlea is an end organ in terms of its blood supply with no collaterals. It is supplied by the labyrinthine artery, a branch of AICA. Its tortuous course predisposes it to the effects of hyperviscocity. In addition, it is extremely sensitive to changes in blood supply. Thus, the time course of hearing loss correlates well with a vascular event such that an acute hearing loss is most likely caused by hemorrhage, thrombosis, embolism or hypotension.
  • #6 Otospongiosis- early otosclerosis- is a disease of the bones of the middle ear. The ossicles become knit together into an immovable mass, and do not transmit sound as well as when they are more flexible. Osteopetrosis , literally &amp;quot;stone bone&amp;quot;, also known as marble bone disease and Albers-Schonberg disease is an extremely rare inherited disorder whereby the bones harden, becoming denser , ??? We conclude that MDD is typically a prolonged rocking vertigo which usually is triggered by a sea-going voyage. MDD is almost exclusively found in Caucasian females. Most cases of MDD have onset in their 40&apos;s. Anticholinergic medications are typically ineffective. The cause of MDD remains uncertain. Mal de Debarquement (MDD) refers to prolonged sensations of movement that typically follow exposure to an ocean cruise.
  • #7 B3-niacin-Palegra
  • #8 Wallenburg lateral medullary syndrome- clinical manifestation resulting from occlusion of the posterior inferior cerebellar artery (PICA) or one of its branches or of the vertebral artery , in which the lateral part of the medulla oblongata infarcts, resulting in a typical pattern.
  • #9 What is Usher syndrome???
  • #10 Vestibulopathy- Any abnormality of the vestibular apparatus (recurrent or bilateral- can be caused by ototoxic drugs); inflammation of the vestibular nerve
  • #11 For example, in a patient with syncope or presyncope, the cause of the sensation is probably cardiovascular and not inner ear. In contrast, in a patient with a sensation of spinning or whirling, the pathology probably involves the inner ear or vestibular nerve on one side, although insults to the cerebellum and brainstem may also produce true vertigo. Therefore, the cause in a patient with true vertigo cannot be assumed to be peripheral.) (This will help to pinpoint whether it is true vertigo {vestibular cause} or non vestibular {CNS, cardiovascular, or systemic}).
  • #12 Dizziness- all encompassing term Dysequilibrium- a sense of poor coordination with erect posture or during purposeful movement; usually continuous (vertigo episodic) Imbalance- implies an orthopedic or neurologic problem Lightheadedness- sensation of unsteadiness and falling or the symptoms similar to those preceding syncope (usually non vestibular)
  • #14 – How much is it affecting the patient’s ADL’s? Acute attack- patient is walking with help and/or holding onto a wall
  • #15 Where is the headache? Fistula- leakage of perilymphatic fluid from the inner ear into the tympanic cavity via the round or oval window results from physical injury (blunt head trauma), extreme barotrauma (scuba diving), or vigorous valsalva maneuver (wt lifting). Tullio phenomenon
  • #16 Trauma resulting in damage to an ear often manifests as unilateral hearing loss, which may be the cause of episodic vertigo even years later (posttraumatic hydrops). The most common cause fo vertigo from trauma is labyrinthine concussion. Basilar skull fx that traverse the inner ear usually result in severe vertigo lasting several days to a week and results in hearing loss in the affected ear. Cervical vertigo- results from closed head or whiplash injury, vertigo due to neck disorders (ex. aminoglycosides, antineoplastic drugs [cisplatin]) These medications can damage vestibular hair cells and typically lead to progressive ataxia and/or oscillopsia. When ototoxic patients describe vertigo, the condition almost always is related to head movement and is described as an uncomfortable sense of shifting or bobbing of viewed objects (oscillopsia). patients with agoraphobia may describe their symptoms as dizziness (psychogenic).
  • #18 Diabetes (can cause visual and proprioceptive problems)
  • #19 Tympanomastoidectomy???
  • #20 Labyrinthine causes of vertigo usually are not inherited; however, rare exceptions (eg, Usher syndrome) are reported.] Some clinical researchers believe that Ménière disease may have a hereditary predilection. Usher syndrome is the most common cause of autosomal recessive syndromic SNHL. Usher syndrome results in both hearing and visual impairments, and it is the etiology in at least 50% of persons with deafness and blindness. Medications- BP meds common culprit; Can occur as a side effect to anticonvulsants (phenytoin), antibiotics (aminoglycosides, doxycycline, metronidazole), hypnotics (diazepam), analgesics (aspirin), and tranquilizing drugs or of alcohol
  • #21 Balance involves the overlapping function of several systems, namely, the visual system, the proprioceptive system, and the vestibular system. Together, these systems maintain equilibrium. For patients whose symptoms are episodic, physical examination findings may be normal between episodes.
  • #22 CNIII , IV, VI - Test the 6 cardinal positions, lid lag and accommodation.  Check for nystagmus. Then test 4 visual fields by confrontation. Check for direct and consensual papillary response.  Perform the funduscopic exam on each eye CN V -  Cotton wisp to pts cornea on each eye. (absent reflex- acoustic neuroma)- unilateral. Then ask the pts to bite down and palpate the masseter and temporalis muscles  CN VII (facial)- Ask the pt to close their eyes tightly and then attempt to open the eyelids.  Ask the pt to smile, frown, puff out the cheeks, and raise the eyebrows Test hearing and discrimination by using a tuning fork and by whispering and asking the patient to repeat heard words.
  • #23 Acute otitis media What is cholesteatoma? (Has nothing to do with cholesterol), CT of temporal bone
  • #24 Important to characterized nystagmus as specifically as possible to make correct diagnosis
  • #25 Postural control tests Romberg- This test detects abnormalities in younger patients
  • #26 The Dix-Hallpike maneuver is one of the most important tests for patients who experience true vertigo.
  • #27 Head-shake test- eyes “beat” toward the normal (or better performing) labyrinth Head thrust- normal –eyes remain fixed on the target; abnormal- the eyes make a compensatory movement after the head is stopped to reacquire the target
  • #28 Fistula test- The direction of nystagmus depends on the site of the fistula Can also have pt bear down (valsalva) Fukuda test- Rotation of the patient may indicate a unilateral loss of vestibular tone
  • #29 Oscillopsia is the result of bilateral vestibulopathy, which most commonly is observed in ototoxicity. Heel to shin test- Positive if poor coordination
  • #30 VNG- videonystagmography Bithermic calorics- warm/cold air in ears- will cause dizziness Help differentiate between peripheral and central vertigo Performed by audiologist
  • #31 Performed by audiologists ABR- screening test for retrocochlear pathology (ie. Aucoustic neuroma) VEMP- helps to diagnose Ménière’s disease, superior canal dehiscence, and vestibular schwannomas
  • #33 Specific to your working differential diagnosis list- CT- more for conductive HL, MRI- more for SNHL CT temporal bones without contrast- superior canal dehiscience Blood test: thyroid, fasting glucose, CBC, electrolytes, FTA, Lyme
  • #34 The goals of pharmacotherapy are to relieve vertigo, reduce morbidity, and prevent complications. Vestibular suppressants should be used for a few days at most because they delay the brain&apos;s natural compensatory mechanism for peripheral vertigo. Zofran ODT Vestibular rehab- good for anyone who is a falls risk; &amp;quot;balance rehabilitation”; helps with compensation; vertiginous individuals are provided with a series of tasks to perform that require them to use their eyes while their head is moving, and possibly when their body is also moving. Works for: BPPV, vestibular neuritis, acoustic neuroma, ototoxicity, Meniere’s, peri;ymphatic fistula, post traumatic vertigo, multifactorial dysequilibrium of the elderly, psychogenic vertigo, central vertigo, idiopathic
  • #35 Most common
  • #38 1 in 10 patients who present to the ER for vertigo get the correct referral. May have a residual sensation of disequilibrium between episodes. Medication is usually not helpful “ I turned over in bed.” Vibrator
  • #39 A brief course of antiemetic and vestibular suppressants is usually needed in the acute phase, but should be withdrawn as soon as possible to facilitate the process of central vestibular compensation. Corticosteroids may improve long-term outcomes Vestibular suppressants- meclizine (antivert)
  • #41 In labyrinthitis, there is an acute onset of continuous, usually severe vertigo lasting several days to a week, hearing loss, and tinnitus.  During the recovery period, rapid head movements may bring on transient vertigo. Hearing may return to normal or remain permanently impaired in the involved ear. Vestibular suppressants- antivert (meclizine)
  • #43 A precise cause cannot be established, two causes are syphilis and head trauma. All 4 symptoms not necessary for diagnosis. 1 or 2 symptoms may be present for months. Test for syphilis with FTA, because patients who have late tertiary syphilis can present with identical symptoms.
  • #44 Endolymphatic hydrops (Meniere’s syndrome) results from distention of the endolymphatic compartment of the inner ear; the primary lesion appears to be in the endolymphatic sac, which filters and excretes endolymph. 
  • #45 Diuretic of choice- Dyazide (HCTZ and Triamterene) Vestibular suppressants- meclizine (antivert) If untreated, severe hearing loss and unilateral vestibular paresis are inevitable The role of surgical therapy, such as shunting the endolymphatic sac, is controversial. The literature demonstrates wide variation in the effectiveness, or lack thereof, of surgery.
  • #46 Not all symptoms need to be present -Acoustic neuromas are intracranial, extra-axial tumors that arise from the Schwann cell sheath investing either the vestibular or cochlear nerve. Unilateral hearing loss is overwhelmingly the most common symptom present at the time of diagnosis and is generally the symptom that leads to diagnosis. Assume that any unilateral sensorineural hearing loss is caused by an acoustic neuroma until proven otherwise. Although tinnitus is most commonly a manifestation of hearing loss, a few individuals with acoustic tumors (around 10%) seek treatment for unilateral tinnitus without associated subjective hearing loss. Vertigo and disequilibrium are uncommon presenting symptoms among patients with acoustic tumors. Decrease in the corneal reflex generally occurs earlier and more commonly than objective facial hypoesthesia. MRI with gadolinium
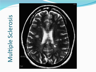
  • #47 MRI of a 26-year-old woman with progressive disequilibrium and bidirectional horizontal nystagmus shows the periventricular areas of demyelination that are characteristic of multiple sclerosis.
  • #48 MRI of a 56-year-old woman with right cerebellar ischemia. Her history included brief episodes of vertigo and a sensation of turning to the right. The brief episodes were followed by prolonged episodes of vertigo, nausea and vomiting, and truncal ataxia.
  • #49 MRI of a 48-year-old woman with progressive unsteadiness, projectile vomiting, and headache. She was referred for an evaluation of vertigo. Pathology proved the posterior fossa mass to be a medulloblastoma.
  • #50 MRI of a 26-year-old woman with unsteadiness and vertical nystagmus. Arrow points to an Arnold-Chiari malformation. ??? -What is Arnold-Chiari malformation?
  • #51 Hint: It only lasts for a few seconds and then dissipates. Answer: BPPV
  • #52 Vestibular Neuritis Labyrinthitis- also be complaint of sudden onset unilateral hearing loss and tinnitus
  • #53 Hint: fluctuating hearing loss, meclizine helped Answer: Meniere’s Disease
  • #54 Vestibular Migraine- may have headache; may have aura (flashing lights in eyes)
  • #55 Anxiety/hyperventilation
  • #56 Hint: I take blood pressure medication Answer: Orthostatic hypotension
  • #57 Answer: B positional vertigo
  • #58 Answer: A. Meniere’s disease
  • #59 Take a good enough history and do a good enough physical exam that you refer the patient to the appropriate person!