HAEMORROIDS (lecture)
DR.BEZAN BALOCH
ASSISTANT PROFESSOR OF SURGERY
U-11
Anatomy
The anal canal is about 3–4cm long. It passes slightly posteriorly,
starting at the anorectal angle and ending at the anal verge. In
the male, the anal canal is related to the bulb of the urethra
anteriorly, and in the female to the perineal body and the vagina
anteriorly. Laterally, it is related to the ischiorectal fossa containing
the inferior haemorrhoidal vessels and pudendal nerve posteriorly lie
the coccyx and the puborectalis muscle, the anal canal is surrounded by
the internal
and external sphincter muscles.
The epithelium of the anal canal is columnar above the anal
valves and squamous below them; the site of the anal valves is
also known as the dentate or pectinate line and this indicates
the mucocutaneous junction.
The anal valves
that represent the openings of the anal glands, and the glands
themselves lie in the plane between the internal and external
sphincters, helping to lubricate the anal canal. The mucosa
above the dentate line is arranged in longitudinal columns
covering the internal haemorrhoidal plexus. The internal anal
sphincter is a downward, thickened
extension of the circular muscle fibres of the rectum and extends
approximately 1›cm below the anal canal. It consists entirely
of smooth muscle and is innervated by the pelvic autonomic
plexus. The external sphincter, on the other hand, is made up
of skeletal muscle that is arranged around the anal canal outside
the internal sphincter
the dentate line
The dentate line is surrounded by longitudinal
mucosal folds, known as the columns of
Morgagni, into which
the anal crypts empty. These crypts are the source
of cryptoglandular
abscesses . In contrast to the anatomic anal
canal, the surgical anal canal begins at the
anorectal junction
and terminates at the anal verge.
Ano rectal Vascular Supply
The superior rectal artery arises
from the terminal branch of the inferior mesenteric artery
andsupplies the upper rectum. The middle rectal artery arises
from
the internal iliac; the presence and size of these arteries are
highly variable. The inferior rectal artery arises from the internal
pudendal artery, which is a branch of the internal iliac artery.
A rich network of collaterals connects the terminal arterioles of
each of these arteries, thus making the rectum relatively resistant
to ischemia
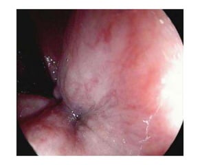
Hemorrhoids
Hemorrhoids are cushions of submucosal
tissue containing,venules, arterioles, and
smooth muscle fibers that are located
in the anal canal . Three hemorrhoidal
cushions are found in the
left lateral,
right anterior,
right posterior positions.
Epidemiology
Worldwide, the prevalence of symptomatic
hemorrhoids is estimated at 4.4% in the general
population. In the United States, up to one third
of the 10 million people with hemorrhoids seek
medical treatment, resulting in 1.5 million related
prescriptions per year.
Etiology
• Straining &Constipation
• Pregnancy
• Portal Hypertension
• Lack of erect posture
• Familial tendency
• Obesity
• Colorectal malignancy
Clinical Presentation and Evaluation
symptoms of hemorrhoidalprotrusion or bleeding.
In cases of protrusion, the hemorrhoids are graded
according to the level of prolapse. First-degree internal
hemorrhoids do not prolapse; the anoscope must be used
to visualize them. Second-degree internal hemorrhoids
prolapse with defecation and return spontaneously to
their anatomic position. Third-degree internal
hemorrhoids prolapse with defecation and require manual
reduction.
Fourthdegree
hemorrhoids are not reducible .
Bleeding may be minimal, appearing only on toilet
paper,or it may occasionally be severe enough to
cause anemia. Itis usually bright red, coats the stool
(rather than being mixed
with it),
and is painless, unless there
is
thrombosis,
ulceration,
gangrene.
Investigations
• anal inspection and digital rectal examination
• Blood investigations.
Anoscopy(proctoscopy)
Sigmoidoscopy
External hemorrhoids
are located distal to the dentate line
and are covered with anoderm. Because the anoderm is richly
innervated, thrombosis of an external hemorrhoid may cause
significant pain. It is for this reason that external hemorrhoids
should not be ligated or excised without adequate local
anesthetic.
A skin tag is redundant fibrotic skin at the anal verge,often
persisting as the residual of a thrombosed external
hemorrhoid.
Skin tags are often confused with symptomatic hemorrhoids.
External hemorrhoids and skin tags may cause itchingand
difficulty with hygiene if they are large.
Internal hemorrhoids
are located proximal to the dentate
line and covered by insensate anorectal
mucosa. Internal hemorrhoids
may prolapse or bleed, but rarely become
painful unless
they develop thrombosis and necrosis (usually
related to severe
prolapse, incarceration, and/or strangulation).
DEGREE ■ DESCRIPTION
First Hemorrhoids bleed but do not prolapse
Second Hemorrhoids prolapse on straining but
reduce spontaneously
Third Hemorrhoids prolapse and require
manual reduction
Fourth Prolapsed hemorrhoids cannot be
manually
reduced
Complications of haemorrhoids
Strangulation and thrombosis
Ulceration
Gangrene
Portal pyaemia
Fibrosis
Treatment
Medical Therapy.
Bleeding from first- and second-degree
hemorrhoids often improves with the addition of dietary
fiber,stool softeners, increased fluid intake, and avoidance of
straining, warm bath,topical ointments.
Associated pruritus often may improve with improved
hygiene. Many over-the-counter topical medications are
relatively ineffective for treating hemorrhoidal
symptoms.
Rubber Band Ligation.
Persistent bleeding from first-, second-,and selected third-
degree hemorrhoids may be treated by rubberband
ligation.Mucosa located 1 to 2 cm proximal to the dentate
lineis grasped and pulled into a rubber band applier. After
firingthe ligator, the rubber band strangulates the
underlying tissue, causing scarring and preventing further
bleeding or prolapse
complications of rubber band ligation include urinary
retention, infection, and bleeding. Urinary retention occurs in
approximately 1% of patients and is more likely if the ligation
has inadvertently included a portion of the internal sphincter.
Necrotizing infection is an uncommon, but life-threatening
complication. Severe pain, fever, and urinary retention are early
signs of infection and should prompt immediate evaluation of
the patient usually with an exam under anesthesia. Treatment
includes débridement of necrotic tissue, drainage of associated
abscesses, and broad-spectrum antibiotics. Bleeding may occur
approximately 7 to 10 days after rubber band ligation, at the
time when the ligated pedicle necroses and sloughs. Bleeding
is usually self-limited, but persistent hemorrhage may require
exam under anesthesia and suture ligation of the pedicle.
Sclerotherapy.
The injection of bleeding internal hemorrhoids
with sclerosing agents is another effective office
technique for
treatment of first-, second-, and some third-degree
hemorrhoids.
One to 3 mL of a sclerosing solution (phenol in olive oil,
is injected into the submucosa of
each hemorrhoid. Few complications are associated with
sclerotherapy,
but infection and fibrosis have been reported
Operation
Indications
The indications for haemorrhoidectomy include:
• third- and fourth-degree haemorrhoids;
• second-degree haemorrhoids that have not been
cured by
non-operative treatments;
• fibrosed haemorrhoids;
• interoexternal haemorrhoids when the external
haemorrhoid
is well defined.
Operative Hemorrhoidectomy. A number of
surgical procedures
have been described for elective resection of
symptomatic
hemorrhoids. All are based on decreasing
blood flow to
the hemorrhoidal plexuses and excising
redundant anoderm and
mucosa.
Closed Submucosal Hemorrhoidectomy
The Parks or Ferguson
hemorrhoidectomy involves resection of
hemorrhoidal tissue and closure of the wounds
with absorbable suture. The
procedure may be performed in the prone or
lithotomy position.The hemorrhoid cushions and
associated redundant mucosa are identified and
excised
using an elliptical incision starting just distal to the
anal vergeand extending proximally to the
anorectal ring. It is crucial toidentify the fibers of
the internal sphincter and carefully brushthese
away from the dissection in order to avoid injury to
thesphincter. The apex of the hemorrhoidal plexus
is then ligatedand the hemorrhoid excised. The
wound is then closed with arunning absorbable
suture.
Open Hemorrhoidectomy
. This technique, often called the
Milligan and Morgan hemorrhoidectomy, follows
the same
principles of excision described earlier, but the
wounds are left
open and allowed to heal by secondary
intention.
Procedure for Prolapse and
Hemorrhoids/Stapled Hemorrhoidectomy
Procedure for prolapse and hemorrhoids (PPH)
has been proposed as an alternative surgical
approach.
The term
PPH has largely replaced stapled hemorrhoidectomy
because
the procedure does not involve excision of
hemorrhoidal tissue,
but instead pexes the redundant mucosa above the
dentate line.
PPH removes a short circumferential segment
of rectal mucosa proximal to the dentate line
using a circular stapler.
fixes redundant mucosa higher in the anal
canal.
Several studies suggest that this procedure is
safe and effective, is associated
with less postoperative pain and disability,
Doppler-Guided Hemorrhoidal Artery Ligation.
recent approach to treating symptomatic
hemorrhoids is Dopplerguided
hemorrhoidal artery ligation (also called transanal
hemorrhoidal
dearterioalization).
In this procedure, a Doppler probe is
used to identify the artery or arteries feeding the
hemorrhoidal
plexus.
These vessels are then ligated. Early reports have
shown
promise, but long-term durability remains to be
determined.
Complications of Hemorrhoidectomy
Postoperative pain
following excisional hemorrhoidectomy requires
analgesia usually with oral narcotics. Nonsteroidal
anti-inflammatory drugs,
muscle relaxants, topical analgesics, and comfort
measures,including sitz baths, are often useful as
well.
Urinary retentionis a common complication following
hemorrhoidectomy andoccurs in 10% to 50% of
patients.
The risk of urinary retention can be minimized by
limiting intraoperative and perioperativeintravenous
fluids and by providing adequate analgesia.
Pain can also lead to fecal impaction. Risk of
impaction maybe decreased by preoperative enemas
or a limited mechanical
bowel preparation, liberal use of laxatives
postoperatively, andadequate pain control.
While a small amount of bleeding, especiallywith
bowel movements, is to be expected, massive
hemorrhagecan occur after hemorrhoidectomy.
Long-term sequelae of hemorrhoidectomy
incontinence,
anal stenosis,
Many patients experience transient incontinence to
flatus, but
these symptoms are usually short-lived, and few
patients have permanent fecal incontinence.
Anal stenosis may result from
scarring after extensive resection of perianal skin.
Long term advises
Avoid constipation
Weight loss
Avoid prolonged sitting on the toilet
Avoid prolonged sitting at work
Improved anorectal hygiene
Haemorroids

Haemorroids

  • 1.
  • 2.
    Anatomy The anal canalis about 3–4cm long. It passes slightly posteriorly, starting at the anorectal angle and ending at the anal verge. In the male, the anal canal is related to the bulb of the urethra anteriorly, and in the female to the perineal body and the vagina anteriorly. Laterally, it is related to the ischiorectal fossa containing the inferior haemorrhoidal vessels and pudendal nerve posteriorly lie the coccyx and the puborectalis muscle, the anal canal is surrounded by the internal and external sphincter muscles. The epithelium of the anal canal is columnar above the anal valves and squamous below them; the site of the anal valves is also known as the dentate or pectinate line and this indicates the mucocutaneous junction.
  • 5.
    The anal valves thatrepresent the openings of the anal glands, and the glands themselves lie in the plane between the internal and external sphincters, helping to lubricate the anal canal. The mucosa above the dentate line is arranged in longitudinal columns covering the internal haemorrhoidal plexus. The internal anal sphincter is a downward, thickened extension of the circular muscle fibres of the rectum and extends approximately 1›cm below the anal canal. It consists entirely of smooth muscle and is innervated by the pelvic autonomic plexus. The external sphincter, on the other hand, is made up of skeletal muscle that is arranged around the anal canal outside the internal sphincter
  • 6.
    the dentate line Thedentate line is surrounded by longitudinal mucosal folds, known as the columns of Morgagni, into which the anal crypts empty. These crypts are the source of cryptoglandular abscesses . In contrast to the anatomic anal canal, the surgical anal canal begins at the anorectal junction and terminates at the anal verge.
  • 7.
    Ano rectal VascularSupply The superior rectal artery arises from the terminal branch of the inferior mesenteric artery andsupplies the upper rectum. The middle rectal artery arises from the internal iliac; the presence and size of these arteries are highly variable. The inferior rectal artery arises from the internal pudendal artery, which is a branch of the internal iliac artery. A rich network of collaterals connects the terminal arterioles of each of these arteries, thus making the rectum relatively resistant to ischemia
  • 9.
    Hemorrhoids Hemorrhoids are cushionsof submucosal tissue containing,venules, arterioles, and smooth muscle fibers that are located in the anal canal . Three hemorrhoidal cushions are found in the left lateral, right anterior, right posterior positions.
  • 11.
    Epidemiology Worldwide, the prevalenceof symptomatic hemorrhoids is estimated at 4.4% in the general population. In the United States, up to one third of the 10 million people with hemorrhoids seek medical treatment, resulting in 1.5 million related prescriptions per year.
  • 12.
    Etiology • Straining &Constipation •Pregnancy • Portal Hypertension • Lack of erect posture • Familial tendency • Obesity • Colorectal malignancy
  • 13.
    Clinical Presentation andEvaluation symptoms of hemorrhoidalprotrusion or bleeding. In cases of protrusion, the hemorrhoids are graded according to the level of prolapse. First-degree internal hemorrhoids do not prolapse; the anoscope must be used to visualize them. Second-degree internal hemorrhoids prolapse with defecation and return spontaneously to their anatomic position. Third-degree internal hemorrhoids prolapse with defecation and require manual reduction. Fourthdegree hemorrhoids are not reducible .
  • 14.
    Bleeding may beminimal, appearing only on toilet paper,or it may occasionally be severe enough to cause anemia. Itis usually bright red, coats the stool (rather than being mixed with it), and is painless, unless there is thrombosis, ulceration, gangrene.
  • 15.
    Investigations • anal inspectionand digital rectal examination • Blood investigations. Anoscopy(proctoscopy) Sigmoidoscopy
  • 17.
    External hemorrhoids are locateddistal to the dentate line and are covered with anoderm. Because the anoderm is richly innervated, thrombosis of an external hemorrhoid may cause significant pain. It is for this reason that external hemorrhoids should not be ligated or excised without adequate local anesthetic. A skin tag is redundant fibrotic skin at the anal verge,often persisting as the residual of a thrombosed external hemorrhoid. Skin tags are often confused with symptomatic hemorrhoids. External hemorrhoids and skin tags may cause itchingand difficulty with hygiene if they are large.
  • 19.
    Internal hemorrhoids are locatedproximal to the dentate line and covered by insensate anorectal mucosa. Internal hemorrhoids may prolapse or bleed, but rarely become painful unless they develop thrombosis and necrosis (usually related to severe prolapse, incarceration, and/or strangulation).
  • 22.
    DEGREE ■ DESCRIPTION FirstHemorrhoids bleed but do not prolapse Second Hemorrhoids prolapse on straining but reduce spontaneously Third Hemorrhoids prolapse and require manual reduction Fourth Prolapsed hemorrhoids cannot be manually reduced
  • 24.
    Complications of haemorrhoids Strangulationand thrombosis Ulceration Gangrene Portal pyaemia Fibrosis
  • 25.
    Treatment Medical Therapy. Bleeding fromfirst- and second-degree hemorrhoids often improves with the addition of dietary fiber,stool softeners, increased fluid intake, and avoidance of straining, warm bath,topical ointments. Associated pruritus often may improve with improved hygiene. Many over-the-counter topical medications are relatively ineffective for treating hemorrhoidal symptoms.
  • 26.
    Rubber Band Ligation. Persistentbleeding from first-, second-,and selected third- degree hemorrhoids may be treated by rubberband ligation.Mucosa located 1 to 2 cm proximal to the dentate lineis grasped and pulled into a rubber band applier. After firingthe ligator, the rubber band strangulates the underlying tissue, causing scarring and preventing further bleeding or prolapse
  • 29.
    complications of rubberband ligation include urinary retention, infection, and bleeding. Urinary retention occurs in approximately 1% of patients and is more likely if the ligation has inadvertently included a portion of the internal sphincter. Necrotizing infection is an uncommon, but life-threatening complication. Severe pain, fever, and urinary retention are early signs of infection and should prompt immediate evaluation of the patient usually with an exam under anesthesia. Treatment includes débridement of necrotic tissue, drainage of associated abscesses, and broad-spectrum antibiotics. Bleeding may occur approximately 7 to 10 days after rubber band ligation, at the time when the ligated pedicle necroses and sloughs. Bleeding is usually self-limited, but persistent hemorrhage may require exam under anesthesia and suture ligation of the pedicle.
  • 30.
    Sclerotherapy. The injection ofbleeding internal hemorrhoids with sclerosing agents is another effective office technique for treatment of first-, second-, and some third-degree hemorrhoids. One to 3 mL of a sclerosing solution (phenol in olive oil, is injected into the submucosa of each hemorrhoid. Few complications are associated with sclerotherapy, but infection and fibrosis have been reported
  • 33.
    Operation Indications The indications forhaemorrhoidectomy include: • third- and fourth-degree haemorrhoids; • second-degree haemorrhoids that have not been cured by non-operative treatments; • fibrosed haemorrhoids; • interoexternal haemorrhoids when the external haemorrhoid is well defined.
  • 34.
    Operative Hemorrhoidectomy. Anumber of surgical procedures have been described for elective resection of symptomatic hemorrhoids. All are based on decreasing blood flow to the hemorrhoidal plexuses and excising redundant anoderm and mucosa.
  • 35.
    Closed Submucosal Hemorrhoidectomy TheParks or Ferguson hemorrhoidectomy involves resection of hemorrhoidal tissue and closure of the wounds with absorbable suture. The procedure may be performed in the prone or lithotomy position.The hemorrhoid cushions and associated redundant mucosa are identified and excised
  • 36.
    using an ellipticalincision starting just distal to the anal vergeand extending proximally to the anorectal ring. It is crucial toidentify the fibers of the internal sphincter and carefully brushthese away from the dissection in order to avoid injury to thesphincter. The apex of the hemorrhoidal plexus is then ligatedand the hemorrhoid excised. The wound is then closed with arunning absorbable suture.
  • 38.
    Open Hemorrhoidectomy . Thistechnique, often called the Milligan and Morgan hemorrhoidectomy, follows the same principles of excision described earlier, but the wounds are left open and allowed to heal by secondary intention.
  • 42.
    Procedure for Prolapseand Hemorrhoids/Stapled Hemorrhoidectomy Procedure for prolapse and hemorrhoids (PPH) has been proposed as an alternative surgical approach. The term PPH has largely replaced stapled hemorrhoidectomy because the procedure does not involve excision of hemorrhoidal tissue, but instead pexes the redundant mucosa above the dentate line.
  • 44.
    PPH removes ashort circumferential segment of rectal mucosa proximal to the dentate line using a circular stapler. fixes redundant mucosa higher in the anal canal. Several studies suggest that this procedure is safe and effective, is associated with less postoperative pain and disability,
  • 45.
    Doppler-Guided Hemorrhoidal ArteryLigation. recent approach to treating symptomatic hemorrhoids is Dopplerguided hemorrhoidal artery ligation (also called transanal hemorrhoidal dearterioalization). In this procedure, a Doppler probe is used to identify the artery or arteries feeding the hemorrhoidal plexus. These vessels are then ligated. Early reports have shown promise, but long-term durability remains to be determined.
  • 46.
    Complications of Hemorrhoidectomy Postoperativepain following excisional hemorrhoidectomy requires analgesia usually with oral narcotics. Nonsteroidal anti-inflammatory drugs, muscle relaxants, topical analgesics, and comfort measures,including sitz baths, are often useful as well. Urinary retentionis a common complication following hemorrhoidectomy andoccurs in 10% to 50% of patients.
  • 47.
    The risk ofurinary retention can be minimized by limiting intraoperative and perioperativeintravenous fluids and by providing adequate analgesia. Pain can also lead to fecal impaction. Risk of impaction maybe decreased by preoperative enemas or a limited mechanical bowel preparation, liberal use of laxatives postoperatively, andadequate pain control. While a small amount of bleeding, especiallywith bowel movements, is to be expected, massive hemorrhagecan occur after hemorrhoidectomy.
  • 48.
    Long-term sequelae ofhemorrhoidectomy incontinence, anal stenosis, Many patients experience transient incontinence to flatus, but these symptoms are usually short-lived, and few patients have permanent fecal incontinence. Anal stenosis may result from scarring after extensive resection of perianal skin.
  • 49.
    Long term advises Avoidconstipation Weight loss Avoid prolonged sitting on the toilet Avoid prolonged sitting at work Improved anorectal hygiene