An increase in the size of
bodily parts or of the
organism as a whole. It
signifies quantitative changes.
The orderly and sequential
changes that occur with the
passage of time as an organism
moves from conception to death.
Also referred to as gradual growth
which indicates changes in
character.
Process wherein
development in the
individual is due to bodily
changes determined by
heredity.
Refers to a person’s inherited
characteristics, determined
by genetics.
Refers to a person’s
experiences in the
environment.
Heredity
 Refers to the sum total of characteristics
biologically transmitted through parents to
offspring and direct determining physical
constitution and traits. It is nature’s way of
passing on to children the actual and potential
characteristics of parents.
Two Types of Cells of Human Being
•Body or Somatic Cells
•Germ or Reproductive Cells


   Heredity is concerned with germ cells.

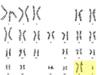
   Each of these cells has a nucleus which contains
   set of 46 chromosomes arranged in 23 pairs.
-Are the physical vehicles that contain the estimated
quarter of a million genes that each human being
possesses.

Genes
- Are large molecules of deoxyribunucleic acid (DNA)
- Are the actual hereditary units that combine and
act to determine the individuals unique physical
structure.
In the nucleus of the zygote ,
the hereditary materials of both
the mother and father combined
The 46 chromosomes contain the individual’s
genotype, the full set of genes inherited from both
parents. How the individual actually looks and acts
is his or her phenotype.
Defective genes produce defective characteristics
and normal genes, normal characteristics under
the average normal environmental conditions.
General Rule:
The normal gene is dominant and the defective
gene, recessive.
Most common chromosomal birth defect
which is often referred to as mongolism.
Usually caused by the presence of an
extra chromosome.
It is characterized by severe mental
retardation, skeletal deformities and
abnormally—wide set eyes.
This results in females having a
single X chromosome, instead of the
normal XX.
This disorder usually involves failure to
develop sexual characteristics; the individual
that has the female genetalia but lacks
ovaries, hence, cannot become pregnant.
Although usually of normal
intelligence, the individual shows specific
cognitive defects which is called VISUAL
AGNOSIA - inability to discriminate or
recognize the form of objects.
also known as "Gonadal dysgenaesis"
This occurs in perhaps one in every 400
males.
The male is characterized to have an extra
X chromosome, hence a combination of XXY.
The individual is physically a male, with penis
and testicles, but marked feminine
characteristics. He has feminized breast
development, and small testes that do not
produce sperm.
This is another sex chromosome abnormality
in males which results in abnormality large,
aggressive males who may become aggressive
criminals.
1. Growth and development is a continuous process, but it
   does not proceed at a uniform rate.
2. Growth and development may be accelerated or
   retarded.
3. The process of growth and development are influenced
   by heredity and environment.
4. Growth is unique. Some functions that result from
   growth are unique to the species like crawling, standing
   and walking. These are called phylogenetic functions.
   While functions that are unique to the individual are
   called ontogenetic functions, like for example, skating
   and bicycling which are acquired through practice and
   not because one is a member of the species.
6. Growth is sequential. Human beings tend to develop in
   an orderly and predictable sequence. The infant
   gradually becomes mobile by lifting first his head, then
   his chest, and then his abdomen. He sits, crawls, stands
   alone and then walks in that order. The sequence is
   orderly, but the timing may be varied.
7. Development is a product of maturation and learning.
8. The various aspects of development are integrated. For
   example, gains in one phase of growth depends on gains
   in other aspects, like emotional growth depending on
   social growth and cognitive development depending on
   physical growth.
According to Bee (1975)
1.Principle of Directionality
Development governed by maturation has a
clear directionality. In the case of fetal
development, there are two directions.
Development proceeds from the head
downward (cephalocaudal) and from the
trunk outward (proximodistal).
2.Principle of functional
asymmetry
 This refers to the tendency of
human to develop asymmetrically.
Example: handedness.
3. Principle of self-regulating
fluctuation
 Development does not proceed at
the same even pace along all fronts
simultaneously. For example: the child
does not usually begin talking
extensively until he has learned to
walk.
1. Heredity is determined at the moment
   of conception.
2. Variations occur for within the species
   there are differences. No two individuals
   are exactly alike.
3. Inheritance is not merely from the
   father and the mother, but also from the
   two lines of ancestry of both families.
5. All hereditary qualities are not apparent
at birth.
6. Heredity involves a general capacity to
do certain things rather than a specific
ability, that is, what is inherited is the total
of potentialities which can manifest
themselves only in the course of
development under suitable conditions.
7. Acquired characteristics are not
inherited.
Growth & development presentation
Growth & development presentation
Growth & development presentation
Growth & development presentation
Growth & development presentation

Growth & development presentation

  • 2.
    An increase inthe size of bodily parts or of the organism as a whole. It signifies quantitative changes.
  • 3.
    The orderly andsequential changes that occur with the passage of time as an organism moves from conception to death. Also referred to as gradual growth which indicates changes in character.
  • 4.
    Process wherein development inthe individual is due to bodily changes determined by heredity.
  • 6.
    Refers to aperson’s inherited characteristics, determined by genetics.
  • 7.
    Refers to aperson’s experiences in the environment.
  • 9.
    Heredity  Refers tothe sum total of characteristics biologically transmitted through parents to offspring and direct determining physical constitution and traits. It is nature’s way of passing on to children the actual and potential characteristics of parents.
  • 10.
    Two Types ofCells of Human Being •Body or Somatic Cells •Germ or Reproductive Cells Heredity is concerned with germ cells. Each of these cells has a nucleus which contains set of 46 chromosomes arranged in 23 pairs.
  • 12.
    -Are the physicalvehicles that contain the estimated quarter of a million genes that each human being possesses. Genes - Are large molecules of deoxyribunucleic acid (DNA) - Are the actual hereditary units that combine and act to determine the individuals unique physical structure.
  • 15.
    In the nucleusof the zygote , the hereditary materials of both the mother and father combined
  • 16.
    The 46 chromosomescontain the individual’s genotype, the full set of genes inherited from both parents. How the individual actually looks and acts is his or her phenotype. Defective genes produce defective characteristics and normal genes, normal characteristics under the average normal environmental conditions. General Rule: The normal gene is dominant and the defective gene, recessive.
  • 18.
    Most common chromosomalbirth defect which is often referred to as mongolism. Usually caused by the presence of an extra chromosome. It is characterized by severe mental retardation, skeletal deformities and abnormally—wide set eyes.
  • 21.
    This results infemales having a single X chromosome, instead of the normal XX. This disorder usually involves failure to develop sexual characteristics; the individual that has the female genetalia but lacks ovaries, hence, cannot become pregnant.
  • 22.
    Although usually ofnormal intelligence, the individual shows specific cognitive defects which is called VISUAL AGNOSIA - inability to discriminate or recognize the form of objects. also known as "Gonadal dysgenaesis"
  • 24.
    This occurs inperhaps one in every 400 males. The male is characterized to have an extra X chromosome, hence a combination of XXY. The individual is physically a male, with penis and testicles, but marked feminine characteristics. He has feminized breast development, and small testes that do not produce sperm.
  • 27.
    This is anothersex chromosome abnormality in males which results in abnormality large, aggressive males who may become aggressive criminals.
  • 30.
    1. Growth anddevelopment is a continuous process, but it does not proceed at a uniform rate. 2. Growth and development may be accelerated or retarded. 3. The process of growth and development are influenced by heredity and environment. 4. Growth is unique. Some functions that result from growth are unique to the species like crawling, standing and walking. These are called phylogenetic functions. While functions that are unique to the individual are called ontogenetic functions, like for example, skating and bicycling which are acquired through practice and not because one is a member of the species.
  • 31.
    6. Growth issequential. Human beings tend to develop in an orderly and predictable sequence. The infant gradually becomes mobile by lifting first his head, then his chest, and then his abdomen. He sits, crawls, stands alone and then walks in that order. The sequence is orderly, but the timing may be varied. 7. Development is a product of maturation and learning. 8. The various aspects of development are integrated. For example, gains in one phase of growth depends on gains in other aspects, like emotional growth depending on social growth and cognitive development depending on physical growth.
  • 32.
  • 33.
    1.Principle of Directionality Developmentgoverned by maturation has a clear directionality. In the case of fetal development, there are two directions. Development proceeds from the head downward (cephalocaudal) and from the trunk outward (proximodistal).
  • 34.
    2.Principle of functional asymmetry This refers to the tendency of human to develop asymmetrically. Example: handedness.
  • 35.
    3. Principle ofself-regulating fluctuation  Development does not proceed at the same even pace along all fronts simultaneously. For example: the child does not usually begin talking extensively until he has learned to walk.
  • 37.
    1. Heredity isdetermined at the moment of conception. 2. Variations occur for within the species there are differences. No two individuals are exactly alike. 3. Inheritance is not merely from the father and the mother, but also from the two lines of ancestry of both families.
  • 38.
    5. All hereditaryqualities are not apparent at birth. 6. Heredity involves a general capacity to do certain things rather than a specific ability, that is, what is inherited is the total of potentialities which can manifest themselves only in the course of development under suitable conditions. 7. Acquired characteristics are not inherited.