The oral disease
gingivitis
Prepared, Designed & Presented by:
Mhmd Esam, Mohammed Yaqdhan & Maryam Kazam
Gingivitis:
Gingivitis ('inflammation of the gum tissue') is
a non-destructive periodontal disease. The most
common form of gingivitis, and the most common
form of periodontal disease overall, is in response to
bacterial biofilms (also called plaque) adherent to
tooth surfaces, termed plaque-induced gingivitis.
• Gingivitis is reversible with good oral hygiene.
• However in the absence of treatment, or if not
controlled, gingivitis can progress
to periodontitis- where the inflammation
results in tissue destruction and alveolar bone
resorption, which can ultimately lead to tooth
loss.
Gingivitis causes:
Gingivitis is a bacterial infection of the gums. The
exact reason why gingivitis develops has not been
proven, but several theories exist.
• For gingivitis to develop, plaque must accumulate in
the areas between the teeth. This plaque contains
large numbers of bacteria thought to be responsible
for gingivitis. But it is not simply plaque that causes
gingivitis. Almost everyone has plaque on their
teeth, but gingivitis is far less common.
• It is usually necessary for the person to have an
underlying illness or take a particular medication that
renders their immune system susceptible to gingivitis.
For example, people with diabetes, Addison's disease,
HIV, and other immune system diseases have weaker
ability to fight bacteria invading the gums. People with
Sjögren's syndrome have chronic dryness of the mouth
that predisposes them to develop gingivitis.
• Sometimes hormonal changes in the body during
pregnancy, puberty, and steroid therapy leave the gums
vulnerable to bacterial infection.
• A number of medications used for seizures, high blood
pressure, and organ transplants can suppress the
immune system and change the structure of the gums
enough to permit bacterial infection.
Signs and symptoms:
• The symptoms of gingivitis are somewhat non-
specific and manifest in the gum tissue as the classic
signs of inflammation:
• Swollen gums Bright red or purple gums. Gums that
are tender or painful to the touch Bleeding gums or
bleeding after brushing and/or flossing Bad breath
(halitosis)
• Additionally, the stippling that normally exists on
the gum tissue of some individuals will often
disappear and the gums may appear shiny when
the gum tissue becomes swollen and stretched over
the inflamed underlying connective tissue. The
accumulation may also emit an unpleasant odor.
When the gingiva are swollen, the epithelial lining
of the gingival crevice becomes ulcerated and the
gums will bleed more easily with even gentle
brushing, and especially when flossing.
Risk factors:
Risk factors associated with gingivitis are:
• increase in age
• low socio-economic status
• poor education
• low dental care utilization
• poor oral hygiene levels
• smoking
• psychosocial stress and genetic factors
• pre-existing conditions
• Gingivitis is the mildest form of periodontal
disease and affects 50% to 90% of adults
worldwide. It is ubiquitous and affects males and
females, young and old. As defined by gingival
bleeding adjacent to ≥1 teeth, about half of the
US population has gingivitis with the prevalence
slightly greater in males than females, and in
black people and Mexican Americans than in
white people.
The prevalence of gingivitis:
• There is evidence that the prevalence of gingivitis
has been decreasing in developed countries over
the last few decades. Globally, there appears to be
considerable heterogeneity in the prevalence of
gingivitis with higher prevalence reported in certain
parts of the world.
• The prevalence of necrotizing ulcerative gingivitis
(NUG) varies widely, and it is frequently reported
among young HIV/AIDS patients in some
countries. Studies including outpatients,
particularly after introduction of antiretroviral
therapy, have shown relatively low prevalence
figures, similar to those of the general population.
This disease is frequently seen in developing
countries, especially in sub-Saharan Africa, where
it occurs almost exclusively among children,
usually between the ages of 3 and 10 years, from
low socio-economic backgrounds.
Its prevalence has been reported to be about 0.3%
in Swiss Army recruits and 3% in a South African
population, and is as high as 27% among Nigerian
children aged <12 years at a west Nigerian dental
clinic. In this population, prevalence of this disease
increases from 2% to 3% of children with good oral
hygiene to 67% of children with very poor oral
hygiene.
Geographical variation in Prevalence of Gingival:
• In 1969 presented data which documented a
very high prevalence of periodontal disease in a
sample of several thousand persons ranging in
age from 13 to over 60. When the data were
compared to data for Norwegian students,
periodontal disease was shown to be much more
severe in Sri Lanka. When the same analysis was
performed after adjustment for differences in
oral hygiene however, very small differences
were found.
• In a longitudinal survey conducted by LSe and
coworkers the baseline examination showed that
the number of gingival units with a score of 2 or
more was almost seven times higher in Sri Lanka
than in Norway. The same study showed that before
the age of 20,loss of periodontal attachment was
considerably higher in Sri Lanka than in Norway.
When the annual rate of attachment loss was
studied on a longitudinal basis, the individuals from
Sri Lanka tended to lose two to three times as much
periodontal attachment per year as the individuals
from Norway.
The incidence rate of gingivitis:
• The objective of this study is to investigate the
incidence of gingivitis and periodontitis among
schoolchildren of 6 - 14 years old in Kaunas City.
The state of oral hygiene and incidence of
periodontitis was evaluated among 89
schoolchildren between 6-8 years old, 86
schoolchildren between 9-11 years old and 75
schoolchildren between 12-14 years old.
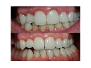
The treatment:
Removing the source of the infection is primarily how
simple gingivitis is treated. Home treatment is key.
Ultimately these home remedies can lead to a cure
for gingivitis.
• By brushing teeth regularly with a toothbrush and
fluoride toothpaste approved by dentists, plaque
buildup can be kept to a minimum.
• Flossing is another means of removing plaque in
between teeth and other areas hard to reach.
• Regular checkups with a dentist are also important.
A dentist is able to remove plaque that is too dense
to be removed by a toothbrush or dental floss.
• Severe gingivitis may require antibiotics and
consultation with a physician. Antibiotics are
medications used to help the body's immune
system fight bacterial infection and have been
shown to reduce plaque. By reducing plaque,
bacteria can be kept to a level manageable by the
human immune system. Taking antibiotics is not
without risks and should only be done after
consultation with a dentist or doctor.
The prevention:
• Good mouth and teeth care.
• Regular dental follow-up.
• Treatment of associated underlying illnesses.
Thank
you

Gingivitis

  • 1.
    The oral disease gingivitis Prepared,Designed & Presented by: Mhmd Esam, Mohammed Yaqdhan & Maryam Kazam
  • 2.
    Gingivitis: Gingivitis ('inflammation ofthe gum tissue') is a non-destructive periodontal disease. The most common form of gingivitis, and the most common form of periodontal disease overall, is in response to bacterial biofilms (also called plaque) adherent to tooth surfaces, termed plaque-induced gingivitis.
  • 3.
    • Gingivitis isreversible with good oral hygiene. • However in the absence of treatment, or if not controlled, gingivitis can progress to periodontitis- where the inflammation results in tissue destruction and alveolar bone resorption, which can ultimately lead to tooth loss.
  • 7.
    Gingivitis causes: Gingivitis isa bacterial infection of the gums. The exact reason why gingivitis develops has not been proven, but several theories exist. • For gingivitis to develop, plaque must accumulate in the areas between the teeth. This plaque contains large numbers of bacteria thought to be responsible for gingivitis. But it is not simply plaque that causes gingivitis. Almost everyone has plaque on their teeth, but gingivitis is far less common.
  • 8.
    • It isusually necessary for the person to have an underlying illness or take a particular medication that renders their immune system susceptible to gingivitis. For example, people with diabetes, Addison's disease, HIV, and other immune system diseases have weaker ability to fight bacteria invading the gums. People with Sjögren's syndrome have chronic dryness of the mouth that predisposes them to develop gingivitis. • Sometimes hormonal changes in the body during pregnancy, puberty, and steroid therapy leave the gums vulnerable to bacterial infection. • A number of medications used for seizures, high blood pressure, and organ transplants can suppress the immune system and change the structure of the gums enough to permit bacterial infection.
  • 9.
    Signs and symptoms: •The symptoms of gingivitis are somewhat non- specific and manifest in the gum tissue as the classic signs of inflammation: • Swollen gums Bright red or purple gums. Gums that are tender or painful to the touch Bleeding gums or bleeding after brushing and/or flossing Bad breath (halitosis)
  • 10.
    • Additionally, thestippling that normally exists on the gum tissue of some individuals will often disappear and the gums may appear shiny when the gum tissue becomes swollen and stretched over the inflamed underlying connective tissue. The accumulation may also emit an unpleasant odor. When the gingiva are swollen, the epithelial lining of the gingival crevice becomes ulcerated and the gums will bleed more easily with even gentle brushing, and especially when flossing.
  • 11.
    Risk factors: Risk factorsassociated with gingivitis are: • increase in age • low socio-economic status • poor education • low dental care utilization • poor oral hygiene levels • smoking • psychosocial stress and genetic factors • pre-existing conditions
  • 13.
    • Gingivitis isthe mildest form of periodontal disease and affects 50% to 90% of adults worldwide. It is ubiquitous and affects males and females, young and old. As defined by gingival bleeding adjacent to ≥1 teeth, about half of the US population has gingivitis with the prevalence slightly greater in males than females, and in black people and Mexican Americans than in white people.
  • 14.
    The prevalence ofgingivitis: • There is evidence that the prevalence of gingivitis has been decreasing in developed countries over the last few decades. Globally, there appears to be considerable heterogeneity in the prevalence of gingivitis with higher prevalence reported in certain parts of the world.
  • 15.
    • The prevalenceof necrotizing ulcerative gingivitis (NUG) varies widely, and it is frequently reported among young HIV/AIDS patients in some countries. Studies including outpatients, particularly after introduction of antiretroviral therapy, have shown relatively low prevalence figures, similar to those of the general population. This disease is frequently seen in developing countries, especially in sub-Saharan Africa, where it occurs almost exclusively among children, usually between the ages of 3 and 10 years, from low socio-economic backgrounds.
  • 16.
    Its prevalence hasbeen reported to be about 0.3% in Swiss Army recruits and 3% in a South African population, and is as high as 27% among Nigerian children aged <12 years at a west Nigerian dental clinic. In this population, prevalence of this disease increases from 2% to 3% of children with good oral hygiene to 67% of children with very poor oral hygiene.
  • 17.
    Geographical variation inPrevalence of Gingival: • In 1969 presented data which documented a very high prevalence of periodontal disease in a sample of several thousand persons ranging in age from 13 to over 60. When the data were compared to data for Norwegian students, periodontal disease was shown to be much more severe in Sri Lanka. When the same analysis was performed after adjustment for differences in oral hygiene however, very small differences were found.
  • 18.
    • In alongitudinal survey conducted by LSe and coworkers the baseline examination showed that the number of gingival units with a score of 2 or more was almost seven times higher in Sri Lanka than in Norway. The same study showed that before the age of 20,loss of periodontal attachment was considerably higher in Sri Lanka than in Norway. When the annual rate of attachment loss was studied on a longitudinal basis, the individuals from Sri Lanka tended to lose two to three times as much periodontal attachment per year as the individuals from Norway.
  • 19.
    The incidence rateof gingivitis: • The objective of this study is to investigate the incidence of gingivitis and periodontitis among schoolchildren of 6 - 14 years old in Kaunas City. The state of oral hygiene and incidence of periodontitis was evaluated among 89 schoolchildren between 6-8 years old, 86 schoolchildren between 9-11 years old and 75 schoolchildren between 12-14 years old.
  • 22.
    The treatment: Removing thesource of the infection is primarily how simple gingivitis is treated. Home treatment is key. Ultimately these home remedies can lead to a cure for gingivitis. • By brushing teeth regularly with a toothbrush and fluoride toothpaste approved by dentists, plaque buildup can be kept to a minimum. • Flossing is another means of removing plaque in between teeth and other areas hard to reach.
  • 23.
    • Regular checkupswith a dentist are also important. A dentist is able to remove plaque that is too dense to be removed by a toothbrush or dental floss. • Severe gingivitis may require antibiotics and consultation with a physician. Antibiotics are medications used to help the body's immune system fight bacterial infection and have been shown to reduce plaque. By reducing plaque, bacteria can be kept to a level manageable by the human immune system. Taking antibiotics is not without risks and should only be done after consultation with a dentist or doctor.
  • 24.
    The prevention: • Goodmouth and teeth care. • Regular dental follow-up. • Treatment of associated underlying illnesses.
  • 26.